Histopathologic Feature of Hyalinization Predicts Recurrence of Conventional/Solid Multicystic Ameloblastomas
Abstract
1. Introduction
2. Materials and Methods
2.1. Study Design
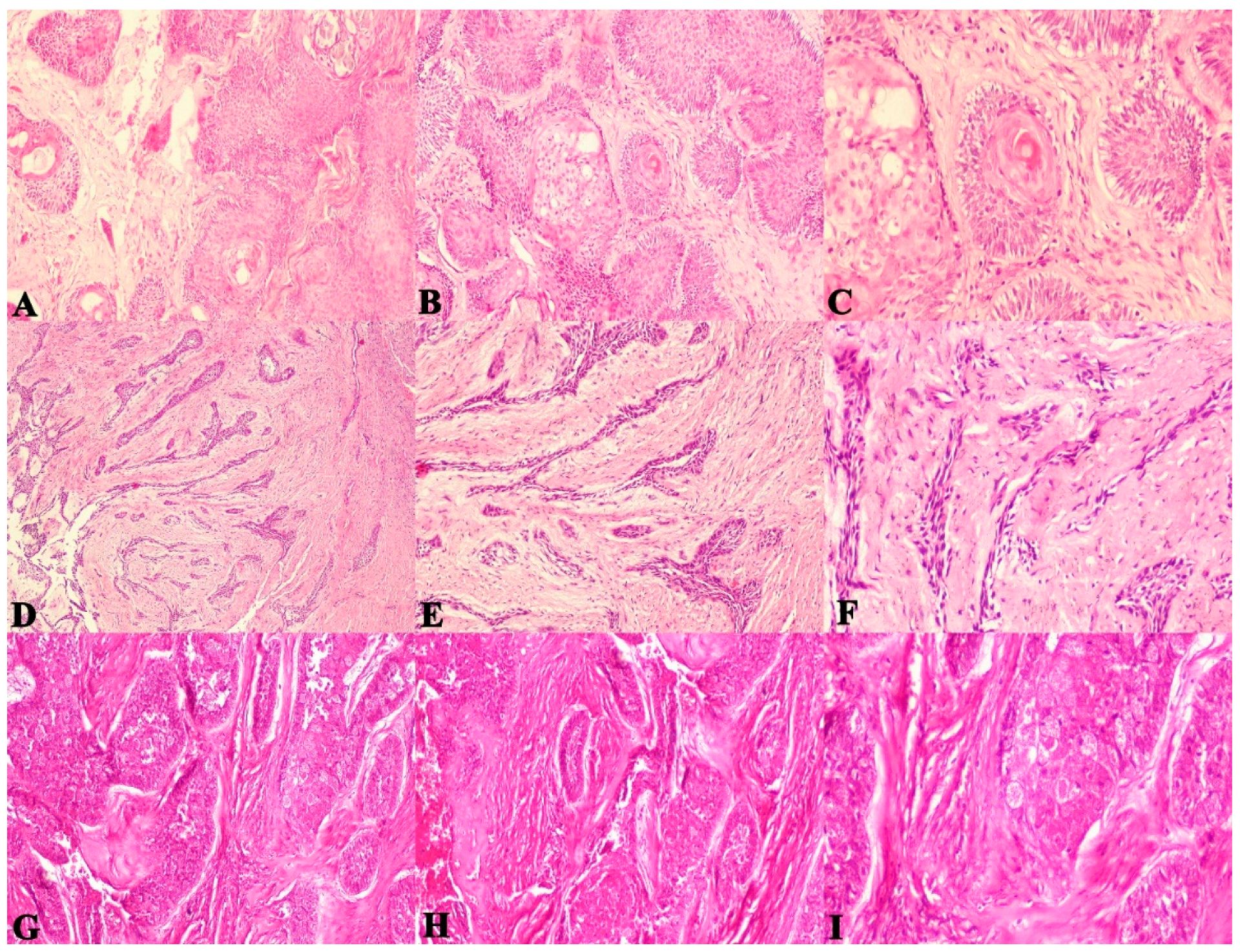
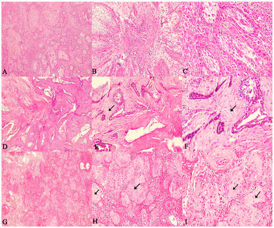
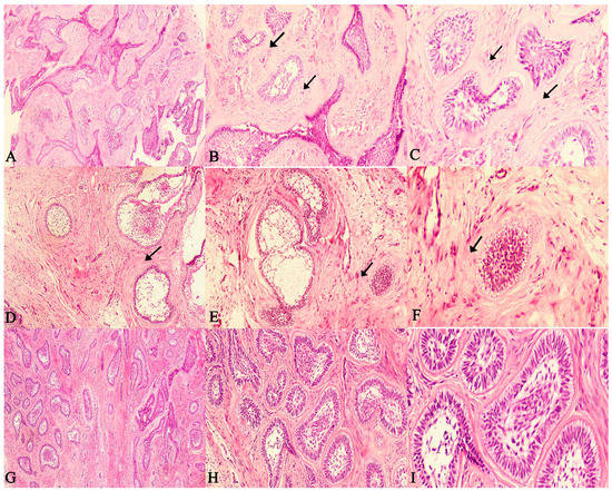
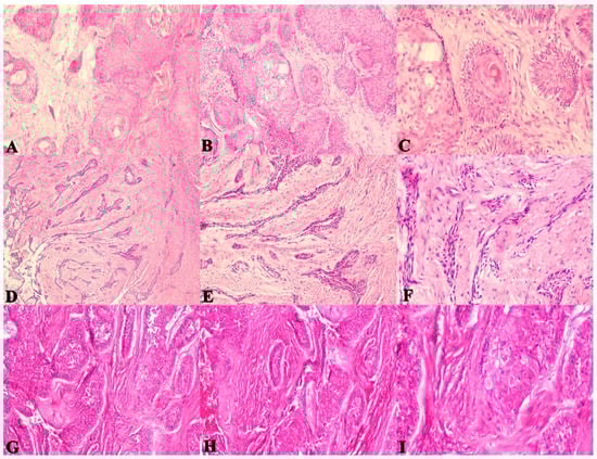
2.2. Histopathological Correlation of Hyalinization in SMA with Recurrence
2.3. Clinicopathologic Correlation of SMA with Recurrence
2.4. Interpretation and Analysis
3. Results
3.1. Correlation of Histological Parameter with SOH
3.2. Correlation of Clinical Parameters and Recurrence
3.3. Logistics Regression and Odds Ratio
4. Discussion
5. Conclusions
Author Contributions
Funding
Institutional Review Board Statement
Informed Consent Statement
Data Availability Statement
Acknowledgments
Conflicts of Interest
References
- Saluja, T.; Iyer, J. Unmasking the Grey Zone of Hyalinization with a Proposed Classification of Oral Hyalinizing Lesions. J. Interdiscip. Histopathol. 2017, 5, 1. [Google Scholar] [CrossRef]
- Mukherjee, D.; Das, C.; Chatterjee, P. Odontogenic Tumours of Jaw: A Prospective Study on Clinico-Pathological Profile and Their Management. Indian J. Otolaryngol. Head Neck Surg. 2017, 69, 181–186. [Google Scholar] [CrossRef] [PubMed]
- Bell, R.B. Odontogenic and non-odontogenic tumors of the jaws. In Oral and Maxillofacial Surgery; Andersson, L., Kahnberg, K.E., Pogrel, M.A., Eds.; Wiley-Blackwell: Oxford, UK, 2010; pp. 629–685. [Google Scholar]
- Masthan, K.M.; Anitha, N.; Krupaa, J.; Manikkam, S. Ameloblastoma. J. Pharm. Bioallied. Sci. 2015, 7, S167–S170. [Google Scholar] [CrossRef] [PubMed]
- Cottom, H.E.; Bshena, F.I.; Speight, P.M.; Craig, G.T.; Jones, A.V. Histopathological features that predict the recurrence of odontogenic keratocysts. J. Oral Pathol. Med. 2012, 41, 408–414. [Google Scholar] [CrossRef] [PubMed]
- Philipsen, H.P.; Reichart, P.A. Pulse or hyaline ring granuloma. Review of the literature on etiopathogenesis of oral and extraoral lesions. Clin. Oral Investig. 2010, 14, 121–128. [Google Scholar] [CrossRef]
- Antony, J.; Gopalan, V.; Smith, R.A.; Lam, A.K. Carcinoma ex pleomorphic adenoma: A comprehensive review of clinical, pathological and molecular data. Head Neck Pathol. 2012, 6, 1–9. [Google Scholar] [CrossRef]
- Sathi, G.S.; Fujii, M.; Tamamura, R.; Borkosky, S.S.; Katase, N.; Kawakami, T.; Nagatsuka, H.; Nagai, N. Juxta-epithelial hyalinization inhibits tumor growth and invasion in ameloblastoma. J. Hard Tissue Biol. 2008, 17, 63–68. [Google Scholar] [CrossRef][Green Version]
- Alturkistani, H.A.; Tashkandi, F.M.; Mohammedsaleh, Z.M. Histological Stains: A Literature Review and Case Study. Glob. J. Health Sci. 2015, 8, 72–79. [Google Scholar] [CrossRef]
- Wright, J.M.; Tekkesin, M.S. Odontogenic tumors: Where are we in 2017? J. Istanb. Univ. Fac. Dent. 2017, 51, S10. [Google Scholar] [CrossRef]
- Cadavid, A.M.; Araujo, J.P.; Coutinho-Camillo, C.M.; Bologna, S.; Junior, C.A.; Lourenço, S.V. Ameloblastomas: Current aspects of the new WHO classification in an analysis of 136 cases. Surg. Exp. Pathol. 2019, 2, 1–6. [Google Scholar] [CrossRef]
- Dias, C.D.; Brandão, T.B.; Soares, F.A.; Lourenço, S.V. Ameloblastomas: Clinical-histopathological evaluation of 85 cases with emphasis on squamous metaplasia and keratinization aspects. Acta Odontol. Scand. 2013, 71, 1651–1655. [Google Scholar] [CrossRef] [PubMed]
- Hertog, D.; Bloemena, E.; Aartman, I.H.; van-der-Waal, I. Histopathology of ameloblastoma of the jaws; some critical observations based on a 40 years single institution experience. Med. Oral Patologia Oral y Cirugia Bucal 2012, 17, e76. [Google Scholar] [CrossRef] [PubMed]
- Crivelini, M.M.; Felipini, R.C.; Miyahara, G.I.; de Sousa, S.C. Expression of odontogenic ameloblast-associated protein, amelotin, ameloblastin, and amelogenin in odontogenic tumors: Immunohistochemical analysis and pathogenetic considerations. J. Oral Pathol. Med. 2012, 41, 272–280. [Google Scholar] [CrossRef] [PubMed]
- Morgan, P.R. Odontogenic tumors: A review. Periodontol. 2000 2011, 57, 160–176. [Google Scholar] [CrossRef] [PubMed]
- Lee, S.K.; Kim, Y.S. Current Concepts and Occurrence of Epithelial Odontogenic Tumors: II. Calcifying Epithelial Odontogenic Tumor Versus Ghost Cell Odontogenic Tumors Derived from Calcifying Odontogenic Cyst. Korean J. Pathol. 2014, 48, 175–187. [Google Scholar] [CrossRef] [PubMed]
- Nicolas, J.; Magli, S.; Rabbachin, L.; Sampaolesi, S.; Nicotra, F.; Russo, L. 3D extracellular matrix mimics: Fundamental concepts and role of materials chemistry to influence stem cell fate. Biomacromolecules 2020, 21, 1968–1994. [Google Scholar] [CrossRef]
- Hinz, B.; Gabbiani, G. Mechanisms of force generation and transmission by myofibroblast. Curr. Opin. Biotechnol. 2003, 14, 538–546. [Google Scholar] [CrossRef]
- Vered, M.; Shohat, I.; Buchner, A.; Dayan, D. Myofibroblasts in stroma of odontogenic cysts and tumors can contribute to variations in the biological behaviour of lesions. Oral Oncol. 2005, 41, 1028–1033. [Google Scholar] [CrossRef]
- Carvalho, K.M.; Dhupar, A.; Spadigam, A.; Syed, S. Ameloblastoma: A 16-year clinicopathological study on Goan population. Indian J. Pathol. Microbiol. 2017, 60, 157–160. [Google Scholar] [CrossRef]
- Olaitan, A.A.; Adeola, D.S.; Adekeye, E.O. Ameloblastoma: Clinical features and management of 315 cases from Kaduna, Nigeria. J. Craniomaxillofac. Surg. 1993, 21, 351–355. [Google Scholar] [CrossRef]
- Au, S.W.; Li, K.Y.; Choi, W.S.; Su, Y.X. Risk factors for recurrence of ameloblastoma: A long-term follow-up retrospective study. Int. J. Oral Maxillofac. Surg. 2019, 48, 1300–1306. [Google Scholar] [CrossRef] [PubMed]
- Kim, S.W.; Jee, Y.J.; Lee, D.W.; Kim, H.K. Conservative surgical treatment for ameloblastoma: A report of three cases. J. Korean Assoc. Oral Maxillofac. Surg. 2018, 44, 242–247. [Google Scholar] [CrossRef] [PubMed]
- Sarlabous, M.; Psutka, D.J. Treatment of mandibular ameloblastoma involving the mandibular condyle: Resection and concomitant reconstruction with a custom hybrid total joint prosthesis and iliac bone graft. J. Craniofacial Surg. 2018, 29, e307–e314. [Google Scholar] [CrossRef] [PubMed]






| Characteristics | Frequency | Percentage (%) |
|---|---|---|
| Age Groups | ||
| 0–20 | 6 | 10.0 |
| 21–40 | 49 | 81.7 |
| 41–60 | 4 | 6.7 |
| >61 | 1 | 1.7 |
| Gender | ||
| Male | 34 | 56.7 |
| Female | 26 | 43.3 |
| Size | ||
| 1–2 cm | 27 | 45.0 |
| 3–4 cm | 9 | 15.0 |
| >4 cm | 24 | 40.0 |
| Site | ||
| Body of Mandible | 38 | 63.3 |
| Angle of Mandible | 9 | 15.0 |
| Symphysis | 2 | 3.3 |
| Retromolar Trigone | 3 | 5.0 |
| Maxillary Alveolus | 8 | 13.3 |
| Jaw | ||
| Maxilla | 8 | 13.3 |
| Mandible | 52 | 86.7 |
| Groups | SOH | Recurrence | χ2 | p-Value | |
|---|---|---|---|---|---|
| Absent | Present | ||||
| All | Mild | 100.0% | 0.0% | 36.324 | 0.001 * |
| Moderate | 100.0% | 0.0% | |||
| Intense | 25.0% | 75.0% | |||
| Follicular Ameloblastoma | Mild | 100.0% | 0.0% | 11.442 | 0.003 * |
| Moderate | 100.0% | 0.0% | |||
| Intense | 34.6% | 65.4% | |||
| Plexiform Ameloblastoma | Mild | 100.0% | 0.0% | 29.000 | 0.001 * |
| Moderate | 100.0% | 0.0% | |||
| Intense | 0.0% | 100.0% | |||
| Clinical Parameters | Recurrence | χ2 | p-Value | ||
|---|---|---|---|---|---|
| Absent | Present | ||||
| Site | Body of Mandible | 46.3% | 53.7% | 10.309 | 0.036 * |
| Angle of Mandible | 60.0% | 40.0% | |||
| Symphysis | 50.0% | 50.0% | |||
| Retromolar Trigone | 100.0% | 0.0% | |||
| Maxillary Alveolus | 21.6% | 0.0% | |||
| Size | 1–2 cm | 55.6% | 44.4% | 2.225 | 0.329 |
| 3–4 cm | 40.0% | 60.0% | |||
| >4 cm | 66.7% | 33.3% | |||
| Jaw | Maxilla | 100.0% | 0.0% | 6.672 | 0.010 * |
| Mandible | 51.8% | 48.2% | |||
| Radiographic Features | Unilocular Radiolucency | 100.0% | 0.0% | 11.905 | 0.001 * |
| Multilocular Radiolucency | 47.1% | 52.9% | |||
| Cortical Expansion | Absent | 100.0% | 0.0% | 2.297 | 0.130 |
| Present | 55.7% | 44.3% | |||
| Root Resorption | Absent | 100.0% | 0.0% | 9.693 | 0.002 * |
| Present | 49.1% | 50.9% | |||
| Predictor (SOH) | β | S.E. | Wald’s χ2 | df | p-Value | Odd’s Ratio |
|---|---|---|---|---|---|---|
| Mild vs. Severe | 1.643 | 0.544 | 9.129 | 1 | 0.003 | 5.172 |
| Mild vs. Moderate | 1.386 | 0.703 | 3.888 | 1 | 0.049 | 4.000 |
| Cox and Snell R2 | 0.117 | |||||
| Nagelkerke R2 | 0.162 | |||||
| −2 Log likelihood | 97.052 | |||||
Publisher’s Note: MDPI stays neutral with regard to jurisdictional claims in published maps and institutional affiliations. |
© 2022 by the authors. Licensee MDPI, Basel, Switzerland. This article is an open access article distributed under the terms and conditions of the Creative Commons Attribution (CC BY) license (https://creativecommons.org/licenses/by/4.0/).
Share and Cite
Augustine, D.; Rao, R.S.; Surendra, L.; Patil, S.; Yoithapprabhunath, T.R.; Albogami, S.; Shamsuddin, S.; Basheer, S.A.; Sainudeen, S. Histopathologic Feature of Hyalinization Predicts Recurrence of Conventional/Solid Multicystic Ameloblastomas. Diagnostics 2022, 12, 1114. https://doi.org/10.3390/diagnostics12051114
Augustine D, Rao RS, Surendra L, Patil S, Yoithapprabhunath TR, Albogami S, Shamsuddin S, Basheer SA, Sainudeen S. Histopathologic Feature of Hyalinization Predicts Recurrence of Conventional/Solid Multicystic Ameloblastomas. Diagnostics. 2022; 12(5):1114. https://doi.org/10.3390/diagnostics12051114
Chicago/Turabian StyleAugustine, Dominic, Roopa S. Rao, Lakshminarayana Surendra, Shankargouda Patil, Thuckanaickenpalayam Ragunathan Yoithapprabhunath, Sarah Albogami, Shaheen Shamsuddin, Sulphi Abdul Basheer, and Shan Sainudeen. 2022. "Histopathologic Feature of Hyalinization Predicts Recurrence of Conventional/Solid Multicystic Ameloblastomas" Diagnostics 12, no. 5: 1114. https://doi.org/10.3390/diagnostics12051114
APA StyleAugustine, D., Rao, R. S., Surendra, L., Patil, S., Yoithapprabhunath, T. R., Albogami, S., Shamsuddin, S., Basheer, S. A., & Sainudeen, S. (2022). Histopathologic Feature of Hyalinization Predicts Recurrence of Conventional/Solid Multicystic Ameloblastomas. Diagnostics, 12(5), 1114. https://doi.org/10.3390/diagnostics12051114

