You are currently viewing a new version of our website. To view the old version click .
Diagnostics
  • Case Report
  • Open Access

16 September 2022

Encrusted Uretero-Pyelitis Caused by Corynebacterium urealyticum: Case Report and Literature Review

,
,
,
,
,
,
,
,
and
1
Department of Urology, “Pius Brinzeu” Clinical Emergency County Hospital, 300736 Timisoara, Romania
2
Department of Urology, “Victor Babes” University of Medicine and Pharmacy, 300041 Timisoara, Romania
3
Department of Hematology, Clinical Emergency City Hospital, 300723 Timisoara, Romania
4
Department of Nephrology, “Pius Brinzeu” Clinical Emergency County Hospital, 300736 Timisoara, Romania
This article belongs to the Special Issue Urinary Stones and Infections

Abstract

We report the case of a 70-year-old female patient with solitary functioning left kidney and encrusted uretero-pyelitis caused by Corynebacterium urealyticum, which was treated by antibiotic therapy and oral acidification with L-methionine. We review the literature for similarly reported cases.

1. Background

Encrusted uretero-pyelitis (EUP) is characterized by the presence of calcifications on the wall of the pelvicalyceal system and ureter, usually associated with urinary tract infection caused by Corynebacterium urealyticum. It is a very rare and serious disease, first reported by Morales et al. in 1992 [1]. EUP may be associated with encrusted cystitis, which has an identical pathophysiology. Predisposing factors are the presence in the urinary tract of urea splitting bacteria responsible for alkaline urine, a history of urological procedures or pre-existing mucosal lesions, and immunosuppression, which are found in most patients. In many cases, EUP is related to a hospital-acquired infection. The specific aspect of the calcifications on CT scan can help to diagnose the disease [1,2]. The majority of Corynebacterium urealyticum strains are multi-drug resistant, but with universal sensitivity to vancomycin and teicoplanin [3]. The treatment of EUP consists of antibiotic therapy with glycopeptides and urine acidification [1,2].
We report the case of a female patient with encrusted uretero-pyelitis caused by Corynebacterium urealyticum, with an unfavorable outcome.

2. Case Report

2.1. Presentation

A 70-year-old female patient, with right atrophic kidney and chronic kidney disease (CKD) stage 3b diagnosed two years before, was admitted to the emergency room with hypogastric pain, urinary frequency, dysuria, persistent macroscopic hematuria, and a mildly altered general condition two years after diagnosis. She had a history of recurrent urinary tract infections (>3 episodes/year, mostly with E. Coli) and had undergone an endoscopic bladder biopsy for a suspicion of calcified bladder tumor two years before, for which the pathology revealed changes suggestive of chronic inflammation. Her medical history included Parkinson’s disease (under therapy with rasagiline), stage II essential hypertension (treated with candesartan), bilateral operated pertrochanteric fracture, and severe obesity (BMI = 40.4 kg/m2).

2.2. Diagnosis

At hospital admission, the clinical examination revealed skin pallor and pain at the percussion of the left lumbar region. Blood tests revealed: CKD stage G5 KDIGO (serum creatinine = 5.7 mg/dL, eGFR = 8 mL/min/1.73 m2), mild hyperkalemia (5.9 mmol/L), hypoalbuminemia (2.4 g/dL), and severe hypochromic, microcytic anemia (hemoglobin = 5.5 g/dL, mean corpuscular volume = 74.8 Fl, mean corpuscular hemoglobin concentration = 29.6 g/dL). Urinalysis revealed an alkaline urine (pH = 8.6), low density (1009), proteinuria, and gross hematuria. Standard urine culture was negative.
The peripheral smear showed anisocytosis with microcytes, anisochromia with marked hypochromia, anulocytes, and rare ovalocytes. Based on these results, the hematological evaluation established the diagnosis of severe, multifactorial, hypochromic microcytic anemia. The most probable cause of the anemia was the chronic iron deficiency due to infection (the serum ferritin level was 5 µg/L), which was associated with the renal impairment and subsequent erythropoietin deficiency.
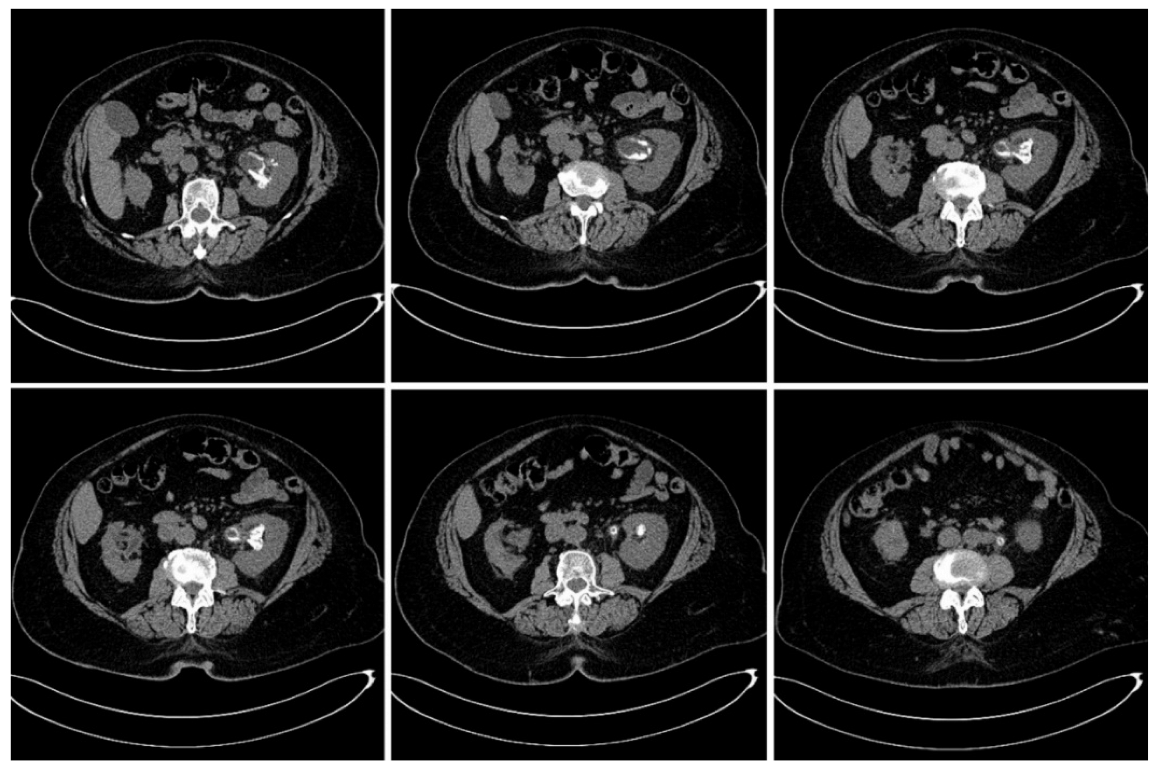
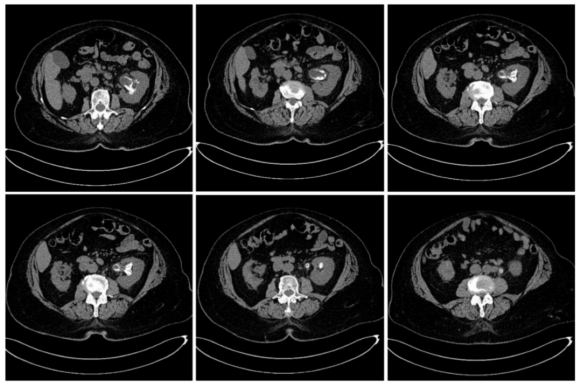
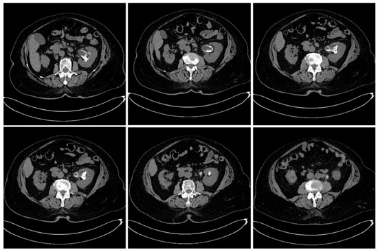
Emergency abdominal and pelvic non-contrast CT scan showed multiple thin left ureteral, pyelic, and calyceal calcifications on the surface of the urothelium, which are specific to encrusted uretero-pyelitis, with a maximum density of 510 Hounsfield units and with a mild dilation of the upper left urinary tract, right kidney hypoplasia, and enlarged retroperitoneal lymph nodes (Figure 1 and Figure 2).
Figure 1. Axial plane images of abdominal and pelvic CT scan without contrast showing multiple pyelic, calyceal, and ureteral calcifications specific to encrusted uretero-pyelitis.
Figure 2. Multiplanar reconstruction of abdominal and pelvic CT scans without contrast shows multiple ureteral, pyelic, and calyceal encrustations.
Based on the imaging and laboratory findings, the diagnosis established in the Department of Urology (together with the nephrologist) was of encrusted uretero-pyelitis with obstructive nephropathy and acute kidney injury AKIN 3/CKD G5, CKD-MBD (mineral bone disease) (iPTH = 205.6 pg/mL, serum phosphate = 5.5 mg/dL).
The next step of the investigation included a urethro-cystoscopy, which revealed cloudy urine and a diffuse erythematous swelling of the bladder mucosa, characteristic of chronic cystitis, with no apparent bladder calcifications. Thereafter, during the same operating theatre session under general anesthesia, we inserted a catheter into the left ureter orifice and performed contrast retrograde ureteropyelography, which showed non-homogenous opacification of the collecting system due to the presence of multiple parietal calcifications at the level of the left pelvicalyceal system and ureter. Unfortunately, during this intervention, we did not collect a selective urine culture from the left collecting system, which could have been useful for the diagnosis.
Considering the initial negative urine culture, the high values of the urinary pH, and the presence of the uretero-pelvic calcifications, we thought about a possible infection with Corynebacterium urealyticum. Three days after hospital admission, a new urine sample was collected. The cytobacteriological examination of the urine (CBEU) revealed >105 CFU/mL Corynebacterium urealyticum. Urine culture was performed on Columbia blood agar and chromogenic media, with a 48 h incubation period at 35–37 °C; identification was performed using matrix-assisted laser desorption/ionization—time-of-flight mass spectrometry (MALDI-TOF, Brucker Daltonics, Billerica, MA, USA). Disk diffusion antimicrobial susceptibility testing using the breakpoints of the European Committee on Antimicrobial Susceptibility Testing (EUCAST) showed susceptibility to fluoroquinolones and glycopeptides.

2.3. Therapy

Following the retrograde ureteropyelography, we inserted a left double-J ureteric stent, with the intention of facilitating the urinary drainage from the left kidney, considering that the opposite right kidney was hypoplastic (Figure 3).
Figure 3. Fluoroscopic image after the placement of the left ureteric stent.
Initial antibiotic therapy was performed with intravenous ciprofloxacin 100 mg bid for five days; when the infection with Corynebacterium urealyticum was confirmed, considering the lack of clinical improvement from ciprofloxacin, we switched to antibiotic therapy with intravenous vancomycin (15 mg/kg/day). Moreover, urine acidification therapy was started with oral L-methionine at 2 g/day.
Four units of packed red blood cells were given to correct the severe anemia, while the hyperkalemia was corrected by administering calcium gluconate and furosemide, following the recommendations of the nephrologist.

2.4. Hospital Discharge

The patient was discharged after fourteen days, with the following lab results: serum creatinine = 5.2 mg/dL (eGFR = 9 mL/min/1.73 m2), hemoglobin = 8.7 g/dL, serum urea = 92 mg/dL, and kalium = 4.7 mmol/L. The general condition of the patient was significantly improved, and she was instructed to continue the urine acidification therapy together with oral iron therapy.

2.5. Follow-Up

On the sixth week follow-up visit, the general condition of the patient was good, with a complete cessation of the gross hematuria. The hemoglobin level was 9.5 g/dL and kalium level was 5.2 mmol/L; however, renal function did not improve (serum creatinine level was 5.6 mg/dL, eGFR = 8 mL/min/1.73 m2), and consequently, we extracted the double-J stent (which had minimal calcifications at its proximal end) since we considered that it did not cause any improvement in the patient’s renal function. Urine pH was 6.0, and the special CBEU urine culture for Corynebacterium urealyticum was negative. The non-contrast abdominal CT scan showed partial regression of the encrustations, and the maximum density of the calcifications had decreased to 390 Hounsfield units. Considering these improvements, oral acidification of the urine with L-methionine was continued (Figure 4).
Figure 4. Three-dimensional reconstruction based on the non-contrast CT examinations of the patient at the moment of diagnosis (A) and on the sixth week follow-up visit (B), with the ureteric stent in place, showing the partial regression of the pyelic and calyceal calcifications, and the complete regression of the upper ureter calcifications.
Unfortunately, the slow progression of the chronic kidney disease led to the indication of renal replacement therapy, thus prompting the patient to finally start chronic hemodialysis after eleven months.

3. Discussion

Encrusted pyelitis is an underdiagnosed, severe, and rare infectious disease that affects the urothelium, mostly caused by Corynebacterium urealyticum, which is usually missed in routine urine cultures. [1,2]. The identification of C. urealyticum is one of the biggest challenges for bacteriologists because it does not grow well after standard incubation [3]. C. urealyticum can only be isolated after 48 h of incubation at 35–37 °C, preferably in 10% CO2, mainly on blood agar [4]. The majority of C. urealyticum strains are multi-drug resistant, with universal susceptibility to vancomycin and teicoplanin [3]. C. urealyticum is a non-hemolytic, Gram-positive, aerobic bacillus with high urease activity, which is the cause of urine alkalinization (pH > 8) and magnesium ammonium phosphate stone formation (struvite). It has a marked tropism for urothelial cells, as demonstrated by Marty et al., which explains its ability to reach the upper urinary tract and produce encrustations in the collecting system [5]. A crystallographic analysis of the encrustations has revealed these to be predominantly struvite, but also apatite and proteins [6]. Urinary infections due to C. urealyticum are mostly nosocomial—the pathogen resides frequently in the groin of elderly patients receiving broad spectrum antibiotics, eventually favoring the colonization of urinary catheters and subsequent infections of the bladder [4]. The urinary tract infection requires a history of immunosuppression or prolonged antibiotic therapy, a history of urological procedures with contamination of the urinary tract, or a pre-existing inflammatory or neoplastic lesion of the urothelium, which provide favorable conditions for stone encrustation [1,7,8].
Encrusted uretero-pyelitis can appear in many clinical forms, and symptoms are not specific. Symptoms of cystitis are usually present and are similar to those produced by other bacteria. Patients frequently present with fever, dysuria, gross hematuria, and flank pain. Clinical aspects suggesting urinary tract infection with Corynebacterium urealyticum are the strong odor of ammonia in the urine, persistent alkaline pH, and the formation of struvite stones. Renal failure is usually present in patients with bilateral encrusted pyelitis, which involves native or transplanted kidneys. The diagnosis is based on a non-contrast, enhanced CT scan combined with urinalysis and a cytobacteriological examination of the urine (CBEU) in order to prove the infection with C. urealyticum. The effective accuracy of each imaging technique in detecting encrusted plaques is difficult to assess due to the rare occurrence of this disease. CT is the optimal imaging technique for the diagnosis of encrustations, particularly in the upper urinary tract, because it permits excellent visualization of the walls of the collecting system and can detect even thin radiolucent calcifications. A non-contrast, enhanced CT scan shows high-density edging lesions of the upper urinary tract that can be thin and regular or thick and irregular, and which can be differentiated from staghorn calculi through multiplanar reconstruction. It can also detect associated infectious complications such as perinephric abscess or periureteral inflammatory changes with fat stranding. Although contrast-enhanced CT could add valuable information regarding the functionality of the kidneys, thus documenting an eventual urinary tract obstruction, we recommend it with great care, especially in patients with altered renal function, due to the increased risk of contrast induced nephropathy. If endoscopic evaluation is performed, calcified plaques under the mucosa of the urinary tract can be observed. Frequent complications of encrusted pyelitis are obstructive uropathy associated with end-stage renal failure, ureteral stenosis, and renal abscesses [1,6,7,8,9].
In one macroscopic histological analysis of an excised kidney graft due to encrusted pyelitis, the thickened walls of the collecting system with superficial calcifications were revealed. In a microscopic analysis of the collecting system, three layers were revealed: a superficial layer with necrosis and calcifications, an intermediate layer with inflammatory changes, and a third layer corresponding to normal renal parenchyma [8].
Because of its slow growth (48–72 h), C. urealyticum is easily missed during normal CBEU, and therefore it is mandatory to communicate the suspicion of atypical bacteria to the bacteriologist. C. urealyticum can also be identified among stone fragments, plaques, or calcified mucosal debris. If cultures are negative and there is a major suspicion of C. urealyticum, PCR can be used for rapid diagnosis [10].
Treatment of encrusted pyelitis initially consisted in the surgical removal of the encrusted plaques, with poor results, mostly due to poor knowledge of the pathophysiology of the disease. Aguado et al. emphasized the importance of antibiotic treatment in association with urinary acidification [1,11]. C. urealyticum is a multi-drug resistant organism with intrinsic susceptibility to glycopeptides and 50% resistance rate to fluoroquinolones [2,3]. First-line antibiotic treatment consists of vancomycin or teicoplanin, whose efficacy is not influenced by the urinary pH. The calcified encrustations may be dissolved by oral or topical acidification. If encrustations are thin and not too extensive, oral acidification of the urine may be sufficient to dissolve the plaques [12,13]. When encrustations are thick and extensive, local acidification should be performed with urinary acidification solutions. Topical dissolution is performed via a nephrostomy tube and ureteral catheter in order to avoid high renal pressure, which must be maintained below 25 cm H2O. Thomas solution (sodium gluconate 27 g, citric acid 27 g, malic acid 27 g, distilled water 1000 mL) or hemiacridine solution are mostly used. Local flow rate must be adapted to patient tolerance (20–50 mL/h) [6]. The most frequent complication is candiduria. Oral dissolution of the plaques as a non-invasive alternative was first described by Khallouk et al. in 2006 and is achieved through the oral administration of ammonium chloride or L-methionine, with no significant side effects and good tolerability [8,12].
Combined antibiotic therapy and urine acidification must be administered for several weeks. Urine cultures and evaluation CT scans are performed at various intervals to assess treatment efficacy. Treatment duration is not well-established as it depends on the obtained results [6].

4. Literature Review

We performed an extensive literature search on PubMed for articles published up to December 2021, searching for cases of encrusted uretero-pyelitis caused by Corynebacterium urealyticum. No language restrictions were applied. Our search included 19 published case reports, with a total of 55 adult patients and 3 pediatric patients (aged 4, 9, and 13 years) (Table 1). Mean adult patient age was 65 years, 25 of them were males and 30 were females. The reports involved 40 patients (69%) with native kidneys and 18 patients (31%) with kidney grafts. At initial presentation and admission, 41 patients (71%) had renal failure, and 35 had obstructive uropathy (60%). Diagnosis of encrusted uretero-pyelitis caused by C. urealyticum was made mostly with the help of urine cultures on selective media and imaging of the urinary tract. Antibiotic therapy with vancomycin or teicoplanin was administered in 56 of the 58 reported cases (in two cases, the used antibiotic was not specified). Urine diversion was performed in 49 cases (84%) and consisted mostly of a combination of percutaneous nephrostomy and ureteral double-J catheter in order to ensure good urinary drainage and to facilitate continuous irrigation with urinary acidifying agents. Urinary acidification was achieved in 40 cases (69%), with continuous irrigation with Thomas solution through a nephrostomy tube. Chemolysis was well-tolerated overall, but it required strict supervision to prevent complications, to ensure that the urine remained sterile, and to maintain unobstructed inflow and outflow with low intrapelvic pressure. In four cases, oral acidification with L-methionine was used, with good results and partial recovery of renal function. Acetohydroxamic acid was used in association with continuous irrigation in two cases. Endoscopic surgical treatment, consisting of percutaneous nephrolithotripsy or ureteroscopy, was performed in 13 of the reported cases (22%), while open surgical treatment was performed in 4 cases (7%). Outcome was favorable in 34 of the cases reported (59%), with good recovery of eGFR and complete disappearance of the encrusted calcifications on the follow-up CT scan. Partial recovery of eGFR with partial improvement of the encrusted calcifications was noted in three cases. The progression of chronic kidney disease and the need for hemodialysis was observed in 13 patients (22%). One patient died of septic shock, two due hemorrhagic complications, and five due to other causes [9,11,13,14,15,16,17,18,19,20,21,22,23,24,25,26,27,28,29,30].
Table 1. Published cases of encrusted uretero-pyelitis caused by Corynebacterium urealyticum.

5. Conclusions

Encrusted uretero-pyelitis caused by C. urealyticum is an underdiagnosed, rare, and severe disease. Confirmation of the infection requires the use of a special cytobacteriological examination of the urine (CBEU) technique. The treatment is initially conservative and consists in a combination of specific antibiotic therapy and urinary acidification, administered either locally or orally. Oral acidification of the urine is a less invasive and efficient alternative to topical urinary acidification, with a lower risk of treatment-related complications. The follow-up regimen and the endourological treatment plan are not well-established and depend mostly on the results obtained.
In our case, the patient had a history of encrusted cystitis, with no initial identification of the infection with C. urealyticum, which led to the irreversible damage of the kidney function despite the partial improvement of the encrusted uretero-pelvic calcifications after antibiotherapy and urine acidification therapy.

Author Contributions

Conceptualization, A.V.R. and R.B.; methodology, A.V.R., M.B., A.C. and R.B.; validation, A.V.R., I.A.P. and R.B.; formal analysis, A.V.R. and R.B.; investigation, A.V.R., S.M., S.L., D.N., C.R.B., F.B., M.L. and R.B.; resources, A.V.R., I.A.P., A.C. and R.B.; writing—original draft preparation, A.V.R. and R.B.; writing—review and editing, A.V.R., I.A.P. and R.B.; visualization, A.V.R., I.A.P., C.R.B., F.B., M.L. and R.B.; supervision, I.A.P. and R.B.; project administration, R.B.; funding acquisition, I.A.P. and R.B. All authors have read and agreed to the published version of the manuscript.

Funding

The APC was funded by the Victor Babes University of Medicine and Pharmacy, Timisoara, Romania.

Institutional Review Board Statement

The case report was approved by the Ethics Committee of the Pius Brinzeu Clinical Emergency County Hospital Timisoara, approval number 323, 18 August 2022.

Acknowledgments

The authors would like to thank Laura Petruti and Sorin Motoi, from the Department of Medical Imaging in the “Pius Brinzeu” Clinical Emergency County Hospital Timisoara, for providing the CT images and interpretation.

Conflicts of Interest

The authors declare no conflict of interest.

References

  1. Morales, J.M.; Aguado, J.M.; Diaz-Gonzalez, R.; Salto, E.; Andres, A.; Campo, C.; Praga, M.; A Martinez, M.; Leiva, O.; Rodriguez-Noriega, A. Alkaline-encrusted pyelitis/cystitis and urinary tract infection due to corynebacterium urealyticum: A new severe complication after renal transplantation. Transplant. Proc. 1992, 24, 81–82. [Google Scholar]
  2. Bluth, M.H.; Salem, N.; Salem, L.; Saber, S.; Ismail, G.A. Corynebacterium urealyticum: A comprehensive review of an understated organism. Infect. Drug Resist. 2015, 8, 129–145. [Google Scholar] [CrossRef]
  3. Tauch, A.; Trost, E.; Tilker, A.; Ludewig, U.; Schneiker, S.; Goesmann, A.; Arnold, W.; Bekel, T.; Brinkrolf, K.; Brune, I.; et al. The lifestyle of Corynebacterium urealyticum derived from its complete genome sequence established by pyrosequencing. J. Biotechnol. 2008, 136, 11–21. [Google Scholar] [CrossRef]
  4. Bernard, K. Corynebacterium species and coryneforms: An update on taxonomy and diseases attributed to these taxa. Clin. Microbiol. Newsl. 2005, 27, 9–18. [Google Scholar] [CrossRef]
  5. Marty, N.; Agueda, L.; Lapchine, L.; Clavé, D.; Henry-Ferry, S.; Chabanon, G. Adherence and hemagglutination ofCorynebacterium group D2. Eur. J. Clin. Microbiol. 1991, 10, 20–24. [Google Scholar] [CrossRef]
  6. Meria, P.; Desgrippes, A.; Arfi, C.; Le Duc, A. Encrusted cystitis and pyelitis. J. Urol. 1998, 160, 3–9. [Google Scholar] [CrossRef]
  7. Eschwege, P.; Hauk, M.; Blanchet, P.; Hiesse, C.; Vieillefond, A.; Blery, M.; Charpentier, B.; Benoit, G. Imaging analysis of encrusted cystitis and pyelitis in renal transplantation. Transplant. Proc. 1995, 27, 2444–2445. [Google Scholar]
  8. Thoumas, D.; Darmallaicq, C.; Pfister, C.; Savoye-Collet, C.; Sibert, L.; Grise, P.; Lemaitre, L.; Benozio, M. Imaging Characteristics of Alkaline-Encrusted Cystitis and Pyelitis. Am. J. Roentgenol. 2002, 178, 389–392. [Google Scholar] [CrossRef]
  9. Cappuccino, L.; Bottino, P.; Torricella, A.; Pontremoli, R. Nephrolithiasis by Corynebacterium urealyticum infection: Literature review and case report. J. Nephrol. 2014, 27, 117–125. [Google Scholar] [CrossRef]
  10. Simoons-Smit, A.M.; Savelkoul, P.H.M.; Newling, D.W.W.; Vandenbroucke-Grauls, C.M.J. Chronic cystitis caused by Corynebacterium urealyticum detected by polymerase chain reaction. Eur. J. Clin. Microbiol. Infect. Dis. 2000, 19, 949–952. [Google Scholar] [CrossRef]
  11. Aguado, J.M.; Morales, J.M.; Salto, E.; Lumbreras, C.; Lizasoain, M.; Diaz-Gonzalez, R.; Martinez, M.A.; Andres, A.; Praga, M.; Noriega, A.R. Encrusted Pyelitis And Cystitis by Corynebacterium Urealyticum (CDC GROUP D2): A New and Threatening Complication Following Renal Transplant. Transplantation 1993, 56, 617–622. [Google Scholar] [CrossRef]
  12. Khallouk, A.; Wallerand, H.; Kleinclauss, F.; Bittard, H.; Bernardini, S. Conservative management of Corynebacterium urealyticum encrusted cystitis. Prog. Urol. 2006, 16, 496–498. [Google Scholar]
  13. Meria, P.; Desgrippes, A.; Fournier, R.; Arfi, C.; Antoine, C.; Martinat l Teillac, P.; Le Duc, A. The conservative management of Corynebacterium group D2 encrusted pyelitis. BJU Int. 1999, 84, 270–275. [Google Scholar] [CrossRef]
  14. Dominguez-Gil, B.; Herrero, J.C.; Carreño, A.; Morales, E.; Andres, A.; Aguado, J.M.; Díaz-González, R.; Benito, A.; Morales, J.M. Ureteral stenosis secondary to encrustation by urea-splitting Corynebacterium urealyticum in a kidney transplant patient. Nephrol. Dial. Transplant. 1999, 14, 977–978. [Google Scholar] [CrossRef][Green Version]
  15. Hertig, A.; Duvic, C.; Chretien, Y.; Jungers, P.; Grünfeld, J.P.; Rieu, P. Encrusted pyelitis of native kidneys. J. Am. Soc. Nephrol. 2000, 11, 1138–1140. [Google Scholar] [CrossRef]
  16. Giannakopoulos, S.; Alivizatos, G.; Deliveliotis, C.; Skolarikos, A.; Kastriotis, J.; Sofras, F. Encrusted Cystitis and Pyelitis. Eur. Urol. 2001, 39, 446–448. [Google Scholar] [CrossRef]
  17. García, J.; Llorente, S.; Morales, M.D.; Vazquez, V.; Serrano, C.; Reus, M. Corynebacterium Urealyticum in Renal Trasplantation. CT and Ultrasonography Imaging Characteristics of Encrusted Cystitis and Pyelitis. Nefrologia 2004, 24, 288–293. [Google Scholar]
  18. Meria, P.; Margaryan, M.; Haddad, E.; Dore, B.; Lottmann, H.B. Encrusted cystitis and pyelitis in children: An unusual condition with potentially severe consequences. Urology 2004, 64, 569–573. [Google Scholar] [CrossRef]
  19. Lee, R.; Clement, M.R.; Carr, M.C.; Canning, D.A.; Brayman, K.L. Successful treatment of encrusted cystis and pyelitis with preservation of renal graft. Transplantation 2004, 78, 302–303. [Google Scholar] [CrossRef]
  20. Van Hooland, S.; Vandooren, A.K.; Lerut, E.; Oyen, R.; Maes, B. Alkaline encrusted pyelitis. Acta Clin. Belg. 2005, 60, 369–372. [Google Scholar] [CrossRef]
  21. Lieten, S.; Schelfaut, D.; Wissing, K.M.; Geers, C.; Tielemans, C. Alkaline-encrusted pyelitis and cystitis: An easily missed and life-threatening urinary infection. BMJ Case Rep. 2011, 2011, bcr1220103613. [Google Scholar] [CrossRef]
  22. Anagnostou, N.; Siddins, M.; Gordon, D.L. Encrusted cystitis and pyelitis. Intern. Med. J. 2012, 42, 596–597. [Google Scholar] [CrossRef]
  23. Saljoghi, R.; Lipsker, A.; Caillet, K.; Malaterre, J.; Le Roux, F.; Pignot, G.; Saint, F. Encrusted Uretero-pyelitis: Case Report. Urol. Case Rep. 2016, 7, 58–60. [Google Scholar] [CrossRef][Green Version]
  24. Sánchez-Martín, F.M.; López-Martínez, J.M.; Kanashiro-Azabache, A.; Moncada, E.; Angerri-Feu, O.; Millán-Rodríguez, F.; Villavicencio-Mavrich, H. Corynebacterium urealyticum: Increased incidence of infection and encrusted uropathy. Actas Urol. Esp. 2016, 40, 102–107. [Google Scholar] [CrossRef]
  25. Vergura, M.; Carosi, I.; Ercolino, G.; Palladino, D.; Prencipe, M.; Scarlatella, A.; Aucella, F. Encrusted Pyelitis during a case of Thrombotic Thrombocytopenic Purpura. Ital. Nefrol. Organo Uff. Della Soc. Ital. Nefrol. 2018, 5, 35. [Google Scholar]
  26. Sakhi, H.; Join-Lambert, O.; Goujon, A.; Culty, T.; Loubet, P.; Dang, J.; Drouot, S.; de Bayser, H.; Michaud, C.; Ghislain, L.; et al. Encrusted Urinary Tract Infections Due to Corynebacteria Species. Kidney Int. Rep. 2020, 6, 179–186. [Google Scholar] [CrossRef]
  27. Sabiote, L.; Emiliani, E.; Kanashiro, A.K.; Balañà, J.; Mosquera, L.; Sánchez-Martín, F.M.; Millán, F.; Alonso, C.; Palou, J.; Angerri, O. Oral Acidification with l-Methionine as a Noninvasive Treatment for Encrusted Uropathy. J. Endourol. Case Rep. 2020, 6, 143–146. [Google Scholar] [CrossRef]
  28. Johnson, M.; Perkins, S.Q.; Leavitt, D. Alkaline Encrusted Pyelitis Causing Renal Failure in a Transplant Kidney: Treatment with Percutaneous Nephrolithotomy and Urinary Acidification. J. Endourol. Case Rep. 2020, 6, 435–437. [Google Scholar] [CrossRef]
  29. Loghmari, A.; Bouassida, K.; Belkacem, O.; Ben Othmame, M.; Hmida, W.; Jaidane, M. The importance of surgical treatment in encrusted cystitis and pyelitis: A case report. Int. J. Surg. Case Rep. 2020, 77, 392–396. [Google Scholar] [CrossRef]
  30. Kotait, M.M.; Nourie, N.; Mouawad, S.; Alkassis, M.; Moukarzel, M.; Chelala, D.N.; Azar, H. Ureaplasma urealyticum –encrusted pyelitis in a kidney graft patient: A case report and narrative review on encrusted pyelitis. Transpl. Infect. Dis. 2021, 24, e13755. [Google Scholar] [CrossRef]
Publisher’s Note: MDPI stays neutral with regard to jurisdictional claims in published maps and institutional affiliations.

Article Metrics

Citations

Article Access Statistics

Multiple requests from the same IP address are counted as one view.