Positron Emission Tomography (PET) Imaging of Multiple Myeloma in a Post-Treatment Setting
Abstract
1. Introduction
2. Methods
3. Value and Limits of MRI in Multiple Myeloma in the Post-Treatment Setting
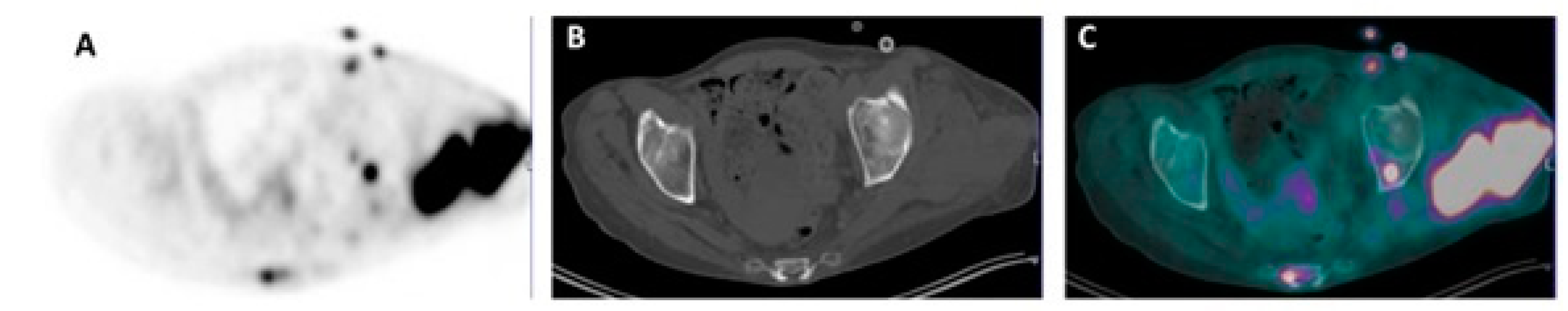
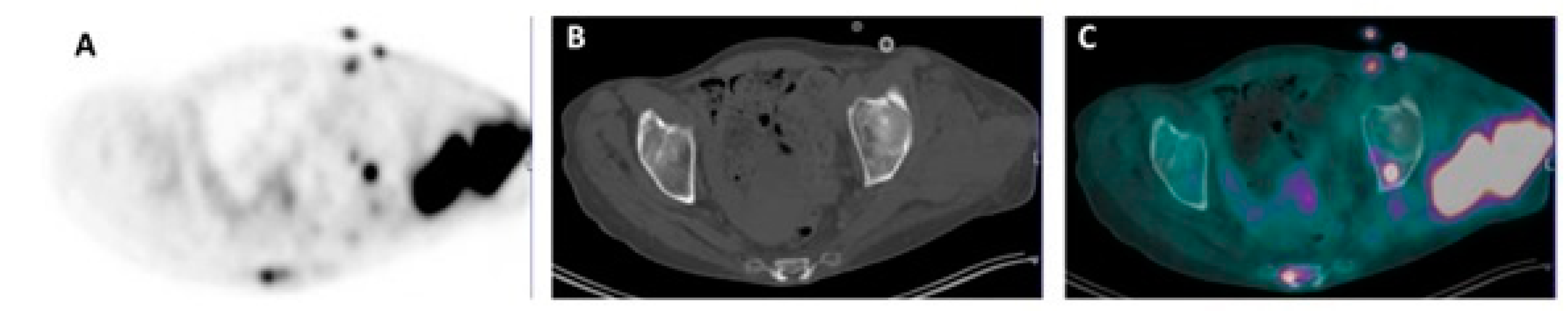
4. FDG PET/CT Images Interpretation in Therapy Monitoring of Multiple Myeloma
5. Diagnostic and Prognostic Value of FDG PET/CT in the Response Assessment in Multiple Myeloma
6. Unmet Needs and Open Issues
7. Non-FDG PET Tracers in the Post-Treatment Setting of Multiple Myeloma
8. Conclusions
Author Contributions
Funding
Institutional Review Board Statement
Informed Consent Statement
Conflicts of Interest
References
- Kumar, S.K.; Rajkumar, S.V. The multiple myelomas—current concepts in cytogenetic classification and therapy. Nat. Rev. Clin. Oncol. 2018, 15, 409–421. [Google Scholar] [CrossRef]
- Kyle, R.A.; Remstein, E.D.; Therneau, T.M.; Dispenzieri, A.; Kurtin, P.J.; Hodnefield, J.M.; Larson, D.R.; Plevak, M.F.; Jelinek, D.F.; Fonseca, R.; et al. Clinical course and prognosis of smoldering (asymptomatic) multiple myeloma. N. Engl. J. Med. 2007, 356, 2582–2590. [Google Scholar] [CrossRef]
- Cavo, M.; Terpos, E.; Nanni, C.; Moreau, P.; Lentzsch, S.; Zweegman, S.; Hillengass, J.; Engelhardt, M.; Usmani, S.Z.; Vesole, D.H.; et al. Role of (18)F-FDG PET/CT in the diagnosis and management of multiple myeloma and other plasma cell disorders: A consensus statement by the International Myeloma Working Group. Lancet Oncol. 2017, 18, e206–e217. [Google Scholar] [CrossRef]
- Baffour, F.I.; Glazebrook, K.N.; Kumar, S.K.; Broski, S.M. Role of imaging in multiple myeloma. Am. J. Hematol. 2020, 95, 966–977. [Google Scholar] [CrossRef]
- Bredella, M.A.; Steinbach, L.; Caputo, G.; Segall, G.; Hawkins, R. Value of FDG PET in the assessment of patients with multiple myeloma. Am. J. Roentgenol. 2005, 184, 1199–1204. [Google Scholar] [CrossRef]
- Zamagni, E.; Nanni, C.; Patriarca, F.; Englaro, E.; Castellucci, P.; Geatti, O.; Tosi, P.; Tacchetti, P.; Cangini, D.; Perroneet, G.; et al. A prospective comparison of 18F-fluorodeoxyglucose positron emission tomography-computed tomography, magnetic resonance imaging and whole-body planar radiographs in the assessment of bone disease in newly diagnosed multiple myeloma. Haematologica 2007, 92, 50–55. [Google Scholar] [CrossRef]
- Strauss, H.W.; Mariani, G.; Volterrani, D.; Larson, S.M. Nuclear Oncology. In Pathophysiology and Clinical Applications; Springer: New York, NY, USA, 2013; pp. 188–229. [Google Scholar]
- Durie, B.G.M.; Waxman, A.D.; D’Agnolo, A.; Williams, C. Whole-body (18)F-FDG PET identifies high-risk myeloma. J. Nucl. Med. 2002, 43, 1457–1463. [Google Scholar]
- McDonald, J.E.; Kessler, M.M.; Gardner, M.W.; Buros, A.F.; Ntambi, J.A.; Waheed, S.; van Rhee, F.; Zangari, M.; Heuck, C.J.; Petty, N.; et al. Assessment of total lesion glycolysis by 18F FDG PET/CT significantly improves prognostic value of GEP and ISS in myeloma. Clin. Cancer Res. 2017, 23, 1981–1987. [Google Scholar] [CrossRef]
- Elliott, B.M.; Peti, S.; Osman, K.; Scigliano, E.; Lee, D.; Isola, L.; Kostakogluet, L. Combining FDG-PET/CT with laboratory data yields superior results for prediction of relapse in multiple myeloma. Eur. J. Haematol. 2011, 86, 289–298. [Google Scholar] [CrossRef]
- Derlin, T.; Weber, C.; Habermann, C.R.; Herrmann, J.; Wisotzki, C.; Ayuk, F.; Wolschke, C.; Klutmann, S.; Kröger, N. 18F-FDG PET/CT for detection and localization of residual or recurrent disease in patients with multiple myeloma after stem cell transplantation. Eur. J. Nucl. Med. Mol. Imaging 2012, 39, 493–500. [Google Scholar] [CrossRef]
- Zamagni, E.; Patriarca, F.; Nanni, C.; Zannetti, B.; Englaro, E.; Pezzi, A.; Tacchetti, P.; Buttignol, S.; Perrone, G.; Brioli, A.; et al. Prognostic relevance of 18-F FDG PET/CT in newly diagnosed multiple myeloma patients treated with up-front autologous transplantation. Blood 2011, 118, 5989–5995. [Google Scholar] [CrossRef]
- Lapa, C.; Luckerath, K.; Malzahn, U.; Samnick, S.; Einsele, H.; Buck, A.K.; Herrmann, K.; Knop, S. 18 FDG-PET/CT for prognostic stratification of patients with multiple myeloma relapse after stem cell transplantation. Oncotarget 2014, 5, 7381–7391. [Google Scholar] [CrossRef]
- Patriarca, F.; Bruno, B.; Einsele, H.; Spina, F.; Giaccone, L.; Montefusco, V.; Isola, M.; Nozzoli, C.; Nozza, A.; Morabito, F.; et al. Long-term follow-up of a donor versus no-donor comparison in patients with multiple myeloma in first relapse after failing autologous transplantation. Biol. Blood Marrow Transpl. 2018, 24, 406–409. [Google Scholar] [CrossRef]
- Zamagni, E.; Nanni, C.; Mancuso, K.; Tacchetti, P.; Pezzi, A.; Pantani, L.; Zannetti, B.; Rambaldi, I.; Brioli, A.; Rocchi, S.; et al. PET/CT improves the definition of complete response and allows to detect otherwise unidentifiable skeletal progression in multiple myeloma. Clin. Cancer Res. 2015, 21, 4384–4390. [Google Scholar] [CrossRef]
- Bartel, T.B.; Haessler, J.; Brown, T.L.; Shaughnessy, J.D., Jr.; van Rhee, F.; Anaissie, E.; Alpe, T.; Angtuaco, E.; Walker, R.; Epstein, J.; et al. F18-fluorodeoxyglucose positron emission tomography in the context of other imaging techniques and prognostic factors in multiple myeloma. Blood 2009, 114, 2068–2076. [Google Scholar] [CrossRef]
- Spinnato, P.; Bazzocchi, A.; Brioli, A.; Nanni, C.; Zamagni, E.; Albisinni, U.; Cavo, M.; Fanti, S.; Battista, G.; Salizzoni, E. Contrast enhanced MRI and ¹⁸F-FDG PET-CT in the assessment of multiple myeloma: A comparison of results in different phases of the disease. Eur. J. Radiol. 2012, 81, 4013–4018. [Google Scholar] [CrossRef]
- Hillengass, J.; Usmani, S.; Rajkumar, S.V.; Durie, B.; Mateos, M.V.; Lonial, S.; Joao, C.; Anderson, K.C.; García-Sanz, R.; Riva, E.; et al. International myeloma working group consensus recommendations on imaging in monoclonal plasma cell disorders. Lancet Oncol. 2019, 20, e302–e312. [Google Scholar] [CrossRef]
- Jadvar, H.; Conti, P.S. Diagnostic utility of FDG PET in multiple myeloma. Skelet. Radiol. 2002, 31, 690–694. [Google Scholar] [CrossRef]
- Mileshkin, L.; Blum, R.; Seymour, J.F.; Patrikeos, A.; Hicks, R.J.; Prince, H.M. A comparison of fluorine-18 fluoro-deoxyglucose PET and technetium-99m sestamibi in assessing patients with multiple myeloma. Eur. J. Haematol. 2004, 72, 32–37. [Google Scholar] [CrossRef]
- Kim, P.J.; Hicks, R.J.; Wirth, A.; Ryan, G.; Seymour, J.F.; Prince, H.M.; Mac Manus, M.P. Impact of 18F-fluorodeoxyglucose positron emission tomography before and after definitive radiation therapy in patients with apparently solitary plasmacytoma. Int. J. Radiat. Oncol. Biol. Phys. 2009, 74, 740–746. [Google Scholar] [CrossRef]
- Zamagni, E.; Nanni, C.; Dozza, L.; Carlier, T.; Bailly, C.; Tacchetti, P.; Versari, A.; Chauvie, S.; Gallamini, A.; Attal, M. Standardization of 18F-FDG PET/CT according to Deauville criteria for metabolic complete response in newly diagnosed transplant eligible multiple myeloma (mm) patients: Joint analysis of two prospective randomized phase III trials. Blood 2018, 132, 257. [Google Scholar] [CrossRef]
- Dimitrakopoulou-Strauss, A.; Hoffmann, M.; Bergner, R.; Uppenkamp, M.; Haberkorn, U.; Strauss, L.G. Prediction of progression-free survival in patients with multiple myeloma following anthracycline-based chemotherapy based on dynamic FDG-PET. Clin. Nucl. Med. 2009, 34, 576–584. [Google Scholar] [CrossRef]
- Sager, S.; Ergül, N.; Ciftci, H.; Cetin, G.; Güner, S.I.; Cermik, T.F. The value of FDG PET/CT in the initial staging and bone marrow involvement of patients with multiple myeloma. Skelet. Radiol. 2011, 40, 843–847. [Google Scholar] [CrossRef]
- Derlin, T.; Peldschus, K.; Münster, S.; Bannas, P.; Herrmann, J.; Stübig, T.; Habermann, C.R.; Adam, G.; Kröger, N.; Weber, C. Comparative diagnostic performance of ¹⁸F-FDG PET/CT versus whole-body MRI for determination of remission status in multiple myeloma after stem cell transplantation. Eur. Radiol. 2013, 23, 570–578. [Google Scholar] [CrossRef]
- Nanni, C.; Zamagni, E.; Celli, M.; Caroli, P.; Ambrosini, V.; Tacchetti, P.; Brioli, A.; Zannetti, B.; Pezzi, A.; Pantani, L.; et al. The value of 18F-FDG PET/CT after autologous stem cell transplantation (ASCT) in patients affected by multiple myeloma (MM): Experience with 77 patients. Clin. Nucl. Med. 2013, 38, e74–e79. [Google Scholar] [CrossRef]
- Usmani, S.Z.; Mitchell, A.; Waheed, S.; Crowley, J.; Hoering, A.; Petty, N.; Brown, T.; Bartel, T.; Anaissie, E.; van Rhee, F. Prognostic implications of serial 18-fluoro-deoxyglucose emission tomography in multiple myeloma treated with total therapy 3. Blood 2013, 121, 1819–1823. [Google Scholar] [CrossRef]
- Patriarca, F.; Carobolante, F.; Zamagni, E.; Montefusco, V.; Bruno, B.; Englaro, E.; Nanni, C.; Geatti, O.; Isola, M.; Sperotto, A.; et al. The role of positron emission tomography with 18F-fluorodeoxyglucose integrated with computed tomography in the evaluation of patients with multiple myeloma undergoing allogeneic stem cell transplantation. Biol. Blood Marrow Transpl. 2015, 21, 1068–1073. [Google Scholar] [CrossRef]
- Li, Y.; Liu, J.; Huang, B.; Chen, M.; Diao, X.; Li, J. Application of PET/CT in treatment response evaluation and recurrence prediction in patients with newly-diagnosed multiple myeloma. Oncotarget 2017, 8, 25637–25649. [Google Scholar] [CrossRef][Green Version]
- Nanni, C.; Zamagni, E.; Versari, A.; Chauvie, S.; Bianchi, A.; Rensi, M.; Bellò, M.; Rambaldi, I.; Gallamini, A.; Patriarca, F. Image interpretation criteria for FDG PET/CT in multiple myeloma: A new proposal from an Italian expert panel. IMPeTUs (Italian Myeloma criteria for PET USe). Eur. J. Nucl. Med. Mol. Imaging 2016, 43, 414–421. [Google Scholar] [CrossRef]
- Sachpekidis, C.; Hillengass, J.; Goldschmidt, H.; Wagner, B.; Haberkorn, U.; Kopka, K.; Dimitrakopoulou-Strauss, A. Treatment response evaluation with 18F-FDG PET/CT and 18F-NaF PET/CT in multiple myeloma patients undergoing high-dose chemotherapy and autologous stem cell transplantation. Eur. J. Nucl. Med. Mol. Imaging 2017, 44, 50–62. [Google Scholar] [CrossRef]
- Moreau, P.; Attal, M.; Caillot, D.; Macro, M.; Karlin, L.; Garderet, L.; Facon, T.; Benboubker, L.; Escoffre-Barbe, M.; Stoppa, A.M.; et al. Prospective Evaluation of Magnetic Resonance Imaging and [18F]Fluorodeoxyglucose Positron Emission Tomography-Computed Tomography at Diagnosis and Before Maintenance Therapy in Symptomatic Patients With Multiple Myeloma Included in the IFM/DFCI 2009 Trial: Results of the IMAJEM Study. J. Clin. Oncol. 2017, 35, 2911–2918. [Google Scholar]
- Stolzenburg, A.; Lückerath, K.; Samnick, S.; Speer, M.; Kneer, K.; Schmid, J.S.; Grigoleit, G.U.; Hofmann, S.; Beer, A.J.; Bunjes, D.; et al. Prognostic value of [18F]FDG-PET/CT in multiple myeloma patients before and after allogeneic hematopoietic cell transplantation. Eur. J. Nucl. Med. Mol. Imaging 2018, 45, 1694–1704. [Google Scholar] [CrossRef] [PubMed]
- Basha, M.A.A.; Hamed, M.A.G.; Refaat, R.; Al Azzazy, M.Z.; Bessar, M.A.; Mohamed, E.M.; Ahmed, A.F.; Tantawy, H.F.; Altaher, K.M.; Obaya, A.A. Diagnostic performance of 18F-FDG PET/CT and whole-body MRI before and early after treatment of multiple myeloma: A prospective comparative study. Jpn. J. Radiol. 2018, 36, 382–393. [Google Scholar] [CrossRef] [PubMed]
- Nanni, C.; Versari, A.; Chauvie, S.; Bertone, E.; Bianchi, A.; Rensi, M.; Bellò, M.; Gallamini, A.; Patriarca, F.; Gay, F. Interpretation criteria for FDG PET/CT in multiple myeloma (IMPeTUs): Final results. IMPeTUs (Italian myeloma criteria for PET USe). Eur. J. Nucl. Med. Mol. Imaging 2018, 45, 712–719. [Google Scholar] [CrossRef] [PubMed]
- Bailly, C.; Carlier, T.; Jamet, B.; Eugene, T.; Touzeau, C.; Attal, M.; Hulin, C.; Facon, T.; Leleu, X.; Perrot, A.; et al. Interim PET Analysis in First-Line Therapy of Multiple Myeloma: Prognostic Value of ΔSUVmax in the FDG-Avid Patients of the IMAJEM Study. Clin. Cancer Res. 2018, 24, 5219–5224. [Google Scholar] [CrossRef] [PubMed]
- Ripani, D.; Caldarella, C.; Za, T.; Pizzuto, D.A.; Rossi, E.; De Stefano, V.; Giordano, A. Prognostic significance of normalized FDG-PET parameters in patients with multiple myeloma undergoing induction chemotherapy and autologous hematopoietic stem cell transplantation: A retrospective single-center evaluation. Eur. J. Nucl. Med. Mol. Imaging 2019, 46, 116–128. [Google Scholar] [CrossRef]
- Nakuz, T.S.; Millinger, F.P.; El-Rabadi, K.; Weber, M.; Pichler, V.; Wadsak, W.; Mitterhauser, M.; Haug, A.; Hacker, M.; Karanikas, G. Characterization of Bone Lesions in Myeloma Before and During Anticancer Therapy Using 18F-FDG-PET/CT and 18F-NaF-PET/CT. Anticancer Res. 2019, 39, 1943–1952. [Google Scholar] [CrossRef]
- Zamagni, E.; Nanni, C.; Dozza, L.; Carlier, T.; Bailly, C.; Tacchetti, P.; Versari, A.; Chauvie, S.; Gallamini, A.; Gamberi, B.; et al. Standardization of 18F-FDG-PET/CT According to Deauville Criteria for Metabolic Complete Response Definition in Newly Diagnosed Multiple Myeloma. J. Clin. Oncol. 2021, 39, 116–125. [Google Scholar] [CrossRef]
- Paternain, A.; García-Velloso, M.J.; Rosales, J.J.; Ezponda, A.; Soriano, I.; Elorz, M.; Rodríguez-Otero, P.; Aquerreta, J.D. The utility of ADC value in diffusion-weighted whole-body MRI in the follow-up of patients with multiple myeloma. Correlation study with 18F-FDG PET-CT. Eur. J. Radiol. 2020, 133, 109403. [Google Scholar] [CrossRef]
- Zirakchian Zadeh, M.; Raynor, W.Y.; Østergaard, B.; Hess, S.; Yellanki, D.P.; Ayubcha, C.; Mehdizadeh Seraj, S.; Acosta-Montenegro, O.; Borja, A.J.; Gerke, O.; et al. Correlation of whole-bone marrow dual-time-point 18F-FDG, as measured by a CT-based method of PET/CT quantification, with response to treatment in newly diagnosed multiple myeloma patients. Am. J. Nucl. Med. Mol. Imaging. 2020, 10, 257–264. [Google Scholar]
- Dimopoulos, M.A.; Hillengass, J.; Usmani, S.; Zamagni, E.; Lentzsch, S.; Davies, F.E.; Raje, N.; Sezer, O.; Zweegman, S.; Shah, J.; et al. Role of magnetic resonance imaging in the management of patients with multiple myeloma: A consensus statement. J. Clin. Oncol. 2015, 33, 657–664. [Google Scholar] [CrossRef] [PubMed]
- Zhang, L.; Wang, Q.; Wu, X.; Zhao, A.; Feng, J.; Zhang, H.; Cao, X.; Li, S.; Cai, H.; Sun, Z. Baseline bone marrow ADC value of diffusion-weighted MRI: A potential independent predictor for progression and death in patients with newly diagnosed multiple myeloma. Eur. Radiol. 2020, 1–10. [Google Scholar] [CrossRef] [PubMed]
- García-Figueiras, R.; Padhani, A.R.; Beer, A.J.; Baleato-González, S.; Vilanova, J.C.; Luna, A.; Oleaga, L.; Gómez-Caamaño, A.; Koh, D.M. Imaging of Tumor Angiogenesis for Radiologists—Part 1: Biological and Technical Basis. Curr. Probl. Diagn. Radiol. 2015, 44, 407–424. [Google Scholar] [CrossRef] [PubMed]
- Dutoit, J.C.; Claus, E.; Oner, F.; Noens, L.; Delanghe, J.R.; Verstraete, K. Combined evaluation of conventional MRI, dynamic contrast-enhanced MRI and diffusion weighted imaging for response evaluation of patients with multiple myeloma. Eur. J. Radiol. 2016, 85, 373–382. [Google Scholar] [CrossRef]
- Merz, M.; Ritsch, J.; Kunz, C.; Wagner, B.; Sauer, S.; Hose, D.; Moehler, T.; Delorme, S.; Goldschmidt, H.; Zechmann, C.M.; et al. Dynamic Contrast-Enhanced Magnetic Resonance Imaging for Assessment of Antiangiogenic Treatment Effects in Multiple Myeloma. Clin. Cancer Res. 2014, 21, 106–112. [Google Scholar] [CrossRef]
- Giles, S.L.; Messiou, C.; Collins, D.J.; Morgan, V.A.; Simpkin, C.J.; West, S.; Davies, F.E.; Morgan, G.J.; de Souza, N.M. Whole-body diffusion-weighted MR imaging for assessment of treatment response in myeloma. Radiology 2014, 271, 785–794. [Google Scholar] [CrossRef]
- Messiou, C.; Kaiser, M. Whole body diffusion weighted MRI—A new view of myeloma. Br. J. Haematol. 2015, 171, 29–37. [Google Scholar] [CrossRef]
- Wu, C.; Huang, J.; Xu, W.B.; Guan, Y.J.; Ling, H.W.; Mi, J.Q.; Yan, H. Discriminating Depth of Response to Therapy in Multiple Myeloma Using Whole-body Diffusion-weighted MRI with Apparent Diffusion Coefficient: Preliminary Results from a Single-center Study. Acad. Radiol. 2018, 25, 904–914. [Google Scholar] [CrossRef]
- Messiou, C.; Hillengass, J.; Delorme, S.; Lecouvet, F.E.; Moulopoulos, L.A.; Collins, D.J.; Blackledge, M.D.; Abildgaard, N.; Østergaard, B.; Schlemmer, H.P. Guidelines for Acquisition, Interpretation, and Reporting of Whole-Body MRI in Myeloma: Myeloma Response Assessment and Diagnosis System (MY-RADS). Radiology 2019, 291, 5–13. [Google Scholar] [CrossRef]
- Messiou, C.; Giles, S.; Collins, D.J.; West, S.; Davies, F.E.; Morgan, G.J.; de Souza, N.M. Assessing response of myeloma bone disease with diffusion weighted MRI. Br. J. Radiol. 2012, 85, 1198–1203. [Google Scholar] [CrossRef]
- Rasche, L.; Angtuaco, E.; McDonald, J.E.; Buros, A.; Stein, C.; Pawlyn, C.; Thanendrarajan, S.; Schinke, C.; Samant, R.; Yaccoby, S.; et al. Low expression of hexokinase-2 is associated with false-negative FDG-positron emission tomography in multiple myeloma. Blood 2017, 130, 30–34. [Google Scholar] [CrossRef] [PubMed]
- Abe, Y.; Ikeda, S.; Kitadate, A.; Narita, K.; Kobayashi, H.; Miura, D.; Takeuchi, M.; O’uchi, E.; O’uchi, T.; Matsue, K. Low hexokinase-2 expression-associated false-negative 18F-FDG PET/CT as a potential prognostic predictor in patients with multiple myeloma. Eur. J. Nucl. Med. Mol. Imaging 2019, 46, 1345–1350. [Google Scholar] [CrossRef] [PubMed]
- Beksac, M.; Gunduz, M.; Ozen, M.; Bakanay Ozturk, S.M.; Kucuk, O.; Ozkan, E. Impact of PET-CT response on survival parameters following autologous stem cell transplantation among patients with multiple myeloma: Comparison of two cut-off values. Blood 2014, 124, 3983. [Google Scholar] [CrossRef]
- Boellaard, R.; Delgado-Bolton, R.; Oyen, W.J.G.; Giammarile, F.; Tatsch, K.; Eschner, W.; Verzijlbergen, F.J.; Barrington, S.F.; Pike, L.C.; Weber, W.A.; et al. FDG PET/CT: EANM procedure guidelines for tumour imaging: Version 2.0. Eur. J. Nucl. Med. Mol. Imaging 2015, 42, 328–354. [Google Scholar] [CrossRef]
- Fonti, R.; Larobina, M.; Del Vecchio, S.; De Luca, S.; Fabbricini, R.; Catalano, L.; Pane, F.; Salvatore, M.; Pace, L. Metabolic tumor volume assessed by ¹⁸F-FDG PET/CT for the prediction of outcome in patients with multiple myeloma. J. Nucl. Med. 2012, 53, 1829–1835. [Google Scholar] [CrossRef]
- Mesguich, C.; Fardanesh, R.; Tanenbaum, L.; Chari, A.; Jagannath, S.; Kostakoglu, L. State of the art imaging of multiple myeloma: Comparative review of FDG PET/CT imaging in various clinical settings. Eur. J. Radiol. 2014, 83, 2203–2223. [Google Scholar] [CrossRef]
- Biggi, A.; Gallamini, A.; Chauvie, S.; Hutchings, M.; Kostakoglu, L.; Gregianin, M.; Meignan, M.; Malkowski, B.; Hofman, M.S.; Barrington, S.F. International validation study for interim PET in ABVD-treated advanced-stage Hodgkin lymphoma: Interpretation criteria and concordance rate among reviewers. J. Nucl. Med. 2013, 54, 683–690. [Google Scholar] [CrossRef]
- Shengming, D.; Bin, Z.; Zhou, Y.; Xu, X.; Li, J.; Sang, S.; Zhang, W. The Role of 18F-FDG PET/CT in Multiple Myeloma Staging according to IMPeTUs: Comparison of the Durie–Salmon Plus and Other Staging Systems. Contrast Media Mol. Imaging 2018, 2018. [Google Scholar] [CrossRef]
- Barlogie, B.; Anaissie, E.; Van Rhee, F.; Haessler, J.; Hollmig, K.; Pineda-Roman, M.; Cottler-Fox, M.; Mohiuddin, A.; Alsayed, Y.; Tricot, G.; et al. Incorporating bortezomib into upfront treatment for multiple myeloma: Early results of total therapy 3. Br. J. Haematol. 2007, 138, 176–185. [Google Scholar] [CrossRef]
- Jamet, B.; Bailly, C.; Carlier, T.; Touzeau, C.; Nanni, C.; Zamagni, E.; Barré, L.; Michaud, A.V.; Chérel, M.; Moreau, P.; et al. Interest of Pet Imaging in Multiple Myeloma. Front. Med. 2019, 6, 69. [Google Scholar] [CrossRef]
- Lapa, C.; Garcia-Velloso, M.J.; Lückerath, K.; Samnick, S.; Schreder, M.; Rodriguez Otero, P.; Schmid, S.J.; Herrmann, K.; Knop, S.; Buck, A.K.; et al. 11 C-Methionine-PET in Multiple Myeloma: A Combined Study from Two Different Institutions. Theranostics 2017, 7, 2956–2964. [Google Scholar] [CrossRef] [PubMed]
- Morales-Lozano, M.I.; Viering, O.; Samnick, S.; Rodriguez Otero, P.; Buck, A.K.; Marcos-Jubilar, M.; Rasche, L.; Prieto, E.; Kortüm, K.M.; San-Miguel, J.; et al. 18F-FDG and 11 C-Methionine PET/CT in Newly Diagnosed Multiple Myeloma Patients: Comparison of Volume-Based PET Biomarkers. Cancers 2020, 12, 1042. [Google Scholar] [CrossRef] [PubMed]
- Imataki, O.; Uchida, S.; Yokokura, S.; Uemura, M.; Kadowaki, N. Methionine PET Might Be Reliable for the Detection of Low M-Protein-Producing Myelomas. Clin. Nucl. Med. 2017, 42, e469–e471. [Google Scholar] [CrossRef] [PubMed]
- Caldarella, C.; Annunziata, S.; Pagano, L.; De Stefano, V.; Rufini, V. Improved Detection of Minimal Residual Disease by 11C-Methionine PET/CT in a Young Patient with Unusual Extramedullary Presentation of Recurrent Multiple Myeloma. Clin. Nucl. Med. 2017, 42, e130–e134. [Google Scholar] [CrossRef] [PubMed]
- Hansen, C.T.; Pedersen, P.T.; Nielsen, L.C.; Abildgaard, N. Evaluation of the serum free light chain (sFLC) analysis in prediction of response in symptomatic multiple myeloma patients: Rapid profound reduction in involved FLC predicts achievement of VGPR. Eur. J. Haematol. 2014, 93, 407–413. [Google Scholar] [CrossRef]
- Lückerath, K.; Lapa, C.; Albert, C.; Herrmann, K.; Jörg, G.; Samnick, S.; Einsele, H.; Knop, S.; Buck, A.K. 11C-Methionine-PET: A novel and sensitive tool for monitoring of early response to treatment in multiple myeloma. Oncotarget 2015, 6, 8418–8429. [Google Scholar] [CrossRef]
- Lapa, C.; Kircher, M.; Da Via, M.; Schreder, M.; Rasche, L.; Kortüm, K.M.; Einsele, H.; Buck, A.K.; Hänscheid, H.; Samnick, S. Comparison of 11C-Choline and 11C-Methionine PET/CT in Multiple Myeloma. Clin. Nucl. Med. 2019, 44, 620–624. [Google Scholar] [CrossRef]
- Sachpekidis, C.; Goldschmidt, H.; Kopka, K.; Kopp-Schneider, A.; Dimitrakopoulou-Strauss, A. Assessment of glucose metabolism and cellular proliferation in multiple myeloma: A first report on combined 18 F-FDG and 18 F-FLT PET/CT imaging. EJNMMI Res. 2018, 8, 28. [Google Scholar] [CrossRef]
- Lin, C.; Ho, C.L.; Ng, S.H.; Wang, P.N.; Huang, Y.; Lin, Y.C.; Tang, T.C.; Tsai, S.F.; Rahmouni, A.; Yen, T.C. (11)C-acetate as a new biomarker for PET/CT in patients with multiple myeloma: Initial staging and postinduction response assessment. Eur. J. Nucl. Med. Mol. Imaging 2014, 41, 41–49. [Google Scholar] [CrossRef]
- Pandit-Taskar, N.; O’Donoghue, J.A.; Divgi, C.R.; Wills, E.A.; Schwartz, L.; Gönen, M.; Smith-Jones, P.; Bander, N.H.; Scher, H.I.; Larson, S.M.; et al. Indium 111-labeled J591 anti-PSMA antibody for vascular targeted imaging in progressive solid tumors. EJNMMI Res. 2015, 5, 28. [Google Scholar] [CrossRef]
- Sasikumar, A.; Joy, A.; Pillai, M.R.; Nanabala, R.; Thomas, B. 68Ga-PSMA PET/CT imaging in multiple myeloma. Clin. Nucl. Med. 2017, 42, e126–e127. [Google Scholar] [CrossRef] [PubMed]
- Lapa, C.; Schreder, M.; Schirbel, A.; Samnick, S.; Kortüm, K.M.; Herrmann, K.; Kropf, S.; Einsele, H.; Buck, A.K.; Wester, H.J.; et al. [68Ga]Pentixafor-PET/CT for imaging of chemokine receptor CXCR4 expression in multiple myeloma—Comparison to FDGand laboratory values. Theranostics 2017, 7, 205–212. [Google Scholar] [CrossRef] [PubMed]
- Hovhannisyan, N.; Dhilly, M.; Fidalgo, M.; Fillesoye, F.; Guillouet, S.; Brigitte, S.; Barré, L. [18F]Fludarabine-PET in a murine model of multiple myeloma. PLoS ONE 2017, 12, e0177125. [Google Scholar] [CrossRef] [PubMed]
- Bailly, C.; Gouard, S.; Lacombe, M.; Remaud-Le Saëc, P.; Chalopin, B.; Bourgeois, M.; Chouin, N.; Tripier, R.; Halime, Z.; Haddad, F.; et al. Comparison of Immuno-PET of CD138 and PET imaging with 64CuCl2 and 18F-FDG in a preclinical syngeneic model of multiple myeloma. Oncotarget 2018, 9, 9061–9072. [Google Scholar] [CrossRef][Green Version]



| Ref | First Author, Year | Country | Number of Patients | Population | Study Design | Administered Therapy | Timepoint | Follow-Up Duration | Images Evaluation | Endpoint/Gold Standard | Major Findings |
|---|---|---|---|---|---|---|---|---|---|---|---|
| [19] | Jadvar, H., 2002 | USA | 6 | MM | PCS | CTx + auto-BMT | Baseline and 3 months after therapy | n.a. | Qualitative | CO | Clinical outcome following treatment administration is paralleled by FDG uptake changes |
| [20] | Mileshkin, L., 2004 | Australia | 69 | MM | RS | RT | Baseline | n.a. | Qualitative | n.a. | FDG PET allows the evaluation of the presence of ongoing disease activity in previously irradiated sites remaining abnormal at skeletal imaging after treatment |
| [5] | Bredella, M.A., 2005 | USA | 9/13 | MM | RS | CTx, RT, surgery, or BMT | Baseline and 3 months after therapy | n.a. | Qualitative, semiquantitative (SUVmax, SUVmean) | CO | FDG PET was helpful in describing post-therapeutic changes. However, there was one false-positive FDG PET result in a patient who had undergone RT three weeks before PET |
| [6] | Zamagni, E., 2007 | Italy | 23/46 | MM | PCS | Auto-BMT | Baseline and 3 months after therapy | n.a. | Qualitative, semiquantitative (SUVmax) | M protein concentration, MRI, CO | FDG PET/CT overcame MRI in the evaluation of the response following BMT |
| [21] | Kim, P.J., 2008 | USA, Australia | 11/17 | Plasmacytoma | RS | RT | Baseline and 2–4 months after therapy | 4–96 months | Qualitative, semiquantitative (SUVmax) | CO | Restaging PET scans after RT successfully assessed the response to treatment in all. Of note, two patients showed late responses |
| [16] | Bartel, T.B., 2009 | USA | 239 | MM | PCS | Total Therapy 3 scheme [22] | Baseline, before each BMT, before consolidation and maintenance and semiannually thereafter | 43 months (median) | Qualitative, semiquantitative (SUVmax) | PFS and OS | MM survival can be improved by altering treatment in patients in whom FDG suppression is not achieved after induction CTx |
| [23] | Dimitrakopoulou-Strauss, A., 2009 | Germany | 19 | MM | PCS | CTx | Baseline and 2–5 weeks after therapy | 0–64.1 months | Qualitative, semiquantitative and dynamic imaging parameters calculated according to Patlak model | PFS | Early FDG kinetics studies (after 1 cycle of CTx) successfully predict the subsequent PFS in MM |
| [24] | Sager, S., 2011 | Turkey | 10/42 | MM, plasmacytoma | RS | n.a. | Baseline and 3 weeks after therapy | At least 6 months | Qualitative, semiquantitative (SUV) | CO | FDG PET allows the evaluation of the presence of ongoing disease activity in previously irradiated sites remaining abnormal at skeletal imaging after treatment |
| [12] | Zamagni, E., 2011 | Italy | 192 | MM | PCS | Induction CTx and double auto-BMT | Baseline, within 10 days after induction therapy, 3 months after auto-BMT, during follow-up and at the time of relapse | 42 months (median) | Qualitative, semiquantitative (SUVmax) | PFS and OS | The persistence of hypermetabolic lesions after induction CTx is an early predictor for shorter PFS. Three months after auto-BMT, a negative FDG PET/CT is associated with a more favorable 4-year rate of PFS and OS with respect to PET-positive |
| [11] | Derlin, T., 2012 | Germany | 99 | MM | RS | Auto or allo-BMT | post-BMT setting (median interval 33.9 ± 31.5 months, range 1.2–143.1) | n.a. | Qualitative, semiquantitative (SUVmax) | CO | Post-BMT FDG PET/CT contributes to the restaging but has a substantially lower sensitivity for this purpose compared with the pretreatment setting |
| [25] | Derlin, T., 2013 | Germany | 31 | MM | RS | Autologus or allogenic BMT | post-BMT setting (median interval 37.4 ± 38.1 months, range 2.4–143.1). | n.a. | Qualitative, semiquantitative (SUVmax) | Clinical remission status (Uniform Response Criteria) | PET/CT is more accurate than MRI for the determination of the remission status after BMT |
| [26] | Nanni, C., 2013 | Italy | 107 | MM | PCS | Auto-BMT | Baseline, after 3 months from BMT and every 6–12 months during follow-up | 41 months (mean) | Qualitative, semiquantitative (SUVmax) | DFS, TTR | In the post-BMT setting, a negative FDG PET/CT predicts favorable DFR and TTR while metabolically active disease persistency is correlated with shorter TTR |
| [27] | Usmani, S.Z., 2013 | USA | 302 | MM | PCS | Total Therapy 3 scheme [22] | Baseline, at day 7 from induction and before the first BMT | 6.8 years (TTR 3A) and 4.3 years (TTR 3B) | Qualitative, semiquantitative (SUVmax) | CRD, PFS, OS | The presence of more than 3 PET focal lesions after day 7 first cycle of induction CTx predicts inferior PFS and OS |
| [28] | Patriarca, F., 2015 | Italy | 59/67 | MM | RS | Allo-BMT | Baseline, after 6 months from BMT and every 12 months in the follow-up | 6 months (range 1–122) | Qualitative, semiquantitative (SUVmax) | PFS, OS | The persistence of extramedullary disease and a failure to obtain a metabolic response after allo-BMT are associated with shorter PFS and OS |
| [15] | Zamagni, E., 2015 | Italy | 282 | MM | RS | CTx and/or BMT | Baseline, after 3 months from the first line of therapy and every 12–18 months during post-treatment follow-up | 67 months (median) | Qualitative, semiquantitative (SUVmax) | PFS, OS | The failure to achieve a compete metabolic response after the first-line treatment predicts lower PFS and OS |
| [29] | Li, Y., 2017 | China | 67/98 | MM | PCS | CTx and BMT | Baseline, after BMT | 16.63 months (range 4.97–33.33) | Qualitative, semiquantitative (SUVmax, T/Mmax) | DFS, OS | T/Mmax overcomes SUVmax for the evaluation of the treatment response |
| [30] | Nanni, C., 2016 | Italy | 17 | MM | PCS | CTx and BMT | Baseline, after induction, end of therapy | n.a. | Qualitative, semiquantitative (SUVmax), IMPeTUs criteria | n.a. | Response assessment by means of IMPeTUs criteria is feasible in the clinical practice |
| [31] | Sachpekidis, C., 2017 | Germany | 29/34 | MM | PCS | CTx and BMT | Baseline, after 3 months from therapy | 15–52 months | Qualitative, semiquantitative (SUVmax), quantitative | PFS, OS | 18F-NaF PET/CT does not add significantly to 18F-FDG PET/CT in the treatment response evaluation of MM |
| [32] | Moreau, P., 2017 | France | 134 | MM | PCS | CTx +/− BMT | Baseline, after three cycles of CTx and before maintenance | 30 months | Qualitative, semiquantitative (SUVmax) | PFS, OS | FDG PET/CT normalization before maintenance is associated with better PFS and OS |
| [33] | Stolzenburg, A., 2018 | Germany, USA | 52 | MM | RS | Allo-BMT | Before and after BMT (91 ± 50 days after) | 62.3 months (range 29–124) | Qualitative, semiquantitative (SUVmax) | PFS, OS | FDG PET/CT negativity prior to or following allo-BMT is a favorable prognostic factor for PFS and OS |
| [34] | Basha, M.A., 2018 | Egypt | 22/56 | MM | PCS | CTx, RT or BMT | Baseline, after 6 months from therapy | 9 months | Qualitative, semiquantitative (SUVmax) | CO, bone marrow biopsy | FDG PET/CT is more specific than whole-body MRI in detecting residual disease in treated patients |
| [35] | Nanni, C., 2018 | Italy | 86 | MM | PCS | CTx and BMT | Baseline, after induction, end of therapy | n.a. | Qualitative, semiquantitative (SUVmax), IMPeTUs criteria | n.a. | Response assessment by means of IMPeTUs criteria is highly reproducible in the clinical practice |
| [22] | Zamagni, E., 2018 | International multicentric | 236 | MM | PCS | CTx and BMT | Baseline, prior to the start of maintenance | 62.9 months (median) | Qualitative, semiquantitative (SUVmax), IMPeTUs criteria | PFS, OS | Reduction of the focal lesion and bone marrow FDG uptake to a lower degree than the liver after therapy independently predicts PFS and OS |
| [36] | Bailly, C., 2018 | France | 71 | MM | PCS | CTx | Baseline and after three cycles of CTx | 21.5 months (median) | Qualitative, semiquantitative (SUVmax, ΔSUVmax), IMPeTUs criteria | BR, PFS | Early FDG PET/CT response assessment (interim) predicts the long-term CO |
| [37] | Ripani, D., 2019 | Italy | 28 | MM | RS | CTx and BMT | Baseline and 4.8 ± 1.5 months after treatment completion | 48.2 ± 9.8 months (mean) | Qualitative and semiquantitative (SUVmax, SUVmean, SUVpeak, MTVsum, TLGsum, rPET, qPET) | TMP | Semiquantitative normalized FDG PET-CT parameters outperform non-normalized indexes in the prediction of persistent response to treatment |
| [38] | Nakuz, T.S., 2019 | Austria | 7 | MM | PCS | CTx, RT, BMT | Baseline, at 10 and 17 months from therapy beginning | 45 months (median) | Qualitative, semiquantitative (SUVmax, SUVpeak, SUVmean) | BR | FDG PET/CT overcomes NaF PET/CT in the description of persistent treatment-related metabolic changes |
| [39] | Zamagni, E., 2020 | International multicentric | 228 | MM | PCS | CTx +/− BMT | Baseline, after induction CTx, before maintenance | 62.9 months (median) | Qualitative, semiquantitative (SUVmax), IMPeTUs criteria | PFS, OS | After therapy focal lesions and bone marrow FDG uptake lower than the liver background independently predicts PFS and OS |
| [40] | Paternain, A., 2020 | Spain | 27 | MM | PCS | CTx +/− BMT | Baseline, after treatment (median 102 days after) | n.a. | Qualitative, semiquantitative (SUVmax), IMPeTUs criteria | IMWG response criteria | DWI-MRI and ADC correlates with FDG PET/CT and the IMWG response criteria |
| [41] | Zirakchian Zadeh, M., 2020 | USA | 36 | MM | PCS | CTx +/− auto-BMT | At baseline and after therapy | n.a. | Semiquantitative: global SUVmean (GSUVmean) | IMWG response criteria | Dual time point (1 and 3 h post-injection) FDG PET/CT imaging may improve the treatment response assessment |
| Ref | First Author, Year | Country | Number of Patients | Population | Tracer | Study Design | Administered Therapy | Timepoint | Follow-Up Duration | Images Evaluation | Endpoint/Gold Standard | Major Findings |
|---|---|---|---|---|---|---|---|---|---|---|---|---|
| [70] | Lin, C., 2014 | Taiwan | 13/15 | MM | ACT | PCS | Induction therapy | Baseline and post-induction therapy | 4 months | Qualitative, semiquantitative (SUVmax) | CO, FDG PET/CT, MRI | Acetate PET/CT showed a higher detection rate for myeloma lesions at diagnosis than using 18F-FDG and may be valuable for response evaluation |
| [65] | Caldarella, C., 2017 | Italy | 1 | Extramedullary relapse of MM | MET | RS | CTx | Baseline and post-CTx | n.a. | Qualitative | FDG PET/CT | Additional role of MET PET/CT in comparison with FDG PET/CT in depicting possible residual disease after treatment in extramedullary vulvar relapse of MM in a young patient |
| [64] | Imataki, O., 2017 | Japan | 1 | Serologically less active myeloma | MET | RS | CTx | Baseline and after CTx | n.a. | Qualitative | FDG PET/CT | MET-PET/CT is more sensitive than FDG-PET in patients with serologically less active myeloma |
| [73] | Lapa, C., 2017 | Germany | 35 | MM | Pentixafor | RS | CTx + 28/35 auto-BMT | After CTx + 28/35 auto-BMT | n.a. | Qualitative, semiquantitative (SUVmax, SUVmean) | OS, PFS, FDG PET/CT | Pentixafor-PET/CT provides further evidence that CXCR4 expression frequently occurs in advanced MM, representing a negative prognostic factor and a potential target for specific treatment |
| [62] | Lapa, C., 2017 | Germany and Spain | 78 | Plasmacytoma, SMM, MM | MET | PCS | Baseline or CTx/RT/auto-BMT | Baseline or after therapy | n.a. | Qualitative, semiquantitative (SUVmax) | Histologic plasma cell infiltration, FDG PET/CT | MET PET/CT shows higher sensitivity in comparison with standard FDG to detect intra and extramedullary MM |
| [31] | Sachpekidis, C., 2017 | Germany | 34 | MM | NaF | PCS | CTx + auto BMT | Baseline and after therapy | 15–52 months | Qualitative, semiquantitative (SUVmax, SUVmean) | OS, PFS, FDG PET/CT | NaF PET/CT did not aid significantly in treatment response assessment of MM patients, at least in an early phase |
| [72] | Sasikumar, A., 2017 | India | 1 | Plasmacytoma | PSMA | RS | Baseline | baseline | n.a. | Qualitative | FDG PET/CT | PSMA PET/CT allows the imaging of MM |
| [69] | Sachpekidis, C., 2018 | Germany | 12 | MM, SMM | FLT | PCS | Baseline or CTx + auto-BMT | 11/12 baseline | n.a. | Quantitative, semiquantitative (SUVmax, SUVmean), quantitative | FDG PET/CT | FLT does not seem suitable as a single tracer in MM diagnostics |
| [68] | Lapa, C., 2019 | Germany | 19 | MM, plasmacytoma | MET and choline | RS | Baseline | Baseline | n.a. | Qualitative, semiquantitative (SUVmax, SUVmean) | BM biopsy | MET PET/CT could be more sensitive than choline PET/CT for the detection of active MM lesions |
| [29] | Nakuz, T.S., 2019 | Austria | 7 | MM | NaF | RS | Baseline | Baseline and after therapy | 7–22 months | Qualitative, semiquantitative (SUVmax, SUVmean) | CO, BM infiltration, FDG PET/CT | NaF PET/CT as a marker of bone mineralization was shown to be significantly decreased after first-line therapy |
| [63] | Morales-Lozano, M.I., 2020 | Germany | 22 | MM | MET | RS | Baseline | Baseline | n.a. | Qualitative, semiquantitative (SUVmax, SUVmean, SUVpeak, MTV), quantitative | CO, R-ISS, M protein concentration, FDG PET/CT | MET PET/CT is a more sensitive marker for the assessment of myeloma tumor burden than 18F-FDG |
Publisher’s Note: MDPI stays neutral with regard to jurisdictional claims in published maps and institutional affiliations. |
© 2021 by the authors. Licensee MDPI, Basel, Switzerland. This article is an open access article distributed under the terms and conditions of the Creative Commons Attribution (CC BY) license (http://creativecommons.org/licenses/by/4.0/).
Share and Cite
Ferrarazzo, G.; Chiola, S.; Capitanio, S.; Donegani, M.I.; Miceli, A.; Raffa, S.; Tagliafico, A.S.; Morbelli, S.; Bauckneht, M. Positron Emission Tomography (PET) Imaging of Multiple Myeloma in a Post-Treatment Setting. Diagnostics 2021, 11, 230. https://doi.org/10.3390/diagnostics11020230
Ferrarazzo G, Chiola S, Capitanio S, Donegani MI, Miceli A, Raffa S, Tagliafico AS, Morbelli S, Bauckneht M. Positron Emission Tomography (PET) Imaging of Multiple Myeloma in a Post-Treatment Setting. Diagnostics. 2021; 11(2):230. https://doi.org/10.3390/diagnostics11020230
Chicago/Turabian StyleFerrarazzo, Giulia, Silvia Chiola, Selene Capitanio, Maria Isabella Donegani, Alberto Miceli, Stefano Raffa, Alberto Stefano Tagliafico, Silvia Morbelli, and Matteo Bauckneht. 2021. "Positron Emission Tomography (PET) Imaging of Multiple Myeloma in a Post-Treatment Setting" Diagnostics 11, no. 2: 230. https://doi.org/10.3390/diagnostics11020230
APA StyleFerrarazzo, G., Chiola, S., Capitanio, S., Donegani, M. I., Miceli, A., Raffa, S., Tagliafico, A. S., Morbelli, S., & Bauckneht, M. (2021). Positron Emission Tomography (PET) Imaging of Multiple Myeloma in a Post-Treatment Setting. Diagnostics, 11(2), 230. https://doi.org/10.3390/diagnostics11020230

