Management of Non-Tubal Ectopic Pregnancies: A Single Center Experience
Abstract
1. Introduction
2. Materials and Methods
3. Results
4. Discussion
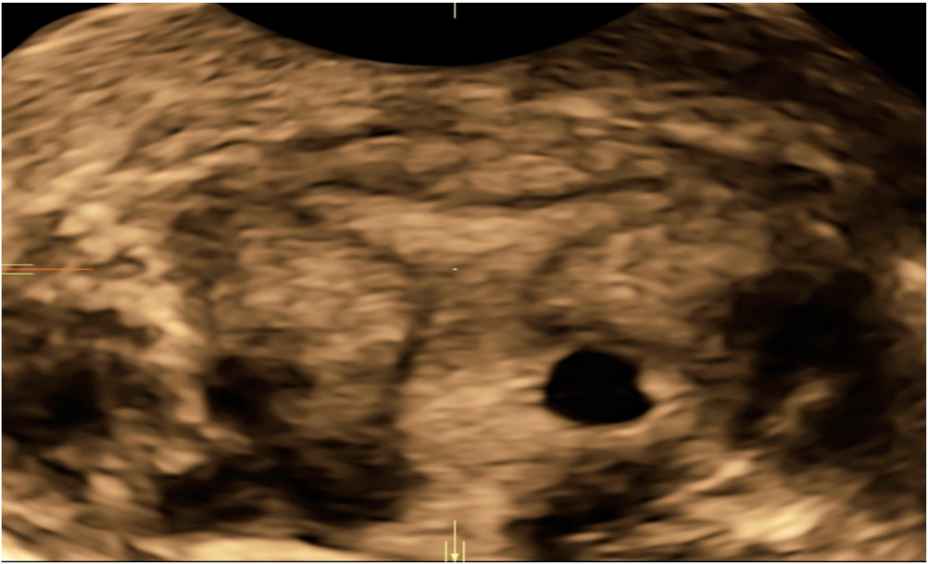
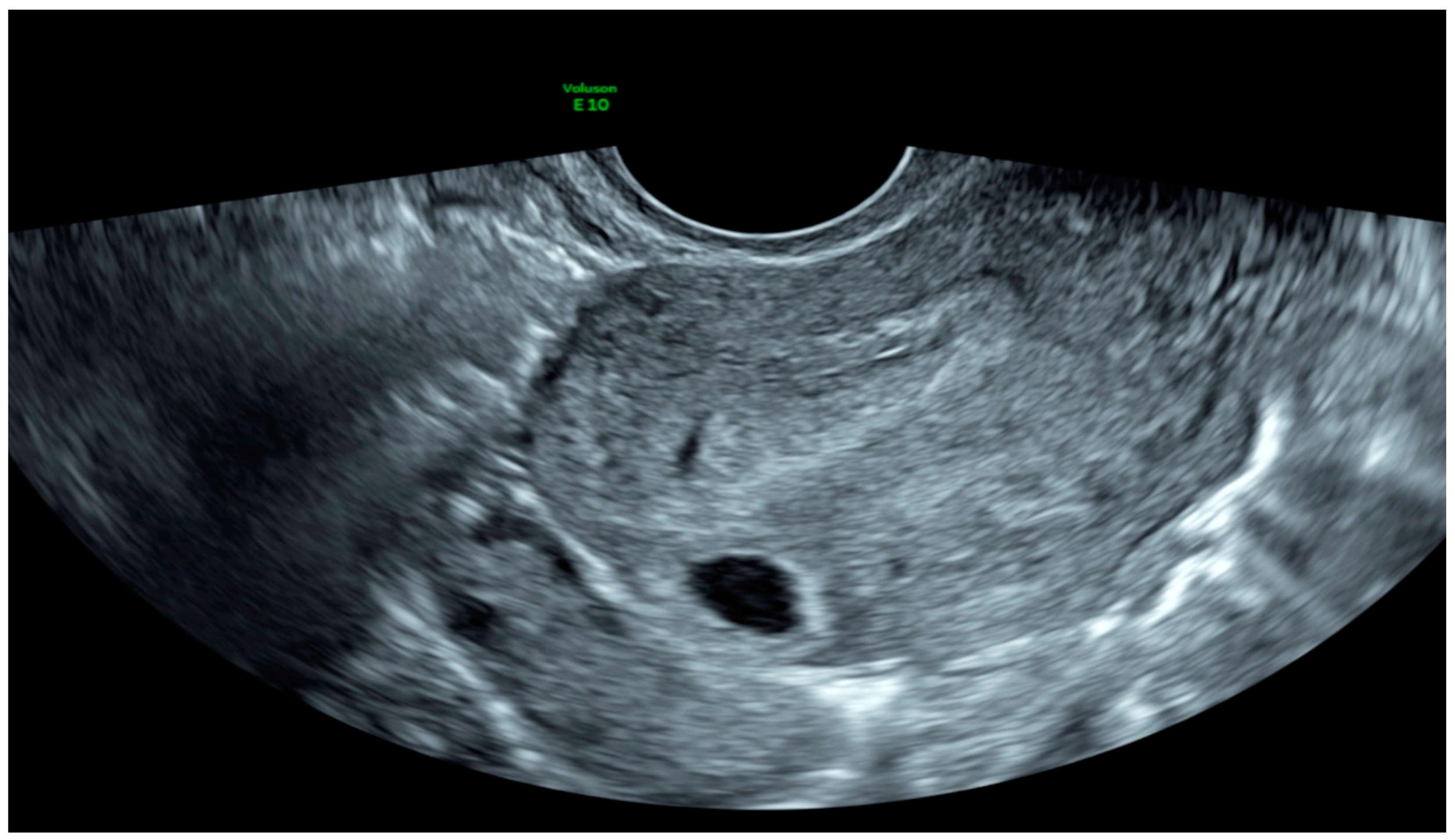
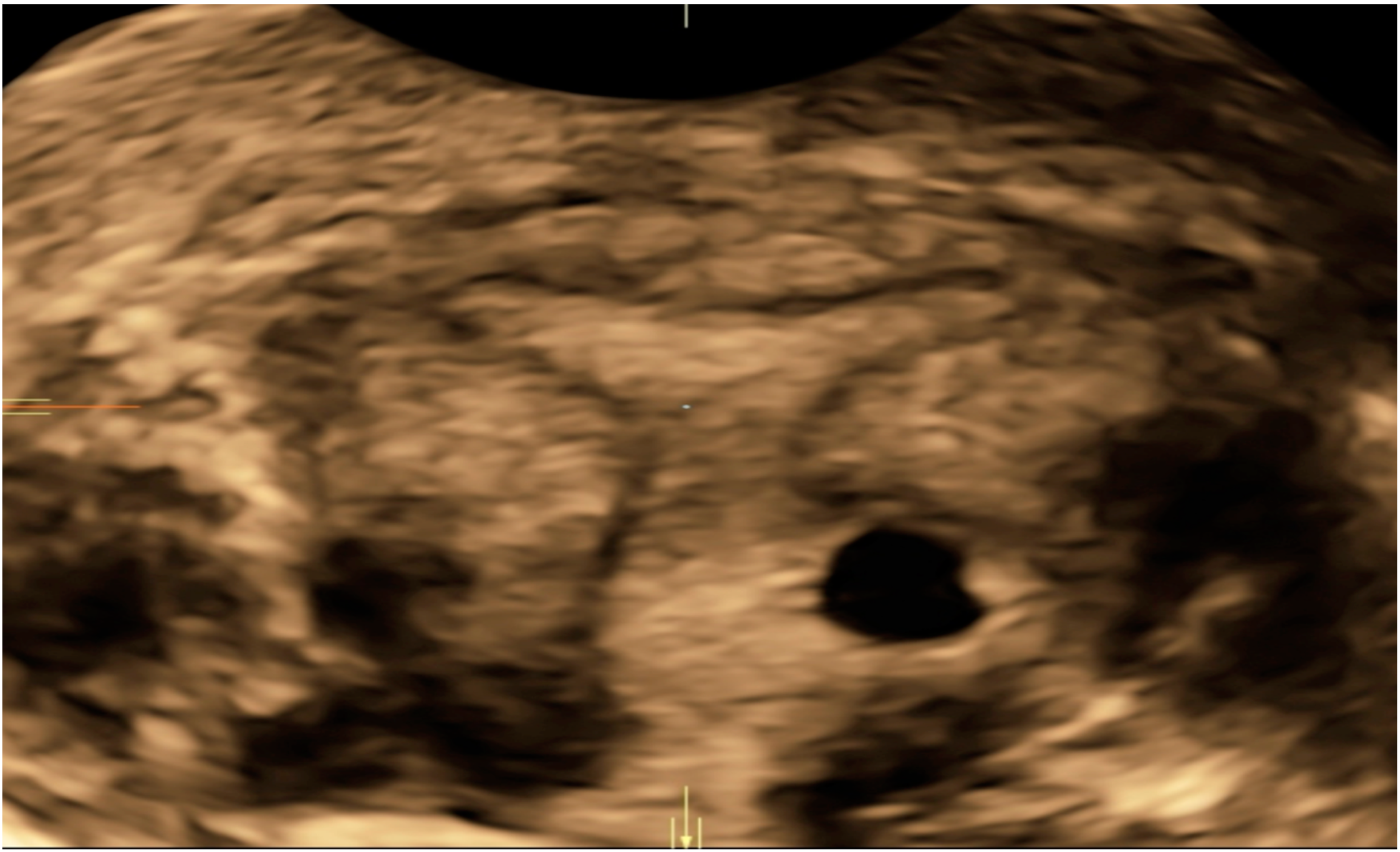
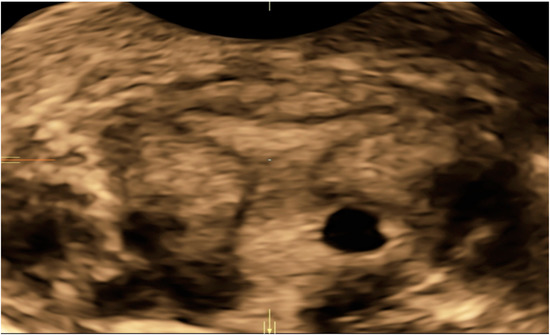
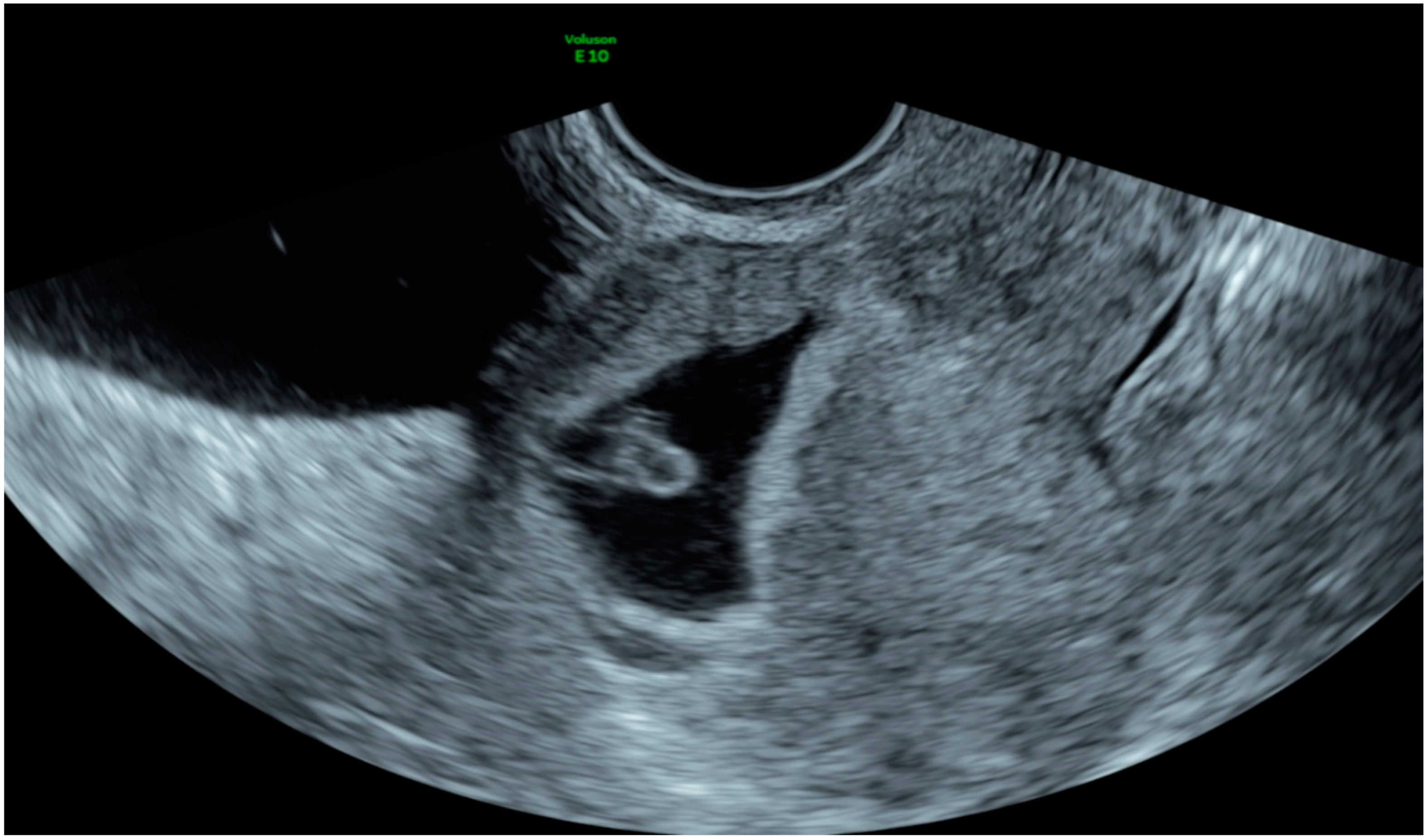
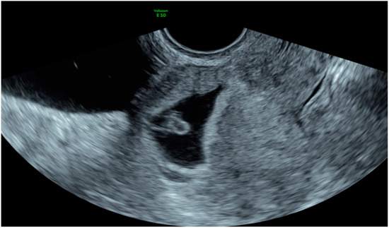
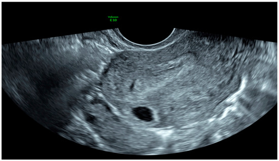
4.1. Cervical Pregnancy
4.2. Interstitial Pregnancy
4.3. Scar Pregnancy
4.4. Ovarian Pregnancy and Abdominal Pregnancy
5. Conclusions
Author Contributions
Funding
Acknowledgments
Conflicts of Interest
References
- Prameela, R.; Dev, S. Cervical ectopic pregnancy: 10 year experience at tertiary care hospital and current literature review. Int. J. Reprod. Contracept. Obstet. Gynecol. 2016. [Google Scholar] [CrossRef]
- Kirk, E.; Condous, G.; Bourne, T. The non-surgical management of ectopic pregnancy. Ultrasound Obstet. Gynecol. 2006. [Google Scholar] [CrossRef] [PubMed]
- Birch Petersen, K.; Hoffmann, E.; Rifbjerg Larsen, C.; Nielsen, H.S. Cesarean scar pregnancy: A systematic review of treatment studies. Fertil. Steril. 2016. [Google Scholar] [CrossRef] [PubMed]
- Shen, L.; Fu, J.; Huang, W.; Zhu, H.; Wang, Q.; Yang, S.; Wu, T. Interventions for non-tubal ectopic pregnancy. Cochrane Database Syst. Rev. 2014. [Google Scholar] [CrossRef]
- Chetty, M.; Elson, J. Treating non-tubal ectopic pregnancy. Best Pract. Res. Clin. Obstet. Gynaecol. 2009. [Google Scholar] [CrossRef]
- Fylstra, D.L. Ectopic pregnancy within a cesarean scar: A review. Obstet. Gynecol. Surv. 2002. [Google Scholar] [CrossRef]
- Kochi, K.; Hidaka, T.; Yasoshima, K.; Yoneda, K.; Arai, K.; Arai, T. Cervical pregnancy: A report of four cases. J. Obs. Gynaecol. Res. 2014, 40, 603–606. [Google Scholar] [CrossRef]
- Hofmann, H.M.H.; Urdl, W.; Höfler, H.; Hönigl, W.; Tamussino, K. Cervical pregnancy: Case reports and current concepts in diagnosis and treatment. Arch. Gynecol. Obstet. 1987. [Google Scholar] [CrossRef]
- Timor-Tritsch, I.E.; Monteagudo, A.; Matera, C.; Veit, C.R. Sonographic evolution of cornual pregnancies treated without surgery. Obstet. Gynecol. 1992, 79, 1044–1049. [Google Scholar]
- Jurkovic, D.; Mavrelos, D. Catch me if you scan: Ultrasound diagnosis of ectopic pregnancy. Ultrasound Obstet. Gynecol. 2007. [Google Scholar] [CrossRef]
- Parker, V.L.; Srinivas, M. Non-tubal ectopic pregnancy. Arch. Gynecol. Obstet. 2016. [Google Scholar] [CrossRef] [PubMed]
- The Practice Committee of the American Society for Reproductive Medicine. Medical treatment of ectopic pregnancy: A committee opinion. Fertil. Steril. 2013. [Google Scholar] [CrossRef]
- Raine-Fenning, N.; Sur, S.; Horne, A.W.; Wilkinson, H.; Bourne, T. Pregnancy of unknown viability or location: Less is more in the majority of cases. J. Fam. Plann. Reprod. Health Care 2012, 38, 7–10. [Google Scholar] [CrossRef] [PubMed]
- Alalade, A.O.; Smith, F.J.E.; Kendall, C.E.; Odejinmi, F. Evidence-based management of non-tubal ectopic pregnancies. J. Obs. Gynaecol. 2017, 37, 982–991. [Google Scholar] [CrossRef] [PubMed]
- Dolinko, A.V.; Vrees, R.A.; Frishman, G.N. Non-tubal Ectopic Pregnancies: Overview and Treatment via Local Injection. J. Minim. Invasive Gynecol. 2018, 25, 287–296. [Google Scholar] [CrossRef]
- Ngu, S.F.; Cheung, V.Y. Non-tubal ectopic pregnancy. Int. J. Gynaecol. Obs. 2011, 115, 295–297. [Google Scholar] [CrossRef]
- Panelli, D.M.; Phillips, C.H.; Brady, P.C. Incidence, diagnosis and management of tubal and nontubal ectopic pregnancies: A review. Fertil. Res. Pract. 2015. [Google Scholar] [CrossRef]
- Gomel, V. From laparotomy to laparoscopy to in vitro fertilization. Fertil. Steril. 2019. [Google Scholar] [CrossRef]
- Taylor, J.E.; Yalcinkaya, T.M.; Akar, M.E. Successful conservative management of cervical ectopic pregnancy: A case series. Arch. Gynecol. Obs. 2011, 283, 1215–1217. [Google Scholar] [CrossRef]
- Jurkovic, D.; Hacket, E.; Campbell, S. Diagnosis and treatment of early cervical pregnancy: A review and a report of two cases treated conservatively. Ultrasound Obs. Gynecol. 1996, 8, 373–380. [Google Scholar] [CrossRef]
- Stabile, G.; Mangino, F.P.; Romano, F.; Zinicola, G.; Ricci, G. Ectopic Cervical Pregnancy: Treatment Route. Medicina (Kaunas) 2020, 56, 293. [Google Scholar] [CrossRef] [PubMed]
- Di Spiezio Sardo, A.; da Cunha Vieira, M.; Laganà, A.S.; Chiofalo, B.; Vitale, S.G.; Scala, M.; De Falco, M.; Nappi, C.; Catena, U.; Bifulco, G. Servikal gebelikte histeroskopik rezeksiyon ile ilişkili kombine sistemik ve histeroskopik intra-amniyotik metotreksat enjeksiyonu: Nadir bir durum için en yeni yaklaşım. Eurasian J. Med. 2017, 49, 66–68. [Google Scholar] [CrossRef] [PubMed]
- Di Tizio, L.; Spina, M.R.; Gustapane, S.; D’Antonio, F.; Liberati, M. Interstitial Pregnancy: From Medical to Surgical Approach-Report of Three Cases. Case Rep. Obstet. Gynecol. 2018, 2018, 2815871. [Google Scholar] [CrossRef] [PubMed]
- Stabile, G.; Romano, F.; Buonomo, F.; Zinicola, G.; Ricci, G. Conservative treatment of interstitial pregnancy with the combination of Mifepristone and Methotrexate: Our experience and review of the literature. Biomed. Res. Int. 2020. [Google Scholar] [CrossRef]
- Giampaolino, P.; De Rosa, N.; Morra, I.; Bertrando, A.; Di Spiezio Sardo, A.; Zizolfi, B.; Ferrara, C.; Della Corte, L.; Bifulco, G. Management of Cesarean Scar Pregnancy: A Single-Institution Retrospective Review. Biomed. Res. Int. 2018, 2018, 6486407. [Google Scholar] [CrossRef]
- Deans, R.; Abbott, J. Hysteroscopic management of cesarean scar ectopic pregnancy. Fertil. Steril. 2010, 93, 1735–1740. [Google Scholar] [CrossRef]
- Jurkovic, D.; Hillaby, K.; Woelfer, B.; Lawrence, A.; Salim, R.; Elson, C.J. First-trimester diagnosis and management of pregnancies implanted into the lower uterine segment Cesarean section scar. Ultrasound Obstet. Gynecol. 2003, 21, 220–227. [Google Scholar] [CrossRef]
- Maheux-Lacroix, S.; Li, F.; Bujold, E.; Nesbitt-Hawes, E.; Deans, R.; Abbott, J. Cesarean Scar Pregnancies: A Systematic Review of Treatment Options. J. Minim. Invasive Gynecol. 2017. [Google Scholar] [CrossRef]
- Long, Y.; Zhu, H.; Hu, Y.; Shen, L.; Fu, J.; Huang, W. Interventions for non-tubal ectopic pregnancy. Cochrane Database Syst. Rev. 2020, 7, CD011174. [Google Scholar] [CrossRef]
- Kraemer, B.; Kraemer, E.; Guengoer, E.; Juhasz-Boess, I.; Solomayer, E.F.; Wallwiener, D.; Rajab, T.K. Ovarian ectopic pregnancy: Diagnosis, treatment, correlation to Carnegie stage 16 and review based on a clinical case. Fertil. Steril. 2009, 92. [Google Scholar] [CrossRef]
- AbdulJabbar, N.A.; Saquib, S.; Mohammed Talha, W.E. Successful Management of Abdominal Pregnancy: Two Case Reports. Oman Med. J. 2018, 33, 171–175. [Google Scholar] [CrossRef] [PubMed]








| Ectopic Pregnancy | Age | Obstetric and Gynecological History | Gravidity(g); Parity (p) | Pregnancy Onset |
|---|---|---|---|---|
| Cervical Pregnancy | ||||
| Case 1 | 37 | 2 previous cesarean sections 1 previous spontaneous abortion with curettage | 3 g 2 p | Spontaneous |
| Case 2 | 35 | Untreated sub-sept uterus Tubal pregnancy and salpingectomy | 2 g 0 p | Spontaneous |
| Case 3 | 37 | Infertility Mild uterine sub-sept | 1 g | ARTs |
| Case 4 | 41 | Cervical pregnancy treated with Methotrexate Previous miscarriage | 4 g 0 p | Spontaneous |
| Case 5 | 35 | / | 1 g | Spontaneous |
| Case 6 | Previous miscarriage | 2 g 0 p | ARTs | |
| Scar pregnancy | ||||
| Case 1 | 32 | 5 Previous cesarean sections | 6 g 5 p | Spontaneous |
| Case 2 | 33 | 3 previous cesarean sections | 4 g 3 p | Spontaneous |
| Case 3 | 34 | 1 previous cesarean section | 3 g 1 p | Spontaneous |
| Interstitial pregnancy | ||||
| Case 1 | 32 | Metroplasty for septate uterus | 3 g 0 p | Spontaneous |
| Case 2 | 32 | 2011 cesarean section 2016 right tubal pregnancy treated by laparoscopic salpingectomy | 3 g 1 p | Spontaneous |
| Case 3 | 35 | / | 3 g 1 p | Spontaneous |
| Ovarian pregnancy | ||||
| Case 1 | 19 | / | 1 g | Spontaneous |
| Case 2 | 33 | / | 2 g 1 p | Spontaneous |
| Abdominal pregnancy | ||||
| Case 1 | 39 | / | 1 g | Spontaneous |
| Case 2 | 41 | Uterine fibromatosis | 1 g | Spontaneous |
| Ectopic Pregnancy | Outset | Gestational Age (Weeks) | β-hCG before Treatment | Ultrasound | Treatment | Outcome |
|---|---|---|---|---|---|---|
| Cervical pregnancy | ||||||
| Case 1 | Asymptomatic | 12 + 1 | 97,388 | GS 78 × 60 mm; with embryo | Radical surgical treatment (LPS hysterectomy + bilateral salpingectomy + uterine arterial embolization + bilateral ureteral stent placement) | Complete resolution |
| Case 2 | Asymptomatic | 6 + 6 | 10,862 | GS 20 × 19 mm; with embryo | Hys: 1st step: CP resection by twizzle; IC Foley catheter 2nd step: vessels electrocoagulation by bipolar twizzle | Reoperation (hys) due to tissue residues and cervical laceration Complete resolution |
| Case 3 | Asymptomatic | 5 | 9747 | GS 20 × 22 mm; no embryo | MTX IM 50 mg/m2 of body surface + Hys | Complete resolution Currently pregnant (PMA Homologous) |
| Case 4 | Brownish vaginal discharge | 6 + 6 | 55,951 | GS 30 × 10 mm; no embryo | Hys | Complete resolution |
| Case 5 | Vaginal bleeding | 9 | 1331 | GS 4.7 × 5 mm; no embryo | Mifepristone 600 mg orally + Misoprostol 400 mcg + MTX IM 50 mg/m2 of body surface | Complete resolution |
| Case 6 | Vaginal bleeding | 6 | 4274 | GS 5.4 × 5 mm with embryo | MTX IM 50 mg/m2 of body surface + Hys: CP resection by twizzle | Complete resolution |
| Scar pregnancy | ||||||
| Case 1 | Asymptomatic | 6 | 119,900 | GS 14 × 16 mm | MTX IM 50 mg/m2 of body surface + Misoprostol 200 µg rectal + Hys (two times) + Curettage | Complete resolution |
| Case 2 | Asymptomatic | 6 + 2 | 31,647 | GS 12 × 10 mm | Mifepristone 600 mg + Misoprostol 400 mcg + Hys: reseptoscopy | Complete resolution |
| Case 3 | Asymptomatic | 7 + 1 | 131,000 | GS 9 × 10 mm | Hys: twizzle and minireseptor + Curettage | Complete resolution |
| Interstitial pregnancy | ||||||
| Case 1 | Brownish vaginal discharge and mild pelvic pain | 7 | 18,048 | GS 15 × 14 mm right horn | MTX IM 50 mg/m2 of body surface | Complete resolution |
| Case 2 | Asymptomatic | 6 | 6579 | GS 6 × 8 mm; right horn | MTX IM 50 mg/m2 of body surface + Mifepristone 600 mcg | Complete resolution |
| Case 3 | Pinkish vaginal discharge | 5 + 3 | 2124 | GS right 12 × 12 horn; N/A | MTX IM 50 mg/m2 of body surface + Mifepristone 600 mg | Complete resolution |
| Ovarian pregnancy | ||||||
| Case 1 | Haemoperitoneum | unknow | 2495 | GS 30 mm (maximum diameter); on the right ovary | Surgical treatment (LPS) | Complete resolution |
| Case 2 | Haemoperitoneum | unknown | 2185 | GS 30 × 20 mm on the right ovary | Surgical treatment (LPS) | Complete resolution |
| Abdominal pregnancy | ||||||
| Case 1 | Acute abdomen | 6 + 3 | N/A | GS 20 mm at the right wall of the peritoneum | Surgical treatment (LPS) + MTX IM 50 mg/m2 of body surface | Complete resolution |
| Case 2 | Haemoperitoneum | 7 + 2 | 53,716 | GS 30 mm located in the patch of the Douglas | Surgical treatment (LPS) | Complete resolution |
© 2020 by the authors. Licensee MDPI, Basel, Switzerland. This article is an open access article distributed under the terms and conditions of the Creative Commons Attribution (CC BY) license (http://creativecommons.org/licenses/by/4.0/).
Share and Cite
Stabile, G.; Zinicola, G.; Romano, F.; Buonomo, F.; Mangino, F.P.; Ricci, G. Management of Non-Tubal Ectopic Pregnancies: A Single Center Experience. Diagnostics 2020, 10, 652. https://doi.org/10.3390/diagnostics10090652
Stabile G, Zinicola G, Romano F, Buonomo F, Mangino FP, Ricci G. Management of Non-Tubal Ectopic Pregnancies: A Single Center Experience. Diagnostics. 2020; 10(9):652. https://doi.org/10.3390/diagnostics10090652
Chicago/Turabian StyleStabile, Guglielmo, Giulia Zinicola, Federico Romano, Francesca Buonomo, Francesco Paolo Mangino, and Giuseppe Ricci. 2020. "Management of Non-Tubal Ectopic Pregnancies: A Single Center Experience" Diagnostics 10, no. 9: 652. https://doi.org/10.3390/diagnostics10090652
APA StyleStabile, G., Zinicola, G., Romano, F., Buonomo, F., Mangino, F. P., & Ricci, G. (2020). Management of Non-Tubal Ectopic Pregnancies: A Single Center Experience. Diagnostics, 10(9), 652. https://doi.org/10.3390/diagnostics10090652

