FIP1L1–PDGFRα-Positive Loeffler Endocarditis—A Distinct Cause of Heart Failure in a Young Male: The Role of Multimodal Diagnostic Tools
Abstract
1. Introduction
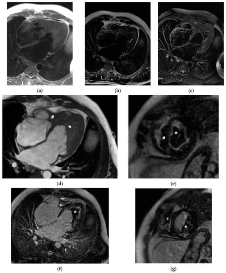
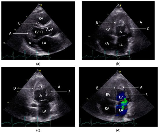
2. Case Presentation
3. Discussion
4. Conclusions
Author Contributions
Funding
Institutional Review Board Statement
Informed Consent Statement
Data Availability Statement
Conflicts of Interest
References
- Valent, P.; Klion, A.D.; Horny, H.P.; Roufosse, F.; Gotlib, J.; Weller, P.F.; Hellmann, A.; Metzgeroth, G.; Leiferman, K.M.; Arock, M.; et al. Contemporary consensus proposal on criteria and classification of eosinophilic disorders and related syndromes. J. Allergy Clin. Immunol. 2012, 130, 607–612. [Google Scholar] [CrossRef] [PubMed]
- Shomali, W.; Gotlib, J. World Health Organization-defined eosinophilic disorders: 2022 update on diagnosis, risk stratification, and management. Am. J. Hematol. 2022, 97, 129–148. [Google Scholar] [CrossRef] [PubMed]
- Valent, P.; Degenfeld-Schonburg, L.; Sadovnik, I.; Horny, H.P.; Arock, M.; Simon, H.U.; Reiter, A.; Bochner, B.S. Eosinophils and eosinophil-associated disorders: Immunological, clinical, and molecular complexity. Semin. Immunopathol. 2021, 43, 423–438. [Google Scholar] [CrossRef] [PubMed]
- Lupu, S.; Pop, M.; Mitre, A. Loeffler Endocarditis Causing Heart Failure with Preserved Ejection Fraction (HFpEF): Characteristic Images and Diagnostic Pathway. Diagnostics 2022, 12, 2157. [Google Scholar] [CrossRef]
- Requena, G.; van den Bosch, J.; Akuthota, P.; Kovalszki, A.; Steinfeld, J.; Kwon, N.; Van Dyke, M.K. Clinical Profile and Treatment in Hypereosinophilic Syndrome Variants: A Pragmatic Review. J. Allergy Clin. Immunol. Pract. 2022, 10, 2125–2134. [Google Scholar] [CrossRef]
- Arustamyan, M.; Hoosain, J.; Mattson, J.; Hasni, S.F.; Cho, S.H.; Gorodin Kiliddar, P. Loeffler Endocarditis: A Manifestation of Hypereosinophilic Syndrome. CASE 2019, 4, 74–77. [Google Scholar] [CrossRef]
- Mattis, D.M.; Wang, S.A.; Lu, C.M. Contemporary Classification and Diagnostic Evaluation of Hypereosinophilia. Am. J. Clin. Pathol. 2020, 154, 305–318. [Google Scholar] [CrossRef] [PubMed]
- Legrand, F.; Renneville, A.; MacIntyre, E.; Mastrilli, S.; Ackermann, F.; Cayuela, J.M.; Rousselot, P.; Schmidt-Tanguy, A.; Fain, O.; Michel, M.; et al. The Spectrum of FIP1L1-PDGFRA-Associated Chronic Eosinophilic Leukemia: New Insights Based on a Survey of 44 Cases. Medicine 2013, 92, e1–e9. [Google Scholar] [CrossRef]
- Qu, S.Q.; Qin, T.J.; Xu, Z.F.; Zhang, Y.; Ai, X.F.; Li, B.; Zhang, H.L.; Fang, L.W.; Pan, L.J.; Hu, N.B.; et al. Long-term outcomes of imatinib in patients with FIP1L1/PDGFRA associated chronic eosinophilic leukemia: Experience of a single center in China. Oncotarget 2016, 7, 33229–33236. [Google Scholar] [CrossRef]
- Butt, N.M.; Lambert, J.; Ali, S.; Beer, P.A.; Cross, N.C.; Duncombe, A.; Ewing, J.; Harrison, C.N.; Knapper, S.; McLornan, D.; et al. Guideline for the investigation and management of eosinophilia. Br. J. Haematol. 2017, 176, 553–572. [Google Scholar] [CrossRef]
- Gotlib, J.; Cools, J. Five years since the discovery of FIP1L1-PDGFRA: What we have learned about the fusion and other molecularly defined eosinophilias. Leukemia 2008, 22, 1999–2010. [Google Scholar] [CrossRef] [PubMed]
- Buitenhuis, M.; Verhagen, L.P.; Cools, J.; Coffer, P.J. Molecular mechanisms underlying FIP1L1-PDGFRA-mediated myeloproliferation. Cancer Res. 2007, 67, 3759–3766. [Google Scholar] [CrossRef] [PubMed]
- Rohmer, J.; Couteau-Chardon, A.; Trichereau, J.; Panel, K.; Gesquiere, C.; Ben Abdelali, R.; Bidet, A.; Bladé, J.S.; Cayuela, J.M.; Cony-Makhoul, P.; et al. Epidemiology, clinical picture and long-term outcomes of FIP1L1-PDGFRA-positive myeloid neoplasm with eosinophilia: Data from 151 patients. Am. J. Hematol. 2020, 95, 1314–1323. [Google Scholar] [CrossRef]
- Tefferi, A.; Gotlib, J.; Pardanani, A. Hypereosinophilic syndrome and clonal eosinophilia: Point-of-care diagnostic algorithm and treatment update. Mayo Clin. Proc. 2010, 85, 158–164. [Google Scholar] [CrossRef] [PubMed]
- Wang, S.A. The Diagnostic Work-Up of Hypereosinophilia. Pathobiology 2019, 86, 39–52. [Google Scholar] [CrossRef]
- Helbig, G.; Moskwa, A.; Hus, M.; Piszcz, J.; Swiderska, A.; Urbanowicz, A.; Całbecka, M.; Seferyńska, I.; Raźny, M.; Rodzaj, M.; et al. Durable remission after treatment with very low doses of imatinib for FIP1L1-PDGFRα-positive chronic eosinophilic leukaemia. Cancer Chemother. Pharmacol. 2011, 67, 967–969. [Google Scholar] [CrossRef]
- Zhong, Z.; Yang, Z.; Peng, Y.; Wang, L.; Yuan, X. Diagnosis and treatment of eosinophilic myocarditis. J. Transl. Autoimmun. 2021, 4, 100118. [Google Scholar] [CrossRef]
- Kim, N.K.; Kim, C.Y.; Kim, J.H.; Jang, S.Y.; Bae, M.H.; Lee, J.H.; Yang, D.H.; Park, H.S.; Cho, Y.; Chae, S.C. A Hypereosinophilic Syndrome with Cardiac Involvement from Thrombotic Stage to Fibrotic Stage. J. Cardiovasc. Ultrasound. 2015, 23, 100–102. [Google Scholar] [CrossRef]
- Baltazares-Lipp, M.E.; Soto-González, J.I.; Aboitiz-Rivera, C.M.; Carmona-Ruíz, H.A.; Ortega, B.S.; Blachman-Braun, R. Hypereosinophilic Syndrome: A Case of Fatal Löffler Endocarditis. Case Rep. Cardiol. 2016, 2016, 2359532. [Google Scholar] [CrossRef]
- Polito, M.V.; Hagendorff, A.; Citro, R.; Prota, C.; Silverio, A.; De Angelis, E.; Klingel, K.; Metze, M.; Stöbe, S.; Hoffmann, K.T.; et al. Loeffler’s Endocarditis: An Integrated Multimodality Approach. J. Am. Soc. Echocardiogr. 2020, 33, 1427–1441. [Google Scholar] [CrossRef]
- Guglielmo, M.; Pontone, G. Clinical implications of cardiac magnetic resonance imaging fibrosis. Eur. Heart J. Suppl. 2022, 24 (Suppl. I), I123–I126. [Google Scholar] [CrossRef] [PubMed]
- Mankad, R.; Bonnichsen, C.; Mankad, S. Hypereosinophilic syndrome: Cardiac diagnosis and management. Heart 2016, 102, 100–106. [Google Scholar] [CrossRef] [PubMed]
- Alam, A.; Thampi, S.; Saba, S.G.; Jermyn, R. Loeffler Endocarditis: A Unique Presentation of Right-Sided Heart Failure Due to Eosinophil-Induced Endomyocardial Fibrosis. Clin. Med. Insights Case Rep. 2017, 10, 1179547617723643. [Google Scholar] [CrossRef] [PubMed]
- Lodha, A.; Haran, M.; Shetty, V.; Sadiq, A.; Hollander, G.; Shani, J. Hypereosinophilic syndrome presenting with biventricular cardiac thrombi. Echocardiography 2010, 27, E57–E59. [Google Scholar] [CrossRef]
- Afzal, S.; Ahmed, T.; Saleem, T.; Chan, A. Loeffler’s Endocarditis and the Diagnostic Utility of Multimodality Imaging. Cureus 2020, 12, e10061. [Google Scholar] [CrossRef]
- Ogbogu, P.U.; Bochner, B.S.; Butterfield, J.H.; Gleich, G.J.; Huss-Marp, J.; Kahn, J.E.; Leiferman, K.M.; Nutman, T.B.; Pfab, F.; Ring, J.; et al. Hypereosinophilic syndrome: A multicenter, retrospective analysis of clinical characteristics and response to therapy. J. Allergy Clin. Immunol. 2009, 124, 1319–1325.e3. [Google Scholar] [CrossRef]
- Gao, M.; Zhang, W.; Zhao, W.; Qin, L.; Pei, F.; Zheng, Y. Loeffler endocarditis as a rare cause of heart failure with preserved ejection fraction: A case report and review of literature. Medicine 2018, 97, e0079. [Google Scholar] [CrossRef]
- Helbig, G.; Lewandowski, K.; Świderska, A.; Rodzaj, M.; Seferyńska, I.; Gajkowska-Kulik, J. Exquisite response to imatinib mesylate in FIP1L1-PDGFRA-mutated hypereosinophilic syndrome: A 12-year experience of the Polish Hypereosinophilic Syndrome Study Group. Pol. Arch. Intern. Med. 2020, 130, 255–257. [Google Scholar] [CrossRef]
- Klion, A.D.; Robyn, J.; Maric, I.; Fu, W.; Schmid, L.; Lemery, S.; Noel, P.; Law, M.A.; Hartsell, M.; Talar-Williams, C.; et al. Relapse following discontinuation of imatinib mesylate therapy for FIP1L1/PDGFRA-positive chronic eosinophilic leukemia: Implications for optimal dosing. Blood 2007, 110, 3552–3556. [Google Scholar] [CrossRef]
- Cadenas, F.L.; Bua, B.R.; Campelo, M.D.; Rieu, J.B.; Bain, B.J. A myeloid neoplasm with FIP1L1-PDGFRA presenting as acute myeloid leukemia. Am. J. Hematol. 2020, 94, 1214–1215. [Google Scholar] [CrossRef]
- Arefi, M.; Garcia, J.L.; Briz, M.M.; de Arriba, F.; Rodriguez, J.N.; Martin-Nunez, G.; Martinez, J.; Lopez, J.; Suarez, J.G.; Moreno, M.J.; et al. Response to imatinib mesylate in patients with hypereosinophilic syndrome. Int. J. Hematol. 2012, 96, 320–326. [Google Scholar] [CrossRef]
- Gotlib, J.; Cools, J.; Malone, J.M., 3rd; Schrier, S.L.; Gilliland, D.G.; Coutré, S.E. The FIP1L1-PDGFRalpha fusion tyrosine kinase in hypereosinophilic syndrome and chronic eosinophilic leukemia: Implications for diagnosis, classification, and management. Blood 2004, 103, 2879–2891. [Google Scholar] [CrossRef] [PubMed]
- Jain, N.; Cortes, J.; Quintás-Cardama, A.; Manshouri, T.; Luthra, R.; Garcia-Manero, G.; Kantarjian, H.; Verstovsek, S. Imatinib has limited therapeutic activity for hypereosinophilic syndrome patients with unknown or negative PDGFRalpha mutation status. Leuk. Res. 2009, 33, 837–839. [Google Scholar] [CrossRef]
- Kumar, A.N.; Sathyanarayanan, V.; Devi, V.L.; Rajkumar, N.N.; Das, U.; Dutt, S.; Chinnagiriyappa, L.K. FIP1L1-PDGFRA-Positive Chronic Eosinophilic Leukemia: A Low-Burden Disease with Dramatic Response to Imatinib—A Report of 5 Cases from South India. Turk. J. Haematol. 2014, 31, 56–60. [Google Scholar] [CrossRef]
- Bonou, M.; Kapelios, C.J.; Benetos, G.; Moyssakis, I.; Giannakopoulou, N.; Diamantopoulos, P.; Korkolopoulou, P.; Variami, E.; Barbetseas, J. Hypereosinophilic Syndrome as a Rare Cause of Reversible Biventricular Heart Failure. Can. J. Cardiol. 2017, 33, 688.e5–688.e7. [Google Scholar] [CrossRef] [PubMed]
- Zhang, Q.; Si, D.; Zhang, Z.; Zhang, W. Loeffler endocarditis with intracardiac thrombus: Case report and literature review. BMC Cardiovasc. Disord. 2021, 21, 615. [Google Scholar] [CrossRef] [PubMed]




Disclaimer/Publisher’s Note: The statements, opinions and data contained in all publications are solely those of the individual author(s) and contributor(s) and not of MDPI and/or the editor(s). MDPI and/or the editor(s) disclaim responsibility for any injury to people or property resulting from any ideas, methods, instructions or products referred to in the content. |
© 2023 by the authors. Licensee MDPI, Basel, Switzerland. This article is an open access article distributed under the terms and conditions of the Creative Commons Attribution (CC BY) license (https://creativecommons.org/licenses/by/4.0/).
Share and Cite
Varga, A.; Moldovan, D.A.; Pop, M.; Benedek, I.; Kövecsi, A.; Dumbrava, R.A.; Iancu, D.G.; Cristescu, L.; Huma, L.; Tilea, I. FIP1L1–PDGFRα-Positive Loeffler Endocarditis—A Distinct Cause of Heart Failure in a Young Male: The Role of Multimodal Diagnostic Tools. Diagnostics 2023, 13, 1795. https://doi.org/10.3390/diagnostics13101795
Varga A, Moldovan DA, Pop M, Benedek I, Kövecsi A, Dumbrava RA, Iancu DG, Cristescu L, Huma L, Tilea I. FIP1L1–PDGFRα-Positive Loeffler Endocarditis—A Distinct Cause of Heart Failure in a Young Male: The Role of Multimodal Diagnostic Tools. Diagnostics. 2023; 13(10):1795. https://doi.org/10.3390/diagnostics13101795
Chicago/Turabian StyleVarga, Andreea, Diana Andreea Moldovan, Marian Pop, Istvan Benedek, Attila Kövecsi, Robert Adrian Dumbrava, Dragos Gabriel Iancu, Liviu Cristescu, Laurentiu Huma, and Ioan Tilea. 2023. "FIP1L1–PDGFRα-Positive Loeffler Endocarditis—A Distinct Cause of Heart Failure in a Young Male: The Role of Multimodal Diagnostic Tools" Diagnostics 13, no. 10: 1795. https://doi.org/10.3390/diagnostics13101795
APA StyleVarga, A., Moldovan, D. A., Pop, M., Benedek, I., Kövecsi, A., Dumbrava, R. A., Iancu, D. G., Cristescu, L., Huma, L., & Tilea, I. (2023). FIP1L1–PDGFRα-Positive Loeffler Endocarditis—A Distinct Cause of Heart Failure in a Young Male: The Role of Multimodal Diagnostic Tools. Diagnostics, 13(10), 1795. https://doi.org/10.3390/diagnostics13101795

