Clinical Applications of TSPO PET for Glioma Imaging: Current Evidence and Future Perspective—A Systematic Review
Abstract
1. Introduction
2. Materials and Methods
2.1. Search Strategy
2.2. Quality of the Selected Studies
3. Results
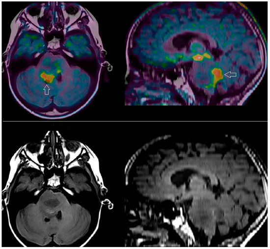
3.1. Analysis of the Evidence
| References | Year/Location | Study | Setting | Sample Size | Tracer | Methodology | SoT |
|---|---|---|---|---|---|---|---|
| Su et al. [20] | 2013/UK | Feasibility | Therapy “naïve” | 23 | [11C]-(R)PK11195 | Activity: 517 ± 127 Device: PET Scan modality: dynamic (60 min in list mode as 18 time-frames) | NPath |
| Su et al. [21] | 2015/UK | Prospective | Prognostic stratification | 22 | [11C]-(R)PK11195 | Activity: 509.6 ± 123 MBq Device: PET Scan modality: dynamic (60 min in list mode as 18 time-frames) | NPath |
| Albert et al. [22] | 2017/Germany | Pilot Study | Pre-operative characterization of recurrence | 11 | [18F]-GE-180 | Activity: 187 ± 13 MBq Device: PET/CT Scan modality: dynamic in 1 case, static with a 20-minute duration at 60 min p.i. in 10 pts | NPath or follow-up |
| Unterrainer et al. [23] | 2019/Germany | Pilot study | Pre-operative or recurrence | 20 | [18F]-GE-180 | Activity: 178 ± 12 MBq Device: PET/CT Scan modality: data acquired at 60–80 min p.i. | NPath or follow-up |
| Unterrainer et al. [24] | 2020/Germany | Pilot study | Pre-operative or recurrence | 58 | [18F]-GE-180 | Activity: 185 ± 14 MBq Device: PET/CT Scan modality: data acquired at 60–80 min p.i. | |
| Zinnhardt et al. [25] | 2020/Germany | Prospective | Pre-operative or recurrence | 9 | [18F]-DPA-714 | Activity: 247.3 ± 27.3 MBq Device: PET/MRI Scan modality: dynamic acquisition in 60 min | Npath and immunophenotyping |
| Kaiser et al. [19] | 2021/Germany | Prospective | Pre-operative (newly diagnosed) | 34 | [18F]-GE-180 | Activity: 185 ± 14 MBq Device: PET/CT Scan modality: data acquired at 60–80 min p.i. | NPath |
| Vettermann et al. [26] | 2021/Germany | Feasibility | Therapy “naïve” | 30 | [18F]-GE-180 | Activity: 189 ± 12 MBq Device: PET/CT Scan modality: data acquired at 60–80 min p.i. | N.A. |
| Zounek et al. [27] | 2022/Germany | Feasibility | Pre-operative or recurrence | 19 | [18F]-GE-180 | Activity: 172 ± 11 MBq Device: PET/CT Scan modality: dynamic acquisition in 90 min, the 60–90 min summed image used for analysis | N.A. |
| Quach et al. [28] | 2023/Germany | Retrospective, observational | Recurrence | 88 | [18F]-GE-180 | Activity: 180 MBq Device: PET/CT Scan modality: data acquired at 60–80 min p.i. | Follow-up (post-recurrence survival and time to treatment failure). |
3.2. Correlation with Tumor Grading, Molecular Profiling, and Post-Recurrence Survival
3.3. Comparative Studies
3.4. Kinetics, Methodological, or Feasibility Studies
4. Discussion
5. Conclusions
Author Contributions
Funding
Institutional Review Board Statement
Informed Consent Statement
Data Availability Statement
Conflicts of Interest
References
- Pellerino, A.; Caccese, M.; Padovan, M.; Cerretti, G.; Lombardi, G. Epidemiology, Risk Factors, and Prognostic Factors of Gliomas. Clin. Transl. Imaging 2022, 10, 467–475. [Google Scholar] [CrossRef]
- Padelli, F.; Mazzi, F.; Erbetta, A.; Chiapparini, L.; Doniselli, F.M.; Palermo, S.; Aquino, D.; Bruzzone, M.G.; Cuccarini, V. In Vivo Brain MR Spectroscopy in Gliomas: Clinical and Pre-Clinical Chances. Clin. Transl. Imaging 2022, 10, 495–515. [Google Scholar] [CrossRef]
- van Dijken, B.R.J.; van Laar, P.J.; Holtman, G.A.; van der Hoorn, A. Diagnostic Accuracy of Magnetic Resonance Imaging Techniques for Treatment Response Evaluation in Patients with High-Grade Glioma, a Systematic Review and Meta-Analysis. Eur. Radiol. 2017, 27, 4129–4144. [Google Scholar] [CrossRef] [PubMed]
- Castello, A.; Castellani, M.; Florimonte, L.; Ciccariello, G.; Mansi, L.; Lopci, E. PET Radiotracers in Glioma: A Review of Clinical Indications and Evidence. Clin. Transl. Imaging 2022, 10, 535–551. [Google Scholar] [CrossRef]
- Chiaravalloti, A.; Fiorentini, A.; Villani, V.; Carapella, C.; Pace, A.; Di Pietro, B.; Di Russo, C.; Palumbo, B.; Floris, R.; Schillaci, O. Factors Affecting 18F FDOPA Standardized Uptake Value in Patients with Primary Brain Tumors after Treatment. Nucl. Med. Biol. 2015, 42, 355–359. [Google Scholar] [CrossRef]
- Lombardi, G.; Spimpolo, A.; Berti, S.; Campi, C.; Anglani, M.G.; Simeone, R.; Evangelista, L.; Causin, F.; Zorzi, G.; Gorgoni, G.; et al. PET/MR in Recurrent Glioblastoma Patients Treated with Regorafenib: [ 18 F]FET and DWI-ADC for Response Assessment and Survival Prediction. BJR 2022, 95, 20211018. [Google Scholar] [CrossRef] [PubMed]
- Law, I.; Albert, N.L.; Arbizu, J.; Boellaard, R.; Drzezga, A.; Galldiks, N.; la Fougère, C.; Langen, K.-J.; Lopci, E.; Lowe, V.; et al. Joint EANM/EANO/RANO Practice Guidelines/SNMMI Procedure Standards for Imaging of Gliomas Using PET with Radiolabelled Amino Acids and [18F]FDG: Version 1.0. Eur. J. Nucl. Med. Mol. Imaging 2019, 46, 540–557. [Google Scholar] [CrossRef]
- Laudicella, R.; Quartuccio, N.; Argiroffi, G.; Alongi, P.; Baratto, L.; Califaretti, E.; Frantellizzi, V.; De Vincentis, G.; Del Sole, A.; Evangelista, L.; et al. Unconventional Non-Amino Acidic PET Radiotracers for Molecular Imaging in Gliomas. Eur. J. Nucl. Med. Mol. Imaging 2021, 48, 3925–3939. [Google Scholar] [CrossRef]
- Cistaro, A.; Albano, D.; Alongi, P.; Laudicella, R.; Pizzuto, D.A.; Formica, G.; Romagnolo, C.; Stracuzzi, F.; Frantellizzi, V.; Piccardo, A.; et al. The Role of PET in Supratentorial and Infratentorial Pediatric Brain Tumors. Curr. Oncol. 2021, 28, 2481–2495. [Google Scholar] [CrossRef]
- Osborn, A.G.; Louis, D.N.; Poussaint, T.Y.; Linscott, L.L.; Salzman, K.L. The 2021 World Health Organization Classification of Tumors of the Central Nervous System: What Neuroradiologists Need to Know. AJNR Am. J. Neuroradiol. 2022, 43, 928–937. [Google Scholar] [CrossRef]
- Vivash, L.; O’Brien, T.J. Imaging Microglial Activation with TSPO PET: Lighting Up Neurologic Diseases? J. Nucl. Med. 2016, 57, 165–168. [Google Scholar] [CrossRef] [PubMed]
- Kang, Y.; Pandya, S.; Zinger, N.; Michaelson, N.; Gauthier, S.A. Longitudinal Change in TSPO PET Imaging in Progressive Multiple Sclerosis. Ann. Clin. Transl. Neurol. 2021, 8, 1755–1759. [Google Scholar] [CrossRef] [PubMed]
- Filippi, L.; Schillaci, O.; Palumbo, B. Neuroimaging with PET/CT in Chronic Traumatic Encephalopathy: What Nuclear Medicine Can Do to Move the Field Forward. Expert Rev. Mol. Diagn. 2022, 22, 149–156. [Google Scholar] [CrossRef] [PubMed]
- Ricci, M.; Cimini, A.; Chiaravalloti, A.; Filippi, L.; Schillaci, O. Positron Emission Tomography (PET) and Neuroimaging in the Personalized Approach to Neurodegenerative Causes of Dementia. IJMS 2020, 21, 7481. [Google Scholar] [CrossRef] [PubMed]
- Vlodavsky, E.; Soustiel, J.F. Immunohistochemical Expression of Peripheral Benzodiazepine Receptors in Human Astrocytomas and Its Correlation with Grade of Malignancy, Proliferation, Apoptosis and Survival. J. Neurooncol. 2006, 81, 1–7. [Google Scholar] [CrossRef]
- Ammer, L.-M.; Vollmann-Zwerenz, A.; Ruf, V.; Wetzel, C.H.; Riemenschneider, M.J.; Albert, N.L.; Beckhove, P.; Hau, P. The Role of Translocator Protein TSPO in Hallmarks of Glioblastoma. Cancers 2020, 12, 2973. [Google Scholar] [CrossRef]
- Chen, Z.; Haider, A.; Chen, J.; Xiao, Z.; Gobbi, L.; Honer, M.; Grether, U.; Arnold, S.E.; Josephson, L.; Liang, S.H. The Repertoire of Small-Molecule PET Probes for Neuroinflammation Imaging: Challenges and Opportunities beyond TSPO. J. Med. Chem. 2021, 64, 17656–17689. [Google Scholar] [CrossRef]
- Page, M.J.; McKenzie, J.E.; Bossuyt, P.M.; Boutron, I.; Hoffmann, T.C.; Mulrow, C.D.; Shamseer, L.; Tetzlaff, J.M.; Akl, E.A.; Brennan, S.E.; et al. The PRISMA 2020 Statement: An Updated Guideline for Reporting Systematic Reviews. BMJ 2021, 372, n71. [Google Scholar] [CrossRef]
- Kaiser, L.; Holzgreve, A.; Quach, S.; Ingrisch, M.; Unterrainer, M.; Dekorsy, F.J.; Lindner, S.; Ruf, V.; Brosch-Lenz, J.; Delker, A.; et al. Differential Spatial Distribution of TSPO or Amino Acid PET Signal and MRI Contrast Enhancement in Gliomas. Cancers 2021, 14, 53. [Google Scholar] [CrossRef]
- Su, Z.; Herholz, K.; Gerhard, A.; Roncaroli, F.; Du Plessis, D.; Jackson, A.; Turkheimer, F.; Hinz, R. [11C]-(R)PK11195 Tracer Kinetics in the Brain of Glioma Patients and a Comparison of Two Referencing Approaches. Eur. J. Nucl. Med. Mol. Imaging 2013, 40, 1406–1419. [Google Scholar] [CrossRef]
- Su, Z.; Roncaroli, F.; Durrenberger, P.F.; Coope, D.J.; Karabatsou, K.; Hinz, R.; Thompson, G.; Turkheimer, F.E.; Janczar, K.; Du Plessis, D.; et al. The 18-KDa Mitochondrial Translocator Protein in Human Gliomas: An 11 C-(R)PK11195 PET Imaging and Neuropathology Study. J. Nucl. Med. 2015, 56, 512–517. [Google Scholar] [CrossRef] [PubMed]
- Albert, N.L.; Unterrainer, M.; Fleischmann, D.F.; Lindner, S.; Vettermann, F.; Brunegraf, A.; Vomacka, L.; Brendel, M.; Wenter, V.; Wetzel, C.; et al. TSPO PET for Glioma Imaging Using the Novel Ligand 18F-GE-180: First Results in Patients with Glioblastoma. Eur. J. Nucl. Med. Mol. Imaging 2017, 44, 2230–2238. [Google Scholar] [CrossRef] [PubMed]
- Unterrainer, M.; Fleischmann, D.F.; Diekmann, C.; Vomacka, L.; Lindner, S.; Vettermann, F.; Brendel, M.; Wenter, V.; Ertl-Wagner, B.; Herms, J.; et al. Comparison of 18F-GE-180 and Dynamic 18F-FET PET in High Grade Glioma: A Double-Tracer Pilot Study. Eur. J. Nucl. Med. Mol. Imaging 2019, 46, 580–590. [Google Scholar] [CrossRef] [PubMed]
- Unterrainer, M.; Fleischmann, D.F.; Vettermann, F.; Ruf, V.; Kaiser, L.; Nelwan, D.; Lindner, S.; Brendel, M.; Wenter, V.; Stöcklein, S.; et al. TSPO PET, Tumour Grading and Molecular Genetics in Histologically Verified Glioma: A Correlative 18F-GE-180 PET Study. Eur. J. Nucl. Med. Mol. Imaging 2020, 47, 1368–1380. [Google Scholar] [CrossRef]
- Zinnhardt, B.; Müther, M.; Roll, W.; Backhaus, P.; Jeibmann, A.; Foray, C.; Barca, C.; Döring, C.; Tavitian, B.; Dollé, F.; et al. TSPO Imaging-Guided Characterization of the Immunosuppressive Myeloid Tumor Microenvironment in Patients with Malignant Glioma. Neuro-Oncology 2020, 22, 1030–1043. [Google Scholar] [CrossRef]
- Vettermann, F.J.; Harris, S.; Schmitt, J.; Unterrainer, M.; Lindner, S.; Rauchmann, B.-S.; Palleis, C.; Weidinger, E.; Beyer, L.; Eckenweber, F.; et al. Impact of TSPO Receptor Polymorphism on [18F]GE-180 Binding in Healthy Brain and Pseudo-Reference Regions of Neurooncological and Neurodegenerative Disorders. Life 2021, 11, 484. [Google Scholar] [CrossRef]
- Zounek, A.J.; Albert, N.L.; Holzgreve, A.; Unterrainer, M.; Brosch-Lenz, J.; Lindner, S.; Bollenbacher, A.; Boening, G.; Rupprecht, R.; Brendel, M.; et al. Feasibility of Radiomic Feature Harmonization for Pooling of [18F]FET or [18F]GE-180 PET Images of Gliomas. Z. Für Med. Phys. 2023, 33, S0939388922001386. [Google Scholar] [CrossRef]
- Quach, S.; Holzgreve, A.; Kaiser, L.; Unterrainer, M.; Dekorsy, F.J.; Nelwan, D.V.; Bartos, L.M.; Kirchleitner, S.V.; Weller, J.; Weidner, L.; et al. TSPO PET Signal Using [18F]GE180 Is Associated with Survival in Recurrent Gliomas. Eur. J. Nucl. Med. Mol. Imaging 2023, 50, 859–869. [Google Scholar] [CrossRef]
- Wen, P.Y.; Macdonald, D.R.; Reardon, D.A.; Cloughesy, T.F.; Sorensen, A.G.; Galanis, E.; DeGroot, J.; Wick, W.; Gilbert, M.R.; Lassman, A.B.; et al. Updated Response Assessment Criteria for High-Grade Gliomas: Response Assessment in Neuro-Oncology Working Group. JCO 2010, 28, 1963–1972. [Google Scholar] [CrossRef]
- Unterrainer, M.; Ruf, V.; Ilhan, H.; Vettermann, F.J.; Cyran, C.C.; Niyazi, M.; Bartenstein, P.; Tonn, J.-C.; Albert, N.L. 68Ga-DOTATOC PET/CT Differentiates Meningioma From Dural Metastases. Clin. Nucl. Med. 2019, 44, 412–413. [Google Scholar] [CrossRef]
- Palumbo, B.; Bianconi, F.; Nuvoli, S.; Spanu, A.; Fravolini, M.L. Artificial Intelligence Techniques Support Nuclear Medicine Modalities to Improve the Diagnosis of Parkinson’s Disease and Parkinsonian Syndromes. Clin. Transl. Imaging 2021, 9, 19–35. [Google Scholar] [CrossRef]
- Roncaroli, F.; Su, Z.; Herholz, K.; Gerhard, A.; Turkheimer, F.E. TSPO Expression in Brain Tumours: Is TSPO a Target for Brain Tumour Imaging? Clin. Transl. Imaging 2016, 4, 145–156. [Google Scholar] [CrossRef] [PubMed]
- Veenman, L.; Levin, E.; Weisinger, G.; Leschiner, S.; Spanier, I.; Snyder, S.H.; Weizman, A.; Gavish, M. Peripheral-Type Benzodiazepine Receptor Density and in Vitro Tumorigenicity of Glioma Cell Lines. Biochem. Pharmacol. 2004, 68, 689–698. [Google Scholar] [CrossRef] [PubMed]
- Wallace, D.C. Mitochondria and Cancer. Nat. Rev. Cancer 2012, 12, 685–698. [Google Scholar] [CrossRef]
- Evangelista, L.; Cervino, A.R.; Michieletto, S.; Saibene, T.; Orvieto, E.; Bozza, F.; Ghiotto, C. Staging of Locally Advanced Breast Cancer and the Prediction of Response to Neoadjuvant Chemotherapy: Complementary Role of Scintimammography and 18F-FDG PET/CT. Q J. Nucl. Med. Mol. Imaging 2017, 61. [Google Scholar] [CrossRef]
- Schillaci, O.; Danieli, R.; Filippi, L.; Romano, P.; Cossu, E.; Manni, C.; Simonetti, G. Scintimammography with a Hybrid SPECT/CT Imaging System. Anticancer. Res. 2007, 27, 557–562. [Google Scholar]
- Cai, L.; Kirchleitner, S.V.; Zhao, D.; Li, M.; Tonn, J.-C.; Glass, R.; Kälin, R.E. Glioblastoma Exhibits Inter-Individual Heterogeneity of TSPO and LAT1 Expression in Neoplastic and Parenchymal Cells. IJMS 2020, 21, 612. [Google Scholar] [CrossRef]
- Kamran, N.; Alghamri, M.S.; Nunez, F.J.; Shah, D.; Asad, A.S.; Candolfi, M.; Altshuler, D.; Lowenstein, P.R.; Castro, M.G. Current State and Future Prospects of Immunotherapy for Glioma. Immunotherapy 2018, 10, 317–339. [Google Scholar] [CrossRef]
- Cimini, A.; Ricci, M.; Chiaravalloti, A.; Filippi, L.; Schillaci, O. Theragnostic Aspects and Radioimmunotherapy in Pediatric Tumors. IJMS 2020, 21, 3849. [Google Scholar] [CrossRef]
- Filippi, L.; Bagni, O.; Nervi, C. Aptamer-Based Technology for Radionuclide Targeted Imaging and Therapy: A Promising Weapon against Cancer. Expert Rev. Med. Devices 2020, 17, 751–758. [Google Scholar] [CrossRef]
- Li, P.; Wang, C.; Wang, W.; Duan, X.; Li, J. Preliminary Evaluation of a 64Cu-Labeled DNA Aptamer for PET Imaging of Glioblastoma. J. Radioanal. Nucl. Chem. 2023. [Google Scholar] [CrossRef]
- Zanotti-Fregonara, P.; Pascual, B.; Rostomily, R.C.; Rizzo, G.; Veronese, M.; Masdeu, J.C.; Turkheimer, F. Anatomy of 18F-GE180, a Failed Radioligand for the TSPO Protein. Eur. J. Nucl. Med. Mol. Imaging 2020, 47, 2233–2236. [Google Scholar] [CrossRef] [PubMed]
- Smeraldo, A.; Ponsiglione, A.M.; Soricelli, A.; Netti, P.A.; Torino, E. Update on the Use of PET/MRI Contrast Agents and Tracers in Brain Oncology: A Systematic Review. IJN 2022, 17, 3343–3359. [Google Scholar] [CrossRef] [PubMed]



| References | Type of Comparison | TSPO Ligand | TSPO PET Values (Median) | Amino-Acid PET Tracer | Amino-Acid PET Uptake Values (Median) | p Value * | Findings |
|---|---|---|---|---|---|---|---|
| Unterrainer et al. [23] | TSPO vs. amino-acid PET and MRI | [18F]-GE-180 | TBRmax = 4.58 BTV = 31.1 mL | [18F]-FET | TBRmax = 3.89 BTV = 19.3 mL | 0.062 0.062 | TSPO and amino-acid PET provided different parameters in HGGs according to IDH mutational status, with partially overlapping volumes, greater than those obtained with MRI. |
| Zinnhardt et al. [25] | TSPO vs. amino-acid PET and MRI | [18F]-DPA-714 | SUVmax/SUVmean = 2.5 SUVmean/SUVmean = 1.4 | [18F]-FET | SUVmax/SUVmean = 2.8 SUVmean/SUVmean = 2.1 | n.a. | TSPO and amino-acid PET provided complementary information in glioma. TSPO PET-derived parameters correlated with the amount of glioma-infiltrating immunosuppressive cells. |
Disclaimer/Publisher’s Note: The statements, opinions and data contained in all publications are solely those of the individual author(s) and contributor(s) and not of MDPI and/or the editor(s). MDPI and/or the editor(s) disclaim responsibility for any injury to people or property resulting from any ideas, methods, instructions or products referred to in the content. |
© 2023 by the authors. Licensee MDPI, Basel, Switzerland. This article is an open access article distributed under the terms and conditions of the Creative Commons Attribution (CC BY) license (https://creativecommons.org/licenses/by/4.0/).
Share and Cite
Filippi, L.; Frantellizzi, V.; Vincentis, G.D.; Schillaci, O.; Evangelista, L. Clinical Applications of TSPO PET for Glioma Imaging: Current Evidence and Future Perspective—A Systematic Review. Diagnostics 2023, 13, 1813. https://doi.org/10.3390/diagnostics13101813
Filippi L, Frantellizzi V, Vincentis GD, Schillaci O, Evangelista L. Clinical Applications of TSPO PET for Glioma Imaging: Current Evidence and Future Perspective—A Systematic Review. Diagnostics. 2023; 13(10):1813. https://doi.org/10.3390/diagnostics13101813
Chicago/Turabian StyleFilippi, Luca, Viviana Frantellizzi, Giuseppe De Vincentis, Orazio Schillaci, and Laura Evangelista. 2023. "Clinical Applications of TSPO PET for Glioma Imaging: Current Evidence and Future Perspective—A Systematic Review" Diagnostics 13, no. 10: 1813. https://doi.org/10.3390/diagnostics13101813
APA StyleFilippi, L., Frantellizzi, V., Vincentis, G. D., Schillaci, O., & Evangelista, L. (2023). Clinical Applications of TSPO PET for Glioma Imaging: Current Evidence and Future Perspective—A Systematic Review. Diagnostics, 13(10), 1813. https://doi.org/10.3390/diagnostics13101813

