Sudden Cardiac Death and Ex-Situ Post-Mortem Cardiac Magnetic Resonance Imaging: A Morphological Study Based on Diagnostic Correlation Methodology
Abstract
:1. Introduction
2. Materials and Methods
2.1. Selected Cases
2.2. Technical Heart Preparation and MRI Protocol
- Balanced Turbo Field Echo (b-TFE) survey: (thickness 10 mm, field of view (FOV) 450 mm, Time of Echo (TE) 1 ms, Time of Repetition (TR) 3 ms);
- Turbo Field Echo (TFE) T1-3D sequence weighted in axial: (thickness 1 mm, FOV 256 mm, NSA 1, TE 3.4 ms, TR 7.4 ms, Time Inversion (TI) 862 ms);
- T1 Spin Echo (SE) Spectral pre-saturation inversion recovery (SPIR) sequence weighted in axial: (thickness 3.5 mm, FOV 230 mm, NSA 2, TE 15 ms, TR 583 ms);
- T2-3D VISTA (Volume Isotropic Turbo-Spin Echo Acquisition) sequence weighted in axial plane: (thickness 2 mm, FOV 230 mm, NSA 1, TE 227 ms, TR 2000 ms);
- Short Tau Inversion Recovery (STIR) sequence weighted in axial plane: (thickness 5 mm, FOV 270 mm, NSA 3, TE 70 ms, TR 4281 ms);
- T2 (Fast Field Echo) FFE in the axial plane (thickness 5 mm, FOV 226 mm, NSA 2, TE 23 ms, TR 620 ms);
- 3D b-FFE in the axial plane (thickness 1 mm, FOV 180 mm, NSA 2, TE 4 ms, TR 7 ms).
2.3. Imaging Analysis
2.4. Pathological Evaluation
3. Results
3.1. Imaging Evaluation
3.1.1. Heart A and B
3.1.2. Heart C
PMCMR
Coronary-MR
3.1.3. Heart D
PMCMR
Coronary-MR
3.1.4. Heart E
PMCMR
Coronary-MR
3.2. Pathological Evaluation
3.2.1. Heart A and B
3.2.2. Heart C
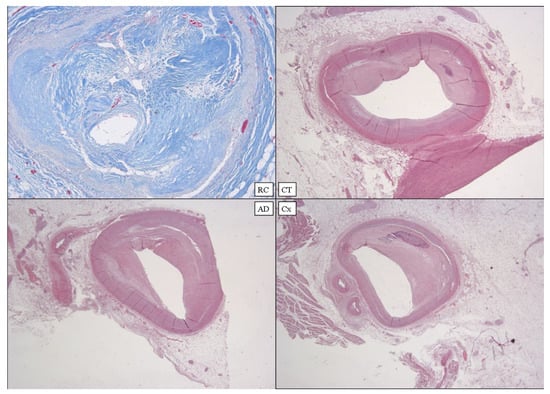
- left ventricle: in multiple fields, the myocardial architecture is altered by the presence of extensive areas of fibrotic substitution of the myocardial tissue and by interstitial and perivasal fibrosis that interrupt myocardial continuity, a characteristic mostly represented at the second section and the lateral and posterior walls, above all if compared to the anterior wall at the same section (Figure 10A,C).
- septum: second section, immediately below the endocardium pertaining to the left ventricle, foci of myocells characterized by sarcorexis, with transverse hypereosinophilic bands and contiguous stretched fibers, separated from each other by the presence of amorphous eosinophilic material (Figure 10B); fragmentation of the whole myocell (pancellular lesion) in a pathological band with intense hypereosinophilia of the hypercontracted myocardial cells, extremely short sarcomeres, highly thickened Z lines, and rexis of the myofibrillar apparatus into cross-fiber, anomalous and irregular (Figure 10D,E). Pathological bands were formed by segments of hypercontracted and coagulated sarcomeres.
- The second pattern associated with the previous one was represented by a unique band of 10–20 hypercontracted sarcomeres close to the intercalated disc with a typical aspect of paradiscal lesion (Figure 10F). In this case, the band assumes a dark, dense ultrastructural aspect with very thin Z lines and myofibrils and mitochondria squeezed in the normal portion of the myocyte.
3.2.3. Heart D
3.2.4. Heart E
3.3. Cause of Death
3.3.1. Case C
3.3.2. Case D
3.3.3. Case E
4. Discussion
5. Conclusions
Author Contributions
Funding
Institutional Review Board Statement
Informed Consent Statement
Data Availability Statement
Acknowledgments
Conflicts of Interest
References
- Flach, P.M.; Thali, M.J.; Germerott, T. Times have changed! Forensic radiology—A new challenge for radiology and forensic pathology. AJR Am. J. Roentgenol. 2014, 202, W325–W334. [Google Scholar] [CrossRef]
- Cafarelli, F.P.; Grilli, G.; Zizzo, G.; Bertozzi, G.; Giuliani, N.; Mahakkanukrauh, P.; Pinto, A.; Guglielmi, G. Postmortem imaging: An update. Semin. Ultrasound CT MRI 2019, 40, 86–93. [Google Scholar] [CrossRef] [PubMed]
- Busardò, F.P.; Frati, P.; Guglielmi, G.; Grilli, G.; Pinto, A.; Rotondo, A.; Panebianco, V.; Fineschi, V. Postmortem-computed tomography and postmortem-computed tomography-angiography: A focused update. Radiol. Med. 2015, 120, 810–823. [Google Scholar] [CrossRef] [PubMed]
- Ruder, T.D.; Thali, M.J.; Hatch, G.M. Essentials of forensic post-mortem MR imaging in adults. Br. J. Radiol. 2014, 87, 20130567. [Google Scholar] [CrossRef] [Green Version]
- Addison, S.; Arthurs, O.J.; Thayyil, S. Post-mortem MRI as an alternative to non-forensic autopsy in foetuses and children: From research into clinical practice. Br. J. Radiol. 2014, 87, 20130621. [Google Scholar] [CrossRef] [PubMed] [Green Version]
- Lucena, J.S. Sudden cardiac death. Forensic Sci. Res. 2019, 4, 199. [Google Scholar] [CrossRef]
- Cafarelli, F.P.; Macarini, L.; Cipolloni, L.; Maglietta, F.; Guglielmi, G.; Sessa, F.; Pennisi, A.; Cantatore, S.; Bertozzi, G. Ex situ heart magnetic resonance imaging and angiography: Feasibility study for forensic purposes. Forensic Imaging 2021, 25, 200442. [Google Scholar] [CrossRef]
- Austen, W.G.; Edwards, J.E.; Frye, R.L.; Gensini, G.G.; Gott, V.L.; Griffith, L.S.; Mc Goon, D.C.; Murphy, M.L.; Roe, B.B. A reporting system on patients evaluated for coronary artery disease. Report of the Ad Hoc Committee for grading of coronary artery disease, council on cardiovascular surgery, American Heart Association. Circulation 1975, 51, 5–40. [Google Scholar] [CrossRef] [Green Version]
- Jiangping, S.; Zhe, Z.; Wei, W.; Yunhu, S.; Jie, H.; Hongyue, W.; Hong, Z.; Shengshou, H. Assessment of coronary artery stenosis by coronary angiography. Circ. Cardiovasc. Interv. 2013, 6, 262–268. [Google Scholar] [CrossRef] [PubMed] [Green Version]
- Basso, C.; Aguilera, B.; Banner, J.; Cohle, S.; D’Amati, G.; de Gouveia, R.H.; di Gioia, C.; Fabre, A.; Gallagher, P.J. Guidelines for autopsy investigation of sudden cardiac death: 2017 update from the Association for European Cardiovascular Pathology. Virchows Arch. 2017, 471, 691–705. [Google Scholar] [CrossRef] [PubMed] [Green Version]
- Schipke, J.; Brandenberger, C.; Rajces, A.; Manninger, M.; Alogna, A.; Post, H.; Mühlfeld, C. Assessment of cardiac fibrosis: A morphometric method comparison for collagen quantification. J. Appl. Physiol. 2017, 122, 1019–1030. [Google Scholar] [CrossRef] [PubMed]
- Arjmand, A.; Tsipouras, M.G.; Tzallas, A.T.; Forlano, R.; Manousou, P.; Giannakeas, N. Quantification of liver fibrosis-a comparative study. Appl. Sci. 2020, 10, 447. [Google Scholar] [CrossRef] [Green Version]
- Pomara, C.; Fineschi, V.; Scalzo, G.; Guglielmi, G. Virtopsy versus digital autopsy: Virtual autopsy. Radiol. Med. 2009, 114, 1367–1382. [Google Scholar] [CrossRef]
- Guidi, B.; Aquaro, G.D.; Gesi, M.; Emdin, M.; Di Paolo, M. Postmortem cardiac magnetic resonance in sudden cardiac death. Heart Fail. Rev. 2018, 23, 651–665. [Google Scholar] [CrossRef]
- Femia, G.; Langlois, N.; Raleigh, J.; Gray, B.; Othman, F.; Perumal, S.R.; Semsarian, C.; Puranik, R. Comparison of conventional autopsy with post-mortem magnetic resonance, computed tomography in determining the cause of unexplained death. Forensic Sci. Med. Pathol. 2021, 17, 10–18. [Google Scholar] [CrossRef]
- De Marco, E.; Vacchiano, G.; Frati, P.; La Russa, R.; Santurro, A.; Scopetti, M.; Guglielmi, G.; Fineschi, V. Evolution of post-mortem coronary imaging: From selective coronary arteriography to post-mortem CT-angiography and beyond. Radiol. Med. 2018, 123, 351–358. [Google Scholar] [CrossRef] [PubMed]
- Aquaro, G.D.; Guidi, B.; Biondi, F.; Chiti, E.; Santurro, A.; Scopetti, M.; Turillazzi, E.; Di Paolo, M. Post-mortem cardiac magnetic resonance for the diagnosis of hypertrophic cardiomyopathy. Diagnostics 2020, 10, 981. [Google Scholar] [CrossRef]
- Aquaro, G.D.; Di Paolo, M.; Guidi, B.; Ghabisonia, K.; Pucci, A.; Aringheri, G.; Gorgodze, N.; Veronica, M.; Chiti, E.; Burchielli, S.; et al. Post-mortem CMR in a model of sudden death due to myocardial ischemia: Validation with connexin-43. Eur. Radiol. 2021, 11, 8098–8107. [Google Scholar] [CrossRef]
- Jackowski, C.; Christe, A.; Sonnenschein, M.; Aghayev, E.; Thali, M.J. Postmortem unenhanced magnetic resonance imaging of myocardial infarction in correlation to histological infarction age characterization. Eur. Heart J. 2006, 27, 2459–2467. [Google Scholar] [CrossRef] [Green Version]
- Jackowski, C.; Schwendener, N.; Grabherr, S.; Persson, A. Post-mortem cardiac 3-T magnetic resonance imaging: Visualization of sudden cardiac death? J. Am. Coll. Cardiol. 2013, 62, 617–629. [Google Scholar] [CrossRef] [Green Version]
- Femia, G.; Langlois, N.; Raleigh, J.; Perumal, S.R.; Semsarian, C.; Puranik, R. Post-mortem cardiac magnetic resonance parameters in normal and diseased conditions. Cardiovasc. Diagn. Ther. 2021, 11, 373–382. [Google Scholar] [CrossRef]
- Baroldi, G.; Mittleman, R.E.; Parolini, M.; Silver, M.D.; Fineschi, V. Myocardial contraction bands. Definition, quantification and significance in forensic pathology. Int. J. Legal Med. 2001, 115, 142–151. [Google Scholar] [CrossRef] [PubMed]
- Fineschi, V.; Silver, M.D.; Karch, S.B.; Parolini, M.; Turillazzi, E.; Pomara, C.; Baroldi, G. Myocardial disarray: An architectural disorganization linked with adrenergic stress? Int. J. Cardiol. 2005, 99, 277–282. [Google Scholar] [CrossRef] [PubMed]
- Femia, G.; Semsarian, C.; Langlois, N.; McGuire, M.; Raleigh, J.; Taylor, A.; Puranik, A. Post-mortem imaging adjudicated sudden death: Causes and controversies. Heart. Lung Circ. 2019, 28, 15–21. [Google Scholar] [CrossRef] [PubMed]
- Turillazzi, E.; Bello, S.; Neri, M.; Riezzo, I.; Fineschi, V. Colloid cyst of the third ventricle, hypothalamus, and heart: A dangerous link for sudden death. Diagn Pathol. 2012, 7, 144. [Google Scholar] [CrossRef] [PubMed] [Green Version]
- Turillazzi, E.; Baroldi, G.; Silver, M.D.; Parolini, M.; Pomara, C.; Fineschi, V. A systematic study of a myocardial lesion: Colliquative myocytolysis. Int. J. Cardiol. 2005, 104, 152–157. [Google Scholar] [CrossRef]
- Turillazzi, E.; Karch, S.B.; Neri, M.; Pomara, C.; Riezzo, I.; Fineschi, V. Confocal laser scanning microscopy. Using new technology to answer old questions in forensic investigations. Int. J. Legal Med. 2008, 122, 173–177. [Google Scholar] [CrossRef]
- Schmidt, T.M.; Fischer, R.; Acar, S.; Lorenzen, M.; Heinemann, A.; Wedegärtner, U.; Adam, G.; Yamamura, J. DWI of the brain: Postmortal DWI of the brain in comparison with in vivo data. Forensic Sci. Int. 2012, 220, 180–183. [Google Scholar] [CrossRef]
- Ebata, K.; Noriki, S.; Inai, K.; Kimura, H. Changes in magnetic resonance imaging relaxation time on postmortem magnetic resonance imaging of formalin-fixed human normal heart tissue. BMC Med. Imaging 2021, 21, 1–12. [Google Scholar] [CrossRef]
- Bolliger, S.A.; Thali, M.J. Imaging and virtual autopsy: Looking back and forward. Philos. Trans. R. Soc. B Biol. Sci. 2015, 370, 20140253. [Google Scholar] [CrossRef]
- La Russa, R.; Catalano, C.; Di Sanzo, M.; Scopetti, M.; Gatto, V.; Santurro, A.; Viola, R.V.; Panebianco, V.; Frati, P.; Fineschi, V. Postmortem computed tomography angiography (PMCTA) and traditional autopsy in cases of sudden cardiac death due to coronary artery disease: A systematic review and meta-analysis. Radiol. Med. 2019, 124, 109–117. [Google Scholar] [CrossRef] [PubMed]
- Ampanozi, G.; Halbheer, D.; Ebert, L.C.; Thali, M.J.; Held, U. Postmortem imaging findings and cause of death determination compared with autopsy: A systematic review of diagnostic test accuracy and meta-analysis. Int. J. Legal Med. 2020, 134, 321–337. [Google Scholar] [CrossRef] [PubMed]












| Cases | Age | Sex | Autopsy Findings | Heart Measures (CM) | Heart Weight (G) | Maximum Wall Thickness (CM) |
|---|---|---|---|---|---|---|
| A | 22 | Male | Widespread skull fractures and brain injury from single-shot gunshot | 13.2 × 11.4 × 4.5 | 330 | 1.3 |
| B | 26 | Female | Cranial fractures and subdural and subarachnoid haemorrhage from blunt trauma | 10.5 × 10 × 3.5 | 265 | 1.2 |
| C | 47 | Male | Diffuse vascular atheromasia | 1.8 × 12 × 4.5 | 460 | 1.4 |
| D | 44 | Female | Obesity, diffuse visceral and epicardial fat | 12 × 11 × 3 | 415 | 1.4 |
| E | 72 | Male | Diffuse vascular atheromasia | 12 × 11.5 × 7 | 550 | 1.9 |
Publisher’s Note: MDPI stays neutral with regard to jurisdictional claims in published maps and institutional affiliations. |
© 2022 by the authors. Licensee MDPI, Basel, Switzerland. This article is an open access article distributed under the terms and conditions of the Creative Commons Attribution (CC BY) license (https://creativecommons.org/licenses/by/4.0/).
Share and Cite
Bertozzi, G.; Cafarelli, F.P.; Ferrara, M.; Di Fazio, N.; Guglielmi, G.; Cipolloni, L.; Manetti, F.; La Russa, R.; Fineschi, V. Sudden Cardiac Death and Ex-Situ Post-Mortem Cardiac Magnetic Resonance Imaging: A Morphological Study Based on Diagnostic Correlation Methodology. Diagnostics 2022, 12, 218. https://doi.org/10.3390/diagnostics12010218
Bertozzi G, Cafarelli FP, Ferrara M, Di Fazio N, Guglielmi G, Cipolloni L, Manetti F, La Russa R, Fineschi V. Sudden Cardiac Death and Ex-Situ Post-Mortem Cardiac Magnetic Resonance Imaging: A Morphological Study Based on Diagnostic Correlation Methodology. Diagnostics. 2022; 12(1):218. https://doi.org/10.3390/diagnostics12010218
Chicago/Turabian StyleBertozzi, Giuseppe, Francesco Pio Cafarelli, Michela Ferrara, Nicola Di Fazio, Giuseppe Guglielmi, Luigi Cipolloni, Federico Manetti, Raffaele La Russa, and Vittorio Fineschi. 2022. "Sudden Cardiac Death and Ex-Situ Post-Mortem Cardiac Magnetic Resonance Imaging: A Morphological Study Based on Diagnostic Correlation Methodology" Diagnostics 12, no. 1: 218. https://doi.org/10.3390/diagnostics12010218
APA StyleBertozzi, G., Cafarelli, F. P., Ferrara, M., Di Fazio, N., Guglielmi, G., Cipolloni, L., Manetti, F., La Russa, R., & Fineschi, V. (2022). Sudden Cardiac Death and Ex-Situ Post-Mortem Cardiac Magnetic Resonance Imaging: A Morphological Study Based on Diagnostic Correlation Methodology. Diagnostics, 12(1), 218. https://doi.org/10.3390/diagnostics12010218

