Pleural Involvement in IgG4-Related Disease: Case Report and Review of the Literature
Abstract
:1. Introduction
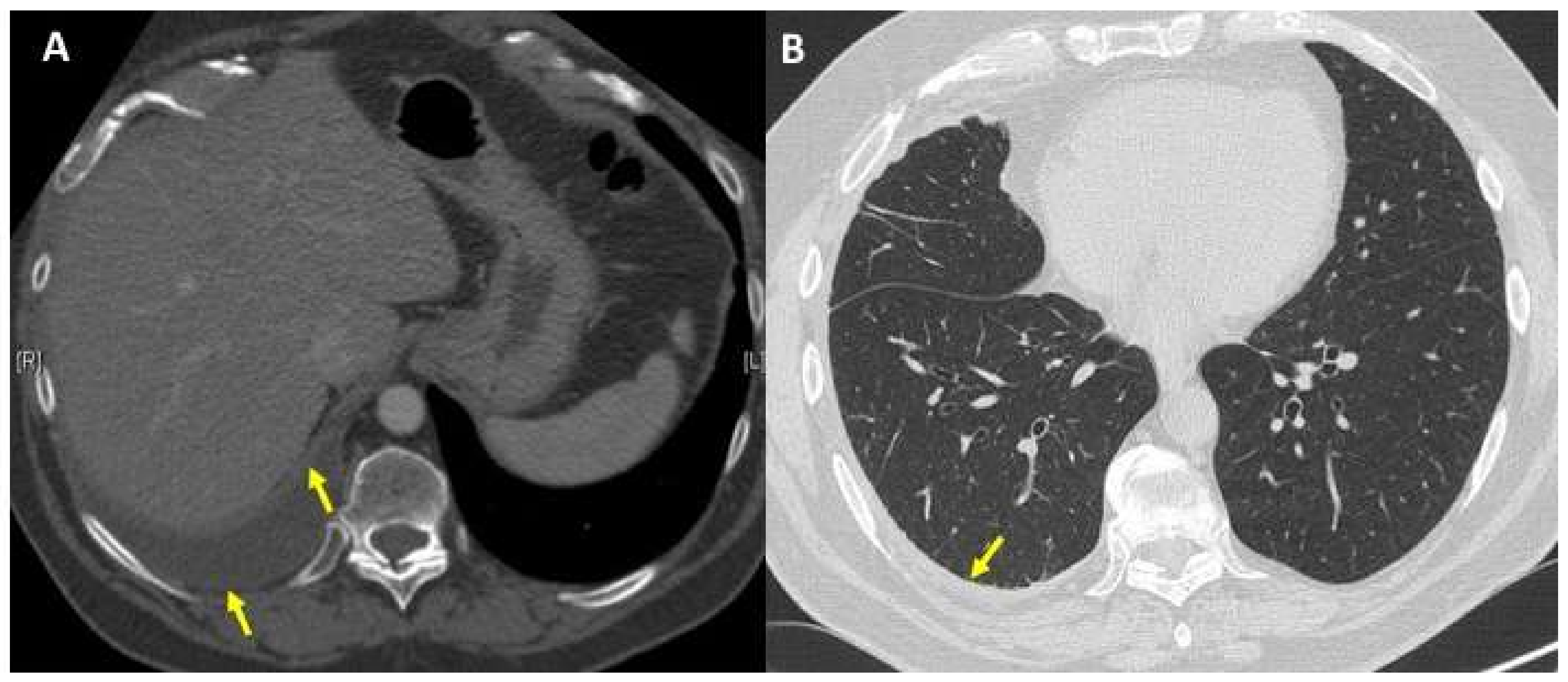
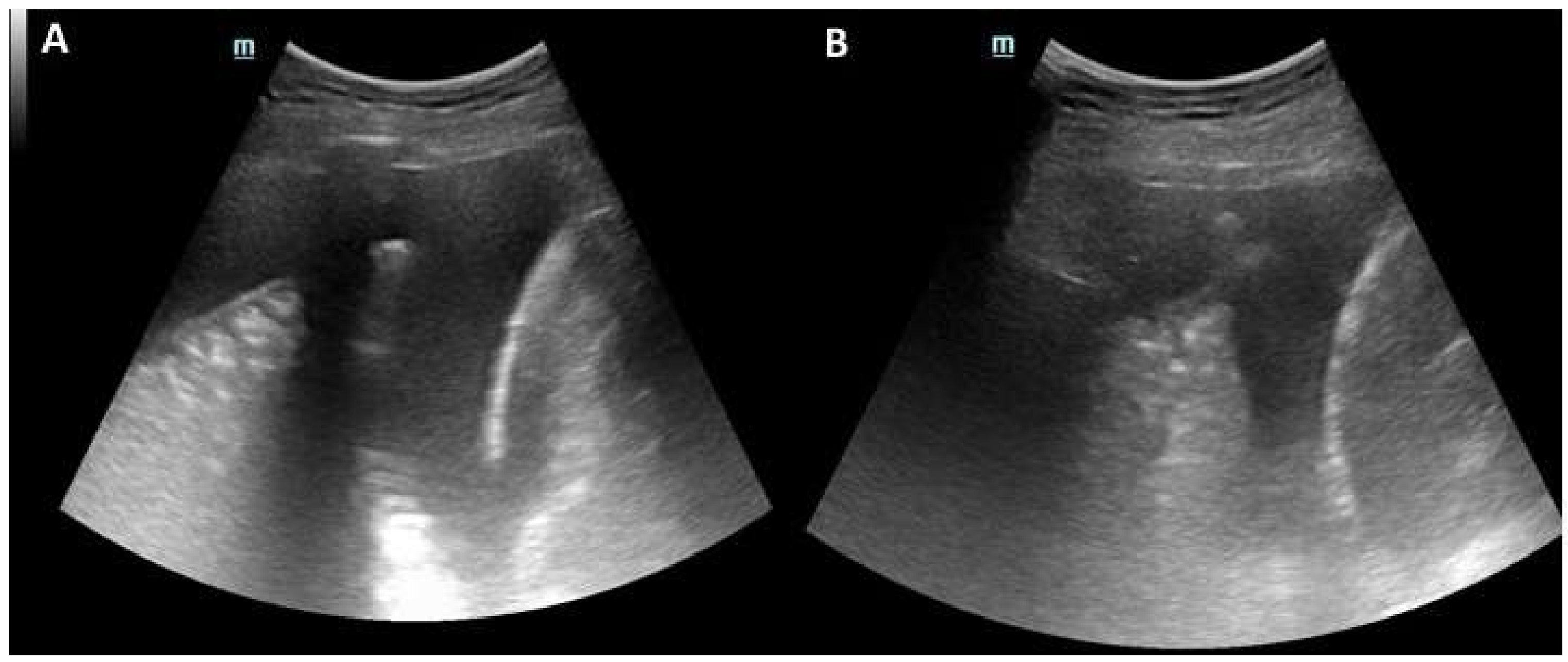
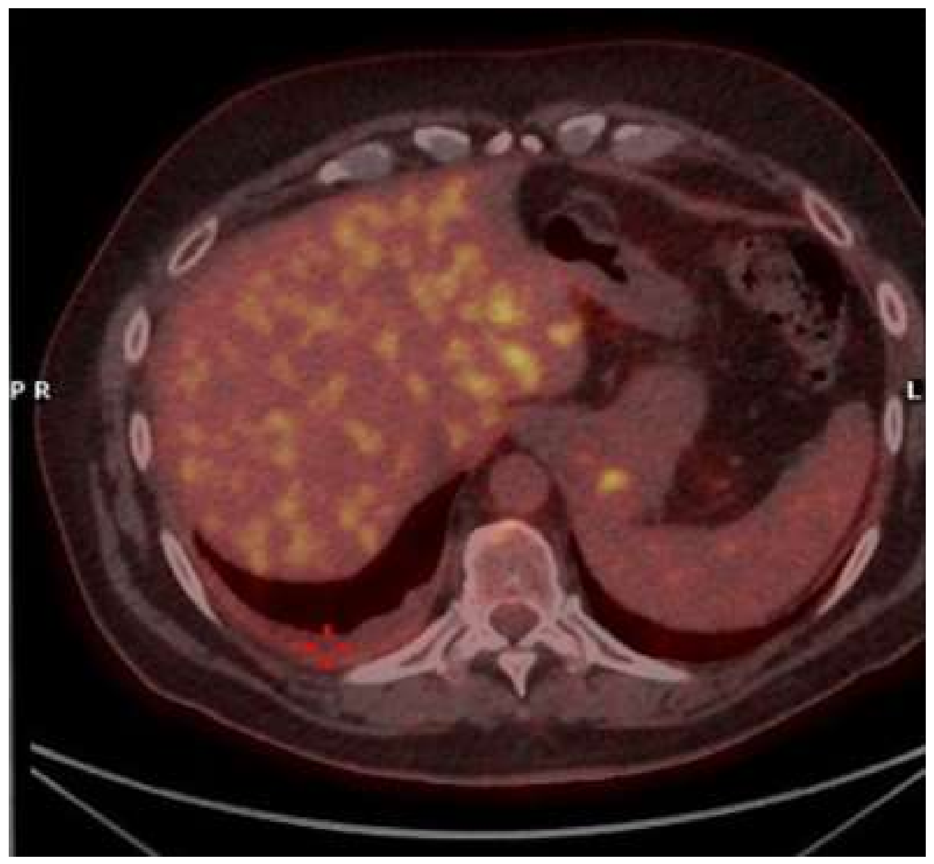
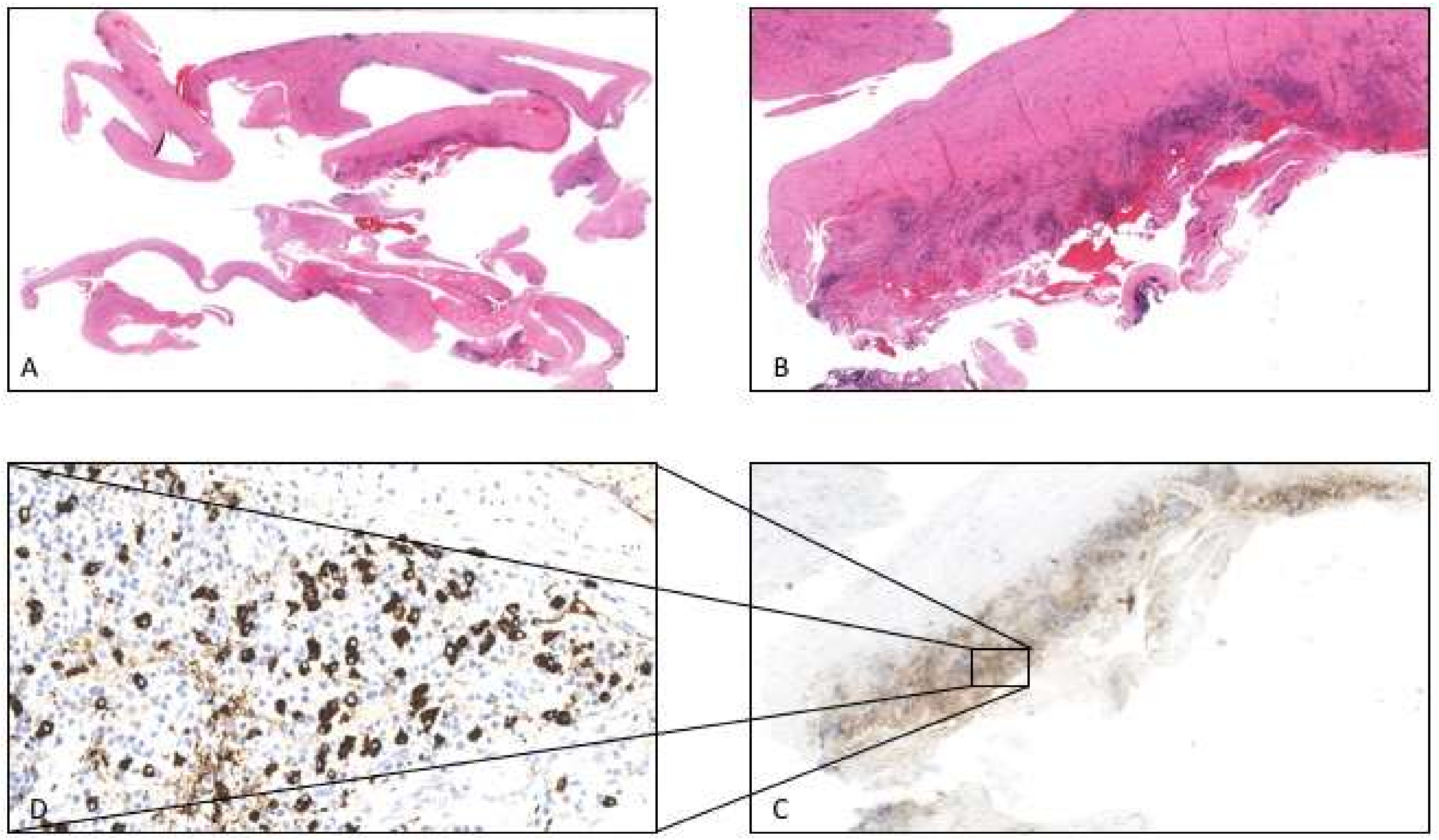
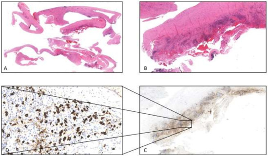
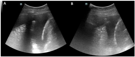
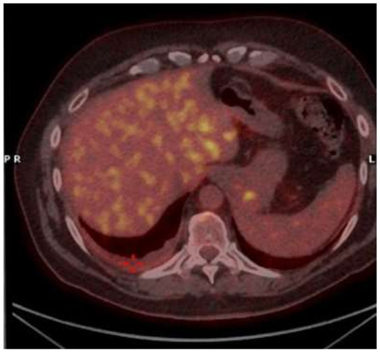
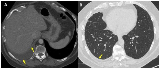
2. Case Presentation
3. Discussion
4. Conclusions
Author Contributions
Funding
Institutional Review Board Statement
Informed Consent Statement
Data Availability Statement
Conflicts of Interest
References
- Hamano, H.; Kawa, S.; Horiuchi, A.; Unno, H.; Furuya, N.; Akamatsu, T.; Fukushima, M.; Nikaido, T.; Nakayama, K.; Usuda, N.; et al. High serum IgG4 concentrations in patients with sclerosing pancreatitis. N. Engl. J. Med. 2001, 344, 732–738. [Google Scholar] [CrossRef] [PubMed]
- Stone, J.H.; Zen, Y.; Deshpande, V. IgG4-related disease. N. Engl. J. Med. 2012, 366, 539–551. [Google Scholar] [CrossRef] [PubMed]
- Ryu, J.H.; Sekiguchi, H.; Yi, E.S. Pulmonary manifestations of immunoglobulin G4- related sclerosing disease. Eur. Respir. J. 2012, 39, 180–186. [Google Scholar] [CrossRef] [Green Version]
- Corcoran, J.P.; Culver, E.L.; Anstey, R.M.; Talwar, A.; Manganis, C.D.; Cargill, T.N.; Hallifax, R.J.; Psallidas, I.; Rahman, N.M.; Barnes, E. Thoracic involvement in IgG4-related disease in a UK-based patient cohort. Respir. Med. 2017, 132, 117–121. [Google Scholar] [CrossRef] [PubMed] [Green Version]
- Fei, Y.; Shi, J.; Lin, W.; Chen, Y.; Feng, R.; Wu, Q.; Gao, X.; Xu, W.; Zhang, W.; Zhang, X.; et al. Intrathoracic involvements of immunoglobulin G4- related sclerosing disease. Medicine 2015, 94, e2150. [Google Scholar] [CrossRef]
- Murata, Y.; Aoe, K.; Mimura, Y. Pleural effusion related to IgG4. Curr. Opin. Pulm. Med. 2019, 25, 384–390. [Google Scholar] [CrossRef] [PubMed]
- Zen, Y.; Nakanuma, Y. IgG4-related disease: A cross- sectional study of 114 cases. Am. J. Surg. Pathol. 2010, 34, 1812–1819. [Google Scholar] [CrossRef] [PubMed]
- Wallace, Z.S.; Deshpande, V.; Mattoo, H.; Mahajan, V.S.; Kulikova, M.; Pillai, S.; Stone, J.H. IgG4-related disease: Clinical and laboratory features in one hundred twenty-five patients. Arthritis Rheumatol. 2015, 67, 2466–2475. [Google Scholar] [CrossRef] [PubMed] [Green Version]
- Deshpande, V.; Zen, Y.; KCChan, J.; EYi, E.; Sato, Y.; Yoshino, T.; Kloppel, G.; Godfrey Heathcote, J.G.; Khosroshahi, A.; Ferry, J.A.; et al. Consensus statement on the pathology of IgG4-related disease. Mod. Pathol. 2012, 25, 1181–1192. [Google Scholar] [CrossRef] [Green Version]
- Zen, Y.; Inoue, D.; Kitao, A.; Onodera, M.; Abo, H.; Miyayama, S.; Gabata, T.; Matsui, O.; Nakanuma, Y. IgG4-related lung and pleural disease: A clinico-pathologic study of 21 cases. Am. J. Surg. Pathol. 2009, 33, 1886–1893. [Google Scholar] [CrossRef] [PubMed]
- Yu, K.H.; Chan, T.M.; Tsai, P.H.; Chen, C.H.; Chang, P.Y. Diagnostic Performance of Serum IgG4 Levels in Patients With IgG4-Related Disease. Medicine 2015, 94, e1707. [Google Scholar] [CrossRef]
- Gasparini, S.; Bonifazi, M. Pleural diseases. Curr. Opin. Pulm. Med. 2017, 23, 269–274. [Google Scholar] [CrossRef] [PubMed]
- Mei, F.; Bonifazi, M.; Rota, M.; Cirilli, L.; Grilli, M.; Duranti, C.; Zuccatosta, L.; Bedawi, E.O.; McCracken, D.; Gasparini, S.; et al. Diagnostic Yield and Safety of Image-Guided Pleural Biopsy: A Systematic Review and Meta-Analysis. Respiration 2021, 100, 77–87. [Google Scholar] [CrossRef]
- Bhatnagar, R.; Corcoran, J.P.; Maldonado, F.; Feller-Kopman, D.; Janssen, J.; Astoul, P.; Rahman, N.M. Advanced medical interventions in pleural disease. Eur. Respir. Rev. 2016, 25, 199–213. [Google Scholar] [CrossRef] [PubMed] [Green Version]
- Yamamoto, H.; Suzuki, T.; Yasuo, M.; Kobayashi, O.; Tsushima, K.; Ito, M.; Urushihata, K.; Yamazaki, Y.; Hanaoka, M.; Koizumi, T. IgG4-related pleural disease diagnosed by a re-evaluation of chronic bilateral pleuritis in a patient who experienced occasional acute left bacterial pleuritis. Intern. Med. 2011, 50, 893–897. [Google Scholar] [CrossRef] [PubMed] [Green Version]
- Marta, E.; Gajewska, M.E.; Rychwicka-Kielek, B.A.; Sørensen, K.; Kubik, M.; Hilberg, O.; Bendstrup, E. ImmunoglobulinG4- related pleuritis–a case report. Respir. Med. Case Rep. 2016, 19, 18–20. [Google Scholar]
- Kita, T.; Araya, T.; Ichikawa, Y.; Kawashima, A.; Kasashima, S.; Kasahara, K. IgG4-related pleuritis with no other organ involvement. Am. J. Med. Sci. 2018, 356, 487–491. [Google Scholar] [CrossRef]
- Kasashima, S.; Kawashima, A.; Ozaki, S.; Kita, T.; Araya, T.; Ohta, Y.; Suzuki, M. Clinicopathological features of immunoglobulin G4-related pleural lesions and diagnostic utility of pleural effusion cytology. Cytopathology 2018, 30, 285–294. [Google Scholar] [CrossRef] [PubMed]
- Murata, Y.; Aoe, K.; Mimura-Kimura, Y.; Muramaki, T.; Oishi, K.; Matsumoto, H.; Ueoka, H.; Matsunaga, K.; Yano, M.; Mimura, Y. Association of immunoglobulin G4 and free light chain with idiopathic pleural effusion. Clin. Exp. Immunol. 2017, 190, 133–142. [Google Scholar] [CrossRef] [Green Version]
- Wallace, Z.S.; Ray, P.; Naden, R.P.; Chari, S.; Choi, H.K.; Della Torre, E.; Dicaire, J.F.; Hart, P.A.; Inoue, D.; Kawano, M.; et al. The 2019 American College of Rheumatology/European League Against Rheumatism classification criteria for IgG4-related disease. Arthritis Rheumatol. 2020, 72, 7–19. [Google Scholar] [CrossRef] [PubMed] [Green Version]
- Saito, Z.; Yoshida, M.; Kojima, A.; Tamura, K.; Kuwano, K. Characteristics of pleural effusion in IgG4-related pleuritis. Respir. Med. Case Rep. 2020, 29, 101019. [Google Scholar] [CrossRef] [PubMed]
- Strehl, J.D.; Hartmann, A.; Agaimy, A. Numerous IgG4-positive plasma cells are ubiquitous in diverse localized non-specific chronic inflammatory conditions and need to be distinguished from IgG4-related systemic disorders. J. Clin. Pathol. 2011, 64, 237–243. [Google Scholar] [CrossRef] [PubMed] [Green Version]
- Yasokawa, N.; Shirai, R.; Tanaka, H.; Kurose, K.; Oga, T.; Oka, M. Thoracoscopic Findings in IgG4-related Pleuritis. Intern Med. 2020, 59, 257–260. [Google Scholar] [CrossRef] [PubMed] [Green Version]
- Zen, Y.; Kitagawa, S.; Minato, H.; Kurumayama, H.; Katayanagi, K.; Masuda, S.; Niwa, H.; Fujimura, M.; Nakanuma, Y. IgG4-positive plasma cells in inflammatory pseudotumor (plasma cell granuloma) of the lung. Human Pathol. 2005, 36, 710–717. [Google Scholar] [CrossRef] [PubMed]
- Perugino, C.A.; Stone, J.H. IgG4-related disease: An update on pathophysiology and implications for clinical care. Nat. Rev. Heumatol. 2020, 16, 702–714. [Google Scholar] [CrossRef] [PubMed]





| Parameter | Results |
|---|---|
| Appearance | Cloudy |
| Colour | Yellow |
| Total protein (g/dL) | 4.5 g/dL |
| Cholesterol (mg/dL) | 77 mg/dL |
| Lactate dehydrogenase—LDH (U/liter) | 515 U/L |
| Glucose (mg/dL) | 105 mg/dL |
| White cells count | 2730/mcL (56% of mononucleated cells) |
| Cytology | Reactive mesothelial cells and lymphocytes |
| Microbiology | Negative |
| AAFB | Negative |
| Organ | Clinical and Radiological Findings | Differential Diagnosis |
|---|---|---|
| Orbital and peri-orbital area | Orbital pseudotumor; dacryoadenitis; dacrocystitis; Orbital mass lesions | Lymphoma; Graves’disease; Granulomatosis with polyangiitis (Wegener’s); Sarcoidosis |
| Meninges | Hypertrophic pachimeningitis | Inflammatory myofibroblastic tumor; Granulomatosis with polyangiitis (Wegener’s); Giant cell arteritis; Langerhans cell histiocytosis; Sarcoidosis |
| Pituitary gland | Hypophysitis | Neoplasms; Histiocytosis; Hypophysitis: Primary or Secondary (sarcoidosis, ipilimumb-induced) |
| Salivary glands | Sialoadenitis (Mikulicz Disease) | Lymphoma; Sjögren’s syndrome; Sarcoidosis; Sialodocholithiasis |
| Upper airways | Nasal polyps, allergic rhinitis, nasal obstruction, rhinorrhea, anosmia, chronic sinusitis, eosinophiic angiocentric fibrosis | Allergic disease; Churg-Strauss syndrome; Granulomatosis with polyangiitis (Wegener’s); Sarcoma |
| Thyroid gland | Hypothyroidism; thyroid gland enlargement; Riedel’s thyroiditis | Thyroid lymphoma; Differentiated thyroid carcinoma; Other malignancy |
| Cardiovascular system | Constrictive pericarditis; peri-aortitis; inflammatory aneurysm; coronary arteritis | |
| Respiratory system | Parenchymal lung consolidations, inflammatory pseudotumor, central airway disease, interstitial lung disease, pleural effusion, pleural thickening, pleural nodules or masses | Malignancy; Inflammatory myofibroblastic tumor; Sarcoidosis; Castleman’s disease; Lymphomatoid disease; Pleural malignancy; Non specific pleuritis; Interstitial lung disease |
| Mediastinum and Retroperitoneum | Lymphoadenopathy; retroperitoneum fibrosis | Sarcoidosis; Castleman’s disease; Lymphomatoid disease |
| Gastrointestinal system | Autoimmune pancreatitis; Inflammatory mesenteritis; Sclerosing cholangitis; Mass lesions liver | Pancreatic cancer; Cholangiocarcinoma; Primary sclerosing cholangitis; Hepatocarcinoma |
| Haematopoietic-Lymphatic system | Lymphoadenopaty; Eosinofilia; Polyclonal hypergammaglobulinemia | Myeloma; Lymphomatoid and Myeloid disease |
| Urinary system | Tubulointerstitial nephritis; Tumoral lesions | Lymphoma; Renal cell carcinoma; Paucimmune Necrotizing Glomerulonephritis; Sarcoidosis Sjögren’s syndrome Systemic lupus erythematosus |
Publisher’s Note: MDPI stays neutral with regard to jurisdictional claims in published maps and institutional affiliations. |
© 2021 by the authors. Licensee MDPI, Basel, Switzerland. This article is an open access article distributed under the terms and conditions of the Creative Commons Attribution (CC BY) license (https://creativecommons.org/licenses/by/4.0/).
Share and Cite
Mei, F.; Mancini, M.; Maurizi, G.; Vecchione, A.; Zuccatosta, L.; Rendina, E.A.; Gasparini, S. Pleural Involvement in IgG4-Related Disease: Case Report and Review of the Literature. Diagnostics 2021, 11, 2177. https://doi.org/10.3390/diagnostics11122177
Mei F, Mancini M, Maurizi G, Vecchione A, Zuccatosta L, Rendina EA, Gasparini S. Pleural Involvement in IgG4-Related Disease: Case Report and Review of the Literature. Diagnostics. 2021; 11(12):2177. https://doi.org/10.3390/diagnostics11122177
Chicago/Turabian StyleMei, Federico, Massimiliano Mancini, Giulio Maurizi, Andrea Vecchione, Lina Zuccatosta, Erino Angelo Rendina, and Stefano Gasparini. 2021. "Pleural Involvement in IgG4-Related Disease: Case Report and Review of the Literature" Diagnostics 11, no. 12: 2177. https://doi.org/10.3390/diagnostics11122177
APA StyleMei, F., Mancini, M., Maurizi, G., Vecchione, A., Zuccatosta, L., Rendina, E. A., & Gasparini, S. (2021). Pleural Involvement in IgG4-Related Disease: Case Report and Review of the Literature. Diagnostics, 11(12), 2177. https://doi.org/10.3390/diagnostics11122177

