Cardiac Implantable Electronic Devices in Different Anatomical Types of Persistent Left Superior Vena Cava: Case Series and Brief Review of the Literature
Abstract
1. Introduction
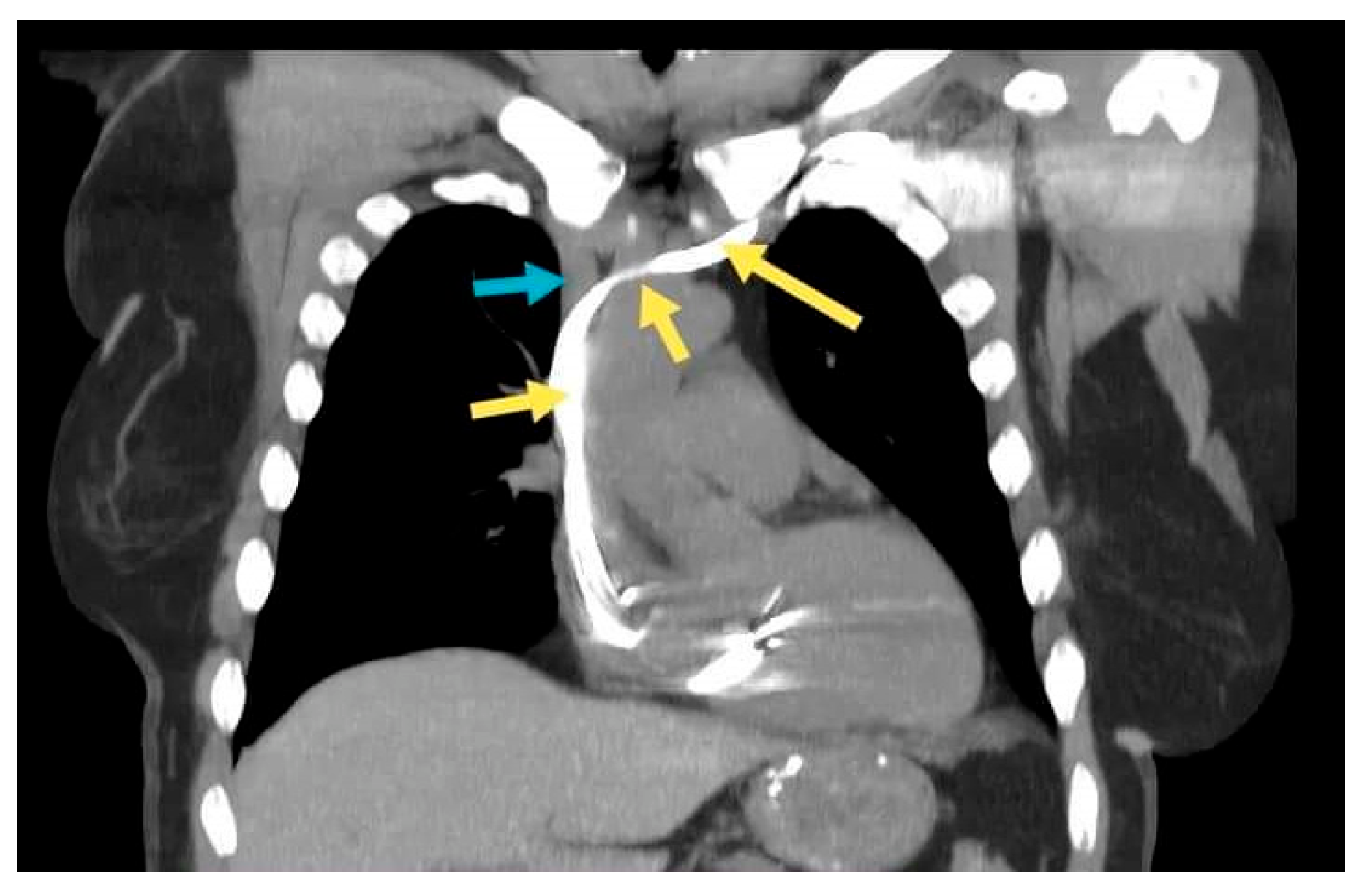
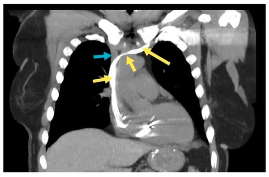
2. Case Reports
2.1. Case 1. (Type IIIB)
2.2. Case 2. (Type IIIa)
2.3. Case 3. (Type II)
2.4. Case 4. (Type IIIB)
3. Discussion
3.1. Embryological Development
3.2. Diagnosis
3.3. Clinical Implication
4. Conclusions
Author Contributions
Funding
Institutional Review Board Statement
Informed Consent Statement
Data Availability Statement
Conflicts of Interest
References
- Ruano, C.A.; Marinho-da-Silva, A.; Donato, P. Congenital Thoracic Venous Anomalies in Adults: Morphologic MR Imaging. Curr. Probl. Diagn Radiol. 2015, 44, 337–345. [Google Scholar] [CrossRef] [PubMed]
- Kowalski, M.; Maynard, R.; Ananthasubramaniam, K. Imaging of persistent left sided superior vena cava with echocardiography and multi-slice computed tomography: Implications for daily practice. Cardiol. J. 2011, 18, 332–336. [Google Scholar] [PubMed]
- Tyrak, K.W.; Holda, M.K.; Koziej, M.; Piątek, K.; Klimek-Piotrowska, W. Persistent left superior vena cava. Cardiovasc. J. Afr. 2017, 28, e1–e4. [Google Scholar] [CrossRef] [PubMed]
- Schummer, W.; Schummer, C.; Fröber, R. Persistent left superior vena cava and central venous catheter position: Clinical impact illustrated by four cases. Surg. Radiol. Anat. 2003, 25, 315–321. [Google Scholar] [CrossRef] [PubMed]
- Demșa, I.; Crișu, D.; Haba, C.M.Ș.; Ursaru, A.M.; Afrăsânie, V.A.; Costache, I.I.; Petriș, A.O.; Tesloianu, D.N. Persistent Left Superior Vena Cava with Absent Right Superior Vena Cava and Discrete Subaortic Stenosis Diagnosed in a Patient with Sick Sinus Syndrome: A Case Report and Brief Review of the Literature. Diagnostics 2020, 10, 847. [Google Scholar] [CrossRef]
- Haba, S.M.C.; Ursaru, A.M.; Petriș, A.O.; Popescu, Ș.E.; Tesloianu, N.D. Implantation of a Dual-Chamber Automatic Cardioverter Defibrillator in a Patient with Persistent Left Superior Vena Cava: Case Report and Brief Literature Review. Diagnostics 2020, 10, 1071. [Google Scholar] [CrossRef]
- ESC Guidelines for the management of patients with ventricular arrhythmias and the prevention of sudden cardiac death: Developed by the task force for the management of patients with ventricular arrhythmias and the prevention of sudden cardiac death of the European Society of Cardiology (ESC) Endorsed by the Association for European Paediatric and Congenital Cardiology (AEPC). Eur. Heart J. 2022, 27, 2099–2140.
- Zipes, D.P.; Camm, A.J.; Borggrefe, M.; Buxton, A.E.; Chaitman, B.; Fromer, M.; Gregoratos, G.; Klein, G.; Moss, A.J.; Myerburg, R.J.; et al. ESC Guidelines on cardiac pacing and cardiac resynchronization therapy: Developed by the Task Force on cardiac pacing and cardiac resynchronization therapy of the European Society of Cardiology (ESC) With the special contribution of the European Heart Rhythm Association (EHRA). Eur. Heart J. 2021, 42, 3427–3520. [Google Scholar]
- McDonagh, T.A.; Metra, M.; Adamo, M.; Gardner, R.S.; Baumbach, A.; Böhm, M.; Burri, H.; Butler, J.; Čelutkienė, J.; Chioncel, O.; et al. ESC Guidelines for the diagnosis and treatment of acute and chronic heart failure: Developed by the Task Force for the diagnosis and treatment of acute and chronic heart failure of the European Society of Cardiology (ESC) With the special contribution of the Heart Failure Association (HFA) of the ESC. Eur. Heart J. 2021, 42, 3599–3726. [Google Scholar]
- Sheikh, A.S.; Mazhar, S. Persistent Left Superior Vena Cava with Absent Right Superior Vena Cava: Review of the Literature and Clinical Implications. Echocardiography 2014, 31, 674–679. [Google Scholar] [CrossRef]
- Ratliff, H.L.; Yousufuddin, M.; Lieving, W.R.; Watson, B.E.; Malas, A.; Rosencrance, G.; McCowan, R.J. Persistent left superior vena cava: Case reports and clinical implications. Int. J. Cardiol. 2006, 113, 242–246. [Google Scholar] [CrossRef]
- Jiang, M.; Shen, X.; Zhou, S.; Mao, J.; He, B. Clinical consideration of cardiac pacemaker implantation through a persistent left superior vena cava with an absent right superior vena cava. Int. J. Cardiol. 2012, 159, e59–e60. [Google Scholar] [CrossRef]
- Azizova, A.; Onder, O.; Arslan, S.; Ardali, S.; Hazirolan, T. Persistent left superior vena cava: Clinical importance and differential diagnoses. Insights Imaging 2020, 11, 110. [Google Scholar] [CrossRef]
- Cheng, Z.; Deng, H.; Chen, T.; Gao, P.; Fang, Q. Implantation of a pacemaker in a patient with persistent left superior vena cava and absence of right superior vena cava. Int. J. Cardiol. 2013, 168, e53–e54. [Google Scholar] [CrossRef]
- Stewart, J.A.; Fraker, T.D., Jr.; Slosky, D.A.; Wise, N.K.; Kisslo, J.A. Detection of persistent left superior vena cava by two-dimensional contrast echocardiography. J. Clin. Ultrasound 1979, 7, 357–360. [Google Scholar] [CrossRef]
- Yuce, M.; Kizilkan, N.; Kus, E.; Davutoglu, V.; Sari, I. Giant coronary sinus and absent right superior vena cava. Vasa 2011, 40, 65–67. [Google Scholar] [CrossRef]
- Contrast echocardiography. In Feigenbaum’s Echocardiography, 6th ed.; Feigenbaum, H., Armstrong, W.F., Ryan, T., Eds.; Lippincott Williams and Wilkins: Philadelphia, PA, USA, 2005. [Google Scholar]
- Hsiao, S.-H.; Lee, D.; Hsu, T.L.; Mar, G.Y.; Tseng, C.J.; Chiao, C.-D.; Chiou, C.-W.; Liu, C.P.; Chiang, H.T. Diagnosis of an isolated persistent left side superior vena cava by contrast echocardiography compared with invasive angiographic study. Zhonghua Yi Xue Za Zhi 2002, 65, 320–325. [Google Scholar]
- He, H.; Li, B.; Ma, Y.; Zhang, Y.; Ye, C.; Mei, C.; Yu, S.; Dai, B.; Liu, Y. Catheterization in a patient with end-stage renal disease through persistent left superior vena cava: A rare case report and literature review. BMC Nephrol 2019, 20, 202. [Google Scholar] [CrossRef]
- Hwang, C.; Wu, T.J.; Doshi, R.N.; Peter, C.T.; Chen, P.S. Vein of Marshall cannulation for the analysis of electrical activity in patients with focal atrial fibrillation. Circulation 2000, 101, 1503–1505. [Google Scholar] [CrossRef]
- Kim, Y.G.; Han, S.; Choi, J.I.; Lee, K.N.; Baek, Y.S.; Uhm, J.S.; Shim, J.; Kim, J.S.; Park, S.W.; Hwang, C.; et al. Impact of persistent left superior vena cava on radiofrequency catheter ablation in patients with atrial fibrillation. EP. Eur. 2019, 254, 1824–1832. [Google Scholar] [CrossRef]
- Dong, J.; Zrenner, B.; Schmitt, C. Existence of muscles surrounding the persistent left superior vena cava demonstrated by electroanatomical mapping. Heart 2002, 88, 4. [Google Scholar] [CrossRef] [PubMed]
- Umar, F.; Alzuwam, A.; Osman, F. Dual-chamber pacemaker in persistent left superior vena cava. Heart 2011, 97, 1360. [Google Scholar] [CrossRef] [PubMed]
- Demirtürk, O.S.; Gümüs, A.; Ülger, M.H.; Güvener, M. An absent right superior vena cava with a persistent left superior vena cava combined with the presence of a ventricular septal defect in a pediatric patient: Implications for surgical correction. Turk. J. Thorac. Cardiovasc. Surg. 2012, 20, 638–640. [Google Scholar] [CrossRef][Green Version]
- Girerd, N.; Gressard, A.; Berthezene, Y.; Lantelme, P. Persistent left superior vena cava with absent right superior vena cava: A difficult cardiac pacemaker implantation. Int. J. Cardiol. 2009, 132, e117–e119. [Google Scholar] [CrossRef]
- Fraser, R.; Dovrkin, J.; Rosall, R.; Eidem, R. Left superior vena cava. Am. J. Med. 1962, 31, 711–714. [Google Scholar] [CrossRef]






Publisher’s Note: MDPI stays neutral with regard to jurisdictional claims in published maps and institutional affiliations. |
© 2022 by the authors. Licensee MDPI, Basel, Switzerland. This article is an open access article distributed under the terms and conditions of the Creative Commons Attribution (CC BY) license (https://creativecommons.org/licenses/by/4.0/).
Share and Cite
Adavidoaei, C.G.; Haba, A.M.; Costache, I.I.; Onofrei, V.; Haba, C.M.S.; Rezus, C.; Ursaru, A.-M.; Tesloianu, N.D. Cardiac Implantable Electronic Devices in Different Anatomical Types of Persistent Left Superior Vena Cava: Case Series and Brief Review of the Literature. Diagnostics 2022, 12, 2596. https://doi.org/10.3390/diagnostics12112596
Adavidoaei CG, Haba AM, Costache II, Onofrei V, Haba CMS, Rezus C, Ursaru A-M, Tesloianu ND. Cardiac Implantable Electronic Devices in Different Anatomical Types of Persistent Left Superior Vena Cava: Case Series and Brief Review of the Literature. Diagnostics. 2022; 12(11):2596. https://doi.org/10.3390/diagnostics12112596
Chicago/Turabian StyleAdavidoaei, Cosmin Gabriel, Ana Maria Haba, Irina Iuliana Costache, Viviana Onofrei, Cristian Mihai Stefan Haba, Ciprian Rezus, Andreea-Maria Ursaru, and Nicolae Dan Tesloianu. 2022. "Cardiac Implantable Electronic Devices in Different Anatomical Types of Persistent Left Superior Vena Cava: Case Series and Brief Review of the Literature" Diagnostics 12, no. 11: 2596. https://doi.org/10.3390/diagnostics12112596
APA StyleAdavidoaei, C. G., Haba, A. M., Costache, I. I., Onofrei, V., Haba, C. M. S., Rezus, C., Ursaru, A.-M., & Tesloianu, N. D. (2022). Cardiac Implantable Electronic Devices in Different Anatomical Types of Persistent Left Superior Vena Cava: Case Series and Brief Review of the Literature. Diagnostics, 12(11), 2596. https://doi.org/10.3390/diagnostics12112596

