Development of Multiplex PCR Assay for Screening of T6SS-5 Gene Cluster: The Burkholderia pseudomallei Virulence Factor
Abstract
1. Introduction
2. Materials and Methods
2.1. Bacterial Strains and Culture Conditions
2.2. Number of Colony Forming Units (CFUs) of Burkholderia pseudomallei
2.3. Specific Primer Design
2.4. DNA Template Preparation
2.5. PCR Amplification
2.6. Agarose Gel Electrophoresis
2.7. Optimization of Multiplex PCR
2.8. Analytical Sensitivity of the Multiplex PCR Assay
2.9. Accuracy Test of the Multiplex PCR Assay
3. Results
3.1. Number of Colony Forming Units (CFU) of B. pseudomallei Clinical Isolate
3.2. Amplification of T6SS-5 Genes
3.3. Optimization of the Multiplex PCR
3.4. Specificity of the Multiplex PCR
3.5. Analytic Sensitivity of the Multiplex PCR
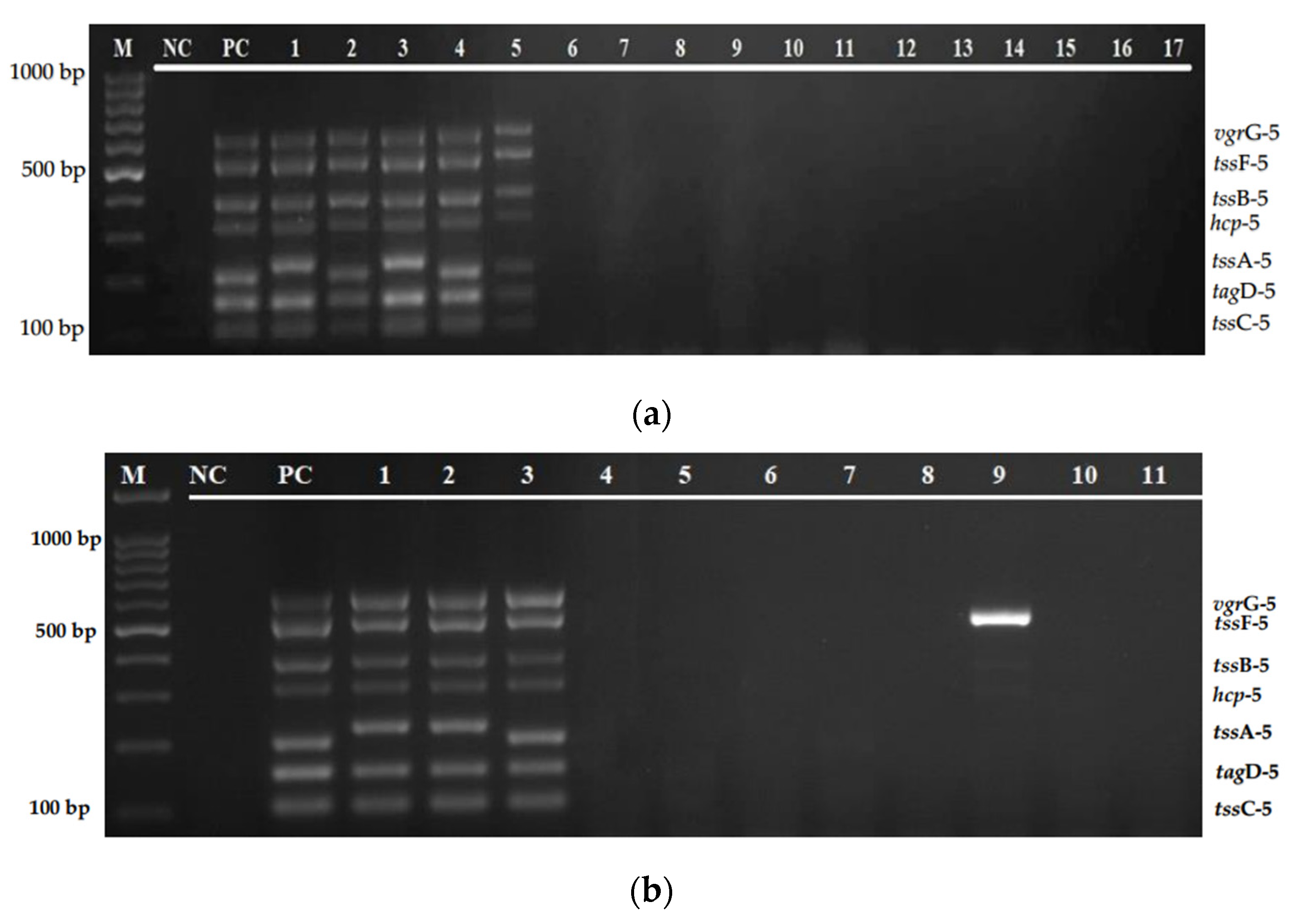
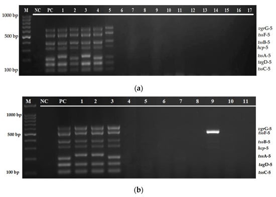
3.6. Evaluation of Multiplex PCR Using Clinical and Environmental Isolates
4. Discussion
5. Conclusions
Author Contributions
Funding
Institutional Review Board Statement
Informed Consent Statement
Data Availability Statement
Acknowledgments
Conflicts of Interest
References
- Seng, R.; Saiprom, N.; Phunpang, R.; Baltazar, C.J.; Boontawee, S.; Thodthasri, T. Prevalence and genetic diversity of Burkholderia pseudomallei isolates in the environment near a patient’s residence in Northeast Thailand. PLoS Negl. Trop. Dis. 2019, 13, e0007348. [Google Scholar] [CrossRef] [PubMed]
- Wagar, E. Bioterrorism and the role of the clinical microbiology laboratory. Clin. Microbiol. Rev. 2016, 29, 175–189. [Google Scholar] [CrossRef] [PubMed]
- Dance, D.A. Melioidosis as an emerging global problem. Acta Trop. 2000, 74, 115–119. [Google Scholar] [CrossRef]
- Arushothy, R.; Amran, F.; Samsuddin, N.; Ahmad, N.; Nathan, S. Multi locus sequence typing of clinical Burkholderia pseudomallei isolates from Malaysia. PLoS Negl. Trop. Dis. 2020, 14, e0008979. [Google Scholar] [CrossRef] [PubMed]
- Limmathurotsakul, D.; Golding, N.; Dance, D.A.; Messina, J.P.; Pigott, D.M.; Moyes, C.L. Predicted global distribution of Burkholderia pseudomallei and burden of melioidosis. Nat. Microbiol. 2016, 1, 1–5. [Google Scholar] [CrossRef] [PubMed]
- Nathan, S.; Chieng, S.; Kingsley, P.V.; Mohan, A.; Podin, Y.; Ooi, M.H. Melioidosis in Malaysia: Incidence, clinical challenges, and advances in understanding pathogenesis. Trop. Med. Infect. Dis. 2018, 3, 25. [Google Scholar] [CrossRef]
- Schwarz, S.; West, T.E.; Boyer, F.; Chiang, W.C.; Carl, M.A.; Hood, R.D. Burkholderia type VI secretion systems have distinct roles in eukaryotic and bacterial cell interactions. PLoS Pathog. 2010, 6, e1001068. [Google Scholar] [CrossRef]
- French, C.T.; Toesca, I.J.; Wu, T.H.; Teslaa, T.; Beaty, S.M.; Wong, W. Dissection of the Burkholderia intracellular life cycle using a photothermal nanoblade. Proc. Natl. Acad. Sci. USA 2011, 108, 12095–12100. [Google Scholar] [CrossRef]
- Pilatz, S.; Breitbach, K.; Hein, N.; Fehlhaber, B.; Schulze, J.; Brenneke, B. Identification of Burkholderia pseudomallei genes required for the intracellular life cycle and in vivo virulence. Infect. Immun. 2006, 74, 3576–3586. [Google Scholar] [CrossRef]
- Burtnick, M.N.; Brett, P.J.; Harding, S.V.; Ngugi, S.A.; Ribot, W.J.; Chantratita, N. The cluster 1 type VI secretion system is a major virulence determinant in Burkholderia pseudomallei. Infect. Immun. 2011, 79, 1512–1525. [Google Scholar] [CrossRef]
- Wong, J.; Chen, Y.; Gan, Y.H. Host cytosolic glutathione sensing by a membrane histidine kinase activates the type VI secretion system in an intracellular bacterium. Cell Host Microbe 2015, 18, 38–48. [Google Scholar] [CrossRef] [PubMed]
- Lennings, J.; West, T.E.; Schwarz, S. The Burkholderia type VI secretion system 5: Composition, regulation and role in virulence. Front. Microbiol. 2018, 9, 3339. [Google Scholar] [CrossRef] [PubMed]
- Zoued, A.; Brunet, Y.R.; Durand, E.; Aschtgen, M.S.; Logger, L.; Douzi, B. Architecture and assembly of the Type VI secretion system. Biochim. Biophys. Acta (BBA) Mol. Cell Res. 2014, 1843, 1664–1673. [Google Scholar] [CrossRef] [PubMed]
- Wiersinga, W.J.; Virk, H.S.; Torres, A.G.; Currie, B.J.; Peacock, S.J.; Dance, D.A. Melioidosis. Nat. Rev. Dis. Primers 2018, 4, 1–22. [Google Scholar] [CrossRef]
- Lowe, C.W.; Satterfield, B.A.; Nelson, D.B.; Thiriot, J.D.; Heder, M.J.; March, J.K. A Quadruplex Real-Time PCR Assay for the Rapid Detection and Differentiation of the Most Relevant Members of the B. pseudomallei Complex: B. mallei, B. pseudomallei, and B. thailandensis. PLoS ONE 2016, 11, e0164006. [Google Scholar]
- Lee, M.A.; Wang, D.; Yap, E.H. Detection and differentiation of Burkholderia pseudomallei, Burkholderia mallei and Burkholderia thailandensis by multiplex PCR. FEMS Immunol. Med. Microbiol. 2005, 43, 413–417. [Google Scholar] [CrossRef][Green Version]
- Koh, S.F.; Tay, S.T.; Sermswan, R.; Wongratanacheewin, S.; Chua, K.H.; Puthucheary, S.D. Development of a multiplex PCR assay for rapid identification of Burkholderia pseudomallei, Burkholderia thailandensis, Burkholderia mallei and Burkholderia cepacia complex. J. Microbiol. Methods 2012, 90, 305–308. [Google Scholar] [CrossRef]
- Deng, X.; Zhang, J.; Su, J.; Liu, H.; Cong, Y.; Zhang, L. A multiplex PCR method for the simultaneous detection of three viruses associated with canine viral enteric infections. Arch. Virol. 2018, 163, 2133–2138. [Google Scholar] [CrossRef]
- Toesca, I.J.; French, C.T.; Miller, J.F. The Type VI secretion system spike protein VgrG5 mediates membrane fusion during intercellular spread by pseudomallei group Burkholderia species. Infect. Immun. 2014, 82, 1436–1444. [Google Scholar] [CrossRef]
- Schwarz, S.; Singh, P.; Robertson, J.D.; LeRoux, M.; Skerrett, S.J.; Goodlett, D.R. VgrG-5 is a Burkholderia type VI secretion system-exported protein required for multinucleated giant cell formation and virulence. Infect. Immun. 2014, 82, 1445–1452. [Google Scholar] [CrossRef]
- Nik Zuraina, N.M.N.; Goni, M.D.; Amalina, K.N.; Hasan, H.; Mohamad, S.; Suraiya, S. Thermostable Heptaplex PCR Assay for the Detection of Six Respiratory Bacterial Pathogens. Diagnostics 2021, 11, 753. [Google Scholar] [CrossRef] [PubMed]
- Henegariu, O.; Heerema, N.; Dlouhy, S.; Vance, G.; Vogt, P. Multiplex PCR: Critical parameters and step-by-step protocol. Biotechniques 1997, 23, 504–511. [Google Scholar] [CrossRef] [PubMed]
- Sea-Liang, N.; Sereemaspun, A.; Patarakul, K.; Gaywee, J.; Rodkvamtook, W.; Srisawat, N. Development of multiplex PCR for neglected infectious diseases. PLoS Negl. Trop. Dis. 2019, 13, e0007440. [Google Scholar] [CrossRef] [PubMed]
- Wang, Z.; Zuo, J.; Gong, J.; Hu, J.; Jiang, W.; Mi, R. Development of a multiplex PCR assay for the simultaneous and rapid detection of six pathogenic bacteria in poultry. Amb. Express 2019, 9, 1–11. [Google Scholar] [CrossRef] [PubMed]
- Zueter, A.M.; Harun, A.B. Development and Validation of Conventional PCR for the Detection of the sctQ Gene. Jordan J. Biol. Sci. 2018, 11, 435–439. [Google Scholar]
- Peng, Y.; Zheng, X.; Kan, B.; Li, W.; Zhang, W.; Jiang, T. Rapid detection of Burkholderia pseudomallei with a lateral flow recombinase polymerase amplification assay. PLoS ONE 2019, 14, e0213416. [Google Scholar] [CrossRef]







| No. | Primer Pairs | Primer Sequences (5′ to 3′) | Target Gene | Amplicon Size (bp) |
|---|---|---|---|---|
| 1 | tssC_F | GAGCTTCGCAGACTATCGCT | tssC-5 | 103 |
| tssC_R | GATCTCGCCCATCGATTCGT | |||
| 2 | tagD_F | ATGTCGGCGAAGATGATGGG | tagD-5 | 155 |
| tagD_R | ATCACTTTCTGCTGGCTCGG | |||
| 3 | tssA_F | GCCGGATCAATCAAAGCCTG | tssA-5 | 238 |
| tssA_R | TTGAGGTGGTTGAGGTGGTG | |||
| 4 | hcp_F | CCAGGGGGAAATCAAAGGCT | hcp-5 | 331 |
| hcp_R | GGGCGAGTATTGGTCCATGT | |||
| 5 | tssB_F | GATCCGTCGCACCCAAAGAG | tssB-5 | 406 |
| tssB_R | CTGCGAAAGCCGGGAATGTT | |||
| 6 | tssF_F | GAACCTGCTGTTTCCGCACT | tssF-5 | 542 |
| tssF_R | CCAGCTCGACGAACAGGAAT | |||
| 7 | vgrG_F | CACCTGCTGTTTCCCGATCT | vgrG-5 | 644 |
| vgrG_R | ATCGACACCGAGCACTTGAG |
Publisher’s Note: MDPI stays neutral with regard to jurisdictional claims in published maps and institutional affiliations. |
© 2022 by the authors. Licensee MDPI, Basel, Switzerland. This article is an open access article distributed under the terms and conditions of the Creative Commons Attribution (CC BY) license (https://creativecommons.org/licenses/by/4.0/).
Share and Cite
Semail, N.; Harun, A.; Aziah, I.; Nik Zuraina, N.M.N.; Deris, Z.Z. Development of Multiplex PCR Assay for Screening of T6SS-5 Gene Cluster: The Burkholderia pseudomallei Virulence Factor. Diagnostics 2022, 12, 562. https://doi.org/10.3390/diagnostics12030562
Semail N, Harun A, Aziah I, Nik Zuraina NMN, Deris ZZ. Development of Multiplex PCR Assay for Screening of T6SS-5 Gene Cluster: The Burkholderia pseudomallei Virulence Factor. Diagnostics. 2022; 12(3):562. https://doi.org/10.3390/diagnostics12030562
Chicago/Turabian StyleSemail, Noreafifah, Azian Harun, Ismail Aziah, Nik Mohd Noor Nik Zuraina, and Zakuan Zainy Deris. 2022. "Development of Multiplex PCR Assay for Screening of T6SS-5 Gene Cluster: The Burkholderia pseudomallei Virulence Factor" Diagnostics 12, no. 3: 562. https://doi.org/10.3390/diagnostics12030562
APA StyleSemail, N., Harun, A., Aziah, I., Nik Zuraina, N. M. N., & Deris, Z. Z. (2022). Development of Multiplex PCR Assay for Screening of T6SS-5 Gene Cluster: The Burkholderia pseudomallei Virulence Factor. Diagnostics, 12(3), 562. https://doi.org/10.3390/diagnostics12030562

