Colloid Carcinoma of the Pancreas with a Series of Radiological and Pathological Studies for Diagnosis: A Case Report
Abstract
:1. Introduction
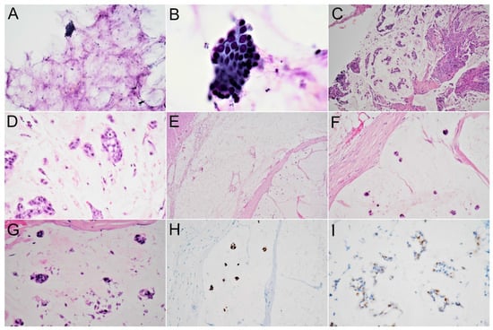
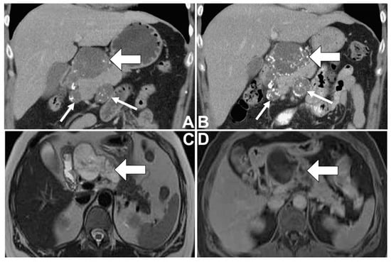
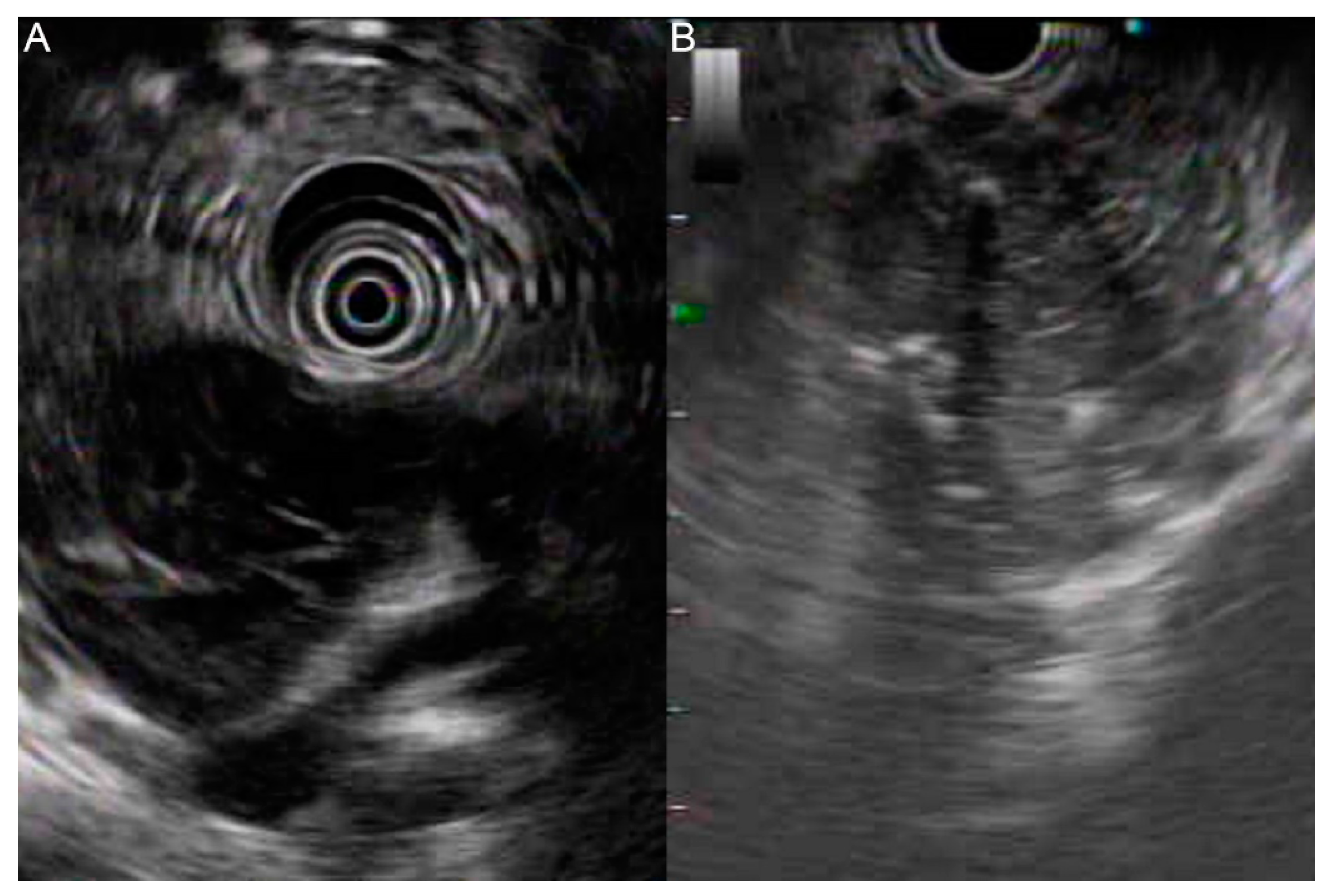
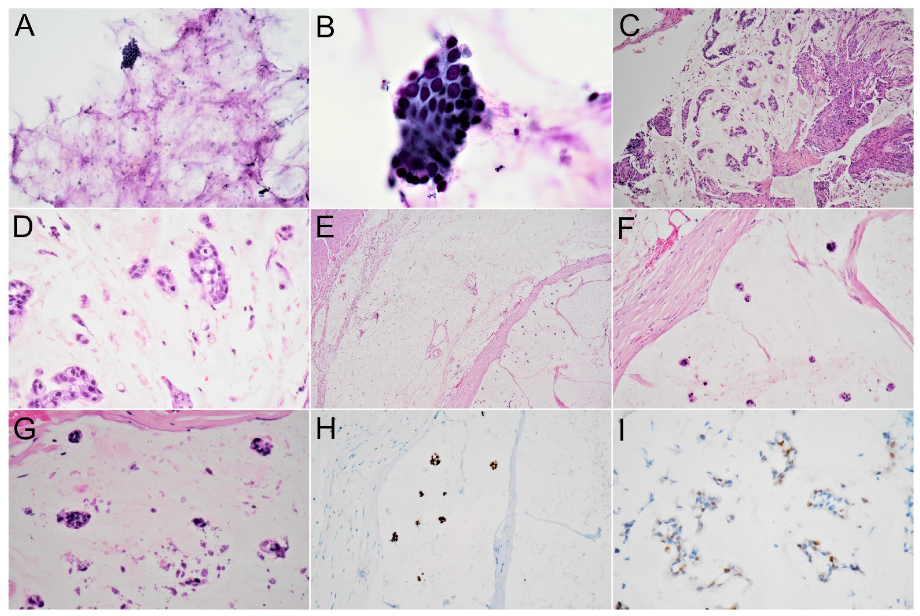
2. Case Presentation
3. Discussion
4. Conclusions
Author Contributions
Funding
Institutional Review Board Statement
Informed Consent Statement
Data Availability Statement
Conflicts of Interest
References
- Adsay, N.V.; Pierson, C.; Sarkar, F.; Abrams, J.; Weaver, D.; Conlon, K.C.; Brennan, M.F.; Klimstra, D.S. Colloid (mucinous noncystic) carcinoma of the pancreas. Am. J. Surg. Pathol. 2001, 25, 26–42. [Google Scholar] [CrossRef] [PubMed]
- Andea, A.; Klimstra, B.; Cheng, J.; Volkan Adsay, N. Colloid carcinoma of the pancreas. Curr. Diagn. Pathol. 2004, 10, 61–68. [Google Scholar] [CrossRef]
- Flor-de-Lima, B.; Freitas, P.S.; Couto, N.; Castillo-Martin, M.; Santiago, I. Pancreatic intraductal papillary mucinous neoplasm associated colloid carcinoma. Radiol. Case Rep. 2021, 16, 2989–2992. [Google Scholar] [CrossRef] [PubMed]
- Liszka, L.; Zielinska-Pajak, E.; Pajak, J.; Golka, D. Colloid carcinoma of the pancreas: Review of selected pathological and clinical aspects. Pathology 2008, 40, 655–663. [Google Scholar] [CrossRef] [PubMed]
- Yoon, M.A.; Lee, J.M.; Kim, S.H.; Lee, J.Y.; Han, J.K.; Choi, B.I.; Choi, J.Y.; Park, S.H.; Lee, M.W. MRI features of pancreatic colloid carcinoma. AJR Am. J. Roentgenol. 2009, 193, W308–W313. [Google Scholar] [CrossRef]
- Picado, O.; Dosch, A.R.; Garcia-Buitrago, M.T.; Yakoub, D.; Dudeja, V.; Rodgers, S.E. The Role of Perioperative Chemotherapy in the Management of Colloid Carcinoma of the Pancreas. Pancreas 2021, 50, 306–312. [Google Scholar] [CrossRef]
- Jiang, L.; Tang, Q.; Panje, C.M.; Nie, H.; Zhao, G.; Shi, H. Assessment of pancreatic colloid carcinoma using (18)F-FDG PET/CT compared with MRI and enhanced CT. Oncol. Lett. 2018, 16, 1557–1564. [Google Scholar] [PubMed] [Green Version]
- Schawkat, K.; Manning, M.A.; Glickman, J.N.; Mortele, K.J. Pancreatic Ductal Adenocarcinoma and Its Variants: Pearls and Perils. Radiographics 2020, 40, 1219–1239. [Google Scholar] [CrossRef] [PubMed]
- Brugge, W.R. Diagnosis and management of cystic lesions of the pancreas. J. Gastrointest. Oncol. 2015, 6, 375–388. [Google Scholar]
- Crino, S.F.; Bernardoni, L.; Gabbrielli, A.; Capelli, P.; Salvia, R.; Rusev, B.C.; Scarpa, A.; Manfrin, E. Beyond Pancreatic Cyst Epithelium: Evidence of Ovarian-Like Stroma in EUS-Guided Through-the-Needle Micro-Forceps Biopsy Specimens. Am. J. Gastroenterol. 2018, 113, 1059–1060. [Google Scholar] [CrossRef] [PubMed]
- Cunningham, S.C.; Hruban, R.H.; Schulick, R.D. Differentiating intraductal papillary mucinous neoplasms from other pancreatic cystic lesions. World J. Gastrointest. Surg. 2010, 2, 331–336. [Google Scholar] [CrossRef] [PubMed]
- Gore, R.M.; Wenzke, D.R.; Thakrar, K.H.; Newmark, G.M.; Mehta, U.K.; Berlin, J.W. The incidental cystic pancreas mass: A practical approach. Cancer Imaging 2012, 12, 414–421. [Google Scholar] [CrossRef] [PubMed] [Green Version]
- Morana, G.; Ciet, P.; Venturini, S. Cystic pancreatic lesions: MR imaging findings and management. Insights Imaging 2021, 12, 115. [Google Scholar] [CrossRef]
- Perez-Johnston, R.; Narin, O.; Mino-Kenudson, M.; Ingkakul, T.; Warshaw, A.L.; Fernandez-Del Castillo, C.; Sahani, V.D. Frequency and significance of calcification in IPMN. Pancreatology 2013, 13, 43–47. [Google Scholar] [CrossRef]
- Scheufele, F.; Hartmann, D.; Friess, H. Treatment of pancreatic cancer-neoadjuvant treatment in borderline resectable/locally advanced pancreatic cancer. Transl. Gastroenterol. Hepatol. 2019, 4, 32. [Google Scholar] [CrossRef]
- Didonato, R.; Shapiro, N.; Koenigsberg, T.; D’Alfonso, T.; Jaffer, S.; Fineberg, S. Invasive mucinous carcinoma of the breast and response patterns after neoadjuvant chemotherapy (NAC). Histopathology 2018, 72, 965–973. [Google Scholar] [CrossRef]



| Features | IPMN | MCN | CC/Our Case | |
|---|---|---|---|---|
| Clinical | Age | Elderly | Middle | Middle to elderly/middle |
| Gender | Male (70%) | Female (95%) | No gender predominance/female | |
| Radiological | Location | Head (70%) | Body and tail (95%) | Head/head |
| Shape | Ovoid | Spheroid | Lobulated/lobulated | |
| Duct communication | Common | No | No/No | |
| Calcification | Some (20%) | Some (30%) (peripheral) | Some/Yes (internal and peripheral) | |
| MRI T2 high signal intensity | Yes | Yes | Yes/Yes (salt-and-pepper appearance) | |
| Pathological | Stromal mucin in biopsied specimens | Scanty | Scanty | Abundant/mucin pools |
| Epithelial lining | Continuous columnar or papillary | Continuous columnar | Cell clusters floating within the mucin/Cell clusters or strips in mucin pools | |
| Stroma | Fibrotic | Ovarian | Fibrotic/Fibrotic | |
Publisher’s Note: MDPI stays neutral with regard to jurisdictional claims in published maps and institutional affiliations. |
© 2022 by the authors. Licensee MDPI, Basel, Switzerland. This article is an open access article distributed under the terms and conditions of the Creative Commons Attribution (CC BY) license (https://creativecommons.org/licenses/by/4.0/).
Share and Cite
Chen, C.-H.; Yeh, H.-Z.; Li, H.-N. Colloid Carcinoma of the Pancreas with a Series of Radiological and Pathological Studies for Diagnosis: A Case Report. Diagnostics 2022, 12, 282. https://doi.org/10.3390/diagnostics12020282
Chen C-H, Yeh H-Z, Li H-N. Colloid Carcinoma of the Pancreas with a Series of Radiological and Pathological Studies for Diagnosis: A Case Report. Diagnostics. 2022; 12(2):282. https://doi.org/10.3390/diagnostics12020282
Chicago/Turabian StyleChen, Chuan-Han, Hong-Zen Yeh, and Hsin-Ni Li. 2022. "Colloid Carcinoma of the Pancreas with a Series of Radiological and Pathological Studies for Diagnosis: A Case Report" Diagnostics 12, no. 2: 282. https://doi.org/10.3390/diagnostics12020282
APA StyleChen, C.-H., Yeh, H.-Z., & Li, H.-N. (2022). Colloid Carcinoma of the Pancreas with a Series of Radiological and Pathological Studies for Diagnosis: A Case Report. Diagnostics, 12(2), 282. https://doi.org/10.3390/diagnostics12020282

