Intraductal Papillary Mucinous Neoplasm of the Pancreas: A Challenging Diagnosis
Abstract
1. Introduction
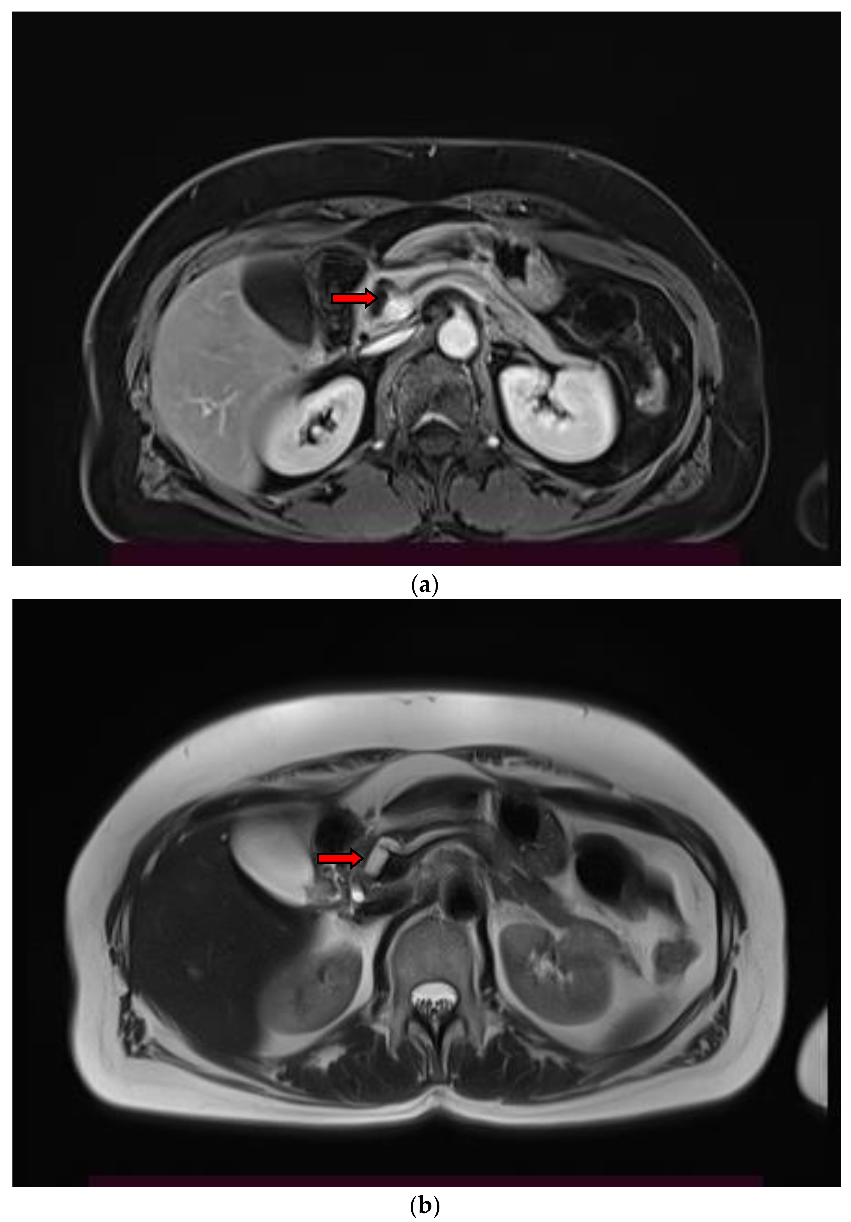
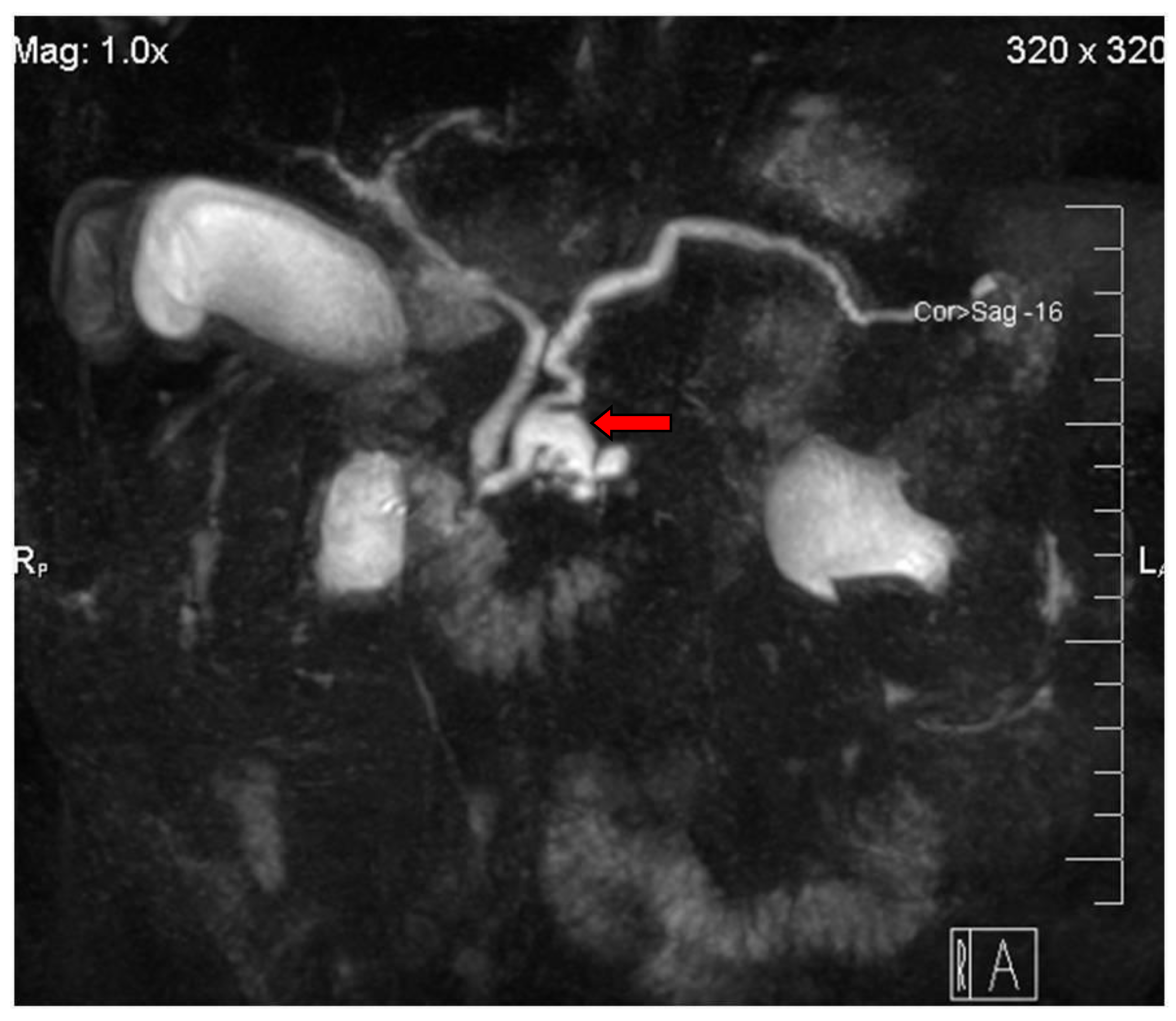
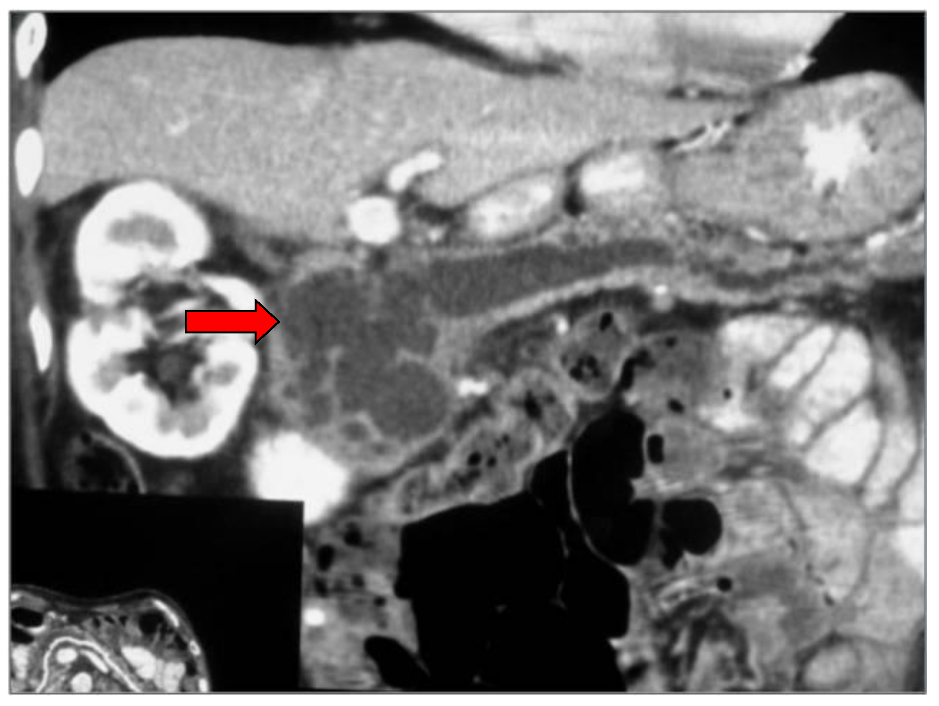
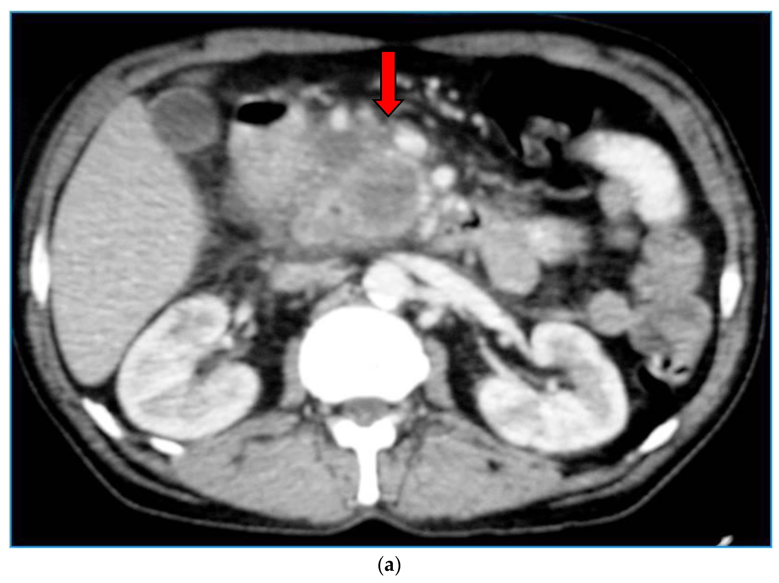
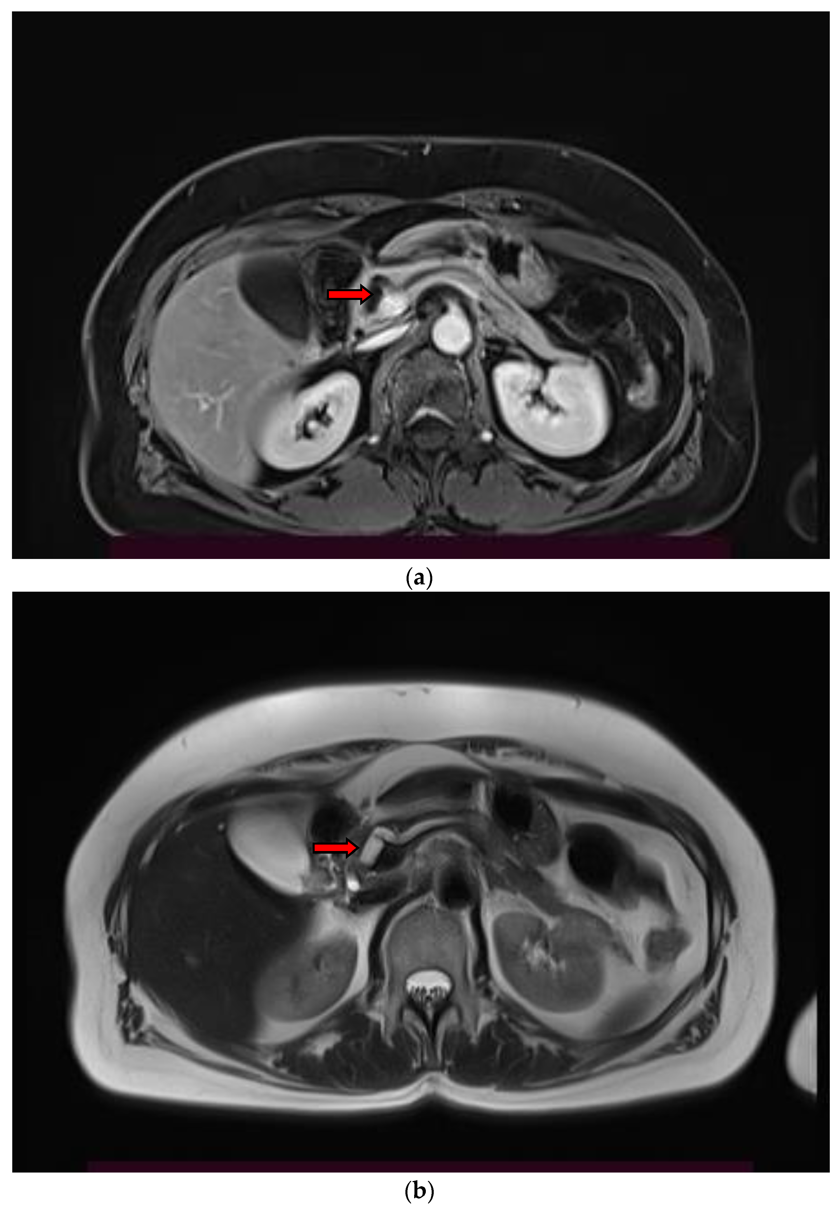
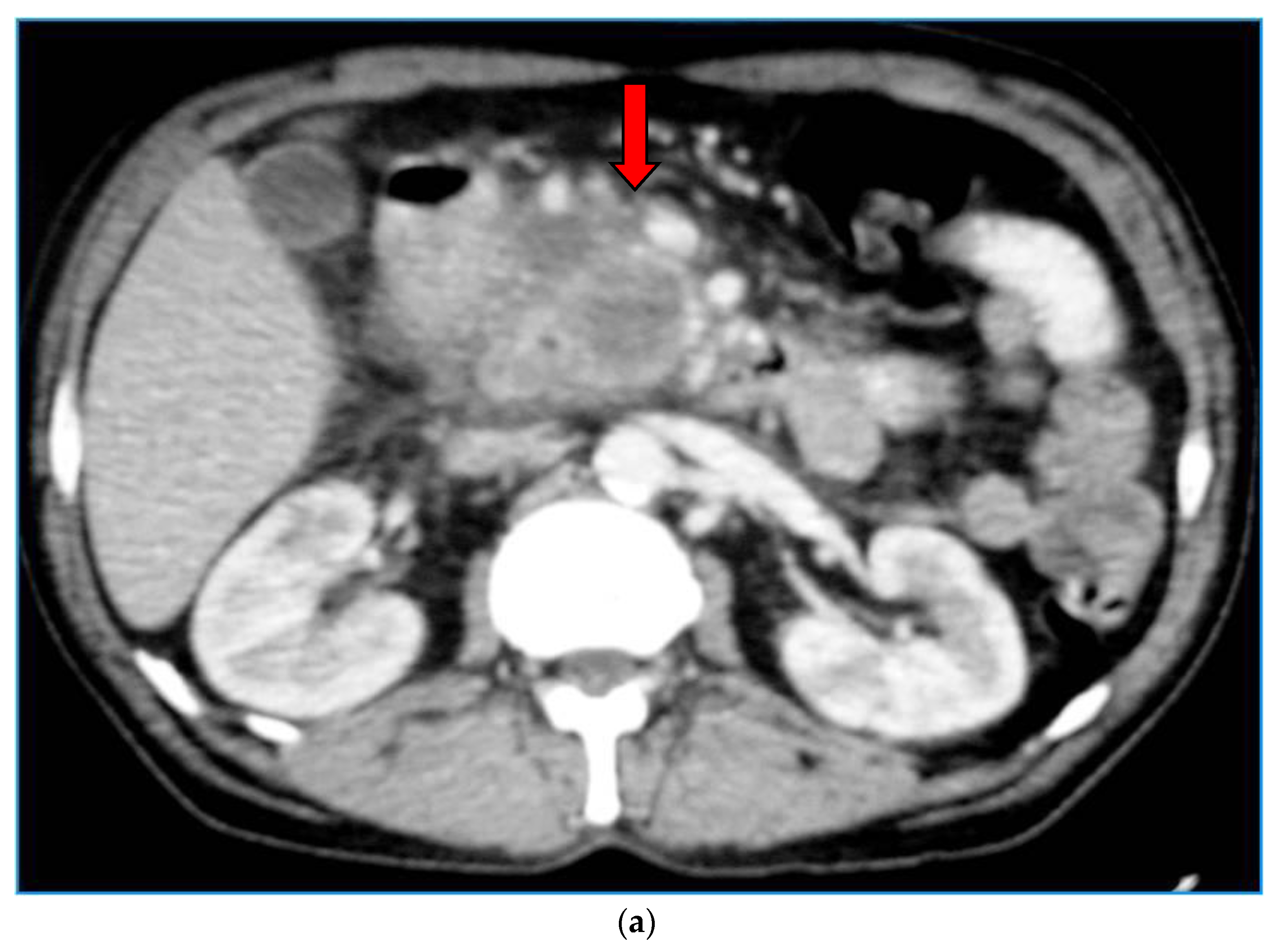
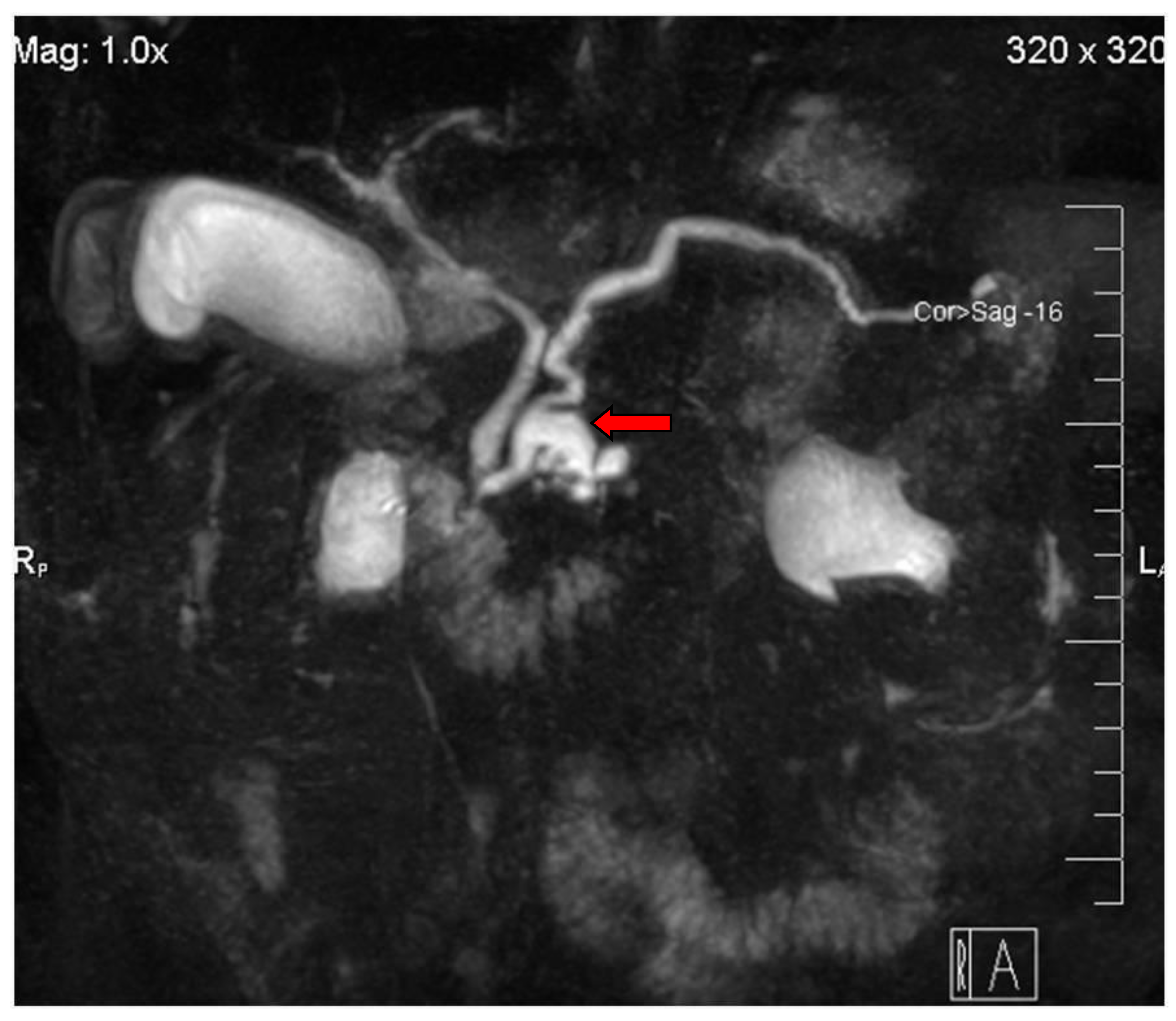
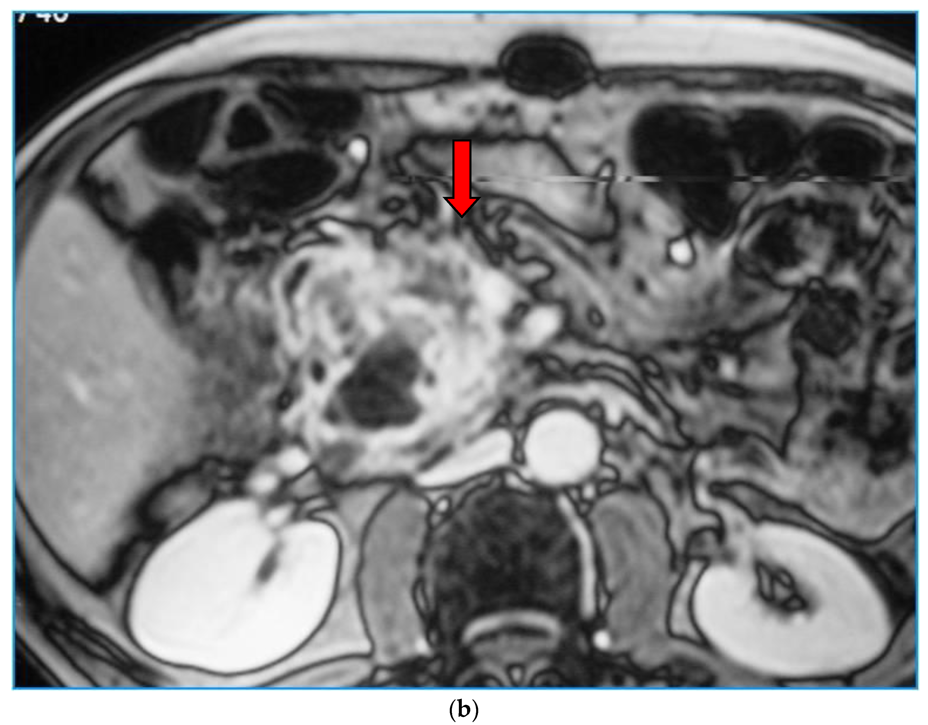
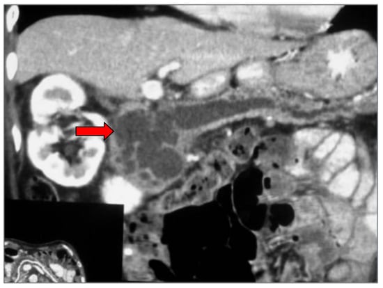
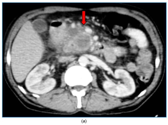
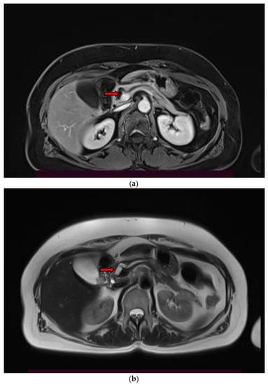
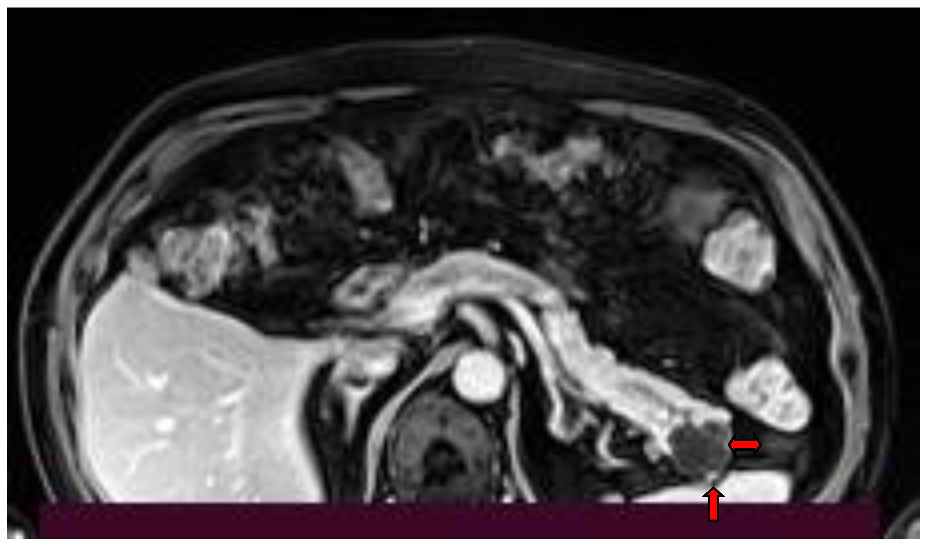
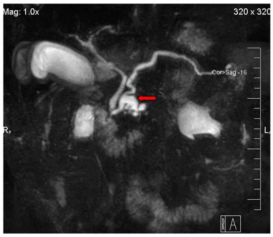
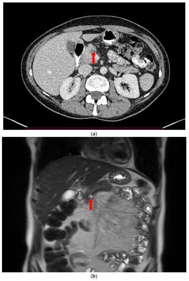
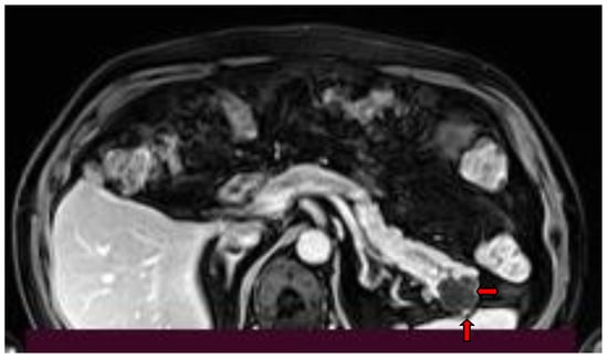
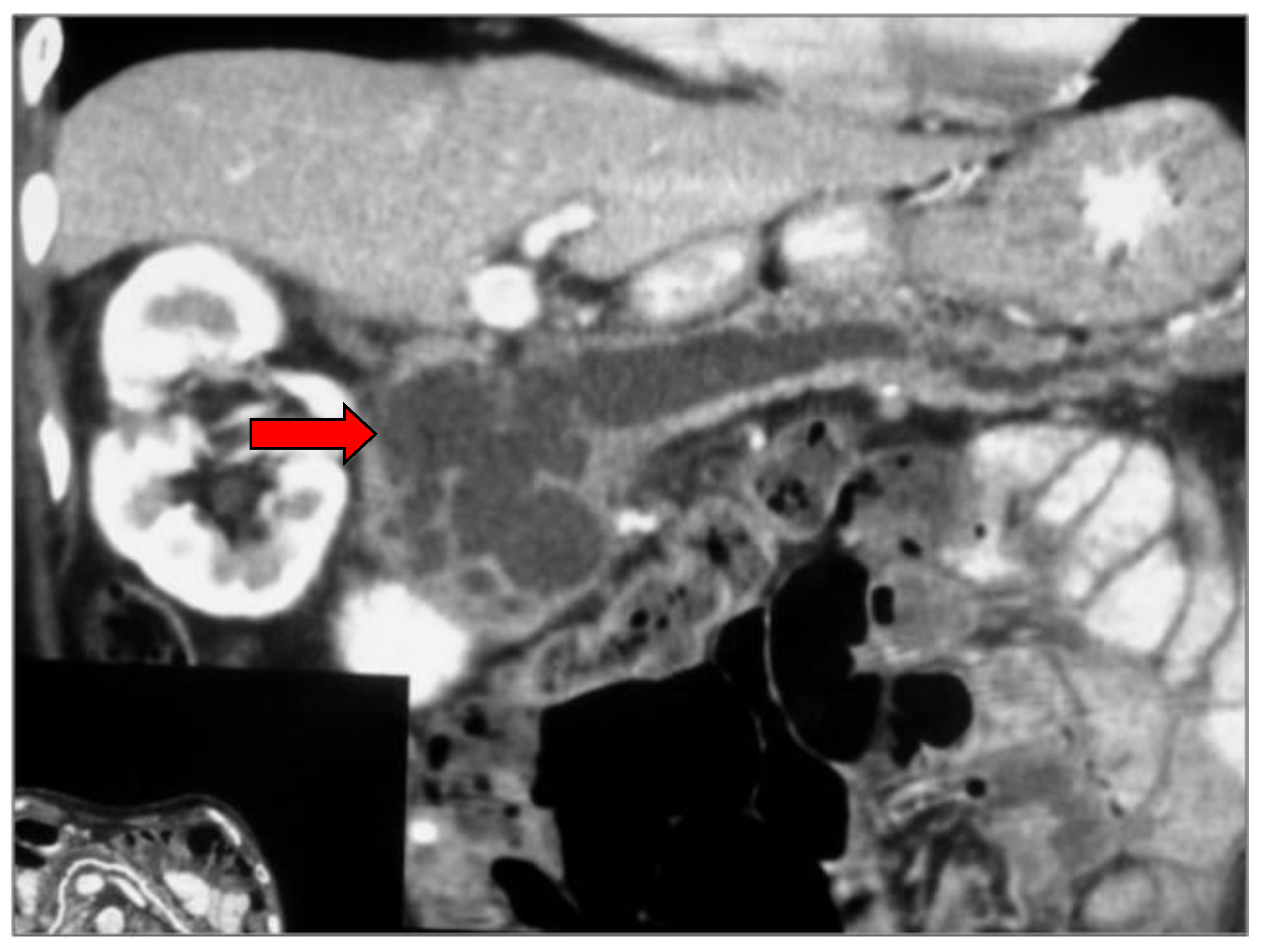
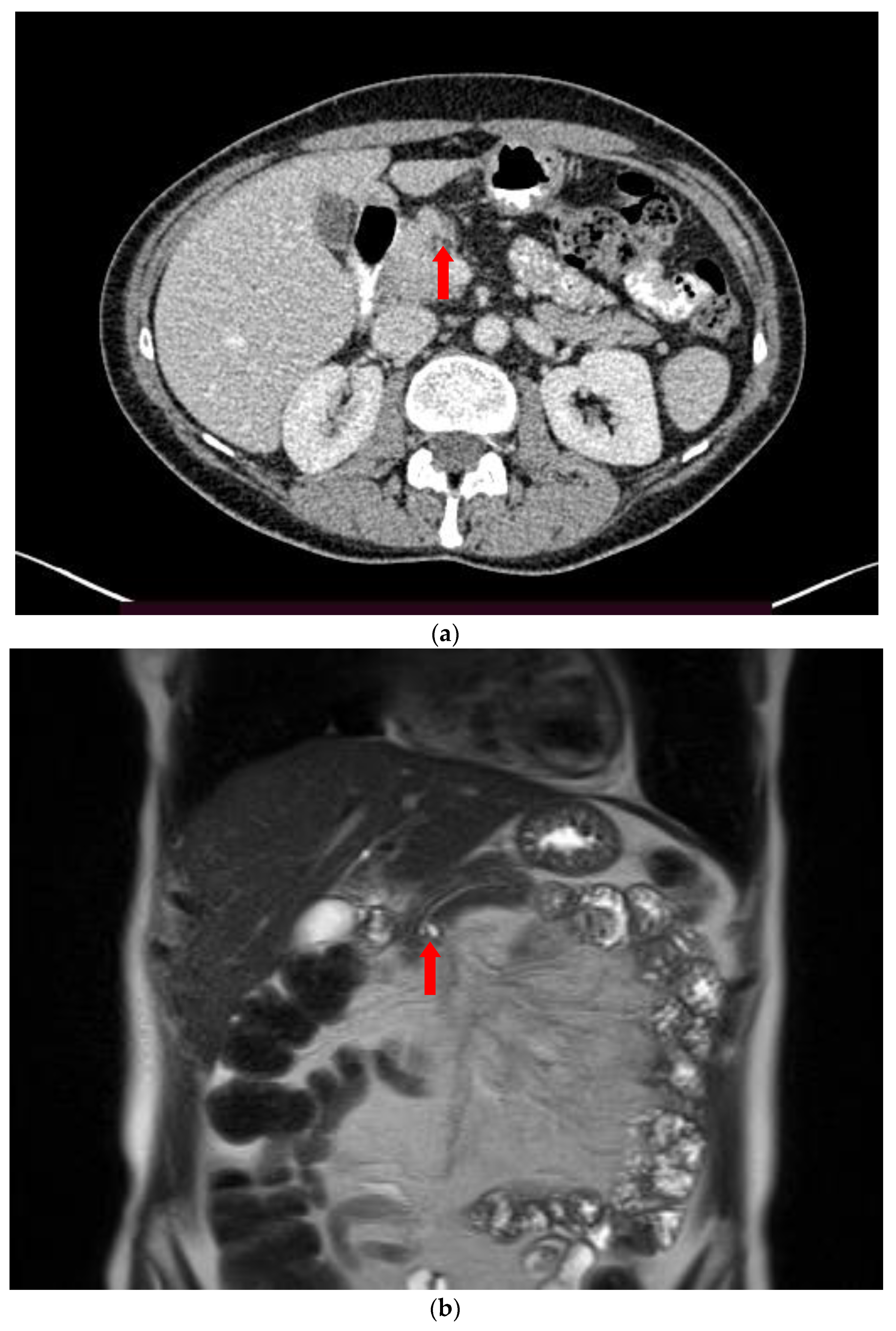
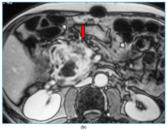
2. Imaging Findings
3. IPMN-Related Complications
4. IPMN Management Guidelines
5. EUS-FNA Added Value for IPMN Stratification
6. Surgical Considerations Regarding IPMN Management
7. Histopathological Correlation
8. Concomitant Pancreatic Neoplasms
9. Advanced Endoscopic Procedures
10. Molecular Biomarkers
11. Radiomics–Future Directions
12. Conclusions
Author Contributions
Funding
Institutional Review Board Statement
Informed Consent Statement
Data Availability Statement
Conflicts of Interest
References
- Chang, Y.R.; Park, J.K.; Jang, J.Y.; Kwon, W.; Yoon, J.H.; Kim, S.W. Incidental pancreatic cystic neoplasms in an asymptomatic healthy population of 21,745 individuals: Large-scale, single-center cohort study. Medicine 2016, 95, e5535. [Google Scholar] [CrossRef]
- Matos, C.; Baleato, S. Ducts. In Clinical MRI of the Abdomen Why, How, When; Gourtsoyiannis, N., Ed.; Springer: Berlin, Germany, 2011. [Google Scholar]
- Fasanella, K.E.; McGrath, K. Cystic lesions and intraductal neoplasms of the pancreas. Best Pract. Res. Clin. Gastroenterol. 2009, 23, 35–48. [Google Scholar] [CrossRef]
- Tanaka, M.; Fernández-Del Castillo, C.; Kamisawa, T.; Jang, J.Y.; Levy, P.; Ohtsuka, T.; Salvia, R.; Shimizu, Y.; Tada, M.; Wolfgang, C.L. Revisions of international consensus Fukuoka guidelines for the management of IPMN of the pancreas. Pancreatology 2017, 17, 738–753. [Google Scholar] [CrossRef] [PubMed]
- Taouli, B.; Vilgrain, V.; Vullierme, M.-P.; Terris, B.; Denys, A.; Sauvanet, A.; Hammel, P.; Menu, Y. Intraductal papillary mucinous tumors of the pancreas: Helical CT with histopathologic correlation. Radiology 2000, 217, 757–764. [Google Scholar] [CrossRef] [PubMed]
- Zhou, H.; Li, X.; Wang, Y.; Wang, Z.; Zhu, J.; Wang, Z.; Chen, X. Threshold of main pancreatic duct for malignancy in intraductal papillary mucinous neoplasm at head-neck and body-tail. BMC Gastroenterol. 2022, 22, 473. [Google Scholar] [CrossRef] [PubMed]
- Yoon, L.S.; Catalano, O.A.; Fritz, S.; Ferrone, C.R.; Hahn, P.F.; Sahani, D.V. Another dimension in magnetic resonance cholangiopancreatography: Comparison of 2- and 3-dimensional magnetic resonance cholangiopancreatography for the evaluation of intraductal papillary mucinous neoplasm of the pancreas. J. Comput. Assist. Tomogr. 2009, 33, 363–368. [Google Scholar] [CrossRef]
- Boraschi, P.; Scalise, P.; Casotti, M.T.; Kauffmann, E.F.; Boggi, U.; Donati, F. Cystic Lesions of the Pancreas: Is Apparent Diffusion Coefficient Value Useful at 3 T Magnetic Resonance Imaging? J. Comput. Assist. Tomogr. 2022, 46, 363–370. [Google Scholar] [CrossRef]
- Sotozono, H.; Kanki, A.; Yasokawa, K.; Yamamoto, A.; Sanai, H.; Moriya, K.; Tamada, T. Value of 3-T MR imaging in intraductal papillary mucinous neoplasm with a concomitant invasive carcinoma. Eur. Radiol. 2022, 32, 8276–8284. [Google Scholar] [CrossRef]
- Yamada, D.; Kobayashi, S.; Takahashi, H.; Yoshioka, T.; Iwagami, Y.; Tomimaru, Y.; Shigekawa, M.; Akita, H.; Noda, T.; Asaoka, T.; et al. Pancreatic CT density is an optimal imaging biomarker for earlier detection of malignancy in the pancreas with intraductal papillary mucinous neoplasm. Pancreatology 2022, 22, 488–496. [Google Scholar] [CrossRef]
- Lee, J.E.; Choi, S.-Y.; Min, J.H.; Yi, B.H.; Lee, M.H.; Kim, S.S.; Hwang, J.A.; Kim, J.H. Determining Malignant Potential of Intraductal Papillary Mucinous Neoplasm of the Pancreas: CT versus MRI by Using Revised 2017 International Consensus Guidelines. Radiology 2019, 293, 134–143. [Google Scholar] [CrossRef]
- Min, J.H.; Kim, Y.K.; Kim, S.K.; Kim, H.; Ahn, S. Intraductal papillary mucinous neoplasm of the pancreas: Diagnostic performance of the 2017 international consensus guidelines using CT and MRI. Eur. Radiol. 2021, 31, 4774–4784. [Google Scholar] [CrossRef] [PubMed]
- Yamashita, Y.I.; Okabe, H.; Hayashi, H.; Imai, K.; Nakagawa, S.; Nakao, Y.; Yusa, T.; Itoyama, R.; Yama, T.; Umesaki, N.; et al. Usefulness of 18-FDG PET/CT in Detecting Malignancy in Intraductal Papillary Mucinous Neoplasms of the Pancreas. Anticancer Res. 2019, 39, 2493–2499. [Google Scholar] [CrossRef] [PubMed]
- Srinivasan, N.; Koh, Y.X.; Goh, B.K. Systematic review of the utility of 18-FDG PET in the preoperative evaluation of IPMNs and cystic lesions of the pancreas. Surgery 2019, 165, 929–937. [Google Scholar] [CrossRef] [PubMed]
- Liu, H.; Cui, Y.; Shao, J.; Shao, Z.; Su, F.; Li, Y. The diagnostic role of CT, MRI/MRCP, PET/CT, EUS and DWI in the differentiation of benign and malignant IPMN: A meta-analysis. Clin. Imaging 2021, 72, 183–193. [Google Scholar] [CrossRef]
- Koizumi, M.; Sata, N.; Yoshizawa, K.; Tsukahara, M.; Kurihara, K.; Yasuda, Y.; Nagai, H. PostERCP pancreatogastric fistula associated with an intraductal papillary-mucinous neoplasm of the pancreas—A case report and literature review. World J. Surg. Oncol. 2005, 3, 70. [Google Scholar] [CrossRef]
- Okada, K.-I.; Furuuchi, T.; Tamada, T.; Sasaki, T.; Suwa, T.; Shatari, T.; Takenaka, Y.; Hori, M.; Sakuma, M. Pancreatobiliary fistula associated with an intraductal papillary-mucinous pancreatic neoplasm manifesting as obstructive jaundice: Report of a case. Surg. Today 2008, 38, 371–376. [Google Scholar] [CrossRef]
- Jung, I.S.; Shim, C.S.; Cheon, Y.K.; Bhandari, S.; Cha, S.W.; Moon, J.H.; Cho, Y.D.; Kim, J.H.; Kim, Y.S.; Lee, M.S.; et al. Invasive intraductal papillary mucinous tumor of the pancreas with simultaneous invasion of the stomach and duodenum. Endoscopy 2004, 36, 186–189. [Google Scholar] [CrossRef]
- Jausset, M.F.; Delvaux, D.; Dumitriu, A.; Bressenot, O.; Bruot, J.; Mathias, D.; Regent, V.; Laurent, V. Benign Intraductal Papillary-MucinousNeoplasm of the Pancreas Associated with Spontaneous Pancreaticogastric and Pancreaticoduodenal Fistulas. Digestion 2010, 82, 42–46. [Google Scholar] [CrossRef]
- Rosenberger, L.H.; Stein, L.; Witkiewicz, A.K.; Kennedy, E.P.; Yeo, C.J. Intraductal papillary mucinous neoplasm (IPMN) with extra-pancreatic mucin: A case series and review of the literature. J. Gastrointest. Surg. 2012, 16, 762–770. [Google Scholar] [CrossRef]
- Yamada, Y.; Mori, H.; Hijiya, N.; Matsumoto, S.; Takaji, R.; Ohta, M.; Kitano, S.; Moriyama, M. Intraductal papillary mucinous neoplasms of the pancreas complicated with intraductal hemorrhage, perforation, and fistula formation: CT and MR imaging findings with pathologic correlation. Abdom. Imaging 2012, 37, 100–109. [Google Scholar] [CrossRef]
- Venkatesh, P.G.; Navaneethan, U.; Vege, S.S. Intraductal papillary mucinous neoplasm and acute pancreatitis. J. Clin. Gastroenterol. 2011, 45, 755–758. [Google Scholar] [CrossRef] [PubMed]
- Poultsides, G.A.; Reddy, S.; Cameron, J.L.; Hruban, R.H.; Pawlik, T.M.; Ahuja, N.; Jain, A.; Edil, B.H.; Iacobuzio-Donahue, C.A.; Schulick, R.D.; et al. Histopathologic basis for the favorable survival afterresection of intraductal papillary mucinous neoplasm-associated invasive adenocarcinoma of the pancreas. Ann. Surg. 2010, 251, 470–476. [Google Scholar] [CrossRef] [PubMed]
- Muraki, T.; Jang, K.T.; Reid, M.D.; Pehlivanoglu, B.; Memis, B.; Basturk, O.; Mittal, P.; Kooby, D.; Maithel, S.K.; Sarmiento, J.M.; et al. Pancreatic ductal adenocarcinomas associated with intraductalpapillary mucinous neoplasms (IPMNs) versus pseudo-IPMNs:relative frequency, clinicopathologic characteristics anddifferential diagnosis. Mod. Pathol. 2022, 35, 96–105. [Google Scholar] [CrossRef]
- European Study Group on Cystic Tumors of the Pancreas. European evidence-based guidelines on pancreatic cystic neoplasms. Gut 2018, 67, 789–804. [Google Scholar] [CrossRef]
- Vege, S.S.; Ziring, B.; Jain, R.; Moayyedi, P.; Adams, M.A.; Dorn, S.D.; Dudley-Brown, S.L.; Flamm, S.L.; Gellad, Z.F.; Gruss, C.B.; et al. American gastroenterological association institute guideline on the diagnosis and management of asymptomatic neoplastic pancreatic cysts. Gastroenterology 2015, 148, 819–822. [Google Scholar] [CrossRef] [PubMed]
- Sahora, K.; Mino-Kenudson, M.; Brugge, W.; Thayer, S.P.; Ferrone, C.R.; Sahani, D.; Pitman, M.B.; Warshaw, A.L.; Lillemoe, K.D.; Fernandez-del Castillo, C.F. Branch duct intraductal papillary mucinous neoplasms: Does cyst size change the tip of the scale? A critical analysis of the revised international consensus guidelines in a large single-institutional series. Ann. Surg. 2013, 258, 466–475. [Google Scholar] [CrossRef]
- Sahora, K.; Fernández-del Castillo, C.; Dong, F.; Marchegiani, G.; Thayer, S.P.; Ferrone, C.R.; Sahani, D.V.; Brugge, W.R.; Warshaw, A.L.; Lillemoe, K.D.; et al. Not all mixed-type intraductal papillary mucinous neoplasms behave like main-duct lesions: Implications of minimal involvement of the main pancreatic duct. Surgery 2014, 156, 611–621. [Google Scholar] [CrossRef]
- Shin, S.H.; Han, D.J.; Park, K.T.; Kim, Y.H.; Park, J.B.; Kim, S.C. Validating a simple scoring system to predict malignancy and invasiveness of intraductal papillary mucinous neoplasms of the pancreas. World J. Surg. 2010, 34, 776–783. [Google Scholar] [CrossRef]
- Wu, J.; Matthaei, H.; Maitra, A.; Dal Molin, M.; Wood, L.D.; Eshleman, J.R.; Goggins, M.; Canto, M.I.; Schulick, R.D.; Edil, B.H.; et al. Recurrent GNAS mutations define an unexpected pathway for pancreatic cyst development. Sci. Transl. Med. 2011, 3, 92ra66. [Google Scholar] [CrossRef]
- Singhi, A.D.; Nikiforova, M.N.; Fasanella, K.E.; McGrath, K.M.; Pai, R.K.; Ohori, N.P.; Bartholow, T.L.; Brand, R.E.; Chennat, J.S.; Lu, X.; et al. Preoperative GNAS and KRAS testing in the diagnosis of pancreatic mucinous cysts. Clin. Cancer Res. 2014, 20, 4381–4389. [Google Scholar] [CrossRef]
- Genevay, M.; Mino-Kenudson, M.; Yaeger, K.; Konstantinidis, I.T.; Ferrone, C.R.; Thayer, S.; Castillo, C.F.-D.; Sahani, D.; Bounds, B.; Forcione, D.; et al. Cytology adds value to imaging studies for risk assessment of malignancy in pancreatic mucinous cysts. Ann. Surg. 2011, 254, 977–983. [Google Scholar] [CrossRef] [PubMed]
- Pulvirenti, A.; Pea, A.; Rezaee, N.; Gasparini, C.; Malleo, G.; Weiss, M.J.; Cameron, J.L.; Wolfgang, C.L.; He, J.; Salvia, R. Perioperative outcomes and long-term quality of life after total pancreatectomy. J. Br. Surg. 2019, 106, 1819–1828. [Google Scholar] [CrossRef] [PubMed]
- Seiko Hirono and Hiroki Yamaue. Surgical strategy for intraductal papillary mucinous neoplasms of the pancreas. Surg. Today 2020, 50, 50–55. [Google Scholar] [CrossRef] [PubMed]
- Stoop, T.F.; Ateeb, Z.; Ghorbani, P.; Scholten, L.; Arnelo, U.; Besselink, M.G.; Del Chiaro, M. Surgical outcomes after total pancreatectomy:a high-volume center experience. Ann. Surg. Oncol. 2021, 28, 1543–1551. [Google Scholar] [CrossRef]
- Pollini, T.; Andrianello, S.; Caravati, A.; Perri, G.; Malleo, G.; Paiella, S.; Marchegiani, G.; Salvia, R. The management of intraductal papillary mucinous neoplasms of the pancreas. Minerva Chir. 2019, 74, 414–421. [Google Scholar] [CrossRef]
- Remotti, H.E.; Winner, M.; Saif, M.W. Intraductal papillary mucinous neoplasms of the pancreas: Clinical surveillance and malignant progression, multifocality and implications of a Field-Defect. JOP J. Pancreas 2012, 13, 135–138. [Google Scholar]
- Kaiser, J.; Fritz, S.; Klauss, M.; Bergmann, F.; Hinz, U.; Strobel, O.; Schneider, L.; Büchler, M.W.; Hackert, T. Enucleation: A treatment alternative for branch duct intraductal papillary mucinous neoplasms. Surgery 2017, 161, 602–610. [Google Scholar] [CrossRef]
- Avula, L.R.; Hagerty, B.; Alewine, C. Molecular mediators of peritoneal metastasis in pancreatic cancer. Cancer Metastasis Rev. 2020, 39, 1223–1243. [Google Scholar] [CrossRef]
- Choi, S.H.; Park, S.H.; Kim, K.W.; Lee, J.Y.; Lee, S.S. Progression of unresected intraductal papillary mucinous neoplasms of the pancreas to cancer: A systematic review and meta-analysis. Clin. Gastroenterol. Hepatol. 2017, 15, 1509–1520. [Google Scholar] [CrossRef]
- Imaoka, H.; Yamao, K.; Hijioka, S.; Hara, K.; Mizuno, N.; Tanaka, T.; Kondo, S.; Tajika, M.; Shimizu, Y.; Niwa, Y. Pseudomyxoma peritonei arising from intraductal papillary neoplasm after surgical pancreatectomy: Report of 2 cases and review of the literature. Clin. J. Gastroenterol. 2012, 5, 15–19. [Google Scholar] [CrossRef]
- Stoop, T.F.; Ateeb, Z.; Ghorbani, P.; Scholten, L.; Arnelo, U.; Besselink, M.G.; Del Chiaro, M. Impact of endocrine and exocrine insufficiency on quality of life after total pancreatectomy. Ann. Surg. Oncol. 2020, 27, 587–596. [Google Scholar] [CrossRef] [PubMed]
- Scholten, L.; Latenstein, A.E.; van Eijck, C.; Erdmann, J.; van der Harst, E.; Mieog, J.S.D.; Molenaar, I.Q.; van Santvoort, H.C.; DeVries, J.H.; Besselink, M.G.; et al. Outcome and long-term quality of life aftertotal pancreatectomy (PANORAMA): A nationwide cohort study. Surgery 2019, 166, 1017–1026. [Google Scholar] [CrossRef] [PubMed]
- Nara, S.; Shimada, K.; Sakamoto, Y.; Esaki, M.; Kosuge, T.; Hiraoka, N. Clinical significance of frozen section analysis duringresection of intraductal papillary mucinous neoplasm: Should a positive pancreatic margin for adenoma or borderline lesion be resected additionally? J. Am. Coll. Surg. 2009, 209, 614–621. [Google Scholar] [CrossRef] [PubMed]
- Takeda, Y.; Imamura, H.; Yoshimoto, J.; Fukumura, Y.; Yoshioka, R.; Mise, Y.; Kawasaki, S.; Saiura, A. Survival comparison of invasive intraductal papillary mucinous neoplasm versus pancreatic ductal adenocarcinoma. Surgery 2022, 172, 336–342. [Google Scholar] [CrossRef] [PubMed]
- Assarzadegan, N.; Babaniamansour, S.; Shi, J. Updates in the Diagnosis of Intraductal Neoplasms of the Pancreas. Front. Physiol. 2022, 13, 856803. [Google Scholar] [CrossRef] [PubMed]
- Amini, N.; Habib, J.R.; Blair, A.; Rezaee, N.; Kinny-Köster, B.; Cameron, J.L.; Hruban, R.H.; Weiss, M.J.; Fishman, E.K.; Lafaro, K.J.; et al. Invasive and non-invasive progression after resection of non-invasive intraductal papillary mucinous neoplasms. Ann. Surg. 2022, 272, 370–377. [Google Scholar] [CrossRef] [PubMed]
- Rezaee, N.; Barbon, C.; Zaki, A.; He, J.; Salman, B.; Hruban, R.H.; Cameron, J.L.; Herman, J.M.; Ahuja, N.; Lennon, A.M.; et al. Intraductal papillary mucinous neoplasm (IPMN) with high-grade dysplasia is a risk factor for the subsequent development of pancreatic ductal adenocarcinoma. HPB 2016, 18, 236–246. [Google Scholar] [CrossRef]
- Law, J.K.; Wolfgang, C.L.; Weiss, M.J.; Lennon, A.M. Concomitant pancreatic adenocarcinoma in a patient with branch-duct intraductal papillary mucinous neoplasm. World J. Gastroenterol. 2014, 20, 9200–9204. [Google Scholar]
- Kamisawa, T.; Tu, Y.; Egawa, N.; Nakajima, H.; Tsuruta, K.; Okamoto, A. Malignancies associated with intraductal papillary mucinous neoplasm of the pancreas. World J. Gastroenterol. 2005, 11, 5688–5690. [Google Scholar] [CrossRef]
- Yamaguchi, K.; Kanemitsu, S.; Hatori, T.; Maguchi, H.; Shimizu, Y.; Tada, M.; Nakagohri, T.; Hanada, K.; Osanai, M.; Noda, Y.; et al. Pancreatic ductal adenocarcinoma derived from IPMN and pancreatic ductal adenocarcinoma concomitant with IPMN. Pancreas 2011, 40, 571–580. [Google Scholar] [CrossRef]
- Yamaguchi, K.; Ohuchida, J.; Ohtsuka, T.; Nakano, K.; Tanaka, M. Intraductal papillary-mucinous tumor of the pancreas concomitant with ductal carcinoma of the pancreas. Pancreatology 2002, 2, 484–490. [Google Scholar] [CrossRef] [PubMed]
- Tamura, K.; Ohtsuka, T.; Ideno, N.; Aso, T.; Kono, H.; Nagayoshi, Y.; Shindo, K.; Ushijima, Y.; Ueda, J.; Takahata, S.; et al. Unresectable pancreatic ductal adenocarcinoma in the remnant pancreas diagnosed during every-6-month surveillance after resection of branch duct intraductal papillary mucinous neoplasm: A case report. JOP J. Pancreas 2013, 14, 450–453. [Google Scholar]
- Sawai, Y.; Yamao, K.; Bhatia, V.; Chiba, T.; Mizuno, N.; Sawaki, A.; Takahashi, K.; Tajika, M.; Shimizu, Y.; Yatabe, Y.; et al. Development of pancreatic cancers during long-term follow-up of side-branch intraductal papillary mucinous neoplasms. Endoscopy 2010, 42, 1077–1084. [Google Scholar] [CrossRef] [PubMed]
- Tada, M.; Kawabe, T.; Arizumi, M.; Togawa, O.; Matsubara, S.; Yamamoto, N.; Nakai, Y.; Sasahira, N.; Hirano, K.; Tsujino, T.; et al. Pancreatic cancer in patients with pancreatic cystic lesions: A prospective study in 197 patients. Clin. Gastroenterol. Hepatol. 2006, 4, 1265–1270. [Google Scholar] [CrossRef]
- Yamaguchi, K.; Nakamura, K.; Yokohata, K.; Shimizu, S.; Chijiiwa, K.; Tanaka, M. Pancreatic cyst as a sentinel of in situ carcinoma of the pancreas. Report of two cases. Int. J. Pancreatol. 1997, 22, 227–231. [Google Scholar] [CrossRef]
- Uehara, H.; Nakaizumi, A.; Ishikawa, O.; Iishi, H.; Tatsumi, K.; Takakura, R.; Ishida, T.; Takano, Y.; Tanaka, S.; Takenaka, A. Development of ductal carcinoma of the pancreas during follow-up of branch duct intraductal papillary mucinous neoplasm of the pancreas. Gut 2008, 57, 1561–1565. [Google Scholar] [CrossRef]
- Tanno, S.; Nakano, Y.; Koizumi, K.; Sugiyama, Y.; Nakamura, K.; Sasajima, J.; Nishikawa, T.; Mizukami, Y.; Yanagawa, N.; Fujii, T.; et al. Pancreatic ductal adenocarcinomas in long-term follow-up patients with branch duct intraductal papillary mucinous neoplasms. Pancreas 2010, 39, 36–40. [Google Scholar] [CrossRef]
- Tanaka, M. International consensus on the management of intraductal papillary mucinous neoplasm of the pancreas. Ann. Transl. Med. 2015, 3, 286. [Google Scholar]
- Larghi, A.; Stobinski, M.; Galasso, D.; Lecca, P.G.; Costamagna, G. Concomitantintraductal papillary mucinous neoplasm and pancreatic endocrinetumour: Report of two cases and review of the literature. Dig. Liver Dis. 2009, 41, 759–761. [Google Scholar] [CrossRef]
- Goh, B.K.; Ooi, L.L.; Kumarasinghe, M.P.; Tan, Y.M.; Peng-Cheow, C.; Chow, P.K.; Chung, F.Y.A.; Wai-Wong, K. Clinicopathological features of patients with concomitant intraductal papillarymucinous neoplasm of the pancreas and pancreatic endocrine neoplasm. Pancreatology 2006, 6, 520–526. [Google Scholar] [CrossRef]
- Zhao, X.; Stabile, B.E.; Mo, J.; Wang, J.; French, S.W. Nesidioblastosis coexisting with isletcell tumor and intraductal papillary mucinous hyperplasia. Arch. Pathol. Lab. Med. 2001, 125, 1344–1347. [Google Scholar] [CrossRef]
- Marrache, F.; Cazals-Hatem, D.; Kianmanesh, R.; Palazzo, L.; Couvelard, A.; O’Toole, D.; Maire, F.; Hammel, P.; Levy, P.; Sauvanet, A.; et al. Endocrine tumor and intraductal papillary mucinous neoplasm of thepancreas: A fortuitous association? Pancreas 2005, 31, 79–83. [Google Scholar] [CrossRef] [PubMed]
- Terada, T.; Ohta, T.; Kitamura, Y.; Ashida, K.; Matsunaga, Y.; Kato, M. Endocrinecells in intraductal papillary-mucinous neoplasms of the pancreas. A histochemical and immunohistochemical study. Virchows Arch. 1997, 431, 31–36. [Google Scholar] [CrossRef] [PubMed]
- Hashimoto, Y.; Murakami, Y.; Uemura, K.; Hayashidani, Y.; Sudo, T.; Ohge, H.; Sueda, T.; Shimamoto, F.; Hiyama, E. Mixed ductal-endocrine carcinoma derivedfrom intraductal papillary mucinous neoplasm (IPMN) of the pancreas identified by human telomerase reverse transcriptase (hTERT) expression. J. Surg. Oncol. 2008, 97, 469–475. [Google Scholar] [CrossRef] [PubMed]
- Kadota, Y.; Shinoda, M.; Tanabe, M.; Tsujikawa, H.; Ueno, A.; Masugi, Y.; Oshima, G.; Nishiyama, R.; Tanaka, M.; Mihara, K.; et al. Concomitant pancreatic endocrine neoplasm and intraductal papillary mucinous neoplasm: A case report and literature review. World J. Surg. Oncol. 2013, 11, 75. [Google Scholar] [CrossRef]
- Konjeti, V.R.; McCarty, T.R.; Rustagi, T. Needle-based Confocal Laser Endomicroscopy (nCLE) forEvaluation of Pancreatic Cystic Lesions: A Systematic Review and Meta-analysis. J. Clin. Gastroenterol. 2020, 56, 72–80. [Google Scholar] [CrossRef] [PubMed]
- Krishna, S.G.; Hart, P.A.; DeWitt, J.M.; DiMaio, C.J.; Kongkam, P.; Napoleon, B.; Othman, M.O.; Yew Tan, D.M.; Strobel, S.G.; Stanich, P.P.; et al. EUS-guided confocal laserendomicroscopy: Prediction of dysplasia in intraductal papillary mucinous neoplasms (with video). Gastrointest. Endosc. 2020, 91, 551–563. [Google Scholar] [CrossRef] [PubMed]
- Machicado, J.D.; Chao, W.-L.; Carlyn, D.E.; Pan, T.-Y.; Poland, S.; Alexander, V.L.; Maloof, T.G.; Dubay, K.; Ueltschi, O.; Middendorf, D.M.; et al. High performance in risk stratification of intraductalpapillary mucinous neoplasms by confocal laser endomicroscopy image analysis with convolutional neural networks (with video). Gastrointest. Endosc. 2021, 94, 78–87. [Google Scholar] [CrossRef]
- McCarty, T.R.; Paleti, S.; Rustagi, T. Molecular analysis of EUS-acquired pancreatic cyst fluid forKRAS and GNAS mutations for diagnosis of intraductal papillary mucinous neoplasia and mucinous cystic lesions: A systematic review and meta-analysis. Gastrointest. Endosc. 2021, 93, 1019–1033. [Google Scholar] [CrossRef]
- Ren, R.; Krishna, S.G.; Chen, W.; Frankel, W.L.; Shen, R.; Zhao, W.; Avenarius, M.R.; Garee, J.; Caruthers, S.; Jones, D. Activation of the RAS pathway through uncommon BRAF mutations in mucinous pancreatic cysts without KRAS mutation. Mod. Pathol. 2021, 34, 438–444. [Google Scholar] [CrossRef]
- Singhi, A.D.; McGrath, K.; Brand, R.E.; Khalid, A.; Zeh, H.J.; Chennat, J.S.; Fasanella, K.E.; Papachristou, G.I.; Slivka, A.; Bartlett, D.L.; et al. Preoperative next-generation sequencing ofpancreatic cyst fluid is highly accurate in cyst classification and detection of advanced neoplasia. Gut 2018, 67, 2131–2141. [Google Scholar] [CrossRef]
- Lekkerkerker, S.J.; Besselink, M.G.; Busch, O.R.; Verheij, J.; Engelbrecht, M.R.; Rauws, E.A.; Fockens, P.; van Hooft, J.E. Comparing 3 guidelines on the management of surgically removed pancreatic cysts withregard to pathological outcome. Gastrointest. Endosc. 2017, 85, 1025–1031. [Google Scholar] [CrossRef]
- Gillies, R.J.; Kinahan, P.E.; Hricak, H. Radiomics: Images Are More than Pictures, They Are Data. Radiology 2016, 278, 563–577. [Google Scholar] [CrossRef] [PubMed]
- Hanania, A.N.; Bantis, L.E.; Feng, Z.; Wang, H.; Tamm, E.P.; Katz, M.H.; Maitra, A.; Koay, E.J. Quantitative imaging to evaluate malignant potential of IPMNs. Oncotarget 2016, 7, 85776–85784. [Google Scholar] [CrossRef] [PubMed]
- Permuth, J.B.; Choi, J.; Balarunathan, Y.; Kim, J.; Chen, D.T.; Chen, L.; Orcutt, S.; Doepker, M.P.; Gage, K.; Zhang, G.; et al. Combining radiomic features witha miRNA classifier may improve prediction of malignant pathology for pancreatic intraductal papillary mucinous neoplasms. Oncotarget 2016, 7, 85785–85797. [Google Scholar] [CrossRef]
- Attiyeh, M.A.; Chakraborty, J.; Gazit, L.; Langdon-Embry, L.; Gonen, M.; Balachandran, V.P.; D’Angelica, M.I.; DeMatteo, R.P.; Jarnagin, W.R.; Kingham, T.P.; et al. Preoperative riskprediction for intraductal papillary mucinous neoplasms by quantitative CT image analysis. HPB 2019, 21, 212–218. [Google Scholar] [CrossRef] [PubMed]
- Hoffman, D.H.; Ream, J.M.; Hajdu, C.H.; Rosenkrantz, A.B. Utility of whole-lesion ADC histogram metrics for assessing the malignant potential of pancreatic intraductal papillary mucinous neoplasms (IPMNs). Abdom. Radiol. 2017, 42, 1222–1228. [Google Scholar] [CrossRef]
- Cui, S.; Tang, T.; Su, Q.; Wang, Y.; Shu, Z.; Yang, W.; Gong, X. Radiomic nomogram based on MRI to predict grade of branching type intraductal papillary mucinous neoplasms of the pancreas: A multicenter study. Cancer Imaging 2021, 21, 26. [Google Scholar] [CrossRef]
- Tobaly, D.; Santinha, J.; Sartoris, R.; Dioguardi Burgio, M.; Matos, C.; Cros, J.; Couvelard, A.; Rebours, V.; Sauvanet, A.; Ronot, M.; et al. CT-Based Radiomics Analysis to Predict Malignancyin Patients with Intraductal Papillary MucinousNeoplasm (IPMN) of the Pancreas. Cancers 2020, 12, 3089. [Google Scholar] [CrossRef] [PubMed]
- Cheng, S.; Shi, H.; Lu, M.; Wang, C.; Duan, S.; Xu, Q.; Shi, H. Radiomics Analysis for PredictingMalignant Potential of IntraductalPapillary Mucinous Neoplasms of thePancreas: Comparison of CT and MRI. Acad. Radiol 2022, 29, 367–375. [Google Scholar] [CrossRef]









| High-Risk Stigmata |
| enhancing solid component ≥ 5 mm |
| main pancreatic duct ≥ 10 mm |
| obstructive jaundice |
| Worrisome Features |
| thickened and enhancing cyst wall |
| enhancing mural nodule < 5 mm |
| main pancreatic duct 5–9 mm |
| cyst ≥ 3 cm |
| lymphadenopathy |
| abrupt change in caliber of the pancreatic duct with distal pancreatic atrophy |
| cyst growth rate ≥ 5 mm in two years |
| elevated CA 19-9 |
Disclaimer/Publisher’s Note: The statements, opinions and data contained in all publications are solely those of the individual author(s) and contributor(s) and not of MDPI and/or the editor(s). MDPI and/or the editor(s) disclaim responsibility for any injury to people or property resulting from any ideas, methods, instructions or products referred to in the content. |
© 2023 by the authors. Licensee MDPI, Basel, Switzerland. This article is an open access article distributed under the terms and conditions of the Creative Commons Attribution (CC BY) license (https://creativecommons.org/licenses/by/4.0/).
Share and Cite
Triantopoulou, C.; Gourtsoyianni, S.; Karakaxas, D.; Delis, S. Intraductal Papillary Mucinous Neoplasm of the Pancreas: A Challenging Diagnosis. Diagnostics 2023, 13, 2015. https://doi.org/10.3390/diagnostics13122015
Triantopoulou C, Gourtsoyianni S, Karakaxas D, Delis S. Intraductal Papillary Mucinous Neoplasm of the Pancreas: A Challenging Diagnosis. Diagnostics. 2023; 13(12):2015. https://doi.org/10.3390/diagnostics13122015
Chicago/Turabian StyleTriantopoulou, Charikleia, Sofia Gourtsoyianni, Dimitriοs Karakaxas, and Spiros Delis. 2023. "Intraductal Papillary Mucinous Neoplasm of the Pancreas: A Challenging Diagnosis" Diagnostics 13, no. 12: 2015. https://doi.org/10.3390/diagnostics13122015
APA StyleTriantopoulou, C., Gourtsoyianni, S., Karakaxas, D., & Delis, S. (2023). Intraductal Papillary Mucinous Neoplasm of the Pancreas: A Challenging Diagnosis. Diagnostics, 13(12), 2015. https://doi.org/10.3390/diagnostics13122015
