Preoperative Embolization of a Solitary Fibrous Tumor Originating from External Auditory Meatus: A Case Report with Literature Review
Abstract
1. Introduction
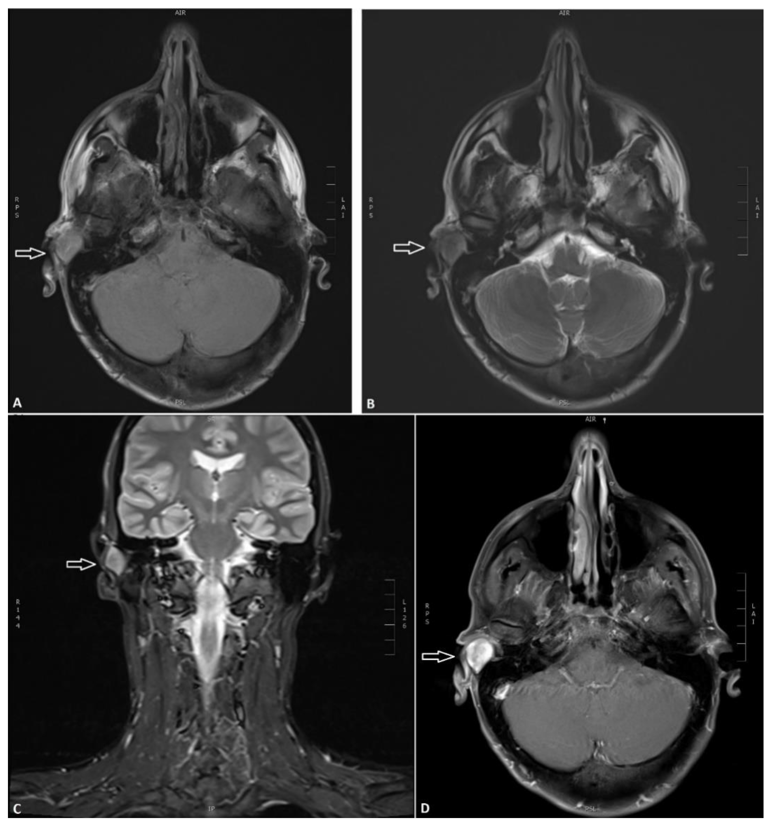
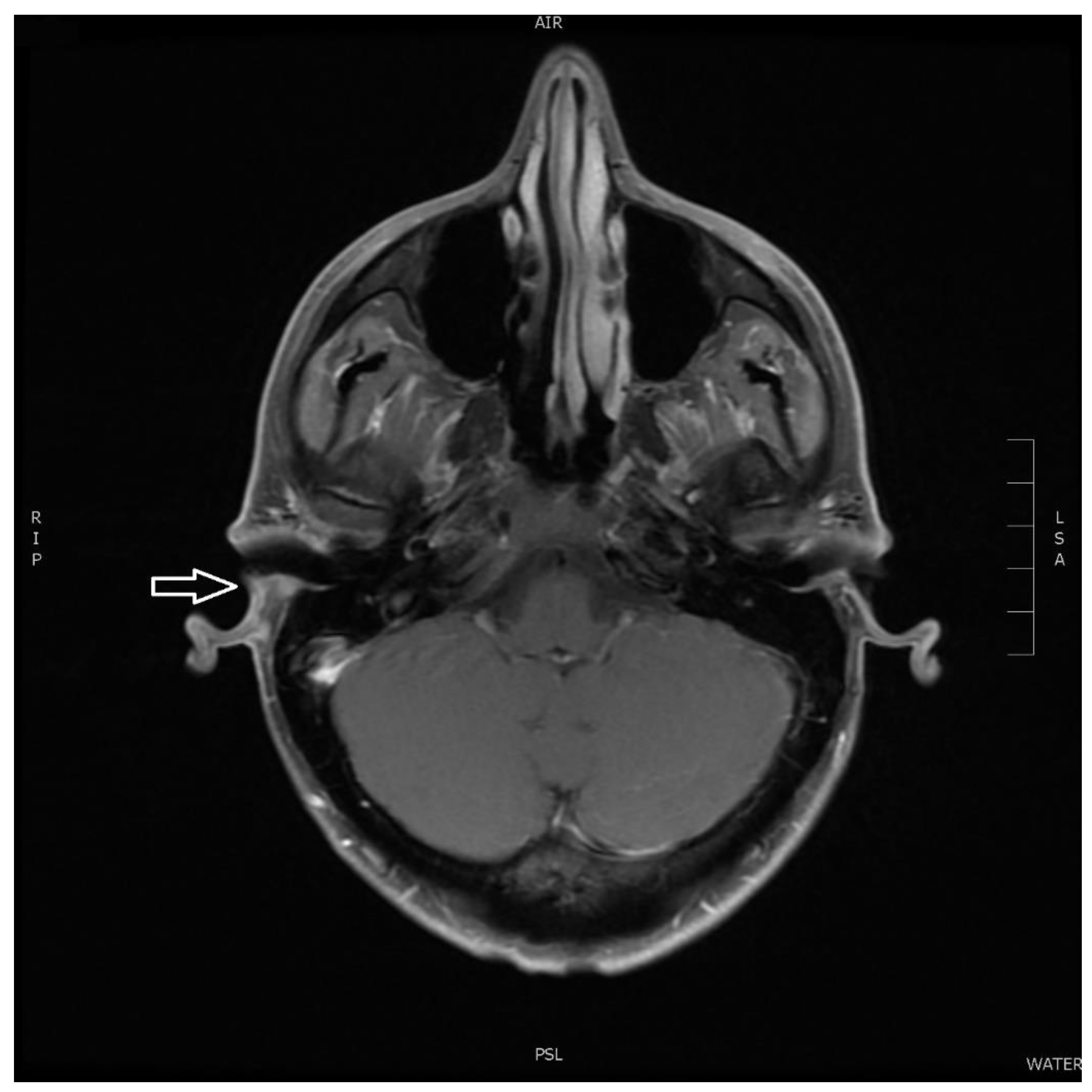
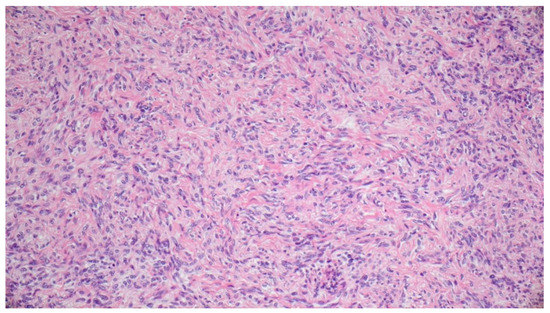
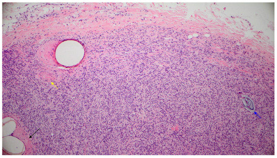
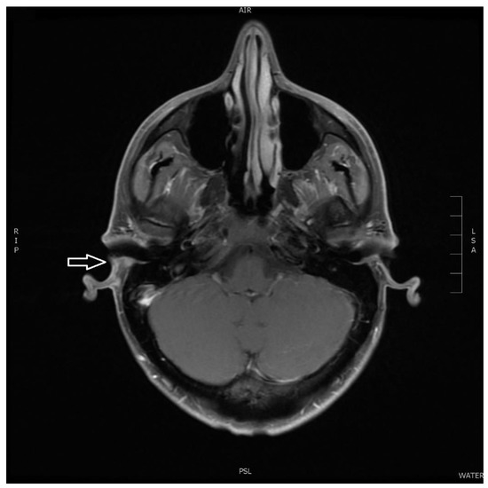
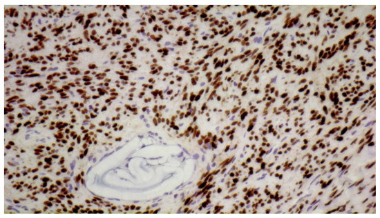
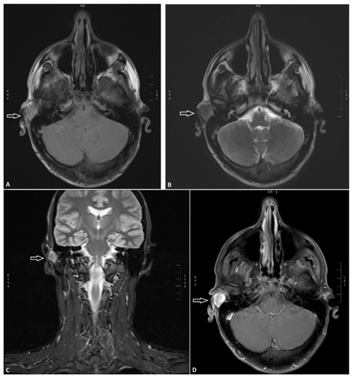
2. Case Report
3. Discussion
4. Conclusions
Author Contributions
Funding
Institutional Review Board Statement
Informed Consent Statement
Data Availability Statement
Conflicts of Interest
References
- DaVanzo, B.; Emerson, R.E.; Lisy, M.; Koniaris, L.G.; Kays, J.K. Solitary fibrous tumor. Transl. Gastroenterol. Hepatol. 2018, 3, 94. [Google Scholar] [CrossRef] [PubMed]
- Baneckova, M.; Martinek, P.; Skalova, A.; Mezencev, R.; Hadravsky, L.; Michal, M.; Svajdler, M. Solitary fibrous tumors of the head and neck region revisited: A single-institution study pf 20 cases and review of the literature. Hum. Pathol. 2020, 99, 1–12. [Google Scholar] [CrossRef] [PubMed]
- Demicco, E.G.; Park, M.S.; Araujo, D.M.; Fox, P.S.; Bassett, R.L.; Pollock, R.E.; Lazar, A.J.; Wang, W.L. Solitary fibrous tumor: A clinicopathological study of 110 cases and proposed risk assessment model. Mod. Pathol. 2012, 25, 1298–1306. [Google Scholar] [CrossRef] [PubMed]
- Schirmang, T.; Davis, L.; Nigri, P.; Dupuy, D.E. Solitary Fibrous Tumor of the Buccal Space: Treatment with Percutaneous Cryoablation. AJNR Am. J. Neuroradiol. 2007, 28, 1728–1730. [Google Scholar] [CrossRef] [PubMed]
- Smith, S.C.; Gooding, W.E.; Elkins, M.; Patel, R.M.; Harms, P.W.; McDaniel, A.S.; Palanisamy, N.; Uram-Tuculescu, C.; Balzer, B.B.; Lucas, D.R.; et al. Solitary Fibrous Tumors of the Head and Neck: A Multi-Institutional Clinicopathologic Study. Am. J. Surg. Pathol. 2017, 41, 1642–1656. [Google Scholar] [CrossRef]
- Rezk, S.; Yousef, M.; Zamansky, M.; Khan, A. Solitary Fibrous Tumor of the Auditory Canal. Arch. Pathol. Lab. Med. 2004, 128, e169–e171. [Google Scholar]
- Izumaru, S.; Yoshida, Y.; Nakashima, T. A solitary fibrous tumor in the external auditory meatus. Auris Nasus Larynx 2004, 31, 65–67. [Google Scholar] [CrossRef]
- Yuzawa, S.; Tanikawa, S.; Kunibe, I.; Nishihara, H.; Nagashima, K.; Tanaka, S. A case of giant-cell rich solitary fibrous tumor in the external auditory canal. Pathol. Int. 2016, 66, 701–705. [Google Scholar] [CrossRef]
- Lee, C.-K.; Lee, H.J. Is a Solitary Fibrous Tumor in the External Auditory Canal Benign? J. Audiol. Otol. 2016, 20, 120–122. [Google Scholar] [CrossRef][Green Version]
- Ginat, D.T.; Bokhari, A.; Bhatt, S.; Dogra, V. Imaging features of solitary fibrous tumors. Am. J. Roentgenol. 2011, 196, 487–495. [Google Scholar] [CrossRef]
- Hourani, R.; Taslakian, B.; Shabb, N.S.; Nassar, L.; Hourani, M.H.; Moukarbel, R.V.; Sabri, A.N.; Rizk, T. Fibroblastic and myofibroblastic tumors of the head and neck: Comprehensive imaging-based review with pathologic correlation. Eur. J. Radiol. 2015, 84, 250–260. [Google Scholar] [CrossRef] [PubMed]
- Rosado-de-Christenson, M.L.; Abbott, G.F.; McAdams, H.P.; Franks, T.J.; Galvin, J.R. From the archives of the AFIP. Localized fibrous tumor of the pleura. Radiographics 2003, 23, 759–783. [Google Scholar] [CrossRef] [PubMed]
- Liu, Y.; Tao, X.; Shi, H.; Li, K. MRI findings of solitary fibrous tumours in the head and neck region. Dentomaxillofacial Radiol. 2014, 43, 20130415. [Google Scholar] [CrossRef] [PubMed]
- Fletcher, C.D.M.; Bridge, J.A.; Hogendoortens, F. WHO Classification of Tumours of Soft Tissue and Bone, 4th ed.; IARC Publications: Lyon, France, 2013. [Google Scholar]
- Feasel, P.; Al-Ibraheemi, A.; Fritchie, K.; Zreik, R.T.; Wang, W.L.; Demicco, E.; Saeb-Lima, M.; Goldblum, J.R.; Rubin, B.; McKenney, J.K.; et al. Superficial Solitary Fibrous Tumor. A Series of 26 Cases. Am. J. Surg. Pathol. 2018, 42, 778–785. [Google Scholar] [CrossRef]
- Cox, D.P.; Daniels, T.; Jordan, R.C.K. Solitary fibrous tumor of the head and neck. Oral Surg. Oral Med. Oral Pathol. Oral Radiol. Endodontol. 2010, 110, 79–84. [Google Scholar] [CrossRef]
- Wilky, B.A.; Montgomery, E.A.; Guzzetta, A.; Ahuja, N.; Meyer, C.F. Extrathoracic Location and “Borderline” Histology are Associated with Recurrence of Solitary Fibrous Tumors After Surgical Resection. Ann. Surg. Oncol. 2013, 20, 4080–4089. [Google Scholar] [CrossRef]
- Flaman, A.N.; Wassermann, J.K.; Gravel, D.H.; Purgina, B.M. Ear amd Temporal Bone Pathology: Neural, Sclerosing and Myofibroblastic Lesions. Head Neck Pathol. 2018, 12, 392–406. [Google Scholar] [CrossRef]
- Wignall, O.J.; Moskovic, E.C.; Thway, K.; Thomas, J.M. Solitary Fibrous Tumors of the Soft Tissues: Review of the Imaging and Clinical Features with Histopathologic Correlation. Am. J. Roentgenol. 2010, 195, W55–W62. [Google Scholar] [CrossRef]
- Hashemi, N.; Ling, J.D.; Soparkar, C.; Sami, M.; Ellezam, B.; Klucznik, R.; Lee, A.G.; Chévez-Barrios, P. Transarterial Onyx Embolization of an Orbital Solitary Fibrous Tumor. Ocul. Oncol. Pathol. 2015, 1, 98–102. [Google Scholar] [CrossRef]
- Vilanova, J.C. Imaging of Soft Tissue Tumors. In WHO Classification of Soft Tissue Tumors; De Schepper, A.M., Vanhoenacker, F.M., Parizel, P.M., Gielen, J.L., Eds.; Springer International Publishing: Cham, Switzerland, 2017; pp. 187–196. [Google Scholar]
- Barthelmeß, S.; Geddert, H.; Boltze, C.; Moskalev, E.A.; Bieg, M.; Sirbu, H.; Brors, B.; Wiemann, S.; Hartmann, A.; Agaimy, A.; et al. Solitary fibrous tumors/hemangiopericytomas with different variants of the NAB2-STAT6 gene fusion are characterized by specific histomorphology and distinct clinicopathological features. Am. J. Pathol. 2014, 184, 1209–1218. [Google Scholar] [CrossRef]
- Van Houdt, W.J.; Westerveld, C.M.; Vrijenhoek, J.E.; van Gorp, J.; van Coevorden, F.; Verhoef, C.; van Dalen, T. Prognosis of solitary fibrous tumors: A multicenter study. Ann. Surg. Oncol. 2013, 20, 4090–4095. [Google Scholar] [CrossRef] [PubMed]
- Wushou, A.; Miao, X.C.; Shao, Z.M. Treatment outcome and prognostic factors of head and neck hemangiopericytoma: Meta-analysis. Head Neck 2015, 37, 1685–1690. [Google Scholar] [CrossRef] [PubMed]
- Kunzel, J.; Hainz, M.; Ziebart, T.; Pitz, S.; Ihler, F.; Strieth, S.; Matthias, C. Head and neck solitary fibrous tumors: A rare and challenging entity. Eur. Arch. Otorhinolaryngol. 2016, 273, 1589–1598. [Google Scholar] [CrossRef] [PubMed]
- Hanak, B.W.; Haussen, D.C.; Ambekar, S.; Ferreira, M.; Ghodke, B.V.; Peterson, E.C. Preoperative embolization of intracranial hemangiopericytomas: Case series and introduction of the transtumoral embolization technique. J. Neurointerv. Surg. 2015, 8, 1084–1094. [Google Scholar] [CrossRef]
- Yammine, K.; Nasser, H.A.; Hadi, U.; Natout, M.A.; Najjar, V.; Tayar, C. Salvage preoperative embolization of an infratemporal solitary fibrous tumor. A case report with review of the literature. Medicine 2018, 97, e0251. [Google Scholar] [CrossRef]
- Leyon, J.J.; Littlehales, T.; Rangarajan, B.; Hoey, E.T.; Ganeshan, A. Endovascular Embolization: Review of Currently Available Embolization Agents. Curr. Probl. Diagn. Radiol. 2014, 43, 35–53. [Google Scholar] [CrossRef]
- Schirmer, C.M.; Zerris, V.; Malek, A.M. Electrocautery-induced ignition of spark showers and self-sustained combustion of Onyx ethylene-vinyl alcohol copolymer. Neurosurgery 2006, 59 (Suppl. 4), ONS-E413–ONS-E419. [Google Scholar] [CrossRef]
- Freiser, M.E.; Castaño, J.E.; Whittington, E.E.; Arnold, D.J.; Sidani, C.A. Solitary fibrous tumor of the infratemporal fossa. J. Radiol. Case Rep. 2014, 8, 1–8. [Google Scholar]









| Publisher’s Note: MDPI stays neutral with regard to jurisdictional claims in published maps and institutional affiliations. | 
© 2021 by the authors. Licensee MDPI, Basel, Switzerland. This article is an open access article distributed under the terms and conditions of the Creative Commons Attribution (CC BY) license (http://creativecommons.org/licenses/by/4.0/).
Share and Cite
Ciochon, U.M.; Schmidt, G.; Jensen, R.J.; Loya, A.C.; Lönn, L.B.; Shekhrajka, N. Preoperative Embolization of a Solitary Fibrous Tumor Originating from External Auditory Meatus: A Case Report with Literature Review. Diagnostics 2021, 11, 62. https://doi.org/10.3390/diagnostics11010062
Ciochon UM, Schmidt G, Jensen RJ, Loya AC, Lönn LB, Shekhrajka N. Preoperative Embolization of a Solitary Fibrous Tumor Originating from External Auditory Meatus: A Case Report with Literature Review. Diagnostics. 2021; 11(1):62. https://doi.org/10.3390/diagnostics11010062
Chicago/Turabian StyleCiochon, Urszula Maria, Grethe Schmidt, Ruben Juhl Jensen, Anand C. Loya, Lars Birger Lönn, and Nitesh Shekhrajka. 2021. "Preoperative Embolization of a Solitary Fibrous Tumor Originating from External Auditory Meatus: A Case Report with Literature Review" Diagnostics 11, no. 1: 62. https://doi.org/10.3390/diagnostics11010062
APA StyleCiochon, U. M., Schmidt, G., Jensen, R. J., Loya, A. C., Lönn, L. B., & Shekhrajka, N. (2021). Preoperative Embolization of a Solitary Fibrous Tumor Originating from External Auditory Meatus: A Case Report with Literature Review. Diagnostics, 11(1), 62. https://doi.org/10.3390/diagnostics11010062
 
        

