Operative Use of Thoracic Ultrasound in Respiratory Medicine: A Clinical Study
Abstract
:1. Introduction
2. Materials and Methods
2.1. Clinical and Instrumentale Evaluation
2.2. Data Analysis
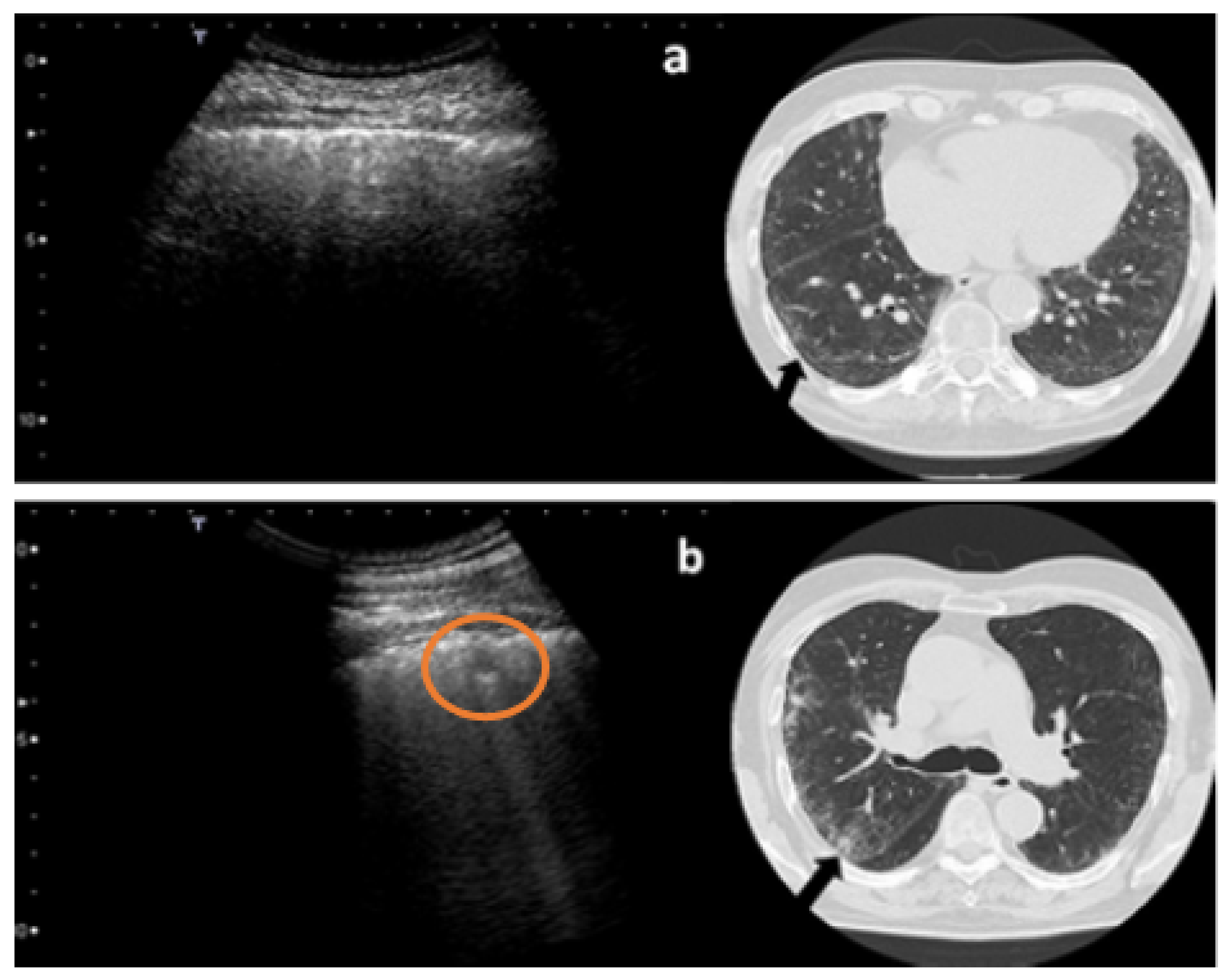
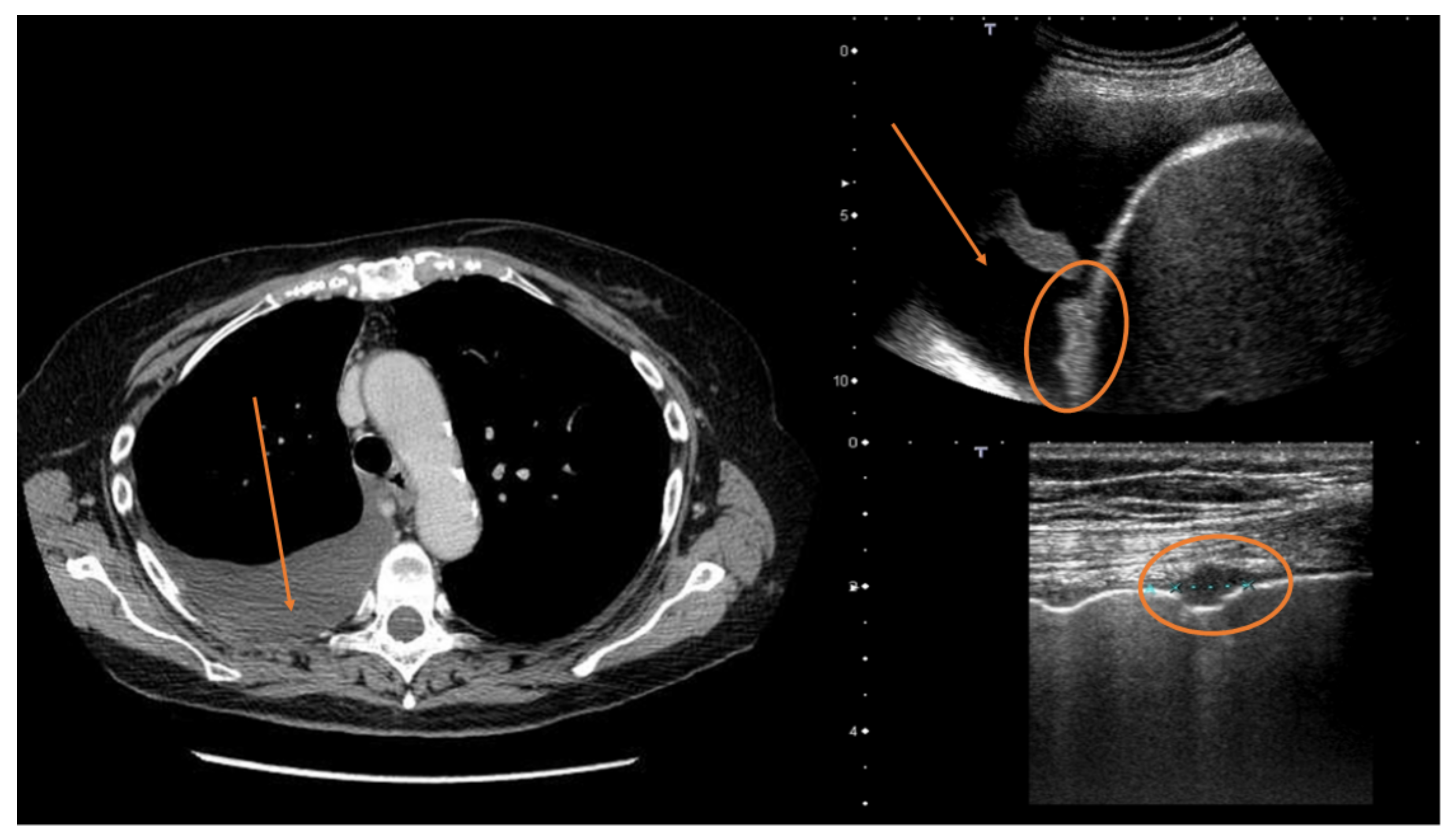
3. Results
4. Discussion
5. Conclusions
Author Contributions
Funding
Institutional Review Board Statement
Informed Consent Statement
Acknowledgments
Conflicts of Interest
References
- Koegelenberg, C.F.; Von Groote-Bidlingmaier, F.; Bolliger, C.T. Transthoracic Ultrasonography for the Respiratory Physician. Respiration 2012, 84, 337–350. [Google Scholar] [CrossRef] [PubMed]
- Volpicelli, G.; Elbarbary, M.; Blaivas, M.; Lichtenstein, D.A.; Mathis, G.; Kirkpatrick, A.W.; Melniker, L.; Gargani, L.; Noble, V.E.; Via, G.; et al. International Liaison Committee on Lung Ultrasound (ILC-LUS) for the International Consensus Conference on Lung Ultrasound (ICC-LUS). International evidence-based recommendations for point-of-care lung ultrasound. Intensive Care Med. 2012, 38, 577–591. [Google Scholar] [CrossRef] [Green Version]
- Vignon, P.; Repessé, X.; Vieillard-Baron, A.; Maury, E. Critical care ultrasonography in acute respiratory failure. Crit. Care 2016, 20, 228. [Google Scholar] [CrossRef] [PubMed] [Green Version]
- Picano, E.; Pellikka, P.A. Ultrasound of extravascular lung water: A new standard for pulmonary congestion. Eur. Heart J. 2016, 37, 2097–2104. [Google Scholar] [CrossRef] [PubMed] [Green Version]
- Rambhia, S.H.; D’Agostino, C.A.; Noor, A.; Villani, R.; Naidich, J.J.; Pellerito, J.S. Thoracic Ultrasound: Technique, Applications, and Interpretation. Curr. Probl. Diagn. Radiol. 2017, 46, 305–316. [Google Scholar] [CrossRef] [PubMed]
- Reissig, A.; Kroegel, C. Transthoracic sonography of diffuse parenchymal lung disease: The role of comet tail artifacts. J. Ultrasound Med. 2003, 22, 173–180. [Google Scholar] [CrossRef] [PubMed]
- Kumar, I.; Siddiqui, Z.; Verma, A.; Chokhani, A.; Srivastava, G.N.; Shukla, R.C. Performance of semi-quantitative lung ul-trasund in the assessment of disease severity in interstial lung disease. Ann. Thorac. Med. 2021, 16, 110–117. [Google Scholar]
- Mayo, P.H.; Copetti, R.; Feller-Kopman, D.; Mathis, G.; Maury, E.; Mongodi, S.; Mojoli, F.; Volpicelli, G.; Zanobetti, M. Thoracic ultrasonography: A narrative review. Intensiv. Care Med. 2019, 45, 1200–1211. [Google Scholar] [CrossRef]
- Demi, M.; Prediletto, R.; Soldati, G.; Demi, L. Physical mechanisms providing clinical information from ultrasound lung images: Hypothesis and early confirmations. IEEE Trans. Ultrason. Ferroelectr. Freq. Control. 2020, 67, 612–623. [Google Scholar] [CrossRef]
- Demi, M. The impact of multiple concurrent factors on the length of the US pulmonary vertical artifacts as illustrated through the experimental and numerical analysis of simple models. J. Acoust. Soc. Am. 2021, 150, 2106–2115. [Google Scholar] [CrossRef]
- Demi, M. On the Replica of US Pulmonary Artifacts by Means of Physical Models. Diagnostics 2021, 11, 1666. [Google Scholar] [CrossRef] [PubMed]
- Kameda, T.; Kamiyama, N.; Kobayashi, H.; Kanayama, Y.; Taniguchi, N. Ultrasonic B-Line–Like Artifacts Generated with Simple Experimental Models Provide Clues to Solve Key Issues in B-Lines. Ultrasound Med. Biol. 2019, 45, 1617–1626. [Google Scholar] [CrossRef]
- Kameda, T.; Kamiyama, N.; Taniguchi, N. Simple Experimental Models for Elucidating the Mechanism Underlying Vertical Artifacts in Lung Ultrasound: Tools for Revisiting B-Lines. Ultrasound Med. Biol. 2021, 47, 3543–3555. [Google Scholar] [CrossRef] [PubMed]
- Soldati, G.; Demi, M.; Inchingolo, R.; Smargiassi, A.; Demi, L. On the Physical Basis of Pulmonary Sonographic Interstitial Syndrome. J. Ultrasound Med. 2016, 35, 2075–2086. [Google Scholar] [CrossRef]
- Soldati, G.; Demi, M.; Smargiassi, A.; Inchingolo, R.; Demi, L. The role of ultrasound lung artifacts in the diagnosis of res-piratory diseases. Expert Rev. Respir. Med. 2019, 13, 163–172. [Google Scholar] [CrossRef]
- Copetti, R.; Soldati, G.; Copetti, P. Chest sonography: A useful tool to differentiate acute cardiogenic pulmonary edema from acute respiratory distress syndrome. Cardiovasc. Ultrasound 2008, 6, 16. [Google Scholar] [CrossRef] [PubMed] [Green Version]
- Mathis, G.; Horn, R.; Morf, S.; Prosch, H.; Rovida, S.; Soldati, G.; Hoffmann, B.; Blaivas, M.; Dietrich, C.F. WFUMB position paper on reverberation artefacts in lung ultrasound: B-Lines or comet-tails? Med. Ultrason. 2021, 23, 70–73. [Google Scholar] [CrossRef] [PubMed]
- Beasley, T.M.; Schumacker, R.E. Multiple Regression Approach to Analyzing Contingency Tables: Post Hoc and Planned Comparison Procedures. J. Exp. Educ. 1995, 64, 79–93. [Google Scholar] [CrossRef]
- Lichtenstein, D.; Mezière, G.; Biderman, P.; Gepner, A.; Barré, O. The comet-tail artifact: An ultrasound sign of alveolar in-terstitial syndrome. Am. J. Respir. Crit. Care Med. 1997, 156, 1640–1646. [Google Scholar] [CrossRef]
- Soldati, G.; Smargiassi, A.; Inchingolo, R.; Sher, S.; Nenna, R.; Valente, S.; Inchingolo, C.D.; Corbo, G.M. Lung Ultrasonography May Provide an Indirect Estimation of Lung Porosity and Airspace Geometry. Respiration 2014, 88, 458–468. [Google Scholar] [CrossRef]
- Lacedonia, D.; Scioscia, G.; Giardinelli, A.; Quarato, C.M.I.; Sassani, E.V.; Barbaro, M.P.F.; Maci, F.; Sperandeo, M. The Role of Transthoracic Ultrasound in the Study of Interstitial Lung Diseases: High-Resolution Computed Tomography Versus Ultrasound Patterns: Our Preliminary Experience. Diagnostics 2021, 11, 439. [Google Scholar] [CrossRef] [PubMed]
- Buda, N.; Piskunowicz, M.; Porzezińska, M.; Kosiak, W.; Zdrojewski, Z. Lung Ultrasonography in the Evaluation of Interstitial Lung Disease in Systemic Connective Tissue Diseases: Criteria and Severity of Pulmonary Fibrosis—Analysis of 52 Patients. Ultraschall Der Med. Eur. J. Ultrasound 2016, 37, 379–385. [Google Scholar] [CrossRef] [PubMed]
- Mohanty, K.; Blackwell, J.; Egan, T.; Muller, M. Characterization of the Lung Parenchyma Using Ultrasound Multiple Scattering. Ultrasound Med. Biol. 2017, 43, 993–1003. [Google Scholar] [CrossRef]
- Gasperini, M.L.; Gigante, A.; Iacolare, A.; Pellicano, C.; Lucci, S.; Rosato, E. The predictive role of lung ultrasound in pro-gression of scleroderma interstitial lung disease. Clin. Rheumatol. 2020, 39, 119–123. [Google Scholar] [CrossRef]
- Lee, F.C.Y.; Jenssen, C.; Dietrich, C.F. A common misunderstanding in lung ultrasound: The comet tail artefact. Med Ultrason. 2018, 20, 379–384. [Google Scholar] [CrossRef] [PubMed] [Green Version]
- Staub, L.J.; Biscaro, R.R.M.; Kaszubowski, E.; Maurici, R. Chest ultrasonography for the emergency diagnosis of traumat-ic pneumothorax and hemothorax: A systematic review and meta-analysis. Injury 2018, 49, 457–466. [Google Scholar] [CrossRef] [PubMed]
- Reissig, A.; Copetti, R.; Mathis, G.; Mempel, C.; Schuler, A.; Zechner, P.; Aliberti, S.; Neumann, R.; Kroegel, C.; Hoyer, H. Lung ultrasound in the diagnosis and follow-up of community-acquired pneumonia: A prospective, multicenter, diagnostic accuracy study. Chest 2012, 142, 965–972. [Google Scholar] [CrossRef] [PubMed] [Green Version]
- Orso, D.; Guglielmo, N.; Copetti, R. Lung ultrasound in diagnosing pneumonia in the emergency department: A systematic review and meta-analysis. Eur. J. Emerg. Med. 2018, 25, 312–321. [Google Scholar] [CrossRef] [PubMed]
- Wang, L.; Song, W.; Wang, Y.; Han, J.; Lv, K. Lung ultrasonography versus chest radiography for the diagnosis of pediatric community acquired pneumonia in emergency department: A meta-analysis. J. Thorac. Dis. 2019, 11, 5107–5114. [Google Scholar] [CrossRef]
- Lichtenstein, D.A.; Mezière, G.A. Relevance of Lung Ultrasound in the Diagnosis of Acute Respiratory Failure*: The BLUE Protocol. Chest 2008, 134, 117–125. [Google Scholar] [CrossRef] [Green Version]
- Bekgoz, B.; Kilicaslan, I.; Bildik, F.; Keles, A.; Demircan, A.; Hakoglu, O.; Coskun, G.; Demir, H.A. BLUE proto-col ultrasonography in Emergency Department patients presenting with acute dyspnea. Am. J. Emerg. Med. 2019, 37, 2020–2027. [Google Scholar] [CrossRef] [PubMed]
- Tierney, D.M.; Huelster, J.S.; Overgaard, J.D.; Plunkett, M.B.; Boland, L.L.; Hill, C.A.S.; Agboto, V.K.; Smith, C.S.; Mikel, B.F.; Weise, B.E.; et al. Comparative Performance of Pulmonary Ultrasound, Chest Radiograph, and CT Among Patients with Acute Respiratory Failure. Crit. Care Med. 2020, 48, 151–157. [Google Scholar] [CrossRef] [PubMed]
- Lichtenstein, D.; Mezière, G. A lung ultrasound sign allowing bedside distinction between pulmonary edema and COPD: The comet-tail artifact. Intensiv. Care Med. 1998, 24, 1331–1334. [Google Scholar] [CrossRef] [PubMed]
- Maw, A.M.; Hassanin, A.; Ho, P.M.; McInnes, M.D.F.; Moss, A.; Juarez-Colunga, E.; Soni, N.J.; Miglioranza, M.H.; Platz, E.; DeSanto, K.; et al. Diagnostic Accuracy of Point-of-Care Lung Ultrasonography and Chest Radiography in Adults with Symptoms Suggestive of Acute Decompensated Heart Failure: A Systematic Review and Meta-analysis. JAMA Netw. Open 2019, 2, e190703. [Google Scholar] [CrossRef]
- Lichtenstein, D.A. Lung Ultrasound in the Critically Ill. Ann. Intensive Care 2014, 4, 1–12. [Google Scholar] [CrossRef] [PubMed] [Green Version]
- Agricola, E.; Bove, T.; Oppizzi, M.; Marino, G.; Zangrillo, A.; Margonato, A.; Picano, E. “Ultrasound comet-tail images”: A marker of pulmonary edema—A comparative study with wedge pressure and extravascular lung water. Chest 2005, 127, 1690–1695. [Google Scholar] [CrossRef]
- Mongodi, S.; De Luca, D.; Colombo, A.; Stella, A.; Santangelo, E.; Corradi, F.; Gargani, L.; Rovida, S.; Volpicelli, G.; Bouhemad, B.; et al. Quantitative Lung Ultrasound: Technical Aspects and Clinical Applications. Anesthesiology 2021, 134, 949–965. [Google Scholar] [CrossRef]
- Senter, R.; Capone, F.; Pasqualin, S.; Cerruti, L.; Molinari, L.; Basso, E.F.; Zan-forlin, N.; Previato, L.; Toffolon, A.; Sensi, C.; et al. Lung Ultrasound Patterns and Clinical-Laboratory Correlates during COVID-19 Pneumonia: A Retrospective Study from North East Italy. J. Clin. Med. 2021, 10, 1288. [Google Scholar] [CrossRef]
- Buda, N.; Cylwik, J.; Mróz, K.; Rudzińska, R.; Dubik, P.; Malczewska, A.; Oraczewska, A.; Skoczyński, S.; Suska, A.; Górecki, T.; et al. Lung Ultrasound Examination in Patients with SARS-CoV-2 Infection: Multicenter Study. J. Clin. Med. 2021, 10, 3255. [Google Scholar] [CrossRef]






| Ecographic Findings and Assumed Diagnosis | CT Findings and Assumed Diagnosis |
|---|---|
| Vertical artifacts | Septal thickening |
| B-lines | Reticular thickening |
| Hypermirror | Consolidation |
| Consolidation | Tree-in-bud |
| White Lung | Ground glass |
| Pleural effusion | Pleural thickening |
| Micronodules | Pleural effusion |
| Pleural thickening | Surface micronodules |
| Diaphragm kinetics | |
| Emphysema | Lung cancer |
| Focal interstitial syndrome | Pleural cancer |
| Diffuse interstitial syndrome | Diffuse interstitial syndrome |
| Cardiogenic contribution | Cardiogenic pulmonary edema |
| Emphysema |
| Group | Male | Mean Age (y+/−sd) | Female | Mean Age (y+/−sd) | Total |
|---|---|---|---|---|---|
| No pathological findings | 3 | 66+/−10 | 4 | 53.5+/−8.3 | 7 |
| Limited findings | 18 | 70.8+/−7.4 | 18 | 71.7+/−12.8 | 36 |
| Diffuse findings | 11 | 75.9+/−8.9 | 6 | 72.8+/−9.6 | 17 |
| Consolidations | 16 | 73.6+/−11.4 | 8 | 76.5+/−4 | 24 |
| Non-diffuse features | 9 | 73.2+/−8.4 | 10 | 63.6+/−16.3 | 19 |
| Patient | Sex | Final Diagnosis |
|---|---|---|
| 1 | F | Pulmonary Hypertension |
| 2 | F | Dyspnea in bronchial hyperreactivity |
| 3 | F | Syncope in a patient with susceptibility to the development of vaso-depressant syncopal episodes in response to prolonged orthostasis. |
| 4 | M | Type 1 respiratory failure secondary to right-left shunt from patent foramen ovale type ostium secundum |
| 5 | M | Type 1 respiratory failure of a nature to be determined with right saphenous small thrombophlebitis |
| 6 | F | Bronchitic exacerbation in patient with bronchiectasis |
| 7 | M | Respiratory insufficiency in pulmonary consolidations under diagnostic definition, resolved at the time of examination |
| Group | Definitive Pathology | Total | ||||
|---|---|---|---|---|---|---|
| Consolidation | COPD | Chronic Fibrosing Disease | Vascular Pathology | |||
| Consolidations | Count | 22 | 1 | 0 | 1 | 24 |
| Expected Count | 7.9 | 6.3 | 3.5 | 6.3 | ||
| % Within Group | 91.7% | 4.2% | 0.0% | 4.2% | ||
| Adjusted residual | 7.0 | −2.8 | −2.3 | −2.8 | ||
| Diffuse Findings | Count | 0 | 3 | 13 | 1 | 17 |
| Expected Count | 5.6 | 4.5 | 2.5 | 4.5 | ||
| % Within Group | 0.0% | 17.6% | 76.5% | 5.9% | ||
| Adjusted residual | −3.2 | −0.9 | 7.9 | −2.1 | ||
| Limited Findings | Count | 8 | 15 | 2 | 11 | 36 |
| Expected Count | 11.9 | 9.4 | 5.2 | 9.4 | ||
| % Within Group | 22.2% | 41.7% | 5.6% | 30.6% | ||
| Adjusted residual | −1.7 | 2.6 | −1.9 | 0.7 | ||
| No pathological ultrasound findings | Count | 1 | 4 | 0 | 2 | 7 |
| Expected Count | 2.3 | 1.8 | 1.0 | 1.8 | ||
| % Within Group | 14.3% | 57.1% | 0.0% | 28.6% | ||
| Adjusted residual | −1.1 | 1.9 | −1.1 | 0.1 | ||
| Non-diffuse features | Count | 3 | 4 | 0 | 12 | 19 |
| Expected Count | 6.3 | 5.0 | 2.8 | 5.0 | ||
| % Within Group | 15.8% | 21.1% | 0.0% | 63.2% | ||
| Adjusted residual | −1.8 | −0.6 | −2.0 | 4.1 | ||
| Total | Count | 34 | 27 | 15 | 27 | 103 |
| % Within Group | 33.0% | 26.2% | 14.6% | 26.2% | ||
Publisher’s Note: MDPI stays neutral with regard to jurisdictional claims in published maps and institutional affiliations. |
© 2022 by the authors. Licensee MDPI, Basel, Switzerland. This article is an open access article distributed under the terms and conditions of the Creative Commons Attribution (CC BY) license (https://creativecommons.org/licenses/by/4.0/).
Share and Cite
Soldati, G.; Prediletto, R.; Demi, M.; Salvadori, S.; Pistolesi, M. Operative Use of Thoracic Ultrasound in Respiratory Medicine: A Clinical Study. Diagnostics 2022, 12, 952. https://doi.org/10.3390/diagnostics12040952
Soldati G, Prediletto R, Demi M, Salvadori S, Pistolesi M. Operative Use of Thoracic Ultrasound in Respiratory Medicine: A Clinical Study. Diagnostics. 2022; 12(4):952. https://doi.org/10.3390/diagnostics12040952
Chicago/Turabian StyleSoldati, Gino, Renato Prediletto, Marcello Demi, Stefano Salvadori, and Massimo Pistolesi. 2022. "Operative Use of Thoracic Ultrasound in Respiratory Medicine: A Clinical Study" Diagnostics 12, no. 4: 952. https://doi.org/10.3390/diagnostics12040952
APA StyleSoldati, G., Prediletto, R., Demi, M., Salvadori, S., & Pistolesi, M. (2022). Operative Use of Thoracic Ultrasound in Respiratory Medicine: A Clinical Study. Diagnostics, 12(4), 952. https://doi.org/10.3390/diagnostics12040952

