Refractory Salmonella Prosthetic Valve Endocarditis Complicated by Splenic Infarction and Aortic Pseudoaneurysm in a Patient with Double Prosthetic Valves: A Case Report
Abstract
1. Introduction
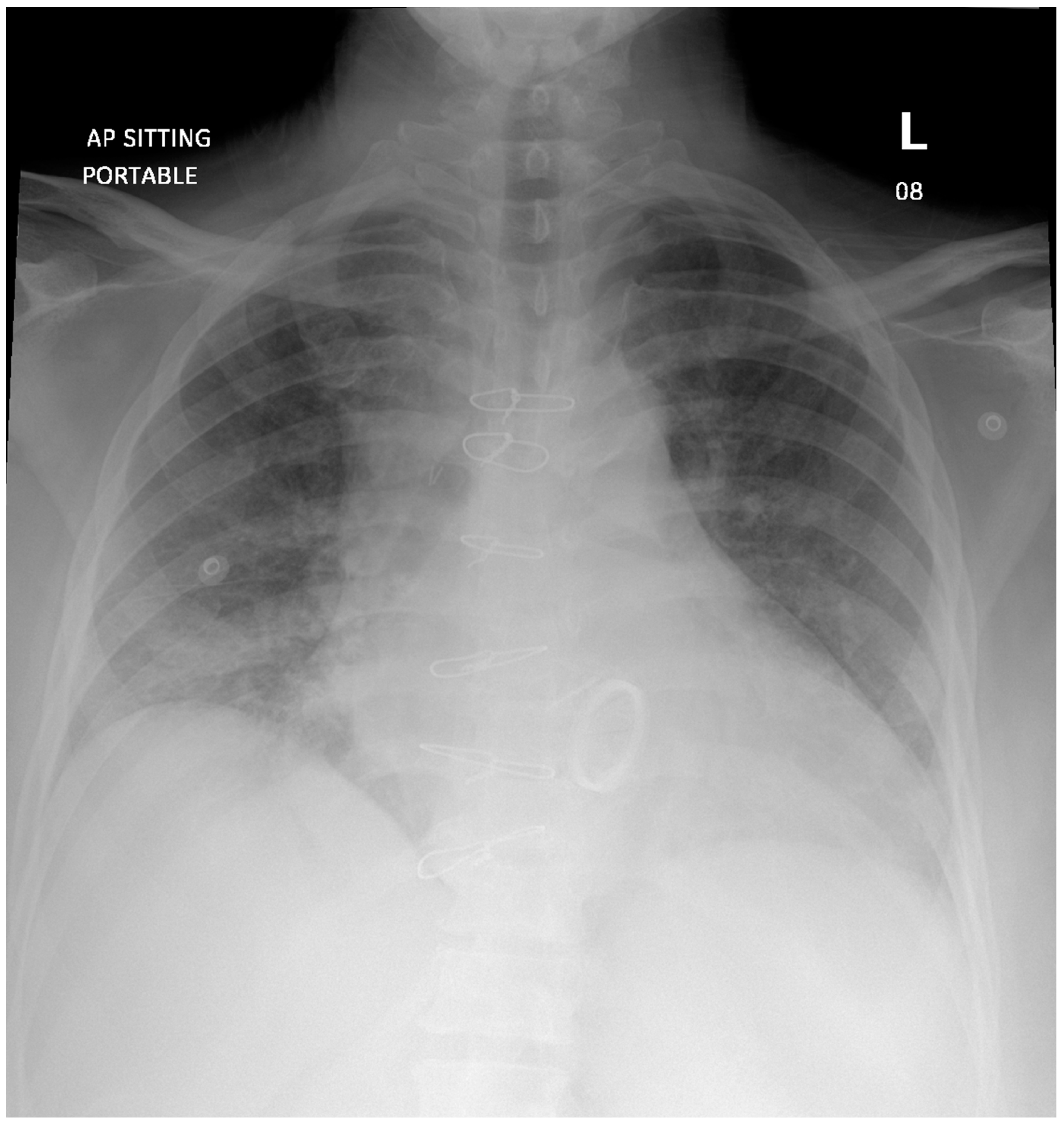
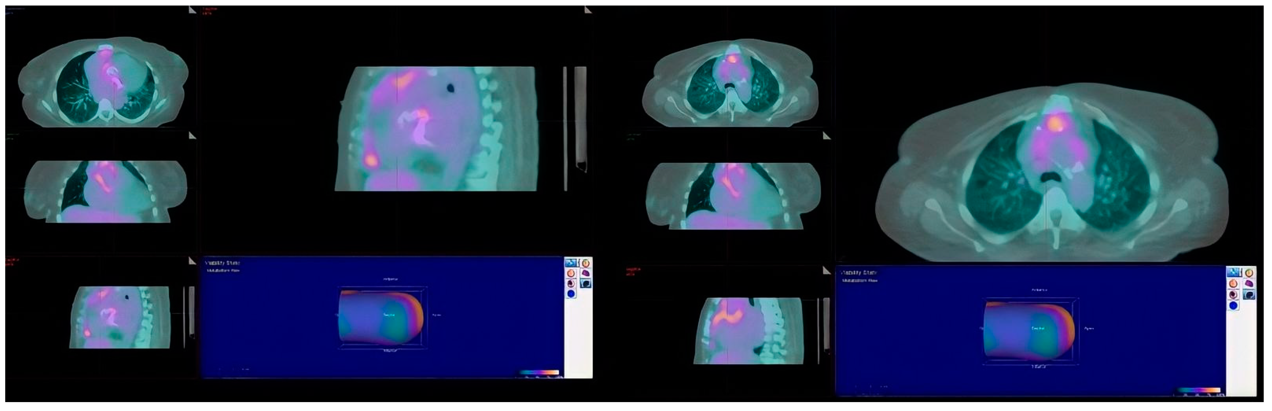
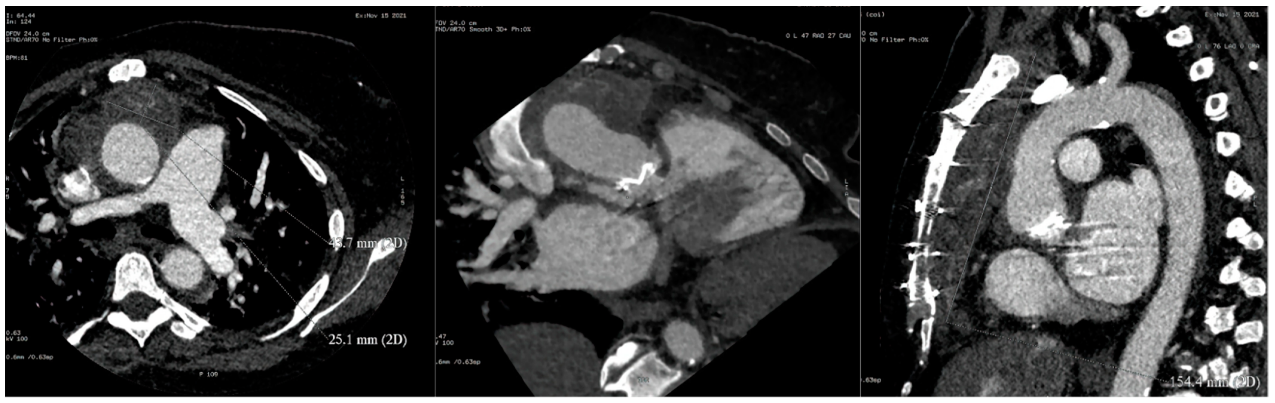
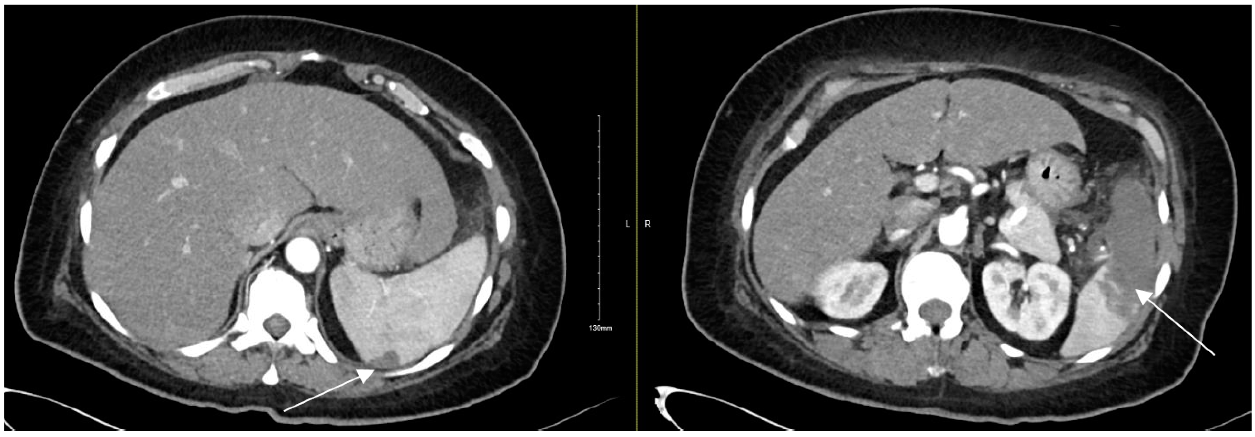
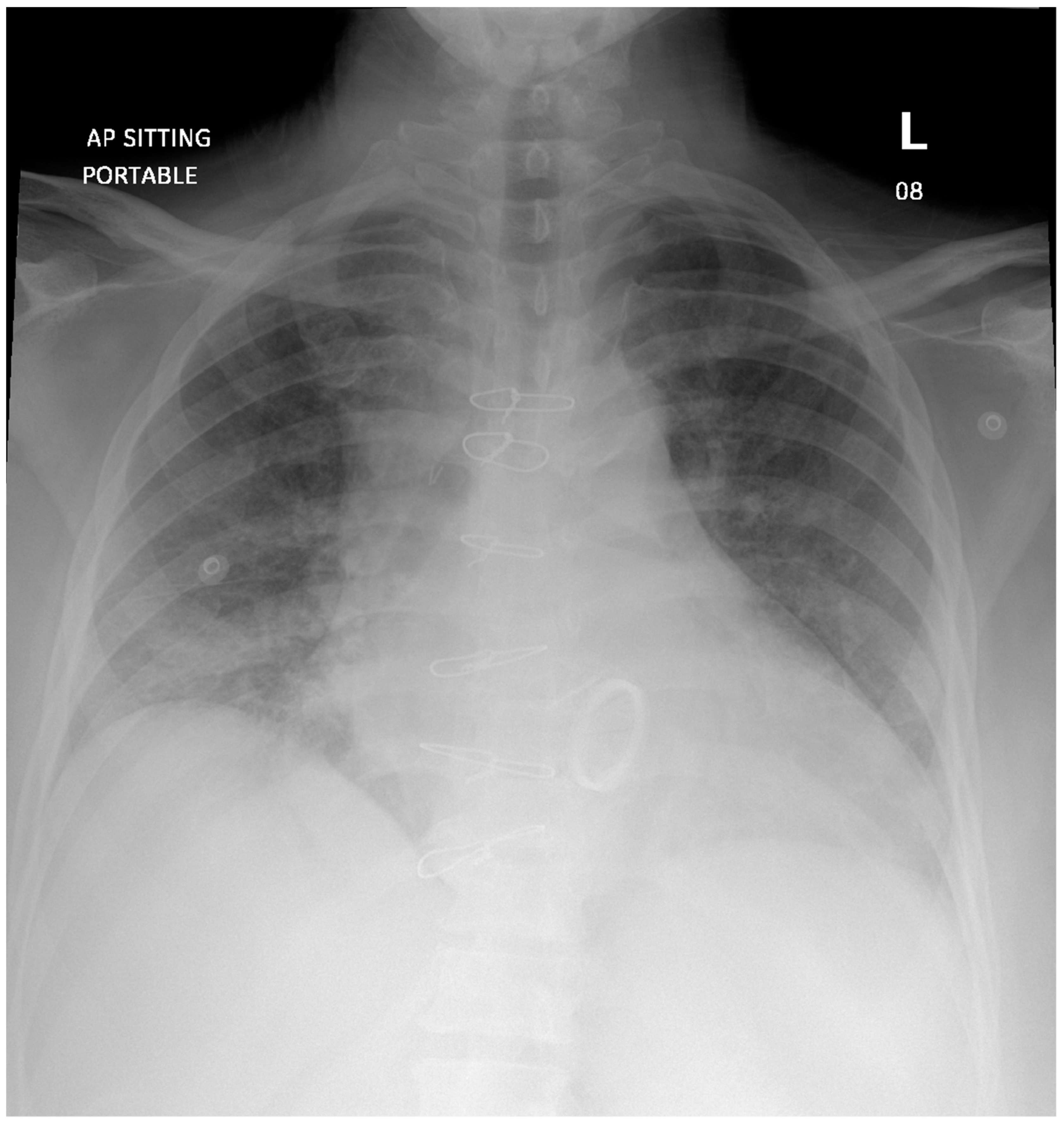
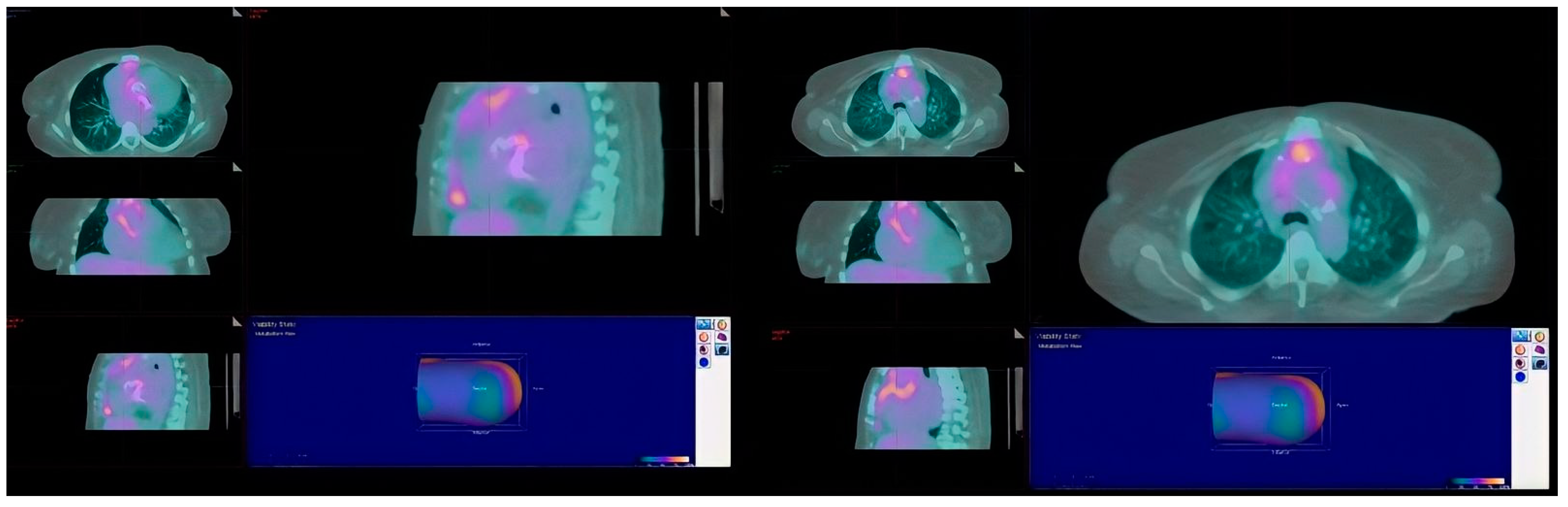
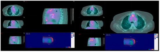
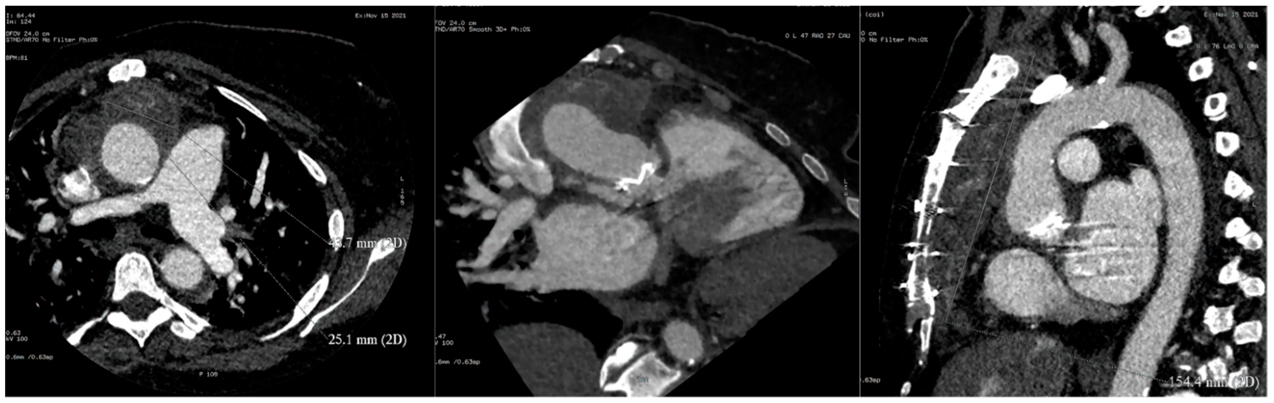
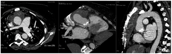
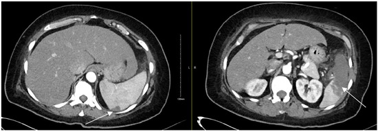
2. Case Presentation
3. Discussion
4. Conclusions
Supplementary Materials
Author Contributions
Funding
Institutional Review Board Statement
Informed Consent Statement
Conflicts of Interest
References
- Lahiri, A.; Iyer, N.; Das, P.; Chakravortty, D. Visiting the cell biology of Salmonella infection. Microbes Infect. 2010, 12, 809–818. [Google Scholar] [CrossRef]
- Mishra, K.; Cu, C.; Abolbashari, M.; Ojha, C.P.; Cervantes, J.L.; Alkhateeb, H. Slither into the Heart: Salmonella Endocarditis Following Rattlesnake Meat Ingestion. Cureus 2021, 13, e16466. [Google Scholar] [CrossRef]
- Fuche, F.J.; Sow, O.; Simon, R.; Tennant, S.M. Salmonella Serogroup C: Current Status of Vaccines and Why They Are Needed. Clin. Vaccine Immunol. 2016, 23, 737–745. [Google Scholar] [CrossRef] [PubMed]
- Nielsen, H.; Gradel, K.O.; Schønheyder, H.C. High incidence of intravascular focus in nontyphoid Salmonella bacteremia in the age group above 50 years: A population-based study. APMIS 2006, 114, 641–645. [Google Scholar] [CrossRef]
- Mutlu, H.; Babar, J.; Maggiore, P.R. Extensive Salmonella enteritidis endocarditis involving mitral, tricuspid valves, aortic root and right ventricular wall. J. Am. Soc. Echocardiogr. 2009, 22, e1–e3. [Google Scholar] [CrossRef]
- Parry, C.M.; Thomas, S.; Aspinall, E.J.; Cooke, R.P.; Rogerson, S.J.; Harries, A.D.; Beeching, N.J. A retrospective study of secondary bacteraemia in hospitalised adults with community acquired non-typhoidal Salmonella gastroenteritis. BMC Infect Dis. 2013, 13, 107. [Google Scholar] [CrossRef]
- Miyamoto, M.I.; Hutter, A.M., Jr.; Blum, J.H.; Torchiana, D.F. Cardiac conduction abnormalities preceding transoesophageal echocardiographic evidence of perivalvar extension of infection in a case of Salmonella prosthetic valve endocarditis. Heart 1997, 78, 416–418. [Google Scholar] [CrossRef] [PubMed]
- Cheng, W.L.; Li, C.W.; Li, M.C.; Lee, N.Y.; Lee, C.C.; Ko, W.C. Salmonella infective endocarditis. J. Microbiol. Immunol. Infect. 2016, 49, 313–320. [Google Scholar] [CrossRef] [PubMed]
- Preziosi, M.J.; Kandel, S.M.; Guiney, D.G.; Browne, S.H. Microbiological analysis of nontyphoidal Salmonella strains causing distinct syndromes of bacteremia or enteritis in HIV/AIDS patients in San Diego, California. J. Clin. Microbiol. 2012, 50, 3598–3603. [Google Scholar] [CrossRef]
- Alvarez-Elcoro, S.; Soto-Ramirez, L.; Mateos-Mora, M. Salmonella bacteremia in patients with prosthetic heart valves. Am. J. Med. 1984, 77, 61–63. [Google Scholar] [CrossRef]
- Al-Sherbeeni, N.M. Salmonella species group B causing endocarditis of the prosthetic mitral valve. Saudi Med. J. 2009, 30, 1091–1094. [Google Scholar]
- Yamamoto, N.; Magidson, O.; Posner, C.; Mendez, A.M.; Zubiate, P.; Kay, J.H. Probable salmonella endocarditis treated with prosthetic valve replacement: A case report. Surgery 1974, 76, 678–681. [Google Scholar]
- Choo, P.W.; Gantz, N.M.; Anderson, C.; Maguire, J.H. Salmonella prosthetic valve endocarditis. Diagn. Microbiol. Infect. Dis. 1992, 15, 273–276. [Google Scholar] [CrossRef]
- Lee, Y.H.; Lai, L.P.; Shyu, K.G.; Kuan, P.; Lien, W.P. Salmonella Prosthetic Valve Endocarditis: A Case Report. Angiology 1994, 45, 245–247. [Google Scholar] [CrossRef]
- Gorki, H.; Loulmet, D.F.; Lessnau, K.D. A postoperative Gerbode defect in aortic prosthesis endocarditis with non-typhoid Salmonella. J. Heart Valve Dis. 2009, 18, 325–326. [Google Scholar]
- Kumar, K.; Freed, D.H.; Arora, R.C.; Lee, J.J.Y. Simultaneous Salmonella spp. endocarditis and mycotic abdominal aortic aneurysm presentation: A surgical dilemma. Interact. CardioVascular Thorac. Surg. 2009, 9, 357–359. [Google Scholar] [CrossRef][Green Version]
- Habib, G.; Lancellotti, P.; Antunes, M.J.; Bongiornim, M.G.; Casalta, J.P.; Del Zotti, F.; Dulgheru, R.; El Khoury, G.; Erba, P.A.; Iung, B.; et al. 2015 ESC Guidelines for the management of infective endocarditis: The Task Force for the Management of Infective Endocarditis of the European Society of Cardiology (ESC). Endorsed by: European Association for Cardio-Thoracic Surgery (EACTS), the European Association of Nuclear Medicine (EANM). Eur. Heart J. 2015, 36, 3075–3128. [Google Scholar] [CrossRef]
- Fernández Guerrero, M.L.; Aguado, J.M.; Arribas, A.; Lumbreras, C.; de Gorgolas, M. The spectrum of cardiovascular infections due to Salmonella enterica: A review of clinical features and factors determining outcome. Medicine 2004, 83, 123–138. [Google Scholar] [CrossRef]
- Gutiérrez Macías, A.; Basurto-Hoyuelos, J.; Ramos-Prada, L.; Lizarralde-Palacios, E. Endocarditis por Salmonella enteritidis sobre válvula nativa. Curación con tratamiento médico [Native valve endocarditis due to Salmonella enteritidis. A cure with medical treatment]. Enferm. Infecc. Microbiol. Clin. 2014, 32, 404. [Google Scholar] [CrossRef]
- Hanger, K.H., Jr.; Goodman, R.; Usher, B.W.; Holley, H.P., Jr. Aortic valve endocarditis due to Salmonella enteritidis. South. Med. J. 1985, 78, 1023–1024. [Google Scholar] [CrossRef]
- Soravia-Dunand, V.A.; Loo, V.G.; Salit, I.E. Aortitis due to Salmonella: Report of 10 cases and comprehensive review of the literature. Clin. Infect. Dis. 1999, 29, 862–868. [Google Scholar] [CrossRef]






| Test Name | Reference Range with Unit | At Initial Admission | At ICU Admission | At Discharge | At Follow-Up |
|---|---|---|---|---|---|
| Hgb | 120~160 gm/L | 115 | 88 | 100 | 98 |
| MCV | 76~96 fL | 82.8 | 93.6 | 93.9 | 93.1 |
| Retic Percent | 0.5~1.5% | 5.6 | 5.08 | N/A | 3.37 |
| RBC | 4~5.4 × 1012/L | 4.21 | 2.84 | 3.16 | 3.29 |
| WBC | 4~11 × 109/L | 10.2 | 8.25 | 7.32 | 6.88 |
| Neutrophils | 2~7.5 × 109/L | 9.32 | 6.28 | 5.01 | 5.45 |
| Lymphocytes | 1~4.4 × 109/L | 0.3 | 1.01 | 1.2 | 1.68 |
| Platelets | 150~400 × 109/L | 96 | 219 | 288 | 212 |
| PT | Second | 55.9 | 12.2 | 36.1 | 26.3 |
| PTT | Second | 41.9 | 41.6 | 36.5 | 31 |
| INR | . | 6.21 | 1.14 | 3.6 | 2.54 |
| AST | 5~34 U/L | 113 | 28 | 52 | 34 |
| ALT | 5~55 U/L | 57 | 14 | 28 | 24 |
| Bili T | ~20.5 μmol/L | 55.9 | 39.5 | 38.8 | 28.1 |
| Bili D | ~8.6 μmol/L | 40 | 30 | 23.3 | 16 |
| GGT | 9~36 U/L | 290 | 286 | 576 | 627 |
| Alk Phos | 40~150 U/L | 188 | 281 | 193 | 199 |
| Total Protein | 64~83 g/L | 65 | 66 | 82 | 77 |
| BUN | 3.5~7.2 mmol/L | 23 | 13.6 | 9.9 | 15.9 |
| Creatinine | 50~98 μmol/L | 264 | 190 | 213 | 149 |
| eGFR | ~60 mL/min/1.73 m2 | 17 | 25 | 22 | 25 |
| Albumin | 35~50 g/L | 30 | 29 | 47 | 48 |
| Uric Acid | 150~370 μmol/L | 655 | 363 | 257 | 701 |
| Sodium | 136~145 mmol/L | 119 | 109 | 129 | 136 |
| Chloride | 98~107 mmol/L | 88 | 80 | 94 | 102 |
| Phosphorus | 0.74~1.52 mmol/L | 1.18 | 1.27 | 0.87 | 1.62 |
| Ca | 2.1~2.55 mmol/L | 1.86 | 1.87 | 2.41 | 2.33 |
| Adj Ca | 2.1~2.55 mmol/L | 2.06 | 2.09 | 2.27 | 2.17 |
| Potassium | 3.5~5.1 mmol/L | 4.6 | 4.7 | 5.1 | 5.1 |
| Magnesium | 0.66~1.07 mmol/L | 0.93 | 0.8 | 0.8 | 0.8 |
| Lactic Acid | 0.5~2.2 | 2.96 | 2.58 | N/A | N/A |
| CRP | ~8 mg/L | 336 | 89 | N/A | N/A |
| PCT | ~0.05 ng/mL | 23.7 | 19.5 | N/A | N/A |
| ESR | 0~30 mm/h | 85 | 59 | N/A | N/A |
| D-Dimer | 0~0.5 | 12.32 | 4.9 | N/A | N/A |
| BNP | ~28.9 pmol/L | 256 | 420 | N/A | 295 |
| Troponin I | ~15.6 | 75 | 2196 | N/A | N/A |
| Creatine Kinase | 29~168 U/L | 151 | 455 | N/A | N/A |
Publisher’s Note: MDPI stays neutral with regard to jurisdictional claims in published maps and institutional affiliations. |
© 2022 by the authors. Licensee MDPI, Basel, Switzerland. This article is an open access article distributed under the terms and conditions of the Creative Commons Attribution (CC BY) license (https://creativecommons.org/licenses/by/4.0/).
Share and Cite
Alhamadh, M.S.; Alanazi, R.B.; Alhowaish, T.S.; Alhabeeb, A.Y.; Algarni, S.T.; Wadaan, O.M.; Suliman, I.; Al-Ghamdi, M.G. Refractory Salmonella Prosthetic Valve Endocarditis Complicated by Splenic Infarction and Aortic Pseudoaneurysm in a Patient with Double Prosthetic Valves: A Case Report. Diagnostics 2022, 12, 1982. https://doi.org/10.3390/diagnostics12081982
Alhamadh MS, Alanazi RB, Alhowaish TS, Alhabeeb AY, Algarni ST, Wadaan OM, Suliman I, Al-Ghamdi MG. Refractory Salmonella Prosthetic Valve Endocarditis Complicated by Splenic Infarction and Aortic Pseudoaneurysm in a Patient with Double Prosthetic Valves: A Case Report. Diagnostics. 2022; 12(8):1982. https://doi.org/10.3390/diagnostics12081982
Chicago/Turabian StyleAlhamadh, Moustafa S., Rakan B. Alanazi, Thamer Saad Alhowaish, Abdulrahman Yousef Alhabeeb, Sultan T. Algarni, Osama Mohaamad Wadaan, Ihab Suliman, and Mohammed Ghormalla Al-Ghamdi. 2022. "Refractory Salmonella Prosthetic Valve Endocarditis Complicated by Splenic Infarction and Aortic Pseudoaneurysm in a Patient with Double Prosthetic Valves: A Case Report" Diagnostics 12, no. 8: 1982. https://doi.org/10.3390/diagnostics12081982
APA StyleAlhamadh, M. S., Alanazi, R. B., Alhowaish, T. S., Alhabeeb, A. Y., Algarni, S. T., Wadaan, O. M., Suliman, I., & Al-Ghamdi, M. G. (2022). Refractory Salmonella Prosthetic Valve Endocarditis Complicated by Splenic Infarction and Aortic Pseudoaneurysm in a Patient with Double Prosthetic Valves: A Case Report. Diagnostics, 12(8), 1982. https://doi.org/10.3390/diagnostics12081982

