You are currently viewing a new version of our website. To view the old version click .
Diagnostics
  • Review
  • Open Access

29 January 2021

Immunohistochemical Biomarkers as a Surrogate of Molecular Analysis in Ovarian Carcinomas: A Review of the Literature

,
,
,
,
,
,
and
1
Clinical and Experimental Medicine PhD Program, University of Modena and Reggio Emilia, 41121 Modena, Italy
2
Pathology Unit, AUSL-IRCCS Reggio Emilia, 42123 Reggio Emilia, Italy
3
Oncology Unit, AUSL-IRCCS Reggio Emilia, 42123 Reggio Emilia, Italy
4
Molecular Diagnostic Unit, AUSL Bologna, Department of Experimental, Diagnostic and Specialty Medicine, University of Bologna, 40138 Bologna, Italy
This article belongs to the Special Issue Tissue-Based Biomarkers of Solid Tumors in the Routine Clinical Setting

Abstract

The term “ovarian carcinoma” encompasses at least five different malignant neoplasms: high-grade serous carcinoma, low-grade serous carcinoma, endometrioid carcinoma, mucinous carcinoma, and clear cell carcinoma. These five histotypes demonstrated distinctive histological, molecular, and clinical features. The rise of novel target therapies and of a tailored oncological approach has demanded an integrated multidisciplinary approach in the setting of ovarian carcinoma. The need to implement a molecular-based classification in the worldwide diagnostic and therapeutic setting of ovarian cancer demanded a search for easy-to-use and cost-effective molecular-surrogate biomarkers, relying particularly on immunohistochemical analysis. The present review focuses on the role of immunohistochemistry as a surrogate of molecular analysis in the everyday diagnostic approach to ovarian carcinomas.

1. Introduction

Ovarian epithelial cancer (OC) is the eighth most common malignant neoplasm in female patients and the seventh greatest cause of cancer death worldwide [1,2,3,4,5,6,7]. Although several questions regarding the molecular heterogeneity and the pathogenesis of OC still remain open, in the past century great efforts have been devoted to understand the complex landscape of OC. In 2010, Kurman and Shih proposed the first attempt at a molecular classification of OCs, which were divided in two main groups: (1) Type I carcinomas, comprising low-grade serous carcinoma (LGSC), low-grade endometrioid ovarian carcinomas (ENOC), clear cell carcinomas (CCC), mucinous carcinomas (MC) and malignant Brenner tumors; (2) Type II carcinomas, including high-grade serous carcinomas (HGSC), high-grade ENOCs, undifferentiated carcinomas, and carcinosarcomas. Type I carcinomas were generally associated with a good prognosis, while Type II carcinomas, typically TP53-mutated, were characterized by aggressive clinical behavior and poor outcomes [8,9]. From this dualistic classification, the introduction of new molecular technologies expanded our knowledge of OCs and demonstrated at least five main entities with independent histological, clinicopathological, and molecular features: HGSCs, LGSCs, ENOCs, MCs, and CCCs. The Cancer Genome Atlas Network (TCGA) studies on HGSC and endometrial carcinomas pushed our knowledge even further [10,11]. Although still in an early phase of development, the need for a molecular-based classification is growing, in order to better stratify and develop target tailored therapies for OC patients. This molecular-based approach has notable limitations, in particular regarding cost-effectiveness; therefore the search for an easily available and cost-effective surrogate for molecular analysis shifted to alternative methods such as immunohistochemistry (IHC) and traditional targeted DNA sequencing. The aim of the present study is to review recent evidence on the molecular biology of OCs, focusing on the development of immunohistochemical biomarkers as surrogates for molecular classification.

2. High-Grade Serous Carcinoma

HGSC is the most common epithelial malignancy of the tubo-ovarian district, responsible for almost 70% of OCs [2]. The majority of HGSCs present at advanced clinical stage and the overall five-year survival is poor, ranging from 10 to 40% [1]. Currently, two main subtypes of HGSC are recognized on histologic examination:
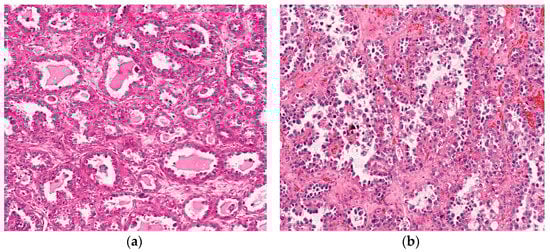
  • Classic histotype: characterized by a papillary, micropapillary, and/or solid architecture, marked nuclear pleomorphism and high mitotic index (Figure 1a).
    Figure 1. (a) High-grade serous carcinoma, classic histology. Papillary and micropapillary architecture with marked cytological atypia, atypical mitoses, and tumor necrosis (hematoxylin-eosin; ×100); (b) high-grade serous carcinoma, SET variant, with pseudoglandular (red arrow) and solid (blue arrow) architectural patterns (hematoxylin-eosin; ×100).
  • “SET” variant (solid-pseudoendometrioid and transitional): characterized by an admixture of solid, glandular/endometrioid-like, and transitional/malignant Brenner-like growth patterns), higher mitotic index compared to the classic histotype, and a high number of tumor-infiltrating lymphocytes (TILs) (Figure 1b). In 2012, a study from Soslow et al. demonstrated a statistical association between BRCA1/2 mutation and SET morphology [12]
The TCGA project revealed a surprisingly simple spectrum of mutations in HGSC [10]. TP53 mutation has been observed in almost all tubo-ovarian HGSCs (96%), followed by alteration of homologous recombination repair-related genes such as BRCA1/2.
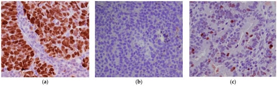
The use of an optimized p53 IHC staining as a molecular surrogate for TP53 mutations was investigated by Köbel et al., 2016 [13,14]. An almost perfect correlation between p53 IHC and TP53 mutation was obtained when a binary p53 IHC scoring system was adopted:
  • p53 intense nuclear positivity in >80% tumor cells (overexpression pattern), complete absence of expression (null pattern) or cytoplasmic expression without nuclear staining were scored as p53 “abnormal” (p53abn) and correlated with TP53 mutation (Figure 2a,b).
    Figure 2. High-grade serous carcinoma, p53 abnormal immunohistochemical patterns. (a) p53 overexpression (DO7 clone; ×400); (b) p53 complete absence of expression (null pattern) (DO7 clone; ×400); (c) p53 wild-type pattern (DO7 clone; ×400).
  • heterogeneous p53 expression was scored as “wild-type” (p53wt) and correlated with a TP53-wildtype gene (Figure 2c).
Though p53 mutational pattern is now considered a reliable marker for a diagnosis of HGSC, two important caveats have to be considered: (1) 4% of HGSCs are p53 wild-type; (2) almost 20% of ovarian endometrioid grade 3 carcinomas (morphologically similar to HGSC) and a minor subset of CCC are p53abn [15,16]. TP53-wildtype HGSC, albeit rarely encountered, can represent a potential diagnostic pitfall, as grade 3 endometrioid carcinoma, often TP53-wildtype, can mimic a SET variant of HGSC. The following criteria could help in the differential diagnosis:
  • Association with serous tubal intraepithelial carcinoma (STIC), low-grade serous-like areas, WT1 IHC positivity, mutation of CCNE1, BRCA1/2, and MDM2 amplification support the diagnosis of TP53-wildtype HGSC [17].
  • Association with endometriosis, endometrioid cystadenofibroma, and borderline endometrioid tumor, as well as WT1 IHC negativity, support the diagnosis of p53abn grade 3 ENOC [18].
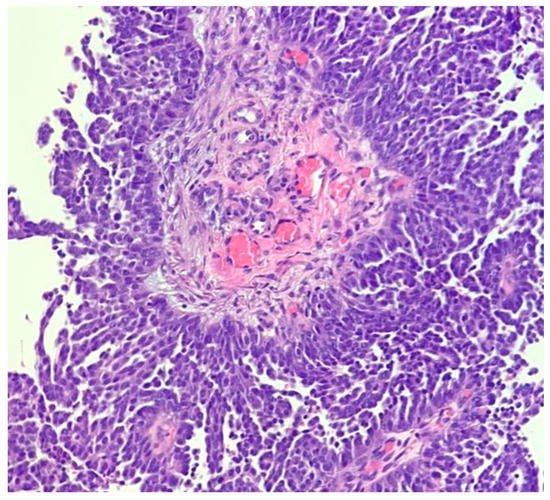
The adoption of prophylactic salpingo-oophorectomy in patients with BRCA mutation and extensive adnexal sampling via the so-called SEE-Fim protocol (sectioning and extensively examining the FIMbriated end) provided a basis to identify potential early lesions in the tubo-ovarian district [19]. This resulted in the discovery of the distal fimbria epithelium as a putative precursor for HGSC development via early TP53 mutation [20,21,22,23]. A combined morphologic-immunohistochemical analysis, based on the degree of nuclear atypia, p53 expression, and Ki-67 index, was proposed to identify a spectrum of tubal lesions named p53 signature, serous tubal intraepithelial lesion (STIL) and STIC (Figure 3) [23,24]. Though reporting p53 signature and STIL is not considered of clinical interest, the last WHO classification of the Tumours of the Female Genital Tract and the AJCC Cancer Staging Manual encouraged thorough examination of the fimbria to search for STIC [1,25]. Albeit STIC is an intraepithelial lesion, it demonstrated a peritoneal metastatic potential; thus, STIC should not be considered a precancerous lesion, but a de facto early-stage HGSC.
Figure 3. (a) Diagnostic algorithm to classify tubal lesions (adapted from R. Vang et al.). abn: abnormal; STIC: serous tubal intraepithelial carcinoma; STIL: serous tubal intraepithelial lesion; wt: wild type. (b) An example of STIC (top: marked nuclear atypia, hematoxylin-eosin, ×400; bottom: p53-overexpression, DO7 clone, ×400).
BRCA1 and BRCA2 are tumor suppressor genes involved in the so-called homologous recombination repair system (HR). In the event of DNA double-strand breaks or DNA damage at a replication fork, the cells undergo a repair via HR, recruiting the sister chromatid as a template for DNA replication [26]. In particular, BRCA1 together with BARD1 and BRIP1 recruit the so-called MRN complex (MRE11, RAD50, and NBS1) at the site of the damage. The MRN complex then resects the 5′ strand, while BRCA2 is responsible for loading RAD51 protein at the site of the single-strand DNA stretch to initiate the homologous DNA invasion [27]. In the event of HR deficiency, the damaged cell undergoes DNA repair via non-homologous end joining, a more error-prone DNA repair system, leading to genetic instability. BRCA1/2 germinal loss of function is the driver mutation of the so-called hereditary breast and ovarian carcinoma syndrome (HBOC). HGSCs are the most commonly found ovarian histotype in HBOC patients.
Considering germline BRCA1 and BRCA2 pathogenic variants (8% and 9% of the cases respectively), BRCA1 and BRCA2 somatic mutations (3% overall), and other alterations such as hypermethylation of BRCA1 promoter and mutations in other HR-related genes such as RAD51C, ATM, PALB2, CDK12, CHEK2, etc., almost 50% of HGSCs could be classified as homologous recombination deficient (HRD) [28,29,30,31].
In a study by Meisel et al., immunohistochemistry for BRCA1/2 as a surrogate biomarker for BRCA mutation showed high sensitivity (86.2%) and negative predictive value (95.4%). However, it demonstrated poor specificity (78.3%) and positive predictive value (52.1%), therefore IHC-only testing should not be considered sufficient for the detection of BRCA genes status [32,33]. Homologous recombination repair functionality has been tested in breast and endometrial carcinoma via immunofluorescence with excellent results, making it a promising alternative tool to identify HRD tumors. However, no immunofluorescence HRD-test has been carried on OCs to date: further studies are therefore needed to routinely implement HRD testing on OC [34,35,36,37].
The adoption of a routine workflow to identify BRCA1/2 mutations has been highlighted with the introduction of poly(ADP-ribose) polymerase inhibitors (PARPi) as maintenance therapy in platinum-sensitive OCs [38,39]. PARPi selectively inhibit the enzyme poly(ADP-ribose) polymerase (PARP), involved in DNA single-strand break repair. In the event of BRCA1/2 loss, tumor cells are unable to undergo DNA repair via HR and single-strand break repair, causing irreparable damage and, ultimately, cell death. Several clinical trials, after the milestone SOLO1 trial, demonstrated a statistically significant better outcome in BRCA germline-mutated patients [40]. However, to expand the potential number of patients that could benefit from a PARPi treatment, several ongoing studies are focusing on the outcome of BRCA somatic tumors and/or HRD non-BRCA patients [41,42,43,44,45].
Thus a pathology-based, BRCA-reflex testing seems to be particularly useful to:
  • identify patients with BRCA germline mutations eligible for PARPi therapy, prophylactic surgery, and genetic counseling;
  • identify patients with BRCA somatic mutations potentially eligible for PARPi therapy;
  • exclude unnecessary germline testing for somatic BRCA-negative tumors, in order to be cost-effective and reduce patients’ psychological distress.
The role of immunotherapy in OC is still controversial as the response rate to checkpoint inhibitors in unselected OCs is modest as demonstrated by the KEYNOTE-100 trial [45]. In HGSCs, DNA damage, induced by platinum and PARPi therapy, has been suggested to increase the production of tumor cell neoantigens, highlighting a potential role of checkpoint inhibitors in combination with PARPi [46]. Furthermore, higher expression of PD-1/PD-L1 by immune tumor environment, and a higher number of CD3+ and CD8+ lymphocytes have been associated with better prognosis in HGSCs [47,48,49]. According to Chen et al., PD-L1 expression among different histotypes was highest in HGSCs: almost 50% of HGSCs demonstrated a >1% combined positive score (CPS) (evaluated in tumor and immune cells) compared to 21% of HGSCs revealing a >1% tumor proportion score (TPS) (evaluated only in tumor cells) [49,50]. Noteworthy PD-L1 positivity was not associated with BRCA status, but demonstrated a statistically significant correlation with better survival in late-stage HGSCs (Table 1) [50].
Table 1. Molecular markers of high-grade serous carcinoma.

3. Low-Grade Serous Carcinoma

Ovarian LGSC represents an uncommon epithelial neoplasm (5% of all OCs) [1,2,51]. LGSC is commonly associated with serous cystoadenofibromas and/or serous borderline tumors. Tumor histology is characterized by micropapillary or cribriform architecture with bland nuclear atypia and low-mitotic count (Figure 4). The IHC profile is typically PAX8+, WT1+, and p53wt: the latter phenotype is particularly helpful in the differential diagnosis between LGSC and classic HGSC. Early-stage LGSCs have an excellent prognosis, while stage III-IV tumors have poor prognosis, mainly due to poor response to conventional chemotherapy.
Figure 4. Low-grade serous carcinoma, micropapillary (medusa-like) architecture (hematoxylin-eosin; ×100).
Despite their similar pathological denomination, LGSCs share little in common with HGSCs. HGSCs are thought to arise from the surface epithelium of the distal fimbria via TP53 and HR-related gene mutations, while LGSC is thought to be the result of a neoplastic transformation of cortical inclusion cysts into serous cystadenomas/adenofibromas and serous borderline tumors [2]. Furthermore, the evidence of an evolution from LGSC to HGSC is extremely rare.
LGSCs are characterized by a completely different mutational spectrum compared to HGSCs: mutations in KRAS, NRAS, BRAFV600E, BRAFnon-V600E, and ERBB2 were found in almost 50% of LGSCs, while TP53 was wild-type in all reported cases [52,53,54,55,56]. KRAS p.Gly12Val (KRASG12V) mutation has been particularly associated with worse prognosis and higher recurrence rate, while BRAFV600E demonstrated a statistically significant correlation with better prognosis [55].
To further complicate the landscape of serous carcinomas, Zarei et al. recently published a case series of serous carcinomas with mixed low-grade and high-grade features [56]. This evidence is particularly of interest as this entity seems to question the apparent dualistic nature of serous carcinomas. These tumors showed a relative rarity of mutations typical of HGSC and LGSC and a particularly aggressive clinical behavior. This suggests a potential alternative oncogenic pathway, although further studies are needed to better characterize these rarely encountered entities.
Hormonal replacement therapy is currently included in the National Comprehensive Cancer Network (NCCN) guidelines in advanced-stage LGSC with expression of estrogen receptor (ER) and progesterone receptor (PGR) [57]. Some studies focused on LGSCs’ response to BRAF inhibitors, with promising results: this evidence is particularly noteworthy as LGSC is a stage-dependent disease, poorly responding to conventional chemotherapy in advanced stages [58,59,60,61]. Currently, Trametinib is contemplated as a treatment of advanced-stage LGSC in the NCCN guidelines [57]. In a study by Turashvili et al., IHC for BRAFV600E demonstrated 96% sensitivity, 96% specificity, 93% positive predictive value, and 98% negative predictive value for BRAFV600E mutation [60]. Thus, IHC evaluation of BRAFV600E is particularly helpful and relatively cost-effective for the identification of patients eligible for target therapy, especially in advanced-stage LGSC.
To the authors’ knowledge, no studies have been reported to date on a potential therapeutic role of anti-HER2 targeted drugs in ERBB2-mutated LGSCs (Table 2).
Table 2. Molecular markers in low-grade serous carcinomas.

3.1. Ovarian Endometrioid Carcinoma

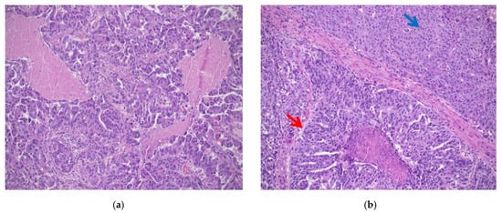
Ovarian endometrioid carcinomas (ENOCs) represent a heterogeneous group of neoplasms regarding morphological and molecular features. ENOCs typically exhibit cribriform, maze-like or glandular architecture with frequent squamous differentiation [1,2]. Tumor histological grade is based on the percentage of the solid non-squamous component of the tumor, as for its endometrial counterpart, according to the FIGO grading. In particular, FIGO grade 1, 2, and 3 tumors have ≤5%, 6–50% and >50% of solid, non-squamous, growth pattern: marked nuclear atypia in >50% of tumor cells may upgrade the tumor of 1 grade (Figure 5a,b). ENOCs may arise in association with endometrioid cystadenofibroma and endometrioid borderline tumor and/or in the context of pelvic endometriosis [1]. The typical immunoprofile is PAX8+, WT1-, ER+, PGR+. Prognosis is stage-dependent, with excellent outcomes in stage I-II tumors and poor outcomes in advanced stages [61].
Figure 5. (a) Endometrioid ovarian carcinoma, low-grade: back-to-back glands without intervening stroma (hematoxylin-eosin; ×100); (b) endometrioid ovarian carcinoma, high-grade, solid growth pattern (hematoxylin-eosin; ×100).
The 2013 TCGA analysis of endometrial carcinomas (ECs) identified four main molecular subgroups: DNA polymerase ε (POLE) ultramutated, microsatellite instable (MSI-H), carcinomas with high somatic copy number alterations (CN), and carcinomas with low CN [11]. These four subgroups demonstrated different mutational spectra and biological behavior. POLE is a gene involved in DNA repair and replication. The exonuclease proofreading activity replaces erroneously incorporated nucleotides during DNA replication. Mutations in its exonuclease domain lead to proofreading errors, with increase in mutation rates during DNA replications by about 100-fold, and, ultimately, neoplastic transformation [62,63,64]. Mismatch repair (MMR) proteins (MLH1, PMS2, MSH2, and MSH6) are nuclear enzymes involved in repair of base–base mismatch during DNA replication in proliferating cells: these proteins form heterodimers binding to areas of abnormal DNA and initiating its removal. Loss of MMR proteins leads to accumulated errors during DNA replication, especially in short repetitive nucleotide sequences (“microsatellite instability”). Mutation of MMR-genes and hypermethilation of MLH1 promoter has been associated with the so-called MSI-H group and, for germline mutations, with Lynch Syndrome (LS) [65,66,67]. CNhigh ECs exhibited frequent mutation in TP53. CNlow ECs were characterized by an heterogeneous spectrum of mutated genes such as PTEN, ARID1A, CTNNB1, and PIK3CA [68].
Interestingly, endometrial endometrioid carcinomas (EECs) were represented in all four subgroups. In particular, low-grade EECs were most frequently encountered in the CNlow and MSI subgroups while high-grade EECs were almost equally distributed in all four molecular subgroups [69,70]. This evidence has notable clinical implications; in fact, POLE ultramutated carcinomas demonstrated an excellent prognosis, MSI-H and CNlow ECs showed intermediate prognosis, while the CNhigh group was associated with worse prognosis [11]. As to this promising prognostic stratification of EC-patients, the 2020 WHO classification of the Tumours of the Female Genital Tract tried to implement the usual histological classification with a new molecular approach in pathologists’ routine practice: a diagnostic algorithm (using Sanger sequencing and immunohistochemistry as cheaper surrogates of the expensive molecular analysis) was proposed to identify molecular EC-subgroups (Table 3).
Table 3. Molecular classification of endometrioid ovarian carcinomas.
Immunohistochemistry for MMR proteins and p53 are excellent surrogates for MSI-H and CNhigh tumors. No immunohistochemical marker is available for POLE, thus Sanger sequencing is the gold standard to evaluate POLE status. Finally, the assignment to the CNlow/no special molecular profile (NSMP) group could be made once POLE/MMR/p53 mutations are excluded.
Recently, ENOCs demonstrated the same characteristics of EECs regarding histological, clinical, and molecular parameters [16]. The four molecular subgroups of ENOC were classified according to the 2013 TCGA classification of EECs and using an algorithm which prioritized POLE sequencing, with subsequent MMR and p53 immunohistochemical evaluation of POLE-wt cases (Figure 6).
Figure 6. (a) Diagnostic algorithm to classify endometrioid ovarian carcinomas (left) (based on P. Krämer et al.). abn: abnormal; MMR: mismatch repair; MMRd: mismatch repair deficient; MMRp: mismatch repair proficient; mut: mutated; NSMP: no specific molecular profile; POLE: polymerase-epsilon; wt: wild-type. (b) MMRd endometrioid carcinoma low-grade, notable loss of MSH6 with intact PMS2 expression (×100). As internal control, tumor infiltrating lymphocytes and intertumoral stromal cells demonstrated intact MMR expression (×100).
POLE ultramutated ENOCs, albeit rarer than their endometrial counterpart, demonstrated the same excellent prognosis. Mismatch repair deficient (MMRd) ENOCs were also rarer than MMRd EECs, while NSMP ENOCs were more frequently represented than NSMP EECs: both MMRd ENOCs and NSMP ENOCs were associated with an intermediate prognosis. Finally, p53abn tumors, rarely encountered, were significantly correlated with poor prognosis.
In another study by Parra-Hernan et al., MMRd ENOCs demonstrated excellent prognosis, overlapping with POLE-mutant ENOCs [69]. These molecular subgroups demonstrated a better correlation with tumor prognosis than the traditional morphologic evaluation of tumor grade. As an example, low-grade p53abn ENOCs showed aggressive clinical behavior, contrariwise high-grade POLE ENOCs were associated with an excellent prognosis. Thus, the role of molecular classification in ENOCs appears promising as in EECs, especially to guide neoadjuvant treatment.
Histopathological and IHC analysis, blinded of the molecular status, was carried on a series of ECs to identify morphological features associated with POLE mutations by Van Gool et al. [70]. POLE-mutant ECs were statistically associated with a high number of TILs, tumor giant-cells, p53wt IHC pattern, and intact MMR IHC expression. The same morphological features were also observed in POLE ENOCs [71]. Therefore, a simple morphological and IHC approach could identify patients with features suggesting POLE mutation, albeit Sanger sequencing represents the gold standard assay to establish POLE mutational status.
A large cohort of 502 early-stage ovarian carcinomas, representative of all five main histotypes was tested for MMRd by Leskela et al. MMRd was significantly associated with endometrioid and clear cell histotypes [72]. As for its colorectal and endometrial counterparts, the MLH1 promoter hypermethylation was the most commonly found alteration (86% of the cases), but germline loss of function of MLH1, MSH2, and MSH6 (highly suspicious for LS) was observed in 35% of the cases. Furthermore, MMRd OCs were associated with younger age at presentation and increased TILs. A two-antibody approach with PMS2 and MSH6 is considered sufficient and more cost-effective than an upfront four-antibody approach, due to the binding heterodimeric nature of the MMR complexes: a loss of expression of MLH1 or MSH2 would inevitably lead to degradation of PMS2 and MSH6, respectively [73]. Conversely, a loss of expression of PMS2 and MSH6 would not lead to a degradation of MLH1 and MSH2 [74,75,76]. However, in the event of a PMS2 and MSH6 loss, confirmatory IHC for MLH1 and MSH2 should be performed [76]. An MLH1 promoter methylation test should also be carried out in all cases showing MLH1 IHC loss.
PD1/PD-L1 expression has been tested in OC with particular attention to MMRd and POLE-mutant tumors, because of their high immunogenic characteristics [3,48,77,78]. This evidence is of particular interest for future therapeutic implications. The current NCCN guidelines contemplate the use of Pembrolizumab (anti-PD1) for MSI-H carcinomas [57].
Hormone receptor expression has been linked to better prognosis supporting the possibility of hormonal therapy in ENOCs. In a large multicentric study by Sieh et al., ER and PGR expression, scored as negative (<1% positive nuclei), weak (1–50%), or strong (≥50%), were correlated with better disease-specific survival in ENOCs [79]. Another study from Rambau et al. confirmed a statistically significant better outcome in hormone-positive ENOCs [80].
IHC evaluation of PTEN and ARID1A proteins are good surrogates of loss-of-function mutations in PTEN and ARID1A genes. PTEN loss could represent a target for PI3K/AKT inhibitors, while ARID1A loss for EZH2 and HDAC inhibition, but further studies are needed to clarify their potential role [81,82,83].
CTNNB1-mutated ENOCs, examined with surrogate IHC staining for nuclear β-catenin, were associated with a favorable outcome in two independent studies, while abnormal expression of p16 in ENOCs has been associated with a worse outcome: however, these data still need further validation (Table 4) [84,85,86].
Table 4. Other molecular markers associated with endometrioid ovarian carcinomas.
To summarize, the spectrum of mutations in ENOCs is highly variable and data are still limited. The overall prognosis of ENOCs is good but the molecular subgrouping via IHC surrogate biomarkers could drive the choice and refine the adjuvant treatment guidelines shortly.

3.2. Clear Cell Carcinoma

Ovarian CCCs represent 10% of ovarian malignant neoplasms and typically present at early-stage. The strongest prognostic factor in CCCs is the clinical stage, with an overall good prognosis in stages I-II and poor prognosis in stages III-IV [87]. Histologically, CCCs are characterized by a mixture of tubulocystic and papillary epithelial structures associated with a distinctive hyaline, acellular stroma (Figure 7a,b) [1]. Tumor cells are cytologically bland, with a low mitotic count and often subtle invasion. Hobnail clear cells are typical findings although an oxyphilic variant of CCC has been described [88,89,90,91]. The IHC profile is typically PAX8+, napsin A+, hepatocyte nuclear factor 1β+, WT1-, ER-, PGR-. Tumors are typically associated with endometriosis and clear cell borderline and/or adenofibroma components. Notably, tumors associated with endometriosis or adenofibromatous component demonstrated a better prognosis than de novo CCCs.
Figure 7. (a) Clear cell carcinoma with tubulocystic pattern (hematoxylin-eosin; ×200). (b) Clear cell carcinoma with papillary/micropapillary growth pattern (hematoxylin-eosin; ×200).
The mutational spectrum of CCCs is characterized by frequent mutation of SWI/SNF chromatin remodeling complex protein ARID1A, loss of PTEN, activation of PIK3CA, TERT promoter mutations and, rarely, TP53 mutation (5%) [83,92,93,94,95]. Notably, almost 10% of ovarian CCCs have been linked to LS; therefore MMR testing is routinely recommended in all CCCs [96]. This is of particular significance as Lynch-associated CCCs, even at an advanced stage, demonstrated better prognosis, possibly due to high tumor immunogenicity and high PD-1/PD-L1 expression, similarly to ENOCs [48,97].

3.3. Mucinous Carcinoma

Primary ovarian mucinous carcinoma is extremely rare as the vast majority of mucinous malignant tumors represents metastatic localization from the cervical or gastrointestinal tract [98]. Commonly accepted diagnostic clues, favoring an ovarian origin, are large unilateral localization, size >10 cm, and association with mature cystic teratoma, Brenner’s tumor, mucinous cystadenoma or mucinous borderline tumor. Metastatic mucinous carcinomas can be deceptively bland, mimicking a primary ovarian borderline mucinous tumor [99,100,101]. Immunohistochemistry could aid the differential diagnosis, as ovarian MCs are cytokeratin 7 (CK7) positive in >80% cases, only focally and weakly positive for CK20 and CDX2, usually negative for SATB2 [102]. Conversely, tumors of colorectal origin are usually CK7-/CK20+/CDX2+ and SATB2+. The differential diagnosis could be particularly challenging with an upper-GI primary: careful clinical and radiological examination is therefore mandatory. Prognosis is strictly stage-dependent with a reported 75–90% five-year survival rate for stage I/II MCs versus 17% for stage III-IV MCs [1].
Molecularly, CDKN2A and KRAS mutations are the most commonly encountered followed by TP53 and ERBB2 mutations [103,104]. MSI was found in almost 20% of the cases [96]. ERBB2 amplified tumors demonstrated a significantly better prognosis when Trastuzumab was added to the conventional chemotherapy treatment, suggesting a potential actionable target in the treatment of ovarian primary MCs [104].

3.4. Other Rare Primary Ovarian Tumors

Seromucinous carcinomas (SCs), previously considered an independent entity, are now considered a subtype of endometrioid carcinoma due to similar pathogenic background (endometriosis-associated) and mutational spectrum: thus, the last WHO Classification of Female Genital Tract Tumors considers SCs as a morphologic variant of ENOCs [105,106].
A new entity introduced in the 2020 WHO Classification of Female Genital Tract Tumors is the mesonephric-like adenocarcinoma (MLA). This rare tumor may arise from a malignant transformation of mesonephric ovarian remnants or transdifferentiation of Müllerian epithelium. The latter event could explain the frequent association of MLA with endometriosis or other carcinomatous histotypes, most commonly ENOCs. MLAs usually exhibit an admixture of glomeruloid, tubular, sieve-like, solid, and glandular architectural patterns and a distinctive GATA3+/TTF1+/CD10+(luminal)/PAX8+ immunophenotype, while ERs and PGRs are typically negative [107]. Though extremely rare, these neoplasms demonstrated distinctive molecular characteristics, such as KRAS, NRAS, and PIK3CA mutations [108,109]. No prognostic data are available due to the rarity of these tumors.
Dedifferentiated/undifferentiated carcinomas (DED/UCs) are uncommon ovarian tumors with poor prognosis, thought to represent the latter stage of neoplastic transformation of endometrioid tumors. Frequent mutations in the SWI/SNF chromatin remodeling complex have been found, in particular involving ARID1A, ARID1B, SMARCB1/INI1, and SMARCA4 genes [1]. Notably, a subset of DED/UC is characterized by MSI and POLE EDM. All these molecular alterations can be also easily identified via IHC and sequencing with good reliability and can be of help in the differential diagnosis with other undifferentiated metastatic neoplasms. This can also be helpful to identify a subset of patients potentially eligible for immunotherapy, as demonstrated for their endometrial counterparts. In a case series published by Espinosa et al., a neuroendocrine differentiation was encountered in four ovarian DED/UCs, one of which, characterized by POLE EDM, demonstrated excellent prognosis [110].
Carcinosarcomas (CSs) are rare biphasic ovarian malignant tumors with both carcinomatous and sarcomatous elements [1]. The two components seem to be of epithelial origin as the sarcomatous areas have been demonstrated to derive from an epithelial-mesenchymal transition [111]. Typically diagnosed at a late clinical stage, CSs are resistant to conventional chemotherapy and usually have a poor prognosis [112]. The molecular landscape of CSs is similar to their uterine counterpart with recurrent mutations in TP53, PIK3CA, BRCA1/2, PTEN, MLH1, MSH6, PPP2R1A, ARID1A, KRAS, CDH4, and BCOR [113,114,115,116]. Actionable mutations are represented by BRCA1/2: these tumors can be potentially treated with PARPi. In fact, as for HGSCs, CSs with PTEN loss could be eligible for PI3K/AKT inhibitors and, although rarely encountered, microsatellite instable-CSs could be eligible for anti-PD1 therapy [117].

4. Conclusions

OCs are a heterogeneous group of diseases with specific histologic, molecular, and clinicopathologic features. Ten years after the first attempt at an OC molecular classification, the introduction of new technologies allowed us to expand our knowledge of the complex molecular landscape of this disease. To date, at least five main independent histotypes are recognized: HGSCs, LGSCs, CCCs, ENOCs, and MCs [2,8]. A molecular subclassification of each histotype demonstrated a decisive role in the prognostic stratification. BRCAmut HGSCs show better prognosis compared to BRCAwt tumors, particularly after the introduction of PARPi in maintenance treatment [39]. BRAFV600E LGSC are characterized by better outcomes compared to KRAS-mutated LGSCs [55]. ENOCs encompass at least four different molecular subgroups: POLE-ultramutated, MSI hypermutated, CNhigh and CNlow tumors with different histologic and clinical features [16]. POLE-ultramutated tumors have demonstrated an excellent prognosis, MSI and CNlow intermediate outcomes and CNhigh tumors poor survival rates. Almost 25% of ENOCs, 20% of MCs, and 14% of CCCs could be related to Lynch Syndrome with notable genetic and clinical implications, such as the adoption of preventive familiar strategies and, in the event of adjuvant therapy, of potential checkpoint inhibition [96]. The need to implement worldwide, easy-to-use and cost-effective strategies to identify these features led to the development of the molecular surrogate method, with IHC as the main focus with excellent results (Table 5). Although not as reliable as molecular analysis, in order to avoid unnecessary costly and distressful testing, IHC could represent the upfront standard approach of a pathology laboratory.
Table 5. Overview of molecular markers in ovarian epithelial cancers.

Author Contributions

Conceptualization, G.S. and A.P.; methodology, G.S.; software, G.S.; validation, S.P., R.V. and M.Z.; formal analysis, A.P.; investigation, G.S.; resources, G.S.; data curation, G.S.; Writing—Original draft preparation, G.S.; Writing—Review and editing, G.S., S.P., R.V., E.G., A.D.L., V.D.M. and M.Z.; visualization, G.S.; supervision, A.P.; project administration, A.P.; funding acquisition, A.P. All authors have read and agreed to the published version of the manuscript.

Funding

This research received no external funding.

Institutional Review Board Statement

Not applicable.

Data Availability Statement

Not applicable.

Conflicts of Interest

The authors declare no conflict of interest.

References

  1. WHO Classification of Tumours Editorial Board. Female Genital Tumours. In WHO Classification of Tumours, 5th ed.; WHO Classification of Tumours Editorial Board: Geneva, Switzerland, 2020. [Google Scholar]
  2. Prat, J.; D’Angelo, E.; Espinosa, I. Ovarian carcinomas: At least five different diseases with distinct histological features and molecular genetics. Hum. Pathol. 2018, 80, 11–27. [Google Scholar] [CrossRef]
  3. The Global Cancer Observatory. Source: Globocan 2018; World Health Organization: Geneva, Switzerland, 2019. [Google Scholar]
  4. Siegel, R.L.; Miller, K.D.; Jemal, A. Cancer statistics, 2018. CA Cancer J. Clin. 2018, 68, 7–30. [Google Scholar] [CrossRef] [PubMed]
  5. American Cancer Society. Facts & Figures 2019; American Cancer Society: Atlanta, GA, USA, 2019. [Google Scholar]
  6. Weren, R.D.A.; Mensenkamp, A.R.; Simons, M.; Eijkelenboom, A.; Sie, A.S.; Ouchene, H.; van Asseldonk, M.; Gomez-Garcia, E.B.; Blok, M.J.; de Hullu, J.A.; et al. Novel BRCA1 and BRCA2 Tumor Test as Basis for Treatment Decisions and Referral for Genetic Counselling of Patients with Ovarian Carcinomas. Hum. Mutat. 2017, 38, 226–235. [Google Scholar] [CrossRef] [PubMed]
  7. Crusz, S.M.; Miller, R.E. Targeted therapies in gynaecological cancers. Histopathology 2020, 76, 157–170. [Google Scholar] [CrossRef] [PubMed]
  8. Kurman, R.J.; Shih, I.-M. The Origin and Pathogenesis of Epithelial Ovarian Cancer: A Proposed Unifying Theory. Am. J. Surg. Pathol. 2010, 34, 433–443. [Google Scholar] [CrossRef] [PubMed]
  9. Kurman, R.J.; Shih, I.M. The dualistic model of ovarian carcinogenesis revisited, revised, and expanded. Am. J. Pathol. 2016. [Google Scholar] [CrossRef] [PubMed]
  10. Bell, D.; Berchuck, A.; Birrer, M.; Chien, J.; Cramer, D.W.; Dao, F.; Dhir, R.; Disaia, P.; Gabra, H.; Glenn, P.; et al. Integrated genomic analyses of ovarian carcinoma. Nature 2011, 474, 609–615. [Google Scholar] [CrossRef]
  11. Levine, D.A. Integrated genomic characterization of endometrial carcinoma. Nature 2013, 497, 67–73. [Google Scholar] [CrossRef]
  12. Soslow, R.A.; Han, G.; Park, K.J.; Garg, K.; Olvera, N.; Spriggs, D.R.; Kauff, N.D.; Levine, D.A. Morphologic patterns associated with BRCA1 and BRCA2 genotype in ovarian carcinoma. Mod. Pathol. 2012, 25, 625–636. [Google Scholar] [CrossRef]
  13. Köbel, M.; Piskorz, A.M.; Lee, S.; Lui, S.; LePage, C.; Marass, F.; Rosenfeld, N.; Mes Masson, A.-M.; Brenton, J.D. Optimized p53 immunohistochemistry is an accurate predictor of TP53 mutation in ovarian carcinoma. J. Pathol. Clin. Res. 2016, 2, 247–258. [Google Scholar] [CrossRef]
  14. Wing-Cheuk Wong, R.; Palicelli, A.; Hoang, L.; Singh, N. Interpretation of p16, p53 and mismatch repair protein immunohistochemistry in gynaecological neoplasia. Diagn. Histopathol. 2020, 26, 257–277. [Google Scholar] [CrossRef]
  15. Casey, L.; Singh, N. Metastases to the ovary arising from endometrial, cervical and fallopian tube cancer: Recent advances. Histopathology 2020, 76, 37–51. [Google Scholar] [CrossRef] [PubMed]
  16. Krämer, P.; Talhouk, A.; Brett, M.A.; Chiu, D.S.; Cairns, E.S.; Scheunhage, D.A.; Hammond, R.F.L.; Farnell, D.; Nazeran, T.M.; Grube, M.; et al. Endometrial Cancer Molecular Risk Stratification is Equally Prognostic for Endometrioid Ovarian Carcinoma. Clin. Cancer Res. 2020, 26, 5400–5410. [Google Scholar] [CrossRef] [PubMed]
  17. Chui, M.H.; Momeni Boroujeni, A.; Mandelker, D.; Ladanyi, M.; Soslow, R.A. Characterization of TP53-wildtype tubo-ovarian high-grade serous carcinomas: Rare exceptions to the binary classification of ovarian serous carcinoma. Mod. Pathol. 2021, 34, 490–501. [Google Scholar] [CrossRef]
  18. McCluggage, W.G. Endometriosis-related pathology: A discussion of selected uncommon benign, premalignant and malignant lesions. Histopathology 2020, 76, 76–92. [Google Scholar] [CrossRef]
  19. Nosé, V. Protocol for Examination of Specimens From Patients with Primary Pituitary Tumors. In Diagnostic Pathology: Endocrine; Elsevier: Amsterdam, The Netherlands, 2018; pp. 606–609. [Google Scholar]
  20. Crum, C.P.; Drapkin, R.; Kindelberger, D.; Medeiros, F.; Miron, A.; Lee, Y. Lessons from BRCA: The Tubal Fimbria Emerges as an Origin for Pelvic Serous Cancer. Clin. Med. Res. 2007, 5, 35–44. [Google Scholar] [CrossRef]
  21. Kindelberger, D.W.; Lee, Y.; Miron, A.; Hirsch, M.S.; Feltmate, C.; Medeiros, F.; Callahan, M.J.; Garner, E.O.; Gordon, R.W.; Birch, C.; et al. Intraepithelial Carcinoma of the Fimbria and Pelvic Serous Carcinoma: Evidence for a Causal Relationship. Am. J. Surg. Pathol. 2007, 31, 161–169. [Google Scholar] [CrossRef]
  22. Shaw, P.A.; Rouzbahman, M.; Pizer, E.S.; Pintilie, M.; Begley, H. Candidate serous cancer precursors in fallopian tube epithelium of BRCA1/2 mutation carriers. Mod. Pathol. 2009, 22, 1133–1138. [Google Scholar] [CrossRef]
  23. Vang, R.; Visvanathan, K.; Gross, A.; Maambo, E.; Gupta, M.; Kuhn, E.; Li, R.F.; Ronnett, B.M.; Seidman, J.D.; Yemelyanova, A.; et al. Validation of an Algorithm for the Diagnosis of Serous Tubal Intraepithelial Carcinoma. Int. J. Gynecol. Pathol. 2012, 31, 243–253. [Google Scholar] [CrossRef]
  24. Shaw, P.A.; Clarke, B.; George, S.H.L. Precursors of High-Grade Serous Carcinoma. In Precancerous Lesions of the Gynecologic Tract; Springer International Publishing: Cham, Switzerland, 2016; pp. 3–22. ISBN 9783319225098. [Google Scholar]
  25. Amin, M.B.; Edge, S.B.; Greene, F.L.; Byrd, D.R.; Brookland, R.K.; Washington, M.K.; Gershenwald, J.E.; Compton, C.C.; Hess, K.R.; Sullivan, D.C.; et al. (Eds.) AJCC Cancer Staging Manual; Springer International Publishing: Cham, Switzerland, 2017; ISBN 978-3-319-40617-6. [Google Scholar]
  26. Roy, R.; Chun, J.; Powell, S.N. BRCA1 and BRCA2: Different roles in a common pathway of genome protection. Nat. Rev. Cancer 2012, 12, 68–78. [Google Scholar] [CrossRef]
  27. Walsh, C.S. Two decades beyond BRCA1/2: Homologous recombination, hereditary cancer risk and a target for ovarian cancer therapy. Gynecol. Oncol. 2015, 137, 343–350. [Google Scholar] [CrossRef] [PubMed]
  28. Verhaak, R.G.W.; Tamayo, P.; Yang, J.-Y.; Hubbard, D.; Zhang, H.; Creighton, C.J.; Fereday, S.; Lawrence, M.; Carter, S.L.; Mermel, C.H.; et al. Prognostically relevant gene signatures of high-grade serous ovarian carcinoma. J. Clin. Investig. 2012. [Google Scholar] [CrossRef] [PubMed]
  29. Le Page, C.; Rahimi, K.; Köbel, M.; Tonin, P.N.; Meunier, L.; Portelance, L.; Bernard, M.; Nelson, B.H.; Bernardini, M.Q.; Bartlett, J.M.S.; et al. Characteristics and outcome of the COEUR Canadian validation cohort for ovarian cancer biomarkers. BMC Cancer 2018, 18, 347. [Google Scholar] [CrossRef]
  30. Girolimetti, G.; Perrone, A.M.; Santini, D.; Barbieri, E.; Guerra, F.; Ferrari, S.; Zamagni, C.; De Iaco, P.; Gasparre, G.; Turchetti, D. BRCA-associated ovarian cancer: From molecular genetics to risk management. Biomed Res. Int. 2014. [Google Scholar] [CrossRef]
  31. ACOG Practice Bulletin No. 103: Hereditary Breast and Ovarian Cancer Syndrome. Obstet. Gynecol. 2009, 113, 957–966. [CrossRef]
  32. Meisel, J.L.; Hyman, D.M.; Garg, K.; Zhou, Q.; Dao, F.; Bisogna, M.; Gao, J.; Schultz, N.D.; Grisham, R.N.; Phillips, M.; et al. The performance of BRCA1 immunohistochemistry for detecting germline, somatic, and epigenetic BRCA1 loss in high-grade serous ovarian cancer. Ann. Oncol. 2014, 25, 2372–2378. [Google Scholar] [CrossRef]
  33. Teixeira, L.A.; Candido dos Reis, F.J. Immunohistochemistry for the detection of BRCA1 and BRCA2 proteins in patients with ovarian cancer: A systematic review. J. Clin. Pathol. 2020, 73, 191–196. [Google Scholar] [CrossRef]
  34. Naipal, K.A.T.; Verkaik, N.S.; Ameziane, N.; van Deurzen, C.H.M.; ter Brugge, P.; Meijers, M.; Sieuwerts, A.M.; Martens, J.W.; O’Connor, M.J.; Vrieling, H.; et al. Functional Ex Vivo Assay to Select Homologous Recombination–Deficient Breast Tumors for PARP Inhibitor Treatment. Clin. Cancer Res. 2014, 20, 4816–4826. [Google Scholar] [CrossRef]
  35. Cruz, C.; Castroviejo-Bermejo, M.; Gutiérrez-Enríquez, S.; Llop-Guevara, A.; Ibrahim, Y.H.; Gris-Oliver, A.; Bonache, S.; Morancho, B.; Bruna, A.; Rueda, O.M.; et al. RAD51 foci as a functional biomarker of homologous recombination repair and PARP inhibitor resistance in germline BRCA-mutated breast cancer. Ann. Oncol. 2018, 29, 1203–1210. [Google Scholar] [CrossRef]
  36. de Jonge, M.M.; Auguste, A.; van Wijk, L.M.; Schouten, P.C.; Meijers, M.; ter Haar, N.T.; Smit, V.T.H.B.M.; Nout, R.A.; Glaire, M.A.; Church, D.N.; et al. Frequent Homologous Recombination Deficiency in High-grade Endometrial Carcinomas. Clin. Cancer Res. 2019, 25, 1087–1097. [Google Scholar] [CrossRef]
  37. Hennessy, B.T.J.; Timms, K.M.; Carey, M.S.; Gutin, A.; Meyer, L.A.; Flake, D.D.; Abkevich, V.; Potter, J.; Pruss, D.; Glenn, P.; et al. Somatic Mutations in BRCA1 and BRCA2 Could Expand the Number of Patients That Benefit From Poly (ADP Ribose) Polymerase Inhibitors in Ovarian Cancer. J. Clin. Oncol. 2010, 28, 3570–3576. [Google Scholar] [CrossRef] [PubMed]
  38. Banerjee, S.; Kaye, S. PARP Inhibitors in BRCA Gene-Mutated Ovarian Cancer and Beyond. Curr. Oncol. Rep. 2011, 13, 442–449. [Google Scholar] [CrossRef] [PubMed]
  39. Moore, K.; Colombo, N.; Scambia, G.; Kim, B.-G.; Oaknin, A.; Friedlander, M.; Lisyanskaya, A.; Floquet, A.; Leary, A.; Sonke, G.S.; et al. Maintenance Olaparib in Patients with Newly Diagnosed Advanced Ovarian Cancer. N. Engl. J. Med. 2018, 379, 2495–2505. [Google Scholar] [CrossRef]
  40. Ledermann, J.; Harter, P.; Gourley, C.; Friedlander, M.; Vergote, I.; Rustin, G.; Scott, C.; Meier, W.; Shapira-Frommer, R.; Safra, T.; et al. Olaparib Maintenance Therapy in Platinum-Sensitive Relapsed Ovarian Cancer. N. Engl. J. Med. 2012, 366, 1382–1392. [Google Scholar] [CrossRef] [PubMed]
  41. Mirza, M.R.; Monk, B.J.; Herrstedt, J.; Oza, A.M.; Mahner, S.; Redondo, A.; Fabbro, M.; Ledermann, J.A.; Lorusso, D.; Vergote, I.; et al. Niraparib Maintenance Therapy in Platinum-Sensitive, Recurrent Ovarian Cancer. N. Engl. J. Med. 2016, 375, 2154–2164. [Google Scholar] [CrossRef]
  42. Swisher, E.M.; Lin, K.K.; Oza, A.M.; Scott, C.L.; Giordano, H.; Sun, J.; Konecny, G.E.; Coleman, R.L.; Tinker, A.V.; O’Malley, D.M.; et al. Rucaparib in relapsed, platinum-sensitive high-grade ovarian carcinoma (ARIEL2 Part 1): An international, multicentre, open-label, phase 2 trial. Lancet Oncol. 2017, 18, 75–87. [Google Scholar] [CrossRef]
  43. Coleman, R.L.; Oza, A.M.; Lorusso, D.; Aghajanian, C.; Oaknin, A.; Dean, A.; Colombo, N.; Weberpals, J.I.; Clamp, A.; Scambia, G.; et al. Rucaparib maintenance treatment for recurrent ovarian carcinoma after response to platinum therapy (ARIEL3): A randomised, double-blind, placebo-controlled, phase 3 trial. Lancet 2017, 390, 1949–1961. [Google Scholar] [CrossRef]
  44. González-Martín, A.; Pothuri, B.; Vergote, I.; DePont Christensen, R.; Graybill, W.; Mirza, M.R.; McCormick, C.; Lorusso, D.; Hoskins, P.; Freyer, G.; et al. Niraparib in Patients with Newly Diagnosed Advanced Ovarian Cancer. N. Engl. J. Med. 2019, 381, 2391–2402. [Google Scholar] [CrossRef]
  45. Ghisoni, E.; Imbimbo, M.; Zimmermann, S.; Valabrega, G. Ovarian Cancer Immunotherapy: Turning up the Heat. Int. J. Mol. Sci. 2019, 20, 2927. [Google Scholar] [CrossRef]
  46. Strickland, K.C.; Howitt, B.E.; Shukla, S.A.; Rodig, S.; Ritterhouse, L.L.; Liu, J.F.; Garber, J.E.; Chowdhury, D.; Wu, C.J.; D’Andrea, A.D.; et al. Association and prognostic significance of BRCA1/2-mutation status with neoantigen load, number of tumor-infiltrating lymphocytes and expression of PD-1/PD-L1 in high grade serous ovarian cancer. Oncotarget 2016, 7, 13587–13598. [Google Scholar] [CrossRef]
  47. Sato, E.; Olson, S.H.; Ahn, J.; Bundy, B.; Nishikawa, H.; Qian, F.; Jungbluth, A.A.; Frosina, D.; Gnjatic, S.; Ambrosone, C.; et al. Intraepithelial CD8+ tumor-infiltrating lymphocytes and a high CD8+/regulatory T cell ratio are associated with favorable prognosis in ovarian cancer. Proc. Natl. Acad. Sci. USA 2005, 102, 18538–18543. [Google Scholar] [CrossRef] [PubMed]
  48. Webb, J.R.; Milne, K.; Kroeger, D.R.; Nelson, B.H. PD-L1 expression is associated with tumor-infiltrating T cells and favorable prognosis in high-grade serous ovarian cancer. Gynecol. Oncol. 2016, 141, 293–302. [Google Scholar] [CrossRef] [PubMed]
  49. Martin de la Fuente, L.; Westbom-Fremer, S.; Arildsen, N.S.; Hartman, L.; Malander, S.; Kannisto, P.; Måsbäck, A.; Hedenfalk, I. PD-1/PD-L1 expression and tumor-infiltrating lymphocytes are prognostically favorable in advanced high-grade serous ovarian carcinoma. Virchows Arch. 2020, 477, 83–91. [Google Scholar] [CrossRef] [PubMed]
  50. Chen, H.; Molberg, K.; Strickland, A.L.; Castrillon, D.H.; Carrick, K.; Jiang, Q.; Niu, S.; Rivera-Colon, G.; Gwin, K.; Hinson, S.; et al. PD-L1 Expression and CD8+ Tumor-infiltrating Lymphocytes in Different Types of Tubo-ovarian Carcinoma and Their Prognostic Value in High-grade Serous Carcinoma. Am. J. Surg. Pathol. 2020, 44, 1050–1060. [Google Scholar] [CrossRef] [PubMed]
  51. Prat, J. Pathology of borderline and invasive cancers. Best Pract. Res. Clin. Obstet. Gynaecol. 2017, 41, 15–30. [Google Scholar] [CrossRef] [PubMed]
  52. Singer, G.; Oldt, R.; Cohen, Y.; Wang, B.G.; Sidransky, D.; Kurman, R.J.; Shih, I.-M. Mutations in BRAF and KRAS Characterize the Development of Low-Grade Ovarian Serous Carcinoma. JNCI J. Natl. Cancer Inst. 2003, 95, 484–486. [Google Scholar] [CrossRef] [PubMed]
  53. Dehari, R.; Kurman, R.J.; Logani, S.; Shih, I.-M. The Development of High-grade Serous Carcinoma From Atypical Proliferative (Borderline) Serous Tumors and Low-grade Micropapillary Serous Carcinoma. Am. J. Surg. Pathol. 2007, 31, 1007–1012. [Google Scholar] [CrossRef]
  54. Hunter, S.M.; Anglesio, M.S.; Ryland, G.L.; Sharma, R.; Chiew, Y.-E.; Rowley, S.M.; Doyle, M.A.; Li, J.; Gilks, C.B.; Moss, P.; et al. Molecular profiling of low grade serous ovarian tumours identifies novel candidate driver genes. Oncotarget 2015, 6, 37663–37677. [Google Scholar] [CrossRef]
  55. Tsang, Y.T.; Deavers, M.T.; Sun, C.C.; Kwan, S.-Y.; Kuo, E.; Malpica, A.; Mok, S.C.; Gershenson, D.M.; Wong, K.-K. KRAS (but not BRAF) mutations in ovarian serous borderline tumour are associated with recurrent low-grade serous carcinoma. J. Pathol. 2013, 231, 449–456. [Google Scholar] [CrossRef]
  56. Zarei, S.; Wang, Y.; Jenkins, S.M.; Voss, J.S.; Kerr, S.E.; Bell, D.A. Clinicopathologic, immunohistochemical, and molecular characteristics of ovarian serous carcinoma with mixed morphologic features of high-grade and low-grade serous carcinoma. Am. J. Surg. Pathol. 2020, 44, 316–328. [Google Scholar] [CrossRef]
  57. Coleman, R.L.; Hennessy, B.T.; Coleman, R.L.; Markman, M. Ovarian Cancer Version 1.2020—March 11, 2020; NCCN: Plymouth Meeting, PA, USA, 2020; Available online: https://www.nccn.org/professionals/physician_gls/pdf/ovarian.pdf (accessed on 29 January 2021).
  58. Combe, P.; Chauvenet, L.; Lefrère-Belda, M.-A.; Blons, H.; Rousseau, C.; Oudard, S.; Pujade-Lauraine, E. Sustained response to vemurafenib in a low grade serous ovarian cancer with a BRAF V600E mutation. Investig. New Drugs 2015, 33, 1267–1270. [Google Scholar] [CrossRef] [PubMed]
  59. Moujaber, T.; Etemadmoghadam, D.; Kennedy, C.J.; Chiew, Y.-E.; Balleine, R.L.; Saunders, C.; Wain, G.V.; Gao, B.; Hogg, R.; Srirangan, S.; et al. BRAF Mutations in Low-Grade Serous Ovarian Cancer and Response to BRAF Inhibition. JCO Precis. Oncol. 2018, 2, 1–14. [Google Scholar] [CrossRef]
  60. Turashvili, G.; Grisham, R.N.; Chiang, S.; DeLair, D.F.; Park, K.J.; Soslow, R.A.; Murali, R. BRAF V 600E mutations and immunohistochemical expression of VE1 protein in low-grade serous neoplasms of the ovary. Histopathology 2018, 73, 438–443. [Google Scholar] [CrossRef] [PubMed]
  61. Peres, L.C.; Cushing-Haugen, K.L.; Köbel, M.; Harris, H.R.; Berchuck, A.; Rossing, M.A.; Schildkraut, J.M.; Doherty, J.A. Invasive Epithelial Ovarian Cancer Survival by Histotype and Disease Stage. JNCI J. Natl. Cancer Inst. 2019, 111, 60–68. [Google Scholar] [CrossRef]
  62. Meng, B.; Hoang, L.N.; McIntyre, J.B.; Duggan, M.A.; Nelson, G.S.; Lee, C.-H.; Köbel, M. POLE exonuclease domain mutation predicts long progression-free survival in grade 3 endometrioid carcinoma of the endometrium. Gynecol. Oncol. 2014, 134, 15–19. [Google Scholar] [CrossRef]
  63. Church, D.N.; Stelloo, E.; Nout, R.A.; Valtcheva, N.; Depreeuw, J.; ter Haar, N.; Noske, A.; Amant, F.; Tomlinson, I.P.M.; Wild, P.J.; et al. Prognostic Significance of POLE Proofreading Mutations in Endometrial Cancer. JNCI J. Natl. Cancer Inst. 2015, 107. [Google Scholar] [CrossRef]
  64. Billingsley, C.C.; Cohn, D.E.; Mutch, D.G.; Hade, E.M.; Goodfellow, P.J. Prognostic Significance of POLE Exonuclease Domain Mutations in High-Grade Endometrioid Endometrial Cancer on Survival and Recurrence: A Subanalysis. Int. J. Gynecol. Cancer 2016, 26, 933–938. [Google Scholar] [CrossRef]
  65. Pawlik, T.M.; Raut, C.P.; Rodriguez-Bigas, M.A. Colorectal Carcinogenesis: MSI-H Versus MSI-L. Dis. Markers 2004, 20, 199–206. [Google Scholar] [CrossRef]
  66. Imai, K.; Yamamoto, H. Carcinogenesis and microsatellite instability: The interrelationship between genetics and epigenetics. Carcinogenesis 2008, 29, 673–680. [Google Scholar] [CrossRef]
  67. Latham, A.; Srinivasan, P.; Kemel, Y.; Shia, J.; Bandlamudi, C.; Mandelker, D.; Middha, S.; Hechtman, J.; Zehir, A.; Dubard-Gault, M.; et al. Microsatellite Instability Is Associated With the Presence of Lynch Syndrome Pan-Cancer. J. Clin. Oncol. 2019, 37, 286–295. [Google Scholar] [CrossRef]
  68. Soslow, R.A.; Tornos, C.; Park, K.J.; Malpica, A.; Matias-Guiu, X.; Oliva, E.; Parkash, V.; Carlson, J.; McCluggage, W.G.; Gilks, C.B. Endometrial Carcinoma Diagnosis. Int. J. Gynecol. Pathol. 2019, 38, S64–S74. [Google Scholar] [CrossRef] [PubMed]
  69. Parra-Herran, C.; Lerner-Ellis, J.; Xu, B.; Khalouei, S.; Bassiouny, D.; Cesari, M.; Ismiil, N.; Nofech-Mozes, S. Molecular-based classification algorithm for endometrial carcinoma categorizes ovarian endometrioid carcinoma into prognostically significant groups. Mod. Pathol. 2017, 30, 1748–1759. [Google Scholar] [CrossRef] [PubMed]
  70. Van Gool, I.C.; Ubachs, J.E.H.; Stelloo, E.; de Kroon, C.D.; Goeman, J.J.; Smit, V.T.H.B.M.; Creutzberg, C.L.; Bosse, T. Blinded histopathological characterisation of POLE exonuclease domain—Mutant endometrial cancers: Sheep in wolf’s clothing. Histopathology 2018, 72, 248–258. [Google Scholar] [CrossRef] [PubMed]
  71. Hoang, L.N.; McConechy, M.K.; Köbel, M.; Anglesio, M.; Senz, J.; Maassen, M.; Kommoss, S.; Meng, B.; Postovit, L.; Kelemen, L.E.; et al. Polymerase Epsilon Exonuclease Domain Mutations in Ovarian Endometrioid Carcinoma. Int. J. Gynecol. Cancer 2015, 25, 1187–1193. [Google Scholar] [CrossRef]
  72. Leskela, S.; Romero, I.; Cristobal, E.; Pérez-Mies, B.; Rosa-Rosa, J.M.; Gutierrez-Pecharroman, A.; Caniego-Casas, T.; Santón, A.; Ojeda, B.; López-Reig, R.; et al. Mismatch Repair Deficiency in Ovarian Carcinoma. Am. J. Surg. Pathol. 2020, 44, 649–656. [Google Scholar] [CrossRef]
  73. Hicks, S.C.; Ward, R.L.; Hawkins, N.J. Immunohistochemistry for PMS2 and MSH6 alone can replace a four antibody panel for mismatch repair deficiency screening in colorectal adenocarcinoma. Pathology 2011, 43, 84–85. [Google Scholar] [CrossRef]
  74. O’Regan, T.; Chau, K.; Tatton, T.; Smith, T.; Parry, S.; Bissett, I. Immunochemistry screening for Lynch syndrome in colorectal adenocarcinoma using an initial two antibody panel can replace a four antibody panel. N. Z. Med. J. 2013, 126, 70–77. [Google Scholar]
  75. Wernicke, A. Immunohistochemistry for detecting colorectal (CRC) and endometrial cancer (EC) patients at risk for Lynch Syndrome (LS). Utility of a 2-antibody panel. Virchows Arch. 2018, 473, S72. [Google Scholar]
  76. Luchini, C.; Bibeau, F.; Ligtenberg, M.J.L.; Singh, N.; Nottegar, A.; Bosse, T.; Miller, R.; Riaz, N.; Douillard, J.-Y.; Andre, F.; et al. ESMO recommendations on microsatellite instability testing for immunotherapy in cancer, and its relationship with PD-1/PD-L1 expression and tumour mutational burden: A systematic review-based approach. Ann. Oncol. 2019, 30, 1232–1243. [Google Scholar] [CrossRef]
  77. Howitt, B.E.; Shukla, S.A.; Sholl, L.M.; Ritterhouse, L.L.; Watkins, J.C.; Rodig, S.; Stover, E.; Strickland, K.C.; D’Andrea, A.D.; Wu, C.J.; et al. Association of Polymerase e–Mutated and Microsatellite-Instable Endometrial Cancers With Neoantigen Load, Number of Tumor-Infiltrating Lymphocytes, and Expression of PD-1 and PD-L1. JAMA Oncol. 2015, 1, 1319. [Google Scholar] [CrossRef]
  78. Gargiulo, P.; Della Pepa, C.; Berardi, S.; Califano, D.; Scala, S.; Buonaguro, L.; Ciliberto, G.; Brauchli, P.; Pignata, S. Tumor genotype and immune microenvironment in POLE-ultramutated and MSI-hypermutated Endometrial Cancers: New candidates for checkpoint blockade immunotherapy? Cancer Treat. Rev. 2016, 48, 61–68. [Google Scholar] [CrossRef] [PubMed]
  79. Sieh, W.; Köbel, M.; Longacre, T.A.; Bowtell, D.D.; DeFazio, A.; Goodman, M.T.; Høgdall, E.; Deen, S.; Wentzensen, N.; Moysich, K.B.; et al. Hormone-receptor expression and ovarian cancer survival: An Ovarian Tumor Tissue Analysis consortium study. Lancet Oncol. 2013, 14, 853–862. [Google Scholar] [CrossRef]
  80. Rambau, P.; Kelemen, L.; Steed, H.; Quan, M.; Ghatage, P.; Köbel, M. Association of Hormone Receptor Expression with Survival in Ovarian Endometrioid Carcinoma: Biological Validation and Clinical Implications. Int. J. Mol. Sci. 2017, 18, 515. [Google Scholar] [CrossRef] [PubMed]
  81. De Roock, W.; De Vriendt, V.; Normanno, N.; Ciardiello, F.; Tejpar, S. KRAS, BRAF, PIK3CA, and PTEN mutations: Implications for targeted therapies in metastatic colorectal cancer. Lancet Oncol. 2011, 12, 594–603. [Google Scholar] [CrossRef]
  82. Bosse, T.; Ter Haar, N.T.; Seeber, L.M.; Diest, P.J.v.; Hes, F.J.; Vasen, H.F.; Nout, R.A.; Creutzberg, C.L.; Morreau, H.; Smit, V.T. Loss of ARID1A expression and its relationship with PI3K-Akt pathway alterations, TP53 and microsatellite instability in endometrial cancer. Mod. Pathol. 2013, 26, 1525–1535. [Google Scholar] [CrossRef]
  83. Janku, F.; Hong, D.S.; Fu, S.; Piha-Paul, S.A.; Naing, A.; Falchook, G.S.; Tsimberidou, A.M.; Stepanek, V.M.; Moulder, S.L.; Lee, J.J.; et al. Assessing PIK3CA and PTEN in Early-Phase Trials with PI3K/AKT/mTOR Inhibitors. Cell Rep. 2014, 6, 377–387. [Google Scholar] [CrossRef]
  84. Wang, L.; Rambau, P.F.; Kelemen, L.E.; Anglesio, M.S.; Leung, S.; Talhouk, A.; Köbel, M. Nuclear β-catenin and CDX2 expression in ovarian endometrioid carcinoma identify patients with favourable outcome. Histopathology 2019, 74, 452–462. [Google Scholar] [CrossRef]
  85. Zyla, R.E.; Olkhov-Mitsel, E.; Amemiya, Y.; Bassiouny, D.; Seth, A.; Djordjevic, B.; Nofech-Mozes, S.; Parra-Herran, C. CTNNB1 Mutations and Aberrant β-Catenin Expression in Ovarian Endometrioid Carcinoma. Am. J. Surg. Pathol. 2021, 45, 68–76. [Google Scholar] [CrossRef]
  86. Rambau, P.F.; Vierkant, R.A.; Intermaggio, M.P.; Kelemen, L.E.; Goodman, M.T.; Herpel, E.; Pharoah, P.D.; Kommoss, S.; Jimenez-Linan, M.; Karlan, B.Y.; et al. Association of p16 expression with prognosis varies across ovarian carcinoma histotypes: An Ovarian Tumor Tissue Analysis consortium study. J. Pathol. Clin. Res. 2018, 4, 250–261. [Google Scholar] [CrossRef]
  87. Bennett, J.A.; Dong, F.; Young, R.H.; Oliva, E. Clear cell carcinoma of the ovary: Evaluation of prognostic parameters based on a clinicopathological analysis of 100 cases. Histopathology 2015, 66, 808–815. [Google Scholar] [CrossRef]
  88. Sangoi, A.R.; Soslow, R.A.; Teng, N.N.; Longacre, T.A. Ovarian Clear Cell Carcinoma With Papillary Features: A Potential Mimic of Serous Tumor of Low Malignant Potential. Am. J. Surg. Pathol. 2008, 32, 269–274. [Google Scholar] [CrossRef] [PubMed]
  89. DeLair, D.; Oliva, E.; Köbel, M.; Macias, A.; Gilks, C.B.; Soslow, R.A. Morphologic Spectrum of Immunohistochemically Characterized Clear Cell Carcinoma of the Ovary. Am. J. Surg. Pathol. 2011, 35, 36–44. [Google Scholar] [CrossRef] [PubMed]
  90. Young, R.H.; Scully, R.E. Oxyphilic Clear Cell Carcinoma of the Ovary A Report of Nine Cases. Am. J. Surg. Pathol. 1987, 11, 661–662. [Google Scholar] [CrossRef] [PubMed]
  91. McCluggage, W.G.; Young, R.H. Immunohistochemistry as a diagnostic aid in the evaluation of ovarian tumors. Semin. Diagn. Pathol. 2005, 22, 3–32. [Google Scholar] [CrossRef] [PubMed]
  92. Fukumoto, T.; Magno, E.; Zhang, R. SWI/SNF Complexes in Ovarian Cancer: Mechanistic Insights and Therapeutic Implications. Mol. Cancer Res. 2018, 16, 1819–1825. [Google Scholar] [CrossRef] [PubMed]
  93. Campbell, I.G.; Russell, S.E.; Choong, D.Y.H.; Montgomery, K.G.; Ciavarella, M.L.; Hooi, C.S.F.; Cristiano, B.E.; Pearson, R.B.; Phillips, W.A. Mutation of the PIK3CA Gene in Ovarian and Breast Cancer. Cancer Res. 2004, 64, 7678–7681. [Google Scholar] [CrossRef]
  94. Wu, R.-C.; Ayhan, A.; Maeda, D.; Kim, K.-R.; Clarke, B.A.; Shaw, P.; Chui, M.H.; Rosen, B.; Shih, I.-M.; Wang, T.-L. Frequent somatic mutations of the telomerase reverse transcriptase promoter in ovarian clear cell carcinoma but not in other major types of gynaecological malignancy. J. Pathol. 2014, 232, 473–481. [Google Scholar] [CrossRef]
  95. Jin, Y.; Li, Y.; Pan, L. The target therapy of ovarian clear cell carcinoma. Onco Targets Ther. 2014, 2014, 1647–1652. [Google Scholar] [CrossRef]
  96. Chui, M.H.; Gilks, C.B.; Cooper, K.; Clarke, B.A. Identifying Lynch Syndrome in Patients With Ovarian Carcinoma. Adv. Anat. Pathol. 2013, 20, 378–386. [Google Scholar] [CrossRef]
  97. Gadducci, A.; Guerrieri, M.E. Immune Checkpoint Inhibitors in Gynecological Cancers: Update of Literature and Perspectives of Clinical Research. Anticancer Res. 2017, 37. [Google Scholar] [CrossRef]
  98. Morice, P.; Gouy, S.; Leary, A. Mucinous Ovarian Carcinoma. N. Engl. J. Med. 2019, 380, 1256–1266. [Google Scholar] [CrossRef] [PubMed]
  99. Lee, K.R.; Scully, R.E. Mucinous Tumors of the Ovary. Am. J. Surg. Pathol. 2000, 24, 1447–1464. [Google Scholar] [CrossRef] [PubMed]
  100. Ramalingam, P. Morphologic, Immunophenotypic, and Molecular Features of Epithelial Ovarian Cancer. Oncology 2016, 30, 166–176. [Google Scholar] [PubMed]
  101. Kelemen, L.E.; Köbel, M. Mucinous carcinomas of the ovary and colorectum: Different organ, same dilemma. Lancet Oncol. 2011, 12, 1071–1080. [Google Scholar] [CrossRef]
  102. Moh, M.; Krings, G.; Ates, D.; Aysal, A.; Kim, G.E.; Rabban, J.T. SATB2 Expression Distinguishes Ovarian Metastases of Colorectal and Appendiceal Origin From Primary Ovarian Tumors of Mucinous or Endometrioid Type. Am. J. Surg. Pathol. 2016, 40, 419–432. [Google Scholar] [CrossRef]
  103. Cheasley, D.; Wakefield, M.J.; Ryland, G.L.; Allan, P.E.; Alsop, K.; Amarasinghe, K.C.; Ananda, S.; Anglesio, M.S.; Au-Yeung, G.; Böhm, M.; et al. The molecular origin and taxonomy of mucinous ovarian carcinoma. Nat. Commun. 2019, 10, 3935. [Google Scholar] [CrossRef]
  104. McAlpine, J.N.; Wiegand, K.C.; Vang, R.; Ronnett, B.M.; Adamiak, A.; Köbel, M.; Kalloger, S.E.; Swenerton, K.D.; Huntsman, D.G.; Gilks, C.B.; et al. HER2 overexpression and amplification is present in a subset of ovarian mucinous carcinomas and can be targeted with trastuzumab therapy. BMC Cancer 2009, 9, 433. [Google Scholar] [CrossRef]
  105. Taylor, J.; McCluggage, W.G. Ovarian Seromucinous Carcinoma. Am. J. Surg. Pathol. 2015, 39, 983–992. [Google Scholar] [CrossRef]
  106. Rambau, P.F.; McIntyre, J.B.; Taylor, J.; Lee, S.; Ogilvie, T.; Sienko, A.; Morris, D.; Duggan, M.A.; McCluggage, W.G.; Köbel, M. Morphologic Reproducibility, Genotyping, and Immunohistochemical Profiling Do Not Support a Category of Seromucinous Carcinoma of the Ovary. Am. J. Surg. Pathol. 2017, 41, 685–695. [Google Scholar] [CrossRef]
  107. Pors, J.; Cheng, A.; Leo, J.M.; Kinloch, M.A.; Gilks, B.; Hoang, L. A Comparison of GATA3, TTF1, CD10, and Calretinin in Identifying Mesonephric and Mesonephric-like Carcinomas of the Gynecologic Tract. Am. J. Surg. Pathol. 2018, 42, 1596–1606. [Google Scholar] [CrossRef]
  108. Mirkovic, J.; McFarland, M.; Garcia, E.; Sholl, L.M.; Lindeman, N.; MacConaill, L.; Dong, F.; Hirsch, M.; Nucci, M.R.; Quick, C.M.; et al. Targeted Genomic Profiling Reveals Recurrent KRAS Mutations in Mesonephric-like Adenocarcinomas of the Female Genital Tract. Am. J. Surg. Pathol. 2018, 42, 227–233. [Google Scholar] [CrossRef]
  109. McCluggage, W.G.; Vosmikova, H.; Laco, J. Ovarian Combined Low-grade Serous and Mesonephric-like Adenocarcinoma. Int. J. Gynecol. Pathol. 2020, 39, 84–92. [Google Scholar] [CrossRef]
  110. Espinosa, I.; De Leo, A.; D’Angelo, E.; Rosa-Rosa, J.M.; Corominas, M.; Gonzalez, A.; Palacios, J.; Prat, J. Dedifferentiated endometrial carcinomas with neuroendocrine features: A clinicopathologic, immunohistochemical, and molecular genetic study. Hum. Pathol. 2018, 72, 100–106. [Google Scholar] [CrossRef] [PubMed]
  111. Zhao, S.; Bellone, S.; Lopez, S.; Thakral, D.; Schwab, C.; English, D.P.; Black, J.; Cocco, E.; Choi, J.; Zammataro, L.; et al. Mutational landscape of uterine and ovarian carcinosarcomas implicates histone genes in epithelial-mesenchymal transition. Proc. Natl. Acad. Sci. USA 2016, 113, 12238–12243. [Google Scholar] [CrossRef] [PubMed]
  112. del Carmen, M.G.; Birrer, M.; Schorge, J.O. Carcinosarcoma of the ovary: A review of the literature. Gynecol. Oncol. 2012, 125, 271–277. [Google Scholar] [CrossRef] [PubMed]
  113. Berton-Rigaud, D.; Devouassoux-Shisheboran, M.; Ledermann, J.A.; Leitao, M.M.; Powell, M.A.; Poveda, A.; Beale, P.; Glasspool, R.M.; Creutzberg, C.L.; Harter, P.; et al. Gynecologic Cancer InterGroup (GCIG) Consensus Review for Uterine and Ovarian Carcinosarcoma. Int. J. Gynecol. Cancer 2014, 24, S55–S60. [Google Scholar] [CrossRef] [PubMed]
  114. De Jong, R.A.; Nijman, H.W.; Wijbrandi, T.F.; Reyners, A.K.L.; Boezen, H.M.; Hollema, H. Molecular markers and clinical behavior of uterine carcinosarcomas: Focus on the epithelial tumor component. Mod. Pathol. 2011, 24, 1368–1379. [Google Scholar] [CrossRef] [PubMed]
  115. Jones, S.; Stransky, N.; McCord, C.L.; Cerami, E.; Lagowski, J.; Kelly, D.; Angiuoli, S.V.; Sausen, M.; Kann, L.; Shukla, M.; et al. Genomic analyses of gynaecologic carcinosarcomas reveal frequent mutations in chromatin remodelling genes. Nat. Commun. 2014, 5, 5006. [Google Scholar] [CrossRef]
  116. Cherniack, A.D.; Shen, H.; Walter, V.; Stewart, C.; Murray, B.A.; Bowlby, R.; Hu, X.; Ling, S.; Soslow, R.A.; Broaddus, R.R.; et al. Integrated Molecular Characterization of Uterine Carcinosarcoma. Cancer Cell 2017, 31, 411–423. [Google Scholar] [CrossRef]
  117. Segura, S.E.; Pedra Nobre, S.; Hussein, Y.R.; Abu-Rustum, N.R.; Weigelt, B.; Soslow, R.A.; DeLair, D.F. DNA Mismatch Repair–deficient Endometrial Carcinosarcomas Portend Distinct Clinical, Morphologic, and Molecular Features Compared With Traditional Carcinosarcomas. Am. J. Surg. Pathol. 2020, 44, 1573–1579. [Google Scholar] [CrossRef]
Publisher’s Note: MDPI stays neutral with regard to jurisdictional claims in published maps and institutional affiliations.

Article Metrics

Citations

Article Access Statistics

Multiple requests from the same IP address are counted as one view.