Efficacy of Ultrasound-Guided Injections of Type I Collagen-Based Medical Device for Greater Trochanteric Pain Syndrome: A Pilot Study
Abstract
1. Introduction
2. Materials and Methods
2.1. Medical Device (Swine-Derived Type I Collagen)
2.2. Technique
2.3. Study Visits Timeline
2.4. Statistical Analysis
3. Results
3.1. Primary Endpoint—Pain Reduction at Rest of at Least 3 Points at 10 Weeks
3.2. Secondary Endpoints
3.2.1. NRS of Pain at Rest, at Baseline, 6 Weeks, 10 Weeks, and 24 Weeks
3.2.2. NRS of Pain on Palpation at Baseline, 6 Weeks, 10 Weeks, and 24 Weeks
3.2.3. mHHS at Baseline, 6 Weeks, 10 Weeks, and 24 Weeks
3.2.4. Abduction Strength at Baseline, 6 Weeks, 10 Weeks, and 24 Weeks
3.2.5. Painkiller Consumption During the Study Time
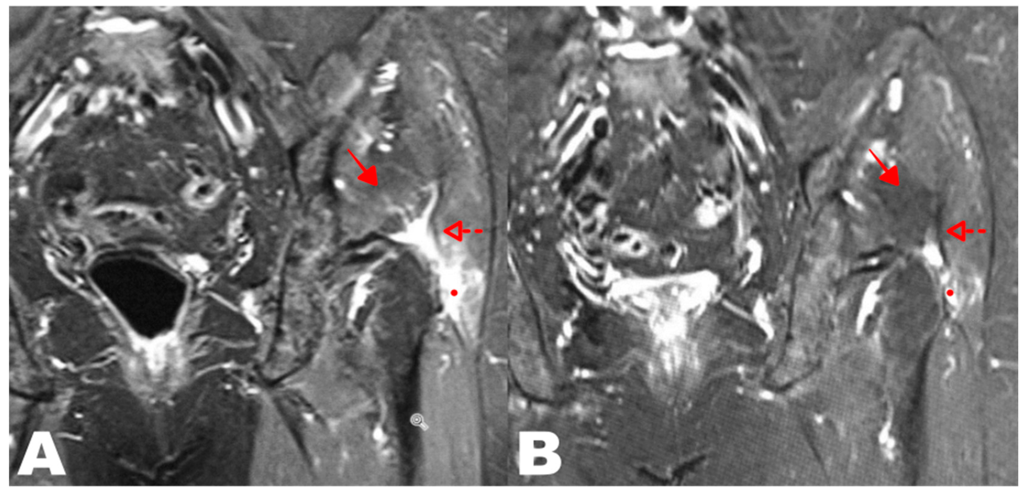
3.2.6. MRI Evaluation at 24 Weeks Compared to Baseline
4. Discussion
5. Conclusions
Author Contributions
Funding
Institutional Review Board Statement
Informed Consent Statement
Data Availability Statement
Acknowledgments
Conflicts of Interest
Abbreviations
| GTPS | Greater Trochanteric Pain Syndrome |
| NRS | Numeric Rating Scale |
| mHHS | Modified Harris Hip Score |
| MRI | Magnetic Resonance Imaging |
| PRP | Platelet-Rich Plasma |
| NSAIDs | Non-Steroidal Anti-Inflammatory Drugs |
| ECM | Extracellular Matrix |
| RCT | Randomized Controlled Trial |
| FU | Follow-Up |
| T0, T1w, T2w, T6w, T10w, T24w | Time points (Baseline, 1 week, 2 weeks, 6 weeks, 10 weeks, 24 weeks) |
| COL-I | Type I Collagen |
| ESHS | External Snapping Hip Syndrome |
| GCP | Good Clinical Practices |
| STIR | Short Tau Inversion Recovery (MRI Sequence) |
| T1 | T1-Weighted MRI Imaging |
| Tönnis Classification | System for grading hip osteoarthritis |
| MD | Tissue—Swine-derived type I collagen medical device (GUNA S.p.A.) |
| IRB | Institutional Review Board |
| OSMAMI | Milano Area 2 Ethics Committee Code |
| NCT | National Clinical Trial Number |
References
- Strauss, E.J.; Nho, S.J.; Kelly, B.T. Greater Trochanteric Pain Syndrome. Sports Med. Arthrosc. Rev. 2010, 18, 113–119. [Google Scholar] [CrossRef]
- Sunil Kumar, K.H.; Rawal, J.; Nakano, N.; Sarmento, A.; Khanduja, V. Pathogenesis and Contemporary Diagnoses for Lateral Hip Pain: A Scoping Review. Knee Surg. Sports Traumatol. Arthrosc. 2021, 29, 2408–2416. [Google Scholar] [CrossRef] [PubMed]
- Aprato, A.; Jayasekera, N.; Bajwa, A.; Villar, R.N. Peri-Articular Diseases of the Hip: Emerging Frontiers in Arthroscopic and Endoscopic Treatments. J. Orthopaed Traumatol. 2014, 15, 1–11. [Google Scholar] [CrossRef]
- Fearon, A.M.; Scarvell, J.M.; Cook, J.L.; Smith, P.N. Does Ultrasound Correlate with Surgical or Histologic Findings in Greater Trochanteric Pain Syndrome? A Pilot Study. Clin. Orthop. Relat. Res. 2010, 468, 1838. [Google Scholar] [CrossRef] [PubMed]
- Fearon, A.M.; Scarvell, J.M.; Neeman, T.; Cook, J.L.; Cormick, W.; Smith, P.N. Greater Trochanteric Pain Syndrome: Defining the Clinical Syndrome. Br. J. Sports Med. 2013, 47, 649–653. [Google Scholar] [CrossRef] [PubMed]
- Klauser, A.S.; Martinoli, C.; Tagliafico, A.; Bellmann-Weiler, R.; Feuchtner, G.M.; Wick, M.; Jaschke, W.R. Greater Trochanteric Pain Syndrome. Semin. Musculoskelet. Radiol. 2013, 17, 43–48. [Google Scholar] [CrossRef] [PubMed]
- Frizziero, A.; Vittadini, F.; Pignataro, A.; Gasparre, G.; Biz, C.; Ruggieri, P.; Masiero, S. Conservative Management of Tendinopathies around Hip. Muscles Ligaments Tendons J. 2016, 6, 281–292. [Google Scholar] [CrossRef] [PubMed]
- Grimaldi, A.; Mellor, R.; Hodges, P.; Bennell, K.; Wajswelner, H.; Vicenzino, B. Gluteal Tendinopathy: A Review of Mechanisms, Assessment and Management. Sports Med. 2015, 45, 1107–1119. [Google Scholar] [CrossRef]
- Marín-Pena, O.; Papavasiliou, A.V.; Olivero, M.; Galanis, N.; Tey-Pons, M.; Khanduja, V. Non-Surgical Treatment as the First Step to Manage Peritrochanteric Space Disorders. Knee Surg. Sports Traumatol. Arthrosc. 2021, 29, 2417–2423. [Google Scholar] [CrossRef] [PubMed]
- Walker, P.; Kannangara, S.; Bruce, W.J.; Michael, D.; Van der Wall, H. Lateral Hip Pain: Does Imaging Predict Response to Localized Injection? Clin. Orthop. Relat. Res. 2007, 457, 144. [Google Scholar] [CrossRef] [PubMed]
- Randelli, F.; Menon, A.; Giai Via, A.; Mazzoleni, M.G.; Sciancalepore, F.; Brioschi, M.; Gagliano, N. Effect of a Collagen-Based Compound on Morpho-Functional Properties of Cultured Human Tenocytes. Cells 2018, 7, 246. [Google Scholar] [CrossRef] [PubMed]
- Randelli, F.; Sartori, P.; Carlomagno, C.; Bedoni, M.; Menon, A.; Vezzoli, E.; Sommariva, M.; Gagliano, N. The Collagen-Based Medical Device MD-Tissue Acts as a Mechanical Scaffold Influencing Morpho-Functional Properties of Cultured Human Tenocytes. Cells 2020, 9, 2641. [Google Scholar] [CrossRef] [PubMed]
- Corrado, B.; Bonini, I.; Chirico, V.A.; Filippini, E.; Liguori, L.; Magliulo, G.; Mazzuoccolo, G.; Rosano, N.; Gisonni, P. Ultrasound-Guided Collagen Injections in the Treatment of Supraspinatus Tendinopathy: A Case Series Pilot Study. J. Biol. Regul. Homeost. Agents 2020, 34, 33–39. [Google Scholar] [PubMed]
- Martin Martin, L.S.; Massafra, U.; Bizzi, E.; Migliore, A. A Double Blind Randomized Active-Controlled Clinical Trial on the Intra-Articular Use of Md-Knee versus Sodium Hyaluronate in Patients with Knee Osteoarthritis (“Joint”). BMC Musculoskelet. Disord. 2016, 17, 94. [Google Scholar] [CrossRef] [PubMed]
- Corrado, B.; Bonini, I.; Alessio Chirico, V.; Rosano, N.; Gisonni, P. Use of Injectable Collagen in Partial-Thickness Tears of the Supraspinatus Tendon: A Case Report. Oxf. Med. Case Rep. 2020, 2020, omaa103. [Google Scholar] [CrossRef] [PubMed]
- Jacobson, J.A.; Yablon, C.M.; Henning, P.T.; Kazmers, I.S.; Urquhart, A.; Hallstrom, B.; Bedi, A.; Parameswaran, A. Greater Trochanteric Pain Syndrome: Percutaneous Tendon Fenestration Versus Platelet-Rich Plasma Injection for Treatment of Gluteal Tendinosis. J. Ultrasound Med. 2016, 35, 2413–2420. [Google Scholar] [CrossRef] [PubMed]
- Farkash, U.; Avisar, E.; Volk, I.; Slevin, O.; Shohat, N.; El Haj, M.; Dolev, E.; Ashraf, E.; Luria, S. First Clinical Experience with a New Injectable Recombinant Human Collagen Scaffold Combined with Autologous Platelet-Rich Plasma for the Treatment of Lateral Epicondylar Tendinopathy (Tennis Elbow). J. Shoulder Elb. Surg. 2019, 28, 503–509. [Google Scholar] [CrossRef] [PubMed]
- Corrado, B.; Mazzuoccolo, G.; Liguori, L.; Chirico, V.A.; Costanzo, M.; Bonini, I.; Bove, G.; Curci, L. Treatment of Lateral Epicondylitis with Collagen Injections: A Pilot Study. Muscle Ligaments Tendons J. 2019, 9, 584. [Google Scholar] [CrossRef]
- Buda, M.; Dlimi, S.; Parisi, M.; Benoni, A.; Bisinella, G.; Di Fabio, S. Subacromial Injection of Hydrolyzed Collagen in the Symptomatic Treatment of Rotator Cuff Tendinopathy: An Observational Multicentric Prospective Study on 71 Patients. JSES Int. 2023, 7, 799–804. [Google Scholar] [CrossRef] [PubMed]
- Latini, L.; Porta, F.; Maccarrone, V.; Zompa, D.; Cipolletta, E.; Mirza, R.M.; Filippucci, E.; Vreju, F.A. Clinical Efficacy and Safety of Ultrasound-Guided Injection with Low-Molecular-Weight Peptides from Hydrolyzed Collagen in Patients with Partial Supraspinatus Tendon Tears: A Pilot Study. Life 2024, 14, 1351. [Google Scholar] [CrossRef] [PubMed]
- Mezian, K.; Ricci, V.; Güvener, O.; Jačisko, J.; Novotný, T.; Kara, M.; Chang, K.-V.; Naňka, O.; Pirri, C.; Stecco, C.; et al. EURO-MUSCULUS/USPRM Dynamic Ultrasound Protocols for (Adult) Hip. Am. J. Phys. Med. Rehabil. 2022, 101, e162–e168. [Google Scholar] [CrossRef] [PubMed]
- Mu, A.; Peng, P.; Agur, A. Landmark-Guided and Ultrasound-Guided Approaches for Trochanteric Bursa Injection: A Cadaveric Study. Anesth. Analg. 2017, 124, 966–971. [Google Scholar] [CrossRef]
- Thorborg, K.; Petersen, J.; Magnusson, S.P.; Hölmich, P. Clinical Assessment of Hip Strength Using a Hand-Held Dynamometer Is Reliable. Scand. J. Med. Sci. Sports 2010, 20, 493–501. [Google Scholar] [CrossRef] [PubMed]
- Karpinski, M.R.; Piggott, H. Greater Trochanteric Pain Syndrome. A Report of 15 Cases. J. Bone Jt. Surg. Br. 1985, 67, 762–763. [Google Scholar] [CrossRef] [PubMed]
- Rosário, D.A.V.; Faleiro, T.B.; Franco, B.A.F.M.; Daltro, G.D.C.; Marchetto, R. Comparison Between Concentrated Bone Marrow Aspirate and Corticoid in Gluteal Tendinopathy. Acta Ortop. Bras. 2021, 29, 26–29. [Google Scholar] [CrossRef] [PubMed]
- Bucher, T.A.; Ebert, J.R.; Smith, A.; Breidahl, W.; Fallon, M.; Wang, T.; Zheng, M.-H.; Janes, G.C. Autologous Tenocyte Injection for the Treatment of Chronic Recalcitrant Gluteal Tendinopathy: A Prospective Pilot Study. Orthop. J. Sports Med. 2017, 5, 2325967116688866. [Google Scholar] [CrossRef] [PubMed]
- Gazendam, A.; Ekhtiari, S.; Axelrod, D.; Gouveia, K.; Gyemi, L.; Ayeni, O.; Bhandari, M. Comparative Efficacy of Nonoperative Treatments for Greater Trochanteric Pain Syndrome: A Systematic Review and Network Meta-Analysis of Randomized Controlled Trials. Clin. J. Sport. Med. 2022, 32, 427–432. [Google Scholar] [CrossRef] [PubMed]
- He, Y.; Lin, Y.; He, X.; Li, C.; Lu, Q.; He, J. The Conservative Management for Improving Visual Analog Scale (VAS) Pain Scoring in Greater Trochanteric Pain Syndrome: A Bayesian Analysis. BMC Musculoskelet. Disord. 2023, 24, 423. [Google Scholar] [CrossRef] [PubMed]
- Heaver, C.; Pinches, M.; Kuiper, J.H.; Thomas, G.; Lewthwaite, S.; Burston, B.J.; Banerjee, R.D. Greater Trochanteric Pain Syndrome: Focused Shockwave Therapy versus an Ultrasound Guided Injection: A Randomised Control Trial. Hip Int. 2023, 33, 490–499. [Google Scholar] [CrossRef] [PubMed]
- Ramon, S.; Russo, S.; Santoboni, F.; Lucenteforte, G.; Di Luise, C.; de Unzurrunzaga, R.; Vetrano, M.; Albano, M.; Baldini, R.; Cugat, R.; et al. Focused Shockwave Treatment for Greater Trochanteric Pain Syndrome: A Multicenter, Randomized, Controlled Clinical Trial. J. Bone Jt. Surg. Am. 2020, 102, 1305–1311. [Google Scholar] [CrossRef] [PubMed]
- Carlisi, E.; Cecini, M.; Di Natali, G.; Manzoni, F.; Tinelli, C.; Lisi, C. Focused Extracorporeal Shock Wave Therapy for Greater Trochanteric Pain Syndrome with Gluteal Tendinopathy: A Randomized Controlled Trial. Clin. Rehabil. 2019, 33, 670–680. [Google Scholar] [CrossRef] [PubMed]
- Poenaru, D.; Sandulescu, M.I.; Cinteza, D. Biological Effects of Extracorporeal Shockwave Therapy in Tendons: A Systematic Review. Biomed. Rep. 2022, 18, 15. [Google Scholar] [CrossRef] [PubMed]
- Damjanov, N.; Micu, M.C. Ultrasound Guided Injection with Collagen-Based Medical Device: Real-Life Evaluation of Efficacy and Safety in Hip Osteoarthritis. Med. Ultrason. 2023, 1, 26. [Google Scholar] [CrossRef] [PubMed]
- Kim, M.; Choi, Y.S.; You, M.-W.; Kim, J.S.; Young, K.W. Sonoelastography in the Evaluation of Plantar Fasciitis Treatment: 3-Month Follow-Up After Collagen Injection. Ultrasound Q. 2016, 32, 327–332. [Google Scholar] [CrossRef] [PubMed]
- De Luca, P.; Colombini, A.; Carimati, G.; Beggio, M.; de Girolamo, L.; Volpi, P. Intra-Articular Injection of Hydrolyzed Collagen to Treat Symptoms of Knee Osteoarthritis. A Functional In Vitro Investigation and a Pilot Retrospective Clinical Study. J. Clin. Med. 2019, 8, 975. [Google Scholar] [CrossRef] [PubMed]
- Nitecka-Buchta, A.; Walczynska-Dragon, K.; Batko-Kapustecka, J.; Wieckiewicz, M. Comparison between Collagen and Lidocaine Intramuscular Injections in Terms of Their Efficiency in Decreasing Myofascial Pain within Masseter Muscles: A Randomized, Single-Blind Controlled Trial. Pain. Res. Manag. 2018, 2018, 8261090. [Google Scholar] [CrossRef] [PubMed]
- Ricci, V.; Cocco, G.; Mezian, K.; Chang, K.-V.; Naňka, O.; Tamborrini, G.; Kara, M.; Özçakar, L. Anatomy and Sonographic Examination for Lateral Epicondylitis: EURO-MUSCULUS/USPRM Approach. Am. J. Phys. Med. Rehabil. 2023, 102, 300–307. [Google Scholar] [CrossRef] [PubMed]







| NRS SUMMARY STATISTICS TABLE | ||
|---|---|---|
| Evaluation Times | Mean | SD |
| NRS T0 | 6.154 | 1.3480 |
| NRS T6w/FU | 2.711 | 2.4250 |
| NRS T10w/FU | 2.860 | 2.6239 |
| NRS T24w/FU | 2.643 | 2.8334 |
| NRS PALP SUMMARY STATISTICS TABLE | ||
|---|---|---|
| Evaluation Times | Mean | SD |
| NRS PALP T0 | 7.277 | 1.8624 |
| NRS PALP T6w/FU | 4.633 | 2.4895 |
| NRS PALP T10w/FU | 4.337 | 2.6384 |
| NRS PALP T24w/FU | 4.250 | 2.8929 |
| mHHS SUMMARY STATISTICS TABLE | ||
|---|---|---|
| Evaluation Times | Mean | SD |
| mHHS T0 | 57.085 | 13.780 |
| mHHS T6w/FU | 71.222 | 11.9162 |
| mHHS T10w/FU | 72.535 | 12.2637 |
| mHHS T24w/FU | 73.190 | 12.7418 |
| ABDUCTION STRENGHT SUMMARY STATISTICS TABLE | ||
|---|---|---|
| Evaluation Times | Mean | SD |
| STRENGHT T0 | 5.538 | 2.8413 |
| STRENGHT T6w/FU | 6.045 | 2.4797 |
| STRENGHT T10w/FU | 6.676 | 3.0115 |
| STRENGHT T24w/FU | 6.851 | 2.9481 |
| MRI DATA TABLE | |||
|---|---|---|---|
| 40 Subjects Evaluated | Improved | Unchanged | p Value |
| MRI T24w/FU vs. T0 | 28 subjects (70%) | 12 subjects (30%) | p < 0.0001 |
Disclaimer/Publisher’s Note: The statements, opinions and data contained in all publications are solely those of the individual author(s) and contributor(s) and not of MDPI and/or the editor(s). MDPI and/or the editor(s) disclaim responsibility for any injury to people or property resulting from any ideas, methods, instructions or products referred to in the content. |
© 2025 by the authors. Licensee MDPI, Basel, Switzerland. This article is an open access article distributed under the terms and conditions of the Creative Commons Attribution (CC BY) license (https://creativecommons.org/licenses/by/4.0/).
Share and Cite
Randelli, F.; Fioruzzi, A.; Mazzoleni, M.G.; Radaelli, A.; Rahali, L.; Verga, L.; Menon, A. Efficacy of Ultrasound-Guided Injections of Type I Collagen-Based Medical Device for Greater Trochanteric Pain Syndrome: A Pilot Study. Life 2025, 15, 366. https://doi.org/10.3390/life15030366
Randelli F, Fioruzzi A, Mazzoleni MG, Radaelli A, Rahali L, Verga L, Menon A. Efficacy of Ultrasound-Guided Injections of Type I Collagen-Based Medical Device for Greater Trochanteric Pain Syndrome: A Pilot Study. Life. 2025; 15(3):366. https://doi.org/10.3390/life15030366
Chicago/Turabian StyleRandelli, Filippo, Alberto Fioruzzi, Manuel Giovanni Mazzoleni, Alessandra Radaelli, Leila Rahali, Lucia Verga, and Alessandra Menon. 2025. "Efficacy of Ultrasound-Guided Injections of Type I Collagen-Based Medical Device for Greater Trochanteric Pain Syndrome: A Pilot Study" Life 15, no. 3: 366. https://doi.org/10.3390/life15030366
APA StyleRandelli, F., Fioruzzi, A., Mazzoleni, M. G., Radaelli, A., Rahali, L., Verga, L., & Menon, A. (2025). Efficacy of Ultrasound-Guided Injections of Type I Collagen-Based Medical Device for Greater Trochanteric Pain Syndrome: A Pilot Study. Life, 15(3), 366. https://doi.org/10.3390/life15030366

