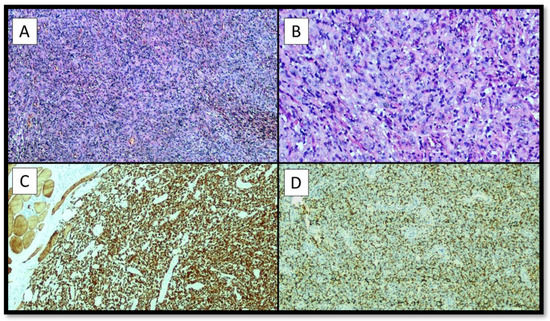
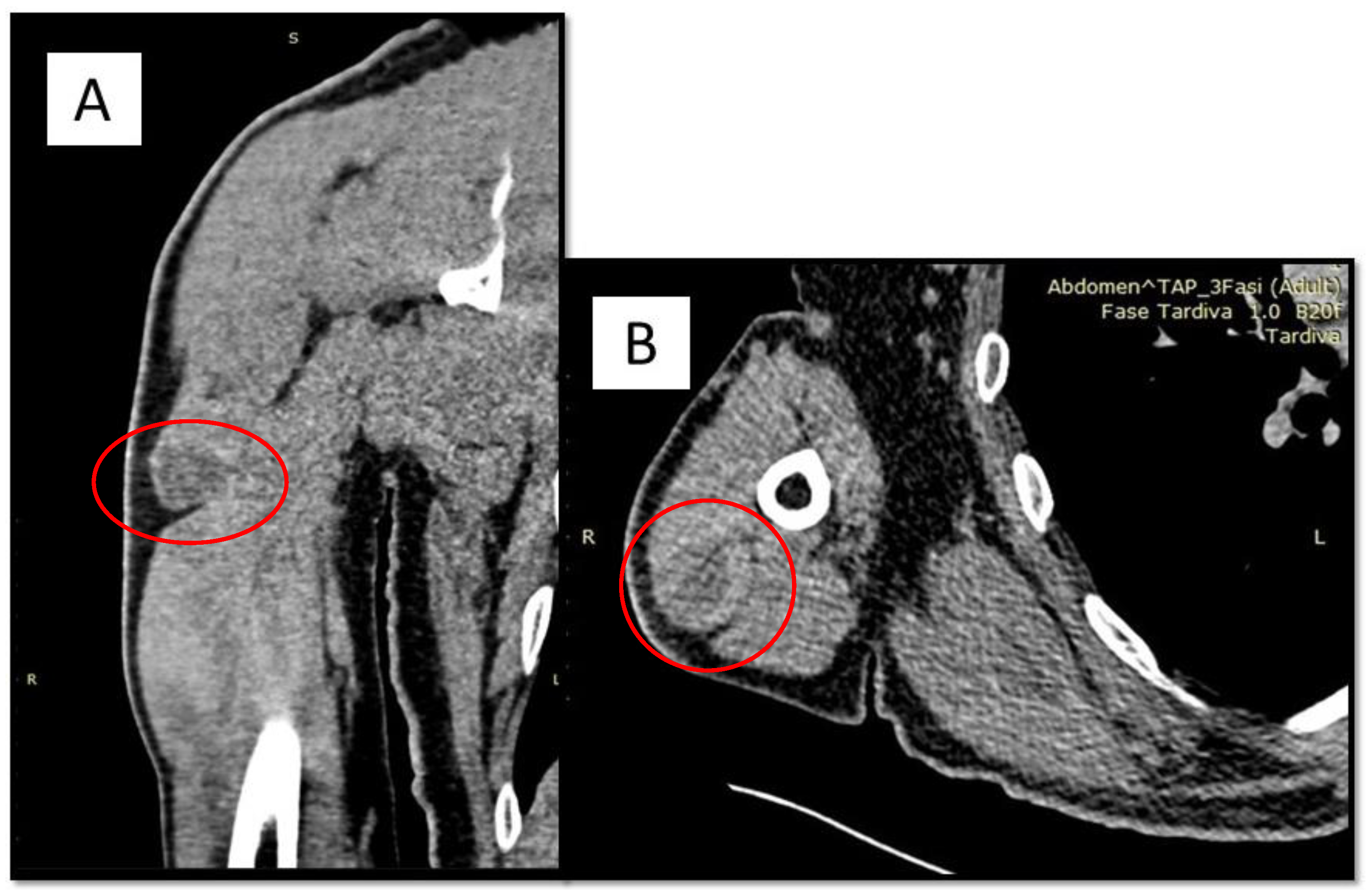
Angiomatoid Fibrous Histiocytoma (AFH) of the Right Arm: An Exceptional Case with Pulmonary Metastasis and Confirmatory EWSR1::CREB1 Translocation
Abstract



Author Contributions
Funding
Institutional Review Board Statement
Informed Consent Statement
Data Availability Statement
Acknowledgments
Conflicts of Interest
References
- Racanelli, D.; Brenca, M.; Baldazzi, D.; Goeman, F.; Casini, B.; De Angelis, B.; Guercio, M.; Milano, G.M.; Tamborini, E.; Busico, A.; et al. Next-Generation Sequencing Approaches for the Identification of Pathognomonic Fusion Transcripts in Sarcomas: The Experience of the Italian ACC Sarcoma Working Group. Front. Oncol. 2020, 10, 489, Erratum in: Front Oncol. 2020, 10, 944. [Google Scholar] [CrossRef] [PubMed]
- Thway, K.; Fisher, C. Angiomatoid fibrous histiocytoma: The current status of pathology and genetics. Arch. Pathol. Lab. Med. 2015, 139, 674–682. [Google Scholar] [CrossRef] [PubMed]
- Update on the role of trabectedin in the treatment of intractable soft tissue sarcomas. Onco Targets Ther. 2017, 10, 1155–1164. [CrossRef] [PubMed]
- Schaefer, I.M.; Fletcher, C.D. Myxoid variant of so-called angiomatoid “malignant fibrous histiocytoma”: Clinicopathologic characterization in a series of 21 cases. Am. J. Surg. Pathol. 2014, 38, 816–823. [Google Scholar] [CrossRef] [PubMed]
- Maher, O.M.; Prieto, V.G.; Stewart, J.; Herzog, C.E. Characterization of metastatic angiomatoid fibrous histiocytoma. J. Pediatr. Hematol. Oncol. 2015, 37, e268–e271. [Google Scholar] [CrossRef] [PubMed]
- Saito, K.; Kobayashi, E.; Yoshida, A.; Araki, Y.; Kubota, D.; Tanzawa, Y.; Kawai, A.; Yanagawa, T.; Takagishi, K.; Chuman, H. Angiomatoid fibrous histiocytoma: A series of seven cases including genetically confirmed aggressive cases and a literature review. BMC Musculoskelet. Disord. 2017, 18, 31. [Google Scholar] [CrossRef] [PubMed]
- Kobayashi, H.; Makise, N.; Shinozaki-Ushiku, A.; Ishibashi, Y.; Ikegami, M.; Kohsaka, S.; Ushiku, T.; Oda, K.; Miyagawa, K.; Aburatani, H.; et al. Scapular Angiomatoid Fibrous Histiocytoma with EWSR1-CREB1 Fusion in an Adult Patient. Case Rep. Orthop. 2021, 2021, 9434222. [Google Scholar] [CrossRef] [PubMed]
- Garnier, L.; Fenouil, T.; Pissaloux, D.; Ameli, R.; Ducray, F.; Meyronet, D.; Honnorat, J. Intracranial non-myxoid angiomatoid fibrous histiocytoma with EWSR1-CREB1 transcript fusion treated with doxorubicin: A case report. Mol. Clin. Oncol. 2021, 15, 131. [Google Scholar] [CrossRef] [PubMed]
- Alzahim, M.A.; Abed, A.H.; Mashrah, H.T.; Almahdaly, A.M.; Shaheen, M. Angiomatoid Fibrous Histiocytoma: A Series of Three Cases. Cureus 2021, 13, e16465. [Google Scholar] [CrossRef] [PubMed]
- Maqbool, H.; Bashir, S.; Hassan, U.; Hussain, M.; Mushtaq, S.; Ishtiaq, S. Angiomatoid Fibrous Histiocytoma: A Tumor With Uncertain Behavior and Various Clinicopathological Presentations. Cureus 2022, 14, e28985. [Google Scholar] [CrossRef] [PubMed]
- Ngo, C.; Grinda, T.; Boilève, A.; Levy, A.; Le Pechoux, C.; Haddag, L.; Valent, A.; Lazure, T.; Briand, S.; Honoré, C.; et al. Durable response to crizotinib in metastatic angiomatoid fibrous histiocytoma with EWSR1-CREB1 fusion and ALK overexpression. Ann. Oncol. 2022, 33, 848–850. [Google Scholar] [CrossRef] [PubMed]
- Molecular diagnosis of an atypical case of angiomatoid fibrous histiocytoma based on detection of the EWSR1 gene translocation. J. Dermatol. 2021, 48, e215–e216. [CrossRef]
Publisher’s Note: MDPI stays neutral with regard to jurisdictional claims in published maps and institutional affiliations. |
© 2022 by the authors. Licensee MDPI, Basel, Switzerland. This article is an open access article distributed under the terms and conditions of the Creative Commons Attribution (CC BY) license (https://creativecommons.org/licenses/by/4.0/).
Share and Cite
Cazzato, G.; Lupo, C.; Casatta, N.; Riefoli, F.; Marzullo, A.; Colagrande, A.; Cascardi, E.; Trabucco, S.M.R.; Ingravallo, G.; Moretti, B.; et al. Angiomatoid Fibrous Histiocytoma (AFH) of the Right Arm: An Exceptional Case with Pulmonary Metastasis and Confirmatory EWSR1::CREB1 Translocation. Diagnostics 2022, 12, 2616. https://doi.org/10.3390/diagnostics12112616
Cazzato G, Lupo C, Casatta N, Riefoli F, Marzullo A, Colagrande A, Cascardi E, Trabucco SMR, Ingravallo G, Moretti B, et al. Angiomatoid Fibrous Histiocytoma (AFH) of the Right Arm: An Exceptional Case with Pulmonary Metastasis and Confirmatory EWSR1::CREB1 Translocation. Diagnostics. 2022; 12(11):2616. https://doi.org/10.3390/diagnostics12112616
Chicago/Turabian StyleCazzato, Gerardo, Carmelo Lupo, Nadia Casatta, Flavia Riefoli, Andrea Marzullo, Anna Colagrande, Eliano Cascardi, Senia Maria Rosaria Trabucco, Giuseppe Ingravallo, Biagio Moretti, and et al. 2022. "Angiomatoid Fibrous Histiocytoma (AFH) of the Right Arm: An Exceptional Case with Pulmonary Metastasis and Confirmatory EWSR1::CREB1 Translocation" Diagnostics 12, no. 11: 2616. https://doi.org/10.3390/diagnostics12112616
APA StyleCazzato, G., Lupo, C., Casatta, N., Riefoli, F., Marzullo, A., Colagrande, A., Cascardi, E., Trabucco, S. M. R., Ingravallo, G., Moretti, B., Maiorano, E., Pesce, V., & Resta, L. (2022). Angiomatoid Fibrous Histiocytoma (AFH) of the Right Arm: An Exceptional Case with Pulmonary Metastasis and Confirmatory EWSR1::CREB1 Translocation. Diagnostics, 12(11), 2616. https://doi.org/10.3390/diagnostics12112616

