Schwannoma of the Upper Limb: Retrospective Study of a Rare Tumor with Uncommon Locations
Abstract
1. Introduction
2. Materials and Methods
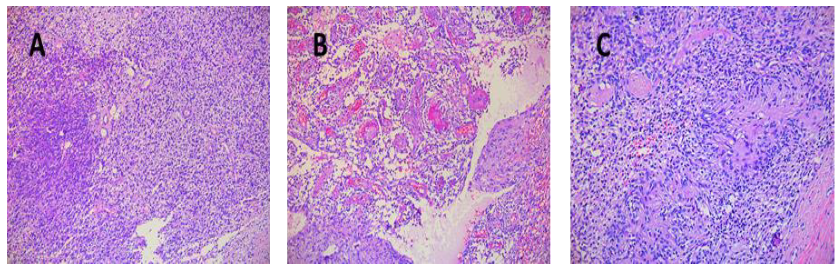
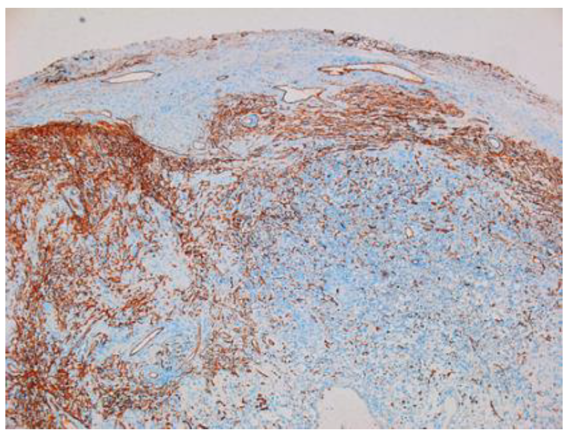
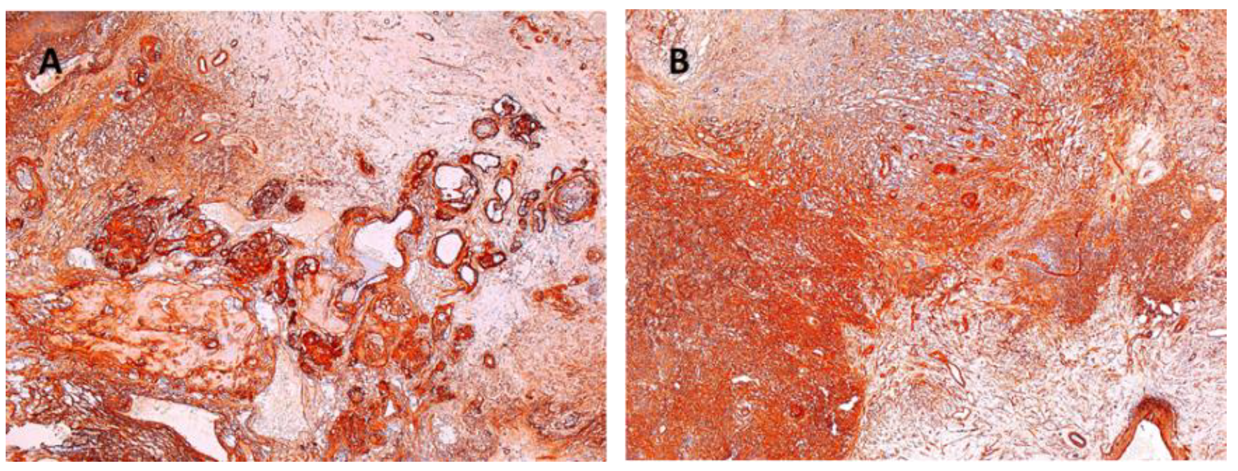
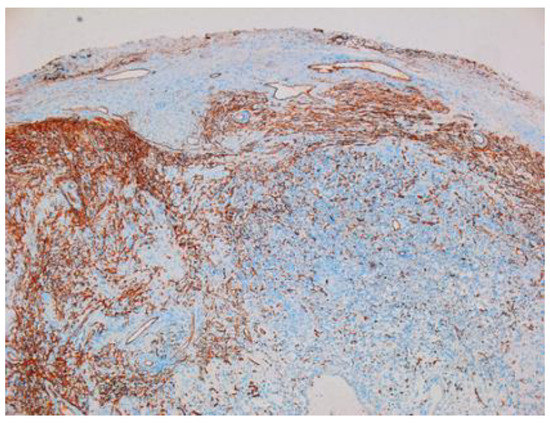
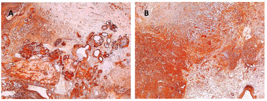
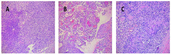
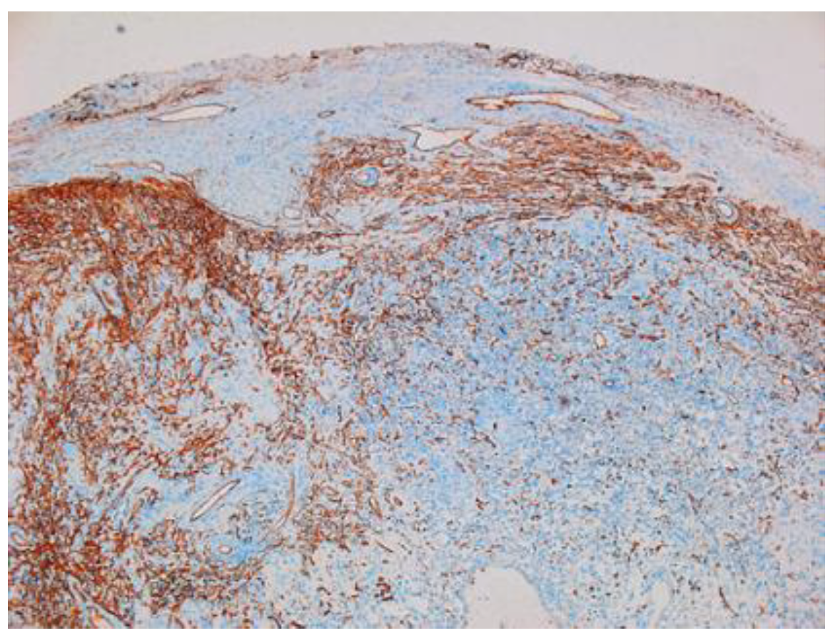
3. Results
4. Discussion
5. Conclusions
Author Contributions
Funding
Institutional Review Board Statement
Informed Consent Statement
Data Availability Statement
Conflicts of Interest
References
- Rodrigues, S.A.; Vidinha, V.; Pinto, R.; Negrao, P. Giant Schwannoma of ulnar nerve: Case report. Rev. Bras. Ortop. 2016, 52, 224–227. [Google Scholar] [CrossRef] [PubMed][Green Version]
- Adani, R.; Baccarani, A.; Guidi, E.; Tarallo, L. Schwannoma of the upper extremity: Analysis of 34 cases. Chir. Organi Mov. 2008, 92, 85–88. [Google Scholar] [CrossRef]
- Hakan, T.; Kılıç, Y.; Çelikoğlu, E.; Ekemen, S. Am Usual Schwannoma in the Proximal Forearm: A Case Report. Cureus 2019, 11, e6231. [Google Scholar] [PubMed]
- Dusad, T.; Meena, D.S.; Saini, N.; Sharma, Y.; Khurana, D. Schwannoma of the Median Nerve at Mid Forearm Level. J.Orthop. Case Rep. 2016, 6, 66–68. [Google Scholar]
- Perrotta, R.; Virzì, D.; Tarico, M.S.; Napoli, P. An unusual case of symptomatic Schwannoma on the elbow. Br. J. Neurosurg. 2011, 25, 306–307. [Google Scholar] [CrossRef] [PubMed]
- Tang, C.Y.; Fung, B.; Fok, M.; Zhu, J. Schwannoma in the upper limbs. Biomed Res. Int. 2013, 2013, 167196. [Google Scholar]
- Kang, H.J.; Shin, S.J.; Kang, E.S. Schwannomas of the upper extremity. J. Hand Surg. Br. 2000, 25, 604–607. [Google Scholar] [CrossRef] [PubMed]
- Artico, M.; Cervoni, L.; Wierzbicki, V.; D’Andrea, V.; Nucci, F. Benign neural sheath tumours of major nerves: Characteristics in 119 surgical cases. Acta Neurochir. 1997, 139, 1108–1116. [Google Scholar] [CrossRef] [PubMed]
- Ozdemir, O.; Ozsoy, M.H.; Kurt, C.; Coskunol, E.; Calli, I. Schwannomas of the hand and wrist: Long-term results and review of the literature. J. Orhop. Surg. 2005, 13, 267–272. [Google Scholar] [CrossRef]
- Rabari, Y.; Prasad, D.V.; Thadeshwar, K.; Dhaytadak, D.; Singh, P.; Jadhao, A. Schwannomas—The problem in delay diagnosis. Int. J. Orthop. Sci. 2017, 3, 459–462. [Google Scholar] [CrossRef]
- Knight, D.M.; Birch, R.; Pringle, J. Benign solitary schwannomas: A review of 234 cases. J. Bone Jt. Surg. Br. 2007, 89, 382–387. [Google Scholar] [CrossRef] [PubMed]
- Xarchas, K.C.; Kyriakopoulos, G.; Vlachoou, M.; Manthas, S. Median Nerve Schwannoma of the Hand and Wrist: 3 cases. Open Orthop. J. 2019, 13, 290–294. [Google Scholar] [CrossRef]
- Kin, D.S.; Chung, H.J.; Shin, J.J.; Hong, K.J. Schwannoma of the Ulnar Nerve in the Elbow: A Case Report. Clin. Shoulder Elb. 2014, 17, 181–184. [Google Scholar]
- Galbiatti, J.A.; Milhomens, G.R.D.S.; Bertozzo, L.G.; Escames, L.; Milhomens Neto, P.A.; Galbiatti, M.G.P. Retrospective Analysis of 20 Patients Affected by Schwannomas in the Upper and Lower Limbs. Rev. Bras. Ortop. 2020, 55, 629–636. [Google Scholar]
- Gosk, J.; Gutkowska, O.; Mazurek, P.; Koszewicz, M.; Ziółkowski, P. Peripheral nerve tumours: 30-year experience in the surgical treatment. Neurosurg. Rev. 2015, 38, 511–520. [Google Scholar] [CrossRef] [PubMed]
- Ahmed, A.R.; Watanabe, H.; Aoki, J.; Shinozaki, T.; Takagishi, K. Schwannoma of the extremities: The role of PET in preoperative planning. Eur. J. Nucl. Med. 2001, 28, 1541–1551. [Google Scholar] [CrossRef] [PubMed]
- Lee, S.J.; Yoon, S.T. Ultrasonographic and Clinical Characteristics of Schwannoma of the Hand. Clin. Orthop. Surg. 2017, 9, 91–95. [Google Scholar] [CrossRef]
- Jonathan, C.K.; Fu-Keung, I.P.; Tak-Chuen, W. Neurilemmomas of the hand: A review of the clinical presentation, surgical outcome, and potential risk factors. J. Orthop. 2017, 22, 48–51. [Google Scholar] [CrossRef]
- Levi, A.D.; Ross, A.L.; Cuartas, E.; Qadir, R.; Temple, H.T. The surgical management of symptomatic peripheral nerve sheath tumors. Neurosurgery 2010, 66, 833–840. [Google Scholar] [CrossRef]
- Sawada, T.; Sano, M.; Ogihara, H.; Omura, T.; Miura, K.; Nagano, A. The relationship between pre-operative symptoms, operative findings and postoperative complications in schwannomas. J. Hand Surg. Br. 2006, 31, 629–634. [Google Scholar] [CrossRef]
- Mizushima, H. Neurological deficits before and after surgical resection of Schwannomas in the upper extremities. J. Reconstr. Microsurg. 2016, 32, 371–377. [Google Scholar] [CrossRef] [PubMed]
- Hirai, T.; Kobayashi, H.; Akiyama, T.; Okuma, T.; Oka, H.; Shinoda, Y.; Ikegami, M.; Tsuda, Y.; Fukushima, T.; Ohki, T.; et al. Predictive factors for complications after surgical treatment for schwannomas of the extremities. BMC Musculoskelet. Disord. 2019, 20, 166. [Google Scholar] [CrossRef] [PubMed]
- Pai, H.V.; Abbagani, S.; Padma Priya, J. Isolated neurofibroma of the eyelid mimicking recurrent chalazion. Indian J. Ophthalmol. 2018, 66, 451–453. [Google Scholar] [CrossRef] [PubMed]
- Rodriguez, F.J.; Folpe, A.L.; Giannini, C.; Perry, A. Pathology of peripheral nerve sheath tumors: Diagnostic overview and update on selected diagnostic problems. Acta Neuropathol. 2012, 123, 295–319. [Google Scholar] [CrossRef]
- Sandberg, K.; Nilsson, J.; Søe Nielsen, N.; Dahlin, L.B. Tumours of peripheral nerves in the upper extremity: A 22-year epidemiological study. Scand. J. Plast. Reconstr. Surg. Hand Surg. 2009, 43, 43–49. [Google Scholar] [CrossRef]
- Longo, J.F.; Weber, S.M.; Turner-Ivey, B.P.; Carroll, S.L. Recent advances in the diagnosis and pathogenesis of neurofibromatosis type 1 (NF1)—Associated peripheral nervous system neoplasms. Adv. Anat. Pathol. 2018, 25, 353–368. [Google Scholar] [CrossRef]
- Majumder, A.; Ahuja, A.; Chauhan, D.S.; Paliwal, P.; Bhardwaj, M. A clinicopathological study of peripheral schwannomas. Med. Pharm. Rep. 2021, 94, 191–196. [Google Scholar] [CrossRef]
- Jiang, S.; Shen, H.; Lu, H. Multiple schwannomas of the digital nerves and common palmar digital nerves: An unusual case report of multiple schwannomas in one hand. Medicine 2019, 98, e14605. [Google Scholar] [CrossRef]
- Young, E.D.; Ingram, D.; Metcalf-Doetsch, W.; Khan, D.; al Sannaa, G.; le Loarer, F.; Lazar, A.J.F.; Slopis, J.; Torres, K.E.; Levet, D.; et al. Clinicopathological variables of sporadic schwannomas of peripheral nerve in 291 patients and expression of biologically relevant markers. J. Neurosurg. 2018, 129, 805–814. [Google Scholar] [CrossRef]
- Pertea, M.; Grosu, O.M.; Terinte, C.; Poroch, V.; Velenciuc, N.; Lunca, S. Nail bed solitary neurofibroma: A case report and literature review. Medicine 2019, 98, e14111. [Google Scholar] [CrossRef]
- Artico, M.; Cervoni, L.; Celli, P.; Nucci, F. Purely epithelioid schwannoma. Two case reports and a review of the literature. Neurochirurgie 1996, 42, 61–65. [Google Scholar] [PubMed]
- Huang, S.Q.; Liang, B.L.; Yuan, J.P.; Zhong, J.L. MRI performance and diagnosis of schwannomas from cranial nerves in posterior cranial fossae. Ai Zheng 2006, 25, 1178–1182. [Google Scholar]
- Pertea, M.; Grosu, O.M.; Veliceasa, B.; Velenciuc, N.; Ciobanu, P.; Tudor, R.; Poroch, V.; Lunca, S. Effectiveness and safety of wide awake local anesthesia no tourniquet (WALANT) technique in hand surgery. Rev. Chim. 2019, 70, 3587–3591. [Google Scholar] [CrossRef]
- Pertea, M.; Poroch, V.; Grosu, O.M.; Lunca, S. Study on epinephrine used in local anesthesia Controversy and certainty. Rev. Chim. 2018, 69, 169–171. [Google Scholar] [CrossRef]
- Pertea, M.; Poroch, V.; Velenciuc, N.; Mitrea, M.; Lunca, S.; Terinte, C.; Filip, A.; Alexa, O.; Veliceasa, B. Clinical, histopathological and immunohistochemical features of glomus tumor of the nail bed. Rom. J. Morphol. Embriol. 2020, 62, 233–238. [Google Scholar] [CrossRef] [PubMed]










| Age | Sex | Axilla/ Arm | Elbow Wrist Hand | Anatomical Localization | Affected Thoracic Limb | Nerve Affected | Clinical Symptoms | USG/ MRI | |
|---|---|---|---|---|---|---|---|---|---|
| 1 | 71 | F | - | + | forearm | L | ulnar | paresthesia minimal pain Tinel+ | USG |
| 2 | 53 | F | - | + | forearm | L | ulnar | paresthesia Tinel+ | USG MRI |
| 3 | 85 | F | + | - | axilla | R | median | paresthesia pain Tinel+ | USG MRI |
| 4 | 60 | F | - | + | forearm | R | ulnar | paresthesia Tinel+ | USG |
| 5 | 48 | F | + | - | arm | L | ulnar | paresthesia Tinel+ | USG MRI |
| 6 | 36 | F | - | + | forearm | L | posterior interosseous | paresthesia Tinel+ | USG MRI |
| 7 | 52 | F | - | + | forearm | L | ulnar | paresthesia medium pain Tinel+ | USG MRI |
| 8 | 77 | M | - | + | palm | R | median | paresthesia Tinel+ | USG MRI |
| 9 | 72 | F | - | + | palmar face of the second phalanx of the ring finger | L | collateral digital | paresthesia Tinel+ | USG |
| 10 | 57 | F | + | - | arm | R | median | paresthesia Tinel+ | USG |
| 11 | 74 | M | - | + | palmar face of the first phalanx of the little finger | L | collateral digital | paresthesia hipoesthesia Tinel+ | USG |
| 12 | 56 | F | - | + | palmar face of the first phalanx of the thumb | R | collateral digital | paresthesia Tinel+ | USG |
| 13 | 38 | F | - | + | anterior face of the wrist | R | median | paresthesia Tinel+ | USG MRI |
| 14 | 75 | F | - | + | palm | L | median | paresthesia Tinel+ | USG MRI |
| 15 | 31 | F | - | + | forearm | L | ulnar | Tinel+ | USG MRI |
| 16 | 62 | F | - | + | forearm | R | ulnar | Tinel+ | USG MRI |
| 17 | 48 | F | + | - | arm | R | radial | paresthesia Tinel+ | USG MRI |
| Affected Nerve | Cases Number | Level of Nerve Tumor | |
|---|---|---|---|
| 1 | ulnar | 7 | Arm—1 Forearm—6 |
| 2 | median | 5 | Axilla—1 Arm—1 Wrist—1 palm 2 |
| 3 | collateral digital | 3 | first phalanx of the little finger—1 first phalanx of the thumb—1 second phalanx of the ring finger—1 |
| 4 | posterior interosseous | 1 | forearm |
| 5 | radial | 1 | arm |
| Age | Sex | Surgical Technique | Specimen Size (cm) | IHC | |
|---|---|---|---|---|---|
| 1 | 71 | F | enucleation | 2.4/2.3/1.5 | − |
| 2 | 53 | F | enucleation | 7.5/5.5/4.5 | S100+, CD34+, SMA− |
| 3 | 85 | F | enucleation | 2.5/2/1.1 | S100+, CD34+, SMA− |
| 4 | 60 | F | enucleation | 1.3/0.9/0.7 | − |
| 5 | 48 | F | enucleation | 2.4/1.8/1.5 | S100+, collagen IV+, SMA− |
| 6 | 36 | F | enucleation | 0.7/0.4/0.4 | S100+ |
| 7 | 52 | F | enucleation | 3/2.7/2.5 | S100+, collagen IV+, SMA− |
| 8 | 77 | M | enucleation | 4.1/3.2/2.7 | S100+, SMA− |
| 9 | 72 | F | enucleation | 1.4/1.1/0.9 | S100+ |
| 10 | 57 | F | enucleation | 3.1/2.8/2.6 | S100+, SMA−, |
| 11 | 74 | M | enucleation | 1.1/0.5/0.5 | − |
| 12 | 56 | F | enucleation | 2.2/2.1/1.3 | S100+, collagen IV+, CD34+, SMA− |
| 13 | 38 | F | enucleation | 1.2/0.5/0.7 | − |
| 14 | 75 | F | enucleation | 2.1/1.1/1.5 | S100+ |
| 15 | 31 | F | enucleation | 3.2/1.9/1.8 | S100+, SMA− |
| 16 | 62 | F | enucleation | 3.1/1.8/1.4 | S100+, CD34+, collagen IV+, SMA− |
| 17 | 48 | F | enucleation | 2.4/1.8/1.5 | − |
Publisher’s Note: MDPI stays neutral with regard to jurisdictional claims in published maps and institutional affiliations. |
© 2022 by the authors. Licensee MDPI, Basel, Switzerland. This article is an open access article distributed under the terms and conditions of the Creative Commons Attribution (CC BY) license (https://creativecommons.org/licenses/by/4.0/).
Share and Cite
Pertea, M.; Filip, A.; Huzum, B.; Lunca, S.; Carp, C.; Mitrea, M.; Toader, P.; Luca, S.; Moraru, D.C.; Poroch, V.; et al. Schwannoma of the Upper Limb: Retrospective Study of a Rare Tumor with Uncommon Locations. Diagnostics 2022, 12, 1319. https://doi.org/10.3390/diagnostics12061319
Pertea M, Filip A, Huzum B, Lunca S, Carp C, Mitrea M, Toader P, Luca S, Moraru DC, Poroch V, et al. Schwannoma of the Upper Limb: Retrospective Study of a Rare Tumor with Uncommon Locations. Diagnostics. 2022; 12(6):1319. https://doi.org/10.3390/diagnostics12061319
Chicago/Turabian StylePertea, Mihaela, Alexandru Filip, Bogdan Huzum, Sorinel Lunca, Claudiu Carp, Mihaela Mitrea, Paula Toader, Stefana Luca, Dan Cristian Moraru, Vladimir Poroch, and et al. 2022. "Schwannoma of the Upper Limb: Retrospective Study of a Rare Tumor with Uncommon Locations" Diagnostics 12, no. 6: 1319. https://doi.org/10.3390/diagnostics12061319
APA StylePertea, M., Filip, A., Huzum, B., Lunca, S., Carp, C., Mitrea, M., Toader, P., Luca, S., Moraru, D. C., Poroch, V., & Veliceasa, B. (2022). Schwannoma of the Upper Limb: Retrospective Study of a Rare Tumor with Uncommon Locations. Diagnostics, 12(6), 1319. https://doi.org/10.3390/diagnostics12061319

