Quantitative Measurement of Progesterone Receptor Immunohistochemical Expression to Predict Lymph Node Metastasis in Endometrial Cancer
Abstract
:1. Introduction
2. Materials and Methods
2.1. Study Population
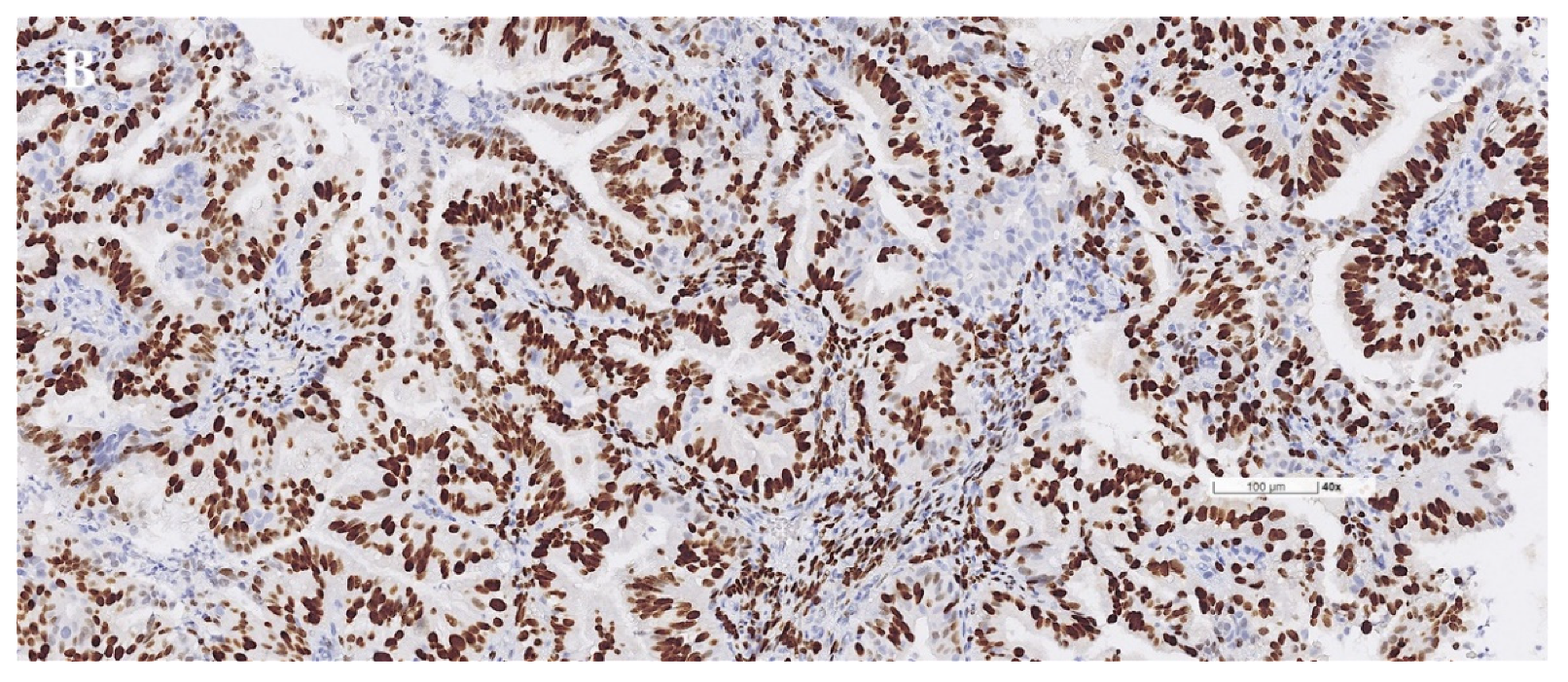
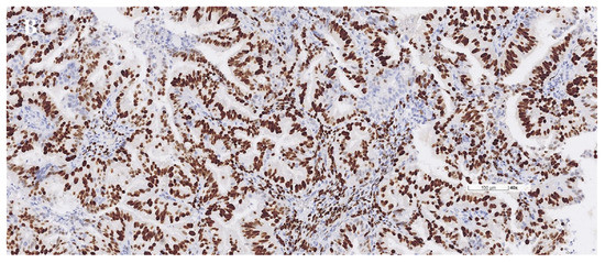
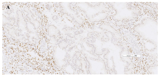
2.2. CA125, Grading, and PR Immunohistochemical Staining Measurement
2.3. Statistical Analysis
3. Results
3.1. Patient Characteristics
3.2. Optimal Cut-Off Values of CA125 and PR H-Score
3.3. Impact of Predictive Variables on Lymph Node Metastasis
3.4. Nomogram Construction and Performance of Prediction Model
4. Discussion
5. Conclusions
Author Contributions
Funding
Institutional Review Board Statement
Informed Consent Statement
Data Availability Statement
Acknowledgments
Conflicts of Interest
References
- Health Promotion Administration MoHaW. Cancer Registry Annual Reports. Available online: https://www.hpa.gov.tw/Pages/Detail.aspx?nodeid=269&pid=13498 (accessed on 15 December 2021).
- Creasman, W. Revised FIGO staging for carcinoma of the endometrium. Int. J. Gynecol. Obstet. 2009, 105, 109. [Google Scholar] [CrossRef] [PubMed]
- Benedetti Panici, P.; Basile, S.; Maneschi, F.; Alberto Lissoni, A.; Signorelli, M.; Scambia, G.; Angioli, R.; Tateo, S.; Mangili, G.; Katsaros, D.; et al. Systematic pelvic lymphadenectomy vs. no lymphadenectomy in early-stage endometrial carcinoma: Randomized clinical trial. J. Natl. Cancer Inst. 2008, 100, 1707–1716. [Google Scholar] [CrossRef] [PubMed] [Green Version]
- Kitchener, H.; Fau-Swart, A.M.C.; Qian, Q.; Amos, C.; Parmar, M.K.B.; ASTEC study group. Efficacy of systematic pelvic lymphadenectomy in endometrial cancer (MRC ASTEC trial): A randomised study. Lancet 2009, 373, 125–136. [Google Scholar]
- Coronado, P.J.; Rychlik, A.; Martinez-Maestre, M.A.; Baquedano, L.; Fasero, M.; Garcia-Arreza, A.; Morales, S.; Lubian, D.M.; Zapardiel, I. Role of lymphadenectomy in intermediate-risk endometrial cancer: A matched-pair study. J. Gynecol. Oncol. 2018, 29, e1. [Google Scholar] [CrossRef] [PubMed]
- Papathemelis, T.; Hassas, D.; Gerken, M.; Klinkhammer-Schalke, M.; Scharl, A.; Lux, M.P.; Beckmann, M.W.; Scharl, S. Is there a benefit of lymphadenectomy for overall and recurrence-free survival in type I FIGO IB G1-2 endometrial carcinoma? A retrospective population-based cohort analysis. J. Cancer Res. Clin. Oncol. 2018, 144, 2019–2027. [Google Scholar] [CrossRef] [PubMed]
- Gonthier, C.; Douhnai, D.; Koskas, M. Lymph node metastasis probability in young patients eligible for conservative management of endometrial cancer. Gynecol. Oncol. 2020, 157, 131–135. [Google Scholar] [CrossRef]
- Kim, T.H.; Kim, H.S.; Chang, S.-J.; Kim, D.-Y.; Ryu, S.-Y.; Kim, B.-G.; Kim, Y.-T.; Bae, D.-S.; Ryu, H.-S.; Nam, J.-H.; et al. Survival impact based on the thoroughness of pelvic lymphadenectomy in intermediate- or high-risk groups of endometrioid-type endometrial cancer: A multi-center retrospective cohort analysis. Gynecol. Oncol. 2016, 141, 440–446. [Google Scholar] [CrossRef]
- Papathemelis, T.; Scharl, S.; Kronberger, K.; Gerken, M.; Scharl, A.; Pauer, A.; Klinkhammer-Schalke, M. Survival benefit of pelvic and paraaortic lymphadenectomy in high-grade endometrial carcinoma: A retrospective population-based cohort analysis. J. Cancer Res. Clin. Oncol. 2017, 143, 2555–2562. [Google Scholar] [CrossRef]
- Dowdy, S.C.; Borah, B.J.; Bakkum-Gamez, J.N.; Weaver, A.L.; McGree, M.E.; Haas, L.R.; Keeney, G.L.; Mariani, A.; Podratz, K.C. Prospective assessment of survival, morbidity, and cost associated with lymphadenectomy in low-risk endometrial cancer. Gynecol. Oncol. 2012, 127, 5–10. [Google Scholar] [CrossRef]
- Keys, H.M.; Roberts, J.A.; Brunetto, V.L.; Zaino, R.J.; Spirtos, N.M.; Bloss, J.D.; Pearlman, A.; Maiman, M.A.; Bell, J.G. A phase III trial of surgery with or without adjunctive external pelvic radiation therapy in intermediate risk endometrial adenocarcinoma: A Gynecologic Oncology Group study. Gynecol. Oncol. 2004, 92, 744–751. [Google Scholar] [CrossRef]
- Bendifallah, S.; Canlorbe, G.; Raimond, E.; Hudry, D.; Coutant, C.; Graesslin, O.; Touboul, C.; Huguet, F.; Cortez, A.T.C.; Darai, E.; et al. A clue towards improving the European Society of Medical Oncology risk group classification in apparent early stage endometrial cancer? Impact of lymphovascular space invasion. Br. J. Cancer 2014, 110, 2640–2646. [Google Scholar] [CrossRef] [PubMed]
- Kang, S.; Kang, W.D.; Chung, H.H.; Jeong, D.H.; Seo, S.-S.; Lee, J.-M.; Lee, J.-K.; Kim, J.-W.; Kim, S.-M.; Park, S.-Y.; et al. Preoperative Identification of a Low-Risk Group for Lymph Node Metastasis in Endometrial Cancer: A Korean Gynecologic Oncology Group Study. J. Clin. Oncol. 2012, 30, 1329–1334. [Google Scholar] [CrossRef] [PubMed]
- Mitamura, T.; Watari, H.; Todo, Y.; Kato, T.; Konno, Y.; Hosaka, M.; Hosaka, M.; Sakuragi, N. Lymphadenectomy can be omitted for low-risk endometrial cancer based on preoperative assessments. J. Gynecol. Oncol. 2014, 25, 301–305. [Google Scholar] [CrossRef] [PubMed] [Green Version]
- Yang, B.; Shan, B.; Xue, X.; Wang, H.; Shan, W.; Ning, C.; Zhou, Q.; Chen, X.; Luo, X. Predicting lymph node metastasis in endometrial cancer using serum CA125 combined with immunohistochemical markers PR and Ki67, and a comparison with other prediction models. PLoS ONE. 2016, 11, e0155145. [Google Scholar] [CrossRef]
- Hsieh, C.H.; ChangChien, C.C.; Lin, H.; Huang, E.Y.; Huang, C.C.; Lan, K.C.; Chang, S.Y. Can a preoperative CA 125 level be a criterion for full pelvic lymphadenectomy in surgical staging of endometrial cancer? Gynecol. Oncol. 2002, 86, 28–33. [Google Scholar] [CrossRef]
- Zhang, Y.; Zhao, D.; Gong, C.; Zhang, F.; He, J.; Zhang, W.; Zhao, Y.; Sun, J. Prognostic role of hormone receptors in endometrial cancer: A systematic review and meta-analysis. World J. Surg. Oncol. 2015, 13, 208. [Google Scholar] [CrossRef] [Green Version]
- Huvila, J.; Talve, L.; Carpen, O.; Edqvist, P.H.; Ponten, F.; Grenman, S.; Auranen, A. Progesterone receptor negativity is an independent risk factor for relapse in patients with early stage endometrioid endometrial adenocarcinoma. Gynecol. Oncol. 2013, 130, 463–469. [Google Scholar] [CrossRef]
- Guan, J.; Xie, L.; Luo, X.; Yang, B.; Zhang, H.; Zhu, Q.; Chen, X. The prognostic significance of estrogen and progesterone receptors in grade I and II endometrioid endometrial adenocarcinoma: Hormone receptors in risk stratification. J. Gynecol. Oncol. 2019, 30, e13. [Google Scholar] [CrossRef]
- Ishibashi, H.; Suzuki, T.; Suzuki, S.; Moriya, T.; Kaneko, C.; Takizawa, T.; Sunamori, M.; Handa, M.; Kondo, T.; Sasano, H. Sex steroid hormone receptors in human thymoma. J. Clin. Endocrinol. Metab. 2003, 88, 2309–2317. [Google Scholar] [CrossRef]
- Konno, Y.; Asano, H.; Shikama, A.; Aoki, D.; Tanikawa, M.; Oki, A.; Horie, K.; Mitsuhashi, A.; Kikuchi, A.; Tokunaga, H.; et al. Lymphadenectomy issues in endometrial cancer. J. Gynecol. Oncol. 2021, 32, e25. [Google Scholar] [CrossRef]
- Kang, S.; Nam, J.-H.; Bae, D.-S.; Kim, J.-W.; Kim, M.-H.; Chen, X.; No, J.-H.; Lee, J.-M.; Watari, H.; Kim, S.M.; et al. Preoperative assessment of lymph node metastasis in endometrial cancer: A Korean Gynecologic Oncology Group study. Cancer 2017, 123, 263–272. [Google Scholar] [CrossRef] [PubMed]
- Todo, Y.; Sakuragi, N.; Nishida, R.; Yamada, T.; Ebina, Y.; Yamamoto, R.; Fujimoto, S. Combined use of magnetic resonance imaging, CA 125 assay, histologic type, and histologic grade in the prediction of lymph node metastasis in endometrial carcinoma. Am. J. Obstet. Gynecol. 2003, 188, 1265–1272. [Google Scholar] [CrossRef] [PubMed]
- Imai, K.; Kato, H.; Katayama, K.; Nakanishi, K.; Kawano, A.; Iura, A.; Konnai, K.; Onose, R.; Hirahara, F.; Miyagi, E. A preoperative risk-scoring system to predict lymph node metastasis in endometrial cancer and stratify patients for lymphadenectomy. Gynecol. Oncol. 2016, 142, 273–277. [Google Scholar] [CrossRef] [PubMed]
- Tangen, I.L.; Werner, H.M.; Berg, A.; Halle, M.; Kusonmano, K.; Trovik, J.; Hoivik, E.A.; Mills, G.B.; Krakstad, C.; Salvesen, H.B. Loss of progesterone receptor links to high proliferation and increases from primary to metastatic endometrial cancer lesions. Eur. J. Cancer 2014, 50, 3003–3010. [Google Scholar] [CrossRef]
- Smith, D.; Stewart, C.J.R.; Clarke, E.M.; Lose, F.; Davies, C.; Armes, J.; Obermair, A.; Brennan, D.; Webb, P.M.; Nagle, C.M.; et al. ER and PR expression and survival after endometrial cancer. Gynecol. Oncol. 2018, 148, 258–266. [Google Scholar] [CrossRef]
- Ballester, M.; Canlorbe, G.; Cortez, A.; Gonin, J.; Laas, E.; Bendifallah, S.; Graesslin, O.; Daraï, E. Histological and immunohistochemical profiles predict lymph node status in women with low-intermediate risk endometrial cancer. Gynecol. Oncol. 2013, 130, 457–462. [Google Scholar] [CrossRef]
- Reijnen, C.; Gogou, E.; Visser, N.C.M.; Engerud, H.; Ramjith, J.; Van Der Putten, L.J.M.; Van De Vijver, K.; Santacana, M.; Bronsert, P.; Bulten, J.; et al. Preoperative risk stratification in endometrial cancer (ENDORISK) by a Bayesian network model: A development and validation study. PLoS Med. 2020, 17, e1003111. [Google Scholar] [CrossRef]
- Boronow, R.C. Surgical staging of endometrial cancer: Evolution, evaluation, and responsible challenge—A personal perspective. Gynecol. Oncol. 1997, 66, 179–189. [Google Scholar] [CrossRef]
- Cohen, D.A.; Dabbs, D.J.; Cooper, K.L.; Amin, M.; Jones, T.E.; Jones, M.W.; Chivukula, M.; Trucco, G.A.; Bhargava, R. Interobserver agreement among pathologists for semiquantitative hormone receptor scoring in breast carcinoma. Am. J. Clin. Pathol. 2012, 138, 796–802. [Google Scholar] [CrossRef] [Green Version]
- Miyamoto, T.; Watanabe, J.; Hata, H.; Jobo, T.; Kawaguchi, M.; Hattori, M.; Saito, M.; Kuramoto, H. Significance of progesterone receptor-A and -B expressions in endometrial adenocarcinoma. J. Steroid Biochem. Mol. Biol. 2004, 92, 111–118. [Google Scholar] [CrossRef]
- Lago, V.; Martin, B.; Ballesteros, E.; Cardenas-Rebollo, J.M.; Minig, L. Tumor grade correlation between preoperative biopsy and final surgical specimen in endometrial cancer: The use of different diagnostic methods and analysis of associated factors. Int. J. Gynecol. Cancer 2018, 28, 1258–1263. [Google Scholar] [CrossRef] [PubMed]
- Shiozaki, T.; Miwa, M.; Sakuma, T.; Suzuki, K.; Kogiku, A.; Yamamoto, K.; Senda, T.; Yano, H.; Kitai, M.; Matsuoka, K.; et al. Correlation between pre-operative and final histological diagnosis on endometrial cancer. Int. J. Gynecol. Cancer 2019, 29, 886–889. [Google Scholar] [CrossRef] [PubMed]





| Variable | N = 310 | % |
|---|---|---|
| Age (years) | ||
| Median, range | 55, 24–83 | |
| Parity | ||
| No | 79 | 25.5 |
| Yes (≥1) | 231 | 74.5 |
| Body mass index (kg/m2) | ||
| Median, range | 25.5, 15.1–54.1 | |
| FIGO stage | ||
| IA | 201 | 64.8 |
| IB | 48 | 15.5 |
| II | 13 | 4.3 |
| III | 38 | 12.2 |
| IV | 10 | 3.2 |
| Pathologic tumor size | ||
| ≤2cm | 89 | 28.7 |
| >2cm | 221 | 71.3 |
| LVSI | ||
| No | 223 | 71.9 |
| Yes | 87 | 28.1 |
| Myometrial infiltration | ||
| <1/2 | 221 | 71.3 |
| ≥1/2 | 89 | 28.7 |
| Grade | ||
| 1 | 161 | 51.9 |
| 2 | 117 | 37.8 |
| 3 | 32 | 10.3 |
| Type of lymphadenectomy | ||
| Pelvic only | 63 | 20.3 |
| Pelvic and para-aortic | 247 | 79.7 |
| No. of harvested LNs | ||
| Pelvic lymph node | ||
| Median, range | 31, 1–105 | |
| Para-aortic lymph node | ||
| Median, range | 5, 1–47 | |
| Lymph node metastasis | ||
| No | 277 | 89.4 |
| Yes | 33 | 10.6 |
| Para-aortic involvement | 14 | 42.4 (14/33) |
| Para-aortic only | 1 | 3.0 (1/33) |
| CA125 (U/mL) | ||
| Median, range | 22.4, 2.1–5701.7 | |
| PR (H-score) | ||
| Median, range | 120, 0–300 |
| Variable | No. | Univariate Analysis | p-Value | Multivariate Analysis | p-Value | |
|---|---|---|---|---|---|---|
| OR (95% CI) | OR (95% CI) | |||||
| Age (years) | 0.675 | - | - | |||
| <55 | 149 | reference | ||||
| ≥55 | 161 | 0.86 (0.42–1.76) | ||||
| Parity | 0.863 | - | - | |||
| 0 | 79 | reference | ||||
| ≥1 | 231 | 1.08 (0.47–2.50) | ||||
| BMI (kg/m2) | 0.062 | - | - | |||
| <30 | 229 | reference | ||||
| ≥30 | 81 | 0.36 (0.12–1.05) | ||||
| CA125 (U/mL) | <0.001 | <0.001 | ||||
| <40 | 217 | reference | reference | |||
| ≥40 | 93 | 8.04 (3.57–18.13) | 8.03 (3.44–18.77) | |||
| Grade | 0.001 | 0.009 | ||||
| 1 | 161 | reference | reference | |||
| 2/3 | 149 | 3.86 (1.68–8.85) | 3.25 (1.33–7.91) | |||
| PR (H-score) | 0.001 | 0.002 | ||||
| <162.5 | 172 | 5.40 (2.03–14.40) | 5.22 (1.87–14.60) | |||
| ≥162.5 | 138 | reference | reference |
| Sensi (%) | Speci (%) | PPV (%) | NPV (%) | LR(−) | PTP(−) (%) | LR(+) | PTP(+) (%) | |
|---|---|---|---|---|---|---|---|---|
| CA125 (cut-off 40) | 72.7 | 75.1 | 25.8 | 95.9 | - | - | - | - |
| Grade (1 vs. 2/3) | 75.8 | 55.2 | 16.8 | 95.0 | - | - | - | - |
| PR H-score (cut-off 162.5) | 84.9 | 48 | 16.3 | 96.4 | - | - | - | - |
| If all negative (CA125 < 40, G1, PR H-score ≥ 162.5) | 97.0 | 21.7 | - | 98.4 | 0.14 | 1.5 * | - | - |
| If all positive (CA125 ≥ 40, G2/3, PR H-score < 162.5) | 51.5 | 94.2 | 51.5 | - | - | - | 8.92 | 49.7 * |
Publisher’s Note: MDPI stays neutral with regard to jurisdictional claims in published maps and institutional affiliations. |
© 2022 by the authors. Licensee MDPI, Basel, Switzerland. This article is an open access article distributed under the terms and conditions of the Creative Commons Attribution (CC BY) license (https://creativecommons.org/licenses/by/4.0/).
Share and Cite
Hsiao, Y.-Y.; Fu, H.-C.; Wu, C.-H.; Lan, J.; Ou, Y.-C.; Tsai, C.-C.; Lin, H. Quantitative Measurement of Progesterone Receptor Immunohistochemical Expression to Predict Lymph Node Metastasis in Endometrial Cancer. Diagnostics 2022, 12, 790. https://doi.org/10.3390/diagnostics12040790
Hsiao Y-Y, Fu H-C, Wu C-H, Lan J, Ou Y-C, Tsai C-C, Lin H. Quantitative Measurement of Progesterone Receptor Immunohistochemical Expression to Predict Lymph Node Metastasis in Endometrial Cancer. Diagnostics. 2022; 12(4):790. https://doi.org/10.3390/diagnostics12040790
Chicago/Turabian StyleHsiao, Yu-Yang, Hung-Chun Fu, Chen-Hsuan Wu, Jui Lan, Yu-Che Ou, Ching-Chou Tsai, and Hao Lin. 2022. "Quantitative Measurement of Progesterone Receptor Immunohistochemical Expression to Predict Lymph Node Metastasis in Endometrial Cancer" Diagnostics 12, no. 4: 790. https://doi.org/10.3390/diagnostics12040790
APA StyleHsiao, Y.-Y., Fu, H.-C., Wu, C.-H., Lan, J., Ou, Y.-C., Tsai, C.-C., & Lin, H. (2022). Quantitative Measurement of Progesterone Receptor Immunohistochemical Expression to Predict Lymph Node Metastasis in Endometrial Cancer. Diagnostics, 12(4), 790. https://doi.org/10.3390/diagnostics12040790

