Extent and Distribution of Parenchymal Abnormalities in Baseline CT-Scans Do Not Predict Awake Prone Positioning Response in COVID-19 Related ARDS
Abstract
:1. Introduction
2. Materials and Methods
2.1. Study Design, Participants and Treatment Protocol
2.2. CT Image Acquisition and Quantitative Analysis
2.3. Statistical Analysis
2.4. Outcomes
3. Results
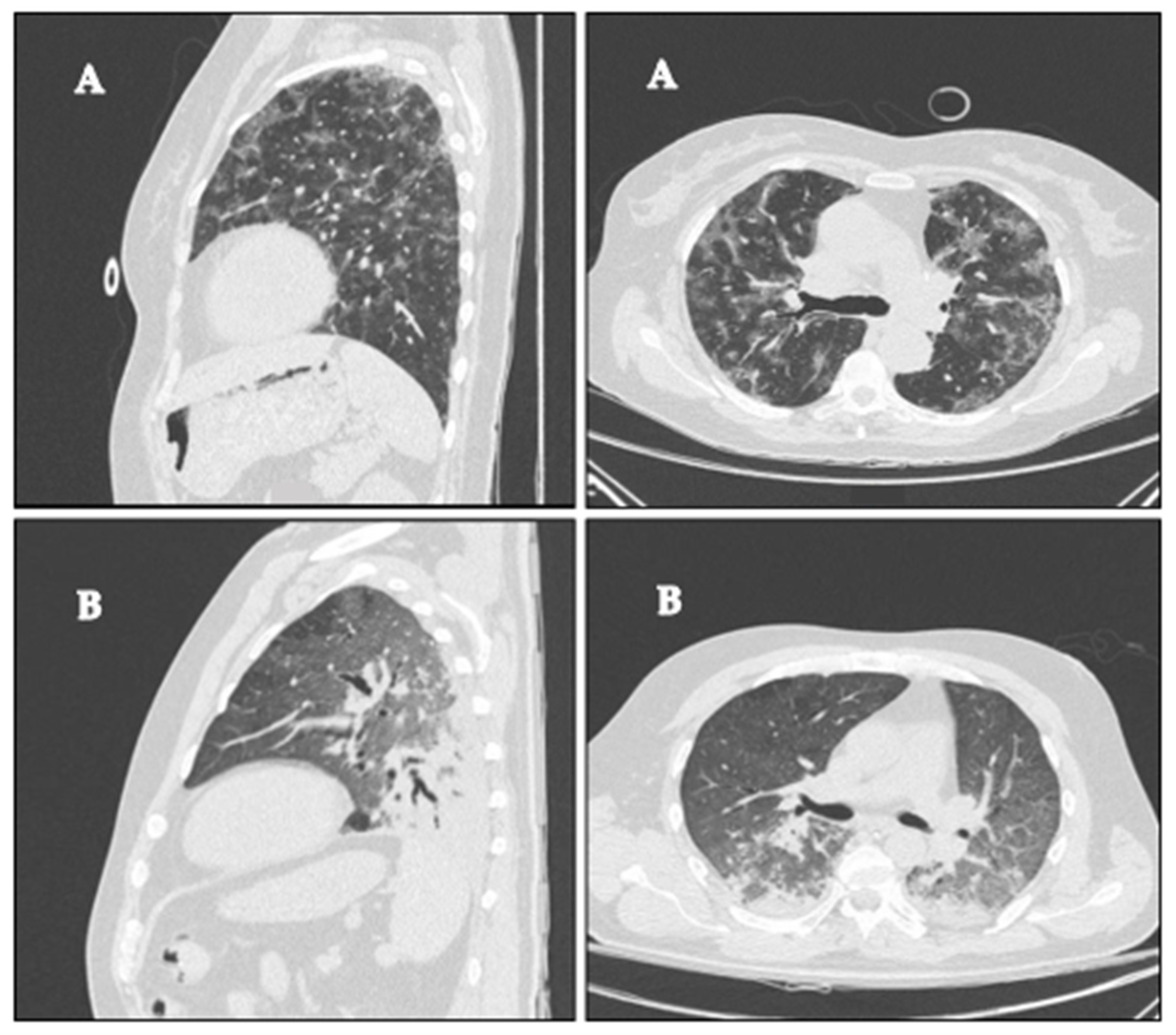
3.1. Chest CT Parenchymal Abnormalities
3.2. Response to Prone Position and Correlation with Imaging
4. Discussion
5. Conclusions
Supplementary Materials
Author Contributions
Funding
Institutional Review Board Statement
Informed Consent Statement
Data Availability Statement
Acknowledgments
Conflicts of Interest
References
- Pfortmueller, C.A.; Spinetti, T. COVID-19-associated acute respiratory distress syndrome (CARDS): Current knowledge on pathophysiology and ICU treatment—A narrative review. Best Pract. Res. Clin. Anaesthesiol. 2021, 35, 351–368. [Google Scholar] [CrossRef] [PubMed]
- Wang, D.; Hu, B. Clinical Characteristics of 138 Hospitalized Patients with 2019 Novel Coronavirus-Infected Pneumonia in Wuhan, China. JAMA J. Am. Med. Assoc. 2020, 323, 1061–1069. [Google Scholar] [CrossRef] [PubMed]
- Wu, C.; Chen, X. Risk Factors Associated with Acute Respiratory Distress Syndrome and Death in Patients with Coronavirus Disease 2019 Pneumonia in Wuhan, China. JAMA Intern. Med. 2020, 180, 934–943. [Google Scholar] [CrossRef] [PubMed] [Green Version]
- Touchon, F.; Trigui, Y. Awake prone positioning for hypoxaemic respiratory failure: Past, COVID-19 and perspectives. Eur. Respir. Rev. 2021, 30, 210022. [Google Scholar] [CrossRef] [PubMed]
- Guérin, C.; Reignier, J. Prone Positioning in Severe Acute Respiratory Distress Syndrome. N. Engl. J. Med. 2013, 368, 2159–2168. [Google Scholar] [CrossRef]
- Albert, R.K.; Hubmayr, R.D. The prone position eliminates compression of the lungs by the heart. Am. J. Respir. Crit. Care Med. 2000, 161, 1660–1665. [Google Scholar] [CrossRef]
- Hopkins, S.R.; Henderson, A.C. Vertical gradients in regional lung density and perfusion in the supine human lung: The Slinky effect. J. Appl. Physiol. 2007, 103, 240–248. [Google Scholar] [CrossRef] [PubMed] [Green Version]
- Alhazzani, W.; Møller, M.H. Surviving Sepsis Campaign: Guidelines on the management of critically ill adults with Coronavirus Disease 2019 (COVID-19). Intensive Care Med. 2020, 46, 854–887. [Google Scholar] [CrossRef] [Green Version]
- Coppo, A.; Bellani, G. Feasibility and physiological effects of prone positioning in non-intubated patients with acute respiratory failure due to COVID-19 (PRON-COVID): A prospective cohort study. Lancet Respir. Med. 2020, 8, 765–774. [Google Scholar] [CrossRef]
- Li, J.; Luo, J. Awake prone positioning for non-intubated patients with COVID-19-related acute hypoxaemic respiratory failure: A systematic review and meta-analysis. Lancet Respir. Med. 2022, 10, 573–583. [Google Scholar] [CrossRef]
- Gattinoni, L.; Gattarello, S. COVID-19 pneumonia: Pathophysiology and management. Eur. Respir. Rev. 2021, 30, 210138. [Google Scholar] [CrossRef]
- Jalaber, C.; Lapotre, T. Chest CT in COVID-19 pneumonia: A review of current knowledge. Diagn. Interv. Imaging 2020, 101, 431–437. [Google Scholar] [CrossRef]
- Papazian, L.; Paladini, M.H. Can the tomographic aspect characteristics of patients presenting with acute respiratory distress syndrome predict improvement in oxygenation-related response to the prone position? Anesthesiology 2002, 97, 599–607. [Google Scholar] [CrossRef] [PubMed] [Green Version]
- Bao, C.; Liu, X. Coronavirus Disease 2019 (COVID-19) CT Findings: A Systematic Review and Meta-analysis. J. Am. Coll. Radiol. 2020, 17, 701–709. [Google Scholar] [CrossRef] [PubMed]
- Ojha, V.; Mani, A. CT in coronavirus disease 2019 (COVID-19): A systematic review of chest CT findings in 4410 adult patients. Eur. Radiol. 2020, 30, 6129–6138. [Google Scholar] [CrossRef] [PubMed]
- Shi, H.; Han, X. Radiological findings from 81 patients with COVID-19 pneumonia in Wuhan, China: A descriptive study. Lancet Infect. Dis. 2020, 20, 425–434. [Google Scholar] [CrossRef]
- Sud, S.; Friedrich, J.O. Effect of prone positioning during mechanical ventilation on mortality among patients with acute respiratory distress syndrome: A systematic review and meta-analysis. CMAJ 2014, 186, E381–E390. [Google Scholar] [CrossRef] [PubMed] [Green Version]
- Abroug, F.; Ouanes-Besbes, L. The effect of prone positioning in acute respiratory distress syndrome or acute lung injury: A meta-analysis. Areas of uncertainty and recommendations for research. Intensive Care Med. 2008, 34, 1002–1011. [Google Scholar] [CrossRef]
- Guérin, C.; Albert, R.K. Prone position in ARDS patients: Why, when, how and for whom. Intensive Care Med. 2020, 46, 2385–2396. [Google Scholar] [CrossRef] [PubMed]
- Musch, G.; Layfield, J.D.H. Topographical distribution of pulmonary perfusion and ventilation, assessed by PET in supine and prone humans. J. Appl. Physiol. 2002, 93, 1841–1851. [Google Scholar] [CrossRef]
- Henderson, A.C.; Sá, R.C. The gravitational distribution of ventilation-perfusion ratio is more uniform in prone than supine posture in the normal human lung. J. Appl. Physiol. 2013, 115, 313–324. [Google Scholar] [CrossRef] [PubMed]
- Lamm, W.J.E.; Graham, M.M. Mechanism by which the prone position improves oxygenation in acute lung injury. Am. J. Respir. Crit. Care Med. 1994, 150, 184–193. [Google Scholar] [CrossRef] [PubMed]
- Gattinoni, L.; Coppola, S. COVID-19 does not lead to a “typical” acute respiratory distress syndrome. Am. J. Respir. Crit. Care Med. 2020, 201, 1299–1300. [Google Scholar] [CrossRef] [Green Version]
- Beloncle, F.M.; Pavlovsky, B. Recruitability and effect of PEEP in SARS-Cov-2-associated acute respiratory distress syndrome. Ann. Intensive Care 2020, 10, 55. [Google Scholar] [CrossRef]
- Habashi, N.M.; Camporota, L. Functional pathophysiology of SARS-CoV-2-induced acute lung injury and clinical implications. J. Appl. Physiol. 2021, 130, 877–891. [Google Scholar] [CrossRef]
- Rossi, S.; Palumbo, M.M. Mechanisms of oxygenation responses to proning and recruitment in COVID-19 pneumonia. Intensive Care Med. 2022, 48, 56–66. [Google Scholar] [CrossRef] [PubMed]
- Busana, M.; Giosa, L. The impact of ventilation–perfusion inequality in COVID-19: A computational model. J. Appl. Physiol. 2021, 130, 865–876. [Google Scholar] [CrossRef]
- Weiss, T.T.; Cerda, F.; Scott, J.B. Prone positioning for patients intubated for severe acute respiratory distress syndrome (ARDS) secondary to COVID-19: A retrospective observational cohort study. BJA 2021, 126, 48–55. [Google Scholar] [CrossRef]


| All Patients (n = 45) | Responders * (n = 28) | Non-Responders * (n = 17) | p-Value | |
|---|---|---|---|---|
| Male gender, n (%) | 33 (73) | 20 (71) | 13 (76) | 0.72 |
| Age, years | 63 (12) | 63 (11) | 65 (14) | 0.58 |
| BMI, Kg/m2 | 27.3 (3.7) | 27.8 (3.1) | 26.5 (4.5) | 0.27 |
| Interval: Symptoms–Hospital Admission, days | 6 [4;8] | 7 [4;9] | 5 [3;7] | 0.33 |
| Interval: Hospital Admission–SubICU, days | 1 [1;4] | 2 [1;4] | 1 [0;2] | 0.05 |
| NIV Duration, days | 6 [4;9] | 7 [4;10] | 5 [2;9] | 0.11 |
| PEEP, cmH2O | 8 [6;9] | 8 [6;8] | 8 [7;10] | 0.27 |
| Pressure Support, cmH2O | 8 [6;10] | 8 [6;9] | 8 [6;10] | 0.50 |
| Charlson Index | 4 [3;5] | 4 [2;5] | 4 [3;6] | 0.48 |
| Hemoglobin, g/dL | 14.0 [12.5;14.8] | 14.1 [12.9;14.7] | 13.9 [12.3;15.4] | 0.93 |
| Platelets, *10^9/L | 206 [159;272] | 204 [161;266] | 227 [151;288] | 0.62 |
| LDH, U/L | 399 [311;468] | 399 [215;462] | 404 [302;484] | 0.82 |
| C-Reactive Protein, mg/dL | 8.1 [4.5;15.8] | 9.0 [5.3;16.4] | 6.9 [4.2;15.0] | 0.31 |
| D-Dimer, ng/mL | 682 [506;1099] | 657 [499;843] | 695 [507;2059] | 0.22 |
| Pulmonary thromboembolism, n (%) | 2 (4) | 2 (7) | 0 (0) | 0.26 |
| Supine position before prone position | ||||
| Respiratory rate, acts/min | 20 [18;25] | 21 [18;24] | 19 [17;25] | 0.68 |
| pH | 7.45 [7.43;7.47] | 7.44 [7.42;7.47] | 7.45 [7.43;7.49] | 0.52 |
| PaCO2, mmHg | 35.0 (3.8) | 34.8 (4.2) | 35.4 (3.1) | 0.63 |
| HCO3−, mmol/L | 25.0 [24.0;27.1] | 25.1 [24.2;26.8] | 24.6 [23.9;29.6] | 0.54 |
| PaO2/FiO2 | 140 [108;169] | 134 [108;155] | 145 [108;255] | 0.28 |
| Prone position | ||||
| Respiratory rate, acts/min | 19 (4) | 20 (5) | 19 (5) | 0.67 |
| PaO2/FiO2 | 246 (105) | 262 (80) | 220 (135) | 0.26 |
| Supine position after prone position | ||||
| Respiratory rate, acts/min | 20 [18;25] | 21 [17;25] | 20 [17;26] | 0.87 |
| PaO2/FiO2, mmHg/% | 157 [111;198] | 167 [137;200] | 112 [95;193] | 0.01 |
| Delta | ||||
| PaO2/FiO2 PP–SP1 | 98 (84) | 127 (74) | 50 (78) | <0.01 |
| PaO2/FiO2 PP1–SP1, % | 67 [21;113] | 92 [35;130] | 19 [−6;69] | <0.01 |
| PaO2/FiO2 SP2–SP1 | 13 [−9;44] | 32 [15;55] | −10 [−26;−6] | <0.01 |
| PaO2/FiO2 SP2–SP1, % | 9 [−6;36] | 24 [13;51] | −8 [−19;−4] | <0.01 |
| All Patients (n = 45) | Responders * (n = 28) | Non-Responders * (n = 17) | p-Value | |
|---|---|---|---|---|
| OVERALL | ||||
| Healthy parenchyma | 50 (17) | 51 (17) | 49 (16) | 0.78 |
| Emphysema | 0.02 [0.00;0.08] | 0.00 [0.00;0.07] | 0.03 [0.01;0.19] | 0.06 |
| Ground glass | 44 (14) | 43 (13) | 46 (15) | 0.61 |
| Consolidation | 4 [2;9] | 4 [2;10] | 5 [2;7] | 0.98 |
| Ground glass + consolidation | 51 (16) | 50 (17) | 51 (16) | 0.92 |
| ANTERIOR | ||||
| Healthy parenchyma | 61 (15) | 61 (15) | 61 (15) | 0.98 |
| Emphysema | 0.01 [0.00;0.09] | 0.01 [0.00;0.04] | 0.05 [0.00;0.21] | 0.16 |
| Ground glass | 37 (14) | 36 (13) | 37 (15) | 0.80 |
| Consolidation | 1 [0;2] | 1 [1;3] | 1 [1;2] | 0.85 |
| Ground glass + consolidation | 39 (15) | 39 (15) | 39 (15) | 0.99 |
| POSTERIOR | ||||
| Healthy parenchyma | 38 (18) | 39 (19) | 37 (17) | 0.70 |
| Emphysema | 0.00 [0.00;0.05] | 0.00 [0.00;0.01] | 0.02 [0.00;0.09] | 0.07 |
| Ground glass | 51 (16) | 50 (15) | 54 (17) | 0.43 |
| Consolidation | 7 [3;15] | 7 [3;15] | 8 [4;13] | 1.00 |
| Ground glass + consolidation | 62 (18) | 61 (19) | 63 (17) | 0.76 |
| POSTERIOR/ANTERIOR RATIO | ||||
| Healthy parenchyma | 0.6 (0.2) | 0.6 (0.2) | 0.6 (0.2) | 0.65 |
| Ground glass | 1.5 (0.4) | 1.5 (0.4) | 1.5 (0.4) | 0.76 |
| Consolidation | 4.4 [2.5;6.4] | 4.3 [2.2;6.2] | 4.5 [2.5;8.6] | 0.66 |
| Ground glass + consolidation | 1.7 (0.4) | 1.7 (0.4) | 1.7 (0,3) | 0.72 |
Publisher’s Note: MDPI stays neutral with regard to jurisdictional claims in published maps and institutional affiliations. |
© 2022 by the authors. Licensee MDPI, Basel, Switzerland. This article is an open access article distributed under the terms and conditions of the Creative Commons Attribution (CC BY) license (https://creativecommons.org/licenses/by/4.0/).
Share and Cite
Raimondi, F.; Cazzaniga, S.; Annibali, S.; Novelli, L.; Brivio, M.; Pappacena, S.; Malandrino, L.; Bonaffini, P.A.; Bianco, I.; Liggeri, N.; et al. Extent and Distribution of Parenchymal Abnormalities in Baseline CT-Scans Do Not Predict Awake Prone Positioning Response in COVID-19 Related ARDS. Diagnostics 2022, 12, 1848. https://doi.org/10.3390/diagnostics12081848
Raimondi F, Cazzaniga S, Annibali S, Novelli L, Brivio M, Pappacena S, Malandrino L, Bonaffini PA, Bianco I, Liggeri N, et al. Extent and Distribution of Parenchymal Abnormalities in Baseline CT-Scans Do Not Predict Awake Prone Positioning Response in COVID-19 Related ARDS. Diagnostics. 2022; 12(8):1848. https://doi.org/10.3390/diagnostics12081848
Chicago/Turabian StyleRaimondi, Federico, Sara Cazzaniga, Simona Annibali, Luca Novelli, Matteo Brivio, Simone Pappacena, Luca Malandrino, Pietro Andrea Bonaffini, Ilaria Bianco, Noemi Liggeri, and et al. 2022. "Extent and Distribution of Parenchymal Abnormalities in Baseline CT-Scans Do Not Predict Awake Prone Positioning Response in COVID-19 Related ARDS" Diagnostics 12, no. 8: 1848. https://doi.org/10.3390/diagnostics12081848
APA StyleRaimondi, F., Cazzaniga, S., Annibali, S., Novelli, L., Brivio, M., Pappacena, S., Malandrino, L., Bonaffini, P. A., Bianco, I., Liggeri, N., Gritti, P., Lorini, F. L., Sironi, S., & Di Marco, F. (2022). Extent and Distribution of Parenchymal Abnormalities in Baseline CT-Scans Do Not Predict Awake Prone Positioning Response in COVID-19 Related ARDS. Diagnostics, 12(8), 1848. https://doi.org/10.3390/diagnostics12081848

