Evaluation of Patients Who Developed Pneumothorax Due to COVID-19
Abstract
:1. Introduction
2. Materials and Methods
2.1. Patient Selection
2.2. Statistical Analysis
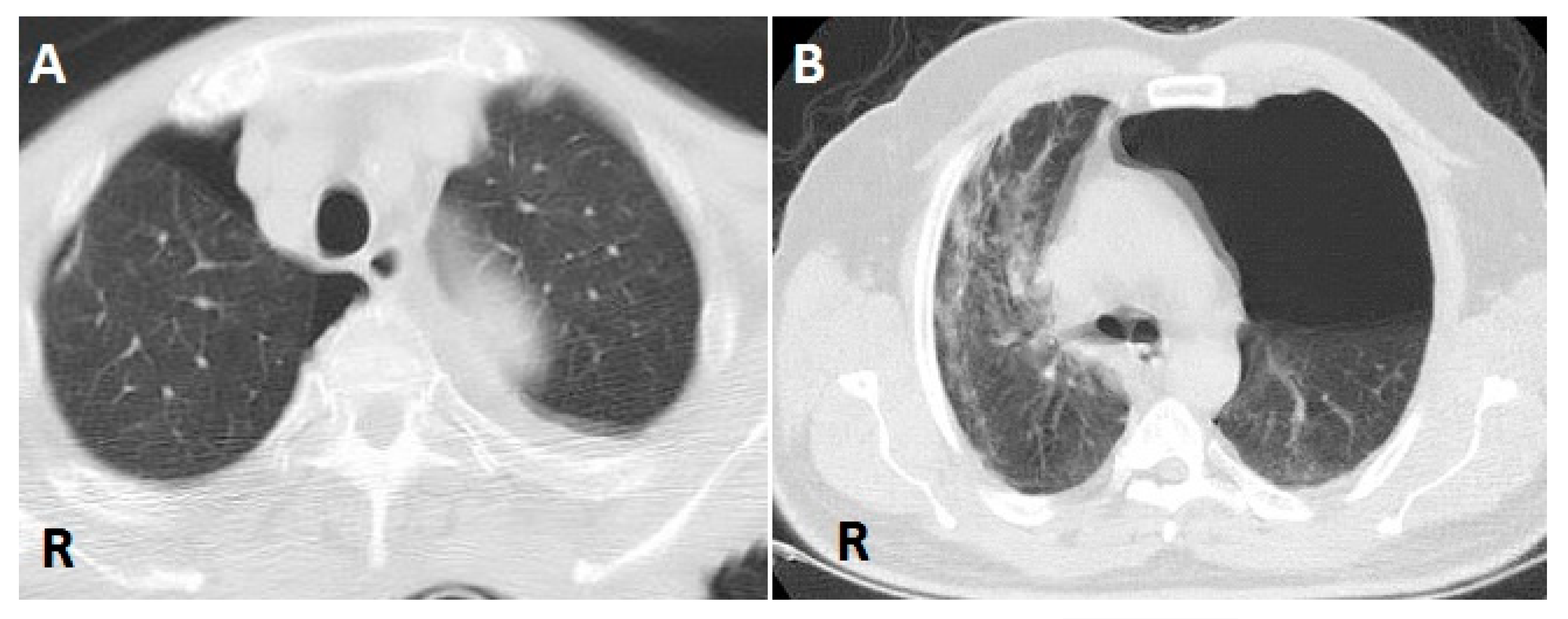
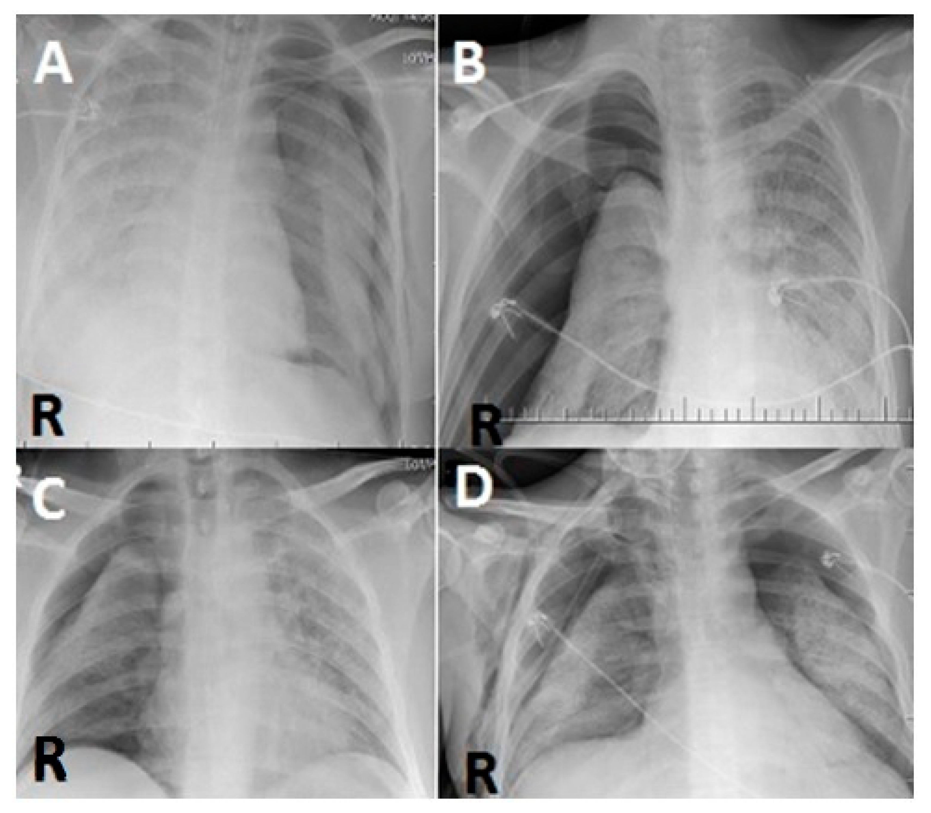
3. Results
4. Discussion
5. Conclusions
Author Contributions
Funding
Institutional Review Board Statement
Informed Consent Statement
Data Availability Statement
Conflicts of Interest
References
- Shaikh, N.; Al Ameri, G.; Shaheen, M.; Abdaljawad, W.I.; Al Wraidat, M.; Al Alawi, A.A.S.; Ali, H.S.; Mohamed, A.S.; Daeri, H.; Khatib, M.Y.; et al. Spontaneous pneumomediastinum and pneumothorax in COVID-19 patients: A tertiary care experience. Health Sci. Rep. 2021, 4, e339. [Google Scholar] [CrossRef] [PubMed]
- Guven, B.B.; Erturk, T.; Kompe, Ö.; Ersoy, A. Serious complications in COVID-19 ARDS cases: Pneumothorax, pneumomediastinum, subcutaneous emphysema and haemothorax. Epidemiol. Infect. 2021, 149, e137. [Google Scholar] [CrossRef] [PubMed]
- Available online: https://www.worldometers.info/coronavirus/ (accessed on 23 July 2022).
- Wu, Z.; McGoogan, J.M. Characteristics of and important lessons from the coronavirus disease 2019 (COVID-19) outbreak in China: Summary of a report of 72,314 cases from the Chinese Center for Disease Control and Prevention. JAMA 2020, 323, 1239–1242. [Google Scholar] [CrossRef] [PubMed]
- Ding, X.; Xu, J.; Zhou, J.; Long, Q. Chest CT findings of COVID-19 pneumonia by duration of symptoms. Eur. J. Radiol. 2020, 127, 109009. [Google Scholar] [CrossRef] [PubMed]
- Martinelli, A.W.; Ingle, T.; Newman, J.; Nadeem, I.; Jackson, K.; Lane, N.D.; Melhorn, J.; Davies, H.E.; Rostron, A.J.; Adeni, A.; et al. COVID-19 and pneumothorax: A multicentre retrospective case series. Eur. Respir. J. 2020, 56, 2002697. [Google Scholar] [CrossRef] [PubMed]
- Chen, N.; Zhou, M.; Dong, X.; Qu, J.; Gong, F.; Han, Y.; Qiu, Y.; Wang, J.; Liu, Y.; Wei, Y.; et al. Epidemiological and clinical characteristics of 99 cases of 2019 novel coronavirus pneumonia in Wuhan, China: A descriptive study. Lancet 2020, 395, 507–513. [Google Scholar] [CrossRef]
- Borczuk, A.C.; Salvatore, S.P.; Seshan, S.V.; Patel, S.S.; Bussel, J.B.; Mostyka, M.; Elsoukkary, S.; He, B.; Del Vecchio, C.; Fortarezza, F.; et al. COVID-19 pulmonary pathology: A multi-institutional autopsy cohort from Italy and New York City. Mod. Pathol. 2020, 33, 2156–2168. [Google Scholar] [CrossRef] [PubMed]
- Republic of Turkey Ministry of Healthy. Adult Patient Treatment in COVID-19. December 2021. Available online: https://19.saglik.gov.tr/Eklenti/42169/0/covid19rehberieriksinhastayonetimivetedavi20122021v6pdf.pdf (accessed on 10 February 2022).
- Sihoe, A.D.; Wong, R.H.; Lee, A.T.; Lau, L.S.; Leung, N.Y.Y.; Law, K.I.; Yim, A.P. Severe acute respiratory syndrome complicated by spontaneous pneumothorax. Chest 2004, 125, 2345–2351. [Google Scholar] [CrossRef] [PubMed]
- Marciniak, S.J.; Farrell, J.; Rostron, A.; Smith, I.; Openshaw, P.J.; Baillie, J.K.; Docherty, A.; Semple, M.G. COVID-19 pneumothorax in the UK: A prospective observational study using the ISARIC WHO clinical characterisation protocol. Eur. Respir. J. 2021, 58, 2100929. [Google Scholar] [CrossRef] [PubMed]
- Ekanem, E.; Podder, S.; Donthi, N.; Bakhshi, H.; Stodghill, J.; Khandhar, S.; Mahajan, A.; Desai, M. Spontaneous pneumothorax: An emerging complication of COVID-19 pneumonia. Heart Lung 2021, 50, 437–440. [Google Scholar] [CrossRef] [PubMed]
- Wadhawan, G.; Thakkar, K.; Singh, R. Spontaneous Pneumothorax in Post COVID-19 Patients a Case Series. J. Surg. Res. 2022, 5, 46–50. [Google Scholar] [CrossRef]
- Belletti, A.; Palumbo, D.; Zangrillo, A.; Fominskiy, E.V.; Franchini, S.; Dell’Acqua, A.; Marinosci, A.; Monti, G.; Vitali, G.; Colombo, S.; et al. Predictors of pneumothorax/pneumomediastinum in mechanically ventilated COVID-19 patients. J. Cardiothorac. Vasc. Anesth. 2021, 35, 3642–3651. [Google Scholar] [CrossRef] [PubMed]
- Zantah, M.; Castillo, E.D.; Townsend, R.; Dikengil, F.; Criner, G.J. Pneumothorax in COVID-19 disease-incidence and clinical characteristics. Respir. Res. 2020, 21, 236. [Google Scholar] [CrossRef] [PubMed]


| Variable | n | % |
|---|---|---|
| Gender | ||
| Male | 23 | 62.2 |
| Female | 14 | 37.8 |
| Age, years * | 56.108 ± 17.877 | |
| DaystoPNX occurrence * | 9.784 ± 9.678 | |
| Status during PNX | ||
| Intubated | 17 | 45.9 |
| Non-invasive ventilation | 20 | 54.1 |
| Ex/discharge status after PNX | ||
| Exitus, 1st day | 1 | 2.7 |
| Exitus, 2nd day | 7 | 18.9 |
| Discharge, 2nd day | 2 | 5.4 |
| Exitus, 3rd day | 1 | 2.7 |
| Exitus, 4th day | 3 | 8.1 |
| Discharge, 4th day | 1 | 2.7 |
| Exitus, 5th day | 2 | 5.4 |
| Discharge, 5th day | 1 | 2.7 |
| Exitus, 6th day | 1 | 2.7 |
| Discharge, 7th day | 2 | 5.4 |
| Discharge, 8th day | 2 | 5.4 |
| Exitus, 9th day | 1 | 2.7 |
| Exitus, 10th day | 1 | 2.7 |
| Discharge, 10th day | 3 | 8.1 |
| Exitus, 11th day | 1 | 2.7 |
| Discharge, 13th day | 1 | 2.7 |
| Discharge, 14th day | 1 | 2.7 |
| Exitus, 15th day | 2 | 5.4 |
| Exitus, 18th day | 2 | 5.4 |
| Discharge, 22nd day | 2 | 5.4 |
| PNX uni/bilateral | ||
| Bilateral | 3 | 8.1 |
| Unilateral | 34 | 91.9 |
| Presence of septic shock | ||
| No | 24 | 64.9 |
| Yes | 13 | 35.1 |
| Smoking | ||
| No | 21 | 56.8 |
| Yes | 16 | 43.2 |
| Variable | n | % |
|---|---|---|
| Comorbidity | ||
| None | 14 | 37.8 |
| Cancer | 7 | 18.9 |
| Diabetes mellitus (DM) | 1 | 2.7 |
| Epilepsy | 1 | 2.7 |
| Pregnancy | 1 | 2.7 |
| Hypertension (HT) | 2 | 5.4 |
| Chronic obstructive pulmonary disease | 1 | 2.7 |
| Chronic kidney disease | 3 | 8.1 |
| CVD (cardiovascular disease) | 7 | 18.9 |
| Variable | Group | Beta | SE | t | p |
|---|---|---|---|---|---|
| Comorbidity | Yes | [Ref] | - | - | - |
| No | 4.140 | 3.358 | 1.233 | 0.226 | |
| Constant | 8.217 | 2.066 | 3.978 | <0.001 | |
| R2 = 0.042 | |||||
| F-statistic = 1.520 | |||||
| p value = 0.226 | |||||
| Variable | Presence of Comorbidity | |
|---|---|---|
| Yes | No | |
| Exitus, 1st day | 4.35% (1) | 0.00% (0) |
| Exitus, 2nd day | 30.43% (7) | 0.00% (0) |
| Discharge, 2nd day | 0.00% (0) | 14.29% (2) |
| Exitus, 3rd day | 4.35% (1) | 0.00% (0) |
| Exitus, 4th day | 0.00% (0) | 21.43% (3) |
| Discharge, 4th day | 0.00% (0) | 7.14% (1) |
| Exitus, 5th day | 8.70% (2) | 0.00% (0) |
| Discharge, 5th day | 4.35% (1) | 0.00% (0) |
| Exitus, 6th day | 0.00% (0) | 7.14% (1) |
| Discharge, 7th day | 4.35% (1) | 7.14% (1) |
| Discharge, 8th day | 8.70% (2) | 0.00% (0) |
| Exitus, 9th day | 4.35% (1) | 0.00% (0) |
| Exitus, 10th day | 4.35% (1) | 0.00% (0) |
| Discharge, 10th day | 4.35% (1) | 14.29% (2) |
| Exitus, 11th day | 4.35% (1) | 0.00% (0) |
| Discharge, 13th day | 0.00% (0) | 7.14% (1) |
| Discharge, 14th day | 4.35% (1) | 0.00% (0) |
| Exitus, 15th day | 8.70% (2) | 0.00% (0) |
| Exitus, 18th day | 4.35% (1) | 7.14% (1) |
| Discharge, 22nd day | 0.00% (0) | 14.29% (2) |
Publisher’s Note: MDPI stays neutral with regard to jurisdictional claims in published maps and institutional affiliations. |
© 2022 by the authors. Licensee MDPI, Basel, Switzerland. This article is an open access article distributed under the terms and conditions of the Creative Commons Attribution (CC BY) license (https://creativecommons.org/licenses/by/4.0/).
Share and Cite
Çoraplı, G.; Tekin, V. Evaluation of Patients Who Developed Pneumothorax Due to COVID-19. Diagnostics 2022, 12, 2140. https://doi.org/10.3390/diagnostics12092140
Çoraplı G, Tekin V. Evaluation of Patients Who Developed Pneumothorax Due to COVID-19. Diagnostics. 2022; 12(9):2140. https://doi.org/10.3390/diagnostics12092140
Chicago/Turabian StyleÇoraplı, Gökhan, and Veysi Tekin. 2022. "Evaluation of Patients Who Developed Pneumothorax Due to COVID-19" Diagnostics 12, no. 9: 2140. https://doi.org/10.3390/diagnostics12092140
APA StyleÇoraplı, G., & Tekin, V. (2022). Evaluation of Patients Who Developed Pneumothorax Due to COVID-19. Diagnostics, 12(9), 2140. https://doi.org/10.3390/diagnostics12092140
