Deep Sequencing of Immunoglobulin Genes Identifies a Very Low Percentage of Monoclonal B Cells in Primary Cutaneous Marginal Zone Lymphomas with CD30-Positive Hodgkin/Reed–Sternberg-like Cells
Abstract
1. Introduction
2. Materials and Methods
2.1. Patients, Tissues Samples
2.2. Immunohistochemistry and In Situ Hybridization
2.3. Molecular Analyses of Immunoglobulin Heavy (IGH) and Light Chain (IGK) Gene Rearrangements
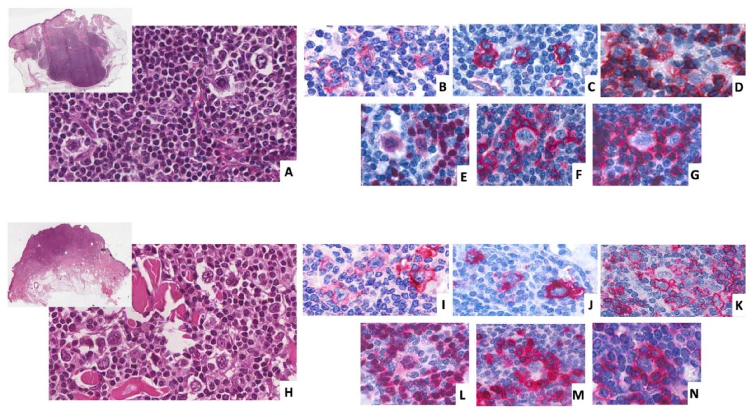
3. Results
3.1. Case 1
3.2. Case 2
3.3. Case 3
4. Discussion
Supplementary Materials
Author Contributions
Funding
Institutional Review Board Statement
Informed Consent Statement
Data Availability Statement
Conflicts of Interest
References
- Willemze, R.; Cerroni, L.; Kempf, W.; Berti, E.; Facchetti, F.; Swerdlow, S.H.; Jaffe, E.S. The 2018 update of the WHO-EORTC classification for primary cutaneous lymphomas. Blood J. Am. Soc. Hematol. 2019, 133, 1703–1714. [Google Scholar] [CrossRef]
- Vitiello, P.; Sica, A.; Ronchi, A.; Caccavale, S.; Franco, R.; Argenziano, G. Primary Cutaneous B-Cell Lymphomas: An Update. Front. Oncol. 2020, 10, 651. [Google Scholar] [CrossRef]
- Bradford, P.T.; Devesa, S.S.; Anderson, W.F.; Toro, J.R. Cutaneous lymphoma incidence patterns in the UnitedStates: A population-based study of 3884 cases. Blood J. Am. Soc. Hematol. 2009, 113, 5064–5073. [Google Scholar]
- Hamilton, S.N.; Wai, E.S.; Tan, K.; Alexander, C.; Gascoyne, R.D.; Connors, J.M. Treatment and outcomes in patients with primary cutaneous B-cell lymphoma:the BC Cancer Agency experience. Int. J. Radiat. Oncol. Biol. Phys. 2013, 87, 719–725. [Google Scholar] [CrossRef] [PubMed]
- Hallermann, C.; Niermann, C.; Fischer, R.J.; Schulze, H.J. Survival data for 299 patients with primary cutaneous lymphomas: A monocentre study. Acta Derm. Venereol. 2011, 91, 521–525. [Google Scholar] [CrossRef] [PubMed]
- Servitje, O.; Muniesa, C.; Benavente, Y.; Monsálvez, V.; PilarGarcia-Muret, M.; Gallardo, F.; Domingo-Domenech, E.; Lucas, A.; Climent, F.; Rodriguez-Peralto, J.L.; et al. Primary cutaneous marginal zone B-cell lymphoma: Response to treatment and disease-free survival in a series of 137 patients. J. Am. Acad. Dermatol. 2013, 69, 357–365. [Google Scholar] [CrossRef] [PubMed]
- Haverkos, B.; Tyler, K.; Gru, A.A.; Winardi, F.K.; Frederickson, J.; Hastings, J.; Porcu, P. Primary cutaneous B-cell lymphoma: Management and patterns of recurrence at the multimodality cutaneous lymphoma clinic of The Ohio State University. Oncologist 2015, 20, 1161–1166. [Google Scholar] [CrossRef] [PubMed]
- Golling, P.; Cozzio, A.; Dummer, R.; French, L.; Kempf, W. Primary cutaneous B-cell lymphomas—Clinicopathological, prognostic and therapeutic characterisation of 54 cases according to the WHO-EORTC classification and the ISCL/EORTC TNM classification system for primary cutaneous lymphomas other than mycosis fungoides and Sezary syndrome. Leuk. Lymphoma 2008, 49, 1094–1103. [Google Scholar]
- Gerami, P.; Wickless, S.C.; Rosen, S.; Kuzel, T.M.; Ciurea, A.; Havey, J.; Guitart, J. Applying the new TNM classification system for primary cutaneous lymphomas other than mycosis fungoides and Sézary syndrome in primary cutaneous marginal zone lymphoma. J. Am. Acad. Dermatol. 2008, 59, 245–254. [Google Scholar] [CrossRef]
- Kheterpal, M.K.; Dai, J.; Geller, S.; Pulitzer, M.; Ni, A.; Myskowski, P.L.; Horwitz, S.M. Role of imaging in low-grade cutaneous B-cell lymphoma presenting in the skin. J. Am. Acad. Dermatol. 2019, 81, 970–976. [Google Scholar] [CrossRef]
- Swerdlow, S.H. Cutaneous marginal zone lymphomas. Semin. Diagn. Pathol. 2017, 34, 76–84. [Google Scholar] [CrossRef] [PubMed]
- Li, C.; Inagaki, H.; Kuo, T.T.; Hu, S.; Okabe, M.; Eimoto, T. Primary cutaneous marginal zone B-cell lymphoma: A molecular and clinicopathologic study of 24 Asian cases. Am. J. Surg. Pathol. 2003, 27, 1061–1069. [Google Scholar] [CrossRef] [PubMed]
- Rijlaarsdam, J.U.; van der Putte, S.C.; Berti, E.; Kerl, H.; Rieger, E.; Toonstra, J.; Willemze, R. Cutaneous immunocytomas: A clinicopathologic study of 26 cases. Histopathology 1993, 23, 117–125. [Google Scholar] [CrossRef]
- Servitje, O.; Gallardo, F.; Estrach, T.; Pujol, R.M.; Blanco, A.; Fernández-Sevilla, A.; Romagosa, V. Primary cutaneous marginal zone B-cell lymphoma: A clinical, histopathological, immunophenotypic and molecular genetic study of 22 cases. Br. J. Dermatol. 2002, 147, 1147–1158. [Google Scholar] [CrossRef]
- Cerroni, L.; Signoretti, S.; Höfler, G.; Annessi, G.; Pütz, B.; Lackinger, E.; Kerl, H. Primary cutaneous marginal zone B-cell lymphoma: A recently described entity of low-grade malignant cutaneous B-cell lymphoma. Am. J. Surg. Pathol. 1997, 21, 1307–1315. [Google Scholar] [CrossRef]
- van Maldegem, F.; van Dijk, R.; Wormhoudt, T.A.; Kluin, P.M.; Willemze, R.; Cerroni, L.; Bende, R.J. The majority of cutaneous marginal zone B-cell lymphomas expresses class-switched immunoglobulins and develops in a T-helper type 2 inflammatory environment. Blood J. Am. Soc. Hematol. 2008, 112, 3355–3361. [Google Scholar] [CrossRef]
- Edinger, J.T.; Kant, J.A.; Swerdlow, S.H. Cutaneous marginal zone lymphomas have distinctive features and include 2 subsets. Am. J. Surg. Pathol. 2010, 34, 1830–1841. [Google Scholar] [CrossRef]
- Carlsen, E.D.; Swerdlow, S.H.; Cook, J.R.; Gibson, S.E. Class-switched primary cutaneous marginal zone lymphomas are frequently IgG4-positive and have features distinct from IgM-positive cases. Am. J. Surg. Pathol. 2019, 43, 1403–1412. [Google Scholar] [CrossRef] [PubMed]
- Nihal, M.; Mikkola, D.; Horvath, N.; Gilliam, A.C.; Stevens, S.R.; Spiro, T.P.; Wood, G.S. Cutaneous lymphoid hyperplasia: A lymphoproliferative continuum with lymphomatous potential. Hum. Pathol. 2003, 34, 617–622. [Google Scholar] [CrossRef]
- Ceballos, K.M.; Gascoyne, R.D.; Martinka, M.; Trotter, M.J. Heavy multinodular cutaneous lymphoid infiltrates: Clinicopathologic features and B-cell clonality. J. Cutan. Pathol. 2002, 29, 159–167. [Google Scholar] [CrossRef]
- Morales, A.V.; Arber, D.A.; Seo, K.; Kohler, S.; Kim, Y.H.; Sundram, U.N. Evaluation of B-cell clonality using the BIOMED-2 PCR method effectively distinguishes cutaneous B-cell lymphoma from benign lymphoid infiltrates. Am. J. Dermatopathol. 2008, 30, 425–430. [Google Scholar] [CrossRef] [PubMed]
- Rijlaarsdam, U.; Bakels, V.; van Oostveen, J.W.; Gordijn, R.J.; Geerts, M.L.; Meijer, C.J.; Willemze, R. Demonstration of clonal immunoglobulin gene rearrangements in cutaneous B-cell lymphomas and pseudo-B-cell lymphomas: Differential diagnostic and pathogenetic aspects. J. Investig. Dermatol. 1992, 99, 749–754. [Google Scholar] [CrossRef] [PubMed][Green Version]
- Fujiwara, M.; Morales, A.V.; Seo, K.; Kim, Y.H.; Arber, D.A.; Sundram, U.N. Clonal identity and differences in primary cutaneous B-cell lymphoma occurring at different sites or time points in the same patient. Am. J. Dermatopathol. 2013, 35, 11–18. [Google Scholar] [CrossRef]
- Senff, N.J.; Hoefnagel, J.J.; Jansen, P.M.; Vermeer, M.H.; van Baarlen, J.; Blokx, W.A.; Willemze, R. Reclassification of 300 primary cutaneous B-cell lymphomas according to the new WHO-EORTC classification for cutaneous lymphomas: Comparison with previous classifications and identification of prognostic markers. J. Clin. Oncol. 2007, 25, 1581–1587. [Google Scholar] [CrossRef]
- Magro, C.M.; Yang, A.; Fraga, G. Blastic marginal zone lymphoma: A clinical and pathological study of 8 cases and review of the literature. Am. J. Dermatopathol. 2013, 35, 319–326. [Google Scholar] [CrossRef] [PubMed]
- Prieto-Torres, L.; Manso, R.; Cieza-Díaz, D.E.; Jo, M.; Kilany Perez, L.; Montenegro-Damaso, T.; Piris, M.A. Large Cells with CD30 Expression and Hodgkin-like Features in Primary Cutaneous Marginal Zone B-Cell Lymphoma: A Study of 13 Cases. Am. J. Surg. Pathol. 2019, 43, 1191–1202. [Google Scholar] [CrossRef]
- Scheijen, B.; Meijers, R.W.J.; Rijntjes, J.; van der Klift, M.Y.; Möbs, M.; Steinhilber, J.; Reigl, T.; van den Brand, M.; Kotrová, M.; Ritter, J.M.; et al. Next-generation sequencing of immunoglobulin gene rearrangements for clonality assessment: A technical feasibility study by EuroClonality-NGS. Leukemia 2019, 33, 2227–2240. [Google Scholar] [CrossRef]
- Arcila, M.E.; Yu, W.; Syed, M.; Kim, H.; Maciag, L.; Yao, J.; Nafa, K. Establishment of Immunoglobulin Heavy (IGH) Chain Clonality Testing by Next-Generation Sequencing for Routine Characterization of B-Cell and Plasma Cell Neoplasms. J. Mol. Diagn. 2019, 21, 330–342. [Google Scholar] [CrossRef]
- Dürkop, H.; Latza, U.; Hummel, M.; Eitelbach, F.; Seed, B.; Stein, H. Molecular cloning and expression of a new member of the nerve growth factor receptor family that is characteristic for Hodgkin’s disease. Cell 1992, 68, 421–427. [Google Scholar] [CrossRef]
- Van Der Weyden, C.A.; Pileri, S.A.; Feldman, A.L.; Whisstock, J.; Prince, H.M. Understanding CD30 biology and therapeutic targeting: A historical perspective providing insight into future directions. Blood Cancer J. 2017, 7, e603. [Google Scholar] [CrossRef]
- Stein, H.M.D.Y.; Mason, D.Y.; Gerdes, J.; O’connor, N.; Wainscoat, J.; Pallesen, G.; Lennert, K. The expression of the Hodgkin’s disease associated antigen Ki-1 in reactive and neoplastic lymphoid tissue: Evidence that Reed-Sternberg cells and histiocytic malignancies are derived from activated lymphoid cells. Blood 1985, 66, 848–858. [Google Scholar] [CrossRef] [PubMed]
- Nathan, D.L.; Belsito, D.V. Carbamazepine-induced pseudolymphoma with CD-30 positive cells. J. Am. Acad. Dermatol. 1998, 38, 806–809. [Google Scholar] [CrossRef]
- Hwong, H.; Jones, D.; Prieto, V.G.; Schulz, C.; Duvic, M. Persistent atypical lymphocytic hyperplasia following tick bite in a child: Report of a case and review of the literature. Pediatr. Dermatol. 2001, 18, 481–484. [Google Scholar] [CrossRef] [PubMed]
- Gallardo, F.; Carlos Barranco Toll, A.; Pujol, R.M. CD30 antigen expression in cutaneous inflammatory infiltrates of scabies: A dynamic immunophenotypic pattern that should be distinguished from lymphomatoid papulosis. J. Cutan. Pathol. 2002, 29, 368–373. [Google Scholar] [CrossRef]
- Leinweber, B.; Kerl, H.; Cerroni, L. Histopathologic features of cutaneous herpes virus infections (herpes simplex, herpes varicella/zoster): A broad spectrum of presentations with common pseudolymphomatous aspects. Am. J. Surg. Pathol. 2006, 30, 50–58. [Google Scholar] [CrossRef]
- Willomze, R.; Paulli, M.; Kadin, M.E. Primary cutaneous CD30―Positive T-cell lymphoproliferative disorders. In WHO Classification of Tumours of Haematopoietic and Lymphoid Tissues; Swerdlow, S.H., Campo, E., Harris, N.L., Jaffe, E.S., Pileri, S.A., Stein, H., Thiele, J., Vardiman, J.W., Eds.; International Agency for Research on Cancer: Lyon, France, 2017; pp. 392–396. [Google Scholar]
- Van Krieken, J.H.; Onciu, M.; Elenitoba-Johnson, K.S.J. Immunodeficiency-associated lymphoproliferative disorders. In WHO Classification of Tumours of Haematopoietic and Lymphoid Tissues; Swerdlow, S.H., Campo, E., Harris, N.L., Jaffe, E.S., Pileri, S.A., Stein, H., Thiele, J., Vardiman, J.W., Eds.; International Agency for Research on Cancer: Lyon, France, 2017; pp. 443–464. [Google Scholar]
- Magro, C.M.; Nash, J.W.; Werling, R.W.; Porcu, P.; Crowson, N. Primary cutaneous CD30+ large cell B-cell lymphoma: A series of 10 cases. Appl. Immunohistochem. Mol. Morphol. 2006, 14, 7–11. [Google Scholar] [CrossRef]
- Kempf, W.; Kazakov, D.V.; Rütten, A.; Rupec, R.A.; Talarcik, P.; Ballová, V.; Tinguely, M. Primary cutaneous follicle center lymphoma with diffuse CD30 expression: A report of 4 cases of a rare variant. J. Am. Acad. Dermatol. 2014, 71, 548–554. [Google Scholar] [CrossRef]
- Magro, C.M.; Momtahen, S. Primary cutaneous spindle cell B cell lymphoma: A report of three cases and review of the literature. Ann. Diagn. Pathol. 2017, 27, 18–23. [Google Scholar] [CrossRef]
- Tomaszewski, M.M.; Abbondanzo, S.L.; Lupton, G.P. Extranodal marginal zone B-cell lymphoma of the skin: A morphologic and immunophenotypic study of 11 cases. Am. J. Dermatopathol. 2000, 22, 205–211. [Google Scholar] [CrossRef]
- Grønbaek, K.; Møller, P.H.; Nedergaard, T.; Thomsen, K.; Baadsgaard, O.; Hou-Jensen, K.; Ralfkiaer, E. Primary cutaneous B-cell lymphoma: A clinical, histological, phenotypic and genotypic study of 21 cases. Br. J. Dermatol. 2000, 142, 913–923. [Google Scholar] [CrossRef]
- Aldarweesh, F.A.; Treaba, D.O. Primary Cutaneous Follicle Centre Lymphoma with Hodgkin and Reed-Sternberg like Cells: A Case Report and Review of the Literature. Case Rep. Hematol. 2017, 2017, 9549428. [Google Scholar] [CrossRef] [PubMed]
- Marie, D.; Houda, B.R.; Béatrice, V.; Matthieu, F.; Louis, T.; Olivier, N.; Marie, P. Primary cutaneous follicle center lymphoma with Hodgkin and Reed-Sternberg-like cells: A new histopathologic variant. J. Cutan. Pathol. 2014, 41, 797–801. [Google Scholar] [CrossRef] [PubMed]
- Demierre, M.F.; Goldberg, L.J.; Kadin, M.E.; Koh, H.K. Is it lymphoma or lymphomatoid papulosis? J. Am. Acad. Dermatol. 1997, 36, 765–772. [Google Scholar] [CrossRef]
- Nandini, A.S.; Mysore, V.; Sacchidanand, S.; Chandra, S. Primary cutaneous anaplastic large cell lymphoma arising from lymphomatoid papulosis, responding to low dose methotrexate. J. Cutan. Aesthet. Surg. 2009, 2, 97–100. [Google Scholar] [PubMed]
- Min, J.A.; Oh, S.T.; Kim, J.E.; Cho, B.K.; Chung, N.G.; Park, H.J. Lymphomatoid papulosis followed by anaplastic large cell lymphoma in a pediatric patient. Ann. Dermatol. 2010, 22, 447–451. [Google Scholar] [CrossRef] [PubMed][Green Version]
- Humme, D.; Lukowsky, A.; Steinhoff, M.; Beyer, M.; Walden, P.; Sterry, W.; Assaf, C. Dominance of nonmalignant T-cell clones and distortion of the TCR repertoire in the peripheral blood of patients with cutaneous CD30+ lymphoproliferative disorders. J. Investig. Dermatol. 2009, 129, 89–98. [Google Scholar] [CrossRef]
- Wood, G.S.; Crooks, C.F.; Uluer, A.Z. Lymphomatoid papulosis and associated cutaneous lymphoproliferative disorders exhibit a common clonal origin. J. Investig. Dermatol. 1995, 105, 51–55. [Google Scholar] [CrossRef] [PubMed][Green Version]
- Chott, A.; Vonderheid, E.C.; Olbricht, S.; Miao, N.N.; Balk, S.P.; Kadin, M.E. The dominant T cell clone is present in multiple regressing skin lesions and associated T cell lymphomas of patients with lymphomatoid papulosis. J. Investig. Dermatol. 1996, 106, 696–700. [Google Scholar] [CrossRef]
- Chen, C.; Gu, Y.D.; Geskin, L.J. A Review of Primary Cutaneous CD30+ Lymphoproliferative Disorders. Hematol. Oncol. Clin. N. Am. 2019, 33, 121–134. [Google Scholar] [CrossRef]
- Ferreri, A.J.; Ernberg, I.; Copie-Bergman, C. Infectious agents and lymphoma development: Molecular and clinical aspects. J. Intern. Med. 2009, 265, 421–438. [Google Scholar] [CrossRef]
- Jelić, S.; Filipović-Ljesković, I. Positive serology for Lyme disease borrelias in primary cutaneous B-cell lymphoma: A study in 22 patients; is it a fortuitous finding? Hematol. Oncol. 1999, 17, 107–116. [Google Scholar] [CrossRef]
- Dalle, S.; Thomas, L.; Balme, B.; Dumontet, C.; Thieblemont, C. Primary cutaneous marginal zone lymphoma. Crit. Rev. Oncol. Hematol. 2010, 74, 156–162. [Google Scholar] [CrossRef] [PubMed]
- Youinou, P.; Devauchelle-Pensec, V.; Pers, J.O. Significance of B cells and B cell clonality in Sjögren’s syndrome. Arthritis Rheum. 2010, 62, 2605–2610. [Google Scholar] [CrossRef] [PubMed]
- Carbonari, M.; Caprini, E.; Tedesco, T.; Mazzetta, F.; Tocco, V.; Casato, M.; Fiorilli, M. Hepatitis C virus drives the unconstrained monoclonal expansion of VH1-69-expressing memory B cells in type II cryoglobulinemia: A model of infection-driven lymphomagenesis. J. Immunol. 2005, 174, 6532–6539. [Google Scholar] [CrossRef]
- Minafò, Y.A.; Del Padre, M.; Cristofoletti, C.; Caprini, E.; Perez, M.; Aranburu, A.; Visentini, M. A stereotyped light chain may shape virus-specific B-cell receptors in HCV-dependent lymphoproliferative disorders. Genes Immun. 2020, 21, 131–135. [Google Scholar] [CrossRef]
- Attygalle, A.D.; Liu, H.; Shirali, S.; Diss, T.C.; Loddenkemper, C.; Stein, H.; Isaacson, P.G. Atypical marginal zone hyperplasia of mucosa-associated lymphoid tissue: A reactive condition of childhood showing immunoglobulin lambda light-chain restriction. Blood 2004, 104, 3343–3348. [Google Scholar] [CrossRef]
- Sioutos, N.; Kerl, H.; Murphy, S.B.; Kadin, M.E. Primary cutaneous Hodgkin’s disease. Unique clinical, morphologic, and immunophenotypic findings. Am. J. Dermatopathol. 1994, 16, 2–8. [Google Scholar] [CrossRef]
- Introcaso, C.E.; Kantor, J.; Porter, D.L.; Junkins-Hopkins, J.M. Cutaneous Hodgkin’s disease. J. Am. Acad. Dermatol. 2008, 58, 295–298. [Google Scholar] [CrossRef]
- Lay, L.; Stroup, B.; Payton, J.E. Validation and interpretation of IGH and TCR clonality testing by Ion Torrent S5 NGS for diagnosis and disease monitoring in B and T cell cancers. Pract. Lab. Med. 2020, 22, e00191. [Google Scholar] [CrossRef]




Publisher’s Note: MDPI stays neutral with regard to jurisdictional claims in published maps and institutional affiliations. |
© 2022 by the authors. Licensee MDPI, Basel, Switzerland. This article is an open access article distributed under the terms and conditions of the Creative Commons Attribution (CC BY) license (https://creativecommons.org/licenses/by/4.0/).
Share and Cite
Di Napoli, A.; Rogges, E.; Noccioli, N.; Gazzola, A.; Lopez, G.; Persechino, S.; Mancini, R.; Sabattini, E. Deep Sequencing of Immunoglobulin Genes Identifies a Very Low Percentage of Monoclonal B Cells in Primary Cutaneous Marginal Zone Lymphomas with CD30-Positive Hodgkin/Reed–Sternberg-like Cells. Diagnostics 2022, 12, 290. https://doi.org/10.3390/diagnostics12020290
Di Napoli A, Rogges E, Noccioli N, Gazzola A, Lopez G, Persechino S, Mancini R, Sabattini E. Deep Sequencing of Immunoglobulin Genes Identifies a Very Low Percentage of Monoclonal B Cells in Primary Cutaneous Marginal Zone Lymphomas with CD30-Positive Hodgkin/Reed–Sternberg-like Cells. Diagnostics. 2022; 12(2):290. https://doi.org/10.3390/diagnostics12020290
Chicago/Turabian StyleDi Napoli, Arianna, Evelina Rogges, Niccolò Noccioli, Anna Gazzola, Gianluca Lopez, Severino Persechino, Rita Mancini, and Elena Sabattini. 2022. "Deep Sequencing of Immunoglobulin Genes Identifies a Very Low Percentage of Monoclonal B Cells in Primary Cutaneous Marginal Zone Lymphomas with CD30-Positive Hodgkin/Reed–Sternberg-like Cells" Diagnostics 12, no. 2: 290. https://doi.org/10.3390/diagnostics12020290
APA StyleDi Napoli, A., Rogges, E., Noccioli, N., Gazzola, A., Lopez, G., Persechino, S., Mancini, R., & Sabattini, E. (2022). Deep Sequencing of Immunoglobulin Genes Identifies a Very Low Percentage of Monoclonal B Cells in Primary Cutaneous Marginal Zone Lymphomas with CD30-Positive Hodgkin/Reed–Sternberg-like Cells. Diagnostics, 12(2), 290. https://doi.org/10.3390/diagnostics12020290

