Ovarian Germ Cell Tumors: Pictorial Essay
Abstract
:1. Introduction
2. Clinical Presentation of GCT
2.1. Dysgerminoma
2.1.1. Macroscopic Features
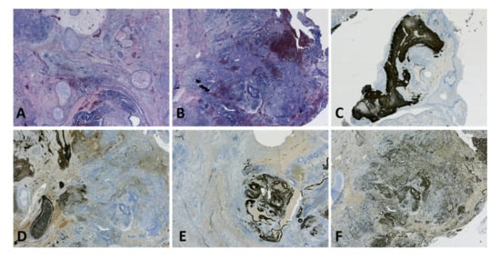
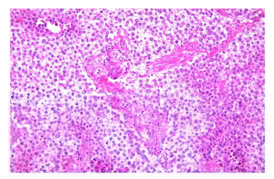
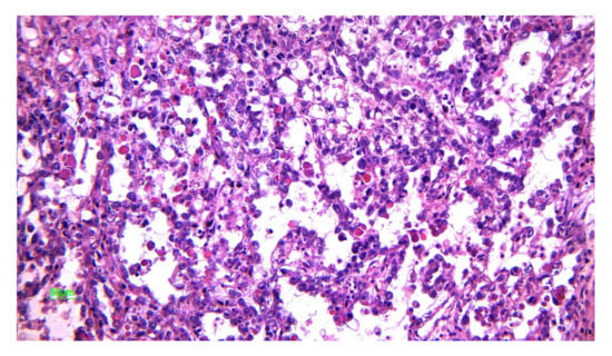
2.1.2. Microscopic Features
2.1.3. Treatment
2.2. Mature Cystic Teratoma
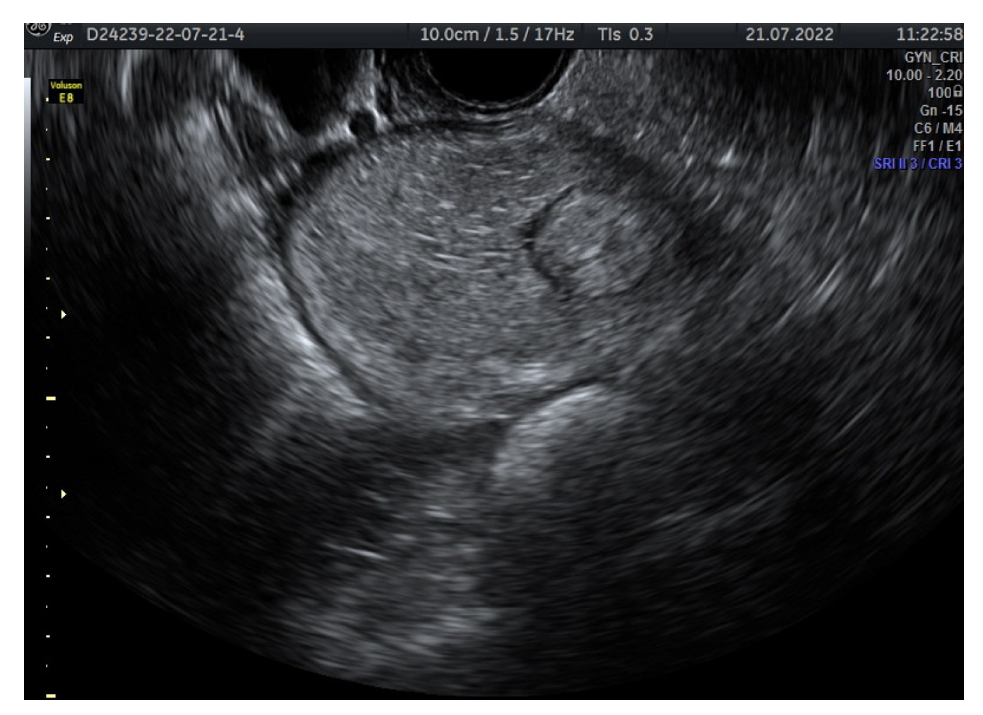
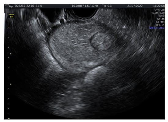
2.2.1. Ultrasound Appearance
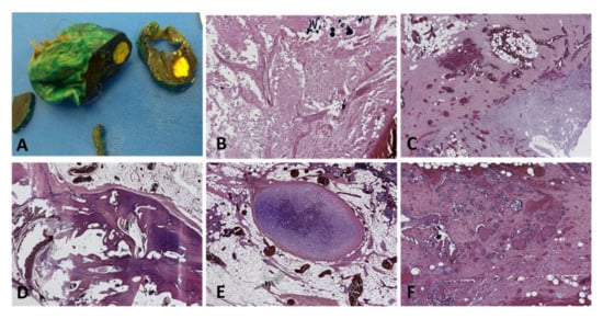
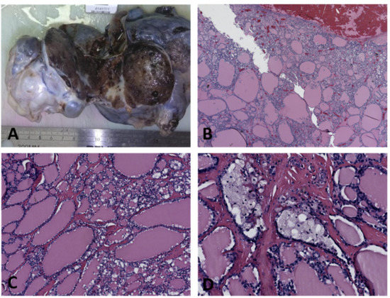
2.2.2. Macroscopic Appearance
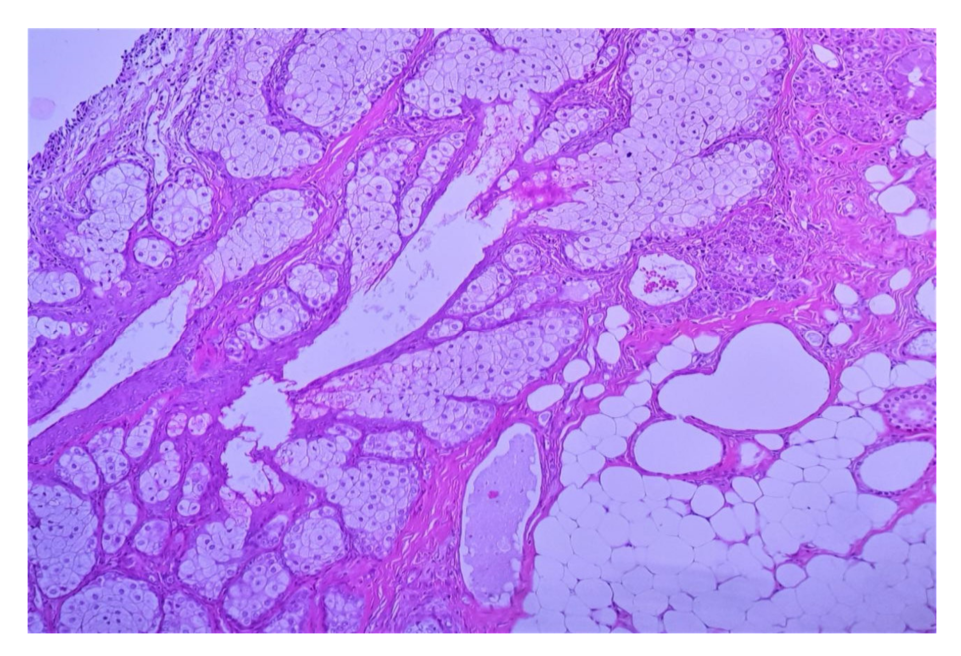
2.2.3. Microscopic Features
2.2.4. Treatment
2.3. Yolk Sac Tumor (Endodermal Sinus Tumor)
2.3.1. Macroscopic Features
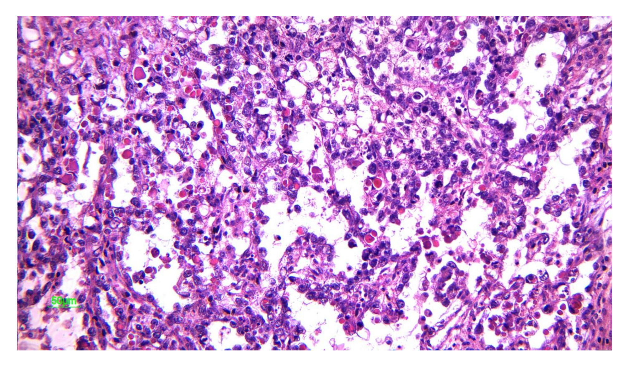
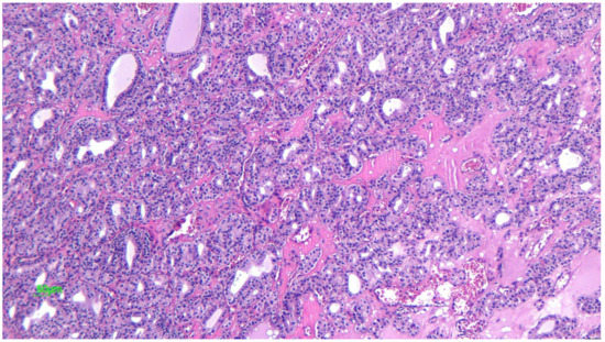
2.3.2. Microscopic Features
2.3.3. Treatment
2.4. Immature Teratoma
2.4.1. Macroscopic Features
2.4.2. Microscopic Features
2.4.3. Treatment
2.5. Embryonal Carcinoma
2.5.1. Macroscopic Features
2.5.2. Microscopic Features
2.5.3. Treatment
2.6. Monodermal, Specialized, and Somatic Malignancies in Teratomas
2.7. Struma Ovarii
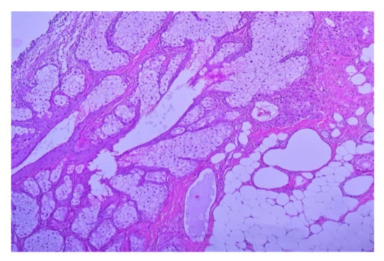
2.7.1. Macroscopic Features
2.7.2. Microscopic Features
2.7.3. Treatment
3. Conclusions
Author Contributions
Funding
Informed Consent Statement
Conflicts of Interest
References
- Talerman, A. Germ cell tumors of the ovary. In Blaustein’s Pathology of the Female Genital Tract, 5th ed.; Kurman, R.J., Ed.; Springer: New York, NY, USA, 2002; p. 1391. [Google Scholar]
- Quirk, J.T.; Natarajan, N. Ovarian cancer incidence in the United States: 1992–1999. Gynecol. Oncol. 2005, 97, 519–523. [Google Scholar] [CrossRef] [PubMed]
- Smith, H.O.; Berwick, M.; Verschraegen, C.F.; Wiggins, C.; Lansing, L.; Muller, C.Y.; Qualls, C.R. Incidence and survival rates for female malignant germ cell tumors. Obstet. Gynecol. 2006, 107, 1075–1085. [Google Scholar] [CrossRef] [PubMed]
- Arora, R.S.; Alston, R.D.; Eden, T.O. Comparative incidence patterns and trends of gonadal and extragonadal germ cell tumors in England, 1979 to 2003. Cancer 2012, 118, 4290–4297. [Google Scholar] [CrossRef] [PubMed]
- Gardner, G.J.; Barakat, R.R. Non-epithelial ovarian cancers. In Gynecologic Oncology; Peltecu, G., Trope, C.G., Eds.; The Publishing House of the Romanian Academy: Bucharest, Romania, 2014. [Google Scholar]
- Tavassoli, F.A.; Devilee, P. Pathology and Genetics of Tumours of the Breast and Female Genital Organs; International Agency for Research on Cancer: Lyon, France, 2003. [Google Scholar]
- Prat, J.; Cao, D.; Carinelli, S. Teratoma (Chapter 1: Tumours of the ovary). In WHO Classification of Tumours of Female Reproductive Organs, 4th ed.; Kurman, R.J., Carcangiu, M.L., Herrington, C.S., Young, R.H., Eds.; IARC: Lyon, France, 2014; pp. 57–62. [Google Scholar]
- Gershenson, D.M. Management of ovarian germ cell tumors. J. Clin. Oncol. 2007, 25, 2938–2943. [Google Scholar] [CrossRef] [PubMed]
- Royal College of Obstetricians and Gynaecologists. Management of Suspected Ovarian Masses in Premenopausal Women; Green-Top Guideline No. 62; RCOG: London, UK, 2011. [Google Scholar]
- Sturgeon, C.M.; Duffy, M.J.; Stenman, U.H.; Lilja, H.; Brünner, N.; Chan, D.W.; Babaian, R.; Bast, R.C.; Dowell, B.; Esteva, F.J.; et al. National Academy of Clinical Biochemistry. National Academy of Clinical Biochemistry laboratory medicine practice guidelines for use of tumor markers in testicular, prostate, colorectal, breast, and ovarian cancers. Clin. Chem. 2008, 54, e11–e79. [Google Scholar] [CrossRef] [PubMed]
- Mitchell, P.L.; Al-Nasiri, N.; A’Hern, R.; Fisher, C.; Horwich, A.; Pinkerton, C.R.; Shepherd, J.H.; Gallagher, C.; Slevin, M.; Harper, P.; et al. Treatment of nondysgerminomatous ovarian germ cell tumors: An analysis of 69 cases. Cancer 1999, 85, 2232–2244. [Google Scholar] [CrossRef]
- Hoepffner, W.; Horn, L.C.; Simon, E.; Sauerbrei, G.; Schröder, H.; Thamm-Mücke, B.; Bennek, J.; Kiess, W. Gonadoblastomas in 5 patients with 46,XY gonadal dysgenesis. Exp. Clin. Endocrinol. Diabetes 2005, 113, 231–235. [Google Scholar] [CrossRef]
- Jonson, A.; Geller, M.A.; Dickson, E.L. Gonadal dysgenesis and gynecologic cancer. Case Reports. Obstet. Gynecol. 2010, 116 (Suppl. 2), 550–552. [Google Scholar] [CrossRef]
- Pena-Alonso, R.; Nieto, K.; Alvarez, R.; Palma, I.; Nájera, N.; Eraña, L.; Dorantes, L.M.; Kofman-Alfaro, S.; Queipo, G. Distribution of Y-chromosome-bearing cells in gonadoblastoma and dysgenetic testis in 45,X/46,XY infants. Case Reports. Mod. Pathol. 2005, 18, 439–445. [Google Scholar] [CrossRef]
- NCCN. Ovarian Cancer Including Fallopian Tube Cancer and Primary Peritoneal Cancer. National Comprehensive Cancer Network. Version 2.2018. Available online: https://www.nccn.org/professionals/physician_gls/pdf/ovarian.pdf (accessed on 2 August 2022).
- American Joint Committee on Cancer. AJCC Cancer Staging Manual, 8th ed.; Amin, M.B., Edge, S., Greene, F., Byrd, D.R., Brookland, R.K., Washinton, M.K., Gershenwald, J.E., Compton, C.C., Hess, K.R., Sullivan, D.C., Eds.; Springer: New York, NY, USA, 2017. [Google Scholar]
- Mahdi, H.; Swensen, R.E.; Hanna, R.; Kumar, S.; Ali-Fehmi, R.; Semaan, A.; Tamimi, H.; Morris, R.T.; Munkarah, A.R. Prognostic impact of lymphadenectomy in clinically early stage malignant germ cell tumour of the ovary. Br. J. Cancer 2011, 105, 493–497. [Google Scholar] [CrossRef]
- Liu, Q.; Ding, X.; Yang, J.; Cao, D.; Shen, K.; Lang, J.; Zhang, G.; Xin, X.; Xie, X.; Wu, Y. The significance of comprehensive staging surgery in malignant ovarian germ cell tumors. Gynecol. Oncol. 2013, 131, 551–554. [Google Scholar] [CrossRef] [PubMed]
- Chan, J.K.; Tewari, K.S.; Waller, S.; Cheung, M.K.; Shin, J.Y.; Osann, K.; Kapp, D.S. The influence of conservative surgical practices for malignant ovarian germ cell tumors. J. Surg. Oncol. 2008, 98, 111–116. [Google Scholar] [CrossRef]
- Bidus, M.A.; Elkas, J.C.; Rose, G.S. Germ cell, stromal, and other ovarian tumors. In Clinical Gynecologic Oncology, 8th ed.; Di Saia, P.J., Creasman, W.T., Eds.; Elsevier: Philadelphia, PA, USA, 2012; pp. 329–356. [Google Scholar]
- Pauniaho, S.L.; Salonen, J.; Helminen, M.; Vettenranta, K.; Heikinheimo, M.; Heikinheimo, O. The incidences of malignant gonadal and extragonadal germ cell tumors in males and females: A population-based study covering over 40 years in Finland. Cancer Causes Control 2012, 23, 1921–1927. [Google Scholar] [CrossRef]
- Bakri, P.M.; Ezzat, A.; Akhtar, M.; Dohami, H.; Zahrani, A. Malignant germ cell tumors of the ovary. Pregnancy considerations. Eur. J. Obstet. Gynecol. Reprod. Biol. 2000, 90, 87–91. [Google Scholar] [CrossRef]
- Mueller, C.W.; Topkins, P.; Lapp, W.A. Dysgerminoma of the ovary. An analysis of 427 cases. Am. J. Obstet. Gynecol. 1950, 60, 153. [Google Scholar] [CrossRef]
- Scully, R.E. Gonadoblastoma: A review of 74 cases. Cancer 1970, 25, 1340–1356. [Google Scholar] [CrossRef]
- Nucci, M.R.; Oliva, E. Germ Cell Tumors of the Ovary. In Gynecologic Pathology: A Volume in the Series: Foundations in Diagnostic Pathology, 1st ed.; Elsevier: Amsterdam, The Netherlands, 2009; pp. 501–536. [Google Scholar]
- Kurman, R.J.; Ellenson, L.H.; Ronnett, B.M. Germ Cell Tumors of the Ovary. In Blaustein’s Pathology of the Female Genital Tract, 7th ed.; Springer: Berlin/Heidelberg, Germany, 2019; pp. 1047–1089. [Google Scholar]
- Mutter, G.; Prat, J. Ovarian Germ Cell Tumors. In Pathology of the Famale Reproductive Tract, 3rd ed.; Elsevier: Amsterdam, The Netherlands, 2014; pp. 670–685. [Google Scholar]
- Zheng, W.; Fadare, O.; Quick, C.M. Germ Cell Tumors and Mixed Germ Cell Tumors-Sex Cord-Stromal Tumors of the Ovary. In Gynecologic and Obstetric Pathology; Springer: Berlin/Heidelberg, Germany, 2019; Volume 2, pp. 231–243. [Google Scholar]
- Sosllow, R.A.; Tornos, C. Pathology of Germ Cell Tumors. In Diagnostic Pathology of Ovarian Tumors; Springer: Berlin/Heidelberg, Germany, 2011; pp. 155–179. [Google Scholar]
- Dabbs, D. Diagnostic Immunohistochemistry; Elsevier: Amsterdam, The Netherlands, 2010. [Google Scholar]
- Pectasides, D.; Pectasides, E.; Kassanos, D. Germ cell tumors of the ovary. Cancer Treat. Rev. 2008, 34, 427–441. [Google Scholar] [CrossRef] [PubMed]
- Iordăchescu, D.; Paica, C.I.; Boca, A.E.; Gică, C.; Panaitescu, A.M.; Peltecu, G.; Veduță, A.; Gică, N. Anxiety, Difficulties, and Coping of Infertile Women. Healthcare 2021, 9, 466. [Google Scholar] [CrossRef]
- Gershenson, D.M. Current advances in the manage ment of malignant germ cell and sex cord-stromal tumors of the ovary. Gynecol. Oncol. 2012, 125, 515–517. [Google Scholar] [CrossRef]
- De Backer, A.; Madern, G.C.; Oosterhuis, J.W.; Hakvoort-Cammel, F.G.; Hazebroek, F.W. Ovarian germ cell tumors in children: A clinical study of 66 patients. Pediatr. Blood Cancer 2006, 46, 459–464. [Google Scholar] [CrossRef]
- Ayhan, A.; Bukulmez, O.; Genc, C.; Karamursel, B.S.; Ayhan, A. Mature cystic teratoma of the ovary: Case series from one institution over 34 years. Eur. J. Obstet. Gynecol. Reprod. Biol. 2000, 88, 153–157. [Google Scholar] [CrossRef]
- Cobellis, L.; Schurfeld, K.; Ignacchiti, E.; Santopietro, R.; Petraglia, F. An ovarian mucinous adenocarcinoma arising from mature cystic teratoma associated with respiratory type tissue: A case report. Tumori 2004, 90, 521–524. [Google Scholar] [CrossRef]
- Laberge, P.Y.; Levesque, S. Short-term morbidity and long-term recurrence rate of ovarian dermoid cysts treated by laparoscopy versus laparotomy. J. Obstet. Gynaecol. Can. 2006, 28, 789–793. [Google Scholar] [CrossRef]
- Kinoshita, K. A 62-year-old woman with endodermal sinus tumor of the ovary. Am. J. Obstet. Gynecol. 1990, 162, 760–762. [Google Scholar] [CrossRef]
- Kawai, M.; Kano, T.; Furuhashi, Y.; Mizuno, K.; Nakashima, N.; Hattori, S.-E.; Kazeto, S.; Iida, S.; Ohta, M.; Arii, Y.; et al. Prognostic factors in yolk sac tumors of the ovary. A clinicopathological analysis of 29 cases. Cancer 1991, 67, 184–192. [Google Scholar] [CrossRef]
- Crum, C.; Nucci, M.R.; Lee, K.R. Germ Cell Tumors of the Ovary. In Diagnostic Gynecologic and Obstetric Pathology, 2nd ed.; Elsevier: Amsterdam, The Netherlands, 2011; pp. 904–934. [Google Scholar]
- Zaloudek, C.; Vang, R. Mixed germ cell tumor of the ovary. In WHO Classification of Tumors, Female Genital Tumors, 5th ed.; IARC: Lyon, France, 2020; p. 131. [Google Scholar]
- Weidner, N.; Dabbs, J.D.; Peterson, M. Germ cell Tumors. In Modern Surgical Pathology; Elsevier: Amsterdam, The Netherlands, 2009; pp. 1387–1394. [Google Scholar]
- Dällenbach, P.; Bonnefoi, H.; Pelte, M.F.; Vlastos, G. Yolk sac tumours of the ovary: An update. Eur. J. Surg. Oncol. 2006, 10, 1063–1075. [Google Scholar] [CrossRef] [PubMed]
- Ray-Coquard, I.; Morice, P.; Lorusso, D.; Prat, J.; Oaknin, A.; Pautier, P.; Colombo, N. Non-epithelial ovarian cancer: ESMO Clinical Practice Guidelines for diagnosis, treatment and follow-up. Ann. Oncol. 2018, 29 (Suppl. 4), iv1–iv18. [Google Scholar] [CrossRef]
- Nawa, A.; Obata, N.; Kikkawa, F.; Kawai, M.; Nagasaka, T.; Goto, S.; Nishimor, K.; Nakashima, N. Prognostic factorsof patients with yolk sac tumors of the ovary. Am. J. Obstet. Gynecol. 2001, 184, 1182–1188. [Google Scholar] [CrossRef]
- Wisniewski, M.; Deppisch, L.M. Solid teratomas of the ovary. Cancer 1973, 32, 440–446. [Google Scholar] [CrossRef]
- Caruso, P.A.; Marsh, M.R.; Minkowitz, S.; Karten, G. An intense clinicopathologic study of 305 teratomas of the ovary. Cancer 1971, 27, 343–348. [Google Scholar] [CrossRef]
- Baker, P.M.; Oliva, E. Germ cell tumors of the ovary. In Gynecologic Pathology; Nucci, M.R., Oliva, E., Eds.; Churchill Livingstone Elsevier Health Sciences: Philadelphia, PA, USA, 2009; pp. 501–538. [Google Scholar]
- Bentivegna, E.; Gonthier, C.; Uzan, C.; Genestie, C.; Duvillard, P.; Morice, P.; Gouy, S. Gliomatosis peritonei: A particular entity with specific outcomes within the growing teratoma syndrome. Int. J. Gynecol. Cancer 2015, 25, 244–249. [Google Scholar] [CrossRef]
- Wang, D.; Jia, C.-W.; Feng, R.E.; Shi, H.-H.; Sun, J. Gliomatosis peritonei: A series of eight cases and review of the literature. J. Ovarian Res. 2016, 9, 45. [Google Scholar] [CrossRef] [PubMed]
- DiSaia, P.J.; Saltz, A.; Kagan, A.R.; Morrow, C.P. Chemotherapeutic retro-conversion of immature teratoma of the ovary. Obstet. Gynecol. 1977, 49, 346–350. [Google Scholar]
- Li, Y.; Zheng, Y.; Lin, J.; Xu, G.; Cai, A.; Chen, R.; Wu, M. Radiological-pathological correlations of yolk sac tumors in 20 patients. Acta Radiol. 2014, 57, 98–106. [Google Scholar] [CrossRef] [PubMed]
- Vang, R.; Zaloudek, C. Immature teratoma of the ovary. In WHO Classification of Tumors, Female Genital Tumors, 5th ed.; IARC: Lyon, France, 2020; pp. 121–122. [Google Scholar]
- Li, H.; Hong, W.; Zhang, R.; Wu, L.; Liu, L.; Zhang, W. Retrospective analysis of 67 consecutive cases of pute immature teratoma. Chin. Med. J. 2002, 115, 1496–1500. [Google Scholar]
- Lu, K.H.; Gershenson, D.M. Update on the management of ovarian germ cell tumors. J. Reprod. Med. 2005, 50, 417–425. [Google Scholar]
- Ulbright, T.M. Germ cell tumors of the gonads: A selective review emphasizing problems in differential diagnosis, newly appreciated and controversial issues. Mod. Pathol. 2005, 18 (Suppl. 2), S61–S79. [Google Scholar] [CrossRef]
- Kammerer-Doak, D.; Bauric, K.; Black, W.; Barbo, D.M.; Smith, H.O. Endodermal sinus tumorand embryonal carcinoma of the ovary in a 53-year-old woman. Gynecol. Oncol. 1996, 63, 133–137. [Google Scholar] [CrossRef]
- Rabban, J.T.; Matias-Guiu, X. Monodermal cystic teratoma. In WHO Classification of Tumors, Female Genital Tumors, 5th ed.; IARC: Lyon, France, 2020; p. 137. [Google Scholar]
- IARC. Somatic neoplasms arising from teratomas. In WHO Classification of Tumors, Female Genital Tumors, 5th ed.; IARC: Lyon, France, 2020; pp. 137–139. [Google Scholar]
- Chiang, S.; Young, R.H. Neuroectodermal-type tumors. In WHO Classification of Tumors, Female Genital Tumors, 5th ed.; IARC: Lyon, France, 2020; p. 136. [Google Scholar]
- Park, S.B.; Kim, J.K.; Kim, K.R.; Cho, K.-S. Imaging finding of complications and unusual manifestations of ovarian teratomas. Radiographics 2008, 28, 969–983. [Google Scholar] [CrossRef] [PubMed]
- Hatami, M.; Breining, D.; Qwers, R.; Del Priore, G.; Goldberg, G.L. Malignant struma ovarii-a case report and review of the literature. Gynecol. Obstet. Investig. 2008, 65, 104–107. [Google Scholar] [CrossRef]
- Yoo, S.C.; Chang, K.H.; Lyo, M.O.; Chang, S.-J.; Ryu, H.-S.; Kim, H.-S. Clinical characteristics of struma ovarii. J. Gynecol. Oncol. 2008, 19, 135–138. [Google Scholar] [CrossRef] [PubMed]
- Duzendorfer, T.; deLas Morenas, A.; Kalir, T.; Levin, R.M. Struma ovarii and hyperthyroidism. Thyroid 1999, 9, 272–282. [Google Scholar]
- Dardik, R.B.; Dardik, M.; Westra, W.; Montz, F.J. Malignant struma ovarii: Two case reports and review of the literature. Gynecol. Oncol. 1999, 73, 447–451. [Google Scholar] [CrossRef] [PubMed]
- Zekri, J.M.; Manifold, I.H.; Wadsley, J.C. Metastatic struma ovarii: Late presentation, unusual presentation and multiple radioactive iodine treatments. Clin. Oncol. 2006, 18, 768–772. [Google Scholar] [CrossRef]
- Gica, N.; Mustata, L.; Botezatu, R.; Chirculescu, R.; Cigaran, R.; Gica, C.; Panaitescu, A.M.; Peltecu, G. Management of Borderline Ovarian Tumors: Series of Case Report and Review of the Literature. Indian J. Surg. 2021, 83, 617–624. [Google Scholar] [CrossRef]
- Gică, C.; Cigăran, R.G.; Botezatu, R.; Panaitescu, A.M.; Cimpoca, B.; Peltecu, G.; Gică, N. Secondary Amenorrhea and Infertility Due to an Inhibin B Producing Granulosa Cell Tumor of the Ovary. A Rare Case Report and Literature Review. Medicina 2021, 57, 829. [Google Scholar] [CrossRef]


















| Tumor Type | |
|---|---|
| Primitive germ cell tumors | Dysgerminoma, yolk sac tumor, embryonal carcinoma, polyembryoma, choriocarcinoma, mixed germ cell tumors |
| Bi-or triphasic teratoma | Immature teratoma, mature cystic teratoma with malignant transformation |
| Monodermal teratoma | Malignant struma ovarii, malignant carcinoid, other malignant lesions |
| WHO Classification of OGCTs * (2014) |
|---|
| Dysgerminoma |
| Yolk sac tumor |
| Embryonal carcinoma |
| Non-gestational choriocarcinoma |
| Mature teratoma |
| Immature teratoma |
| Mixed germ cell tumor |
| Sall4 | OCT3/4 | CD30 | CD117 | D2-40 | AFP | Glypican-3 |
|---|---|---|---|---|---|---|
| Dysgerminoma + | + | − | + | + | − | − |
| Yolk sac tumor + | − | − | − | − | + | + |
| Embryonal carcinoma + | + | + | − | − | +/− | − |
| Tumor Type | hCG | AFP | LDH |
|---|---|---|---|
| Dysgerminoma | +/− | − | + |
| Endodermal sinus tumor (Yolk sac tumor) | − | + | +/− |
| Immature teratoma | − | +/− | +/− |
| Embryonal carcinoma | + | + | +/− |
| Choriocarcinoma | + | − | +/− |
| Mixed germ cell tumor | + | + | + |
| PLAP | CD117 | OCT-4 | CK | CD30 | S100 | LCA | MPO | |
|---|---|---|---|---|---|---|---|---|
| Dysgerminoma | + | + | + | − | − | − | − | − |
| Embryonal carcinoma | + | − | + | + | + | − | − | − |
| Yolk sac tumor | + | − | − | + | − | − | − | − |
| Lymphoma | − | − | − | − | − | − | + | − |
| Granulocytic sarcoma | − | + | − | − | − | − | + | + |
| Grade | Proportion of Immature Neuroectodermal Tissue Present on a Single Slide |
|---|---|
| 1 | ≤LPF |
| 2 | 2–3 LPF |
| 3 | ≥4 LPF |
Publisher’s Note: MDPI stays neutral with regard to jurisdictional claims in published maps and institutional affiliations. |
© 2022 by the authors. Licensee MDPI, Basel, Switzerland. This article is an open access article distributed under the terms and conditions of the Creative Commons Attribution (CC BY) license (https://creativecommons.org/licenses/by/4.0/).
Share and Cite
Gică, N.; Peltecu, G.; Chirculescu, R.; Gică, C.; Stoicea, M.C.; Serbanica, A.N.; Panaitescu, A.M. Ovarian Germ Cell Tumors: Pictorial Essay. Diagnostics 2022, 12, 2050. https://doi.org/10.3390/diagnostics12092050
Gică N, Peltecu G, Chirculescu R, Gică C, Stoicea MC, Serbanica AN, Panaitescu AM. Ovarian Germ Cell Tumors: Pictorial Essay. Diagnostics. 2022; 12(9):2050. https://doi.org/10.3390/diagnostics12092050
Chicago/Turabian StyleGică, Nicolae, Gheorghe Peltecu, Raluca Chirculescu, Corina Gică, Mihai Ciprian Stoicea, Andreea Nicoleta Serbanica, and Anca Maria Panaitescu. 2022. "Ovarian Germ Cell Tumors: Pictorial Essay" Diagnostics 12, no. 9: 2050. https://doi.org/10.3390/diagnostics12092050
APA StyleGică, N., Peltecu, G., Chirculescu, R., Gică, C., Stoicea, M. C., Serbanica, A. N., & Panaitescu, A. M. (2022). Ovarian Germ Cell Tumors: Pictorial Essay. Diagnostics, 12(9), 2050. https://doi.org/10.3390/diagnostics12092050

