Randall-Type Monoclonal Immunoglobulin Deposition Disease: New Insights into the Pathogenesis, Diagnosis and Management
Abstract
1. Introduction
2. Pathophysiology
2.1. LCDD
2.2. Structural Peculiarities in HCDD
3. Diagnosis
3.1. Renal Involvement
3.2. Extra-Renal Involvement
4. Immunologic and Hematologic Characteristics
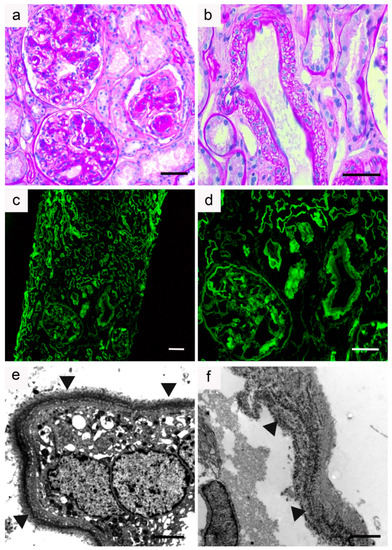
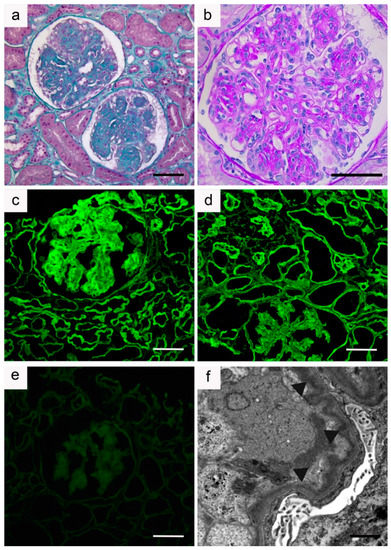
5. Pathology
6. Response Criteria
7. Treatment and Prognosis
7.1. Chemotherapy
7.2. Symptomatic and Supportive Measures
7.3. Renal Transplantation for MIDD
8. Treatment Recommendations
9. Conclusions
Author Contributions
Funding
Conflicts of Interest
References
- Lin, J.; Markowitz, G.S.; Valeri, A.M.; Kambham, N.; Sherman, W.H.; Appel, G.B.; D’Agati, V.D. Renal Monoclonal Immunoglobulin Deposition Disease: The Disease Spectrum. J. Am. Soc. Nephrol. 2001, 12, 1482–1492. [Google Scholar]
- Pozzi, C.; D’Amico, M.; Fogazzi, G.B.; Curioni, S.; Ferrario, F.; Pasquali, S.; Quattrocchio, G.; Rollino, C.; Segagni, S.; Locatelli, F. Light Chain Deposition Disease with Renal Involvement: Clinical Characteristics and Prognostic Factors. Am. J. Kidney Dis. 2003, 42, 1154–1163. [Google Scholar] [CrossRef] [PubMed]
- Nasr, S.H.; Valeri, A.M.; Cornell, L.D.; Fidler, M.E.; Sethi, S.; D’Agati, V.D.; Leung, N. Renal Monoclonal Immunoglobulin Deposition Disease: A Report of 64 Patients from a Single Institution. Clin. J. Am. Soc. Nephrol. 2012, 7, 231–239. [Google Scholar] [CrossRef]
- Bridoux, F.; Leung, N.; Hutchison, C.A.; Touchard, G.; Sethi, S.; Fermand, J.-P.; Picken, M.M.; Herrera, G.A.; Kastritis, E.; Merlini, G.; et al. Diagnosis of Monoclonal Gammopathy of Renal Significance. Kidney Int. 2015, 87, 698–711. [Google Scholar] [CrossRef]
- Ronco, P.M.; Alyanakian, M.A.; Mougenot, B.; Aucouturier, P. Light Chain Deposition Disease: A Model of Glomerulosclerosis Defined at the Molecular Level. J. Am. Soc. Nephrol. 2001, 12, 1558–1565. [Google Scholar]
- Preud’homme, J.L.; Aucouturier, P.; Touchard, G.; Striker, L.; Khamlichi, A.A.; Rocca, A.; Denoroy, L.; Cogné, M. Monoclonal Immunoglobulin Deposition Disease (Randall Type). Relationship with Structural Abnormalities of Immunoglobulin Chains. Kidney Int. 1994, 46, 965–972. [Google Scholar]
- Sicard, A.; Karras, A.; Goujon, J.-M.; Sirac, C.; Bender, S.; Labatut, D.; Callard, P.; Sarkozy, C.; Essig, M.; Vanhille, P.; et al. Light Chain Deposition Disease without Glomerular Proteinuria: A Diagnostic Challenge for the Nephrologist. Nephrol. Dial. Transplant. 2014, 29, 1894–1902. [Google Scholar] [CrossRef] [PubMed][Green Version]
- Kobernick, S.D.; Whiteside, J.H. Renal Glomeruli in Multiple Myeloma. Lab. Invest. 1957, 6, 478–485. [Google Scholar] [PubMed]
- Sanchez, L.M. DOMZ CA: Renal Patterns in Myeloma. Ann. Intern. Med. 1960, 52, 44–54. [Google Scholar] [CrossRef] [PubMed]
- Randall, R.E.; Williamson, W.C.; Mullinax, F.; Tung, M.Y.; Still, W.J. Manifestations of Systemic Light Chain Deposition. Am. J. Med. 1976, 60, 293–299. [Google Scholar] [CrossRef]
- Buxbaum, J.; Gallo, G. Nonamyloidotic Monoclonal Immunoglobulin Deposition Disease. Light-Chain, Heavy-Chain, and Light- and Heavy-Chain Deposition Diseases. Hematol. Oncol. Clin. N. Am. 1999, 13, 1235–1248. [Google Scholar] [CrossRef]
- Aucouturier, P.; Khamlichi, A.A.; Touchard, G.; Justrabo, E.; Cogne, M.; Chauffert, B.; Martin, F.; Preud’homme, J.L. Brief Report: Heavy-Chain Deposition Disease. N. Engl. J. Med. 1993, 329, 1389–1393. [Google Scholar] [CrossRef]
- Leung, N.; Bridoux, F.; Hutchison, C.A.; Nasr, S.H.; Cockwell, P.; Fermand, J.-P.; Dispenzieri, A.; Song, K.W.; Kyle, R.A. International Kidney and Monoclonal Gammopathy Research Group Monoclonal Gammopathy of Renal Significance: When MGUS Is No Longer Undetermined or Insignificant. Blood 2012, 120, 4292–4295. [Google Scholar] [CrossRef] [PubMed]
- Khamlichi, A.A.; Rocca, A.; Touchard, G.; Aucouturier, P.; Preud’homme, J.L.; Cogné, M. Role of Light Chain Variable Region in Myeloma with Light Chain Deposition Disease: Evidence from an Experimental Model. Blood 1995, 86, 3655–3659. [Google Scholar] [CrossRef] [PubMed]
- Denoroy, L.; Déret, S.; Aucouturier, P. Overrepresentation of the V Kappa IV Subgroup in Light Chain Deposition Disease. Immunol. Lett. 1994, 42, 63–66. [Google Scholar] [CrossRef]
- Vidal, R.; Goñi, F.; Stevens, F.; Aucouturier, P.; Kumar, A.; Frangione, B.; Ghiso, J.; Gallo, G. Somatic Mutations of the L12a Gene in V-Κ1 Light Chain Deposition Disease: Potential Effects on Aberrant Protein Conformation and Deposition. Am. J. Pathol. 1999, 155, 2009–2017. [Google Scholar] [CrossRef]
- Bellotti, V.; Stoppini, M.; Merlini, G.; Zapponi, M.C.; Meloni, M.L.; Banfi, G.; Ferri, G. Amino Acid Sequence of k Sci, the Bence Jones Protein Isolated from a Patient with Light Chain Deposition Disease. Biochim. Biophys. Acta 1991, 1097, 177–182. [Google Scholar] [CrossRef]
- Rocca, A.; Khamlichi, A.A.; Aucouturier, P.; Noël, L.H.; Denoroy, L.; Preud’homme, J.L.; Cogné, M. Primary Structure of a Variable Region of the V Kappa I Subgroup (ISE) in Light Chain Deposition Disease. Clin. Exp. Immunol. 1993, 91, 506–509. [Google Scholar] [CrossRef]
- Decourt, C.; Cogné, M.; Rocca, A. Structural Peculiarities of a Truncated V Kappa III Immunoglobulin Light Chain in Myeloma with Light Chain Deposition Disease. Clin. Exp. Immunol. 1996, 106, 357–361. [Google Scholar] [CrossRef] [PubMed]
- Kaplan, B.; Livneh, A.; Gallo, G. Charge Differences between in Vivo Deposits in Immunoglobulin Light Chain Amyloidosis and Non-Amyloid Light Chain Deposition Disease. Br. J. Haematol. 2007, 136, 723–728. [Google Scholar] [CrossRef]
- Joly, F.; Cohen, C.; Javaugue, V.; Bender, S.; Belmouaz, M.; Arnulf, B.; Knebelmann, B.; Nouvier, M.; Audard, V.; Provot, F.; et al. Randall-Type Monoclonal Immunoglobulin Deposition Disease: Novel Insights from a Nationwide Cohort Study. Blood 2019, 133, 576–587. [Google Scholar] [CrossRef]
- Bender, S.; Ayala, M.V.; Bonaud, A.; Javaugue, V.; Carrion, C.; Oblet, C.; Rinsant, A.; Kaaki, S.; Oruc, Z.; Boyer, F.; et al. Immunoglobulin Light-Chain Toxicity in a Mouse Model of Monoclonal Immunoglobulin Light-Chain Deposition Disease. Blood 2020, 136, 1645–1656. [Google Scholar] [CrossRef]
- Keeling, J.; Teng, J.; Herrera, G.A. AL-Amyloidosis and Light-Chain Deposition Disease Light Chains Induce Divergent Phenotypic Transformations of Human Mesangial Cells. Lab. Invest. 2004, 84, 1322–1338. [Google Scholar] [CrossRef]
- Herrera, G.A.; Teng, J.; Turbat-Herrera, E.A.; Zeng, C.; Del Pozo-Yauner, L. Understanding Mesangial Pathobiology in AL-Amyloidosis and Monoclonal Ig Light Chain Deposition Disease. Kidney Int. Rep. 2020, 5, 1870–1893. [Google Scholar] [CrossRef] [PubMed]
- Bridoux, F.; Javaugue, V.; Bender, S.; Leroy, F.; Aucouturier, P.; Debiais-Delpech, C.; Goujon, J.-M.; Quellard, N.; Bonaud, A.; Clavel, M.; et al. Unravelling the Immunopathological Mechanisms of Heavy Chain Deposition Disease with Implications for Clinical Management. Kidney Int. 2017, 91, 423–434. [Google Scholar] [CrossRef]
- Cohen, C.; Royer, B.; Javaugue, V.; Szalat, R.; El Karoui, K.; Caulier, A.; Knebelmann, B.; Jaccard, A.; Chevret, S.; Touchard, G.; et al. Bortezomib Produces High Hematological Response Rates with Prolonged Renal Survival in Monoclonal Immunoglobulin Deposition Disease. Kidney Int. 2015. [Google Scholar] [CrossRef]
- Bender, S.; Ayala, M.V.; Javaugue, V.; Bonaud, A.; Cogné, M.; Touchard, G.; Jaccard, A.; Bridoux, F.; Sirac, C. Comprehensive Molecular Characterization of a Heavy Chain Deposition Disease Case. Haematologica 2018, 103, e557–e560. [Google Scholar] [CrossRef] [PubMed]
- Bonaud, A.; Bender, S.; Touchard, G.; Lacombe, C.; Srour, N.; Delpy, L.; Oblet, C.; Druilhe, A.; Quellard, N.; Javaugue, V.; et al. A Mouse Model Recapitulating Human Monoclonal Heavy Chain Deposition Disease Evidences the Relevance of Proteasome Inhibitor Therapy. Blood 2015, 126, 757–765. [Google Scholar] [CrossRef][Green Version]
- Bianchi, G.; Sohani, A.R. Heavy Chain Disease of the Small Bowel. Curr. Gastroenterol. Rep. 2018, 20, 3. [Google Scholar] [CrossRef]
- Cohen, C.; El-Karoui, K.; Alyanakian, M.-A.; Noel, L.-H.; Bridoux, F.; Knebelmann, B. Light and Heavy Chain Deposition Disease Associated with CH1 Deletion. Clin. Kidney J. 2015, 8, 237–239. [Google Scholar] [CrossRef] [PubMed]
- Kourelis, T.V.; Nasr, S.H.; Dispenzieri, A.; Kumar, S.K.; Gertz, M.A.; Fervenza, F.C.; Buadi, F.K.; Lacy, M.Q.; Erickson, S.B.; Cosio, F.G.; et al. Outcomes of Patients with Renal Monoclonal Immunoglobulin Deposition Disease. Am. J. Hematol. 2016, 91, 1123–1128. [Google Scholar] [CrossRef] [PubMed]
- Sayed, R.H.; Wechalekar, A.D.; Gilbertson, J.A.; Bass, P.; Mahmood, S.; Sachchithanantham, S.; Fontana, M.; Patel, K.; Whelan, C.J.; Lachmann, H.J.; et al. Natural History and Outcome of Light Chain Deposition Disease. Blood 2015, 126, 2805–2810. [Google Scholar] [CrossRef] [PubMed]
- Ziogas, D.C.; Kastritis, E.; Terpos, E.; Roussou, M.; Migkou, M.; Gavriatopoulou, M.; Spanomichou, D.; Eleutherakis-Papaiakovou, E.; Fotiou, D.; Panagiotidis, I.; et al. Hematologic and Renal Improvement of Monoclonal Immunoglobulin Deposition Disease after Treatment with Bortezomib-Based Regimens. Leuk. Lymphoma 2017, 58, 1832–1839. [Google Scholar] [CrossRef]
- Samanez, C.; Domingo, A.; Cibeira, M.T.; Miquel, R.; Soler, M.; Bladé, J. Development of Rapidly Progressive Liver Light Chain Deposition under VAD Chemotherapy in Multiple Myeloma. Eur. J. Haematol. 2006, 76, 83–85. [Google Scholar] [CrossRef] [PubMed]
- Mohan, M.; Buros, A.; Mathur, P.; Gokden, N.; Singh, M.; Susanibar, S.; Jo Kamimoto, J.; Hoque, S.; Radhakrishnan, M.; Matin, A.; et al. Clinical Characteristics and Prognostic Factors in Multiple Myeloma Patients with Light Chain Deposition Disease. Am. J. Hematol. 2017, 92, 739–745. [Google Scholar] [CrossRef]
- Abdallah, A.-O.A.; Alapat, D.; Kaur, V.; Atrash, S. Outcomes of Autologous Stem Cell Transplant for Cardiac AL-Amyloidosis and Cardiac Light Chain Deposition Disease. J. Oncol. Pharm. Pract. 2020, 26, 1128–1133. [Google Scholar] [CrossRef]
- Ronco, P.; Plaisier, E.; Mougenot, B.; Aucouturier, P. Immunoglobulin Light (Heavy)-Chain Deposition Disease: From Molecular Medicine to Pathophysiology-Driven Therapy. Clin. J. Am. Soc. Nephrol. 2006, 1, 1342–1350. [Google Scholar] [CrossRef]
- Colombat, M.; Mal, H.; Copie-Bergman, C.; Diebold, J.; Damotte, D.; Callard, P.; Fournier, M.; Farcet, J.-P.; Stern, M.; Delfau-Larue, M.-H. Primary Cystic Lung Light Chain Deposition Disease: A Clinicopathologic Entity Derived from Unmutated B Cells with a Stereotyped IGHV4-34/IGKV1 Receptor. Blood 2008, 112, 2004–2012. [Google Scholar] [CrossRef]
- Camus, M.; Hirschi, S.; Prevot, G.; Chenard, M.-P.; Mal, H.; Stern, M.; Reynaud-Gaubert, M.; Gilhodes, J.; Burlet-Schiltz, O.; Brousset, P.; et al. Proteomic Evidence of Specific IGKV1-8 Association with Cystic Lung Light Chain Deposition Disease. Blood 2019, 133, 2741–2744. [Google Scholar] [CrossRef]
- Hirschi, S.; Colombat, M.; Kessler, R.; Reynaud-Gaubert, M.; Stern, M.; Chenard, M.P.; Métivier, A.-C.; Jeung, M.-Y.; Mal, H. Lung Transplantation for Advanced Cystic Lung Disease Due to Nonamyloid Kappa Light Chain Deposits. Ann. Am. Thorac. Soc. 2014, 11, 1025–1031. [Google Scholar] [CrossRef]
- Klomjit, N.; Leung, N.; Fervenza, F.; Sethi, S.; Zand, L. Rate and Predictors of Finding Monoclonal Gammopathy of Renal Significance (MGRS) Lesions on Kidney Biopsy in Patients with Monoclonal Gammopathy. J. Am. Soc. Nephrol. 2020, 31, 2400–2411. [Google Scholar] [CrossRef]
- Bender, S.; Javaugue, V.; Saintamand, A.; Ayala, M.V.; Alizadeh, M.; Filloux, M.; Pascal, V.; Gachard, N.; Lavergne, D.; Auroy, F.; et al. Immunoglobulin Variable Domain High-Throughput Sequencing Reveals Specific Novel Mutational Patterns in POEMS Syndrome. Blood 2020, 135, 1750–1758. [Google Scholar] [CrossRef]
- Zand, L.; Nasr, S.H.; Gertz, M.A.; Dispenzieri, A.; Lacy, M.Q.; Buadi, F.K.; Kumar, S.; Kyle, R.A.; Fervenza, F.C.; Sethi, S.; et al. Clinical and Prognostic Differences among Patients with Light Chain Deposition Disease, Myeloma Cast Nephropathy and Both. Leuk. Lymphoma 2015, 56, 3357–3364. [Google Scholar] [CrossRef]
- Yu, X.; Lan, P.; Feng, J.; Feng, X.; Xie, L. Renal Amyloidosis Complicated by Light Chain Deposition Nephropathy: A Case Report. Int. J. Clin. Exp. Pathol. 2019, 12, 2279–2283. [Google Scholar] [PubMed]
- Sobue, Y.; Takemura, G.; Kawamura, S.; Yano, T.; Kanamori, H.; Morimoto, S.-I.; Matsuo, H. Coexistence of Amyloidosis and Light Chain Deposition Disease in the Heart. Cardiovasc. Pathol. 2020, 51, 107315. [Google Scholar] [CrossRef] [PubMed]
- Palladini, G.; Dispenzieri, A.; Gertz, M.A.; Kumar, S.; Wechalekar, A.; Hawkins, P.N.; Schönland, S.; Hegenbart, U.; Comenzo, R.; Kastritis, E.; et al. New Criteria for Response to Treatment in Immunoglobulin Light Chain Amyloidosis Based on Free Light Chain Measurement and Cardiac Biomarkers: Impact on Survival Outcomes. J. Clin. Oncol. 2012, 30, 4541–4549. [Google Scholar] [CrossRef] [PubMed]
- Royer, B.; Arnulf, B.; Martinez, F.; Roy, L.; Flageul, B.; Etienne, I.; Ronco, P.; Brouet, J.-C.; Fermand, J.-P. High Dose Chemotherapy in Light Chain or Light and Heavy Chain Deposition Disease. Kidney Int. 2004, 65, 642–648. [Google Scholar] [CrossRef] [PubMed]
- Badros, A.; Barlogie, B.; Siegel, E.; Roberts, J.; Langmaid, C.; Zangari, M.; Desikan, R.; Shaver, M.J.; Fassas, A.; McConnell, S.; et al. Results of Autologous Stem Cell Transplant in Multiple Myeloma Patients with Renal Failure. Br. J. Haematol. 2001, 114, 822–829. [Google Scholar] [CrossRef] [PubMed]
- Knudsen, L.M.; Nielsen, B.; Gimsing, P.; Geisler, C. Autologous Stem Cell Transplantation in Multiple Myeloma: Outcome in Patients with Renal Failure. Eur. J. Haematol. 2005, 75, 27–33. [Google Scholar] [CrossRef] [PubMed]
- Lokhorst, H.M.; Plesner, T.; Laubach, J.P.; Nahi, H.; Gimsing, P.; Hansson, M.; Minnema, M.C.; Lassen, U.; Krejcik, J.; Palumbo, A.; et al. Targeting CD38 with Daratumumab Monotherapy in Multiple Myeloma. N. Engl. J. Med. 2015, 373, 1207–1219. [Google Scholar] [CrossRef]
- Palladini, G.; Kastritis, E.; Maurer, M.S.; Zonder, J.; Minnema, M.C.; Wechalekar, A.D.; Jaccard, A.; Lee, H.C.; Bumma, N.; Kaufman, J.L.; et al. Daratumumab plus CyBorD for Patients with Newly Diagnosed AL Amyloidosis: Safety Run-in Results of ANDROMEDA. Blood 2020, 136, 71–80. [Google Scholar] [CrossRef]
- Roussel, M.; Merlini, G.; Chevret, S.; Arnulf, B.; Stoppa, A.M.; Perrot, A.; Palladini, G.; Karlin, L.; Royer, B.; Huart, A.; et al. A Prospective Phase 2 Trial of Daratumumab in Patients with Previously Treated Systemic Light-Chain Amyloidosis. Blood 2020, 135, 1531–1540. [Google Scholar] [CrossRef]
- Milani, P.; Basset, M.; Curci, P.; Foli, A.; Rizzi, R.; Nuvolone, M.; Guido, R.; Gesualdo, L.; Specchia, G.; Merlini, G.; et al. Daratumumab in Light Chain Deposition Disease: Rapid and Profound Hematologic Response Preserves Kidney Function. Blood Adv. 2020, 4, 1321–1324. [Google Scholar] [CrossRef] [PubMed]
- Stevens, P.E.; Levin, A. Kidney Disease: Improving Global Outcomes Chronic Kidney Disease Guideline Development Work Group Members Evaluation and Management of Chronic Kidney Disease: Synopsis of the Kidney Disease: Improving Global Outcomes 2012 Clinical Practice Guideline. Ann. Intern. Med. 2013, 158, 825–830. [Google Scholar] [CrossRef] [PubMed]
- Leung, N.; Lager, D.J.; Gertz, M.A.; Wilson, K.; Kanakiriya, S.; Fervenza, F.C. Long-Term Outcome of Renal Transplantation in Light-Chain Deposition Disease. Am. J. Kidney Dis. 2004, 43, 147–153. [Google Scholar] [CrossRef] [PubMed]




| Complete Response (CR) |
|
| Very good partial response (VGPR) |
|
| Partial response (PR) |
|
| No response (NR) |
|
| Nasr et al. [3] | Cohen et al. [26] | Kourelis et al. [31] | Sayed et al. [32] | Ziogas et al. [33] | Joly et al. [21] | |
|---|---|---|---|---|---|---|
| Period of the study | 1992–2011 | 2005–2013 | 1992–2014 | 2002–2015 | 2005–2015 | 1981–2015 |
| Number of patients | 64 | 49 | 88 | 53 | 18 | 255 |
| MIDD type (n) | LCDD (51), HCDD (7), LHCDD (6) | LCDD (35), HCDD (12), LHCDD (2) | LCDD (74), HCDD (7), LHCDD (7) | LCDD (53) | LCDD (14), HCDD (3), LHCDD (1) | LCDD (212), HCDD (23), LHCDD (20) |
| Follow-up (months) | 25 | 54 | 47 | 74 | 39 | 27.3 |
| ESRD during follow-up (%) | 39 | 20.4 | 33 | 53 | 33.3 | 40.3% |
| Death during follow-up (%) | 32 | 10 | 38 | 36 | 28 | 33 |
| Factors associated with renal response by multivariate analysis | Serum creatinine at diagnosis | dFLC < 40 mg/L after treatment | eGFR > 20 mL/min/1.73 m2 VGPR/CR Renal response | Not performed | Non-significant | VGPR/CR Absence of severe interstitial fibrosis |
Publisher’s Note: MDPI stays neutral with regard to jurisdictional claims in published maps and institutional affiliations. |
© 2021 by the authors. Licensee MDPI, Basel, Switzerland. This article is an open access article distributed under the terms and conditions of the Creative Commons Attribution (CC BY) license (http://creativecommons.org/licenses/by/4.0/).
Share and Cite
Cohen, C.; Joly, F.; Sibille, A.; Javaugue, V.; Desport, E.; Goujon, J.-M.; Touchard, G.; Fermand, J.-P.; Sirac, C.; Bridoux, F. Randall-Type Monoclonal Immunoglobulin Deposition Disease: New Insights into the Pathogenesis, Diagnosis and Management. Diagnostics 2021, 11, 420. https://doi.org/10.3390/diagnostics11030420
Cohen C, Joly F, Sibille A, Javaugue V, Desport E, Goujon J-M, Touchard G, Fermand J-P, Sirac C, Bridoux F. Randall-Type Monoclonal Immunoglobulin Deposition Disease: New Insights into the Pathogenesis, Diagnosis and Management. Diagnostics. 2021; 11(3):420. https://doi.org/10.3390/diagnostics11030420
Chicago/Turabian StyleCohen, Camille, Florent Joly, Audrey Sibille, Vincent Javaugue, Estelle Desport, Jean-Michel Goujon, Guy Touchard, Jean-Paul Fermand, Christophe Sirac, and Frank Bridoux. 2021. "Randall-Type Monoclonal Immunoglobulin Deposition Disease: New Insights into the Pathogenesis, Diagnosis and Management" Diagnostics 11, no. 3: 420. https://doi.org/10.3390/diagnostics11030420
APA StyleCohen, C., Joly, F., Sibille, A., Javaugue, V., Desport, E., Goujon, J.-M., Touchard, G., Fermand, J.-P., Sirac, C., & Bridoux, F. (2021). Randall-Type Monoclonal Immunoglobulin Deposition Disease: New Insights into the Pathogenesis, Diagnosis and Management. Diagnostics, 11(3), 420. https://doi.org/10.3390/diagnostics11030420

