Associations between Patient Report of Pain and Intervertebral Foramina Changes Visible on Axial-Loaded Lumbar Magnetic Resonance Imaging
Abstract
1. Introduction
2. Materials and Methods
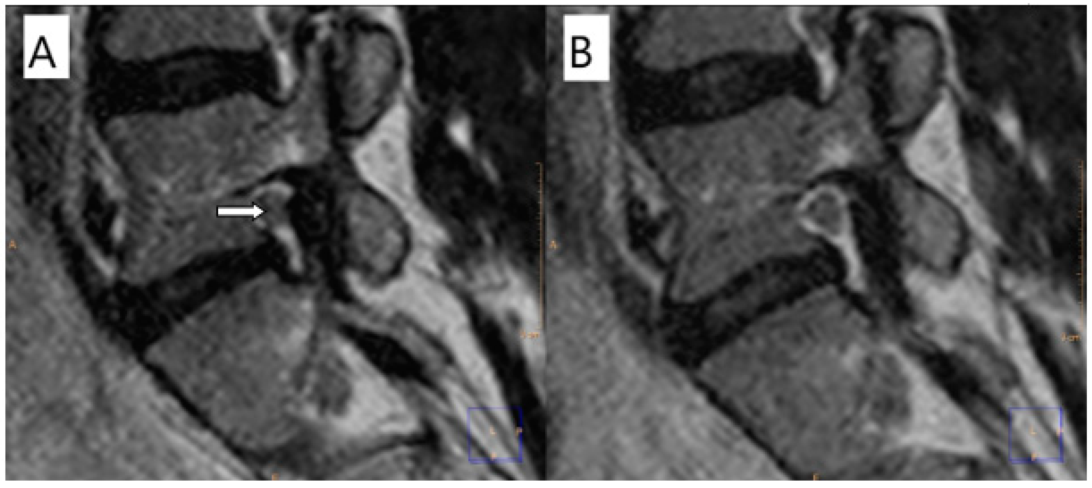
2.1. Axially Loaded MRI
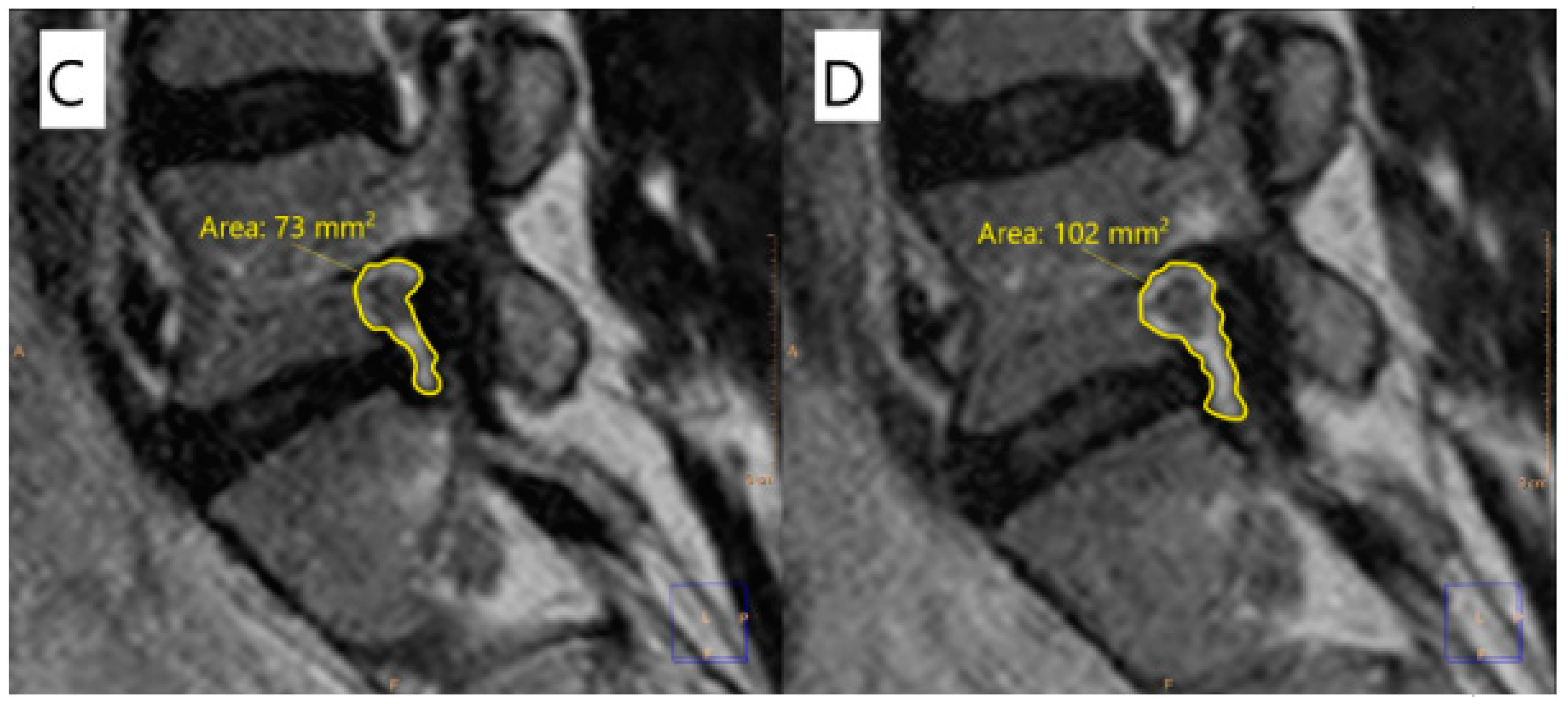
2.2. Image Analysis
2.3. Self-Report Measure of Pain Distribution
2.4. Statistical Methods
3. Results
4. Discussion
5. Conclusions
Author Contributions
Funding
Institutional Review Board Statement
Informed Consent Statement
Data Availability Statement
Conflicts of Interest
References
- Khalaf, A.M.; Yedavalli, V.; Massoud, T.F. Magnetic resonance imaging anatomy and morphometry of lumbar intervertebral foramina to guide safe transforaminal subarachnoid punctures. Clin. Anat. 2020, 33, 405–413. [Google Scholar] [CrossRef] [PubMed]
- Yuan, S.G.; Wen, Y.L.; Zhang, P.; Li, Y.K. Ligament, nerve, and blood vessel anatomy of the lateral zone of the lumbar intervertebral foramina. Int. Orthop. 2015, 39, 2135–2141. [Google Scholar] [CrossRef] [PubMed]
- Arslan, M.; Comert, A.; Acar, H.I.; Ozdemir, M.; Elhan, A.; Tekdemir, I.; Tubbs, R.S.; Ugur, H.C. Nerve root to lumbar disc relationships at the intervertebral foramen from a surgical viewpoint: An anatomical study. Clin. Anat. 2012, 25, 218–223. [Google Scholar] [CrossRef] [PubMed]
- Gilchrist, R.V.; Slipman, C.W.; Bhagia, S.M. Anatomy of the intervertebral foramen. Pain Physician 2002, 5, 372–378. [Google Scholar] [CrossRef]
- Cinotti, G.; De Santis, P.; Nofroni, I.; Postacchini, F. Stenosis of lumbar intervertebral foramen: Anatomic study on predisposing factors. Spine 2002, 27, 223–229. [Google Scholar] [CrossRef]
- Glinkowski, W.; Ciszek, B. Morphology and properties of intervertebral discs—Selected issues (part I). Ortop. Traumatol. Rehabil. 2004, 6, 141–148. [Google Scholar]
- Whitman, P.A.; Adigun, O.O. Anatomy, Skin, Dermatomes; StatPearls: Treasure Island, FL, USA, 2021. [Google Scholar]
- Jo, N.G.; Ko, M.H.; Won, Y.H.; Park, S.H.; Kim, G.W.; Seo, J.H. Diagnostic Implication and Clinical Relevance of Dermatomal Somatosensory Evoked Potentials in Patients with Radiculopathy: A Retrospective Study. Pain Res. Manag. 2021, 2021, 8850281. [Google Scholar] [CrossRef]
- Dietrich, C.; Blume, K.R.; Franz, M.; Huonker, R.; Carl, M.; Preissler, S.; Hofmann, G.O.; Miltner, W.H.R.; Weiss, T. Dermatomal Organization of SI Leg Representation in Humans: Revising the Somatosensory Homunculus. Cereb. Cortex 2017, 27, 4564–4569. [Google Scholar] [CrossRef]
- Taylor, C.S.; Coxon, A.J.; Watson, P.C.; Greenough, C.G. Do L5 and s1 nerve root compressions produce radicular pain in a dermatomal pattern? Spine 2013, 38, 995–998. [Google Scholar] [CrossRef]
- Splendiani, A.; Ferrari, F.; Barile, A.; Masciocchi, C.; Gallucci, M. Occult neural foraminal stenosis caused by association between disc degeneration and facet joint osteoarthritis: Demonstration with dedicated upright MRI system. Radiol. Med. 2014, 119, 164–174. [Google Scholar] [CrossRef]
- Singh, V.; Montgomery, S.R.; Aghdasi, B.; Inoue, H.; Wang, J.C.; Daubs, M.D. Factors affecting dynamic foraminal stenosis in the lumbar spine. Spine J. 2013, 13, 1080–1087. [Google Scholar] [CrossRef] [PubMed]
- Sairyo, K.; Chikawa, T.; Nagamachi, A. State-of-the-art transforaminal percutaneous endoscopic lumbar surgery under local anesthesia: Discectomy, foraminoplasty, and ventral facetectomy. J. Orthop. Sci. 2018, 23, 229–236. [Google Scholar] [CrossRef] [PubMed]
- Din, R.U.; Cheng, X.; Yang, H. Diagnostic Role of Magnetic Resonance Imaging in Low Back Pain Caused by Vertebral Endplate Degeneration. J. Magn. Reson. Imaging 2021, 55, 755–771. [Google Scholar] [CrossRef] [PubMed]
- Patel, N.D.; Broderick, D.F.; Burns, J.; Deshmukh, T.K.; Fries, I.B.; Harvey, H.B.; Holly, L.; Hunt, C.H.; Jagadeesan, B.D.; Kennedy, T.A.; et al. ACR Appropriateness Criteria Low Back Pain. J. Am. Coll. Radiol. 2016, 13, 1069–1078. [Google Scholar] [CrossRef]
- Kuijper, B.; Tans, J.T.; van der Kallen, B.F.; Nollet, F.; Lycklama, A.N.G.J.; de Visser, M. Root compression on MRI compared with clinical findings in patients with recent onset cervical radiculopathy. J. Neurol. Neurosurg. Psychiatry 2011, 82, 561–563. [Google Scholar] [CrossRef]
- Beattie, P.F.; Meyers, S.P.; Stratford, P.; Millard, R.W.; Hollenberg, G.M. Associations between patient report of symptoms and anatomic impairment visible on lumbar magnetic resonance imaging. Spine 2000, 25, 819–828. [Google Scholar] [CrossRef]
- Lorenc, T.; Palczewski, P.; Wojcik, D.; Glinkowski, W.; Golebiowski, M. Diagnostic Benefits of Axial-Loaded Magnetic Resonance Imaging over Recumbent Magnetic Resonance Imaging in Obese Lower Back Patients. Spine 2018, 43, 1146–1153. [Google Scholar] [CrossRef]
- Lorenc, T.; Glinkowski, W.M.; Golebiowski, M. Axially Loaded Magnetic Resonance Imaging Identification of the Factors Associated with Low Back-Related Leg Pain. J. Clin. Med. 2021, 10, 3884. [Google Scholar] [CrossRef]
- Lorenc, T.; Gołębiowski, M.; Michalski, W.; Glinkowski, W. High-resolution, three-dimensional magnetic resonance imaging axial load dynamic study improves diagnostics of the lumbar spine in clinical practice. World J. Orthop. 2022, 13, 87–101. [Google Scholar] [CrossRef]
- Cuchanski, M.; Cook, D.; Whiting, D.M.; Cheng, B.C. Measurement of occlusion of the spinal canal and intervertebral foramen by intervertebral disc bulge. SAS J. 2011, 5, 9–15. [Google Scholar] [CrossRef]
- Fujiwara, A.; An, H.S.; Lim, T.H.; Haughton, V.M. Morphologic changes in the lumbar intervertebral foramen due to flexion-extension, lateral bending, and axial rotation: An in vitro anatomic and biomechanical study. Spine 2001, 26, 876–882. [Google Scholar] [CrossRef]
- Tanaka, N.; An, H.S.; Lim, T.H.; Fujiwara, A.; Jeon, C.H.; Haughton, V.M. The relationship between disc degeneration and flexibility of the lumbar spine. Spine J. 2001, 1, 47–56. [Google Scholar] [CrossRef]
- Nachemson, A.; Elfstrom, G. Intravital dynamic pressure measurements in lumbar discs. A study of common movements, maneuvers and exercises. Scand. J. Rehabil. Med. Suppl. 1970, 1, 1–40. [Google Scholar] [PubMed]
- Margolis, R.B.; Tait, R.C.; Krause, S.J. A rating system for use with patient pain drawings. Pain 1986, 24, 57–65. [Google Scholar] [CrossRef]
- Rankine, J.J.; Fortune, D.G.; Hutchinson, C.E.; Hughes, D.G.; Main, C.J. Pain drawings in the assessment of nerve root compression: A comparative study with lumbar spine magnetic resonance imaging. Spine 1998, 23, 1668–1676. [Google Scholar] [CrossRef]
- Murphy, D.R.; Hurwitz, E.L.; Gerrard, J.K.; Clary, R. Pain patterns and descriptions in patients with radicular pain: Does the pain necessarily follow a specific dermatome? Chiropr. Osteopat. 2009, 17, 9. [Google Scholar] [CrossRef]
- Shaballout, N.; Neubert, T.A.; Boudreau, S.; Beissner, F. From Paper to Digital Applications of the Pain Drawing: Systematic Review of Methodological Milestones. JMIR Mhealth Uhealth 2019, 7, e14569. [Google Scholar] [CrossRef] [PubMed]
- Travis Caton, M., Jr.; Wiggins, W.F.; Pomerantz, S.R.; Andriole, K.P. Effects of age and sex on the distribution and symmetry of lumbar spinal and neural foraminal stenosis: A natural language processing analysis of 43,255 lumbar MRI reports. Neuroradiology 2021, 63, 959–966. [Google Scholar] [CrossRef]
- O’Rourke, M.F.; Blazek, J.V.; Morreels, C.L., Jr.; Krovetz, L.J. Pressure wave transmission along the human aorta. Changes with age and in arterial degenerative disease. Circ. Res. 1968, 23, 567–579. [Google Scholar] [CrossRef]
- Kauppila, L.I.; McAlindon, T.; Evans, S.; Wilson, P.W.; Kiel, D.; Felson, D.T. Disc degeneration/back pain and calcification of the abdominal aorta. A 25-year follow-up study in Framingham. Spine 1997, 22, 1642–1649. [Google Scholar] [CrossRef]
- Kauppila, L.I. Atherosclerosis and disc degeneration/low-back pain—A systematic review. Eur. J. Vasc. Endovasc. Surg. 2009, 37, 661–670. [Google Scholar] [CrossRef] [PubMed]
- Chithriki, M.; Jaibaji, M.; Steele, R.D. The anatomical relationship of the aortic bifurcation to the lumbar vertebrae: A MRI study. Surg. Radiol. Anat. 2002, 24, 308–312. [Google Scholar] [CrossRef] [PubMed]
- Apazidis, A.; Ricart, P.A.; Diefenbach, C.M.; Spivak, J.M. The prevalence of transitional vertebrae in the lumbar spine. Spine J. 2011, 11, 858–862. [Google Scholar] [CrossRef] [PubMed]
- Hanhivaara, J.; Maatta, J.H.; Karppinen, J.; Niinimaki, J.; Nevalainen, M.T. The Association of Lumbosacral Transitional Vertebrae with Low Back Pain and Lumbar Degenerative Findings in MRI—A Large Cohort Study. Spine 2021, 47, 153–162. [Google Scholar] [CrossRef]
- Hanhivaara, J.; Maatta, J.H.; Niinimaki, J.; Nevalainen, M.T. Lumbosacral transitional vertebrae are associated with lumbar degeneration: Retrospective evaluation of 3855 consecutive abdominal CT scans. Eur. Radiol. 2020, 30, 3409–3416. [Google Scholar] [CrossRef]
- Kaneko, Y.; Matsumoto, M.; Takaishi, H.; Nishiwaki, Y.; Momoshima, S.; Toyama, Y. Morphometric analysis of the lumbar intervertebral foramen in patients with degenerative lumbar scoliosis by multidetector-row computed tomography. Eur. Spine J. 2012, 21, 2594–2602. [Google Scholar] [CrossRef][Green Version]
- Grivas, T.B.; Vasiliadis, E.S.; Polyzois, V.D.; Mouzakis, V. Trunk asymmetry and handedness in 8245 school children. Pediatr. Rehabil. 2006, 9, 259–266. [Google Scholar] [CrossRef]
- Renkawitz, T.; Boluki, D.; Grifka, J. The association of low back pain, neuromuscular imbalance, and trunk extension strength in athletes. Spine J. 2006, 6, 673–683. [Google Scholar] [CrossRef]
- Silverstein, M.P.; Romrell, L.J.; Benzel, E.C.; Thompson, N.; Griffith, S.; Lieberman, I.H. Lumbar dorsal root Ganglia location: An anatomic and MRI assessment. Int. J. Spine Surg. 2015, 9, 3. [Google Scholar] [CrossRef]
- Yeung, A.; Gore, S. Endoscopic foraminal decompression for failed back surgery syndrome under local anesthesia. Int. J. Spine Surg. 2014, 8, 22. [Google Scholar] [CrossRef]
- Wang, Y.; Deng, M.; Wu, H.; Wu, Y.; Guo, C.; Zhang, D.; Kong, Q. Short-term effectiveness of precise safety decompression via double percutaneous lumbar foraminoplasty and percutaneous endoscopic lumbar decompression for lateral lumbar spinal canal stenosis: A prospective cohort study. BMC Musculoskelet. Disord. 2021, 22, 80. [Google Scholar] [CrossRef] [PubMed]







| Dermatomes (Side/Level) | Right | Left | ||
|---|---|---|---|---|
| Pain | No Pain | Pain | No Pain | |
| L1 | 14 15.6% | 76 84.4% | 17 18.9% | 73 81.1% |
| L2 | 25 27.8% | 65 72.2% | 31 34.4% | 59 65.6% |
| L3 | 38 42.2% | 52 57.8% | 46 51.1% | 44 48.9% |
| L4 | 48 53.3% | 42 46.7% | 63 70.0% | 27 30.0% |
| L5 | 57 63.3% | 33 36.7% | 69 76.7% | 21 23.3% |
| Total | 182 40.4% | 268 59.6% | 226 50.2% | 224 49.8% |
| Level | Right Side | Left Side | ||||||
|---|---|---|---|---|---|---|---|---|
| Mean Percentage Changes of the Intervertebral Foramen Area (%) | Min. | Max. | Std. Deviation | Mean Percentage Changes of the Intervertebral Foramen Area (%) | Min. | Max. | Std. Deviation | |
| L1–L2 | −4.65 | −20.1 | 9.80 | 6.36 | −4.70 | −34.4 | 31.4 | 8.53 |
| L2–L3 | −6.93 | −29.4 | 16.2 | 8.58 | −6.93 | −25.9 | 9.2 | 6.82 |
| L3–L4 | −6.27 | −38.5 | 12.3 | 7.91 | −4.32 | −29.3 | 19.6 | 8.18 |
| L4–L5 | −3.65 | −22.6 | 27.6 | 9.15 | −2.60 | −31.3 | 35.7 | 9.53 |
| L5–S1 | 2.48 | −25.4 | 45.4 | 11.48 | 2.25 | −20.4 | 30.5 | 10.1 |
| Categorical Variable | n | Percent of Cases | |
|---|---|---|---|
| Dermatomal pain (Dependent Variable) | 0 (No Pain) | 492 | 54.7% |
| 1 (Pain) | 408 | 45.3% | |
| Mean percentage changes of the area of the intervertebral foramen (%) (Factor) | <−7 | 293 | 32.6% |
| (–7, 0) | 315 | 35.0% | |
| ≥0 | 292 | 32.4% | |
| Parameters | B | SE | Wald Test | p | Odds Ratio | 95%CI | ||
|---|---|---|---|---|---|---|---|---|
| Side | Right | 0 | 1 | |||||
| Left | 0.463 | 0.177 | 6.88 | 0.009 | 1.59 | 1.12 | 2.25 | |
| Level | L1–L2 | 0 | 1 | |||||
| L2–L3 | 0.803 | 0.215 | 13.9 | <0.001 | 2.23 | 1.46 | 3.40 | |
| L3–L4 | 1.46 | 0.265 | 30.4 | <0.001 | 4.30 | 2.56 | 7.22 | |
| L4–L5 | 2.07 | 0.289 | 51.2 | <0.001 | 7.89 | 4.48 | 13.9 | |
| L5–S1 | 2.39 | 0.311 | 59.2 | <0.001 | 11.0 | 5.96 | 20.2 | |
| Mean percentage changes of the intervertebral foramen area (%) | ≥0 | 0 | 1 | |||||
| (–7, 0) | −0.212 | 0.215 | 0.971 | 0.324 | 0.809 | 0.531 | 1.23 | |
| <−7 | −0.103 | 0.203 | 0.257 | 0.612 | 0.902 | 0.605 | 1.34 | |
| (Intercept) | −1.71 | 0.326 | 27.5 | 0.000 | 0.181 | 0.096 | 0.343 | |
Publisher’s Note: MDPI stays neutral with regard to jurisdictional claims in published maps and institutional affiliations. |
© 2022 by the authors. Licensee MDPI, Basel, Switzerland. This article is an open access article distributed under the terms and conditions of the Creative Commons Attribution (CC BY) license (https://creativecommons.org/licenses/by/4.0/).
Share and Cite
Lorenc, T.; Gołębiowski, M.; Syganiec, D.; Glinkowski, W.M. Associations between Patient Report of Pain and Intervertebral Foramina Changes Visible on Axial-Loaded Lumbar Magnetic Resonance Imaging. Diagnostics 2022, 12, 563. https://doi.org/10.3390/diagnostics12030563
Lorenc T, Gołębiowski M, Syganiec D, Glinkowski WM. Associations between Patient Report of Pain and Intervertebral Foramina Changes Visible on Axial-Loaded Lumbar Magnetic Resonance Imaging. Diagnostics. 2022; 12(3):563. https://doi.org/10.3390/diagnostics12030563
Chicago/Turabian StyleLorenc, Tomasz, Marek Gołębiowski, Dariusz Syganiec, and Wojciech M. Glinkowski. 2022. "Associations between Patient Report of Pain and Intervertebral Foramina Changes Visible on Axial-Loaded Lumbar Magnetic Resonance Imaging" Diagnostics 12, no. 3: 563. https://doi.org/10.3390/diagnostics12030563
APA StyleLorenc, T., Gołębiowski, M., Syganiec, D., & Glinkowski, W. M. (2022). Associations between Patient Report of Pain and Intervertebral Foramina Changes Visible on Axial-Loaded Lumbar Magnetic Resonance Imaging. Diagnostics, 12(3), 563. https://doi.org/10.3390/diagnostics12030563

