Dilated Odontoma Arising in the Mandibular Third Molar Germ: Report of a Case of an Unusual Lesion in an Uncommon Site
Abstract
1. Introduction
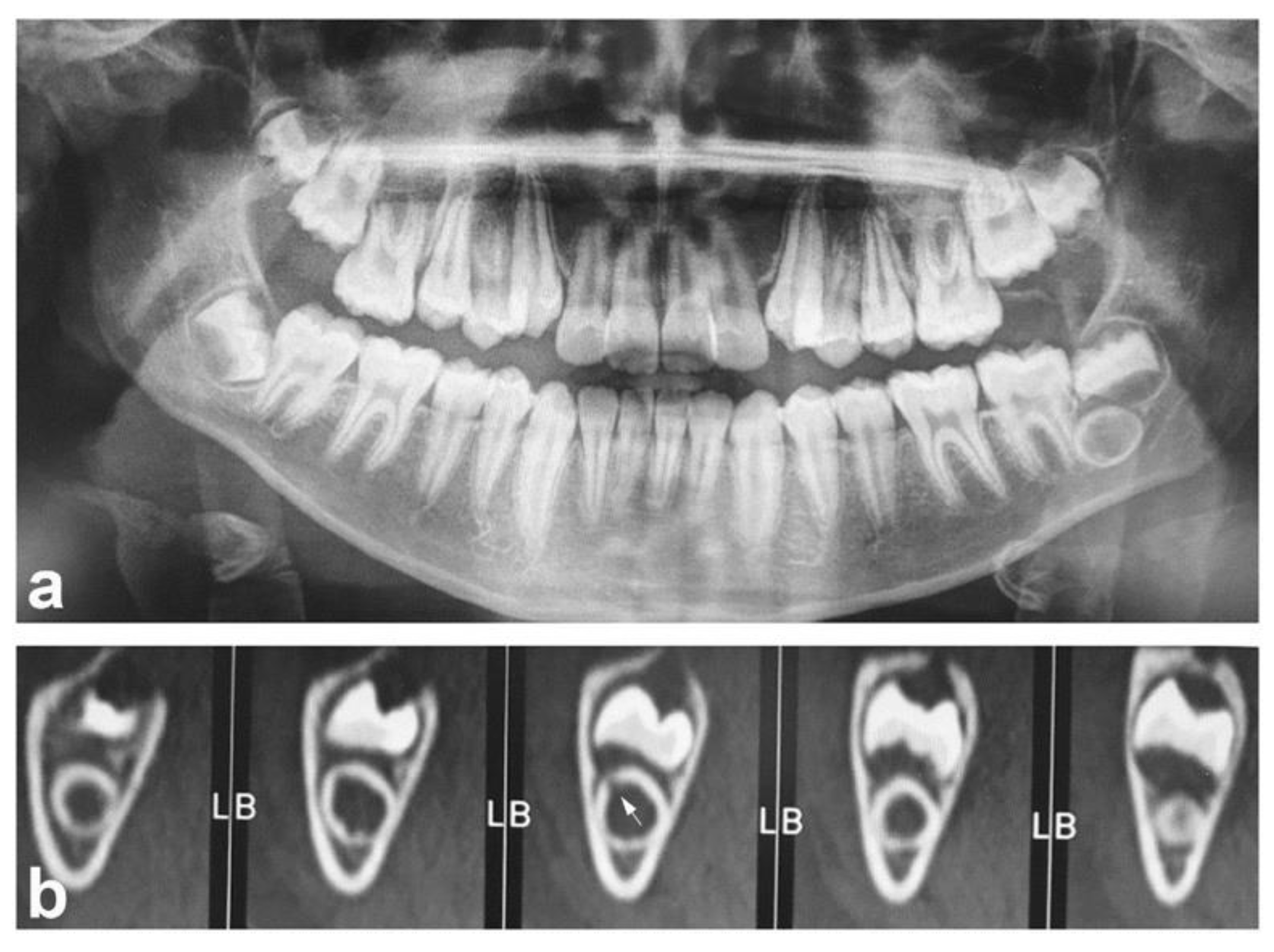
2. Case Report
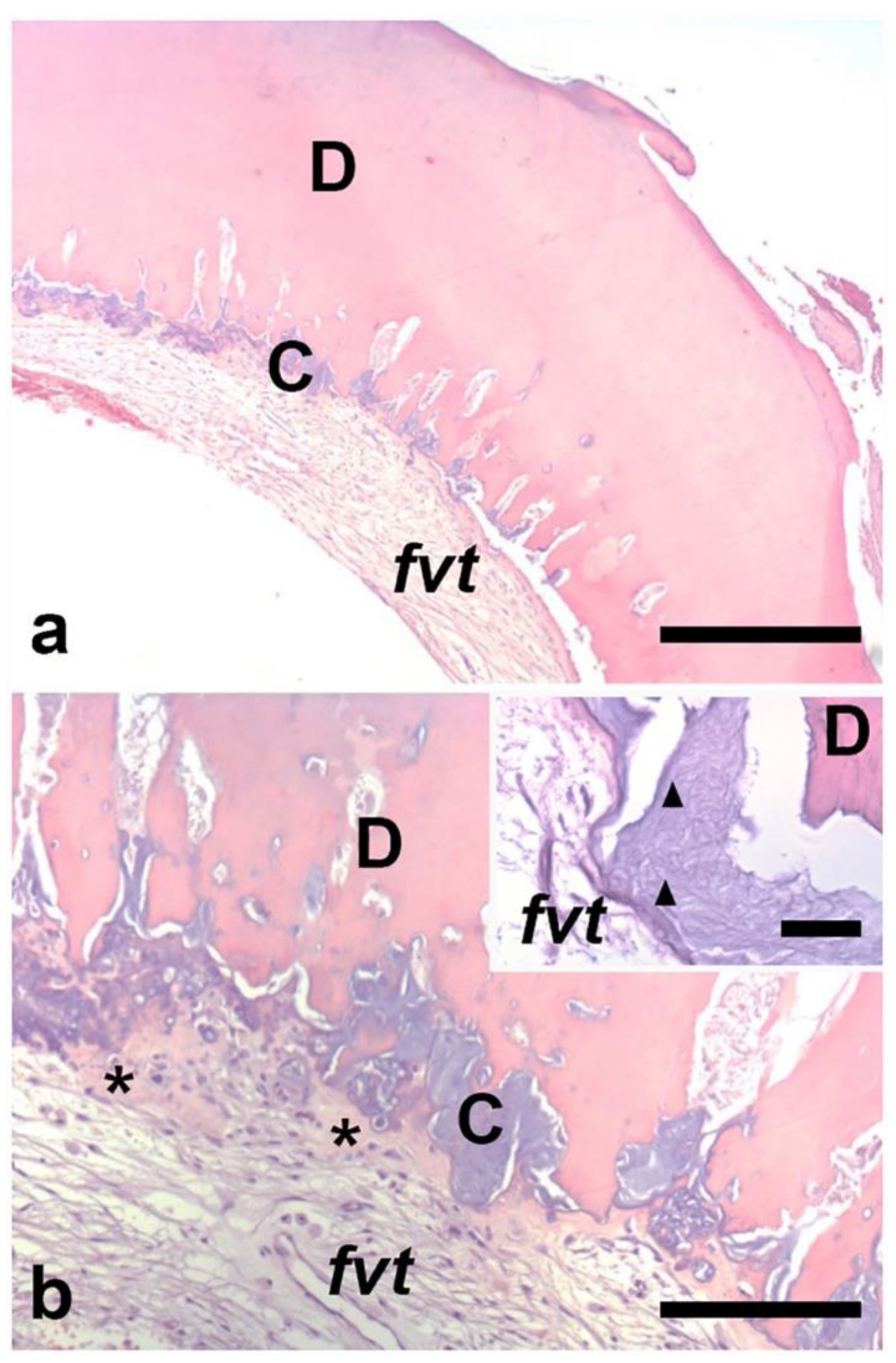
3. Discussion
Author Contributions
Funding
Institutional Review Board Statement
Informed Consent Statement
Data Availability Statement
Conflicts of Interest
References
- Jaya, R.; Mohan Kumar, R.S.; Srinivasan, R. A rare case of dilated invaginated odontome with talon cusp in a permanent maxillary central incisor diagnosed by cone beam computed tomography. Imaging Sci. Dent. 2013, 43, 209–213. [Google Scholar] [CrossRef] [PubMed][Green Version]
- Matsusue, Y.; Yamamoto, K.; Inagake, K.; Kirita, T. A dilated odontoma in the second molar region of the mandible. Open Dent. J. 2011, 5, 150–153. [Google Scholar] [CrossRef] [PubMed]
- Galvez, P.; Garot, E.; Bres, A.; Crelier, A.; Castain, C.; Catros, S.; Fenelon, M. Dilated odontoma: An unusual case report and literature review. J. Oral Med. Oral Surg. 2021, 27, 24. [Google Scholar] [CrossRef]
- White, S.C.; Pharoah, M.J. Oral Radiology: Principles and Interpretation, 5th ed.; Mosby: St. Louis, MO, USA, 2004. [Google Scholar]
- Oehlers, F.A.C. Dens invaginatus (dilated composite odontome) I. Variations of the invagination process and associated anterior crown forms. Oral Surg. Oral Med. Oral Pathol. 1957, 10, 1204–1218. [Google Scholar] [CrossRef]
- Rushton, M.A. A collection of dilated composite odontomes. Br. Dent. J. 1937, 63, 65–86. [Google Scholar]
- Oehlers, F.A.C. Dens invaginatus (dilated composite odontome). II. Associated posterior crown forms and pathogenesis. Oral Surg. Oral Med. Oral Pathol. 1957, 10, 1302–1316. [Google Scholar] [CrossRef]
- Cuković-Bagić, I.; Macan, D.; Dumancić, J.; Manojlović, S.; Hat, J. Dilated odontome in the mandibular third molar region. Oral Surg. Oral Med. Oral Pathol. Oral Pathol. Endod. 2010, 109, 109–113. [Google Scholar] [CrossRef] [PubMed][Green Version]
- Almeida, B.; Silva, A.; Pereira, M.; Silva, M.; Nunes, S. Case report of a dilated odontome in the posterior mandible. Int. J. Surg. Case Rep. 2016, 20, 14–16. [Google Scholar] [CrossRef] [PubMed]
- Jayachandran, S.; Kayal, L.; Sharma, A.; Priyanka, K. Dilated odontoma: A report of two cases from a radiological perspective. Contemp. Clin. Dent. 2016, 7, 107–110. [Google Scholar] [PubMed]
- Sharma, G.; Nagra, A.; Singh, G.; Nagpal, A.; Soin, A.; Bhardwaj, V. An erupted dilated odontoma: A rare presentation. Case Rep. Dent. 2016, 2016, 9750947. [Google Scholar] [CrossRef] [PubMed][Green Version]
- Dental Radiographic Examination: Reccomendations for Patient Selection and Limiting Radiatione Exposure. American Dental Association (Council on Scientific Affairs). Available online: https://www.ada.org/-/media/project/ada-organization/ada/ada-org/ada/ada/publications/ada-news/files/dental_radiographic_examinations_2012.pdf?rev=496a9ceb48a1405f9a8008abc0de745c&hash=7C8A3F99EF8E6DA58E5A2E9DF59B3FD4 (accessed on 6 November 2021).
- Wall, A.; Ng, S.; Djemal, S. The value of cone beam CT in assessing and managing a dilated odontome of a maxillary canine. Dent. Update 2015, 42, 126–128. [Google Scholar] [CrossRef] [PubMed]
- Matsumoto, T.; Seto, K. Histopathological Studies of Four Cases of Dilated Odontoma. Oral Med. Pathol. 1996, 1, 56–59. [Google Scholar] [CrossRef][Green Version]
- Coria-Bello, M.; Morales-González, F.J. Dens invaginatus u odontoma dilatado, a definition controversy. A literature review. Rev. Científica Odontol. 2021, 9, e061. [Google Scholar]
- Patil, S.; Rao, R.S.; Majumdar, B. Hamartomas of the oral cavity. J. Int. Soc. Prev. Community Dent. 2015, 5, 347–353. [Google Scholar] [CrossRef] [PubMed]
- Vared, M.; Fowler, C.B.; Neville, B.W.; Soluk Tekkesin, M. Odontoma. In WHO Classification of Head and Neck Tumours; El-Naggar, A.K., Chan, J.K.C., Grandis, J.R., Takat, T., Slootweg, P.J., Eds.; IARC Press: Lyon, France, 2017; pp. 224–226. [Google Scholar]
- Sedano, H.O.; Ocampo-Acosta, F.; Naranjo-Corona, R.I.; Torres-Arellano, M.E. Multiple dens invaginatus, mulberry molar and conical teeth. Case report and genetic considerations. Med. Oral Patol. Oral Y Cir. Bucal 2009, 14, 69–72. [Google Scholar]



| Age/Gender | Clinical Presentation | Tooth Number | Ref. |
|---|---|---|---|
| 24 years/Male | Pain and swelling | 2.1 | [1] |
| 14 years/Female | Unerupted molar tooth | 3.7 | [2] |
| 7 years/Female | Asymptomatic | 4.2 | [3] |
| 28 years/Female | Asymptomatic | 4.8 | [8] |
| 47 years/Female | Pain and discomfort | 3.8 | [9] |
| 16 years/Male | Swelling | 4.4 bis | [10] |
| 24 years/Male | Pain and swelling | 1.7 | [10] |
| 18 years/Male | Malformed tooth and intermittent mild pain | 2.1 bis | [11] |
| 14 years/Male | Swelling | 2.3 | [13] |
| 60 years/Male | NA | 3.8 | [14] |
| 30years/Male | NA | 4.6 | [14] |
| 49 years/Female | NA | 1.8 | [14] |
| 32 years/Female | NA | right maxillary molar region | [14] |
| 11 years/Male | Asymptomatic | 3.8 (germ tooth) | Present case |
Publisher’s Note: MDPI stays neutral with regard to jurisdictional claims in published maps and institutional affiliations. |
© 2021 by the authors. Licensee MDPI, Basel, Switzerland. This article is an open access article distributed under the terms and conditions of the Creative Commons Attribution (CC BY) license (https://creativecommons.org/licenses/by/4.0/).
Share and Cite
Zara, F.; D’Angeli, G.; Corsi, A.; Polimeni, A.; Sfasciotti, G.L. Dilated Odontoma Arising in the Mandibular Third Molar Germ: Report of a Case of an Unusual Lesion in an Uncommon Site. Diagnostics 2021, 11, 2256. https://doi.org/10.3390/diagnostics11122256
Zara F, D’Angeli G, Corsi A, Polimeni A, Sfasciotti GL. Dilated Odontoma Arising in the Mandibular Third Molar Germ: Report of a Case of an Unusual Lesion in an Uncommon Site. Diagnostics. 2021; 11(12):2256. https://doi.org/10.3390/diagnostics11122256
Chicago/Turabian StyleZara, Francesca, Giacomo D’Angeli, Alessandro Corsi, Antonella Polimeni, and Gian Luca Sfasciotti. 2021. "Dilated Odontoma Arising in the Mandibular Third Molar Germ: Report of a Case of an Unusual Lesion in an Uncommon Site" Diagnostics 11, no. 12: 2256. https://doi.org/10.3390/diagnostics11122256
APA StyleZara, F., D’Angeli, G., Corsi, A., Polimeni, A., & Sfasciotti, G. L. (2021). Dilated Odontoma Arising in the Mandibular Third Molar Germ: Report of a Case of an Unusual Lesion in an Uncommon Site. Diagnostics, 11(12), 2256. https://doi.org/10.3390/diagnostics11122256

