Microperimetry and Optical Coherence Tomography Changes in Type-1 Diabetes Mellitus without Retinopathy
Abstract
1. Introduction
2. Materials and Methods
3. Results
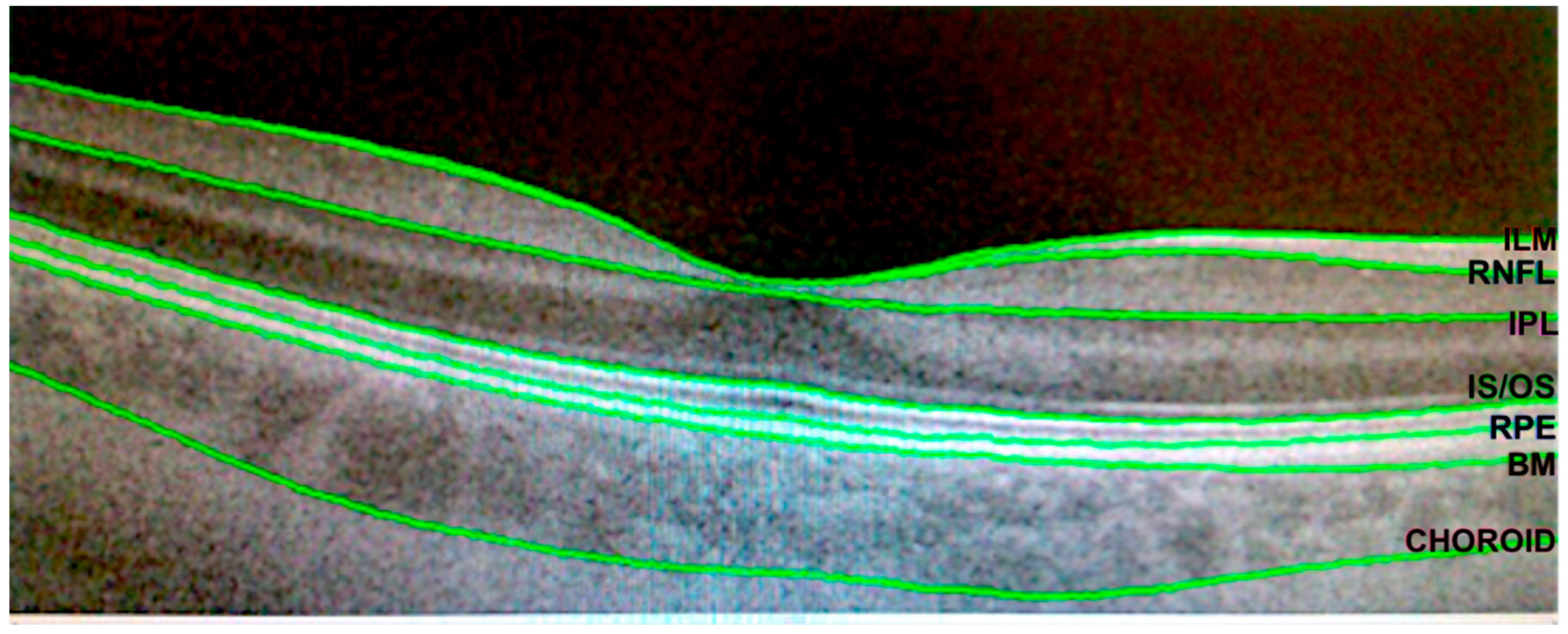
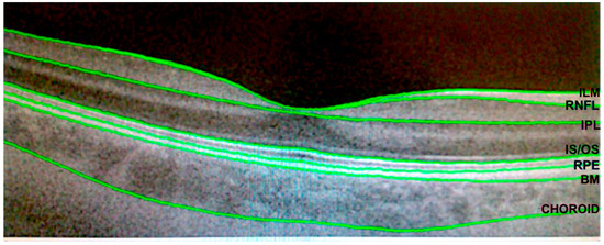
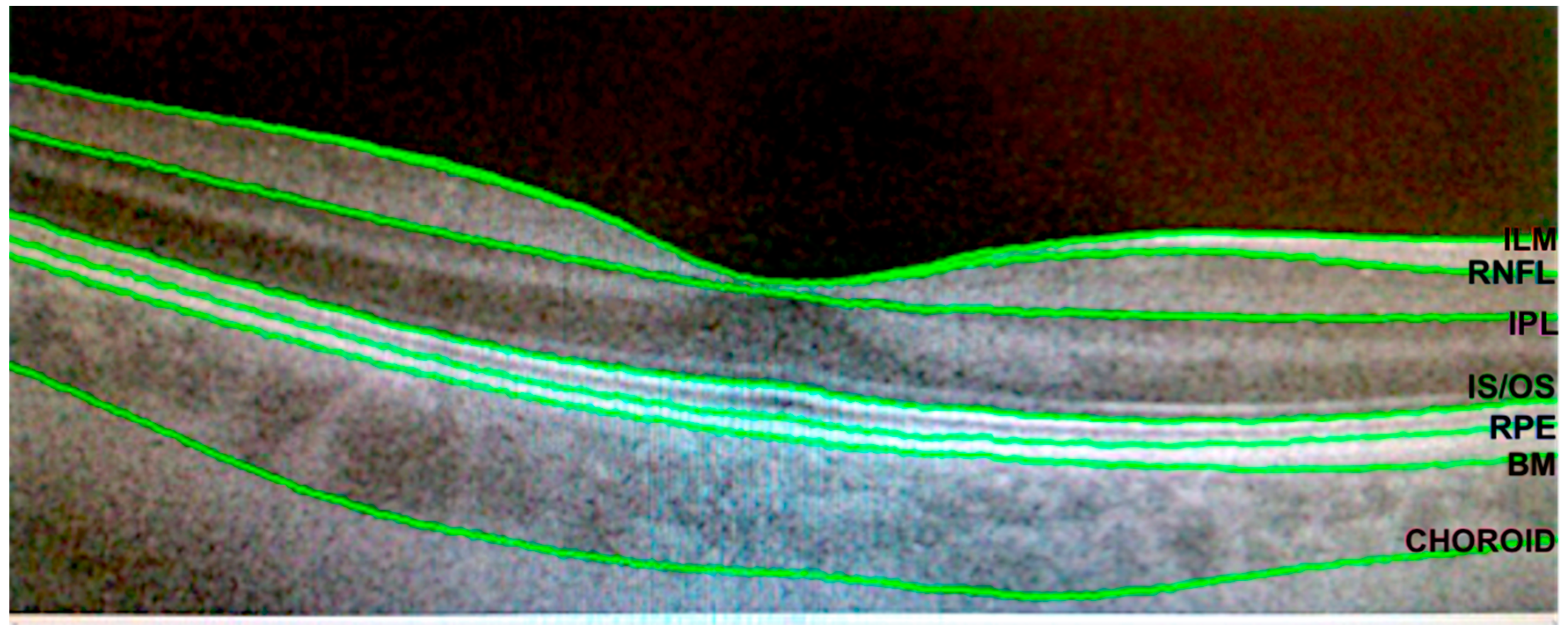
3.1. Comparative Analysis of the Retinal Thickness
3.2. Comparative Analysis of Retinal Sensitivity
3.3. Anatomo-Functional Correlation Study
4. Discussion
5. Conclusions
Author Contributions
Funding
Institutional Review Board Statement
Informed Consent Statement
Data Availability Statement
Acknowledgments
Conflicts of Interest
References
- Ciulla, T.A.; Amador, A.G.; Zinman, B. Diabetic retinopathy and diabetic macular edema: Pathophysiology, screening, and novel therapies. Diabetes Care 2003, 26, 2653–2664. [Google Scholar] [CrossRef]
- Wolter, J.R. Diabetic retinopathy. Am. J. Ophthalmol. 1961, 51, 1123–1141. [Google Scholar] [CrossRef]
- Bloodworth, J.M. Diabetic retinopathy. Diabetes 1962, 11, 1–22. [Google Scholar]
- Dosso, A.A.; Bonvin, E.R.; Morel, Y.; Golay, A.; Assal, J.P.; Leuenberger, P.M. Risk factors associated with contrast sensitivity loss in diabetic patients. Graefes Arch. Clin. Exp. Ophthalmol. 1996, 234, 300–305. [Google Scholar] [CrossRef] [PubMed]
- Scanlon, P.H.; Foy, C.; Chen, F.K. Visual acuity measurement and ocular co-morbidity in diabetic retinopathy screening. Br. J. Ophthalmol. 2008, 92, 775–778. [Google Scholar] [CrossRef]
- Santos, A.R.; Ribeiro, L.; Bandello, F.; Lattanzio, R.; Egan, C.; Frydkjaer-Olsen, U.; García-Arumí, J.; Gibson, J.; Grauslund, J.; Harding, S.P.; et al. Functional and Structural Findings of Neurodegeneration in Early Stages of Diabetic Retinopathy: Cross-sectional Analyses of Baseline Data of the EUROCONDOR Project. Diabetes 2017, 66, 2503–2510. [Google Scholar] [CrossRef]
- Zhu, T.; Ma, J.; Li, Y.; Zhang, Z. Association between retinal neuronal degeneration and visual function impairment in type 2 diabetic patients without diabetic retinopathy. Sci. China Life Sci. 2015, 58, 550–555. [Google Scholar] [CrossRef]
- Montesano, G.; Gervasoni, A.; Ferri, P.; Allegrini, D.; Migliavacca, L.; De Cillà, S.; Rossetti, L. Structure-function relationship in early diabetic retinopathy: A spatial correlation analysis with OCT and microperimetry. Eye 2017, 31, 931–939. [Google Scholar] [CrossRef]
- Pinilla, I.; Sanchez-Cano, A.; Ferreras, A.; Acha, J.; Pérez-García, D.; Ibañez-Alperte, J.; Abecia, E. Retinal Sensitivity in Patients with Type I Diabetes without Retinopathy or with Minor Retinal Changes. Exp. Clin. Endocrinol. Diabetes 2016, 124, 613–617. [Google Scholar] [CrossRef]
- Pinilla, I.; Ferreras, A.; Idoipe, M.; Sanchez-Cano, A.I.; Perez-Garcia, D.; Herrera, L.X.; Pinilla, M.J.; Abecia, E. Changes in frequency-doubling perimetry in patients with type I diabetes prior to retinopathy. Biomed. Res. Int. 2013, 2013, 341269. [Google Scholar] [CrossRef]
- Pinilla, I.; Idoipe, M.; Perdices, L.; Sanchez-Cano, A.; Acha, J.; Lopez-Galvez, M.I.; Cuenca, N.; Abecia, E.; Orduna-Hospita, E. Changes in Total and Inner Retinal Thicknesses in Type 1 Diabetes With No Retinopathy After 8 Years of Follow-Up. Retina 2020, 40, 1379–1386. [Google Scholar] [CrossRef]
- Tavares Ferreira, J.; Alves, M.; Dias-Santos, A.; Costa, L.; Santos, B.O.; Cunha, J.P.; Papoila, A.L.; Pinto, L.A. Retinal Neurodegeneration in Diabetic Patients Without Diabetic Retinopathy. Investig. Opthalmol. Vis. Sci. 2016, 57, 6455–6460. [Google Scholar] [CrossRef]
- Abu-El-Asrar, A.M.; Dralands, L.; Missotten, L.; Al-Jadaan, I.A.; Geboes, K. Expression of apoptosis markers in the retinas of human subjects with diabetes. Investig. Opthalmol. Vis. Sci. 2004, 45, 2760–2766. [Google Scholar] [CrossRef]
- Leung, C.K.; Weinreb, R.N.; Li, Z.W.; Liu, S.; Lindsey, J.D.; Choi, N.; Liu, L.; Cheung, C.Y.; Ye, C.; Qiu, K.; et al. Long-term in vivo imaging and measurement of dendritic shrinkage of retinal ganglion cells. Investig. Opthalmol. Vis. Sci. 2011, 52, 1539–1547. [Google Scholar] [CrossRef]
- Cabrera DeBuc, D.; Somfai, G.M. Early detection of retinal thickness changes in diabetes using Optical Coherence Tomography. Med. Sci. Monit. 2010, 16, MT15–MT21. [Google Scholar]
- Carpineto, P.; Toto, L.; Aloia, R.; Ciciarelli, V.; Borrelli, E.; Vitacolonna, E.; Di Nicola, M.; Di Antonio, L.; Mastropasqua, R. Neuroretinal alterations in the early stages of diabetic retinopathy in patients with type 2 diabetes mellitus. Eye 2016, 30, 673–679. [Google Scholar] [CrossRef]
- Chihara, E.; Matsuoka, T.; Ogura, Y.; Matsumura, M. Retinal nerve fiber layer defect as an early manifestation of diabetic retinopathy. Ophthalmology 1993, 100, 1147–1151. [Google Scholar] [CrossRef]
- Bronson-Castain, K.W.; Bearse, M.A.; Neuville, J.; Jonasdottir, S.; King-Hooper, B.; Barez, S.; Schneck, M.E.; Adams, A.J. Early neural and vascular changes in the adolescent type 1 and type 2 diabetic retina. Retina 2012, 32, 92–102. [Google Scholar] [CrossRef]
- De Benedetto, U.; Querques, G.; Lattanzio, R.; Borrelli, E.; Triolo, G.; Maestranzi, G.; Calori, G.; Querques, L.; Bandello, F. Macular dysfunction is common in both type 1 and type 2 diabetic patients without macular edema. Retina 2014, 34, 2171–2177. [Google Scholar] [CrossRef]
- Verma, A.; Rani, P.K.; Raman, R.; Pal, S.S.; Laxmi, G.; Gupta, M.; Sahu, C.; Vaitheeswaran, K.; Sharma, T. Is neuronal dysfunction an early sign of diabetic retinopathy? Microperimetry and spectral domain optical coherence tomography (SD-OCT) study in individuals with diabetes, but no diabetic retinopathy. Eye 2009, 23, 1824–1830. [Google Scholar] [CrossRef]
- Michalewska, Z.; Michalewski, J.; Nawrocki, J. New OCT technologies take imaging deeper and wider. Retin. Physycian 2013, 10, 42–48. [Google Scholar]
- Pérez Del Palomar, A.; Cegoñino, J.; Montolío, A.; Orduna, E.; Vilades, E.; Sebastián, B.; Pablo, L.E.; Garcia-Martin, E. Swept source optical coherence tomography to early detect multiple sclerosis disease. The use of machine learning techniques. PLoS ONE 2019, 14, e0216410. [Google Scholar] [CrossRef] [PubMed]
- Photocoagulation for diabetic macular edema. Early Treatment Diabetic Retinopathy Study Report number 1. Early Treatment Diabetic Retinopathy Study Research Group. Arch. Ophthalmol. 1985, 103, 1796–1806. [Google Scholar] [CrossRef]
- Markowitz, S.N.; Reyes, S.V. Microperimetry and clinical practice: An evidence-based review. Can. J. Ophthalmol. 2013, 48, 350–357. [Google Scholar] [CrossRef]
- Barber, A.J. A new view of diabetic retinopathy: A neurodegenerative disease of the eye. Prog. Neuropsychopharmacol. Biol. Psychiatry 2003, 27, 283–290. [Google Scholar] [CrossRef]
- van Dijk, H.W.; Kok, P.H.; Garvin, M.; Sonka, M.; Devries, J.H.; Michels, R.P.; van Velthoven, M.E.; Schlingemann, R.O.; Verbraak, F.D.; Abramoff, M.D. Selective loss of inner retinal layer thickness in type 1 diabetic patients with minimal diabetic retinopathy. Investig. Opthalmol. Vis. Sci 2009, 50, 3404–3409. [Google Scholar] [CrossRef]
- Drasdo, N.; Millican, C.L.; Katholi, C.R.; Curcio, C.A. The length of Henle fibers in the human retina and a model of ganglion receptive field density in the visual field. Vis. Res. 2007, 47, 2901–2911. [Google Scholar] [CrossRef]
- Midena, E.; Vujosevic, S. Microperimetry in diabetic retinopathy. Saudi J. Ophthalmol. 2011, 25, 131–135. [Google Scholar] [CrossRef]
- Vujosevic, S.; Midena, E.; Pilotto, E.; Radin, P.P.; Chiesa, L.; Cavarzeran, F. Diabetic Macular Edema: Correlation between Microperimetry and Optical Coherence Tomography Findings. Investig. Ophthalmol. Vis. Sci. 2006, 47, 3044–3051. [Google Scholar] [CrossRef]
- Lieth, E.; Gardner, T.W.; Barber, A.J.; Antonetti, D.A.; Penn State Retina Research Group. Retinal neurodegeneration: Early pathology in diabetes. Clin. Exp. Ophthalmol. 2000, 28, 3–8. [Google Scholar] [CrossRef]




| Control Group | DM1 Group | p | |||
|---|---|---|---|---|---|
| Mean | SD | Mean | SD | ||
| VA (LogMAR) | −0.113 | 0.07 | −0.130 | 0.01 | 0.910 |
| SE | 0.25 | 1.85 | 0.21 | 2.08 | 0.369 |
| AL (mm) | 23.61 | 2.14 | 23.37 | 1.16 | 0.297 |
| IOP (mmHg) | 16.85 | 2.47 | 16.59 | 3.00 | 0.150 |
| Control Group | DM1 Group | p | |||
|---|---|---|---|---|---|
| MEAN | SD | MEAN | SD | ||
| Macular integrity index | 47.35 | 28.64 | 46.59 | 35.20 | 0.990 |
| Average threshold (dB) | 28.16 | 1.46 | 26.44 | 3.46 | 0.005 * |
| Fixation stability P1 (%) | 86.47 | 18.22 | 87.44 | 14.67 | 0.982 |
| Fixation stability P2 (%) | 95.70 | 7.43 | 96.64 | 4.91 | 0.492 |
| BCEA 63 area (°2) | 6.47 | 9.87 | 4.73 | 7.21 | 0.833 |
| BCEA 63 angle (°) | 9.36 | 62.36 | 2.01 | 60.84 | 0.477 |
| BCEA 95 area (°2) | 6.42 | 9.85 | 4.70 | 7.31 | 0.817 |
| BCEA 95 angle (°) | 9.36 | 62.36 | 1.52 | 61.19 | 0.468 |
| Fixation losses (%) | 0.42 | 2.83 | 6.56 | 12.99 | 0.013 * |
| Retinal Sensitivity | |||||||||
|---|---|---|---|---|---|---|---|---|---|
| 5SI | 5TI | 5II | 5NI | 3SI | 3TI | 3II | 3NI | 0C | |
| Age—correl coef. | −0.413 ** | −0.369 ** | −0.493 ** | −0.354 * | −0.455 ** | −0.398 ** | −0.364 ** | −0.410 ** | −0.361 ** |
| Sig. | 0.003 | 0.008 | <0.001 | 0.012 | 0.001 | 0.004 | 0.009 | 0.003 | 0.010 |
| VA—correl coef. | −0.356 * | −0.256 | −0.301 * | −0.263 | −0.341 * | −0.369 ** | −0.341 * | −0.207 | −0.195 |
| Sig. | 0.011 | 0.073 | 0.034 | 0.065 | 0.015 | 0.008 | 0.015 | 0.149 | 0.175 |
| SE—correl coef. | −0.336 * | −0.262 | −0.286 * | −0.204 | −0.412 ** | −0.371 ** | −0.290 * | −0.232 | −0.317 * |
| Sig. | 0.017 | 0.066 | 0.044 | 0.155 | 0.003 | 0.008 | 0.041 | 0.105 | 0.025 |
| AL—correl coef. | 0.002 | −0.053 | −0.081 | −0.121 | −0.057 | 0.024 | −0.048 | −0.037 | 0.018 |
| Sig. | 0.989 | 0.715 | 0.574 | 0.404 | 0.693 | 0.869 | 0.739 | 0.801 | 0.903 |
| IOP—correl coef. | 0.314 * | 0.239 | 0.205 | 0.193 | 0.267 | 0.300 * | 0.146 | 0.293 * | 0.276 |
| Sig. | 0.027 | 0.095 | 0.154 | 0.179 | 0.061 | 0.034 | 0.312 | 0.039 | 0.052 |
| ETDRS C (Retina) | ETDRS C (GCL+) | ETDRS C (GCL++) | ||
|---|---|---|---|---|
| 0C global—Correl coef | −0.180 | −0.070 | −0.134 | |
| Sig. | 0.210 | 0.627 | 0.353 | |
| Retinal Sensitivity | ETDRS SI (Retina) | ETDRS TI (Retina) | ETDRS II (Retina) | ETDRS NI (Retina) |
| 5SI—Correl coef | 0.085 | −0.037 | −0.031 | 0.011 |
| Sig. | 0.559 | 0.798 | 0.833 | 0.939 |
| 5TI—Correl coef | 0.138 | −0.022 | 0.016 | 0.055 |
| Sig. | 0.340 | 0.882 | 0.912 | 0.705 |
| 5II—Correl coef | 0.013 | −0.109 | −0.104 | −0.066 |
| Sig. | 0.931 | 0.453 | 0.472 | 0.649 |
| 5NI—Correl coef | 0.022 | −0.111 | −0.122 | −0.087 |
| Sig. | 0.882 | 0.443 | 0.398 | 0.550 |
| 3SI—Correl coef | 0.087 | −0.069 | −0.067 | −0.012 |
| Sig. | 0.546 | 0.634 | 0.643 | 0.934 |
| 3TI—Correl coef | 0.131 | −0.054 | −0.010 | 0.051 |
| Sig. | 0.363 | 0.711 | 0.947 | 0.724 |
| 3II—Correl coef | 0.105 | −0.037 | −0.031 | −0.005 |
| Sig. | 0.470 | 0.800 | 0.829 | 0.970 |
| 3NI—Correl coef | 0.026 | 0.024 | −0.089 | −0.060 |
| Sig. | 0.855 | 0.870 | 0.539 | 0.680 |
| Retinal Sensitivity | ETDRS SI (GCL+) | ETDRS TI (GCL+) | ETDRS II (GCL+) | ETDRS NI (GCL+) |
| 5SI—Correl coef | −0.002 | 0.051 | −0.045 | −0.082 |
| Sig. | 0.988 | 0.723 | 0.754 | 0.574 |
| 5TI—Correl coef | 0.007 | 0.020 | 0.003 | −0.048 |
| Sig. | 0.963 | 0.891 | 0.983 | 0.741 |
| 5II—Correl coef | −0.087 | −0.052 | −0.129 | −0.148 |
| Sig. | 0.549 | 0.721 | 0.371 | 0.305 |
| 5NI—Correl coef | −0.122 | −0.107 | −0.184 | −0.211 |
| Sig. | 0.399 | 0.459 | 0.201 | 0.140 |
| 3SI—Correl coef | −0.046 | −0.031 | −0.113 | −0.107 |
| Sig. | 0.752 | 0.832 | 0.434 | 0.460 |
| 3TI—Correl coef | 0.050 | 0.044 | −0.037 | −0.018 |
| Sig. | 0.729 | 0.760 | 0.801 | 0.901 |
| 3II—Correl coef | −0.038 | −0.014 | −0.087 | −0.134 |
| Sig. | 0.794 | 0.922 | 0.550 | 0.352 |
| 3NI—Correl coef | −0.032 | −0.053 | −0.109 | −0.142 |
| Sig. | 0.828 | 0.713 | 0.451 | 0.327 |
| Retinal Sensitivity | ETDRS SI (GCL++) | ETDRS TI (GCL++) | ETDRS II (GCL++) | ETDRS NI (GCL++) |
| 5SI—Correl coef | 0.041 | −0.104 | −0.065 | −0.132 |
| Sig. | 0.777 | 0.473 | 0.654 | 0.359 |
| 5TI—Correl coef | 0.075 | −0.102 | −0.003 | −0.055 |
| Sig. | 0.604 | 0.482 | 0.986 | 0.702 |
| 5II—Correl coef | −0.033 | −0.258 | −0.139 | −0.201 |
| Sig. | 0.820 | 0.070 | 0.337 | 0.162 |
| 5NI—Correl coef | −0.062 | −0.309 | −0.208 | −0.264 |
| Sig. | 0.670 | 0.029 | 0.148 | 0.064 |
| 3SI—Correl coef | 0.026 | −0.171 | −0.105 | −0.126 |
| Sig. | 0.855 | 0.234 | 0.467 | 0.383 |
| 3TI—Correl coef | 0.119 | −0.102 | −0.017 | −0.032 |
| Sig. | 0.412 | 0.480 | 0.907 | 0.823 |
| 3II—Correl coef | 0.038 | −0.163 | −0.087 | −0.156 |
| Sig. | 0.795 | 0.258 | 0.548 | 0.280 |
| 3NI—Correl coef | 0.023 | −0.232 | −0.123 | −0.184 |
| Sig. | 0.872 | 0.104 | 0.396 | 0.202 |
Publisher’s Note: MDPI stays neutral with regard to jurisdictional claims in published maps and institutional affiliations. |
© 2021 by the authors. Licensee MDPI, Basel, Switzerland. This article is an open access article distributed under the terms and conditions of the Creative Commons Attribution (CC BY) license (http://creativecommons.org/licenses/by/4.0/).
Share and Cite
Orduna-Hospital, E.; Otero-Rodríguez, J.; Perdices, L.; Sánchez-Cano, A.; Boned-Murillo, A.; Acha, J.; Pinilla, I. Microperimetry and Optical Coherence Tomography Changes in Type-1 Diabetes Mellitus without Retinopathy. Diagnostics 2021, 11, 136. https://doi.org/10.3390/diagnostics11010136
Orduna-Hospital E, Otero-Rodríguez J, Perdices L, Sánchez-Cano A, Boned-Murillo A, Acha J, Pinilla I. Microperimetry and Optical Coherence Tomography Changes in Type-1 Diabetes Mellitus without Retinopathy. Diagnostics. 2021; 11(1):136. https://doi.org/10.3390/diagnostics11010136
Chicago/Turabian StyleOrduna-Hospital, Elvira, Judit Otero-Rodríguez, Lorena Perdices, Ana Sánchez-Cano, Ana Boned-Murillo, Javier Acha, and Isabel Pinilla. 2021. "Microperimetry and Optical Coherence Tomography Changes in Type-1 Diabetes Mellitus without Retinopathy" Diagnostics 11, no. 1: 136. https://doi.org/10.3390/diagnostics11010136
APA StyleOrduna-Hospital, E., Otero-Rodríguez, J., Perdices, L., Sánchez-Cano, A., Boned-Murillo, A., Acha, J., & Pinilla, I. (2021). Microperimetry and Optical Coherence Tomography Changes in Type-1 Diabetes Mellitus without Retinopathy. Diagnostics, 11(1), 136. https://doi.org/10.3390/diagnostics11010136

