Correlation between MRI Features of Adenomyosis and Clinical Presentation
Abstract
:1. Introduction
2. Materials and Methods
2.1. Patients Population
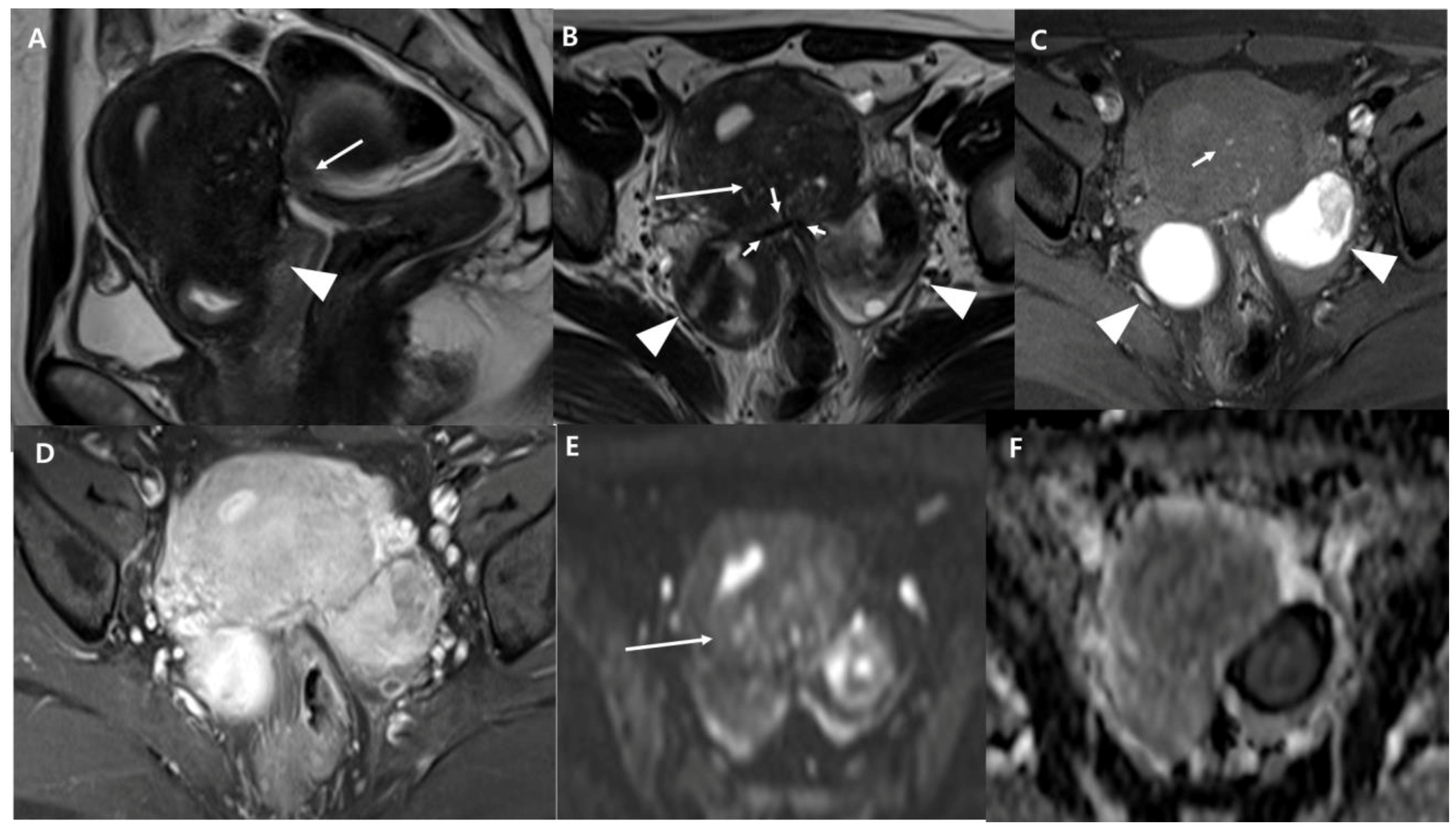
2.2. MRI Examination and Image Analysis
2.3. Statistical Analyses
3. Results
4. Discussion
5. Conclusions
Author Contributions
Funding
Institutional Review Board Statement
Informed Consent Statement
Data Availability Statement
Acknowledgments
Conflicts of Interest
References
- Senturk, L.M.; Imamoglu, M. Adenomyosis: What is new? Womens Health 2015, 11, 717–724. [Google Scholar] [CrossRef] [PubMed]
- Mark, A.S.; Hricak, H.; Heinrichs, L.W.; Hendrickson, M.R.; Winkler, M.L.; Bachica, J.A.; Stickler, J.E. Adenomyosis and leiomyoma: Differential diagnosis with MR imaging. Radiology 1987, 163, 527–529. [Google Scholar] [CrossRef] [PubMed]
- Fedele, L.; Bianchi, S.; Dorta, M.; Arcaini, L.; Zanotti, F.; Cannelli, S. Transvaginal ultrasonography in the diagnosis of diffuse adenomyosis. Fertil. Steril. 1992, 58, 94–97. [Google Scholar] [CrossRef] [PubMed]
- Bourdon, M.; Oliveira, J.; Marcellin, L.; Santulli, P.; Bordonne, C.; Mantelet, L.M.; Millischer, A.E.; Bureau, G.P.; Chapron, C. Adenomyosis of the inner and outer myometrium are associated with different clinical profiles. Hum. Reprod. 2020, 36, 349–357. [Google Scholar] [CrossRef] [PubMed]
- Bourdon, M.; Santulli, P.; Oliveira, J.; Marcellin, L.; Maignien, C.; Melka, L.; Bordonne, C.; Millisher, A.-E.; Plu-Bureau, G.; Cormier, J.; et al. Focal adenomyosis is associated with primary infertility. Fertil. Steril. 2020, 114, 1271–1277. [Google Scholar] [CrossRef] [PubMed]
- Tamura, H.; Kishi, H.; Kitade, M.; Asai-Sato, M.; Tanaka, A.; Murakami, T.; Minegishi, T.; Sugino, N. Clinical outcomes of infertility treatment for women with adenomyosis in Japan. Reprod. Med. Biol. 2017, 16, 276–282. [Google Scholar] [CrossRef] [PubMed]
- Kishi, Y.; Suginami, H.; Kuramori, R.; Yabuta, M.; Suginami, R.; Taniguchi, F. Four subtypes of adenomyosis assessed by magnetic resonance imaging and their specification. Am. J. Obstet. Gynecol. 2012, 207, 114.e1–114.e7. [Google Scholar] [CrossRef]
- Kobayashi, H.; Matsubara, S. A Classification Proposal for Adenomyosis Based on Magnetic Resonance Imaging. Gynecol. Obstet. Investig. 2020, 85, 118–126. [Google Scholar] [CrossRef]
- Weiss, G.; Maseelall, P.; Schott, L.L.; Brockwell, S.E.; Schocken, M.; Johnston, J.M. Adenomyosis a variant, not a disease? Evidence from hysterectomized menopausal women in the Study of Women’s Health Across the Nation (SWAN). Fertil. Steril. 2009, 91, 201–206. [Google Scholar] [CrossRef]
- Bird, C.C.; McElin, T.W.; Manalo-Estrella, P. The elusive adenomyosis of the uterus—Revisited. Am. J. Obstet. Gynecol. 1972, 112, 583–593. [Google Scholar] [CrossRef]
- Levgur, M.; Abadi, M.A.; Tucker, A. Adenomyosis: Symptoms, Histology, and Pregnancy Terminations. Obstet. Gynecol. 2000, 95, 688–691. [Google Scholar] [CrossRef] [PubMed]
- Nishida, M. Relationship between the onset of dysmenorrhea and histologic findings in adenomyosis. Am. J. Obstet. Gynecol. 1991, 165, 229–231. [Google Scholar] [CrossRef] [PubMed]
- Exacoustos, C.; Morosetti, G.; Conway, F.; Camilli, S.; Martire, F.G.; Lazzeri, L.; Piccione, E.; Zupi, E. New Sonographic Classification of Adenomyosis: Do Type and Degree of Adenomyosis Correlate to Severity of Symptoms? J. Minim. Invasive Gynecol. 2020, 27, 1308–1315. [Google Scholar] [CrossRef]
- Chapron, C.; Tosti, C.; Marcellin, L.; Bourdon, M.; Lafay-Pillet, M.C.; Millischer, A.E.; Streuli, I.; Borghese, B.; Petraglia, F.; Santulli, P. Relationship between the magnetic resonance imaging appearance of adenomyosis and endometriosis phenotypes. Hum. Reprod. 2017, 32, 1393–1401. [Google Scholar] [CrossRef] [PubMed]
- Chen, Q.; Li, Y.-W.; Wang, S.; Fan, Q.-B.; Shi, H.-H.; Leng, J.-H.; Sun, D.-W.; Lang, J.-H.; Zhu, L. Clinical Manifestations of Adenomyosis Patients With Or Without Pain Symptoms. J. Pain Res. 2019, 12, 3127–3133. [Google Scholar] [CrossRef] [PubMed]
- Bazot, M.; Cortez, A.; Darai, E.; Rouger, J.; Chopier, J.; Antoine, J.-M.; Uzan, S. Ultrasonography compared with magnetic resonance imaging for the diagnosis of adenomyosis: Correlation with histopathology. Hum. Reprod. 2001, 16, 2427–2433. [Google Scholar] [CrossRef] [PubMed]
- Naftalin, J.; Hoo, W.; Nunes, N.; Holland, T.; Mavrelos, D.; Jurkovic, D. Association between ultrasound features of adenomyosis and severity of menstrual pain. Ultrasound Obstet. Gynecol. 2016, 47, 779–783. [Google Scholar] [CrossRef] [PubMed]
- Andres, M.P.; Borrelli, G.M.; Ribeiro, J.; Baracat, E.C.; Abrão, M.S.; Kho, R.M. Transvaginal Ultrasound for the Diagnosis of Adenomyosis: Systematic Review and Meta-Analysis. J. Minim. Invasive Gynecol. 2018, 25, 257–264. [Google Scholar] [CrossRef]
- Pistofidis, G.; Makrakis, E.; Koukoura, O.; Bardis, N.; Balinakos, P.; Anaf, V. Distinct types of uterine adenomyosis based on laparoscopic and histopathologic criteria. Clin. Exp. Obstet. Gynecol. 2014, 41, 113–118. [Google Scholar] [CrossRef]
- Sammour, A.; Pirwany, I.; Usubutun, A.; Arseneau, J.; Tulandi, T. Correlations between Extent and Spread of Adenomyosis and Clinical Symptoms. Gynecol. Obstet. Investig. 2002, 54, 213–216. [Google Scholar] [CrossRef]
- Rasmussen, C.K.; Hansen, E.S.; Dahl, S.A.-M.; Ernst, E.; Dueholm, M. The effect of transcervical endometrial resection on clinical symptoms related to intrinsic adenomyosis and junctional zone changes. Eur. J. Obstet. Gynecol. Reprod. Biol. X 2019, 3, 100029. [Google Scholar] [CrossRef] [PubMed]
- Younes, G.; Tulandi, T. Faculty Opinions recommendation of Effects of adenomyosis on in vitro fertilization treatment outcomes: A meta-analysis. Fertil. Steril. 2017, 108, 483–490. [Google Scholar] [CrossRef]
- Gordts, S.; Grimbizis, G.; Campo, R. Symptoms and classification of uterine adenomyosis, including the place of hysteroscopy in diagnosis. Fertil. Steril. 2018, 109, 380–388.e1. [Google Scholar] [CrossRef] [PubMed]
- Bazot, M.; Darai, E. Role of transvaginal sonography and magnetic resonance imaging in the diagnosis of uterine adenomyosis. Fertil. Steril. 2018, 109, 389–397. [Google Scholar] [CrossRef] [PubMed]
- Kwack, J.-Y.; Kwon, Y.-S. Conservative surgery of diffuse adenomyosis with TOUA: Single surgeon experience of one hundred sixteen cases and report of fertility outcomes. Kaohsiung J. Med. Sci. 2018, 34, 290–294. [Google Scholar] [CrossRef] [PubMed]
- Li, X.; Liu, X.; Guo, S.-W. Clinical profiles of 710 premenopausal women with adenomyosis who underwent hysterectomy. J. Obstet. Gynaecol. Res. 2013, 40, 485–494. [Google Scholar] [CrossRef] [PubMed]
- Protopapas, A.; Grimbizis, G.; Athanasiou, S.; Loutradis, D. Adenomyosis: Disease, uterine aging process leading to symptoms, or both? Facts Views Vis. ObGyn 2020, 12, 91–104. [Google Scholar]
- Kobayashi, H.; Matsubara, S.; Imanaka, S. Relationship between magnetic resonance imaging-based classification of adenomyosis and disease severity. J. Obstet. Gynaecol. Res. 2021, 47, 2251–2260. [Google Scholar] [CrossRef]
- Grimbizis, G.F.; Mikos, T.; Tarlatzis, B. Uterus-sparing operative treatment for adenomyosis. Fertil. Steril. 2014, 101, 472–487.e8. [Google Scholar] [CrossRef]
- Kilickesmez, O.; Bayramoglu, S.; Enci, E.; Cimilli, T.; Kayhan, A. Quantitative diffusion-weighted magnetic resonance imaging of normal and diseased uterine zones. Acta Radiol. 2009, 50, 340–347. [Google Scholar] [CrossRef]


| Total (n = 243) | Non–Op (n = 131) | Op (n = 112) | p-Value | |
|---|---|---|---|---|
| Age (years) † | 42.1 ± 6.7 (38.0–47.0) | 44.3 ± 7.1 (41.0–49.0) | 39.5 ± 5.2 (36.0–43.0) | <0.001 * |
| MRI parameters | ||||
| Size (cm) | 5.2 ± 2.7 | 4.6 ± 2.6 | 5.6 ± 2.7 | 0.003 * |
| (3.1–7.0) | (2.5–6.0) | (3.5–7.2) | ||
| Classification | <0.001 * | |||
| internal adenomyosis | 43 (17.7) | 38 (29.0) | 5 (4.5) | |
| diffuse adenomyosis | 108 (44.4) | 48 (36.6) | 60 (53.6) | |
| external adenomyosis | 92 (37.9) | 45 (34.4) | 47 (42.0) | |
| Localization: anterior | 0.962 | |||
| No | 208 (85.6) | 112 (85.5) | 96 (85.7) | |
| Yes | 35 (14.4) | 19 (14.5) | 16 (14.3) | |
| Localization: posterior | <0.001 * | |||
| No | 109 (44.9) | 79 (60.3) | 30 (26.8) | |
| Yes | 134 (55.1) | 52 (39.7) | 82 (73.2) | |
| Localization: lateral | 0.194 | |||
| No | 233 (95.9) | 128 (97.7) | 105 (93.8) | |
| Yes | 10 (4.1) | 3 (2.3) | 7 (6.3) | |
| Localization: fundal | 0.719 | |||
| No | 204 (84.0) | 111 (84.7) | 93 (83.0) | |
| Yes | 39 (16.0) | 20 (15.3) | 19 (17.0) | |
| Localization: entire | <0.001 * | |||
| No | 204 (84.0) | 92 (70.2) | 112 (100.0) | |
| Yes | 39 (16.0) | 39 (29.8) | 0 (0.0) | |
| Concomitant ovary endometrioma | 0.048* | |||
| No | 157 (64.6) | 92 (70.2) | 65 (58.0) | |
| Yes | 86 (35.4) | 39 (29.8) | 47 (42.0) | |
| Concomitant DIE | 0.002 * | |||
| No | 143 (58.8) | 89 (67.9) | 54 (48.2) | |
| Yes | 100 (41.2) | 42 (32.1) | 58 (51.8) | |
| Concomitant fibroid | 0.015 * | |||
| No | 112 (46.1) | 51 (38.9) | 61 (54.5) | |
| Yes | 131 (53.9) | 80 (61.1) | 51 (45.5) | |
| Margin | 0.292 | |||
| Ill-defined | 220 (90.5) | 121 (92.4) | 99 (88.4) | |
| Clear demarcated | 23 (9.5) | 10 (7.6) | 13 (11.6) | |
| Myometrial Cysts | <0.001 * | |||
| No | 76 (31.3) | 54 (41.2) | 22 (19.6) | |
| Yes | 167 (68.7) | 77 (58.8) | 90 (80.4) | |
| Diffusion restriction | 0.019 * | |||
| Yes | 46 (19.2) | 18 (13.7) | 28 (25.7) | |
| No | 194 (80.8) | 113 (86.3) | 81 (74.3) | |
| Enhancement | 0.01 * | |||
| Less than normal myometrium | 49 (20.2) | 22 (16.8) | 27 (24.3) | |
| Equal enhancement to myometrium | 188 (77.7) | 109 (83.2) | 79 (71.2) | |
| More enhancement than myometrium | 5 (2.1) | 0 (0.0) | 5 (4.5) | |
| Clinical Parameters | ||||
| VAS Score † | 7.2 ± 2.7 | 6.5 ± 2.9 | 7.9 ± 2.3 | <0.001 * |
| (6.0–9.0) | (5.0–9.0) | (7.0–10.0) | ||
| CA-125 (units/mL) † | 97.5 ± 199.3 | 56.1 ± 95.6 | 142.1 ± 262.8 | <0.001 * |
| (15.8–92.6) | (9.9–66.6) | (30.9–147.3) | ||
| initial Hb (g/dL) † | 12.1 ± 1.8 | 12.3 ± 1.5 | 11.8 ± 2.0 | 0.18 |
| (11.1–13.4) | (11.4–13.3) | (10.4–13.4) | ||
| Parity | <0.001 * | |||
| 0 | 166 (68.6) | 62 (47.7) | 104 (92.9) | |
| 1 | 29 (12.0) | 23 (17.7) | 6 (5.4) | |
| 2 | 44 (18.2) | 42 (32.3) | 2 (1.8) | |
| 3 | 3 (1.2) | 3 (2.3) | 0 (0.0) |
| Non-Op (n = 116) | Op (n = 112) | |||||
|---|---|---|---|---|---|---|
| n | Median (IQR) | p-Value | n | Median (IQR) | p-Value | |
| Size | 0.004 * | 0.001 * | ||||
| Size < 5, median | 44 | 7.0 (3.0–8.0) | 46 | 8.0 (6.0–9.0) | ||
| Size ≥ 5, median | 34 | 8.0 (7.0–9.0) | 65 | 9.0 (8.0–10.0) | ||
| Classification | 0.007 * | 0.001 * | ||||
| Internal | 27 | 6.0 (2.0–8.0) | 5 | 5.0 (2.0–7.0) | ||
| Diffuse | 46 | 8.0 (6.0–9.0) | 60 | 9.0 (8.0–10.0) | ||
| External | 43 | 7.0 (6.0–8.0) | 47 | 8.0 (7.0–9.0) | ||
| Localization: anterior | 0.824 | 0.244 | ||||
| No | 98 | 7.0 (5.0–9.0) | 96 | 8.0 (7.0–10.0) | ||
| Yes | 18 | 8.0 (5.0–9.0) | 16 | 9.0 (7.5–10.0) | ||
| Localization: posterior | 0.686 | 0.008 * | ||||
| No | 68 | 7.0 (3.0–9.0) | 30 | 8.0 (6.0–9.0) | ||
| Yes | 48 | 8.0 (6.0–9.0) | 82 | 9.0 (8.0–10.0) | ||
| Localization: lateral | 0.494 | 0.107 | ||||
| No | 113 | 7.0 (5.0–9.0) | 105 | 8.0 (7.0–10.0) | ||
| Yes | 3 | 8.0 (7.0–9.0) | 7 | 7.0 (6.0–9.0) | ||
| Localization: fundal | 0.840 | 0.359 | ||||
| No | 100 | 8.0 (5.0–9.0) | 93 | 8.0 (7.0–10.0) | ||
| Yes | 16 | 7.0 (3.0–9.0) | 19 | 8.0 (6.0–10.0) | ||
| Localization: entire | 0.755 | |||||
| No | 83 | 7.0 (5.0–9.0) | 112 | 8.0 (7.0–10.0) | N/A | |
| Yes | 33 | 7.0 (3.0–9.0) | 0 | – | ||
| Concomitant ovary endometrioma | 0.550 | 0.32 | ||||
| No | 80 | 8.0 (3.0–9.0) | 65 | 8.0 (7.0–10.0) | ||
| Yes | 36 | 7.0 (6.0–8.0) | 47 | 8.0 (7.0–10.0) | ||
| Concomitant DIE | 0.700 | 0.09 | ||||
| No | 79 | 8.0 (3.0–9.0) | 54 | 8.0 (7.0–9.0) | ||
| Yes | 37 | 7.0 (6.0–8.0) | 58 | 8.0 (8.0–10.0) | ||
| Concomitant fibroid | 0.747 | 0.009 * | ||||
| No | 45 | 7.0 (6.0–9.0) | 61 | 9.0 (8.0–10.0) | ||
| Yes | 71 | 7.0 (4.0–9.0) | 51 | 8.0 (6.0–9.0) | ||
| Margin | 0.374 | 0.643 | ||||
| Ill-defined | 107 | 8.0 (5.0–9.0) | 99 | 8.0 (7.0–10.0) | ||
| Clear demarcated | 9 | 7.0 (5.0–8.0) | 13 | 8.0 (8.0–9.0) | ||
| Myometrial Cysts | 0.096 | 0.001 * | ||||
| No | 43 | 7.0 (2.0–8.0) | 22 | 7.0 (5.0–8.0) | ||
| Yes | 73 | 8.0 (6.0–9.0) | 90 | 9.0 (8.0–10.0) | ||
| Diffusion restriction | 0.762 | 0.631 | ||||
| Yes | 16 | 7.5 (4.5–8.0) | 28 | 8.0 (7.5–10.0) | ||
| No | 100 | 7.0 (5.0–9.0) | 81 | 8.0 (7.0–10.0) | ||
| Enhancement | 0.287 | 0.839 | ||||
| Less enhancement | 17 | 8.0 (6.0–9.0) | 27 | 8.0 (6.0–10.0) | ||
| Equal enhancement | 99 | 7.0 (4.0–9.0) | 79 | 8.0 (7.0–10.0) | ||
| More enhancement | 0 | – | 5 | 8.0 (7.0–9.0) | ||
| Non-Op (n = 117) | Op (n = 109) | |||||
|---|---|---|---|---|---|---|
| n | Median (IQR) | p-Value | n | Median (IQR) | p-Value | |
| Size | <0.001 * | <0.001 * | ||||
| Size < 5, median | 47 | 15.9 (9.8–35.0) | 44 | 28.3 (14.9–64.6) | ||
| Size ≥ 5, median | 29 | 52.0 (23.9–83.6) | 64 | 101.7 (56.0–200.3) | ||
| Classification | <0.001 * | <0.001 * | ||||
| Internal | 32 | 9.7 (5.6–16.8) | 4 | 23.3 (13.8–60.8) | ||
| Diffuse | 42 | 52.5 (18.0–108.4) | 59 | 85.4 (50.8–177.9) | ||
| External | 43 | 27.2 (14.4–66.6) | 46 | 41.1 (22.9–78.8) | ||
| Localization: anterior | 0.886 | 0.126 | ||||
| No | 100 | 22.5 (10.1–65.9) | 94 | 60.6 (28.0–126.9) | ||
| Yes | 17 | 18.0 (7.0–67.5) | 15 | 93.7 (57.1–214.9) | ||
| Localization: posterior | 0.041 * | 0.646 | ||||
| No | 72 | 17.5 (7.4–56.5) | 28 | 71.4 (23.4–128.2) | ||
| Yes | 45 | 28.0 (15.5–67.3) | 81 | 66.1 (37.7–150.8) | ||
| Localization: lateral | 0.376 | 0.434 | ||||
| No | 114 | 22.5 (10.3–67.3) | 102 | 67.5 (33.6–147.3) | ||
| Yes | 3 | 9.8 (7.7–35.0) | 7 | 27.1 (22.9–147.9) | ||
| Localization: fundal | 0.997 | 0.679 | ||||
| No | 98 | 21.8 (9.9–66.6) | 93 | 66.1 (30.9–147.3) | ||
| Yes | 19 | 25.5 (8.8–67.3) | 16 | 82.7 (31.4–146.8) | ||
| Localization: entire | 0.215 | |||||
| No | 82 | 26.1 (14.4–66.6) | 109 | 67.4 (30.9–147.3) | N/A | |
| Yes | 35 | 15.8 (7.2–76.3) | 0 | – | ||
| Concomitant ovary endometrioma | 0.096 | 0.318 | ||||
| No | 79 | 20.4 (7.6–65.3) | 63 | 58.1 (23.9–120.8) | ||
| Yes | 38 | 27.6 (15.5–67.3) | 46 | 69.2 (37.9–150.8) | ||
| Concomitant DIE | 0.157 | 0.074 | ||||
| No | 78 | 21.8 (7.6–67.3) | 51 | 57.1 (22.9–100.7) | ||
| Yes | 39 | 23.2 (15.5–66.6) | 58 | 73.3 (40.9–150.8) | ||
| Concomitant fibroid | 0.003 * | 0.053 | ||||
| No | 45 | 42.1 (18.8–70.3) | 60 | 70.6 (42.0–171.3) | ||
| Yes | 72 | 16.0 (7.2–43.6) | 49 | 55.0 (23.8–104.1) | ||
| Margin | 0.357 | 0.084 | ||||
| Ill-defined | 108 | 23.6 (10.1–66.9) | 96 | 70.3 (35.7–149.4) | ||
| Clear demarcated | 9 | 17.5 (7.7–20.4) | 13 | 36.7 (13.6–58.1) | ||
| Myometrial Cysts | <0.001 * | 0.002 * | ||||
| No | 49 | 12.7 (6.8–22.4) | 21 | 23.8 (11.4–55.9) | ||
| Yes | 68 | 39.6 (16.2–79.0) | 88 | 71.8 (40.4–154.4) | ||
| Diffusion restriction | 0.684 | 0.878 | ||||
| Yes | 16 | 27.2 (15.7–63.7) | 28 | 66.8 (34.3–149.4) | ||
| No | 101 | 22.4 (9.8–66.6) | 78 | 66.8 (28.7–147.3) | ||
| Enhancement | 0.354 | 0.934 | ||||
| Less enhancement | 20 | 38.3 (19.3–65.2) | 26 | 71.8 (27.1–120.8) | ||
| Equal enhancement | 97 | 20.4 (9.8–66.6) | 77 | 66.1 (36.7–147.9) | ||
| More enhancement | 0 | – | 5 | 85.4 (21.8–150.8) | ||
| Non–Op (n = 110) | Op (n = 112) | |||||
|---|---|---|---|---|---|---|
| n | Median (IQR) | p-Value | n | Median (IQR) | p-Value | |
| Size | 0.071 | 0.014 * | ||||
| Size < 5, median | 39 | 12.8 (11.9–13.6) | 46 | 13.0 (11.6–13.6) | ||
| Size ≥ 5, median | 32 | 12.3 (10.1–13.3) | 65 | 11.5 (9.7–13.1) | ||
| Classification | 0.017 * | 0.029 * | ||||
| Internal adenomyosis | 31 | 12.9 (12.5–13.9) | 5 | 11.4 (8.7–12.1) | ||
| Diffuse adenomyosis | 43 | 12.0 (10.4–13.4) | 60 | 11.6 (9.8–13.1) | ||
| External adenomyosis | 36 | 12.7 (11.8–13.3) | 47 | 12.8 (11.3–13.6) | ||
| Localization: anterior | >0.999 | 0.032 * | ||||
| No | 91 | 12.6 (11.5–13.3) | 96 | 12.5 (11.1–13.4) | ||
| Yes | 19 | 12.9 (10.3–13.7) | 16 | 10.4 (9.1–13.0) | ||
| Localization: postesrior | 0.558 | 0.911 | ||||
| No | 71 | 12.7 (11.4–13.6) | 30 | 12.2 (11.1–13.4) | ||
| Yes | 39 | 12.6 (11.5–13.3) | 82 | 12.4 (10.0–13.4) | ||
| Localization: lateral | 0.569 | 0.487 | ||||
| No | 108 | 12.6 (11.4–13.4) | 105 | 12.2 (10.2–13.4) | ||
| Yes | 2 | 12.0 (11.3–12.7) | 7 | 13.1 (11.1–13.5) | ||
| Localization: fundal | 0.539 | 0.16 | ||||
| No | 93 | 12.6 (11.4–13.3) | 93 | 12.6 (10.5–13.5) | ||
| Yes | 17 | 12.6 (11.5–13.9) | 19 | 11.7 (9.5–13.0) | ||
| Localization: entire | 0.98 | |||||
| No | 75 | 12.6 (11.4–13.3) | 112 | 12.2 (10.4–13.4) | N/A | |
| Yes | 35 | 12.6 (11.4–13.4) | 0 | – | ||
| Concomitant ovary endometrioma | 0.812 | 0.484 | ||||
| No | 80 | 12.6 (11.4–13.6) | 65 | 12.3 (10.1–13.3) | ||
| Yes | 30 | 12.8 (11.7–13.1) | 47 | 11.9 (10.7–13.7) | ||
| Concomitant DIE | 0.224 | 0.622 | ||||
| No | 77 | 12.7 (11.4–13.6) | 54 | 12.6 (11.1–13.4) | ||
| Yes | 33 | 12.6 (11.5–12.9) | 58 | 11.8 (10.0–13.4) | ||
| Concomitant fibroid | 0.136 | 0.058 | ||||
| No | 41 | 12.4 (11.3–12.9) | 61 | 12.6 (10.5–13.8) | ||
| Yes | 69 | 12.7 (11.7–13.4) | 51 | 11.6 (9.8–13.1) | ||
| Margin | 0.781 | 0.073 | ||||
| Ill-defined | 101 | 12.6 (11.4–13.3) | 99 | 11.8 (10.0–13.4) | ||
| Clear demarcated | 9 | 12.6 (11.1–13.3) | 13 | 12.8 (12.5–13.4) | ||
| Myometrial cysts | 0.004 * | 0.284 | ||||
| No | 43 | 12.9 (12.0–13.8) | 22 | 12.9 (11.3–13.5) | ||
| Yes | 67 | 12.2 (11.1–13.1) | 90 | 12.0 (10.1–13.3) | ||
| Diffusion restriction | 0.019 * | 0.259 | ||||
| Yes | 16 | 11.7 (10.0–12.7) | 28 | 11.6 (10.2–13.2) | ||
| No | 94 | 12.7 (11.7–13.4) | 81 | 12.5 (10.9–13.4) | ||
| Enhancement | 0.146 | 0.917 | ||||
| Less enhancement | 18 | 12.8 (12.0–13.6) | 27 | 12.3 (11.1–13.2) | ||
| Equal enhancement | 92 | 12.6 (11.3–13.3) | 79 | 11.9 (10.0–13.4) | ||
| More enhancement | 0 | - | 5 | 11.7 (11.4–12.5) | ||
| Non-Op (n =130) | Op (n =112) | |||||
|---|---|---|---|---|---|---|
| 0 Nulliparous (n = 62) | 1 or 2 or 3 Multiparous (n = 68) | p-Value | 0 Nulliparous (n = 104) | 1 or 2 or 3 Multiparous (n = 8) | p-Value | |
| Size | 0.139 | 0.064 | ||||
| Size < 5, median | 22 (50.0) | 27 (65.9) | 40 (38.8) | 6 (75.0) | ||
| Size ≥ 5, median | 22 (50.0) | 14 (34.1) | 63 (61.2) | 2 (25.0) | ||
| Classification | 0.027 * | 0.196 | ||||
| Internal adenomyosis | 12 (19.4) | 26 (38.2) | 5 (4.8) | 0 (0.0) | ||
| Diffuse adenomyosis | 23 (37.1) | 25 (36.8) | 58 (55.8) | 2 (25.0) | ||
| External adenomyosis | 27 (43.5) | 17 (25.0) | 41 (39.4) | 6 (75.0) | ||
| Localization: anterior | 0.305 | 0.599 | ||||
| No | 55 (88.7) | 56 (82.4) | 88 (84.6) | 8 (100.0) | ||
| Yes | 7 (11.3) | 12 (17.6) | 16 (15.4) | 0 (0.0) | ||
| Localization: posterior | 0.041 * | 0.031 * | ||||
| No | 32 (51.6) | 47 (69.1) | 25 (24.0) | 5 (62.5) | ||
| Yes | 30 (48.4) | 21 (30.9) | 79 (76.0) | 3 (37.5) | ||
| Localization: lateral | 0.605 | 0.414 | ||||
| No | 60 (96.8) | 67 (98.5) | 98 (94.2) | 7 (87.5) | ||
| Yes | 2 (3.2) | 1 (1.5) | 6 (5.8) | 1 (12.5) | ||
| Localization: fundal | 0.793 | 0.027 * | ||||
| No | 53 (85.5) | 57 (83.8) | 89 (85.6) | 4 (50.0) | ||
| Yes | 9 (14.5) | 11 (16.2) | 15 (14.4) | 4 (50.0) | ||
| Localization: entire | 0.319 | N/A | ||||
| No | 46 (74.2) | 45 (66.2) | 104 (100.0) | 8 (100.0) | ||
| Yes | 16 (25.8) | 23 (33.8) | - | - | ||
| Concomitant ovary endometrioma | 0.002 * | >0.999 | ||||
| No | 36 (58.1) | 56 (82.4) | 60 (57.7) | 5 (62.5) | ||
| Yes | 26 (41.9) | 12 (17.6) | 44 (42.3) | 3 (37.5) | ||
| Concomitant DIE | 0.040 * | >0.999 | ||||
| No | 37 (59.7) | 52 (76.5) | 50 (48.1) | 4 (50.0) | ||
| Yes | 25 (40.3) | 16 (23.5) | 54 (51.9) | 4 (50.0) | ||
| Concomitant fibroid | 0.336 | 0.726 | ||||
| No | 27 (43.5) | 24 (35.3) | 56 (53.8) | 5 (62.5) | ||
| Yes | 35 (56.5) | 44 (64.7) | 48 (46.2) | 3 (37.5) | ||
| Margin | 0.747 | 0.233 | ||||
| Ill-defined | 58 (93.5) | 62 (91.2) | 93 (89.4) | 6 (75.0) | ||
| Clear demarcated | 4 (6.5) | 6 (8.8) | 11 (10.6) | 2 (25.0) | ||
| Myometrial cysts | 0.040 * | 0.654 | ||||
| No | 20 (32.3) | 34 (50.0) | 20 (19.2) | 2 (25.0) | ||
| Yes | 42 (67.7) | 34 (50.0) | 84 (80.8) | 6 (75.0) | ||
| Diffusion restriction | 0.219 | 0.110 | ||||
| Yes | 11 (17.7) | 7 (10.3) | 28 (27.7) | 0 (0.0) | ||
| No | 51 (82.3) | 61 (89.7) | 73 (72.3) | 8 (100.0) | ||
| Enhancement | 0.812 | 0.276 | ||||
| Less enhancement | 11 (17.7) | 11 (16.2) | 23 (22.3) | 4 (50.0) | ||
| Equal enhancement | 51 (82.3) | 57 (83.8) | 75 (72.8) | 4 (50.0) | ||
| More enhancement | - | - | 5 (4.9) | 0 (0.0) | ||
Disclaimer/Publisher’s Note: The statements, opinions and data contained in all publications are solely those of the individual author(s) and contributor(s) and not of MDPI and/or the editor(s). MDPI and/or the editor(s) disclaim responsibility for any injury to people or property resulting from any ideas, methods, instructions or products referred to in the content. |
© 2023 by the authors. Licensee MDPI, Basel, Switzerland. This article is an open access article distributed under the terms and conditions of the Creative Commons Attribution (CC BY) license (https://creativecommons.org/licenses/by/4.0/).
Share and Cite
Chung, Y.-J.; Rha, S.E.; Kim, M.-R.; Shin, Y.R. Correlation between MRI Features of Adenomyosis and Clinical Presentation. Diagnostics 2023, 13, 2749. https://doi.org/10.3390/diagnostics13172749
Chung Y-J, Rha SE, Kim M-R, Shin YR. Correlation between MRI Features of Adenomyosis and Clinical Presentation. Diagnostics. 2023; 13(17):2749. https://doi.org/10.3390/diagnostics13172749
Chicago/Turabian StyleChung, Youn-Jee, Sung Eun Rha, Mee-Ran Kim, and Yu Ri Shin. 2023. "Correlation between MRI Features of Adenomyosis and Clinical Presentation" Diagnostics 13, no. 17: 2749. https://doi.org/10.3390/diagnostics13172749
APA StyleChung, Y.-J., Rha, S. E., Kim, M.-R., & Shin, Y. R. (2023). Correlation between MRI Features of Adenomyosis and Clinical Presentation. Diagnostics, 13(17), 2749. https://doi.org/10.3390/diagnostics13172749

