Visceral Adiposity, Pro-Inflammatory Signaling and Vasculopathy in Metabolically Unhealthy Non-Obesity Phenotype
Abstract
1. Introduction
2. Materials and Methods
2.1. Study Population
2.2. Baseline Anthropometric Measurements
2.3. Classification According to the Metabolic and Weight Status
2.4. Laboratory Data Acquisition and Analysis
2.5. MDCT Scanning Protocol
2.6. Coronary Artery Calcium (CAC) Measurements
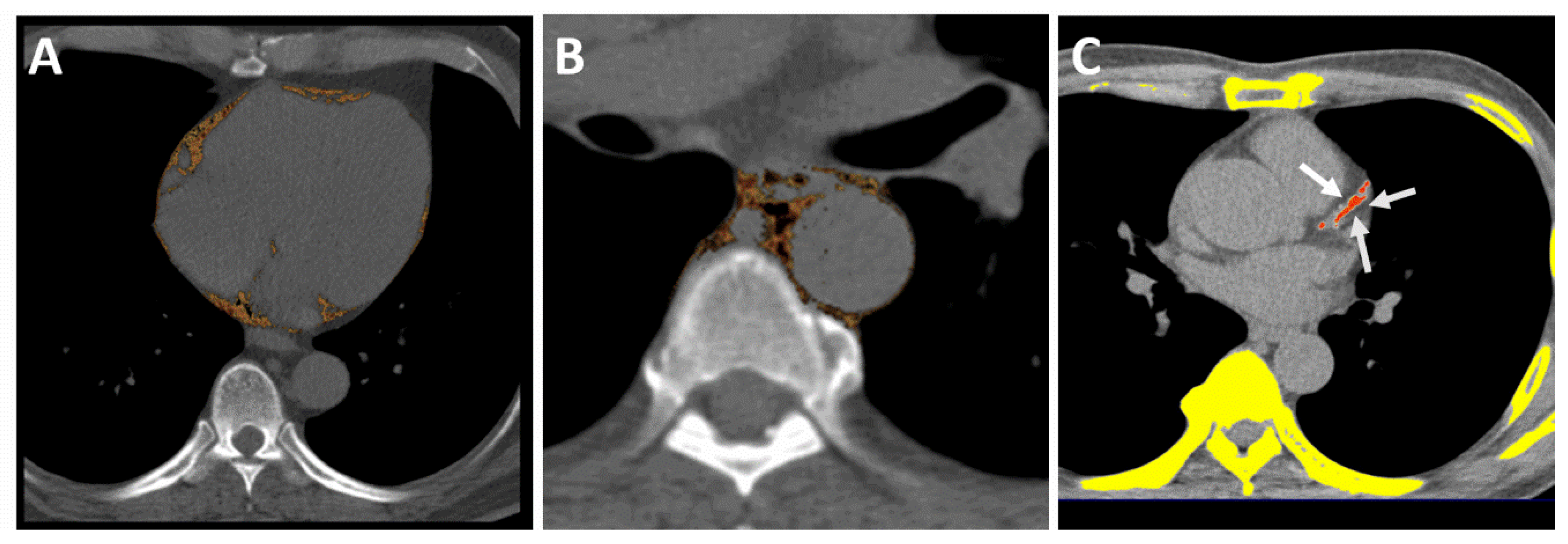
2.7. Measurements of PCF and TAT
2.8. Reproducibility for MDCT-Derived Visceral Adiposity
2.9. Statistical Analysis
3. Results
3.1. Baseline Characteristics of the Subjects
3.2. Associations between Four Obesity Phenotypes, Metabolic Abnormality, and CAC Burden
3.3. Associations between Four Obesity Phenotypes, Metabolic Abnormality, and hs-CRP Level
3.4. Associations between Adiposity, Metabolic Abnormality, and CAC Burden
4. Discussion
5. Limitations
6. Conclusions
Supplementary Materials
Author Contributions
Funding
Institutional Review Board Statement
Informed Consent Statement
Data Availability Statement
Conflicts of Interest
Abbreviations
| CAC | coronary artery calcium |
| CACS | coronary artery calcium score |
| PCF | pericardial adipose tissue |
| TAT | Thoracic peri-aortic adipose tissue |
| BW | bodyweight |
| DM | diabetes mellitus |
| CAD | Coronary artery disease |
| MDCT | Multidetector computed tomography |
| CVD | Cardiovascular disease |
| FRS | Framingham risk score |
| MHO | Metabolically healthy obesity |
| MU | Metabolically unhealthy |
| MUNO | Metabolically unhealthy non-obesity |
| BMI | Body mass index |
| MHNO | Metabolically healthy non-obesity |
| MUO | Metabolically unhealthy obesity |
| WC | Waist circumstance |
| HC | Hip circumference |
| BP | Blood pressure |
| hs-CRP | high-sensitivity C-reactive protein |
| SD | standarddeviation |
| ANOVA | Analysis of variance |
| OR | Odds ratio |
| CI | Confidence interval |
| MetS | Metabolic syndrome. |
References
- Bastien, M.; Poirier, P.; Lemieux, I.; Després, J.-P. Overview of Epidemiology and Contribution of Obesity to Cardiovascular Disease. Prog. Cardiovasc. Dis. 2014, 56, 369–381. [Google Scholar] [CrossRef]
- Yoon, J.W.; Jung, C.-H.; Kim, M.-K.; Park, H.E.; Park, K.S.; Jang, H.C.; Moon, M.K.; Choi, S.-Y.; Koo, B.K. Influence of the definition of metabolically healthy obesity on the progression of coronary artery calcification. PLoS ONE 2017, 12, e0178741. [Google Scholar] [CrossRef] [PubMed]
- Kuwabara, M.; Kuwabara, R.; Hisatome, I.; Niwa, K.; Roncal-Jimenez, C.A.; Bjornstad, P.; Andres-Hernando, A.; Sato, Y.; Jensen, T.; Garcia, G.; et al. Metabolically Healthy Obesity and Hyperuricemia Increase Risk for Hypertension and Diabetes: 5-year Japanese Cohort Study. Obesity 2017, 25, 1997–2008. [Google Scholar] [CrossRef] [PubMed]
- Kwon, B.-J.; Kim, D.-W.; Her, S.-H.; Kim, D.-B.; Jang, S.-W.; Cho, E.-J.; Ihm, S.H.; Kim, H.-Y.; Youn, H.-J.; Seung, K.-B.; et al. Metabolically obese status with normal weight is associated with both the prevalence and severity of angiographic coronary artery disease. Metabolism 2013, 62, 952–960. [Google Scholar] [CrossRef] [PubMed]
- Kip, K.E.; Marroquin, O.C.; Kelley, D.E.; Johnson, B.D.; Kelsey, S.F.; Shaw, L.J.; Rogers, W.J.; Reis, S.E. Clinical importance of obesity versus the metabolic syndrome in cardiovascular risk in women: A report from the Women’s Ischemia Syndrome Evaluation (WISE) study. Circulation 2004, 109, 706–713. [Google Scholar] [CrossRef]
- Katzmarzyk, P.T.; Janssen, I.; Ross, R.; Church, T.S.; Blair, S.N. The Importance of Waist Circumference in the Definition of Metabolic Syndrome: Prospective analyses of mortality in men. Diabetes Care 2006, 29, 404–409. [Google Scholar] [CrossRef]
- Meigs, J.B.; Wilson, P.W.F.; Fox, C.S.; Vasan, R.S.; Nathan, D.M.; Sullivan, L.M.; D’Agostino, R.B. Body Mass Index, Metabolic Syndrome, and Risk of Type 2 Diabetes or Cardiovascular Disease. J. Clin. Endocrinol. Metab. 2006, 91, 2906–2912. [Google Scholar] [CrossRef]
- Karelis, A.D.; Faraj, M.; Bastard, J.-P.; St-Pierre, D.H.; Brochu, M.; Prud’Homme, D.; Rabasa-Lhoret, R. The Metabolically Healthy but Obese Individual Presents a Favorable Inflammation Profile. J. Clin. Endocrinol. Metab. 2005, 90, 4145–4150. [Google Scholar] [CrossRef]
- Wildman, R.P.; Muntner, P.; Reynolds, K.; McGinn, A.P.; Rajpathak, S.; Wylie-Rosett, J.; Sowers, M.R. The Obese Without Cardiometabolic Risk Factor Clustering and the Normal Weight With Cardiometabolic Risk Factor Clustering Prevalence and Correlates of 2 Phenotypes Among the US Population (NHANES 1999–2004). Obstet. Gynecol. Surv. 2008, 63, 783–784. [Google Scholar] [CrossRef]
- Mathew, H.; Farr, O.M.; Mantzoros, C.S. Metabolic health and weight: Understanding metabolically unhealthy normal weight or metabolically healthy obese patients. Metabolism 2016, 65, 73–80. [Google Scholar] [CrossRef]
- Hamer, M.; Stamatakis, E. Metabolically Healthy Obesity and Risk of All-Cause and Cardiovascular Disease Mortality. J. Clin. Endocrinol. Metab. 2012, 97, 2482–2488. [Google Scholar] [CrossRef] [PubMed]
- Song, Y.; Manson, J.E.; Meigs, J.B.; Ridker, P.M.; Buring, J.E.; Liu, S. Comparison of Usefulness of Body Mass Index Versus Metabolic Risk Factors in Predicting 10-Year Risk of Cardiovascular Events in Women. Am. J. Cardiol. 2007, 100, 1654–1658. [Google Scholar] [CrossRef] [PubMed]
- Stefan, N.; Kantartzis, K.; Machann, J.; Schick, F.; Thamer, C.; Rittig, K.; Balletshofer, B.; Machicao, F.; Fritsche, A.; Häring, H.-U. Identification and Characterization of Metabolically Benign Obesity in Humans. Arch. Intern. Med. 2008, 168, 1609–1616. [Google Scholar] [CrossRef] [PubMed]
- Després, J.P.; Ferland, M.; Moorjani, S.; Nadeau, A.; Tremblay, A.; Lupien, P.J.; Thériault, G.; Bouchard, C. Role of hepatic-triglyceride lipase activity in the association between intra-abdominal fat and plasma HDL cholesterol in obese women. Arterioscler. Off. J. Am. Heart Assoc. Inc. 1989, 9, 485–492. [Google Scholar] [CrossRef]
- Van der Kooy, K.; Leenen, R.; Seidell, J.C.; Deurenberg, P.; Visser, M. Abdominal diameters as indicators of visceral fat: Comparison between magnetic resonance imaging and anthropometry. Br. J. Nutr. 1993, 70, 47–58. [Google Scholar] [CrossRef]
- Mahabadi, A.A.; Massaro, J.M.; Rosito, G.A.; Levy, D.; Murabito, J.M.; Wolf, P.A.; O’Donnell, C.J.; Fox, C.S.; Hoffmann, U. Association of pericardial fat, intrathoracic fat, and visceral abdominal fat with cardiovascular disease burden: The Framingham Heart Study. Eur. Heart J. 2008, 30, 850–856. [Google Scholar] [CrossRef]
- Rosito, G.A.; Massaro, J.M.; Hoffmann, U.; Ruberg, F.L.; Mahabadi, A.A.; Vasan, R.S.; O’Donnell, C.J.; Fox, C.S. Pericardial fat, visceral abdominal fat, car-diovascular disease risk factors, and vascular calcification in a community-based sample: The Framingham Heart Study. Circulation 2008, 117, 605–613. [Google Scholar] [CrossRef]
- Yun, C.-H.; Lin, T.-Y.; Wu, Y.-J.; Liu, C.-C.; Kuo, J.-Y.; Yeh, H.-I.; Yang, F.-S.; Chen, S.-C.; Hou, C.J.-Y.; Bezerra, H.G.; et al. Pericardial and thoracic peri-aortic adipose tissues contribute to systemic inflammation and calcified coronary atherosclerosis independent of body fat composition, anthropometric measures and traditional cardiovascular risks. Eur. J. Radiol. 2012, 81, 749–756. [Google Scholar] [CrossRef]
- El Khoudary, S.R.; Shin, C.; Masaki, K.; Miura, K.; Budoff, M.; Edmundowicz, D.; Kadowaki, S.; Barinas-Mitchell, E.; El-Saed, A.; Fujiyoshi, A. Ectopic cardiovascular fat in middle-aged men: Effects of race and ethnicity, overall and central adiposity. The Era Jump study. Int. J. Obes. 2015, 39, 488–494. [Google Scholar] [CrossRef]
- McEvoy, J.W.; Blaha, M.J.; Defilippis, A.P.; Budoff, M.J.; Nasir, K.; Blumenthal, R.S.; Jones, S.R. Coronary artery calcium progression: An im-portant clinical measurement? A review of published reports. J. Am. Coll. Cardiol. 2010, 56, 1613–1622. [Google Scholar] [CrossRef]
- Tsai, J.-P.; Kuo, R.; Sun, J.-Y.; Yun, C.-H.; Sung, K.-T.; Liu, C.-C.; Kuo, J.-Y.; Hung, C.-L.; Wu, T.-H.; Lin, J.-L.; et al. Correction: Thoracic aortic calcification across the clinical dysglycemic continuum in a large Asian population free of cardiovascular symptoms. PLoS ONE 2019, 14, e0214186. [Google Scholar] [CrossRef] [PubMed]
- Hwang, L.C.; Bai, C.H.; Chen, C.J. Prevalence of obesity and metabolic syndrome in Taiwan. J. Formos. Med. Assoc. 2006, 105, 626–635. [Google Scholar] [CrossRef]
- Lin, C.C.; Liu, C.S.; Lai, M.M.; Li, C.I.; Chen, C.C.; Chang, P.C.; Lin, W.-Y.; Lee, Y.-D.; Lin, T.; Li, T.-C. Metabolic syndrome in a Taiwanese metropolitan adult population. BMC Public Health 2007, 7, 239–243. [Google Scholar] [CrossRef] [PubMed]
- Third Report of the National Cholesterol Education Program (NCEP). Expert Panel on Detection, Evaluation, and Treatment of High Blood Cholesterol in Adults (Adult Treatment Panel III) final report. Circulation 2002, 106, 3143–3421. [Google Scholar] [CrossRef]
- Elffers, T.W.; de Mutsert, R.; Lamb, H.J.; de Roos, A.; Willems van Dijk, K.; Rosendaal, F.R.; Jukema, J.V.; Trompet, S. Body fat distribution, in particular visceral fat, is associated with cardiometabolic risk factors in obese women. PLoS ONE 2017, 12, e0185403. [Google Scholar] [CrossRef]
- Fingeret, M.; Marques-Vidal, P.; Vollenweider, P. Incidence of type 2 diabetes, hypertension, and dyslipidemia in metabolically healthy obese and non-obese. Nutr. Metab. Cardiovasc. Dis. 2018, 28, 1036–1044. [Google Scholar] [CrossRef]
- Voulgari, C.; Tentolouris, N.; Dilaveris, P.; Tousoulis, D.; Katsilambros, N.; Stefanadis, C. Increased Heart Failure Risk in Normal-Weight People With Metabolic Syndrome Compared With Metabolically Healthy Obese Individuals. J. Am. Coll. Cardiol. 2011, 58, 1343–1350. [Google Scholar] [CrossRef]
- Calori, G.; Lattuada, G.; Piemonti, L.; Garancini, M.P.; Ragogna, F.; Villa, M.; Mannino, S.; Crosignani, P.; Bosi, E.; Luzi, L.; et al. Prevalence, Metabolic Features, and Prognosis of Metabolically Healthy Obese Italian Individuals: The Cremona Study. Diabetes Care 2010, 34, 210–215. [Google Scholar] [CrossRef]
- Schulze, M. Metabolic health in normal-weight and obese individuals. Diabetologia 2019, 62, 558–566. [Google Scholar] [CrossRef]
- Kelishadi, R.; Cook, S.R.; Motlagh, M.E.; Gouya, M.M.; Ardalan, G.; Motaghian, M.; Majdzadeh, R.; Ramezani, M.A. Metabolically obese normal weight and phenotypically obese metabolically normal youths: The Caspian Study. J. Am. Diet. Assoc. 2008, 108, 82–90. [Google Scholar] [CrossRef]
- Romero-Corral, A.; Somers, V.K.; Sierra-Johnson, J.; Korenfeld, Y.; Boarin, S.; Korinek, J.; Jensen, M.D.; Parati, G.; Lopez-Jimenez, F. Normal weight obesity: A risk factor for cardiometabolic dysregulation and cardiovascular mortality. Eur. Heart J. 2009, 31, 737–746. [Google Scholar] [CrossRef] [PubMed]
- Ference, B.A.; Ginsberg, H.N.; Graham, I.; Ray, K.K.; Packard, C.J.; Bruckert, E.; Hegele, R.A.; Krauss, R.M.; Raal, F.J.; Schunkert, H.; et al. Low-density lipoproteins cause atherosclerotic cardiovascular disease. 1. Evidence from genetic, epidemiologic, and clinical studies. A consensus statement from the European Atherosclerosis Society Consensus Panel. Eur. Heart J. 2017, 38, 2459–2472. [Google Scholar] [CrossRef] [PubMed]
- Wu, M.-Y.; Li, C.-J.; Hou, M.-F.; Chu, P.-Y. New Insights into the Role of Inflammation in the Pathogenesis of Atherosclerosis. Int. J. Mol. Sci. 2017, 18, 2034. [Google Scholar] [CrossRef] [PubMed]
- Vaidya, D.; Szklo, M.; Cushman, M.; Holvoet, P.; Polak, J.; Bahrami, H.; Jenny, N.S.; Ouyang, P. Association of endothelial and oxidative stress with metabolic syndrome and subclinical atherosclerosis: Multi-ethnic study of atherosclerosis. Eur. J. Clin. Nutr. 2011, 65, 818–825. [Google Scholar] [CrossRef] [PubMed]
- Eckel, N.; Li, Y.; Kuxhaus, O.; Stefan, N.; Hu, F.B.; Schulze, M.B. Transition from metabolic healthy to unhealthy phenotypes and association with cardiovascular disease risk across BMI categories in 90 257 women (the Nurses’ Health Study): 30 year fol-low-up from a prospective cohort study. Lancet Diabetes Endocrinol. 2018, 6, 714–724. [Google Scholar] [CrossRef]
- De Koning, L.; Merchant, A.T.; Pogue, J.; Anand, S.S. Waist circumference and waist-to-hip ratio as predictors of cardiovascular events: Meta-regression analysis of prospective studies. Eur. Heart J. 2007, 28, 850–856. [Google Scholar] [CrossRef]
- Kosmala, W.; Jedrzejuk, D.; Derzhko, R.; Przewlocka-Kosmala, M.; Mysiak, A.; Bednarek-Tupikowska, G. Left ventricular function impairment in patients with normal-weight obesity: Contribution of abdominal fat deposition, profibrotic state, reduced insulin sensitivity, and proinflammatory activation. Circ. Cardiovasc. Imaging 2012, 5, 349–356. [Google Scholar] [CrossRef]
- Jamwal, S.; Sharma, S. Vascular endothelium dysfunction: A conservative target in metabolic disorders. Inflamm. Res. 2018, 67, 391–405. [Google Scholar] [CrossRef]
- Karthikeyan, G.; Teo, K.K.; Islam, S.; McQueen, M.J.; Pais, P.; Wang, X.; Sato, H.; Lang, C.C.; Sitthi-Amorn, C.; Pandey, M.R.; et al. Lipid profile, plasma apolipoproteins, and risk of a first myocardial infarction among Asians: An analysis from the Interheart Study. J. Am. Coll. Cardiol. 2009, 53, 244–253. [Google Scholar] [CrossRef]
- Gupta, M.; Singh, N.; Verma, S. South Asians and cardiovascular risk: What clinicians should know. Circulation 2006, 113, e924–e929. [Google Scholar] [CrossRef]
- Snehalatha, C.; Viswanathan, V.; Ramachandran, A. Cutoff Values for Normal Anthropometric Variables in Asian Indian Adults. Diabetes Care 2003, 26, 1380–1384. [Google Scholar] [CrossRef] [PubMed]
- Zebrack, J.S.; Muhlestein, J.B.; Horne, B.D.; Anderson, J.L. C-reactive protein and angiographic coronary artery disease: Independent and additive predictors of risk in subjects with angina. J. Am. Coll. Cardiol. 2002, 39, 632–637. [Google Scholar] [CrossRef]
- Fogelholm, M.; van Marken, W. Lichtenbelt comparison of body composition methods: A literature analysis. Eur. J. Clin. Nutr. 1997, 51, 495–503. [Google Scholar] [CrossRef] [PubMed]
- Wold Health Organization. WHO expert consultation, Appropriate body-mass index for Asian populations and its implications for policy and intervention strategies. Lancet 2004, 363, 157–163. [Google Scholar] [CrossRef]
- Ridker, P.M. From C-Reactive Protein to Interleukin-6 to Interleukin-1. Circ. Res. 2016, 118, 145–156. [Google Scholar] [CrossRef] [PubMed]



| MHNO | MUNO | MHO | MUO | p Value | |
|---|---|---|---|---|---|
| (n = 1793) | (n = 423) | (n = 227) | (n = 403) | ||
| Age, years | 48.27 ± 9.14 | 53.26 ± 9.45 * | 47.77 ± 9.83 † | 50.51 ± 9.69 *,†,# | <0.001 |
| Male, n (%) | 1231 (68.66) | 312 (73.76) | 176 (77.53) | 341 (84.62) | <0.001 |
| BH (cm) | 165.74 ± 8.03 | 166.58 ± 8.47 | 166.24 ± 7.92 | 167.77 ± 7.89 | <0.001 |
| BW (kg) | 63.22 ± 9.23 | 69.03 ± 8.88 * | 80.04 ± 9.76 *,† | 84.76 ± 11.10 *,†,# | <0.001 |
| BMI (kg/m2) | 22.92 ± 2.23 | 24.78 ± 1.58 * | 28.88 ± 1.93 *,† | 30.05 ± 2.84 *,†,# | <0.001 |
| WC (cm) | 79.45 ± 8.32 | 87.11 ± 7.42 * | 91.20 ± 12.95 *,† | 97.23 ± 9.29 *,†,# | <0.001 |
| WC/HC ratio | 0.86 ± 0.07 | 0.92 ± 0.05 * | 0.91 ± 0.06 * | 0.94 ± 0.05 *,†,# | <0.001 |
| SBP (mmHg) | 118.25 ± 15.08 | 131.57 ± 16.95 * | 123.66 ± 16.71 *,† | 133.77 ± 15.95 *,# | <0.001 |
| DBP (mmHg) | 73.40 ± 10.00 | 80.88 ± 10.90 * | 77.74 ± 10.09 *,† | 83.27 ± 10.09 *,†,# | <0.001 |
| FBG (mmol/L) | 96.38 ± 14.45 | 113.26 ± 29.54 * | 96.11 ± 8.62 † | 117.02 ± 33.71 *,# | <0.001 |
| UA (mg/dL) | 5.75 ± 1.37 | 6.33 ± 1.47 * | 6.34 ± 1.43 * | 6.78 ± 1.39 *,†,# | <0.001 |
| TC (mg/dL) | 200.07 ± 36.29 | 210.05 ± 36.34 * | 199.50 ± 33.30 † | 203.72 ± 38.27 | <0.001 |
| TG (mg/dL) | 113.13 ± 106.97 | 208.64 ± 109.57 * | 122.66 ± 55.73 † | 212.11 ± 136.68 *,# | <0.001 |
| HDL (mg/dL) | 56.58 ± 14.07 | 44.89 ± 11.00 * | 50.91 ± 10.99 *,† | 42.41 ± 9.82 *,# | 0.007 |
| LDL (mg/dL) | 129.07 ± 31.46 | 134.79 ± 33.40 * | 131.55 ± 30.64 | 131.82 ± 33.69 | <0.001 |
| Diabetes, n (%) | 41 (2.29) | 61 (14.42) | 2 (0.88) | 59 (14.64) | <0.001 |
| Hyperlipidemia, n (%) | 47 (2.62) | 51 (12.06) | 6 (2.64) | 47 (11.66) | <0.001 |
| CVD, n (%) | 40 (2.23) | 37 (8.75) | 7 (3.08) | 41 (10.17) | <0.001 |
| Stroke, n (%) | 5 (0.28) | 4 (0.95) | 1 (0.44) | 3 (0.74) | 0.240 |
| Smoking, n (%) | 185 (10.32) | 66 (15.60) | 30 (13.22) | 62 (15.38) | 0.002 |
| Alcohol, n (%) | 89 (4.96) | 24 (5.67) | 19 (8.37) | 37 (9.18) | 0.004 |
| Exercise, n (%) | 267 (14.89) | 65 (15.37) | 30 (13.22) | 65 (16.13) | 0.794 |
| Framingham score | 1.98 ± 4.39 | 6.39 ± 3.38 * | 3.04 ± 3.38 *,† | 5.74 ± 3.26 *,# | <0.001 |
| Framingham 10-yr CVD risk (%) | 5.21 ± 4.03 | 10.93 ± 7.43 * | 5.89 ± 4.85 † | 10.40 ± 7.79 *,# | <0.001 |
| Framingham 10-yr CVD ≧ 10%, n (%) | 224 (12.49) | 213 (50.35) | 32 (14.10) | 172 (42.68) | <0.001 |
| hs-CRP (mg/dL) | 0.16 ± 0.35 | 0.26 ± 0.64 * | 0.24 ± 0.33 | 0.32 ± 0.42 * | <0.001 |
| PCF | 65.97 ± 25.44 | 84.13 ± 28.68 * | 89.36 ± 29.29 * | 101.18 ± 35.26 *,†,# | <0.001 |
| PCFi | 35.9 ± 13.1 | 44.0 ± 15.4 * | 43.4 ± 14.4 * | 47.6 ± 16.6 *,†,# | <0.001 |
| TAT | 5.73 ± 2.94 | 8.40 ± 3.58 * | 8.62 ± 3.69 * | 11.14 ± 4.95 *,†,# | <0.001 |
| TATi | 3.08 ± 1.49 | 4.35 ± 1.78 * | 4.18 ± 1.77 * | 5.22 ± 2.24 *,†,# | <0.001 |
| CACS | 22.25 ± 109.55 | 72.29 ± 231.59 * | 44.94 ± 193.84 | 86.73 ± 310.35 *,# | <0.001 |
| CACS, n (%) | 440 (24.54) | 193 (45.63) | 64 (28.19) | 186 (46.15) | <0.001 |
| MHNO (n = 1793) | MUNO (n = 423) | MHO (n = 227) | MUO (n = 403) | |
|---|---|---|---|---|
| β (95% CI) | β (95% CI) | β (95% CI) | β (95% CI) | |
| CACS | ||||
| Unadjusted | (reference) | 50.03 (31.03, 69.04) *** | 22.69 (−2.08, 47.45) | 64.48 (45.10, 83.86) *** |
| Model1 † | (reference) | 26.26 (7.45, 45.08) ** | 22.45 (−1.65, 46.56) | 50.01 (30.95, 69.06) *** |
| Model2 ‡ | (reference) | 25.46 (5.29, 45.63) * | 16.78 (−7.86, 41.41) | 43.55 (23.38, 63.73) *** |
| Subgroup effects | ||||
| Age, years ‡ | ||||
| <55 | (reference) | 9.93 (−6.45, 26.32) | 2.92 (−15.17, 21.02) | 33.67 (18.05, 49.30) *** |
| ≥55 | (reference) | 60.09 (6.34, 113.83) * | 80.27 (0.83, 159.72) * | 87.64 (29.66, 145.62) ** |
| Sex ‡ | ||||
| Female | (reference) | 31.85 (5.93, 57.77) * | 54.86 (21.79, 87.94) ** | 45.62 (13.48, 77.76) ** |
| Male | (reference) | 15.22 (−10.69, 41.12) | 7.03 (−23.90, 37.95) | 33.22 (8.65, 57.78) ** |
| Diabetes ‡ | ||||
| No | (reference) | 9.60 (−8.17, 27.38) | 17.90 (−2.81, 38.61) | 27.87 (10.01, 45.73) ** |
| Yes | (reference) | 159.88 (−19.92, 339.69) | −42.19 (−655.29, 570.92) | 165.35 (−11.14, 341.84) |
| Hypertension ‡ | ||||
| No | (reference) | 3.97 (−15.85, 23.79) | 20.80 (−1.00, 42.60) | 31.76 (11.39, 52.13) ** |
| Yes | (reference) | 42.26 (−22.53, 107.05) | −5.28 (−120.16, 109.59) | 36.42 (−26.33, 99.16) |
| CVD | ||||
| No | (reference) | 44.06 (27.31, 60.83) *** | 15.79 (−5.53, 37.11) | 52.39 (35.18, 69.60) *** |
| Yes | (reference) | 59.50 (−153.63, 272.65) | 219.79 (−163.06, 602.63) | 115.91 (−91.75, 323.58) |
| hs-CRP | ||||
| Unadjusted | (reference) | 0.10 (0.04, 0.15) ** | 0.08 (−0.0001, 0.15) | 0.16 (0.11, 0.22) *** |
| Model1 † | (reference) | 0.09 (0.03, 0.14) ** | 0.08 (−0.0003, 0.15) | 0.16 (0.10, 0.22) *** |
| Model2 ‡ | (reference) | 0.07 (0.01, 0.13) ** | 0.07 (−0.005, 0.15) | 0.14 (0.08, 0.20) *** |
| Subgroup effects | ||||
| Age, years ‡ | ||||
| <55 | (reference) | 0.01 (−0.05, 0.08) | 0.11 (0.04, 0.18) ** | 0.15 (0.09, 0.21) *** |
| ≥55 | (reference) | 0.15 (0.02, 0.29) * | −0.03 (−0.21, 0.16) | 0.15 (0.004, 0.30) * |
| Sex ‡ | ||||
| Female | (reference) | 0.04 (−0.05, 0.13) | 0.21 (0.09, 0.33) ** | 0.11 (0.0003, 0.,22) * |
| Male | (reference) | 0.08 (0.005, 0.16) * | 0.03 (−0.06, 0.13) | 0.14 (0.07, 0.22) *** |
| Diabetes ‡ | ||||
| No | (reference) | 0.07 (0.006, 0.13) * | 0.06 (−0.02, 0.13) | 0.15 (0.09, 0.22) *** |
| Yes | (reference) | 0.12 (−0.06, 0.29) | 0.94 (0.48, 1.41) *** | 0.11 (−0.05, 0.27) |
| Hypertension ‡ | ||||
| No | (reference) | 0.06 (−0.01, 0.13) | 0.07 (−0.005, 0.15) | 0.15 (0.08, 0.22) *** |
| Yes | (reference) | 0.07 (−0.08, 0.21) | 0.08 (−0.20, 0.36) | 0.11 (−0.04, 0.26) |
| CVD | ||||
| No | (reference) | 0.06 (0.002, 0.12) * | 0.08 (0.003, 0.15) * | 0.14 (0.08, 0.20) *** |
| Yes | (reference) | 0.18 (−0.27, 0.62) | −0.02 (−0.73, 0.69) | 0.19 (−0.22, 0.59) |
| Unadjusted | Model 1 † | Model 2 ‡ | Interaction Coefficient | Interaction p Value | ||||
|---|---|---|---|---|---|---|---|---|
| β (95% CI) | p Value | β (95% CI) | p Value | β (95% CI) | p Value | |||
| CACS | ||||||||
| All patients (n = 2846) | ||||||||
| Obesity | 39.87 (23.91, 55.83) *** | <0.001 | 34.79 (19.23, 50.35) *** | <0.001 | 27.28 (11.25, 43.32) *** | 0.001 | 1.316 | 0.941 |
| MU | 54.53 (40.01, 69.06) *** | <0.001 | 35.39 (20.95, 49.83) *** | <0.001 | 32.30 (16.53, 48.08) *** | <0.001 | ||
| Age < 55 (n = 2035) | ||||||||
| Obesity | 25.21 (13.12, 37.31) *** | <0.001 | 22.68 (10.48, 34.89) *** | <0.001 | 19.14 (6.84, 31.45) ** | 0.002 | 20.815 | 0.129 |
| MU | 30.78 (19.29, 42.26) *** | <0.001 | 28.34 (16.73, 39.96) *** | <0.001 | 22.13 (9.81, 34.45) *** | <0.001 | ||
| Age ≥ 55 (n = 811) | ||||||||
| Obesity | 73.39 (27.82, 118.96) ** | 0.002 | 70.03 (24.57, 115.50) ** | 0.003 | 63.12 (16.80, 109.44) ** | 0.008 | −52.715 | 0.306 |
| MU | 74.87 (35.74, 114.00) *** | <0.001 | 74.68 (35.72, 113.64) *** | <0.001 | 62.35 (16.96, 107.73) ** | 0.007 | ||
| Female (n = 786) | ||||||||
| Obesity | 54.49 (31.30, 77.67) *** | <0.001 | 39.49 (16.98, 62.00) *** | <0.001 | 41.49 (17.95, 65.04) ** | 0.001 | −41.096 | 0.097 |
| MU | 49.94 (30.35, 69.53) *** | <0.001 | 22.72 (2.55, 42.88) * | 0.027 | 30.02 (7.68, 52.36) ** | 0.009 | ||
| Male (n = 2060) | ||||||||
| Obesity | 32.87 (13.03, 52.71) *** | <0.001 | 35.42 (16.18, 54.66) *** | 0.001 | 20.24 (0.52, 39.95) * | 0.044 | 10.978 | 0.618 |
| MU | 53.42 (35.03, 71.81) *** | <0.001 | 40.76 (22.72, 58.81) *** | <0.001 | 23.98 (4.14, 43.81) * | 0.018 | ||
| High PCF | 31.75 (18.39, 45.11) *** | <0.001 | 5.42 (−8.26, 19.09) | 0.44 | 13.81 (−0.08, 27.71) | 0.051 | 38.02 | 0.014 |
| MU | 54.53 (40.01, 69.06) *** | <0.001 | 35.39 (20.95, 49.83) *** | <0.001 | 32.30 (16.53, 48.08) *** | <0.001 | ||
| Age <55 (n = 2035) | ||||||||
| High PCF | 21.03 (10.71, 31.35) *** | <0.001 | 14.43 (3.76, 25.10) ** | 0.008 | 14.37 (3.69, 25.05) ** | 0.008 | 16.62 | 0.17 |
| MU | 30.78 (19.29, 42.26) *** | <0.001 | 28.34 (16.73, 39.96) *** | <0.001 | 22.13 (9.81, 34.45) *** | <0.001 | ||
| Age ≥55 (n = 811) | ||||||||
| High PCF | 14.60 (−24.45, 53.66) | 0.46 | −16.69 (−55.29, 21.90) | 0.40 | 3.70 (−36.00, 43.39) | 0.86 | 43.02 | 0.34 |
| MU | 74.87 (35.74, 114.00) *** | <0.001 | 74.68 (35.72, 113.64) *** | <0.001 | 62.35 (16.96, 107.73) ** | 0.007 | ||
| Female (n = 786) | ||||||||
| High PCF | 36.69 (18.45, 54.92) *** | <0.001 | 7.54 (−11.42, 26.50) | 0.44 | 20.99 (1.67, 40.31) * | 0.033 | 36.86 | 0.08 |
| MU | 49.94 (30.35, 69.53) *** | <0.001 | 22.72 (2.55, 42.88) * | 0.027 | 30.02 (7.68, 52.36) ** | 0.009 | ||
| Male (n = 2060) | ||||||||
| High PCF | 25.69 (8.47, 42.90) ** | 0.003 | 5.94 (−11.16, 23.03) | 0.50 | 5.34 (−12.23, 22.91) | 0.55 | 34.83 | 0.077 |
| MU | 53.42 (35.03, 71.81) *** | <0.001 | 40.76 (22.72, 58.81) *** | <0.001 | 23.98 (4.14, 43.81) * | 0.018 | ||
| High TAT | 47.00 (33.63, 60.37) *** | <0.001 | 16.78 (1.91, 31.64) * | 0.027 | 28.25 (14.04, 42.45) *** | <0.001 | 46.74 | 0.003 |
| MU | 54.53 (40.01, 69.06) *** | <0.001 | 35.39 (20.95, 49.83) *** | <0.001 | 32.30 (16.53, 48.08) *** | <0.001 | ||
| Age <55 (n = 2035) | ||||||||
| High TAT | 31.87 (21.51, 42.22) *** | <0.001 | 24.68 (13.27, 36.09) *** | <0.001 | 24.97 (13.96, 35.97) *** | <0.001 | 38.30 | 0.002 |
| MU | 30.78 (19.29, 42.26) *** | <0.001 | 28.34 (16.73, 39.96) *** | <0.001 | 22.13 (9.81, 34.45) *** | <0.001 | ||
| Age ≥ 55 (n = 811) | ||||||||
| High TAT | 44.90 (6.33, 83.47) * | 0.023 | −6.68 (−50.17, 36.81) | 0.76 | 34.04 (−5.47, 73.55) | 0.09 | 35.33 | 0.43 |
| MU | 74.87 (35.74, 114.00) *** | <0.001 | 74.68 (35.72, 113.64) *** | <0.001 | 62.35 (16.96, 107.73) ** | 0.007 | ||
| Female (n = 786) | ||||||||
| High TAT | 34.63 (7.77, 61.50) * | 0.012 | −3.71 (−30.89, 23.47) | 0.79 | 9.67 (−18.57, 37.91) | 0.50 | −18.51 | 0.53 |
| MU | 49.94 (30.35, 69.53) *** | <0.001 | 22.72 (2.55, 42.88) * | 0.027 | 30.02 (7.68, 52.36) ** | 0.009 | ||
| Male (n = 2060) | ||||||||
| High TAT | 46.34 (29.15, 63.53) *** | <0.001 | 18.46 (0.86, 36.06) * | 0.04 | 20.37 (2.10, 38.64) * | 0.029 | 66.69 | 0.002 |
| MU | 53.42 (35.03, 71.81) *** | <0.001 | 40.76 (22.72, 58.81) *** | <0.001 | 23.98 (4.14, 43.81) * | 0.018 | ||
Publisher’s Note: MDPI stays neutral with regard to jurisdictional claims in published maps and institutional affiliations. |
© 2020 by the authors. Licensee MDPI, Basel, Switzerland. This article is an open access article distributed under the terms and conditions of the Creative Commons Attribution (CC BY) license (http://creativecommons.org/licenses/by/4.0/).
Share and Cite
Tsou, M.-T.; Yun, C.-H.; Lin, J.-L.; Sung, K.-T.; Tsai, J.-P.; Huang, W.-H.; Liu, C.-Y.; Hou, C.J.-Y.; Tsai, I.-H.; Su, C.-H.; et al. Visceral Adiposity, Pro-Inflammatory Signaling and Vasculopathy in Metabolically Unhealthy Non-Obesity Phenotype. Diagnostics 2021, 11, 40. https://doi.org/10.3390/diagnostics11010040
Tsou M-T, Yun C-H, Lin J-L, Sung K-T, Tsai J-P, Huang W-H, Liu C-Y, Hou CJ-Y, Tsai I-H, Su C-H, et al. Visceral Adiposity, Pro-Inflammatory Signaling and Vasculopathy in Metabolically Unhealthy Non-Obesity Phenotype. Diagnostics. 2021; 11(1):40. https://doi.org/10.3390/diagnostics11010040
Chicago/Turabian StyleTsou, Meng-Ting, Chun-Ho Yun, Jiun-Lu Lin, Kuo-Tzu Sung, Jui-Peng Tsai, Wen-Hung Huang, Chia-Yuan Liu, Charles Jia-Yin Hou, I.-Hsien Tsai, Cheng-Huang Su, and et al. 2021. "Visceral Adiposity, Pro-Inflammatory Signaling and Vasculopathy in Metabolically Unhealthy Non-Obesity Phenotype" Diagnostics 11, no. 1: 40. https://doi.org/10.3390/diagnostics11010040
APA StyleTsou, M.-T., Yun, C.-H., Lin, J.-L., Sung, K.-T., Tsai, J.-P., Huang, W.-H., Liu, C.-Y., Hou, C. J.-Y., Tsai, I.-H., Su, C.-H., Hung, C.-L., & Hung, T.-C. (2021). Visceral Adiposity, Pro-Inflammatory Signaling and Vasculopathy in Metabolically Unhealthy Non-Obesity Phenotype. Diagnostics, 11(1), 40. https://doi.org/10.3390/diagnostics11010040

