Approach to Pancreatic Head Mass in the Background of Chronic Pancreatitis
Abstract
1. Introduction
2. Epidemiology and Demographic Comparisons between CP and PDAC
3. Typical Form of PDAC—A Primer
4. Clinical Suspicion of Malignancy in CP—When to Suspect?
- Diagnosis of hereditary/tropical pancreatitis;
- Reappearance of pain after pain relief;
- Appearance of obstructive jaundice;
- Markedly dilated pancreatic duct on imaging;
- Unexplained weight loss despite pancreatic enzyme replacement therapy;
- Pancreatic head mass on imaging;
- Vascular invasion on imaging.
5. Evaluation of Suspicious Malignancy in CP
5.1. Imaging Modalities
5.2. Imaging Features to Differentiate CP from PDAC
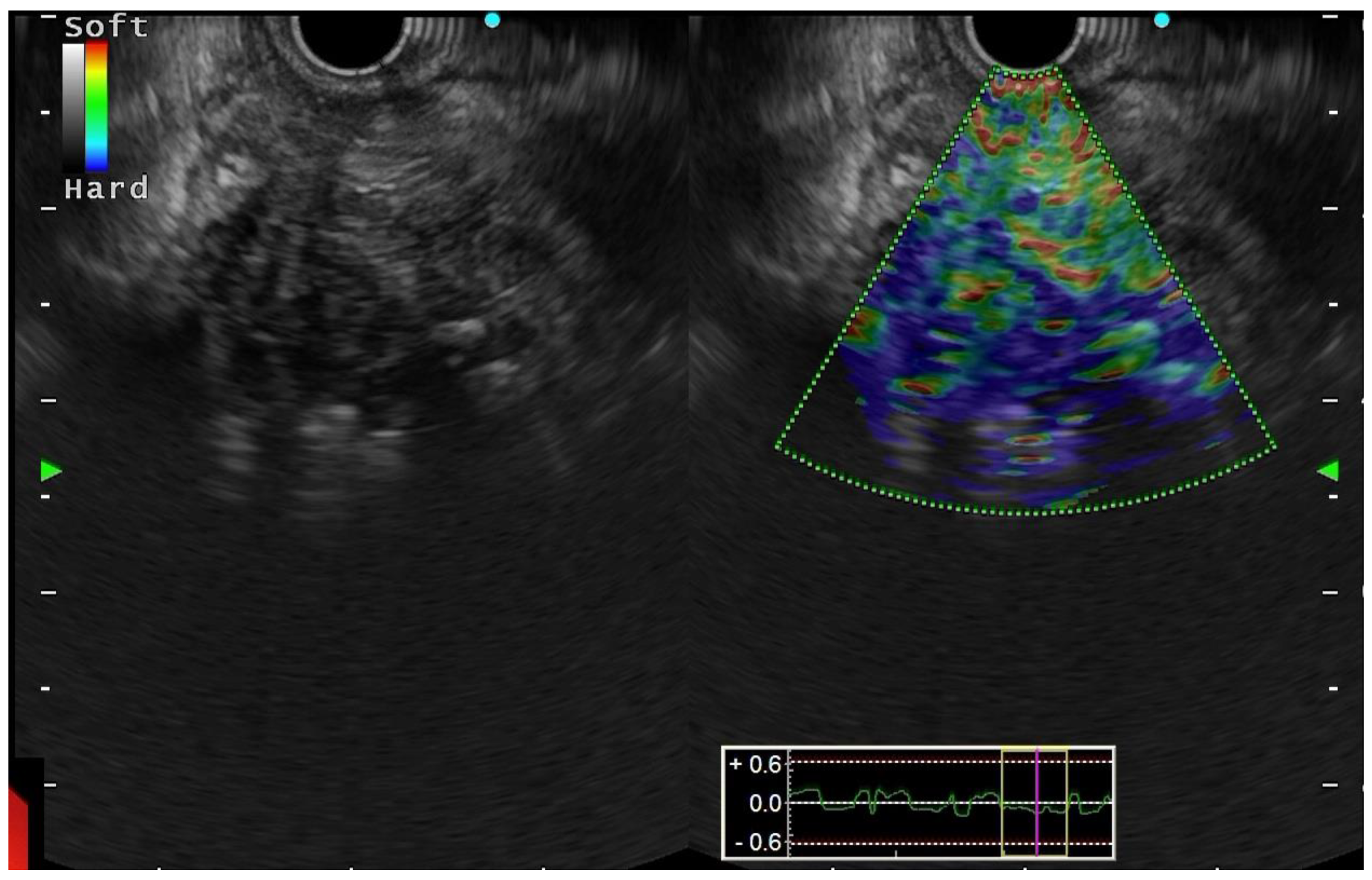
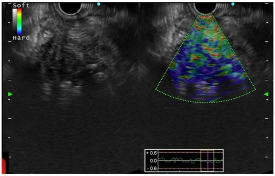
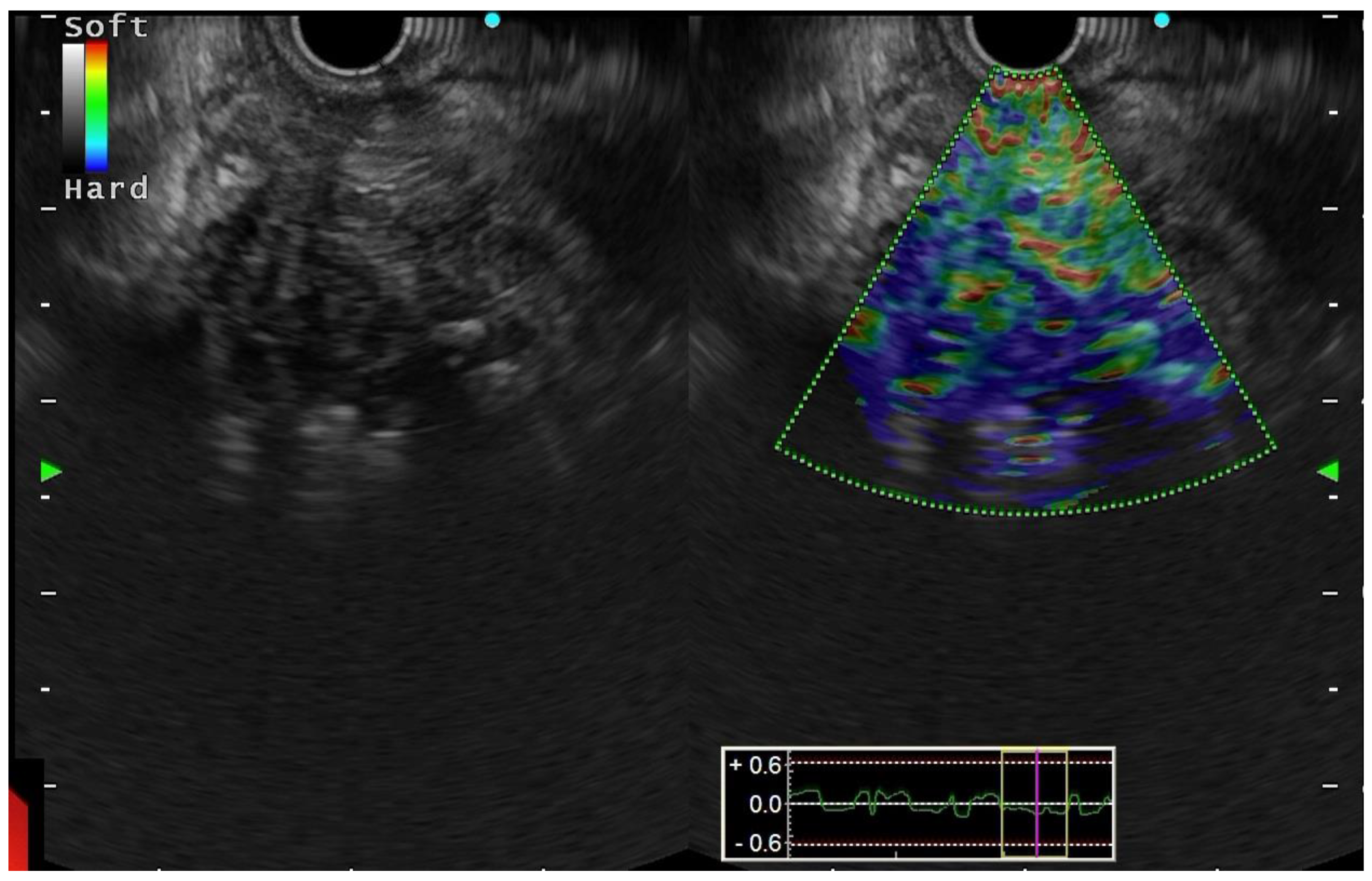
5.3. Endoscopic Modalities
5.4. Other Modalities
Perfusion Weighted MRI
5.5. Intraoperative Evaluation
6. Prognosis
7. Special Subtypes
7.1. Paraduodenal or “Groove” Pancreatitis
7.2. Autoimmune Pancreatitis
8. Prevention and Screening for Pancreatic Cancer in Background of CP
9. Conclusions
Author Contributions
Funding
Institutional Review Board Statement
Informed Consent Statement
Data Availability Statement
Conflicts of Interest
References
- Kirkegård, J.; Mortensen, F.V.; Cronin-Fenton, D. Chronic Pancreatitis and Pancreatic Cancer Risk: A Systematic Review and Meta-analysis. Am. J. Gastroenterol. 2017, 112, 1366–1372. [Google Scholar] [CrossRef] [PubMed]
- Arora, A.; Rajesh, S.; Mukund, A.; Patidar, Y.; Thapar, S.; Arora, A.; Bhatia, V. Clinicoradiological appraisal of ‘paraduodenal pancreatitis’: Pancreatitis outside the pancreas! Indian J. Radiol. Imaging. 2015, 25, 303–314. [Google Scholar] [CrossRef] [PubMed]
- Al-Hawary, M.M.; Kaza, R.K.; Azar, S.F.; Ruma, J.A.; Francis, I.R. Mimics of pancreatic ductal adenocarcinoma. Cancer Imaging. 2013, 13, 342–349. [Google Scholar] [CrossRef] [PubMed]
- Takamori, H.; Hiraoka, T.; Kanemitsu, K.; Tsuji, T.; Hamada, C.; Baba, H. Identification of prognostic factors associated with early mortality after surgical resection for pancreatic cancer: Under-analysis of cumulative survival curve. World J. Surg. 2006, 30, 213–218. [Google Scholar] [CrossRef]
- Raimondi, S.; Lowenfels, A.B.; Morselli-Labate, A.M.; Maisonneuve, P.; Pezzilli, R. Pancreatic cancer in chronic pancreatitis; aetiology, incidence, and early detection. Best Pract. Res. Clin. Gastroenterol. 2010, 24, 349–358. [Google Scholar] [CrossRef]
- Scarà, S.; Bottoni, P.; Scatena, R. CA 19-9: Biochemical and Clinical Aspects. Adv. Exp. Med. Biol. 2015, 867, 247–260. [Google Scholar] [CrossRef] [PubMed]
- Frey, C.F.; Suzuki, M.; Isaji, S. Treatment of chronic pancreatitis complicated by obstruction of the common bile duct or duodenum. World J. Surg. 1990, 14, 59–69. [Google Scholar] [CrossRef]
- Gomes, R.M.; Bal, M.; Patkar, S.; Goel, M.; Shrikhande, S.V. Unexpected benign histopathology after pancreatoduodenectomy for presumed malignancy: Accepting the inevitable. Langenbecks Arch. Surg. 2016, 401, 169–179. [Google Scholar] [CrossRef]
- Rickes, S.; Unkrodt, K.; Neye, H.; Ocran, K.W.; Wermke, W. Differentiation of pancreatic tumours by conventional ultrasound, unenhanced and echo-enhanced power Doppler sonography. Scand. J. Gastroenterol. 2002, 37, 1313–1320. [Google Scholar] [CrossRef]
- Palazzo, L.; Roseau, G.; Gayet, B.; Vilgrain, V.; Belghiti, J.; Fekete, F.; Paolaggi, J.A. Endoscopic ultrasonography in the diagnosis and staging of pancreatic adenocarcinoma. Results of a prospective study with comparison to ultrasonography and CT scan. Endoscopy 1993, 25, 143–150. [Google Scholar] [CrossRef]
- Sheridan, M.B.; Ward, J.; Guthrie, J.A.; Spencer, J.A.; Craven, C.M.; Wilson, D.; Guillou, P.J.; Robinson, P.J. Dynamic contrast-enhanced MR imaging and dual-phase helical CT in the preoperative assessment of suspected pancreatic cancer: A comparative study with receiver operating characteristic analysis. AJR Am. J. Roentgenol. 1999, 173, 583–590. [Google Scholar] [CrossRef] [PubMed]
- Amin, Z.; Theis, B.; Russell, R.C.; House, C.; Novelli, M.; Lees, W.R. Diagnosing pancreatic cancer: The role of percutaneous biopsy and CT. Clin. Radiol. 2006, 61, 996–1002. [Google Scholar] [CrossRef] [PubMed]
- Ahn, S.S.; Kim, M.J.; Choi, J.Y.; Hong, H.S.; Chung, Y.E.; Lim, J.S. Indicative findings of pancreatic cancer in prediagnostic CT. Eur. Radiol. 2009, 19, 2448–2455. [Google Scholar] [CrossRef] [PubMed]
- Ichikawa, T.; Haradome, H.; Hachiya, J.; Nitatori, T.; Ohtomo, K.; Kinoshita, T.; Araki, T. Pancreatic ductal adenocarcinoma: Preoperative assessment with helical CT versus dynamic MR imaging. Radiology 1997, 202, 655–662. [Google Scholar] [CrossRef]
- Takakura, K.; Sumiyama, K.; Munakata, K.; Ashida, H.; Arihiro, S.; Kakutani, H.; Tajiri, H. Clinical usefulness of diffusion-weighted MR imaging for detection of pancreatic cancer: Comparison with enhanced multidetector-row CT. Abdom. Imaging 2011, 36, 457–462. [Google Scholar] [CrossRef] [PubMed]
- Chen, V.K.; Arguedas, M.R.; Kilgore, M.L.; Eloubeidi, M.A. A cost-minimization analysis of alternative strategies in diagnosing pancreatic cancer. Am. J. Gastroenterol. 2004, 99, 2223–2234. [Google Scholar] [CrossRef]
- DeWitt, J.; Devereaux, B.; Chriswell, M.; McGreevy, K.; Howard, T.; Imperiale, T.; Ciaccia, D.; Lane, K.A.; Maglinte, D.; Kopecky, K.; et al. Comparison of endoscopic ultrasonography and multidetector computed tomography for detecting and staging pancreatic cancer. Ann. Intern. Med. 2004, 141, 753–764. [Google Scholar] [CrossRef]
- Sakamoto, H.; Kitano, M.; Suetomi, Y.; Maekawa, K.; Takeyama, Y.; Kudo, M. Utility of contrast-enhanced endoscopic ultrasonography for diagnosis of small pancreatic carcinomas. Ultrasound Med. Biol. 2008, 34, 525–532. [Google Scholar] [CrossRef]
- Kamata, K.; Kitano, M.; Kudo, M.; Sakamoto, H.; Kadosaka, K.; Miyata, T.; Imai, H.; Maekawa, K.; Chikugo, T.; Kumano, M.; et al. Value of EUS in early detection of pancreatic ductal adenocarcinomas in patients with intraductal papillary mucinous neoplasms. Endoscopy 2014, 46, 22–29. [Google Scholar] [CrossRef]
- Müller, M.F.; Meyenberger, C.; Bertschinger, P.; Schaer, R.; Marincek, B. Pancreatic tumors: Evaluation with endoscopic US, CT, and MR imaging. Radiology 1994, 190, 745–751. [Google Scholar] [CrossRef]
- Harewood, G.C.; Wiersema, M.J. Endosonography-guided fine needle aspiration biopsy in the evaluation of pancreatic masses. Am. J. Gastroenterol. 2000, 97, 1386–1391. [Google Scholar] [CrossRef] [PubMed]
- Kaufman, A.R.; Sivak, M.V. Endoscopic ultrasonography in the differential diagnosis of pancreatic disease. Gastrointest. Endosc. 1989, 35, 214–219. [Google Scholar] [CrossRef] [PubMed]
- Fritscher-Ravens, A.; Brand, L.; Knöfel, W.T.; Bobrowski, C.; Topalidis, T.; Thonke, F.; de Werth, A.; Soehendra, N. Comparison of endoscopic ultrasound-guided fine needle aspiration for focal pancreatic lesions in patients with normal parenchyma and chronic pancreatitis. Am. J. Gastroenterol. 2002, 97, 2768–2775. [Google Scholar] [CrossRef] [PubMed]
- Giovannini, M.; Seitz, J.F.; Monges, F.; Perrier, H.; Rabbia, I. Fine-needle aspiration cytology guided by endoscopic ultrasonography: Results in 141 patients. Endoscopy 1995, 27, 171–177. [Google Scholar] [CrossRef] [PubMed]
- Bhutani, M.S.; Hawes, R.H.; Baron, P.L.; Sanders-Cliette, A.; van Velse, A.; Osborne, J.F.; Hoffman, B.J. Endoscopic ultrasound guided fine needle aspiration of malignant pancreatic lesions. Endoscopy 1997, 29, 854–858. [Google Scholar] [CrossRef]
- Iglesias-Garcia, J.; Dominguez-Munoz, E.; Lozano-Leon, A.; Abdulkader, I.; Larino-Noia, J.; Antunez, J.; Forteza, J. Impact of endoscopic-ultrasound fine biopsy for diagnosis of pancreatic masses. World J. Gastroenterol. 2007, 13, 289–293. [Google Scholar] [CrossRef] [PubMed]
- Erickson, R.A.; Sayage-Rabie, L.; Beissner, R.S. Factors predicting the number of EUS-guided fine-needle passes for diagnosis of pancreatic malignancies. Gastrointest. Endosc. 2000, 51, 184–190. [Google Scholar] [CrossRef]
- Varadarajulu, S.; Tamhane, A.; Eloubeidi, M.A. Yield of EUS-guided FNA of pancreatic masses in the presence or the absence of chronic pancreatitis. Gastrointest. Endosc. 2005, 62, 728–736, quiz 751, 753. [Google Scholar] [CrossRef]
- Iordache, S.; Săftoiu, A.; Cazacu, S.; Gheonea, D.I.; Dumitrescu, D.; Popescu, C.; Ciurea, T. Endoscopic ultrasound approach of pancreatic cancer in chronic pancreatitis patients in a tertiary referral centre. J. Gastrointestin. Liver Dis. 2008, 17, 279–284. [Google Scholar]
- Eloubeidi, M.A.; Varadarajulu, S.; Desai, S.; Wilcox, C.M. Value of repeat endoscopic ultrasound-guided fine needle aspiration for suspected pancreatic cancer. J. Gastroenterol. Hepatol. 2008, 23, 567–570. [Google Scholar] [CrossRef]
- Hassan, G.M.; Laporte, L.; Paquin, S.C.; Menard, C.; Sahai, A.V.; Mâsse, B.; Trottier, H. Endoscopic Ultrasound Guided Fine Needle Aspiration versus Endoscopic Ultrasound Guided Fine Needle Biopsy for Pancreatic Cancer Diagnosis: A Systematic Review and Meta-Analysis. Diagnostics 2022, 12, 2951. [Google Scholar] [CrossRef] [PubMed]
- Khalid, A.; Nodit, L.; Zahid, M.; Bauer, K.; Brody, D.; Finkelstein, S.D.; McGrath, K.M. Endoscopic ultrasound fine needle aspirate DNA analysis to differentiate malignant and benign pancreatic masses. Am. J. Gastroenterol. 2006, 101, 2493–2500. [Google Scholar] [CrossRef] [PubMed]
- Salek, C.; Benesova, L.; Zavoral, M.; Nosek, V.; Kasperova, L.; Ryska, M.; Strnad, R.; Traboulsi, E.; Minarik, M. Evaluation of clinical relevance of examining K-ras, p16 and p53 mutations along with allelic losses at 9p and 18q in EUS-guided fine needle aspiration samples of patients with chronic pancreatitis and pancreatic cancer. World J. Gastroenterol. 2007, 13, 3714–3720. [Google Scholar] [CrossRef] [PubMed]
- Bournet, B.; Souque, A.; Senesse, P.; Assenat, E.; Barthet, M.; Lesavre, N.; Aubert, A.; O’Toole, D.; Hammel, P.; Levy, P.; et al. Endoscopic ultrasound-guided fine-needle aspiration biopsy coupled with KRAS mutation assay to distinguish pancreatic cancer from pseudotumoral chronic pancreatitis. Endoscopy 2009, 41, 552–557. [Google Scholar] [CrossRef]
- Takahashi, K.; Yamao, K.; Okubo, K.; Sawaki, A.; Mizuno, N.; Ashida, R.; Koshikawa, T.; Ueyama, Y.; Kasugai, K.; Hase, S.; et al. Differential diagnosis of pancreatic cancer and focal pancreatitis by using EUS-guided FNA. Gastrointest. Endosc. 2005, 61, 76–79. [Google Scholar] [CrossRef]
- Bhutani, M.S.; Hoffman, B.J.; van Velse, A.; Hawes, R.H. Contrast-enhanced endoscopic ultrasonography with galactose microparticles: SHU508 A (Levovist). Endoscopy 1997, 29, 635–639. [Google Scholar] [CrossRef]
- Hirooka, Y.; Goto, H.; Ito, A.; Hayakawa, S.; Watanabe, Y.; Ishiguro, Y.; Kojima, S.; Hayakawa, T.; Naitoh, Y. Contrast-enhanced endoscopic ultrasonography in pancreatic diseases: A preliminary study. Am. J. Gastroenterol. 1998, 93, 632–635. [Google Scholar] [CrossRef]
- Becker, D.; Strobel, D.; Bernatik, T.; Hahn, E.G. Echo-enhanced color- and power-Doppler EUS for the discrimination between focal pancreatitis and pancreatic carcinoma. Gastrointest. Endosc. 2001, 53, 784–789. [Google Scholar] [CrossRef]
- Giovannini, M. Endosonography: New developments in 2006. Sci. World J. 2007, 7, 341–363. [Google Scholar] [CrossRef]
- Fusaroli, P.; Spada, A.; Mancino, M.G.; Caletti, G. Contrast harmonic echo-endoscopic ultrasound improves accuracy in diagnosis of solid pancreatic masses. Clin. Gastroenterol. Hepatol. 2010, 8, 629–634.e1-2. [Google Scholar] [CrossRef]
- Seicean, A.; Badea, R.; Stan-Iuga, R.; Mocan, T.; Gulei, I.; Pascu, O. Quantitative contrast-enhanced harmonic endoscopic ultrasonography for the discrimination of solid pancreatic masses. Ultraschall Med. 2010, 31, 571–576. [Google Scholar] [CrossRef] [PubMed]
- Hocke, M.; Schulze, E.; Gottschalk, P.; Topalidis, T.; Dietrich, C.F. Contrast-enhanced endoscopic ultrasound in discrimination between focal pancreatitis and pancreatic cancer. World J. Gastroenterol. 2006, 12, 246–250. [Google Scholar] [CrossRef] [PubMed]
- Giovannini, M.; Hookey, L.C.; Bories, E.; Pesenti, C.; Monges, G.; Delpero, J.R. Endoscopic Ultrasound Elastography: The First Step towards Virtual Biopsy? Preliminary Results in 49 patients. Endoscopy 2006, 38, 344–348. [Google Scholar] [CrossRef] [PubMed]
- Giovannini, M.; Botelberge, T.; Bories, E.; Pesenti, C.; Caillol, F.; Esterni, B.; Monges, G.; Arcidiacono, P.; Deprez, P.; Yeung, R.; et al. Endoscopic ultrasound elastography for evaluation of lymph nodes and pancreatic masses: A multicenter study. World J. Gastroenterol. 2009, 15, 1587–1593. [Google Scholar] [CrossRef]
- Iglesias-García, J.; Lariño-Noia, J.; Abdulkader, I.; Forteza, J.; Domínguez-Muñoz, J.E. EUS-elastography for the characterization of solid pancreatic masses. Gastrointest. Endosc. 2009, 70, 1101–1108. [Google Scholar] [CrossRef]
- Hirche, T.O.; Ignee, A.; Barreiros, A.P.; Schreiber-Dietrich, D.; Jungblut, S.; Ott, M.; Hirche, H.; Dietrich, C.F. Indications and limitations of endoscopic ultrasound elastography for evaluation of focal pancreatic lesions. Endoscopy 2008, 40, 910–917. [Google Scholar] [CrossRef]
- Iglesias–Garcia, J.; Larino–Noia, J.; Abdulkader, I.; Forteza, J.; Dominguez–Munoz, J.E. Quantitative endoscopic ultrasound elastography: An accurate method for the differentiation of solid pancreatic masses. Gastroenterology 2010, 139, 1172–1180. [Google Scholar] [CrossRef]
- Săftoiu, A.; Iordache, S.A.; Gheonea, D.I.; Popescu, C.; Maloş, A.; Gorunescu, F.; Ciurea, T.; Iordache, A.; Popescu, G.L.; Manea, C.T. Combined contrast-enhanced power Doppler and real-time sonoelastography performed during EUS, used in the differential diagnosis of focal pancreatic masses (with videos). Gastrointest. Endosc. 2010, 72, 739–747. [Google Scholar] [CrossRef]
- Siddiqui, N.; Vendrami, C.L.; Chatterjee, A.; Miller, F.H. Advanced MR Imaging Techniques for Pancreas Imaging. Magn. Reson. Imaging Clin. N. Am. 2018, 26, 323–344. [Google Scholar] [CrossRef]
- Kaczmarek, B. The value of intraoperative ultrasonography during surgery for pancreatitis related changes of the pancreas. Ann. Acad. Med. Stetin. 2000, 46, 123–136. [Google Scholar]
- Brimienė, V.; Brimas, G.; Strupas, K. Differential diagnosis between chronic pancreatitis and pancreatic cancer: A prospective study of 156 patients. Medicina 2011, 47, 21. [Google Scholar] [CrossRef] [PubMed]
- Harris, P.L.; Rumley, T.O.; Lineaweaver, W.C.; Copeland, E.M. Pancreatic cancer: Unreliability of frozen section in diagnosis. South Med. J. 1985, 78, 1053–1056. [Google Scholar] [CrossRef] [PubMed]
- Hyland, C.; Kheir, S.M.; Kashlan, M.B. Frozen section diagnosis of pancreatic carcinoma: A prospective study of 64 biopsies. Am. J. Surg. Pathol. 1981, 5, 179–191. [Google Scholar] [CrossRef] [PubMed]
- Rao, G.; Pradeep, R.; Mansard, M.J.; Ramji, C.; Banerjee, R.; Nageshwar Reddy, D. Endocytoscopy assists in the intraoperative diagnosis of carcinoma in a patient with chronic pancreatitis. Endoscopy 2007, 39 (Suppl. S1), E317–E318. [Google Scholar] [CrossRef] [PubMed]
- Buice, W.S.; Walker, L.G. The role of intra-operative biopsy in the treatment of resectable neoplasms of the pancreas and periampullary region. Am. Surg. 1989, 55, 307–310. [Google Scholar] [PubMed]
- Fancellu, A.; Ginesu, G.C.; Feo, C.F.; Cossu, M.L.; Puledda, M.; Pinna, A.; Porcu, A. Pancreatic head excavation for tissue diagnosis may reduce unnecessary pancreaticoduodenectomies in the setting of chronic pancreatitis. Hepatobiliary Pancreat. Dis. Int. 2017, 16, 315–322. [Google Scholar] [CrossRef] [PubMed]
- Nelson, D.W.; Blanchard, T.H.; Causey, M.W.; Homann, J.F.; Brown, T.A. Examining the accuracy and clinical usefulness of intraoperative frozen section analysis in the management of pancreatic lesions. Am. J. Surg. 2013, 205, 613–617. [Google Scholar] [CrossRef]
- Cioc, A.M.; Ellison, E.C.; Proca, D.M.; Lucas, J.G.; Frankel, W.L. Frozen section diagnosis of pancreatic lesions. Arch. Pathol. Lab. Med. 2002, 126, 1169–1173. [Google Scholar] [CrossRef]
- Boltze, C.; Schneider-Stock, R.; Aust, G.; Mawrin, C.; Dralle, H.; Roessner, A.; Hoang-Vu, C. CD97, CD95 and Fas-L clearly discriminate between chronic pancreatitis and pancreatic ductal adenocarcinoma in perioperative evaluation of cryocut sections. Pathol. Int. 2002, 52, 83–88. [Google Scholar] [CrossRef]
- Chu, C.K.; Sarmiento, J.M.; Park, J.; Staley, C.A.; Galloway, J.R.; Adsay, N.V.; Kooby, D.A. Differences in presentation and perioperative outcome after pancreaticoduodenectomy for cancer and benign pancreatitis. Am. Surg. 2010, 76, 606–613. [Google Scholar] [CrossRef]
- Muraki, T.; Kim, G.E.; Reid, M.D.; Mittal, P.; Bedolla, G.; Memis, B.; Pehlivanoglu, B.; Freedman, A.; Seven, I.E.; Choi, H.; et al. Paraduodenal Pan- creatitis: Imaging and Pathologic Correlation of 47 Cases Elucidates Distinct Subtypes and the Factors Involved in its Etiopathogenesis. Am. J. Surg. Pathol. 2017, 41, 1347–1363. [Google Scholar] [CrossRef] [PubMed]
- Kim, J.H.; Lee, J.M.; Park, J.H.; Kim, S.C.; Joo, I.; Han, J.K.; Choi, B.I. Solid pancreatic lesions: Characterization by using timing bolus dynamic contrast- enhanced MR imaging assessment—A preliminary study. Radiology 2013, 266, 185–196. [Google Scholar] [CrossRef] [PubMed]
- Minniti, S.; Bruno, C.; Biasiutti, C.; Tonel, D.; Falzone, A.; Falconi, M.; Procacci, C. Sonography versus helical CT in identification and staging of pancreatic ductal adenocarcinoma. J. Clin. Ultrasound. 2003, 31, 175–182. [Google Scholar] [CrossRef] [PubMed]
- Elbanna, K.Y.; Jang, H.J.; Kim, T.K. Imaging diagnosis and staging of pancreatic ductal adenocarcinoma: A comprehensive review. Insights Imaging 2020, 11, 58. [Google Scholar] [CrossRef]
- Yoshida, K.; Toki, F.; Takeuchi, T.; Watanabe, S.-I.; Shiratori, K.; Hayashi, N. Chronic pancreatitis caused by an autoimmune abnormality. Proposal of the concept of autoimmune pancreatitis. Dig. Dis. Sci. 1995, 40, 1561–1568. [Google Scholar] [CrossRef] [PubMed]
- Kamisawa, T.; Egawa, N.; Nakajima, H.; Tsuruta, K.; Okamoto, A.; Kamata, N. Clinical difficulties in the differentiation of autoimmune pancreatitis and pancreatic carcinoma. Am. J. Gastroenterol. 2003, 98, 2694–2699. [Google Scholar] [CrossRef]
- Lee, L.K.; Sahani, D.V. Autoimmune pancreatitis in the context of IgG4-related disease: Review of imaging findings. World J. Gastroenterol. 2014, 20, 15177–15189. [Google Scholar] [CrossRef]
- Shimosegawa, T.; Chari, S.T.; Frulloni, L.; Kamisawa, T.; Kawa, S.; Mino-Kenudson, M.; Kim, M.H.; Klöppel, G.; Lerch, M.M.; Löhr, M.; et al. International Consensus Diagnostic Criteria for Autoimmune Pancreatitis: Guidelines of the International Association of Pancreatology. Pancreas 2011, 40, 352–358. [Google Scholar] [CrossRef]
- Ghazale, A.; Chari, S.T.; Smyrk, T.C.; Levy, M.J.; Topazian, M.D.; Takahashi, N.; Clain, J.E.; Pearson, R.K.; Pelaez-Luna, M.; Petersen, B.T.; et al. Value of serum IgG4 in the diagno- sis of autoimmune pancreatitis and in distinguishing it from pancreatic cancer. Am J Gastroenterol. 2007, 102, 1646–1653. [Google Scholar] [CrossRef]
- Hur, B.Y.; Lee, J.M.; Park, J.Y.; Kim, S.J.; Joo, I.; Shin, C.I.; Baek, J.H.; Kim, J.H.; Han, J.K.; Choi, B.I. Magnetic resonance imaging findings of the mass-forming type of autoimmune pancreatitis: Comparison with pancreatic adenocarcinoma. J. Magn. Reson. Imaging 2012, 36, 188–197. [Google Scholar] [CrossRef]
- Ichikawa, T.; Sou, H.; Araki, T.; Arbab, A.S.; Yoshikawa, T.; Ishigame, K.; Haradome, H.; Hachiya, J. Duct-penetrating sign at MRCP: Usefulness for differentiating inflammatory pancreatic mass from pancreatic carcinomas. Radiology 2001, 221, 107–116. [Google Scholar] [CrossRef] [PubMed]
- Manfredi, R.; Frulloni, L.; Mantovani, W.; Bonatti, M.; Graziani, R.; Pozzi Mucelli, R. Autoimmune pancreatitis: Pancreatic and extrapancreatic MR imaging-MR cholangiopancreatography findings at diagnosis, after steroid therapy, and at recurrence. Radiology 2011, 260, 428–436. [Google Scholar] [CrossRef] [PubMed]
- Hoki, N.; Mizuno, N.; Sawaki, A.; Tajika, M.; Takayama, R.; Shimizu, Y.; Bhatia, V.; Yamao, K. Diagnosis of autoimmune pancreatitis using endoscopic ultrasonography. J. Gastroenterol. 2009, 44, 154–159. [Google Scholar] [CrossRef] [PubMed]
- Okabe, Y.; Ishida, Y.; Kaji, R.; Sugiyama, G.; Yasumoto, M.; Naito, Y.; Toyonaga, A.; Tsuruta, O.; Sata, M. Endoscopic ultrasonographic study of autoimmune pancreatitis and the effect of steroid therapy. J. Hepatobiliary Pancreat. Sci. 2012, 19, 266–273. [Google Scholar] [CrossRef]
- Imazu, H.; Kanazawa, K.; Mori, N.; Ikeda, K.; Kakutani, H.; Sumiyama, K.; Hino, S.; Ang, T.L.; Omar, S.; Tajiri, H. Novel quantitative perfusion analysis with contrast-enhanced harmonic EUS for differentiation of autoimmune pancreatitis from pancreatic carcinoma. Scand. J. Gastroenterol. 2012, 47, 853–860. [Google Scholar] [CrossRef]
- Mei, M.; Ni, J.; Liu, D.; Jin, P.; Sun, L. EUS elastography for diagnosis of solid pancreatic masses: A meta-analysis. Gastrointest. Endosc. 2013, 77, 578–589. [Google Scholar] [CrossRef]
- Dietrich, C.F.; Hirche, T.O.; Ott, M.; Ignee, A. Real-time tissue elastography in the diagnosis of autoimmune pancreatitis. Endoscopy 2009, 41, 718–720. [Google Scholar] [CrossRef]
- Chen, J.; Yang, R.; Lu, Y.; Xia, Y.; Zhou, H. Diagnostic accuracy of endoscopic ultrasound-guided fine-needle aspiration for solid pancreatic lesion: A systematic review. J. Cancer Res. Clin. Oncol. 2012, 138, 1433–1441. [Google Scholar] [CrossRef]
- Kurita, A.; Yasukawa, S.; Zen, Y.; Yoshimura, K.; Ogura, T.; Ozawa, E.; Okabe, Y.; Asada, M.; Nebiki, H.; Shigekawa, M.; et al. Comparison of a 22-gauge Franseen-tip needle with a 20-gauge forward-bevel needle for the diagnosis of type 1 autoimmune pancreatitis: A prospective, randomized, controlled, multicenter study (COMPAS study). Gastrointest Endosc. 2020, 91, 373–381. [Google Scholar] [CrossRef]
- Xing, H.; Wang, J.; Wang, Y.; Tong, M.; Hu, H.; Huang, C.; Li, D. Diagnostic value of CA 19-9 and carcinoembryonic antigen for pancreatic cancer: A meta-analysis. Gastroenterol. Res. Pract. 2018, 2018, 8704751. [Google Scholar] [CrossRef]
- Network, N.C.C. The NCCN Clinical Practice Guidelines in Oncology (NCCN Guidelines®): Pancreatic Adenocarcinoma (Version 1.2020). 2019. Available online: https://www.nccn.org/professionals/physician_gls/default.aspx (accessed on 1 March 2023).
- Canto, M.I.; Hruban, R.H.; Fishman, E.K.; Kamel, I.R.; Schulick, R.; Zhang, Z.; Topazian, M.; Takahashi, N.; Fletcher, J.; Petersen, G.; et al. Frequent detection of pancreatic lesions in asymptomatic high-risk individuals. Gastroenterology 2012, 142, 796–804, quiz e14-5. [Google Scholar] [CrossRef] [PubMed]
- Poley, J.W.; Kluijt, I.; Gouma, D.J.; Harinck, F.; Wagner, A.; Aalfs, C.; van Eijck, C.H.J.; Cats, A.; Kuipers, E.J.; Nio, Y.; et al. The yield of first-time endoscopic ultrasonography in screening individuals at a high risk of developing pancreatic cancer. Am. J. Gastroenterol. 2009, 104, 2175–2181. [Google Scholar] [CrossRef] [PubMed]
- Crnogorac–Jurcevic, T.; Gangeswaran, R.; Bhakta, V.; Capurso, G.; Lattimore, S.; Akada, M.; Sunamura, M.; Prime, W.; Campbell, F.; Brentnall, T.A.; et al. Proteomic analysis of chronic pancreatitis and pancreatic adenocarcinoma. Gastroenterology 2005, 129, 1454–1463. [Google Scholar] [CrossRef] [PubMed]
- Ueda, J.; Tanaka, M.; Ohtsuka, T.; Tokunaga, S.; Shimosegawa, T.; Research Committee of Intractable Diseases of the Pancreas. Surgery for chronic pancreatitis decreases the risk for pancreatic cancer: A multicenter retrospective analysis. Surgery 2013, 153, 357–364. [Google Scholar] [CrossRef] [PubMed]






| Auxiliary Imaging Features to Differentiate CP from PDAC | |
|---|---|
| Smooth narrowing of the pancreatic duct as it traverses through the mass without any abrupt cut-off is a reliable sign that it is inflammatory. The diagnostic accuracy of this sign is 94%. |
| Presence of side-branch dilatation is a reliable sign that the mass is inflammatory in nature. This phenomenon is hypothesised to occur due to the traction effect caused by interstitial fibrosis in chronic pancreatitis, rather than mass effect from a neoplasm where duct obliteration would be expected. |
| PDAC is characterised by marked ductal dilatation and parenchymal atrophy. On EUS, a ratio of the diameters of MPD to parenchyma greater than 0.34 strongly suggests malignancy. |
| In patients with underlying CP who develop a malignancy, the mass displaces the calcifications to the periphery. |
| Simultaneous dilatation of both pancreatic and common bile ducts is an indicator of malignancy. It is seen in ampullary tumours and in 77% of the cases of pancreatic head malignancy; however, it is not exclusive to this, as it may also be seen in mass forming AIP as well as in other non-malignant conditions. |
| Soft tissue encasement is a characteristic sign of extra glandular spread of PDAC. The SMV teardrop sign showing malformation of SMV to a shape resembling a teardrop may suggest SMV encasement. Circumferential narrowing and vessel deformity may also be seen. |
| Enlargement of SMA relative to SMV with an SMA to SMV ratio greater than 1.0 is a sign favouring the diagnosis of malignancy. Release of vasoactive substances in acute pancreatitis results in an increase in diameter of the much more distensible SMV in comparison to SMA. In PDAC, the proposed hypothesis for dilatation of SMA is due to the increased resistance to blood flow or due to vessel wall infiltration. |
| Major Criteria | Minor Criteria |
|---|---|
| Nuclear size variation of 4:1 or greater between ductal epithelial cells | Huge irregular epithelial nucleoli |
| Incomplete ductal lumen and disorganised duct distribution | Necrotic glandular debris |
| Glandular mitoses | |
| Glands unaccompanied by connective tissue stroma within smooth muscle bundles | |
| Perineural invasion |
Disclaimer/Publisher’s Note: The statements, opinions and data contained in all publications are solely those of the individual author(s) and contributor(s) and not of MDPI and/or the editor(s). MDPI and/or the editor(s) disclaim responsibility for any injury to people or property resulting from any ideas, methods, instructions or products referred to in the content. |
© 2023 by the authors. Licensee MDPI, Basel, Switzerland. This article is an open access article distributed under the terms and conditions of the Creative Commons Attribution (CC BY) license (https://creativecommons.org/licenses/by/4.0/).
Share and Cite
Harindranath, S.; Sundaram, S. Approach to Pancreatic Head Mass in the Background of Chronic Pancreatitis. Diagnostics 2023, 13, 1797. https://doi.org/10.3390/diagnostics13101797
Harindranath S, Sundaram S. Approach to Pancreatic Head Mass in the Background of Chronic Pancreatitis. Diagnostics. 2023; 13(10):1797. https://doi.org/10.3390/diagnostics13101797
Chicago/Turabian StyleHarindranath, Sidharth, and Sridhar Sundaram. 2023. "Approach to Pancreatic Head Mass in the Background of Chronic Pancreatitis" Diagnostics 13, no. 10: 1797. https://doi.org/10.3390/diagnostics13101797
APA StyleHarindranath, S., & Sundaram, S. (2023). Approach to Pancreatic Head Mass in the Background of Chronic Pancreatitis. Diagnostics, 13(10), 1797. https://doi.org/10.3390/diagnostics13101797
