Macular Microvascular Modifications in Progressive Lamellar Macular Holes
Abstract
:1. Introduction
2. Materials and Methods
Statistical Analysis
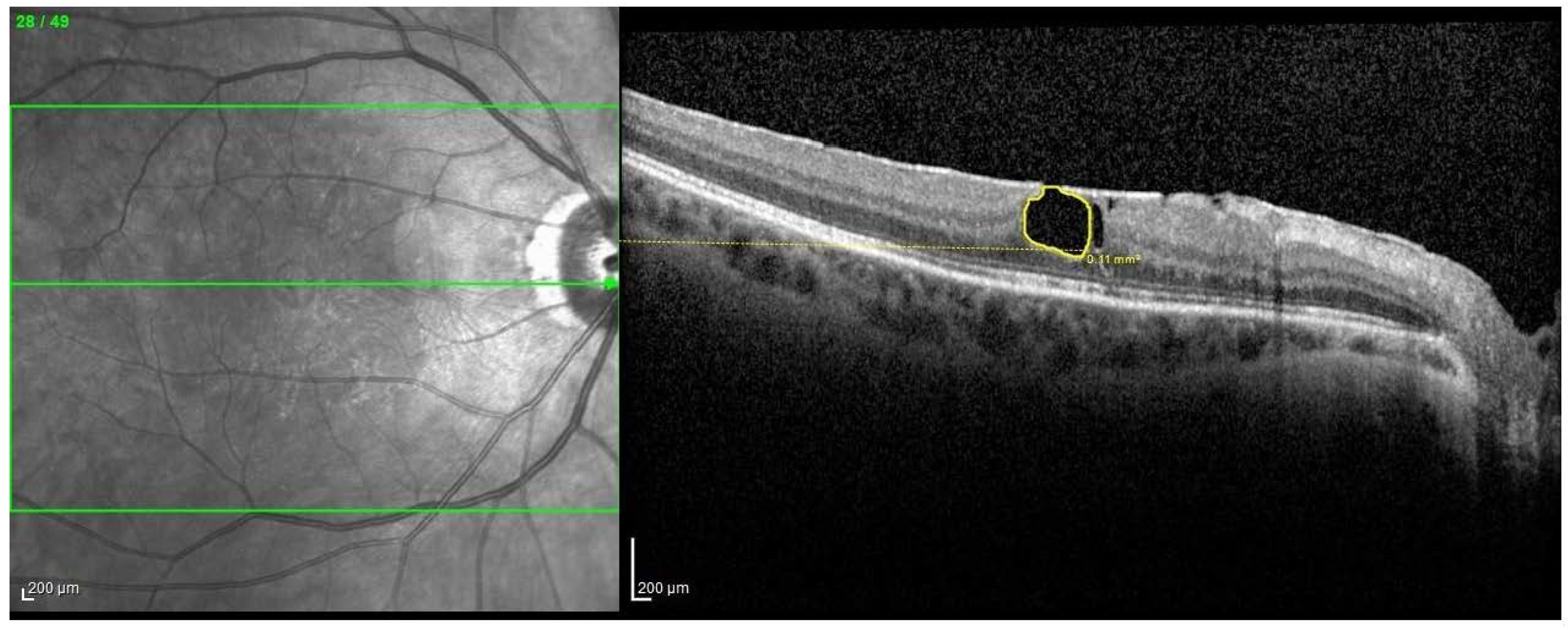
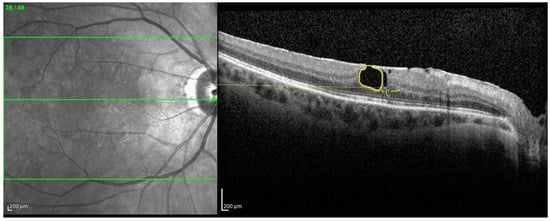
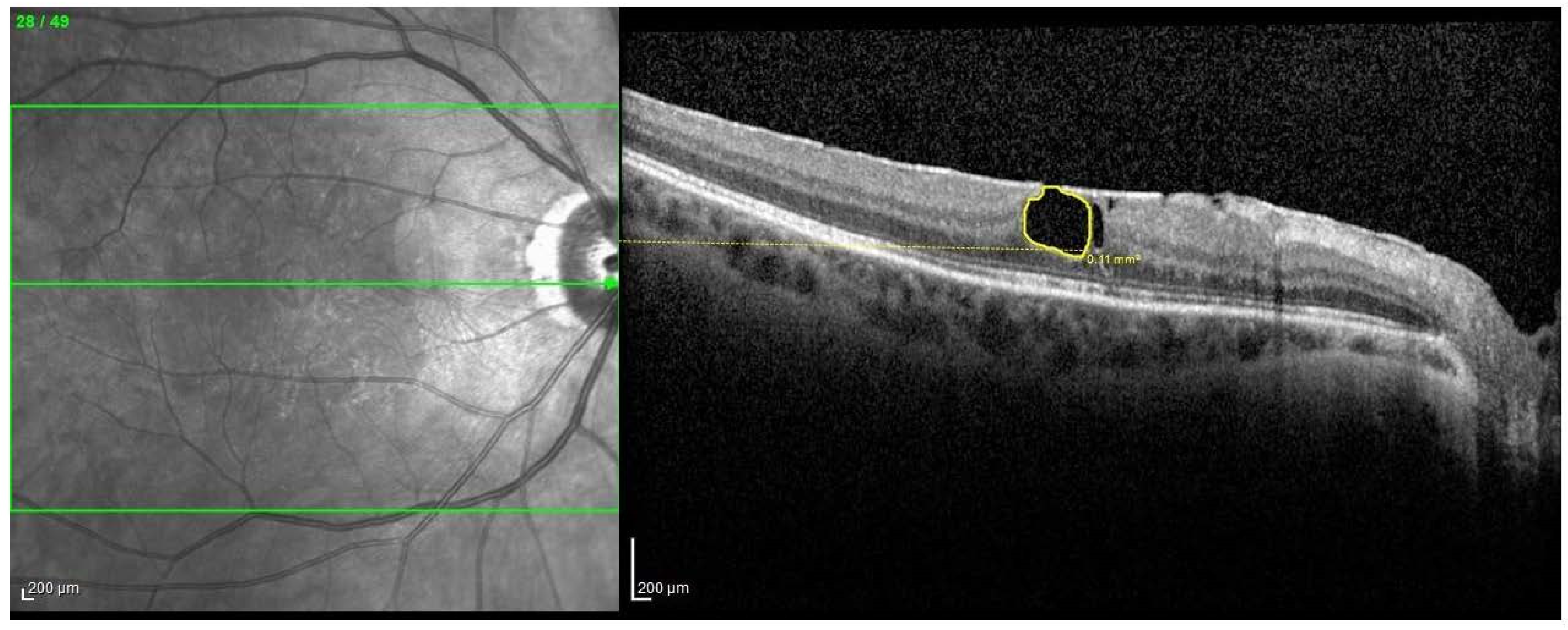
3. Results
4. Discussion
Author Contributions
Funding
Institutional Review Board Statement
Informed Consent Statement
Data Availability Statement
Conflicts of Interest
References
- Frisina, R.; Pilotto, E.; Midena, E. Lamellar Macular Hole: State of the Art. Ophthalmic Res. 2019, 61, 73–82. [Google Scholar] [CrossRef] [PubMed]
- Meuer, S.M.; Myers, C.E.; Klein, B.E.; Swift, M.K.; Huang, Y.; Gangaputra, S.; Pak, J.W.; Danis, R.P.; Klein, R. The Epidemiology of Vitreoretinal Interface Abnormalities as Detected by Spectral-Domain Optical Coherence Tomography. Ophthalmology 2015, 122, 787–795. [Google Scholar] [CrossRef] [Green Version]
- Liesenborghs, I.; De Clerck, E.E.; Berendschot, T.T.; Goezinne, F.; Schram, M.; Henry, R.M.; Stehouwer, C.D.; Webers, C.A.; Schouten, J.S. Prevalence of optical coherence tomography detected vitreomacular interface disorders: The Maastricht Study. Acta Ophthalmol. 2018, 96, 729–736. [Google Scholar] [CrossRef] [PubMed] [Green Version]
- Gass, J.D. Lamellar macular hole: A complication of cystoid macular edema after cataract extraction: A clinicopathologic case report. Trans. Am. Ophthalmol. Soc. 1975, 73, 230–250. [Google Scholar]
- Haouchine, B.; Massin, P.; Tadayoni, R.; Erginay, A.; Gaudric, A. Diagnosis of macular pseudoholes and lamellar macular holes by optical coherence tomography. Am. J. Ophthalmol. 2004, 138, 732–739. [Google Scholar] [CrossRef] [PubMed]
- Govetto, A.; Dacquay, Y.; Farajzadeh, M.; Platner, E.; Hirabayashi, K.; Hosseini, H.; Schwartz, S.D.; Hubschman, J.-P. Lamellar Macular Hole: Two Distinct Clinical Entities? Am. J. Ophthalmol. 2016, 164, 99–109. [Google Scholar] [CrossRef] [PubMed]
- Hubschman, J.P.; Govetto, A.; Spaide, R.F.; Schumann, R.; Steel, D.; Figueroa, M.S.; Sebag, J.; Gaudric, A.; Staurenghi, G.; Haritoglou, C.; et al. Optical coherence tomography-based consensus definition for lamellar macular hole. Br. J. Ophthalmol. 2020, 104, 1741–1747. [Google Scholar] [CrossRef] [PubMed] [Green Version]
- Zampedri, E.; Romanelli, F.; Semeraro, F.; Parolini, B.; Frisina, R. Spectral-domain optical coherence tomography findings in idiopathic lamellar macular hole. Graefe’s Arch. Clin. Exp. Ophthalmol. 2017, 255, 699–707. [Google Scholar] [CrossRef]
- Smiddy, W.E.; Gass, J.D. Masquerades of macular holes. Ophthalmic Surg. 1995, 26, 16–24. [Google Scholar]
- Dell’Omo, R.; Filippelli, M.; De Turris, S.; Govetto, A.; Napolitano, P.; Dell’Omo, E.; Costagliola, C. Multimodal Imaging of Lamellar Macular Holes. J. Ophthalmol. 2021, 2021, 1–17. [Google Scholar] [CrossRef]
- Spaide, R.F. Measurable Aspects of the Retinal Neurovascular Unit in Diabetes, Glaucoma, and Controls. Am. J. Ophthalmol. 2019, 207, 395–409. [Google Scholar] [CrossRef]
- Yeo, J.H.; Oh, R.; Lee, J.Y.; Kim, J.-G.; Yoon, Y.H.; Kim, Y.J. Optical coherence tomography angiographic findings of lamellar macular hole: Comparisons between tractional and degenerative subtypes. Sci. Rep. 2020, 10, 1–9. [Google Scholar] [CrossRef]
- Metea, M.R.; Newman, E.A. Signalling within the neurovascular unit in the mammalian retina. Exp. Physiol. 2007, 92, 635–640. [Google Scholar] [CrossRef] [PubMed]
- Feng, Y.; Busch, S.; Gretz, N.; Hoffmann, S.; Hammes, H.-P. Crosstalk in the Retinal Neurovascular Unit—Lessons for the Diabetic Retina. Exp. Clin. Endocrinol. Diabetes 2012, 120, 199–201. [Google Scholar] [CrossRef] [PubMed]
- Wareham, L.K.; Calkins, D.J. The Neurovascular Unit in Glaucomatous Neurodegeneration. Front. Cell Dev. Biol. 2020, 8, 452. [Google Scholar] [CrossRef] [PubMed]
- Roy, C.S.; Sherrington, C.S. On the Regulation of the Blood-supply of the Brain. J. Physiol. 1890, 11, 85–158. [Google Scholar] [CrossRef] [PubMed]
- Iadecola, C. Neurovascular regulation in the normal brain and in Alzheimer’s disease. Nat. Rev. Neurosci. 2004, 5, 347–360. [Google Scholar] [CrossRef]
- Hamel, E. Perivascular nerves and the regulation of cerebrovascular tone. J. Appl. Physiol. 2006, 100, 1059–1064. [Google Scholar] [CrossRef] [Green Version]
- Dell’Omo, R.; Filippelli, M.; De Turris, S.; Cimino, L.; Steel, D.H.; Pavesio, C.E.; Govetto, A.; Chehaibou, I.; Parmeggiani, F.; Romano, M.R.; et al. Fluorescein Angiography Findings in Eyes with Lamellar Macular Hole and Epiretinal Membrane Foveoschisis. Investig. Opthalmology Vis. Sci. 2021, 62, 34. [Google Scholar] [CrossRef]
- Shiihara, H.; Terasaki, H.; Sonoda, S.; Kakiuchi, N.; Shinohara, Y.; Tomita, M.; Sakamoto, T. Objective evaluation of size and shape of superficial foveal avascular zone in normal subjects by optical coherence tomography angiography. Sci. Rep. 2018, 8, 1–9. [Google Scholar] [CrossRef]
- Saint-Geniez, M.; Maharaj, A.S.R.; Walshe, T.E.; Tucker, B.; Sekiyama, E.; Kurihara, T.; Darland, D.C.; Young, M.J.; D’Amore, P.A. Endogenous VEGF Is Required for Visual Function: Evidence for a Survival Role on Müller Cells and Photoreceptors. PLoS ONE 2008, 3, e3554. [Google Scholar] [CrossRef] [PubMed] [Green Version]
- Govetto, A.; Hubschman, J.-P.; Sarraf, D.; Figueroa, M.S.; Bottoni, F.; Dell’Omo, R.; Curcio, C.A.; Seidenari, P.; Delledonne, G.; Gunzenhauser, R.; et al. The role of Müller cells in tractional macular disorders: An optical coherence tomography study and physical model of mechanical force transmission. Br. J. Ophthalmol. 2020, 104, 466–472. [Google Scholar] [CrossRef] [PubMed]
- Bringmann, A. Role of Muller cells in retinal degenerations. Front. Biosci. 2001, 6, 77–92. [Google Scholar] [CrossRef] [Green Version]
- Hosari, S.; Hohberger, B.; Theelke, L.; Sari, H.; Lucio, M.; Mardin, C.Y. OCT Angiography: Measurement of Retinal Macular Microvasculature with Spectralis II OCT Angiography—Reliability and Reproducibility. Ophthalmology 2019, 243, 75–84. [Google Scholar] [CrossRef] [PubMed]
- Campochiaro, P.A. Molecular pathogenesis of retinal and choroidal vascular diseases. Prog. Retin. Eye Res. 2015, 49, 67–81. [Google Scholar] [CrossRef] [Green Version]





| TL Group | ST Group | p | |
|---|---|---|---|
| Age | 73.8 (6.4) | 75.6 (6.8) | 0.45 |
| Sex | M = 7/14 (50%) | M = 3/14 (21.4%) | 0.24 |
| CV or dementia or previous stroke | 3/14 (21.4%) | 2/14 (14.3%) | 0.99 |
| Diabetes mellitus | 2/14 (14.3%) | 1/14 (7.2%) | 0.99 |
| SAH | 8/14 (57.2%) | 6/14 (42.9%) | 0.46 |
| BCVA at baseline (Decimals) | 0.9 (0.12) | 0.9 (0.05) | 0.23 |
| BCVA at last follow up (Decimals) | 0.78 (0.09) | 0.9 (0.1) | <0.001 |
| Follow up duration (years) | 2.16 (0.43) | 2.37 (0.52) | 0.88 |
| SE (D) | −0.62 (1.34) | −0.44 (1.15) | 0.75 |
| Pseudophakia | 10/14 (71.4%) | 9/14 (64.3%) | 0.68 |
| IOP at baseline | 14.4 (2.6) | 15.1 (1.8) | 0.67 |
| IOP at last follow up | 15.2 (2.3) | 14.9 (2.1) | 0.72 |
| TL Group | ST Group | p | ||
|---|---|---|---|---|
| PVD | Complete | 5/14 (35.71%) | 6/14 (42.86%) | 0.99 |
| Incomplete | 7/14 (50%) | 5/14(35.71%) | 0.70 | |
| EZ disruption | 3/14 (21.43%) | 2/14 (14.28%) | 0.99 | |
| LHEP | 4/14 (28.57%) | 0/14 (0%) | 0.098 | |
| SCP | CFZ circularity | 0.51 ± 0.07 | 0.60 ± 0.08 | 0.003 |
| CFZ area (mm2) | 0.45 ± 0.11 | 0.40 ± 0.12 | 0.036 | |
| CFZ perimeter (mm) | 3.32 (0.36) | 2.89 (0.24) | 0.041 | |
| Foveal VD (%) | 16.35 ± 1.13 | 20.42 ± 1.78 | 0.012 | |
| Foveal PD (%) | 13.85 (1.18) | 18.98 (1.6) | 0.007 | |
| Parafoveal VD (%) | 0.44 ± 2.36 | 0.47 ± 2.13 | 0.071 | |
| Parafoveal PD (%) | 0.36 (2.77) | 0.43 (2.83) | 0.009 | |
| DCP | CFZ circularity | 0.55 (0.09) | 0.62 (0.07) | 0.003 |
| CFZ area (mm2) | 0.47 (0.18) | 0.43 (0.12) | 0.055 | |
| CFZ perimeter (mm) | 3.27 (0.22) | 2.95 (0.27) | 0.067 | |
| Foveal VD (%) | 19.21 ± 1.34 | 22.13 ± 1.59 | 0.087 | |
| Foveal PD (%) | 15.82 ± 1.69 | 20.10 ± 1.44 | 0.021 | |
| Parafoveal VD (%) | 0.47 ± 2.87 | 0.49 ± 2.52 | 0.147 | |
| Parafoveal PD (%) | 0.36 ± 2.11 | 0.45 ± 2.32 | 0.005 |
Publisher’s Note: MDPI stays neutral with regard to jurisdictional claims in published maps and institutional affiliations. |
© 2021 by the authors. Licensee MDPI, Basel, Switzerland. This article is an open access article distributed under the terms and conditions of the Creative Commons Attribution (CC BY) license (https://creativecommons.org/licenses/by/4.0/).
Share and Cite
Catania, F.; Allegrini, D.; Nembri, A.; Confalonieri, F.; Zollet, P.; Crincoli, E.; Romano, M.R. Macular Microvascular Modifications in Progressive Lamellar Macular Holes. Diagnostics 2021, 11, 1717. https://doi.org/10.3390/diagnostics11091717
Catania F, Allegrini D, Nembri A, Confalonieri F, Zollet P, Crincoli E, Romano MR. Macular Microvascular Modifications in Progressive Lamellar Macular Holes. Diagnostics. 2021; 11(9):1717. https://doi.org/10.3390/diagnostics11091717
Chicago/Turabian StyleCatania, Fiammetta, Davide Allegrini, Alessandra Nembri, Filippo Confalonieri, Piero Zollet, Emanuele Crincoli, and Mario R Romano. 2021. "Macular Microvascular Modifications in Progressive Lamellar Macular Holes" Diagnostics 11, no. 9: 1717. https://doi.org/10.3390/diagnostics11091717
APA StyleCatania, F., Allegrini, D., Nembri, A., Confalonieri, F., Zollet, P., Crincoli, E., & Romano, M. R. (2021). Macular Microvascular Modifications in Progressive Lamellar Macular Holes. Diagnostics, 11(9), 1717. https://doi.org/10.3390/diagnostics11091717

