Morin Prevents Non-Alcoholic Hepatic Steatosis in Obese Rats by Targeting the Peroxisome Proliferator-Activated Receptor Alpha (PPARα)
Abstract
1. Introduction
2. Materials and Methods
2.1. Animals
2.2. Induction of Obesity and NAFLD
2.3. Preparation of Morin
2.4. Experimental Design
2.5. Measurement of Systolic Blood Pressure
2.6. Oral Glucose Tolerance Test (OGTT)
2.7. Collection of Tissues and Blood Sampling
2.8. Biochemical Measurements in the Serum
2.9. Biochemical Analysis in the Liver Homogenates
2.10. Real-Time RT-qPCR
2.11. Histology Study
2.12. Statistical Analysis
3. Results
3.1. Changes in Food and Calorie Intake and Body Weight
3.2. Changes in Fat Pads
3.3. Changes in Parameters of Glucose after OGTT
3.4. Changes in Fasting Glucose, Insulin, and HOMA-IR
3.5. Changes in SPB and Serum Markers
3.6. Changes in Hepatic Oxidant/Antioxidant Markers
3.7. Changes in the Expression of FA Oxidation-Related Genes
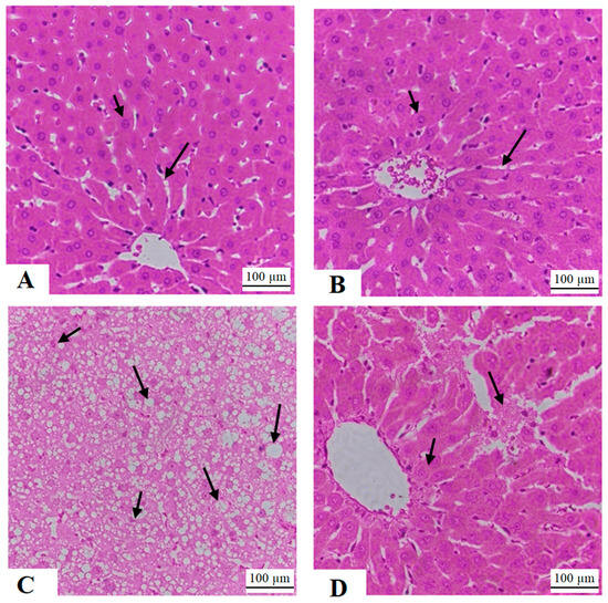
3.8. Histological Findings
4. Discussion
5. Conclusions
Funding
Institutional Review Board Statement
Informed Consent Statement
Data Availability Statement
Acknowledgments
Conflicts of Interest
References
- World Health Organization. Obesity and Overweight. 2020. Available online: https://www.who.int/news-room/fact-sheets/detail/obesity-and-overweight (accessed on 21 March 2024).
- Blüher, M. Obesity: Global epidemiology and pathogenesis. Nat. Rev. Endocrinol. 2019, 15, 288–298. [Google Scholar] [CrossRef] [PubMed]
- Khanna, D.; Khanna, S.; Khanna, P.; Kahar, P.; Patel, B.M. Obesity: A Chronic Low-Grade Inflammation and Its Markers. Cureus 2022, 14, e22711. [Google Scholar] [CrossRef] [PubMed] [PubMed Central]
- Shariq, O.A.; McKenzie, T.J. Obesity-related hypertension: A review of pathophysiology, management, and the role of metabolic surgery. Gland. Surg. 2020, 9, 80–93. [Google Scholar] [CrossRef] [PubMed] [PubMed Central]
- Poirier, P.; Giles, T.D.; Bray, G.A.; Hong, Y.; Stern, J.S.; Pi-Sunyer, F.X.; Eckel, R.H. Obesity and cardiovascular disease: Pathophysiology, evaluation, and effect of weight loss: An update of the 1997 American Heart Association Scientific Statement on Obesity and Heart Disease from the Obesity Committee of the Council on Nutrition, Physical Activity, and Metabolism. Circulation 2006, 113, 898–918. [Google Scholar] [PubMed]
- Hruby, A.; Hu, F.B. Epidemiology of obesity: A comprehensive overview. Pharm. Econ. 2015, 33, 673–689. [Google Scholar] [CrossRef] [PubMed]
- Tremblay, A.; Després, J.P.; Bouchard, C. The effects of dietary fat on long-term health. Ann. Nutr. Metab. 2007, 51, 16–26. [Google Scholar]
- Petito, G.; Cioffi, F.; Magnacca, N.; de Lange, P.; Senese, R.; Lanni, A. Adipose Tissue Remodeling in Obesity: An Overview of the Actions of Thyroid Hormones and Their Derivatives. Pharmaceuticals 2023, 16, 572. [Google Scholar] [CrossRef] [PubMed]
- Dahlquist, D.T.; Näslund, E. Fat metabolism in the liver in health and disease. In Liver Pathophysiology; Springer: Cham, Switzerland, 2019; pp. 97–110. [Google Scholar]
- Samuel, V.T.; Shulman, G.I. Nonalcoholic fatty liver disease as a nexus of metabolic and hepatic diseases. Cell Metab. 2018, 27, 22–41. [Google Scholar] [CrossRef]
- Díaz-Rúa, R.; Palou, A.; Oliver, P. Cyclic AMP pathway and obesity. In Obesity; Springer: Cham, Switzerland, 2018; pp. 195–209. [Google Scholar]
- Zhou, D.; Li, Z. Potential interplay between the gut microbiota and nonalcoholic fatty liver disease. J. Nutr. Biochem. 2020, 78, 108324. [Google Scholar]
- Hosseinzadeh-Attar, M.J.; Ramezani, A.; Norouzy, A. The relationship between nonalcoholic fatty liver disease and metabolic syndrome. Gastroenterol. Hepatol. Bed Bench 2020, 13 (Suppl. 1), S64. [Google Scholar]
- Jumpertz, R.; Le, D.S.; Turnbaugh, P.J.; Trinidad, C.; Bogardus, C.; Gordon, J.I.; Krakoff, J. Energy-balance studies reveal associations between gut microbes, caloric load, and nutrient absorption in humans. Am. J. Clin. Nutr. 2011, 94, 58–65. [Google Scholar] [CrossRef] [PubMed]
- Smith, A.; Johnson, B.; Williams, C. Antioxidant properties of morin. J. Free Radic. Biol. 2018, 25, 102–115. [Google Scholar]
- Johnson, D.; Brown, R. Morin: A comprehensive review of its pharmacological properties. J. Pharmacol. 2019, 12, 220–235. [Google Scholar]
- Brown, R.; Garcia, M.; Martinez, L. Hypoglycemic and hypolipidemic effects of morin in animal models. J. Exp. Med. 2020, 35, 220–235. [Google Scholar]
- Rodriguez, S.; Martinez, L. Morin and insulin sensitivity: Current insights and future directions. J. Insul. Resist. 2020, 21, 120–135. [Google Scholar]
- Lopez, P. Morin and lipid metabolism: Implications for metabolic disorders. J. Lipid Res. 2021, 18, 65–80. [Google Scholar]
- Garcia, M.; Rodriguez, S.; Lopez, P. Mechanisms of action of morin on glucose and lipid metabolism. J. Pharmacol. Exp. Ther. 2019, 28, 450–465. [Google Scholar]
- Martinez, L.; Lopez, P. Morin as a potential therapeutic agent for diabetes: A review. J. Diabetes Res. 2022, 15, 78–85. [Google Scholar]
- Taylor, K.; Anderson, J.; Clark, R. Clinical trial of morin supplementation in humans. J. Clin. Nutr. 2021, 15, 78–85. [Google Scholar]
- Anderson, J.; Clark, R. Morin and its potential therapeutic applications in humans: A systematic review. J. Clin. Med. 2022, 8, 120–135. [Google Scholar]
- White, S.; Thompson, M. Morin supplementation and oxidative stress in clinical populations: A meta-analysis. J. Oxidative Med. Cell. Longev. 2023, 12, 220–235. [Google Scholar]
- Jones, D.; Miller, E.; Wilson, F. Anti-inflammatory effects of morin in vitro. J. Inflamm. Res. 2019, 12, 45–52. [Google Scholar]
- López-Tenorio, I.I.; Domínguez-López, A.; Miliar-García, Á. Modulation of the mRNA of the Nlrp3 inflammasome by Morin and PUFAs in an obesity model induced by a high-fat diet. Food Res. Int. 2020, 137, 109706. [Google Scholar] [CrossRef] [PubMed]
- Vernarelli, J.A.; Mitchell, D.C.; Rolls, B.J.; Hartman, T.J. Methods for calculating dietary energy density in a nationally representative sample. Procedia Food Sci. 2013, 2, 68–74. [Google Scholar] [CrossRef]
- Ngakou Mukam, J.; Mvongo, C.; Nkoubat, S.; Fankem, G.O.; Mfopa, A.; Noubissi, P.A.; Tagne, M.A.F.; Kamgang, R.; Oyono, J.-L.E. Early-induced diabetic obese rat MACAPOS 2. BMC Endocr. Disord. 2023, 23, 64. [Google Scholar] [CrossRef] [PubMed]
- Vanitha, P.; Uma, C.; Suganya, N.; Bhakkiyalakshmi, E.; Suriyanarayanan, S.; Gunasekaran, P.; Sivasubramanian, S.; Ramkumar, K. Modulatory effects of morin on hyperglycemia by attenuating the hepatic key enzymes of carbohydrate metabolism and β-cell function in streptozotocin-induced diabetic rats. Environ. Toxicol. Pharmacol. 2014, 37, 326–335. [Google Scholar] [CrossRef] [PubMed]
- Marques, C.; Meireles, M.; Norberto, S.; Leite, J.; Freitas, J.; Pestana, D.; Faria, A.; Calhau, C. High-fat diet-induced obesity Rat model: A comparison between Wistar and Sprague-Dawley Rat. Adipocyte 2015, 5, 11–21. [Google Scholar] [CrossRef] [PubMed]
- Ghezzi, A.C.; Cambri, L.T.; Botezelli, J.D.; Ribeiro, C.; Dalia, R.A.; de Mello, M.A.R. Metabolic syndrome markers in Wistar rats of different ages. Diabetol. Metab. Syndr. 2012, 4, 16. [Google Scholar] [CrossRef] [PubMed]
- Yang, S.J.; Choi, J.M.; Chae, S.W.; Kim, W.J.; Park, S.E.; Rhee, E.J.; Lee, W.Y.; Oh, K.W.; Park, S.W.; Kim, S.W. Activation of peroxisome proliferator-activated receptor gamma by rosiglitazone increases SIRT6 expression and ameliorates hepatic steatosis in rats. PLoS ONE 2011, 6, e17057. [Google Scholar] [CrossRef]
- Al Jadani, J.M.; Albadr, N.A.; Alshammari, G.M.; Almasri, S.A.; Alfayez, F.F.; Yahya, M.A. Esculeogenin A, a Glycan from Tomato, Alleviates Nonalcoholic Fatty Liver Disease in Rats through Hypolipidemic, Antioxidant, and Anti-Inflammatory Effects. Nutrients 2023, 15, 4755. [Google Scholar] [CrossRef]
- Livak, K.J.; Schmittgen, T.D. Analysis of relative gene expression data using real-time quantitative PCR and the 2(-Delta Delta C(T)) Method. Methods 2001, 25, 402–408. [Google Scholar] [CrossRef] [PubMed]
- Smith, J.; Johnson, R.; Williams, L. A comprehensive protocol for histological staining of liver tissue with hematoxylin and eosin. J. Histotechnol. 2023, 20, 125–135. [Google Scholar]
- de Moura EDias, M.; Dos Reis, S.A.; da Conceição, L.L.; Sediyama, C.M.N.O.; Pereira, S.S.; de Oliveira, L.L.; Gouveia Peluzio, M.D.C.; Martinez, J.A.; Milagro, F.I. Diet-induced obesity in animal models: Points to consider and influence on metabolic markers. Diabetol. Metab. Syndr. 2012, 3, 32. [Google Scholar] [CrossRef]
- Krishna, K.B.; Stefanovic-Racic, M.; Dedousis, N.; Sipula, I.; O’Doherty, R.M. Similar degrees of obesity induced by diet or aging cause strikingly different immunologic and metabolic outcomes. Physiol. Rep. 2016, 4, e12708. [Google Scholar] [CrossRef]
- Miranda, J.; Eseberri, I.; Lasa, A.; Portillo, M.P. Lipid metabolism in adipose tissue and liver from diet-induced obese rats: A comparison between Wistar and Sprague-Dawley strains. J. Physiol. Biochem. 2018, 74, 655–666. [Google Scholar] [CrossRef]
- Paoli, P.; Cirri, P.; Caselli, A.; Ranaldi, F.; Bruschi, G.; Santi, A.; Camici, G. The insulin-mimetic effect of morin: A promising molecule in diabetes treatment. Biochim. Biophys. Acta-Gen. Subj. 2013, 1830, 3102–3111. [Google Scholar]
- AlSharari, S.D.; Al Rejaie, S.S.; Abuohashish, H.M.; Aleisa, A.M.; Parmar, M.Y.; Ahmed, M.M. Ameliorative potential of morin in streptozotocin-induced neuropathic pain in rats. Trop. J. Pharm. Res. 2014, 13, 1429–1436. [Google Scholar] [CrossRef]
- Madkhali, H.A. Morin attenuates high-fat diet induced-obesity related vascular endothelial dysfunction in Wistar albino rats. Saudi Pharm. J. SPJ Off. Publ. Saudi Pharm. Soc. 2020, 28, 300–307. [Google Scholar] [CrossRef]
- Venkateish, V.P.; Rajamanikandan, S.; Perumal, M.K. Morin inhibits the activity of pancreatic lipase and adipogenesis. Eur. J. Pharmacol. 2024, 977, 176705. [Google Scholar]
- Gu, M.; Zhang, Y.; Liu, C.; Wang, D.; Feng, L.; Fan, S.; Yang, B.; Tong, Q.; Ji, G.; Huang, C. Morin, a novel liver X receptor α/β dual antagonist, has potent therapeutic efficacy for nonalcoholic fatty liver diseases. Br. J. Pharmacol. 2017, 174, 3032–3044. [Google Scholar] [CrossRef]
- Bilal, M.; Nawaz, A.; Kado, T.; Aslam, M.R.; Igarashi, Y.; Nishimura, A.; Watanabe, Y.; Kuwano, T.; Liu, J.; Miwa, H. Fate of adipocyte progenitors during adipogenesis in mice fed a high-fat diet. Mol. Metab. 2021, 54, 101328. [Google Scholar] [CrossRef]
- Wu, H.; Ballantyne, C.M. Metabolic inflammation and insulin resistance in obesity. Circ. Res. 2020, 126, 1549–1564. [Google Scholar] [CrossRef] [PubMed]
- Skurk, T.; Alberti-Huber, C.; Herder, C.; Hauner, H. Relationship between adipocyte size and adipokine expression and secretion. J. Clin. Endocrinol. Metab. 2007, 92, 1023–1033. [Google Scholar] [CrossRef]
- Buzzetti, E.; Pinzani, M.; Tsochatzis, E.A. The multiple-hit pathogenesis of nonalcoholic fatty liver disease (NAFLD). Metab. Clin. Exp. 2016, 65, 1038–1048. [Google Scholar] [CrossRef]
- Delli Bovi, A.P.; Marciano, F.; Mandato, C.; Siano, M.A.; Savoia, M.; Vajro, P. Oxidative stress in non-alcoholic fatty liver disease. An updated mini review. Front. Med. 2021, 8, 595371. [Google Scholar] [CrossRef] [PubMed]
- Hong, T.; Chen, Y.; Li, X.; Lu, Y. The role mechanism of oxidative stress nuclear receptors in the development of, N.A.F.L.D. Oxid. Med. Cell. Longev. 2021, 2021, 6889533. [Google Scholar]
- Yong, H.J.; Ahn, J.J. Antioxidant and skin protection effect of Morin upon UVA exposure. Biomed. Dermatol. 2018, 2, 12. [Google Scholar] [CrossRef]
- Zhang, R.; Kang, K.A.; Piao, M.J.; Maeng, Y.H.; Lee, K.H.; Chang, W.Y.; You, H.J.; Kim, J.S.; Kang, S.S.; Hyun, J.W. Cellular protection of morin against the oxidative stress induced by hydrogen peroxide. Chem. Biol. Interact. 2009, 177, 21–27. [Google Scholar] [CrossRef] [PubMed]
- Buechler, C.; Wanninger, J.; Neumeier, M. Adiponectin, a key adipokine in obesity related liver diseases. World J. Gastroenterol. 2011, 17, 2801. [Google Scholar]
- Araki, M.; Nakagawa, Y.; Oishi, A.; Han, S.-I.; Wang, Y.; Kumagai, K.; Ohno, H.; Mizunoe, Y.; Iwasaki, H.; Sekiya, M. The peroxisome proliferator-activated receptor α (PPARα) agonist pemafibrate protects against diet-induced obesity in mice. Int. J. Mol. Sci. 2018, 19, 2148. [Google Scholar] [CrossRef]
- Goto, T.; Lee, J.-Y.; Teraminami, A.; Kim, Y.-I.; Hirai, S.; Uemura, T.; Inoue, H.; Takahashi, N.; Kawada, T. Activation of peroxisome proliferator-activated receptor-alpha stimulates both differentiation and fatty acid oxidation in adipocytes. J. Lipid. Res. 2011, 52, 873–884. [Google Scholar] [CrossRef]
- Patel, R.; Bhatt, S.S.; Joshi, S.S.; Parmar, V.B. Evaluation of acute and subacute toxicity of Morin. Int. J. Pharm. Pharm. Sci. 2012, 4, 503–507. [Google Scholar]
- Kapoor, A.; Sanyal, A.; Mandal, B.R.; Sengupta, M. Evaluation of the antioxidant activity and cytotoxicity of Morin. Asian. J. Pharm. Clin. Res. 2014, 7, 115–119. [Google Scholar]
- Yang, L.; Wu, X.; Liu, Z.; Li, Y.; Gao, J.; Miao, H. Morin ameliorates cognitive impairment by inhibiting inflammation in a mouse model of Alzheimer’s disease. Mol. Neurobiol. 2017, 54, 7770–7778. [Google Scholar]







| Normal Diet (D12450K) | HFD Diet (D12450K) | |||
|---|---|---|---|---|
| gm% | kcal% | gm% | kcal% | |
| Protein | 19.2 | 20 | 24 | 20 |
| Carbohydrates | 67.3 | 70 | 41 | 35 |
| Fat | 4.3 | 10 | 24 | 45 |
| Toral energy (kcal/g) | 3.85 | 4.73 | ||
| Ingredients | ||||
| Casein, 30 mesh | 200 | 800 | 200 | 800 |
| L-Cysteine | 3 | 12 | 3 | 12 |
| Corn starch | 550 | 2200 | 72.8 | 291 |
| Maltodextrin 10 | 150 | 600 | 100 | 400 |
| Sucrose | 0 | 0 | 172.8 | 691 |
| Cellulose, BW200 | 50 | 0 | 50 | 0 |
| Soybean Oil | 25 | 225 | 25 | 225 |
| Lard * | 20 | 180 | 177.5 | 1598 |
| Mineral Mix S10026 | 10 | 0 | 10 | 0 |
| DiCalcium Phosphate | 13 | 0 | 13 | 0 |
| Calcium Carbonate | 5.5 | 0 | 5.5 | 0 |
| Potassium Citrate, 1 H2O | 16.5 | 0 | 16.5 | 0 |
| Vitamin Mix V10001 | 10 | 40 | 10 | 40 |
| Choline Bitartrate | 2 | 0 | 2 | 0 |
| FD&C Red Dye #40 | 0.025 | 0 | 0.025 | 0 |
| FD&C Blue Dye #1 | 0.025 | 0 | 0.025 | 0 |
| Total | 1055.05 | 4057 | 858.5 | 4057 |
| Parameter | Normal | Morin | HFD | HFD + Morin |
|---|---|---|---|---|
| SBP (mmHg) | 102.4 ± 11.5 | 98.7 ± 8.6 | 176 ± 14.8 ab | 125 ± 11.5 bc |
| TGs (mg/dL) | 84.4 ± 7.9 | 73.4 ± 5.1 a | 188 ± 15.6 ab | 98.4 ± 8.6 bc |
| CHOL (mg/dL) | 74.5 ± 8.8 | 64.3 ± 5.7 a | 154 ± 14.6 ab | 88.3 ± 9.4 bc |
| LDL-c (mg/dL) | 39.8 ± 5.6 | 31.2 ± 4.1 a | 103 ± 13.2 ab | 63.4 ± 6.1 abc |
| HDL-c (mg/dL) | 18.7 ± 2.5 | 26.7 ± 5.4 a | 7.8 ± 1.4 ab | 16.5 ± 3.1 bc |
| FFAs (µmol/L) | 446 ± 39.5 | 378 ± 29.3 a | 943 ± 88.5 ab | 559± 3.1 abc |
| Adiponectin (µg/mL) | 38.6 ± 4.1 | 41.6 ± 4.7 | 19.5 ± 3.2 ab | 34.6. ± 5.3 abc |
| Leptin (ng/mL) | 13.4 ± 2.5 | 14.1 ± 2.3 | 32.2 ± 3.8 ab | 18.5 ± 4.1 bc |
| TNF-α (pg/mL) | 123 ± 11.7 | 119 ± 14.7 | 298 ± 31.2 ab | 178 ± 16.9 bc |
| IL-6 (pg/mL) | 15.6 ± 1.8 | 16.7 ± 2.8 | 48.3 ± 5.6 ab | 22.8 ± 3.6 bc |
Disclaimer/Publisher’s Note: The statements, opinions and data contained in all publications are solely those of the individual author(s) and contributor(s) and not of MDPI and/or the editor(s). MDPI and/or the editor(s) disclaim responsibility for any injury to people or property resulting from any ideas, methods, instructions or products referred to in the content. |
© 2024 by the author. Licensee MDPI, Basel, Switzerland. This article is an open access article distributed under the terms and conditions of the Creative Commons Attribution (CC BY) license (https://creativecommons.org/licenses/by/4.0/).
Share and Cite
Al-Harbi, L.N. Morin Prevents Non-Alcoholic Hepatic Steatosis in Obese Rats by Targeting the Peroxisome Proliferator-Activated Receptor Alpha (PPARα). Life 2024, 14, 945. https://doi.org/10.3390/life14080945
Al-Harbi LN. Morin Prevents Non-Alcoholic Hepatic Steatosis in Obese Rats by Targeting the Peroxisome Proliferator-Activated Receptor Alpha (PPARα). Life. 2024; 14(8):945. https://doi.org/10.3390/life14080945
Chicago/Turabian StyleAl-Harbi, Laila Naif. 2024. "Morin Prevents Non-Alcoholic Hepatic Steatosis in Obese Rats by Targeting the Peroxisome Proliferator-Activated Receptor Alpha (PPARα)" Life 14, no. 8: 945. https://doi.org/10.3390/life14080945
APA StyleAl-Harbi, L. N. (2024). Morin Prevents Non-Alcoholic Hepatic Steatosis in Obese Rats by Targeting the Peroxisome Proliferator-Activated Receptor Alpha (PPARα). Life, 14(8), 945. https://doi.org/10.3390/life14080945

