Right Paraduodenal Hernia as a Cause of Acute Abdominal Pain in the Emergency Department: A Case Report and Review of the Literature
Abstract
1. Introduction
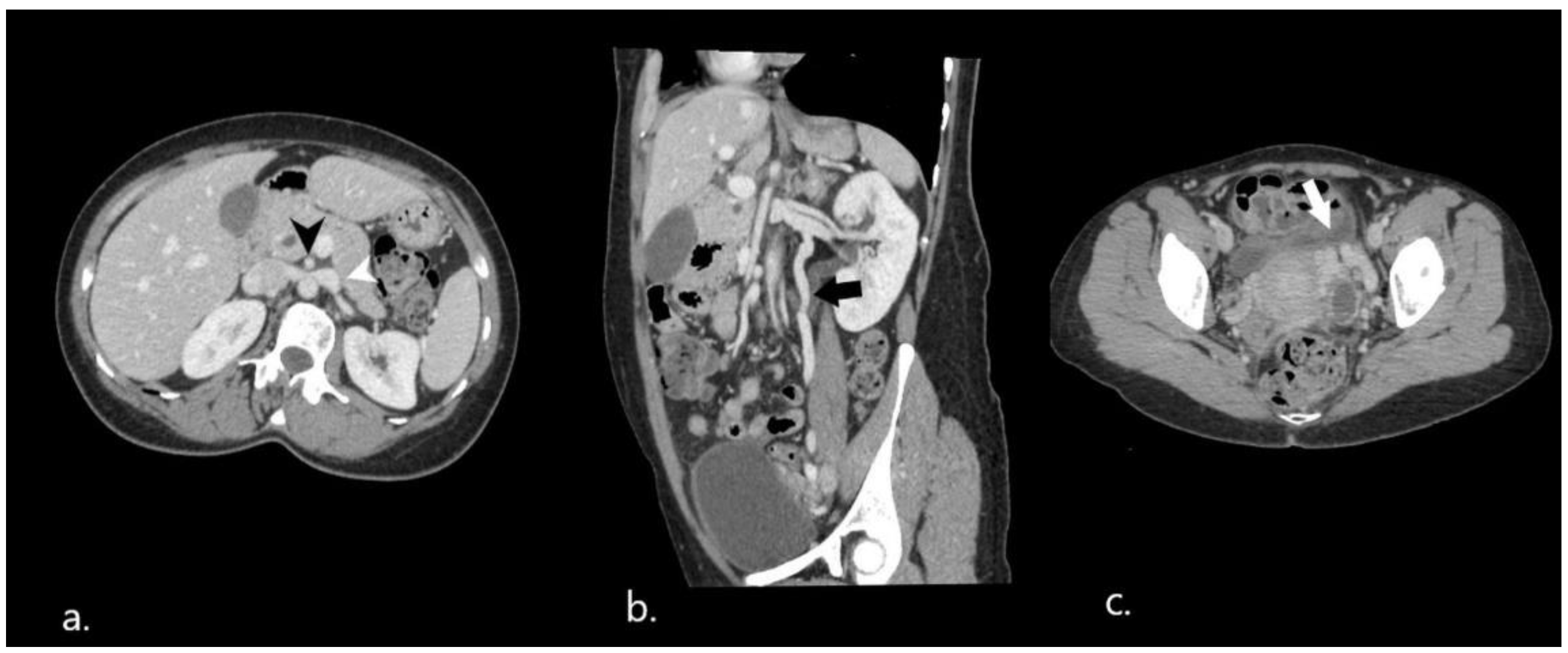
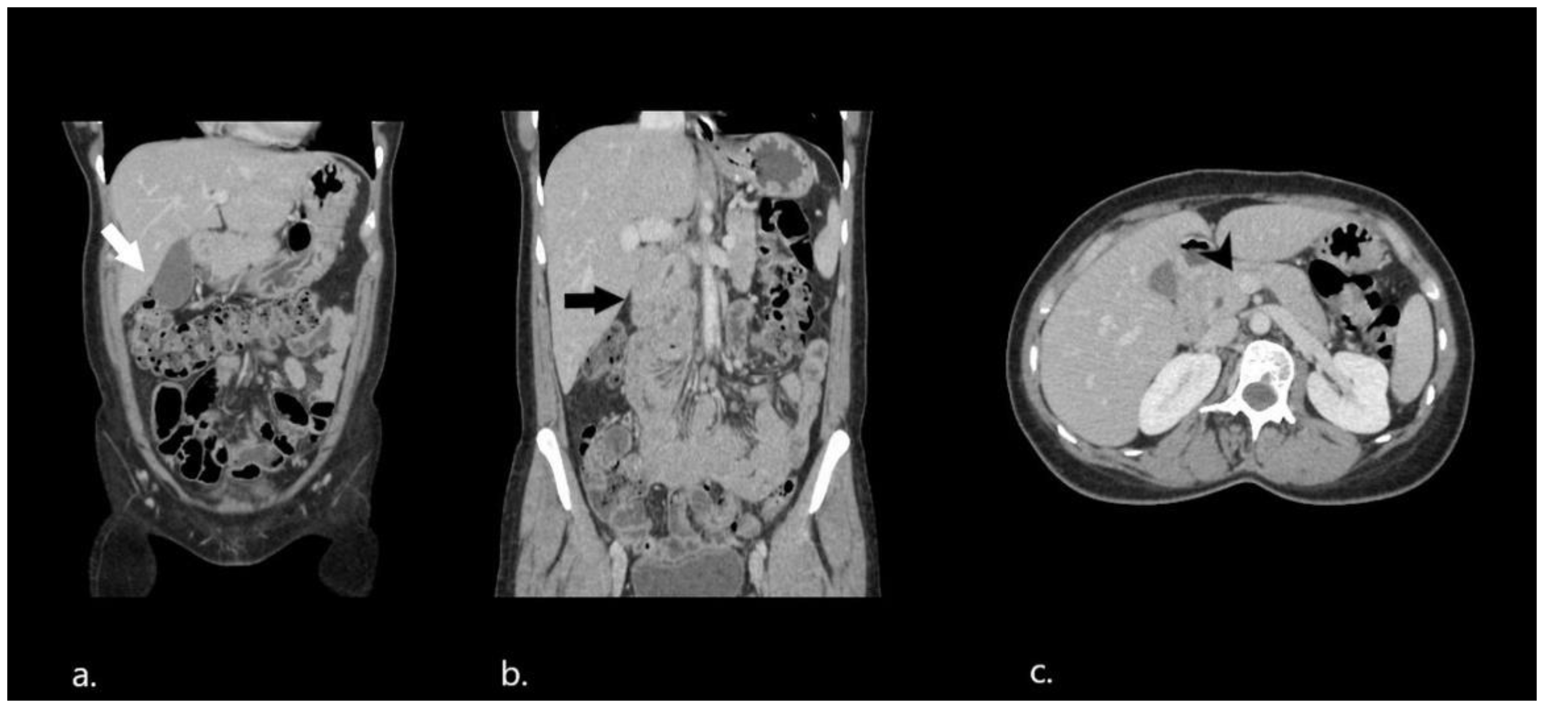
2. Case Presentation
3. Discussion
4. Conclusions
Funding
Informed Consent Statement
Conflicts of Interest
References
- Fan, H.P.; Yang, A.D.; Chang, Y.J.; Juan, C.W.; Wu, H.P. Clinical spectrum of internal hernia: A surgical emergency. Surg. Today 2008, 38, 899–904. [Google Scholar] [CrossRef] [PubMed]
- Akyildiz, H.; Artis, T.; Sozuer, E.; Akcan, A.; Kucuk, C.; Sensoy, E.; Karahan, I. Internal hernia: Complex diagnostic and therapeutic problem. Int. J. Surg. 2009, 7, 334–337. [Google Scholar] [CrossRef] [PubMed]
- Monica, M.L.; Antonella, M.; Gloria, A.; Diletta, C.; Nicola, M.; Ginevra, D.; Lina, B.; Silvia, P.; Andrea, G.; Vittorio, M. Internal hernias: A difficult diagnostic challenge. Review of CT signs and clinical findings. Acta Bio. Med. Atenei. Parm. 2019, 90, 20–37. [Google Scholar] [CrossRef]
- Manfredelli, S.; Andrea, Z.; Stefano, P.; Giovanni, L.; Maria, M.; Angelo, F.; Alberto, A.; Renato, M. Rare small bowel obstruction: Right paraduodenal hernia. Case report. Int. J. Surg. Case Rep. 2013, 4, 412–415. [Google Scholar] [CrossRef]
- Schizas, D.; Apostolou, K.; Krivan, S.; Kanavidis, P.; Katsaros, I.; Vailas, M.; Koutelidakis, I.; Chatzimavroudis, G.; Pikoulis, E. Paraduodenal hernias: A systematic review of the literature. Hernia 2019, 23, 1187–1197. [Google Scholar] [CrossRef] [PubMed]
- Martin, L.C.; Merkle, E.M.; Thompson, W.M. Review of Internal Hernias: Radiographic and Clinical Findings. Am. J. Roentgenol. 2006, 186, 703–717. [Google Scholar] [CrossRef]
- Takeyama, N.; Gokan, T.; Ohgiya, Y.; Satoh, S.; Hashizume, T.; Hataya, K.; Kushiro, H.; Nakanishi, M.; Kusano, M.; Munechika, H. CT of Internal Hernias. RadioGraphics 2005, 25, 997–1015. [Google Scholar] [CrossRef]
- Mehra, R.; Pujahari, A.K. Right paraduodenal hernia: Report of two cases and review of literature. Gastroenterol. Rep. Oxf. 2016, 4, 168–171. [Google Scholar] [CrossRef][Green Version]
- Doishita, S.; Takeshita, T.; Uchima, Y.; Kawasaki, M.; Shimono, T.; Yamashita, A.; Sugimoto, M.; Ninoi, T.; Shima, H.; Miki, Y. Internal Hernias in the Era of Multidetector CT: Correlation of Imaging and Surgical Findings. RadioGraphics 2016, 36, 88–106. [Google Scholar] [CrossRef]
- Weiss, M.D.; Wasdell, M.B.; Bomben, M.M.; Rea, K.J.; Freeman, R.D. Sleep hygiene and melatonin treatment for children and adolescents with ADHD and initial insomnia. J. Am. Acad. Child Adolesc. Psychiatry 2006, 45, 512–519. [Google Scholar] [CrossRef]
- Moldrem, A.W.; Papaconstantinou, H.; Broker, H.; Megison, S.; Jeyarajah, D.R. Late Presentation of Intestinal Malrotation: An Argument for Elective Repair. World J. Surg. 2008, 32, 1426–1431. [Google Scholar] [CrossRef] [PubMed]
- Pickhardt, P.J.; Bhalla, S. Intestinal Malrotation in Adolescents and Adults: Spectrum of Clinical and Imaging Features. Am. J. Roentgenol. 2002, 179, 1429–1435. [Google Scholar] [CrossRef] [PubMed]
- Paulson, E.K.; Thompson, W.M. Review of Small-Bowel Obstruction: The Diagnosis and When to Worry. Radiology 2015, 275, 332–342. [Google Scholar] [CrossRef]
- Nishio, Y.; Kawano, Y.; Hara, S. Nutcracker syndrome complicated with intestinal malrotation. BMJ Case Rep. 2019, 12, e231230. [Google Scholar] [CrossRef] [PubMed]
- HitenKumar, P.N.; Shah, D.; Priyanka, C.B. Unusual presentation of midgut malrotation with incidental nutcracker syndrome in adulthood: Case report and literature review. BMJ Case Rep. 2012, 2012, bcr0320126010. [Google Scholar] [CrossRef] [PubMed]
- Jha, S.; Deshmukh, S.; Kulkarni, A.; Gupta, A.; Kothari, P. Nonrotation of gut with nutcracker syndrome: A rare presentation. Int. Surg. J. 2021, 8, 2819–2822. [Google Scholar] [CrossRef]
- Kurklinsky, A.K.; Rooke, T.W. Nutcracker Phenomenon and Nutcracker Syndrome. Mayo Clin. Proc. 2010, 85, 552–559. [Google Scholar] [CrossRef]
- Zissin, R.; Hertz, M.; Gayer, G.; Paran, H.; Osadchy, A. Congenital internal hernia as a cause of small bowel obstruction: CT findings in 11 adult patients. Br. J. Radiol. 2005, 78, 796–802. [Google Scholar] [CrossRef]
- Jeong, G.-A.; Cho, G.-S.; Kim, H.-C.; Shin, E.-J.; Song, O.-P. Laparoscopic Repair of Paraduodenal Hernia. Surg. Laparosc. Endosc. Percutaneous Tech. 2008, 18, 611–615. [Google Scholar] [CrossRef]
- Suter, M.; Zermatten, P.; Halkic, N.; Martinet, O.; Bettschart, V. Laparoscopic management of mechanical small bowel obstruction. Surg. Endosc. 2000, 14, 478–483. [Google Scholar] [CrossRef]
- Lin, C.T.; Hsu, K.F.; Hong, Z.J.; Yu, J.C.; Hsieh, C.B.; Chan, D.C.; Shih, M.L.; Liao, G.S. A paraduodenal hernia (Treitz’s hernia) causing acute bowel obstruction. Rev. Esp. Enferm. Dig. 2010, 102, 220–221. [Google Scholar] [CrossRef] [PubMed]
- Kwan, B.; Theodore, J.E.; Wong, J. Laparoscopic paraduodenal hernia repair with bioabsorbable mesh: A case of a novel technique for a rare cause of bowel obstruction. Int. J. Surg. Case Rep. 2020, 70, 1–4. [Google Scholar] [CrossRef] [PubMed]
- Ismavel, V.A.; Kichu, M.; Hechhula, D.P.; Yanadi, R. Right paraduodenal hernia with extensive bowel gangrene treated with staged surgery: A Bogota bag followed by resection in a low-resource setting. BMJ Case Rep. 2021, 14, e239250. [Google Scholar] [CrossRef] [PubMed]
- Bittner, J.G., IV; Edwards, M.A.; Harrison, S.J.; Li, K.; Karmin, P.N.; Mellinger, J.D. Laparoscopic repair of a right paraduodenal her-nia. JSLS 2009, 13, 242–249. [Google Scholar]
- Poudel, N.; Adhikari, A.B.; Acharya, K.; Upadhyay, D.; Sharma, D.; Pradhan, S.; Bhandari, R.S. Right-sided paraduodenal hernia with malrotation—A case report. Ann. Med. Surg. 2021, 72, 103135. [Google Scholar] [CrossRef] [PubMed]
- Manipadam, J.M.V.L.; Syamprasad, V.H.R. Laparoscopic Repair of a Right Paraduodenal Hernia. Surg. J. 2018, 4, e129–e132. [Google Scholar] [CrossRef]
- Walkner, S.; Nebiker, A.C. Laparoscopic repair of a right-sided paraduodenal hernia. J. Surg. Case Rep. 2019, 2019, rjz337. [Google Scholar] [CrossRef]
- Shadhu, K.; Ramlagun, D.; Ping, X. Para-duodenal hernia: A report of five cases and review of literature. BMC Surg. 2018, 18, 32. [Google Scholar] [CrossRef]
- Hassan, M.; Hussein, A.; Ayad, A.; Hoseny, K. A rare case of acute abdomen due to strangulated Waldayer’s hernia. Int. J. Surg. Case Rep. 2012, 3, 507–509. [Google Scholar] [CrossRef][Green Version]
- Ong, M.; Roberts, M.; Perera, M.; Pretorius, C. Case of a strangulated right paraduodenal fossa hernia in a malrotated gut. BMJ Case Rep. 2017, 2017, bcr2017220645. [Google Scholar] [CrossRef]
- Bharatam, K.K.; Kaliyappa, C.; Reddy, R.R. Right sided transmesentric hernia: A rare cause of acute abdomen in adults. Int. J. Surg. Case Rep. 2014, 5, 1154–1157. [Google Scholar] [CrossRef] [PubMed]
- Omarov, N.; Özata, I.H.; Balık, E. Right paraduodenal hernia accompanying superior mesenteric vein thrombosis: A rare case. BMJ Case Rep. 2021, 14, e241324. [Google Scholar] [CrossRef]
- Joseph, A.M.; Huynh, D.; Chaipis, P. Right Paraduodenal Hernia. Fed. Pract. 2017, 34, 33–35. [Google Scholar] [PubMed]
- Oshita, K.; Yoshimitsu, M.; Yunoki, K.; Imaoka, K.; Yano, T.; Idani, H.; Okajima, M. Reduced-port surgery for right paraduodenal hernia in an adult patient: A case report and review of the literature. Asian J. Endosc. Surg. 2021, 14, 598–601. [Google Scholar] [CrossRef] [PubMed]
- Bollampally, A.R.; Dhanapal, B.; Mohammed, F.H. Right Paraduodenal Hernia: A Rare Cause of Small Bowel Strangulation. Cureus 2020, 12, 58. [Google Scholar] [CrossRef]
- Cho, J.H.; Kim, S.S.; Lee, W.H. Right Paraduodenal Hernia with Midgut Malrotation. J. Belg. Soc. Radiol. 2019, 103, 58. [Google Scholar] [CrossRef]
- Antedomenico, E.; Singh, N.N.; Zagorski, S.M.; Dwyer, K.; Chung, M.H. Laparoscopic repair of a right paraduodenal hernia. Surg. Endosc. 2004, 18, 165–166. [Google Scholar] [CrossRef]
- Tomino, T.; Itoh, S.; Yoshida, D.; Nishida, T.; Kawanaka, H.; Ikeda, T.; Kohnoe, S.; Shirabe, K.; Maehara, Y. Right paraduodenal hernia successfully treated with laparoscopic surgery. Asian J. Endosc. Surg. 2015, 8, 87–90. [Google Scholar] [CrossRef]
- Fukada, T.; Mukai, H.; Shimamura, F.; Furukawa, T.; Miyazaki, M. A causal relationship between right paraduodenal hernia and superior mesenteric artery syndrome: A case report. J. Med. Case Rep. 2010, 4, 159. [Google Scholar] [CrossRef]
- Nuño-Guzmán, C.M.; Arróniz-Jáuregui, J.; Hernández-González, C.; Reyes-Macías, F.; Nava-Garibaldi, R.; Guerrero-Díaz, F.; Martínez-Chávez, J.; Solís-Ugalde, J. Right Paraduodenal Hernia in an Adult Patient: Diagnostic Approach and Surgical Management. Case Rep. Gastroenterol. 2011, 5, 479–486. [Google Scholar] [CrossRef]
- Lu, C.-W.; Liu, L.-C. Right-side paraduodenal hernia: Unexplained recurrent abdominal pain. Clin. Imaging 2012, 36, 68–71. [Google Scholar] [CrossRef] [PubMed]
- Indiran, V.; Maduraimuthu, P. Intestinal Obstruction Due to Malrotation of Midgut and Right Paraduodenal Hernia. GE Port. J. Gastroenterol. 2016, 23, 276–278. [Google Scholar] [CrossRef] [PubMed]
- Martín-Lagos-Maldonado, A.; Ruiz-Escolano, E.; Martínez-Tirado Mdel, P.; Salmerón-Escobar, J. Right-sided paraduodenal her-nia: Rare cause of recurrent abdominal pain. Rev. Esp. Enferm. Dig. 2013, 105, 177–178. [Google Scholar] [CrossRef] [PubMed][Green Version]
- Erdas, E.; Pitzalis, A.; Scano, D.; Licheri, S.; Pomata, M.; Farina, G. Diagnosis and treatment of symptomatic right paraduodenal hernia: Report of a case. Surg. Today 2013, 44, 192–196. [Google Scholar] [CrossRef]
- Abdullah, A.; Elsamaloty, H.; Patel, Y.; Castillo-Sang, M. Small bowel obstruction due to a right-sided paraduodenal hernia: A case report. Gastrointest. Radiol. 2009, 35, 571–573. [Google Scholar] [CrossRef]
- Brunner, W.C.; Sierra, R.; Dunne, J.B.; Simmang, C.L.; Scott, D.J. Incidental paraduodenal hernia found during laparoscopic colectomy. Hernia 2004, 8, 268–270. [Google Scholar] [CrossRef]
- Takagishi, T.; Niimi, Y.; Matsuki, G.; Nagano, S.; Hinami, J.; Kajiwara, M.; Kaneko, K.; Kubota, Y.; Nakai, O. Laparoscopic Repair of Right Paraduodenal Hernia in Adult Patients: Case Report and Literature Review. Case Rep. Surg. 2018, 2018, 9691689. [Google Scholar] [CrossRef]
- McCain, S.; Harris, A.; McCallion, K. Recycling of jejunal effluent to enable enteral nutrition in short bowel syndrome. BMJ Case Rep. 2014, 2014, bcr2014204394. [Google Scholar] [CrossRef]




| Authors | Gender | Age | Symptoms | Surgical Method | Outcome |
|---|---|---|---|---|---|
| S.Manfredelli et al. [4] | F | 86 | Acute bowel obstruction syndrome | Exploratory laparotomy | C/R |
| R. Mehra et al. [8] | M M | 46 23 | Nausea/vomit Abdominal pain and bilious vomit | Exploratory laparotomy | C/R |
| CT. Lin et al. [21] | M | 30 | Abdominal pain Nausea/vomit | Exploratory laparotomy | C/R |
| B. Kwan et al. [22] | F | 18 | Subacute small bowel obstruction | Biosynthetic reinforcement | C/R |
| V.A. Ismavel et al. [23] | M | 23 | Abdominal pain Nausea/vomit | Exploratory laparotomy | C/R |
| J.G Bittner et al. [24] | F | 26 | Abdominal pain | Laparoscopy | C/R |
| N. Poudel et al. [25] | M | 36 | Abdominal pain | Exploratory laparotomy | C/R |
| J.M.Manipadam et al. [26] | F | 31 | Abdominal pain Occasional vomit | Exploratory laparoscopy | C/R |
| S. Walkner et al. [27] | M | 37 | Abdominal pain Nausea/vomit | Exploratory laparoscopy | C/R |
| K. Shadhu et al. [28] | M | 40 | Abdominal pain | Exploratory laparoscopy | C / R |
| M. Hassan et al. [29] | M | 19 | Abdominal pain | Exploratory laparotomy | C/R |
| M. Ong et al. [30] | F | 53 | Abdominal pain Constipation Tenesmus | Exploratory laparotomy | C/R |
| K. Bharatam et al. [31] | M | 30 | Abdominal pain | Exploratory laparotomy | C/R |
| N. Omarov et al. [32] | M | 59 | Abdominal pain | Exploratory laparoscopy | C/R |
| A.M. Joseph et al. [33] | M | 43 | Abdominal pain Nausea/vomit | Laparoscopy converted to laparotomy | C/R |
| K. Oshita et al. [34] | M | 30 | Abdominal pain Nausea/vomit | Exploratory laparoscopy | C/R |
| AR. Bollampally et al. [35] | M | 29 | Abdominal pain Bilious vomit | Exploratory laparotomy | C/R |
| JH. Cho et al. [36] | M | 30 | Abdominal pain Nausea/vomit | Exploratory laparotomy | C/R |
| E.Antedomenico et al. [37] | F | 24 | Abdominal pain Nausea/vomit | Exploratory laparoscopy | C/R |
| T. Tomino et al. [38] | M | 23 | Abdominal pain Nausea/vomit | Exploratory laparoscopy | C/R |
| T. Fukada et al. [39] | M | 46 | Abdominal pain | Exploratory laparotomy | C/R |
| CM. Nuño-Guzmán et al. [40] | M | 41 | Intestinal obstruction | Exploratory laparotomy | C/R |
| CW. Lu et al. [41] | F | 45 | Periumbilical pain | Exploratory laparotomy | C/R |
| V. Indiran et al. [42] | M | 19 | Abdominal pain Nausea/vomit Constipation | Exploratory laparotomy | C/R |
| A. Martín-Lagos-Maldonado et al. [43] | M | 52 | Periumbilical pain Nausea/vomit | Exploratory laparotomy | C/R |
| E. Erdas et al. [44] | F | 32 | Abdominal pain Nausea/vomit | Exploratory laparoscopy | C/R |
| A. Abdullah et al. [45] | F | 48 | Abdominal pain Distention | Exploratory laparotomy | C/R |
| WC. Brunner et al. [46] | M | 60 | Constipation Abdominal pain | Exploratory laparoscopy | C/R |
| T. Takagishi et al. [47] | F (4) M(4) | 23–80 | Abdominal pain (8) Nausea/vomit (6) | Laparoscopy (7) Laparotomy migration (1) | C/R (6) Postoperative conservative treatment of postoperative ileus (1) Second operation performed (1) |
| S. McCain et al. [48] | F | 41 | Abdominal pain Distention Feculent vomit | Exploratory laparotomy | C/R |
Publisher’s Note: MDPI stays neutral with regard to jurisdictional claims in published maps and institutional affiliations. |
© 2022 by the authors. Licensee MDPI, Basel, Switzerland. This article is an open access article distributed under the terms and conditions of the Creative Commons Attribution (CC BY) license (https://creativecommons.org/licenses/by/4.0/).
Share and Cite
Lamprou, V.; Krokou, D.; Karlafti, E.; Panidis, S.; Kougias, L.; Tzikos, G.; Ioannidis, A.; Netta, S.; Thomaidou, E.; Paramythiotis, D. Right Paraduodenal Hernia as a Cause of Acute Abdominal Pain in the Emergency Department: A Case Report and Review of the Literature. Diagnostics 2022, 12, 2742. https://doi.org/10.3390/diagnostics12112742
Lamprou V, Krokou D, Karlafti E, Panidis S, Kougias L, Tzikos G, Ioannidis A, Netta S, Thomaidou E, Paramythiotis D. Right Paraduodenal Hernia as a Cause of Acute Abdominal Pain in the Emergency Department: A Case Report and Review of the Literature. Diagnostics. 2022; 12(11):2742. https://doi.org/10.3390/diagnostics12112742
Chicago/Turabian StyleLamprou, Viktoria, Despoina Krokou, Eleni Karlafti, Stavros Panidis, Leonidas Kougias, Georgios Tzikos, Aristeidis Ioannidis, Smaro Netta, Evanthia Thomaidou, and Daniel Paramythiotis. 2022. "Right Paraduodenal Hernia as a Cause of Acute Abdominal Pain in the Emergency Department: A Case Report and Review of the Literature" Diagnostics 12, no. 11: 2742. https://doi.org/10.3390/diagnostics12112742
APA StyleLamprou, V., Krokou, D., Karlafti, E., Panidis, S., Kougias, L., Tzikos, G., Ioannidis, A., Netta, S., Thomaidou, E., & Paramythiotis, D. (2022). Right Paraduodenal Hernia as a Cause of Acute Abdominal Pain in the Emergency Department: A Case Report and Review of the Literature. Diagnostics, 12(11), 2742. https://doi.org/10.3390/diagnostics12112742

