Cytohistological Correlation in Pleural Effusions Based on the International System for Reporting Serous Fluid Cytopathology
Abstract
1. Introduction
2. Materials and Methods
2.1. Case Series and Data Gathering
- Submitted sample volume;
- Microscopic descriptions;
- The diagnosis that was performed and based only on the morphology of the cytology slides;
- Accompanying cellblock (if any) and cellblock diagnosis;
- Ancillary testing, which was performed directly on effusion material cytology slides.
- ND: Specimens providing no diagnostic information;
- NFM: Specimens comprised of mostly mesothelial cells without cytological atypia;
- AUS: Specimens with atypical cells but which lack either the criteria or cellularity to be included in the SFM or MAL categories. A diagnosis of AUS favors benignity;
- SFM: Specimens with atypical cells that strongly raise the suspicion of malignancy, but whose observation is limited by low cellularity of artifacts. A diagnosis of SFM favors malignancy;
- MAL: Specimens with overt features of malignancy, either primary or secondary.
2.2. Data Entry and Statistical Analysis
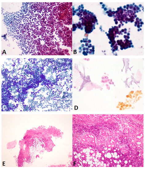
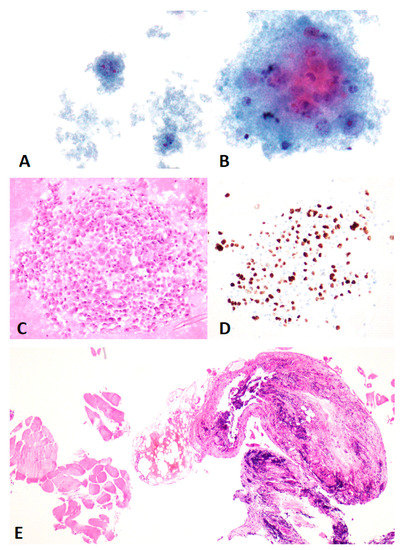
3. Results
3.1. Series Description
3.2. Cytological Diagnosis
3.3. Histologic Diagnosis, Clinical Data, and Other Ancillary Methods
3.4. Risk of Malignancy and Performance Analysis
4. Discussion
5. Conclusions
Author Contributions
Funding
Institutional Review Board Statement
Informed Consent Statement
Data Availability Statement
Conflicts of Interest
References
- Lee, Y.-M.; Hwang, J.-Y.; Son, S.-M.; Choi, S.-Y.; Lee, H.-C.; Kim, E.-J.; Han, H.-S.; An, J.Y.; Han, J.-H.; Lee, O.-J. Comparison of diagnostic accuracy between CellprepPlus® and ThinPrep® liquid-based preparations in effusion cytology. Diagn. Cytopathol. 2014, 42, 384–390. [Google Scholar] [CrossRef] [PubMed]
- Rossi, E.D.; Bd, T.B.; Schmitt, F.; Longatto-Filho, A. The role of liquid-based cytology and ancillary techniques in pleural and pericardic effusions: An institutional experience. Cancer Cytopathol. 2015, 123, 258–266. [Google Scholar] [CrossRef]
- Cibas, E.; Ducatman, B. Cytology: Diagnostic Principles and Clinical Correlates, 5th ed.; Elsevier: Philadelphia, PA, USA, 2020. [Google Scholar]
- DeBiasi, E.M.; Pisani, M.A.; Murphy, T.E.; Araujo, K.; Kookoolis, A.; Argento, A.C.; Puchalski, J. Mortality among patients with pleural effusion undergoing thoracentesis. Eur. Respir. J. 2015, 46, 495–502. [Google Scholar] [CrossRef]
- Loveland, P.; Christie, M.; Hammerschlag, G.; Irving, L.; Steinfort, D. Diagnostic yield of pleural fluid cytology in malignant effusions: An Australian tertiary centre experience. Intern. Med. J. 2018, 48, 1318–1324. [Google Scholar] [CrossRef]
- Farahani, S.J.; Baloch, Z. Are we ready to develop a tiered scheme for the effusion cytology? A comprehensive review and analysis of the literature. Diagn. Cytopathol. 2019, 47, 1145–1159. [Google Scholar] [CrossRef]
- Pinto, D.; Chandra, A.; Crothers, B.A.; Kurtycz, D.F.; Schmitt, F. The international system for reporting serous fluid cytopathology-diagnostic categories and clinical management. J. Am. Soc. Cytopathol. 2020, 9, 469–477. [Google Scholar] [CrossRef]
- Pinto, D.; Schmitt, F. Current applications of molecular testing on body cavity fluids. Diagn. Cytopathol. 2020. [Google Scholar] [CrossRef]
- Ali, S.Z.; Cibas, E.S. The Bethesda System for Reporting Thyroid Cytopathology: Definitions, Criteria, and Explanatory Notes; Springer: Berlin/Heidelberg, Germany, 2017. [Google Scholar]
- Chandra, A.; Crothers, B.; Kurtycz, D.; Schmitt, F. Announcement: The International System for Reporting Serous Fluid Cytopathology. Acta Cytol. 2019, 63, 349–351. [Google Scholar] [CrossRef]
- Crothers, B.A.; Chandra, A. Proceedings of the American Society of Cytopathology Companion Session at the 2019 United States and Canadian Academy of Pathology Meeting Part 1: Towards an International System for Reporting Serous Fluid Cytopathology. J. Am. Soc. Cytopathol. 2019, 8, 362–368. [Google Scholar] [CrossRef]
- Nayar, R.; Wilbur, D. The Bethesda System for Reporting Cervical Cytology: Definitions, Criteria, and Explanatory Notes; Springer: Berlin/Heidelberg, Germany, 2015. [Google Scholar]
- Rosenthal, D.L.; Wojcik, E.M.; Kurtycz, D.F.I. The Paris System for Reporting Urinary Cytology; Springer: Berlin/Heidelberg, Germany, 2015. [Google Scholar]
- Faquin, W.C.; Rossi, E.D.; Baloch, Z.; Barkan, G.A.; Foschini, M.P.; Kurtycz, D.F.I.; Pusztaszeri, M.; Vielh, P. The Milan System for Reporting Salivary Gland Cytopathology; Springer: Berlin/Heidelberg, Germany, 2018. [Google Scholar]
- The International Academy of Cytology Yokohama System for Reporting Breast Fine Needle Aspiration Biopsy Cytopathology|Andrew Field|Springer. Available online: https://www.springer.com/gp/book/9783030268824 (accessed on 27 February 2021).
- Chandra, A.; Crothers, B.; Iyama-Kurtycz, D.; Schmitt, F. The International System for Serous Fluid Cytopathology; Springer: Berlin/Heidelberg, Germany, 2020. [Google Scholar]
- Lobo, C.; Costa, J.; Petronilho, S.; Monteiro, P.; Leça, L.; Schmitt, F. Cytohistological correlation in serous effusions using the newly proposed International System for Reporting Serous Fluid Cytopathology: Experience of an oncological center. Diagn. Cytopathol. 2020. [Google Scholar] [CrossRef]
- Arnold, D.T.; De Fonseka, D.; Perry, S.; Morley, A.; Harvey, J.E.; Medford, A.; Brett, M.; Maskell, N.A. Investigating unilateral pleural effusions: The role of cytology. Eur. Respir. J. 2018, 52, 1801254. [Google Scholar] [CrossRef]
- Grosu, H.B.; Kazzaz, F.; Vakil, E.; Molina, S.; Ost, D. Sensitivity of Initial Thoracentesis for Malignant Pleural Effusion Stratified by Tumor Type in Patients with Strong Evidence of Metastatic Disease. Respiration 2018, 96, 363–369. [Google Scholar] [CrossRef] [PubMed]
- Kalogeraki, A.; Tamiolakis, D.; Datseri, G.; Lazopoulos, G.; Karvelas-Kalogerakis, M.; Segredakis, J.; Zoi, I. Pleural effusion cytology due to malignancy. A combined cytomorphological–immunocytochemical study of 500 cases. Pulmonology 2016, 22, 290–291. [Google Scholar] [CrossRef] [PubMed]
- Rodriguez, E.F.; Jones, R.; Gabrielson, M.; Santos, D.; Pastorello, R.; Maleki, Z. Application of the International System for Reporting Serous Fluid Cytopathology (ISRSFC) on Reporting Pericardial Effusion Cytology. Acta Cytol. 2020, 64, 477–485. [Google Scholar] [CrossRef]
- Hou, T.; Landon, G.; Stewart, J.; Roy-Chowdhuri, S. The value of a tiered cytology diagnostic reporting system in assessing the risk of malignancy in indeterminate serous effusions. Cancer Cytopathol. 2021, 129, 75–82. [Google Scholar] [CrossRef]
- Cytopathology Laboratory Considerations during the COVID-19 Pandemic. Available online: https://www.cap.org/laboratory-improvement/news-and-updates/cytopathology-laboratory-considerations-during-the-covid-19-pandemic (accessed on 1 May 2021).
- Valerio, E.; Nunes, W.; Cardoso, J.; Santos, A.; Bovolim, G.; Domingos, T.; De Brot, L.; Saieg, M. A 2-year retrospective study on pleural effusions: A cancer centre experience. Cytopathology 2019, 30, 607–613. [Google Scholar] [CrossRef]
- Pinto, D.; Chandra, A.; Schmitt, F. The International System for Reporting Serous Fluid Cytopathology: How to Incorporate Molecular Data in Cytopathology Reports. J. Mol. Pathol. 2021, 2, 66–76. [Google Scholar] [CrossRef]
- Rooper, L.M.; Ali, S.Z.; Olson, M.T. A minimum fluid volume of 75 mL is needed to ensure adequacy in a pleural effusion: A retrospective analysis of 2540 cases. Cancer Cytopathol. 2014, 122, 657–665. [Google Scholar] [CrossRef]
- Rooper, L.M.; Ali, S.Z.; Olson, M.T. A Minimum Volume of More Than 60 mL Is Necessary for Adequate Cytologic Diagnosis of Malignant Pericardial Effusions. Am. J. Clin. Pathol. 2016, 145, 101–106. [Google Scholar] [CrossRef]
- Thomas, S.C.; Davidson, L.R.R.; McKean, M.E. An investigation of adequate volume for the diagnosis of malignancy in pleural fluids. Cytopathol. Off. J. Br. Soc. Clin. Cytol. 2011, 22, 179–183. [Google Scholar] [CrossRef] [PubMed]
- Swiderek, J.; Morcos, S.; Donthireddy, V.; Surapaneni, R.; Jackson-Thompson, V.; Schultz, L.; Kini, S.; Kvale, P. Prospective study to determine the volume of pleural fluid required to diagnose malignancy. Chest 2010, 137, 68–73. [Google Scholar] [CrossRef]
- Abouzgheib, W.; Bartter, T.; Dagher, H.; Pratter, M.; Klump, W. A prospective study of the volume of pleural fluid required for accurate diagnosis of malignant pleural effusion. Chest 2009, 135, 999–1001. [Google Scholar] [CrossRef]
- Sallach, S.M.; Sallach, J.A.; Vasquez, E.; Schultz, L.; Kvale, P. Volume of pleural fluid required for diagnosis of pleural malignancy. Chest 2002, 122, 1913–1917. [Google Scholar] [CrossRef][Green Version]
- Halford, J.A.; Batty, T.; Boost, T.; Duhig, J.; Hall, J.; Lee, C.; Walker, K. Comparison of the sensitivity of conventional cytology and the ThinPrep Imaging System for 1,083 biopsy confirmed high-grade squamous lesions. Diagn. Cytopathol. 2010, 38, 318–326. [Google Scholar] [CrossRef]
- Ronco, G.; Cuzick, J.; Pierotti, P.; Cariaggi, M.P.; Palma, P.D.; Naldoni, C.; Ghiringhello, B.; Rossi, P.G.; Minucci, D.; Parisio, F.; et al. Accuracy of liquid based versus conventional cytology: Overall results of new technologies for cervical cancer screening: Randomised controlled trial. BMJ 2007, 335, 28. [Google Scholar] [CrossRef] [PubMed]
- Yeon, M.H.; Jeong, H.S.; Lee, H.S.; Jang, J.S.; Lee, S.; Yoon, S.M.; Chae, H.B.; Park, S.M.; Youn, S.J.; Han, J.-H.; et al. Comparison of liquid-based cytology (CellPrepPlus) and conventional smears in pancreaticobiliary disease. Korean J. Intern. Med. 2018, 33, 883–892. [Google Scholar] [CrossRef] [PubMed]
- Martini, M.; Capodimonti, S.; Cenci, T.; Bilotta, M.; Fadda, G.; LaRocca, L.M.; Rossi, E.D. To Obtain More with Less: Cytologic Samples with Ancillary Molecular Techniques-The Useful Role of Liquid-Based Cytology. Arch. Pathol. Lab. Med. 2018, 142, 299–307. [Google Scholar] [CrossRef] [PubMed]


| ND | NFM | AUS | SFM | MAL | ||
|---|---|---|---|---|---|---|
| Number of: | Cases | 5 | 253 | 7 | 14 | 71 |
| Patients | 4 | 110 | 7 | 14 | 37 | |
| Gender | Males | 2 | 61 | 6 | 8 | 19 |
| Females | 2 | 49 | 1 | 6 | 18 | |
| Age | Median | 87 | 77 | 80 | 75.5 | 70 |
| Range | 65–88 | 20–94 | 51–87 | 53–88 | 46–93 | |
| Fluid volume | Median | 60 | 20 | 40 | 35 | 30 |
| Range | 40–90 | 2–300 | 8–60 | 8–80 | 5–90 | |
| Cellblocks | Total | 0 | 27 | 3 | 4 | 24 |
| Immunohistochemsitry perfromed directly on cytology slides | Total | 0 | 10 | 3 | 3 | 17 |
| Flow cytometry | Total | 0 | 0 | 0 | 2 | 1 |
| ND | NFM | AUS | SFM | MAL | ||||||
|---|---|---|---|---|---|---|---|---|---|---|
| N | % | N | % | N | % | N | % | N | % | |
| Provisional cytology diagnosis Excluding ancillary testing | 7 | 2.00 | 223 | 63.71 | 35 | 10.00 | 30 | 8.57 | 55 | 15.71 |
| Final cytology diagnosis Including ancillary testing | 5 | 1.43 | 253 | 72.29 | 7 | 2.00 | 14 | 4.00 | 71 | 20.29 |
| Final integrated diagnosis Including cytology, histology, and clinical/other information | NA | 212 | 60.57 | NA | NA | 138 | 39.43 | |||
| ND | NFM | AUS | SFM | MAL | |||
|---|---|---|---|---|---|---|---|
| Primary | Pleura | Malignant Mesothelioma (27) | 1 | 15 | 1 | 3 | 7 |
| Secondary | Lung | Adenocarcinoma (47) | 0 | 9 | 0 | 2 | 36 |
| Small cell carcinoma (4) | 0 | 4 | 0 | 0 | 0 | ||
| Stomach | Adenocarcinoma, NOS (4) | 0 | 1 | 0 | 0 | 3 | |
| Poorly cohesive carcinoma (9) | 0 | 3 | 0 | 1 | 5 | ||
| Pancreas | Ductal adenocarcinoma (8) | 0 | 4 | 0 | 0 | 4 | |
| MiNEN (2) | 0 | 1 | 0 | 0 | 1 | ||
| Urinary tract | Renal cell carcinoma (4) | 0 | 3 | 0 | 1 | 0 | |
| Urothelial carcinoma (5) | 0 | 1 | 1 | 0 | 3 | ||
| Breast | Carcinoma, NST (17) | 0 | 7 | 0 | 1 | 9 | |
| Unknown primary | Carcinomas (6) | 1 | 4 | 1 | 0 | 0 | |
| Hematolymphoid | Small lymphocytic lymphoma (1) | 0 | 0 | 0 | 1 | 0 | |
| Follicular lymphoma (2) | 0 | 0 | 0 | 1 | 1 | ||
| Diffuse large B-cell lymphoma (1) | 0 | 0 | 0 | 0 | 1 | ||
| Primary effusion lymphoma (1) | 0 | 0 | 0 | 0 | 1 |
| Positive: | MAL | MAL + SFM | MAL + SFM + AUS | Biopsy |
|---|---|---|---|---|
| Sensitivity | 52.21% | 60.29% | 62.50% | 78.13% |
| Specificity | 100.00% | 98.56% | 96.65% | 100.00% |
| PPV | 100.00% | 96.47% | 92.39% | 100.00% |
| NPV | 76.28% | 79.23% | 79.84% | 87.72% |
Publisher’s Note: MDPI stays neutral with regard to jurisdictional claims in published maps and institutional affiliations. |
© 2021 by the authors. Licensee MDPI, Basel, Switzerland. This article is an open access article distributed under the terms and conditions of the Creative Commons Attribution (CC BY) license (https://creativecommons.org/licenses/by/4.0/).
Share and Cite
Pinto, D.; Cruz, E.; Branco, D.; Linares, C.; Carvalho, C.; Silva, A.; Chorão, M.; Schmitt, F. Cytohistological Correlation in Pleural Effusions Based on the International System for Reporting Serous Fluid Cytopathology. Diagnostics 2021, 11, 1126. https://doi.org/10.3390/diagnostics11061126
Pinto D, Cruz E, Branco D, Linares C, Carvalho C, Silva A, Chorão M, Schmitt F. Cytohistological Correlation in Pleural Effusions Based on the International System for Reporting Serous Fluid Cytopathology. Diagnostics. 2021; 11(6):1126. https://doi.org/10.3390/diagnostics11061126
Chicago/Turabian StylePinto, Daniel, Eduardo Cruz, Diamantina Branco, Cláudia Linares, Conceição Carvalho, Amélia Silva, Martinha Chorão, and Fernando Schmitt. 2021. "Cytohistological Correlation in Pleural Effusions Based on the International System for Reporting Serous Fluid Cytopathology" Diagnostics 11, no. 6: 1126. https://doi.org/10.3390/diagnostics11061126
APA StylePinto, D., Cruz, E., Branco, D., Linares, C., Carvalho, C., Silva, A., Chorão, M., & Schmitt, F. (2021). Cytohistological Correlation in Pleural Effusions Based on the International System for Reporting Serous Fluid Cytopathology. Diagnostics, 11(6), 1126. https://doi.org/10.3390/diagnostics11061126

