Diagnosis of Low-Grade Urothelial Neoplasm in the Era of the Second Edition of the Paris System for Reporting Urinary Cytology
Abstract
1. Introduction
2. Materials and Methods
2.1. Patients’ Selection
- Dataset 1: All histologically diagnosed LGUC cases for which a prior urinary cytology examination was performed.
- Dataset 2: All urinary cytology cases for which subsequent histopathological diagnoses were available.
2.2. Specimen Processing
2.3. Data Analysis
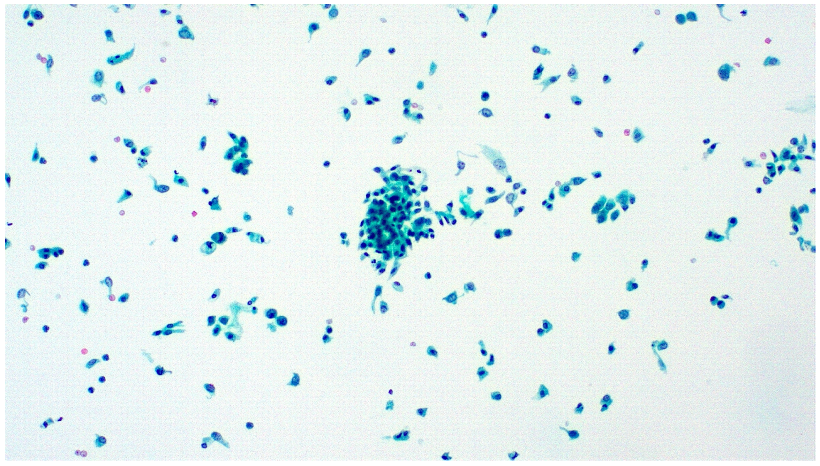
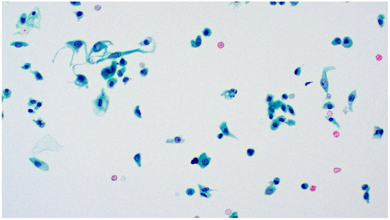
3. Results
4. Discussion
5. Conclusions
Author Contributions
Funding
Institutional Review Board Statement
Informed Consent Statement
Data Availability Statement
Conflicts of Interest
References
- Bray, F.; Ferlay, J.; Soerjomataram, I.; Siegel, R.L.; Torre, L.A.; Jemal, A. Global cancer statistics 2018: GLOBOCAN estimates of incidence and mortality worldwide for 36 cancers in 185 countries. CA Cancer J Clin. 2018, 68, 394–424. [Google Scholar] [CrossRef] [PubMed]
- Sylvester, R.J.; Van Der Meijden, A.P.M.; Oosterlinck, W.; Witjes, J.A.; Bouffioux, C.; Denis, L.; Newling, D.W.; Kurth, K. Predicting recurrence and progression in individual patients with stage Ta T1 bladder cancer using EORTC risk tables: A combined analysis of 2596 patients from seven EORTC trials. Eur. Urol. 2006, 49, 466–477. [Google Scholar] [CrossRef] [PubMed]
- Barkan, G.A.; Wojcik, E.M.; Nayar, R.; Savic-Prince, S.; Quek, M.L.; Kurtycz, D.F.; Rosenthal, D.L. The Paris System for Reporting Urinary Cytology: The Quest to Develop a Standardized Terminology. Adv. Anat. Pathol. 2016, 23, 193–201. [Google Scholar] [CrossRef]
- Rosenthal, D.L.; Wocjik, E.M.; Kurtycz, D.F. The Paris System for Reporting Urinary Cytology, 1st ed.; Springer: New York, NY, USA, 2016. [Google Scholar]
- Papanicolaou, G.N.; Marshall, V.F. Urine sediment smears as a diagnostic procedure in cancers of the urinary tract. Science 1945, 101, 519–520. [Google Scholar] [CrossRef]
- VandenBussche, C.J. A review of the Paris system for reporting urinary cytology. Cytopathology 2016, 27, 153–156. [Google Scholar] [CrossRef] [PubMed]
- Wojcik, E.M. What should not be reported as atypia in urine cytology. J. Am. Soc. Cytopathol. 2015, 4, 30–36. [Google Scholar] [CrossRef]
- Roy, M.; Kaushal, S.; Jain, D.; Seth, A.; Iyer, V.K.; Mathur, S.R. An institutional experience with The Paris System: A paradigm shift from ambiguous terminology to more objective criteria for reporting urine cytology. Cytopathology 2017, 28, 509–515. [Google Scholar] [CrossRef]
- Glass, R.; Rosen, L.; Chau, K.; Sheikh-Fayyaz, S.; Farmer, P.; Coutsouvelis, C.; Slim, F.; Brenkert, R.; Das, K.; Raab, S.; et al. Analysis of the Cytomorphological Features in Atypical Urine Specimens following Application of the Paris System for Reporting Urinary Cytology. Acta Cytol. 2018, 62, 54–61. [Google Scholar] [CrossRef]
- Stanzione, N.; Ahmed, T.; Fung, P.C.; Cai, D.; Lu, D.Y.; Sumida, L.C.; Moatamed, N.A. The continual impact of the Paris System on urine cytology, a 3-year experience. Cytopathology 2020, 31, 35–40. [Google Scholar] [CrossRef]
- McIntire, P.J.; Snow, J.T.; Robinson, B.D.; Rao, R.A.; Goyal, A.; Heymann, J.J.; Siddiqui, M.T. Improved correlation of urinary cytology specimens using The Paris System in biopsy-proven upper tract urothelial carcinomas. Cancer Cytopathol. 2018, 126, 498–504. [Google Scholar] [CrossRef]
- Zhang, M.L.; VandenBussche, C.J.; Hang, J.F.; Miki, Y.; McIntire, P.J.; Peyton, S.; Vohra, P. A review of urinary cytology in the setting of upper tract urothelial carcinoma. J. Am. Soc. Cytopathol. 2021, 10, 29–35. [Google Scholar] [CrossRef] [PubMed]
- Xing, J.; Monaco, S.E.; Pantanowitz, L. Utility of The Paris System for Reporting Urinary Cytology in upper urinary tract specimens. J. Am. Soc. Cytopathol. 2018, 7, 311–317. [Google Scholar] [CrossRef] [PubMed]
- Moulavasilis, N.; Stravodimos, K.; Meletis, E.; Levis, P.; Leftheriotis, V.; Lazaris, A.; Constantinides, C.; Mikou, P. The Paris system classification for urinary cytology in patients under bacillus Calmette-Guerin treatment. Diagn. Cytopathol. 2022, 50, 289–294. [Google Scholar] [CrossRef] [PubMed]
- Straccia, P.; Bizzarro, T.; Fadda, G.; Pierconti, F. Comparison between cytospin and liquid-based cytology in urine specimens classified according to the Paris System for Reporting Urinary Cytology. Cancer Cytopathol. 2016, 124, 519–523. [Google Scholar] [CrossRef]
- Wang, Y.; Auger, M.; Kanber, Y.; Caglar, D.; Brimo, F. Implementing The Paris System for Reporting Urinary Cytology results in a decrease in the rate of the “atypical” category and an increase in its prediction of subsequent high-grade urothelial carcinoma. Cancer Cytopathol. 2018, 126, 207–214. [Google Scholar] [CrossRef] [PubMed]
- Rai, S.; Lali, B.S.; Venkataramana, C.G.; Philipose, C.S.; Rao, R.; Prabhu, G.L. A Quest for Accuracy: Evaluation of the Paris System in Diagnosis of Urothelial Carcinomas. J. Cytol. 2019, 36, 169–173. [Google Scholar] [CrossRef]
- Kurtycz, D.F.I.; Barkan, G.A.; Pavelec, D.M.; Rosenthal, D.L.; Wojcik, E.M.; VandenBussche, C.J.; Mangiulli, K.; Olson, M.T. Paris Interobserver Reproducibility Study (PIRST). J. Am. Soc. Cytopathol. 2018, 7, 174–184. [Google Scholar] [CrossRef]
- Nikas, I.P.; Seide, S.; Proctor, T.; Kleinaki, Z.; Kleinaki, M.; Reynolds, J.P. The Paris System for Reporting Urinary Cytology: A Meta-Analysis. J. Pers. Med. 2022, 12, 170. [Google Scholar] [CrossRef]
- Pastorello, R.G.; Barkan, G.A.; Saieg, M. Experience on the use of The Paris System for Reporting Urinary Cytopathology: Review of the published literature. J. Am. Soc. Cytopathol. 2021, 10, 79–87. [Google Scholar] [CrossRef]
- Wocjik, E.M.; Kurtycz, D.F.; Rosenthal, D.L. The Paris System for Reporting Urinary Cytology, 2nd ed.; Springer: New York, NY, USA, 2022. [Google Scholar]
- McCroskey, Z.; Pambuccian, S.E.; Kleitherms, S.; Antic, T.; Cohen, M.B.; Barkan, G.A.; Wojcik, E.M. Accuracy and interobserver variability of the cytologic diagnosis of low-grade urothelial carcinoma in instrumented urinary tract cytology specimens. Am. J. Clin. Pathol. 2015, 144, 902–908. [Google Scholar] [CrossRef]
- McCroskey, Z.; Kliethermes, S.; Bahar, B.; Barkan, G.A.; Pambuccian, S.E.; Wojcik, E.M. Is a consistent cytologic diagnosis of low-grade urothelial carcinoma in instrumented urinary tract cytologic specimens possible? A comparison between cytomorphologic features of low-grade urothelial carcinoma and non-neoplastic changes shows extensive overlap, making a reliable diagnosis impossible. J. Am. Soc. Cytopathol. 2015, 4, 90–97. [Google Scholar] [CrossRef]
- Moch, H.; Humphrey, P.A.; Ulbright, T.M.; Reuter, V.E. WHO Classification of Tumours of the Urinary System and Male Genital Organs, 4th ed.; IARC Pubs: Sydney, Australia, 2016. [Google Scholar]
- WHO Classification of Tumours Editorial Board. WHO Classification of Tumours of the Urinary System and Male Genital Organs, 5th ed.; IARC Pubs: Sydney, Australia, 2022. [Google Scholar]
- Bansal, S.; Pathuthara, S.; Joseph, S.; Dighe, S.; Menon, S.; Desai, S.B. Is Diagnosis of Low-Grade Urothelial Carcinoma Possible in Urine Cytology? J. Cytol. 2021, 38, 64–68. [Google Scholar] [CrossRef]
- Raab, S.S.; Lenel, J.C.; Cohen, M.B. Low grade transitional cell carcinoma of the bladder. Cytologic diagnosis by key features as identified by logistic regression analysis. Cancer 1994, 74, 1621–1626. [Google Scholar] [CrossRef]
- Renshaw, A.A. Compassionate conservatism in urinary cytology. Diagn. Cytopathol. 2000, 22, 137–138. [Google Scholar] [CrossRef]
- Renshaw, A.A.; Nappi, D.; Weinberg, D.S. Cytology of grade 1 papillary transitional cell carcinoma. A comparison of cytologic, architectural and morphometric criteria in cystoscopically obtained urine. Acta Cytol. 1996, 40, 676–682. [Google Scholar] [CrossRef] [PubMed]
- Allison, D.B.; Zhang, M.L.; Vohra, P.; VandenBussche, C.J. The Diagnostic Dilemma of Urothelial Tissue Fragments in Urinary Tract Cytology Specimens. Diagnostics 2022, 12, 931. [Google Scholar] [CrossRef] [PubMed]
- Murata, S.; Kishikawa, T.; Isojima, Y.; Tsuchihashi, Y.; Katoh, R. Unusual cytologic findings in low grade papillary transitional cell carcinoma. Acta Cytol. 2004, 48, 492–496. [Google Scholar] [CrossRef]
- Zhang, M.L.; Rosenthal, D.L.; VandenBussche, C.J. The cytomorphological features of low-grade urothelial neoplasms vary by specimen type. Cancer Cytopathol. 2016, 124, 552–564. [Google Scholar] [CrossRef]
- Moulavasilis, N.; Lazaris, A.; Katafigiotis, I.; Stravodimos, K.; Constantinides, C.; Mikou, P. Risk of malignancy assessment for the Paris System for reporting urinary cytology. Diagn. Cytopathol. 2020, 48, 1194–1198. [Google Scholar] [CrossRef] [PubMed]
- De Paula, R.; Oliveira, A.; Nunes, W.; Bovolim, G.; Domingos, T.; De Brot, L.; Bezerra, S.; Cunha, I.; Morini, M.; Saieg, M. Two-year study on the application of the Paris system for urinary cytology in a cancer centre. Cytopathology 2020, 31, 41–46. [Google Scholar] [CrossRef]






| 1st Edition | 2nd Edition | ||
|---|---|---|---|
| 1 | Nondiagnostic/Unsatisfactory (ND) | 1 | Nondiagnostic (ND) |
| 2 | Negative for High-Grade Urothelial Carcinoma (NHGUC) | 2 | Negative for High-Grade Urothelial Carcinoma (NHGUC) |
| 3 | Atypical Urothelial Cells (AUC) | 3 | Atypical Urothelial Cells (AUC) |
| 4 | Suspicious for High-Grade Urothelial Carcinoma (SHGUC) | 4 | Suspicious for High-Grade Urothelial Carcinoma (SHGUC) |
| 5 | High-Grade Urothelial Carcinoma (HGUC) | 5 | High-Grade Urothelial Carcinoma (HGUC) |
| 6 | Low-Grade Urothelial Neoplasm (LGUN) | - | |
| Other | Other | ||
| Cytology | ND | NHGUC | AUC | SHGUC | HGUC | LGUN | Total |
|---|---|---|---|---|---|---|---|
| Histology | |||||||
| LGUC (N) | 5 | 52 | 30 | 14 | - | 28 | 129 |
| % | 3.9 | 40.3 | 23.3 | 10.8 | 0 | 21.7 | 100 |
| Accuracy Parameters | % |
|---|---|
| Sensitivity | 21.7 |
| Positive Predictive Value | 100 |
| Histology | Negative | LGUC | HGUC | Other | Total |
|---|---|---|---|---|---|
| Cytology | |||||
| ND | - | 5 | - | - | 5 |
| NHGUC | 45 | 52 | 5 | 1 | 103 |
| AUC | 10 | 30 | 20 | - | 60 |
| SHGUC | - | 14 | 26 | - | 40 |
| HGUC | - | - | 36 | - | 36 |
| LGUN | - | 28 | 4 | - | 32 |
| Total | 55 | 129 | 91 | 1 | 276 |
| Accuracy Parameters | % |
|---|---|
| Accuracy | 77.2 |
| Sensitivity | 90.1 |
| Specificity | 70.8 |
| Positive Predictive Value | 60.3 |
| Negative Predictive Value | 93.6 |
| TPS | ND | NHGUC | AUC | SHGUC | HGUC | LGUN |
|---|---|---|---|---|---|---|
| ROHM | 0 | 4.8% | 33.3% | 65% | 100% | 12.5% |
| Accuracy Parameters | % |
|---|---|
| Accuracy | 61.9 |
| Sensitivity | 21.7 |
| Specificity | 97.2 |
| Positive Predictive Value | 87.5 |
| Negative Predictive Value | 58.6 |
Disclaimer/Publisher’s Note: The statements, opinions and data contained in all publications are solely those of the individual author(s) and contributor(s) and not of MDPI and/or the editor(s). MDPI and/or the editor(s) disclaim responsibility for any injury to people or property resulting from any ideas, methods, instructions or products referred to in the content. |
© 2023 by the authors. Licensee MDPI, Basel, Switzerland. This article is an open access article distributed under the terms and conditions of the Creative Commons Attribution (CC BY) license (https://creativecommons.org/licenses/by/4.0/).
Share and Cite
Christofidis, K.; Moulavasilis, N.; Fragkiadis, E.; Goutas, D.; Lazaris, A.C.; Mitropoulos, D.; Mikou, P. Diagnosis of Low-Grade Urothelial Neoplasm in the Era of the Second Edition of the Paris System for Reporting Urinary Cytology. Diagnostics 2023, 13, 2625. https://doi.org/10.3390/diagnostics13162625
Christofidis K, Moulavasilis N, Fragkiadis E, Goutas D, Lazaris AC, Mitropoulos D, Mikou P. Diagnosis of Low-Grade Urothelial Neoplasm in the Era of the Second Edition of the Paris System for Reporting Urinary Cytology. Diagnostics. 2023; 13(16):2625. https://doi.org/10.3390/diagnostics13162625
Chicago/Turabian StyleChristofidis, Konstantinos, Napoleon Moulavasilis, Evangelos Fragkiadis, Dimitrios Goutas, Andreas C. Lazaris, Dionisios Mitropoulos, and Panagiota Mikou. 2023. "Diagnosis of Low-Grade Urothelial Neoplasm in the Era of the Second Edition of the Paris System for Reporting Urinary Cytology" Diagnostics 13, no. 16: 2625. https://doi.org/10.3390/diagnostics13162625
APA StyleChristofidis, K., Moulavasilis, N., Fragkiadis, E., Goutas, D., Lazaris, A. C., Mitropoulos, D., & Mikou, P. (2023). Diagnosis of Low-Grade Urothelial Neoplasm in the Era of the Second Edition of the Paris System for Reporting Urinary Cytology. Diagnostics, 13(16), 2625. https://doi.org/10.3390/diagnostics13162625

