Uterine Artery Embolization Combined with Subsequent Suction Evacuation as Low-Risk Treatment for Cesarean Scar Pregnancy
Abstract
:1. Introduction
2. Materials and Methods
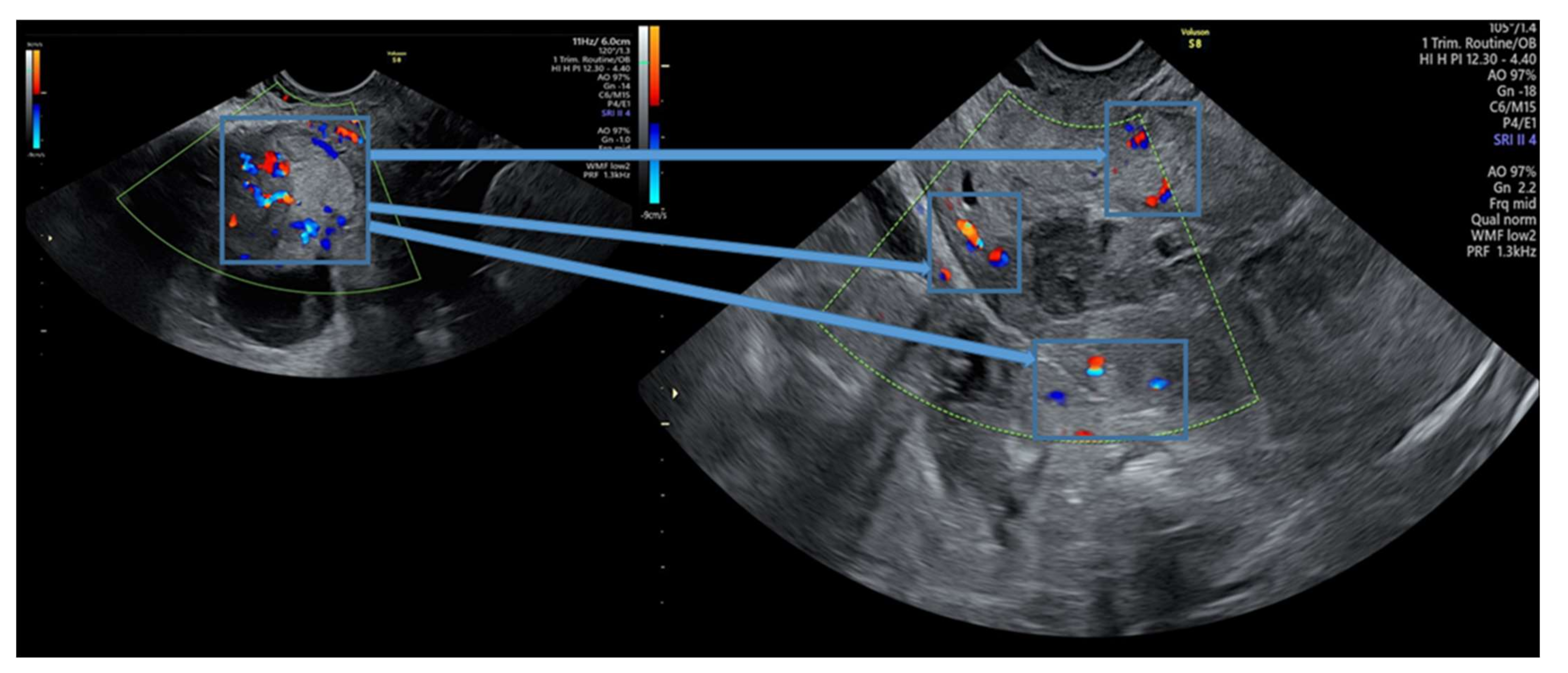
3. Results
4. Discussion
4.1. Financial Aspects
4.2. Study Strengths
4.3. Study Limitations
5. Conclusions
Author Contributions
Funding
Institutional Review Board Statement
Informed Consent Statement
Conflicts of Interest
References
- Miller, R.; Timor-Tritsch, I.E. Society for Maternal-Fetal Medicine (SMFM) Consult Series #49: Cesarean scar pregnancy. Soc. Matern.-Fetal Med. (SMFM) SMFM Consult. Ser. 2020, 222, B2–B14. [Google Scholar]
- Jauniaux, E.; Zosmer, N.; De Braud, L.V.; Ashoor, G.; Ross, J.; Jurkovic, D. Development of the utero-placental circulation in cesarean scar pregnancies: A case-control study. Am. J. Obstet. Gynecol. 2021. [Google Scholar] [CrossRef] [PubMed]
- Jauniaux, E.; Mavrelos, D.; De Braud, L.V.; Dooley, W.; Knez, J.; Jurkovic, D. Impact of location on placentation in live tubal and cesarean scar ectopic pregnancies. Placenta 2021, 108, 109–113. [Google Scholar] [CrossRef]
- CSPregistry. Available online: https://csp-registry.com/ (accessed on 27 October 2021).
- Timor-Tritsch, I.; Buca, D.; Mascio, D.D.; Cali, G.; D’Amico, A.; Monteagudo, A.; Tinari, S.; Morlando, M.; Nappi, L.; Greco, P.; et al. Outcome of cesarean scar pregnancy according to gesta-tional age at diagnosis: A systematic review and meta-analysis. Eur. J. Obstet. Gynecol. Repro-Ductive Biol. 2021, 258, 53–59. [Google Scholar] [CrossRef]
- De Braud, L.V.; Knez, J.; Mavrelos, D.; Thanatsis, N.; Jauniaux, E.; Jurkovic, D. Risk prediction of major haemorrhage with surgical treatment of live cesarean scar pregnancies. Eur. J. Obstet. Gynecol. Reprod. Biol. 2021, 264, 224–231. [Google Scholar] [CrossRef]
- Odgers, H.L.; Taylor, R.A.; Balendran, J.; Benness, C.; Ludlow, J. Rupture of a caesarean scar ectopic pregnancy: A case report. Case Rep. Womens Health 2019, 22, e00120. [Google Scholar] [CrossRef]
- Rivera-Rodríguez, A.; Jiménez-Zarazúa, O.; Castaldi-Bermúdez, L.; Vélez-Ramírez, L.; Coronel-Ciocca, O.C.; Romero-Frances, M.; Becerra-Baeza, A.; Mondragón, J. A case report of a misdiagnosed cesarean scar pregnancy in a hemo-dynamically compromised patient. Hum. Pathol. Case Rep. 2019, 18, 200344. [Google Scholar] [CrossRef]
- Tsakiridis, I.; Chatzikalogiannis, I.; Mamopoulos, A.; Dagklis, T.; Tsakmakidis, G.; Athanasiadis, A.; Kalogi-annidis, I. Cesarean scar pregnancy: A case report with surgical managementafter initially effective conservative treatment. Int. J. Surg. Case Rep. 2019, 65, 238–241. [Google Scholar] [CrossRef] [PubMed]
- Wu, J.; Ye, J.; OuYang, Z.; Wan, Z.; Zhang, Q.; Zhong, B.; Wei, S. Outcomes of reproduction following cesarean scar preg-nancy treatment: A systematic review and meta-analysis. Eur. J. Obstet. Gynecol. Reprod. Biol. 2021, 262, 80–92. [Google Scholar] [CrossRef]
- Zhang, Y.; Chen, L.; Zhou, M.; Li, Y.; Luo, J.; Chen, Z. Risk factors of persistent cesarean scar pregnancy after dilation and curettage: A matched caseecontrol study. Taiwan. J. Obstet. Gynecol. 2020, 59, 237–242. [Google Scholar] [CrossRef] [PubMed]
- Harzif, A.K.; Maidarti, M.; Shadrina, A.; Saroyo, Y.B. Cesarean scar pregnancy management: Different approach for dif-ferent situation; A case series. Ann. Med. Surg. 2021, 70, 102808. [Google Scholar] [CrossRef] [PubMed]
- Asif, S.; Aijawi, S.; Agten, A.K. Caesarean scar pregnancy: Diagnosis and management. Obstet. Gynaecol. Reprod. Med. 2021, 31, 271–274. [Google Scholar] [CrossRef]
- Tam, H.T.; Putterman, D.; Sinha, R.; Ludwig, J.W.; Gulersen, M. Computed tomography-guided injection for management of caesarean scar pregnancy. Clin. Radiol. 2021, 76, 696–700. [Google Scholar] [CrossRef]
- Yuan, Y.; Pu, D.; Zhan, P.; Zheng, Y.; Ren, Q.; Teichmann, A.T. Focused Ultrasound Ablation Surgery combined with ultra-sound-guided suction curettage in the treatment and management of Cesarean Scar Pregnancy. Eur. J. Obs. -Rics Gynecol. Reprod. Biol. 2021, 258, 168–173. [Google Scholar] [CrossRef]
- Kathopoulis, N.; Chatzipapas, I.; Samartzis, K.; Theodora, M.; Lardou, I.; Protopapas, A. Laparoscopic management of ce-sarean scar pregnancy: Report of two cases with video-presentation of different operative techniques and literature review. J. Gynecol. Obstet. Hum. Reprod. 2021, 50, 102066. [Google Scholar] [CrossRef]
- Brancazio, S.; Saramago, I.; Goodnight, W.; McGinty, K. Cesarean scar ectopic pregnancy: Case report. Radiol. Case Rep. 2019, 14, 354–359. [Google Scholar] [CrossRef] [PubMed]
- Hofgaard, E.; Westman, K.; Brunes, M.; Bossmar, T.; Persson, J. Cesarean scar pregnancy: Reproductive outcome after ro-botic laparoscopic removal with simultaneous repair of the uterine defect. Eur. J. Obstet. Gynecol. Reprod. Biol. 2021, 262, 40–44. [Google Scholar] [CrossRef] [PubMed]
- Wang, H.-F.; Chen, H.-H.; Ting, W.-H.; Lu, H.-F.; Lin, H.-H.; Hsiao, S.-M. Robotic or laparoscopic treatment of cesarean scar defects or cesarean scar pregnancies with a uterine sound guidance. Taiwan. J. Obstet. Gynecol. 2021, 60, 821–826. [Google Scholar] [CrossRef]
- Legris, M.-L.; Gabriele, V.; Host, A.; Akladios, C.; Garbin, O.; Lecointre, L. Cesarean scar pregnancy: Two case report and therapeutic management algorithm. J. Gynecol. Obstet. Hum. Reprod. 2021, 50, 102056. [Google Scholar] [CrossRef] [PubMed]
- Li, J.; Li, H.; Jiang, J.; Zhang, X.; Shan, S.; Zhao, X.; Shi, B. Dilatation and curettage versus lesion resection in the treatment of cesarean-scar-pregnancy: A systematic review and meta-analysis. Taiwan. J. Obstet. Gynecol. 2021, 60, 412–421. [Google Scholar] [CrossRef] [PubMed]
- Ouyang, Z.; Xu, Y.; Li, H.; Zhong, B.; Zhang, Q. Transvaginal hysterotomy: A novel approach for the treatment of cesarean scar pregnancy. Taiwan. J. Obstet. Gynecol. 2019, 58, 460–464. [Google Scholar] [CrossRef]
- Reid, J.A.; Bayer, L.L.; Edelman, A.B.; Colwill, A.C. Controversies in family planning: Management of cesarean-scar ec-topic pregnancy. Contraception 2021, 103, 208–212. [Google Scholar] [CrossRef] [PubMed]
- Baglı, I.; Bakır, M.S.; Dogan, Y.; Erdem, S.; Taşın, C.; Demirel, N.U.; Kulahçıoglu, M.I. Is suction curettage an effective treat-ment alternative for cesarean scar pregnancies? Eur. J. Obstet. Gynecol. Reprod. Biol. 2021, 258, 193–197. [Google Scholar] [CrossRef]
- Adams, A.; Thompson, M. Cesarean Scar Ectopic Pregnancy: A Case Report. J. Emerg. Nurs. 2021, 47, 693–695. [Google Scholar] [CrossRef] [PubMed]
- Naeh, A.; Shrim, A.; Shalom-Paz, E.; Amir, M.; Hallak, M.; Bruchim, I. Cesarean scar pregnancy managed with local and systemic methotrexate: A single center case series. Eur. J. Obstet. Gynecol. Reprod. Biol. 2019, 238, 138–142. [Google Scholar] [CrossRef]
- Mitsui, T.; Mishima, S.; Ohira, A.; Tani, K.; Maki, J.; Eto, E.; Hayata, K.; Masuyama, H. hCG values and gestational sac size as indicators of successful systemic methotrexate treatment in cesarean scar pregnancy. Taiwan. J. Obstet. Gynecol. 2021, 60, 454–457. [Google Scholar] [CrossRef] [PubMed]
- Laing-Aiken, Z.; Robson, D.; Wu, J. Surgical management of first-trimester bleeding in a heterotopic caesarean scar preg-nancy: A case report and review of literature. Case Rep. Womens Health 2020, 27, e00209. [Google Scholar] [CrossRef] [PubMed]
- Wu, Y.; Sun, L.-F.; Si, Y.-N.; Luan, X.-L.; Gao, Y.-M. Clinical efficacy analysis of different therapeutic methods in patients with cesarean scar pregnancy. Taiwan. J. Obstet. Gynecol. 2021, 60, 498–502. [Google Scholar] [CrossRef]
- Zanaboni, A.; Magee, M.; Gibbons, R.C.; Costantino, T.G. Point-of-Care Ultrasound Diagnosis of Cesarean Scar Ectopic Pregnancy: A Case Series. J. Emerg. Med. 2021, 60, 216–219. [Google Scholar] [CrossRef] [PubMed]
- Li, H.; Liu, X.; Xie, L.; Ye, Z.; Gan, L. Diagnostic accuracy and cut-off of contrast-enhanced ultrasound in caesarean scar pregnancy. Eur. J. Obstet. Gynecol. Reprod. Biol. 2020, 246, 117–122. [Google Scholar] [CrossRef]
- Zhang, B.; Jiang, Z.-B.; Huang, M.-S.; Guan, S.-H.; Zhu, K.-S.; Qian, J.-S.; Zhou, B.; Li, M.-A.; Shan, H. Uterine Artery Emboliza-tion Combined with Methotrexate in the Treatment of Cesarean Scar Pregnancy: Results of a Case Series and Review of the Literature. J. Vasc. Interv. Radiol. 2012, 23, 1582–1588. [Google Scholar] [CrossRef]
- Wu, X.; Zhang, X.; Zhu, J.; Di, W. Caesarean scar pregnancy: Comparative efficacy and safety of treatment by uterine artery chemoembolization and systemic methotrexate injection. Eur. J. Obstet. Gynecol. Reprod. Biol. 2012, 161, 75–79. [Google Scholar] [CrossRef]
- Sun, Y.-Y.; Xi, X.-W.; Yan, Q.; Qiao, Q.-Q.; Feng, Y.-J.; Zhu, Y.-P. Management of type II unruptured cesarean scar pregnancy: Comparison of gestational mass excision and uterine artery embolization combined with methotrexate. Taiwan. J. Obstet. Gynecol. 2015, 54, 489–492. [Google Scholar] [CrossRef] [PubMed] [Green Version]
- Lou, T.; Gao, Y.; Feng, Y.; Lu, J.; Zhang, Z.; Bai, H. Reproductive outcomes of cesarean scar pregnancies pretreated with methotrexate and uterine artery embolization prior to curettage. Taiwan. J. Obstet. Gynecol. 2020, 59, 381–386. [Google Scholar] [CrossRef]
- Ou, J.; Peng, P.; Li, C.; Teng, L.; Liu, X. Assessment of the necessity of uterine artery embolization during suction and cu-rettage for caesarean scar pregnancy: A prospective cohort study. BMC Pregnancy Childbirth 2020, 20, 378. [Google Scholar] [CrossRef]
- Qiao, B.; Zhang, Z.; Li, Y. Uterine Artery Embolization Versus Methotrexate for Cesarean Scar Pregnancy in a Chinese Population: A Meta-analysis. J. Minim. Invasive Gynecol. 2016, 23, 1040–1048. [Google Scholar] [CrossRef]
- Tekin, Y.B.; Ural, U.M.; Balık, G.; Ustuner, I.; Sahin, F.K.; Guven, E.S.G. Management of cesarean scar pregnancy with suc-tion curettage: A report of four cases and review of the literature. Arch. Gynecol. Obstet. 2014, 289, 1171–1175. [Google Scholar] [CrossRef]
- Darwish, H.S.; Habash, Y.H.; Habash, M.Y. Ectopic pregnancies in caesarean section scars: 5 years experience. Clin. Imaging 2020, 66, 26–34. [Google Scholar] [CrossRef] [PubMed]





| Patient No | Peak bHCG Value | Gestational Age | CSP | Treatment Course | Outcome |
|---|---|---|---|---|---|
| P1 * | 99,999 | 7w + 1d | Type 1 | 1. Intramuscular methotrexate injection 2. Uterine artery embolization 3. Suction evacuation | No complications |
| P2 | 99,999 | 5w + 2d | Type 2 | 1. Intramuscular methotrexate injection 2. Uterine artery embolization 3. Suction evacuation | No complications |
| P3 | 62,309 | 7w + 2d | Type 2 | 1. Intramuscular methotrexate injection 2. Uterine artery embolization 3. Suction evacuation | No complications |
| P4 | 5938 | 5w + 5d | Type 1 | 1.Intramuscular methotrexate injection 2. Suction evacuation | No complications |
| P5 | 4579 | 5w + 6d | Type 2 | 1.Intramuscular methotrexate injection 2. Uterine artery embolization 3.Suction evacuation | No complications |
| P6 | 70,373 | 6w + 5d | Type 1 | 1. Intramuscular methotrexate injection 2. Uterine artery embolization 3. Suction evacuation | No complications |
| P7 | 46,317 | 6w + 2d | Type 2 | 1. Intramuscular methotrexate injection 2. Uterine artery embolization 3. Suction evacuation | No complications |
| Patient No | Residual Myometrium Thickness (mm) | Fetal Heartbeat | Vascularization | Crown-Rump Length (mm) | Gestational Sac Diameter (mm) | BMI |
|---|---|---|---|---|---|---|
| P1 * | 2 | absent | increased | 11 | 22/20 | 27.5 |
| P2 | 2.1 | absent | increased | Not measured | 11 | 22.5 |
| P3 | 1.6 | present | increased | 13 | 24 | 28.4 |
| P4 | 3.3 | absent | normal | 2 | 8 | 33.6 |
| P5 | 4 | absent | normal | Not measured | 8 | 29.4 |
| P6 | 3.8 | absent | increased | 4 | 23 | 19.7 |
| P7 | 3.5 | present | increased | 5 | 28 | 21 |
Publisher’s Note: MDPI stays neutral with regard to jurisdictional claims in published maps and institutional affiliations. |
© 2021 by the authors. Licensee MDPI, Basel, Switzerland. This article is an open access article distributed under the terms and conditions of the Creative Commons Attribution (CC BY) license (https://creativecommons.org/licenses/by/4.0/).
Share and Cite
Bohiltea, R.; Ducu, I.; Mihai, B.; Iordache, A.-M.; Dorobat, B.; Vladareanu, E.M.; Iordache, S.-M.; Bohiltea, A.-T.; Bacalbasa, N.; Grigorescu, C.E.A.; et al. Uterine Artery Embolization Combined with Subsequent Suction Evacuation as Low-Risk Treatment for Cesarean Scar Pregnancy. Diagnostics 2021, 11, 2350. https://doi.org/10.3390/diagnostics11122350
Bohiltea R, Ducu I, Mihai B, Iordache A-M, Dorobat B, Vladareanu EM, Iordache S-M, Bohiltea A-T, Bacalbasa N, Grigorescu CEA, et al. Uterine Artery Embolization Combined with Subsequent Suction Evacuation as Low-Risk Treatment for Cesarean Scar Pregnancy. Diagnostics. 2021; 11(12):2350. https://doi.org/10.3390/diagnostics11122350
Chicago/Turabian StyleBohiltea, Roxana, Ionita Ducu, Bianca Mihai, Ana-Maria Iordache, Bogdan Dorobat, Emilia Maria Vladareanu, Stefan-Marian Iordache, Alexia-Teodora Bohiltea, Nicolae Bacalbasa, Cristiana Eugenia Ana Grigorescu, and et al. 2021. "Uterine Artery Embolization Combined with Subsequent Suction Evacuation as Low-Risk Treatment for Cesarean Scar Pregnancy" Diagnostics 11, no. 12: 2350. https://doi.org/10.3390/diagnostics11122350
APA StyleBohiltea, R., Ducu, I., Mihai, B., Iordache, A.-M., Dorobat, B., Vladareanu, E. M., Iordache, S.-M., Bohiltea, A.-T., Bacalbasa, N., Grigorescu, C. E. A., & Varlas, V. (2021). Uterine Artery Embolization Combined with Subsequent Suction Evacuation as Low-Risk Treatment for Cesarean Scar Pregnancy. Diagnostics, 11(12), 2350. https://doi.org/10.3390/diagnostics11122350

