Switching to an Intravitreal Dexamethasone Implant after Intravitreal Anti-VEGF Therapy for Diabetic Macular Edema: A Review
Abstract
1. Introduction
2. Definition of Persistent and Refractory DME
3. Main Morphological OCT Biomarkers in DME
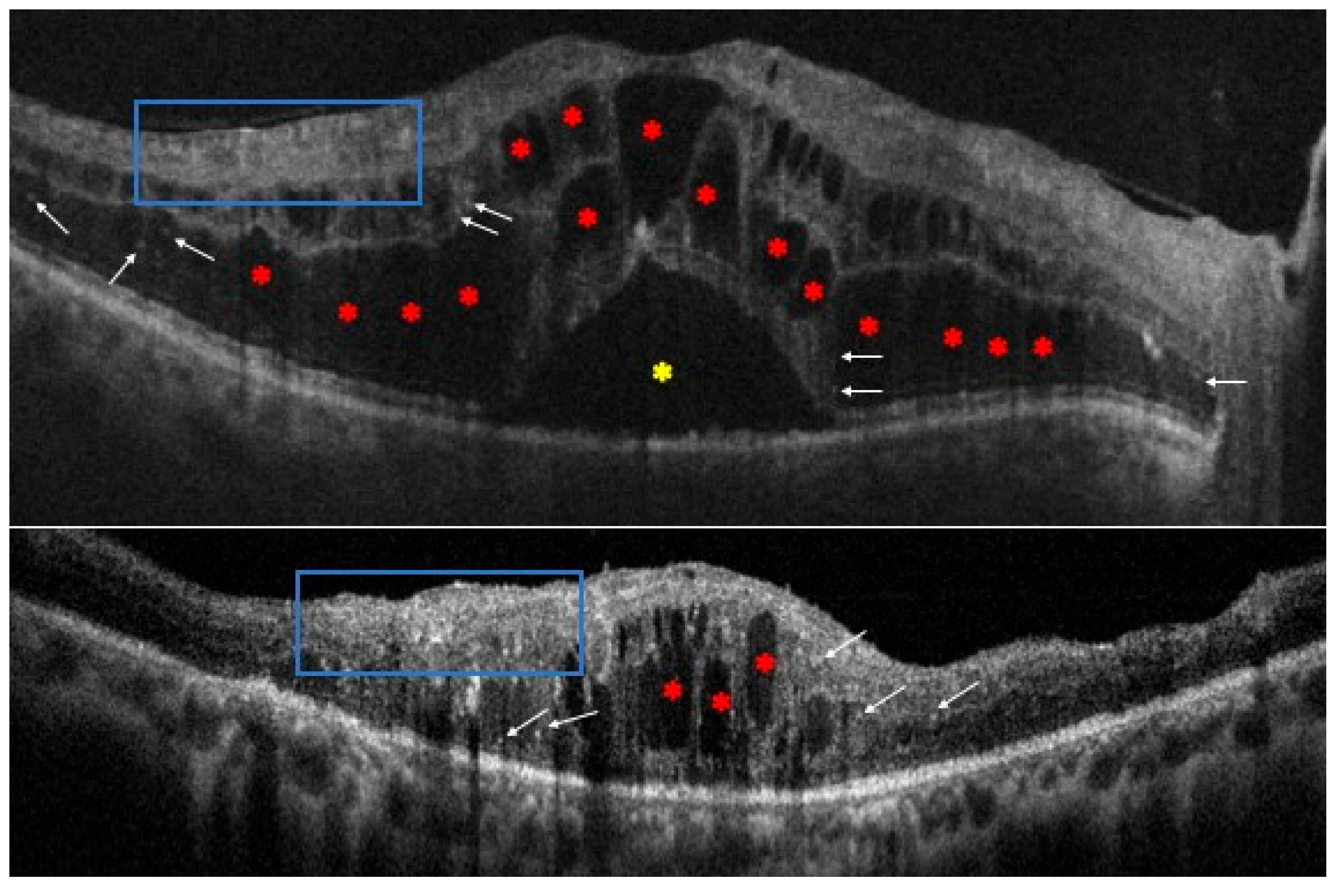
3.1. Intraretinal Cysts
3.2. Central Subfield Thickness (CST)
3.3. Disorganization of the Retinal Inner Layers (DRIL)
3.4. Hyperreflective Foci (HRFs)
3.5. Subretinal Fluid (SRF)
4. Switching from Anti-VEGF Therapy to DEX Implant in DME
5. Discussion
6. Conclusions
Author Contributions
Funding
Institutional Review Board Statement
Informed Consent Statement
Data Availability Statement
Conflicts of Interest
References
- American Diabetes Association. 2. Classification and Diagnosis of Diabetes. Diabetes Care 2016, 40, S11–S24. [Google Scholar]
- Holekamp, N.M. Overview of diabetic macular edema. Am. J. Manag. Care 2016, 22, s284–s291. [Google Scholar] [PubMed]
- Boyer, D.S.; Hopkins, J.J.; Sorof, J.; Ehrlich, J.S. Anti-vascular endothelial growth factor therapy for diabetic macular edema. Ther. Adv. Endocrinol. Metab. 2013, 4, 151–169. [Google Scholar] [CrossRef] [PubMed]
- Vinores, S.A.; Youssri, A.I.; Luna, J.D.; Chen, Y.S.; Bhargave, S.; Vinores, M.A.; Schoenfeld, C.L.; Peng, B.; Chan, C.C.; LaRochelle, W.; et al. Upregulation of vascular endothelial growth factor in ischemic and non-ischemic human and experimental retinal disease. Histol. Histopathol. 1997, 12, 99–109. [Google Scholar] [PubMed]
- Treins, C.; Giorgetti-Peraldi, S.; Murdaca, J.; Van Obberghen, E. Regulation of Vascular Endothelial Growth Factor Expression by Advanced Glycation End Products. J. Biol. Chem. 2001, 276, 43836–43841. [Google Scholar] [CrossRef] [PubMed]
- Ascaso, F.J.; Huerva, V.; Grzybowski, A. The Role of Inflammation in the Pathogenesis of Macular Edema Secondary to Retinal Vascular Diseases. Mediat. Inflamm. 2014, 2014, 432685. [Google Scholar] [CrossRef] [PubMed]
- Funk, M.; Schmidinger, G.; Maar, N.; Bolz, M.; Benesch, T.; Zlabinger, G.; Schmidt-Erfurth, U. Angiogenic and Inflammatory Markers in the Intraocular Fluid of Eyes with Diabetic Macular Edema and Influence of Therapy with Bevacizumab. Retina 2010, 30, 1412–1419. [Google Scholar] [CrossRef] [PubMed]
- Russo, A.; Costagliola, C.; Delcassi, L.; Parmeggiani, F.; Romano, M.R.; Dell’Omo, R.; Semeraro, F. Topical Nonsteroidal Anti-Inflammatory Drugs for Macular Edema. Mediat. Inflamm. 2013, 2013, 476525. [Google Scholar] [CrossRef] [PubMed]
- Noma, H.; Mimura, T.; Yasuda, K.; Shimura, M. Role of Inflammation in Diabetic Macular Edema. Ophthalmologica 2014, 232, 127–135. [Google Scholar] [CrossRef]
- Heier, J.S.; Korobelnik, J.F.; Brown, D.M.; Schmidt-Erfurth, U.; Do, D.V.; Midena, E.; Boyer, D.S.; Terasaki, H.; Kaiser, P.K.; Marcus, D.M.; et al. Intravitreal Aflibercept for Diabetic Macular Edema: 148-Week Results from the VISTA and VIVID Studies. Ophthalmology 2016, 123, 2376–2385. [Google Scholar] [CrossRef]
- Reddy, R.K.; Pieramici, D.J.; Gune, S.; Ghanekar, A.; Lu, N.; Quezada-Ruiz, C.; Baumal, C.R. Efficacy of Ranibizumab in Eyes with Diabetic Macular Edema and Macular Nonperfusion in RIDE and RISE. Ophthalmology 2018, 125, 1568–1574. [Google Scholar] [CrossRef] [PubMed]
- Bressler, N.M.; Beaulieu, W.T.; Glassman, A.R.; Blinder, K.J.; Bressler, S.B.; Jampol, L.M.; Melia, M.; Wells, J.A., III. Diabetic Retinopathy Clinical Research Network. Persistent Macular Thickening Following Intravitreous Aflibercept, Bevacizumab, or Ranibizumab for Central-Involved Diabetic Macular Edema with Vision Impairment: A Secondary Analysis of a Randomized Clinical Trial. JAMA Ophthalmol. 2018, 136, 257–269. [Google Scholar] [PubMed]
- Abraham, J.R.; Wykoff, C.C.; Arepalli, S.; Lunasco, L.; Yu, H.J.; Hu, M.; Reese, J.; Srivastava, S.; Brown, D.M.; Ehlers, J.P. Aqueous Cytokine Expression and Higher Order OCT Biomarkers: Assessment of the Anatomic-Biologic Bridge in the IMAGINE DME Study. Am. J. Ophthalmol. 2020, 222, 328–339. [Google Scholar] [CrossRef] [PubMed]
- Cai, S.; Bressler, N.M. Aflibercept, bevacizumab or ranibizumab for diabetic macular oedema: Recent clinically relevant findings from DRCR.net Protocol T. Curr. Opin. Ophthalmol. 2017, 28, 636–643. [Google Scholar] [CrossRef] [PubMed]
- Szeto, S.K.; Lai, T.Y.; Vujosevic, S.; Sun, J.K.; Sadda, S.R.; Tan, G.; Sivaprasad, S.; Wong, T.Y.; Cheung, C.Y. Optical coherence tomography in the management of diabetic macular oedema. Prog. Retin. Eye Res. 2024, 98, 101220. [Google Scholar] [CrossRef] [PubMed]
- Munk, M.R.; Somfai, G.M.; de Smet, M.D.; Donati, G.; Menke, M.N.; Garweg, J.G.; Ceklic, L. The Role of Intravitreal Corticosteroids in the Treatment of DME: Predictive OCT Biomarkers. Int. J. Mol. Sci. 2022, 23, 7585. [Google Scholar] [CrossRef]
- Coscas, G.; Augustin, A.; Bandello, F.; De Smet, M.D.; Lanzetta, P.; Staurenghi, G.; Parravano, M.C.; Udaondo, P.; Moisseiev, E.; Soubrane, G.; et al. Retreatment with Ozurdex for macular edema secondary to retinal vein occlusion. Eur. J. Ophthalmol. 2013, 24, 1–9. [Google Scholar] [CrossRef]
- Iovino, C.; Mastropasqua, R.; Lupidi, M.; Bacherini, D.; Pellegrini, M.; Bernabei, F.; Borrelli, E.; Sacconi, R.; Carnevali, A.; D’Aloisio, R.; et al. Intravitreal Dexamethasone Implant as a Sustained Release Drug Delivery Device for the Treatment of Ocular Diseases: A Comprehensive Review of the Literature. Pharmaceutics 2020, 12, 703. [Google Scholar] [CrossRef] [PubMed]
- Dugel, P.U.; Bandello, F.; Loewenstein, A. Dexamethasone intravitreal implant in the treatment of diabetic macular edema. Clin. Ophthalmol. 2015, 9, 1321–1335. [Google Scholar] [CrossRef]
- Menon, K.; Pillai, G.; Xavier, T.; Pallikara, S.; Saji, N.; Radhakrishnan, N. Significance of monitoring vascular endothelial growth factor, monocyte chemoattractant protein-1 and Interleukin-8 in diabetic macular edema towards early identification of nonresponders to ranibizumab therapy. Indian. J. Ophthalmol. 2021, 69, 1475–1481. [Google Scholar] [CrossRef]
- Iglicki, M.; Busch, C.; Zur, D.; Okada, M.; Mariussi, M.; Chhablani, J.K.; Cebeci, Z.; Fraser-Bell, S.; Chaikitmongkol, V.; Couturier, A.; et al. Dexamethasone implant for diabetic macular edema in naive compared with re-fractory eyes: The international Retina Group Real-Life 24-MonthMulticenter Study. The IRGREL-DEX Study. Retina 2019, 39, 44–51. [Google Scholar] [CrossRef] [PubMed]
- Korobelnik, J.-F.; Lu, C.; Katz, T.A.; Dhoot, D.S.; Loewenstein, A.; Arnold, J.; Staurenghi, G. Effect of Baseline Subretinal Fluid on Treatment Outcomes in VIVID-DME and VISTA-DME Studies. Ophthalmol. Retin. 2019, 3, 663–669. [Google Scholar] [CrossRef] [PubMed]
- Schmidt-Erfurth, U.; Garcia-Arumi, J.; Bandello, F.; Berg, K.; Chakravarthy, U.; Gerendas, B.S.; Jonas, J.; Larsen, M.; Tadayoni, R.; Loewenstein, A. Guidelines for the Management of Diabetic Macular Edema by the European Society of Retina Specialists (EURETINA). Ophthalmologica 2017, 237, 185–222. [Google Scholar] [CrossRef] [PubMed]
- Gonzalez, V.H.; Campbell, J.; Holekamp, N.M.; Kiss, S.; Loewenstein, A.; Augustin, A.J.; Ma, J.; Ho, A.C.; Patel, V.; Whitcup, S.M.; et al. Early and Long-Term Responses to Anti–Vascular Endothelial Growth Factor Therapy in Diabetic Macular Edema: Analysis of Protocol I Data. Am. J. Ophthalmol. 2016, 172, 72–79. [Google Scholar] [CrossRef] [PubMed]
- Battaglia, M.P.; Iacono, P.; Cascavilla, M.; Zucchiatti, I.; Bandello, F. A Pathogenetic Classification of Diabetic Macular Edema. Ophthalmic. Res. 2018, 60, 23–28. [Google Scholar]
- Hecht, I.; Achiron, R.; Bar, A.; Munk, M.R.; Huf, W.; Burgansky-Eliash, Z.; Achiron, A. Development of “Predict ME”, an online classifier to aid in differentiating diabetic macular edema from pseudo-phakic macular edema. Eur. J. Ophthalmol. 2020, 30, 1495–1498. [Google Scholar] [CrossRef] [PubMed]
- Munk, M.R.; Jampol, L.M.; Simader, C.; Huf, W.; Mittermüller, T.J.; Jaffe, G.J.; Schmidt-Erfurth, U. Differentiation of Diabetic Macular Edema from Pseudophakic Cystoid Macular Edema by Spectral-Domain Optical Coherence Tomography. Investig. Ophthalmol. Vis. Sci. 2015, 56, 6724–6733. [Google Scholar] [CrossRef] [PubMed]
- Udaondo, P.; Adan, A.; Arias-Barquet, L.; Ascaso, F.J.; Cabrera-López, F.; Castro-Navarro, V.; Donate-López, J.; García-Layana, A.; Lavid, F.J.; Rodríguez-Maqueda, M.; et al. Challenges in Diabetic Macular Edema Management: An Expert Consensus Report. Clin. Ophthalmol. 2021, 15, 3183–3195. [Google Scholar] [CrossRef] [PubMed]
- Ceklic, L.; Huf, W.; Ebneter, A.; Wolf, S.; Zinkernagel, M.S.; Munk, M.R. The impact of ganglion cell layer cysts in diabetic macular oedema treated with anti-vascular endothelial growth factor. Acta Ophthalmol. 2019, 97, e1041–e1047. [Google Scholar] [CrossRef]
- Hasegawa, N.; Nozaki, M.; Takase, N.; Yoshida, M.; Ogura, Y. New Insights Into Microaneurysms in the Deep Capillary Plexus Detected by Optical Coherence Tomography Angiography in Diabetic Macular Edema. Investig. Ophthalmol. Vis. Sci. 2016, 57, OCT348–OCT355. [Google Scholar] [CrossRef]
- Sophie, R.L.; Campochiaro, N.P.A. Predictors of Functional and Anatomic Outcomes in Patients with Diabetic Macular Edema Treated with Ranibizumab. Ophthalmology 2015, 122, 1395–1401. [Google Scholar] [CrossRef] [PubMed]
- Reznicek, L.; Cserhati, S.; Seidensticker, F.; Liegl, R.; Kampik, A.; Ulbig, M.; Neubauer, A.S.; Kernt, M. Functional and morphological changes in diabetic macular edema over the course of anti-vascular endothelial growth factor treatment. Acta Ophthalmol. 2013, 91, e529–e536. [Google Scholar] [CrossRef] [PubMed]
- Early Treatment Diabetic Retinopathy Study Research Group. Treatment techniques and clinical guidelines for photocoagulation of diabetic macular edema. Early Treatment Diabetic Retinopathy Study Report Number 2. Ophthalmology 1987, 94, 761–774. [Google Scholar] [CrossRef] [PubMed]
- Pieramici, D.J.; Wang, P.-W.; Ding, B.; Gune, S. Visual and Anatomic Outcomes in Patients with Diabetic Macular Edema with Limited Initial Anatomic Response to Ranibizumab in RIDE and RISE. Ophthalmology 2016, 123, 1345–1350. [Google Scholar] [CrossRef] [PubMed]
- Zhang, X.; Zeng, H.; Bao, S.; Wang, N.; Gillies, M.C. Diabetic macular edema: New concepts in patho-physiology and treatment. Cell Biosci. 2014, 4, 27. [Google Scholar] [CrossRef] [PubMed]
- Santos, A.R.; Gomes, S.C.; Figueira, J.; Nunes, S.; Lobo, C.L.; Cunha-Vaz, J.G. Degree of Decrease in Central Retinal Thickness Predicts Visual Acuity Response to Intravitreal Ranibizumab in DiabeticMacular Edema. Ophthalmologica 2013, 231, 16–22. [Google Scholar] [CrossRef]
- Yalçın, G.; Baran Aksakal, F.N. Defining Cystoid Macular Degeneration in Diabetic Macular Edema: An OCT-Based Single-center Study. Turk. J. Ophthalmol. 2019, 49, 315–322. [Google Scholar] [CrossRef]
- Liang, Y.; Yan, B.; Meng, Z.; Xie, M.; Liang, Z.; Zhu, Z.; Meng, Y.; Ma, J.; Ma, B.; Yao, X.; et al. Comparison of Inflammatory and Angiogenic Factors in the Aqueous Humor of Vitrectomized and Non-Vitrectomized Eyes in Diabetic Macular Edema Patients. Front. Med. 2021, 8, 1466. [Google Scholar] [CrossRef]
- Castro-Navarro, V.; Monferrer-Adsuara, C.; Navarro-Palop, C.; Montero-Hernández, J.; Cervera-Taulet, E. Effect of dexamethasone intravitreal implant on visual acuity and foveal photoreceptor integrity in macular edema secondary to retinal vascular disease. Ophthalmologica 2020, 244, 83–92. [Google Scholar] [CrossRef]
- Lee, H.; Lee, J.; Chung, H.; Kim, H.C. Baseline spectral domain optical coherence tomographic hyperreflective foci as a predictor of visual outcome and recurrence for central serous chorioretinopathy. Retina 2016, 36, 1372–1380. [Google Scholar] [CrossRef]
- Bonfiglio, V.; Reibaldi, M.; Pizzo, A.; Russo, A.; Macchi, I.; Faro, G.; Avitabile, T.; Longo, A. Dexamethasone for unresponsive diabetic macular oedema: Optical coherence tomography biomarkers. Acta Ophthalmol. 2018, 97, e540–e544. [Google Scholar] [CrossRef]
- Iacono, P.; Parodi, M.B.; Scaramuzzi, M.; Bandello, F. Morphological and functional changes in recalcitrant diabetic macular oedema after intravitreal dexamethasone implant. Br. J. Ophthalmol. 2017, 101, 791–795. [Google Scholar] [CrossRef]
- Roy, R.; Saurabh, K.; Shah, D.; Chowdhury, M.; Goel, S. Choroidal Hyperreflective Foci: A Novel Spectral Domain Optical Coherence Tomography Biomarker in Eyes With Diabetic Macular Edema. Asia-Pacific J. Ophthalmol. 2019, 8, 314–318. [Google Scholar] [CrossRef] [PubMed]
- Markan, A.; Agarwal, A.; Arora, A.; Bazgain, K.; Rana, V.; Gupta, V. Novel imaging biomarkers in diabetic retinopathy and diabetic macular edema. Ther. Adv. Ophthalmol. 2020, 12, 2515841420950513. [Google Scholar] [CrossRef] [PubMed]
- Terada, N.; Murakami, T.; Uji, A.; Dodo, Y.; Mori, Y.; Tsujikawa, A. Hyperreflective Walls in Foveal Cystoid Spaces as a Biomarker of Diabetic Macular Edema Refractory to Anti-VEGF Treatment. Sci. Rep. 2020, 10, 7299. [Google Scholar] [CrossRef] [PubMed]
- Schreur, V.; de Breuk, A.; Venhuizen, F.G.; Sánchez, C.I.; Tack, C.J.; Klevering, B.J.; de Jong, E.K.; Hoyng, C.B. Retinal hyperreflective foci in type 1 diabetes mellitus. Retina 2020, 40, 1565–1573. [Google Scholar] [CrossRef]
- Veloso, C.E.; Brocchi, D.N.; Singh, R.P.; Nehemy, M.B. Vitreomacular interface after anti-VEGF injections in diabetic macular edema. Int. J. Retin. Vitr. 2021, 7, 23. [Google Scholar] [CrossRef]
- Bressler, S.B.; Melia, M.; Glassman, A.R.; Almukhtar, T.; Jampol, L.M.; Shami, M.; Berger, B.B.; Bressler, N.M. Ranibizumab plus prompt or deferred laser for diabetic macular edema in eyes with vitrectomy before anti-vascular endothelial growth factor therapy. Retina 2015, 35, 2516–2528. [Google Scholar] [CrossRef]
- Podkowinski, D.; Orlowski-Wimmer, E.; Zlabinger, G.; Pollreisz, A.; Mursch-Edlmayr, A.; Mariacher, S.; Ring, M.; Bolz, M. Aqueous humour cytokine changes during a loading phase of intravitreal ranibizumab or dexame-thasone implant in diabetic macular oedema. Acta Ophthalmol. 2020, 98, e407–e415. [Google Scholar] [CrossRef]
- Eandi, C.M.; De Geronimo, D.; Giannini, D.; Polito, M.S.; Tosi, G.M.; Neri, G.; Le Mer, Y.; Varano, M.; Parravano, M. Baseline SD-OCT characteristics of diabetic macular oedema patterns can predict morphological features and timing of recurrence in patients treated with dexamethasone intravitreal implants. Geol. Rundsch. 2020, 57, 867–874. [Google Scholar] [CrossRef]
- Gupta, A.; Raman, R.; Mohana, K.; Kulothungan, V.; Sharma, T. Communications between intraretinal and subretinal space on optical coherence tomography of neurosensory retinal detachment in diabetic macular edema. Oman J. Ophthalmol. 2013, 6, 183–188. [Google Scholar] [CrossRef] [PubMed]
- Sun, J.K.; Lin, M.M.; Lammer, J.; Prager, S.; Sarangi, R.; Silva, P.S.; Aiello, L.P. Disorganization of the Retinal Inner Layers as a Predictor of Visual Acuity in Eyes with Center-Involved Diabetic Macular Edema. JAMA Ophthalmol. 2014, 132, 1309–1316. [Google Scholar] [CrossRef]
- Gerendas, B.S.; Simader, C.; Deak, G.G.; Prager, S.G.; Lammer, J.; Waldstein, S.M.; Kundi, M.; Schmidt-Erfurth, U. Morphological parameters relevant for visual and anatomic outcomes during anti-VEGF therapy of diabetic macular edema in the RESTORE trial. Investig. Ophthalmol. Vis. Sci. 2014, 55, 1791. [Google Scholar]
- Sheu, S.-J.; Lee, Y.-Y.; Horng, Y.-H.; Lin, H.-S.; Lai, W.-Y.; Tsen, C.-L. Characteristics of diabetic macular edema on optical coherence tomography may change over time or after treatment. Clin. Ophthalmol. 2018, 12, 1887–1893. [Google Scholar] [CrossRef] [PubMed]
- Altana, C.; Donadu, M.G.; Dore, S.; Boscia, G.; Carmelita, G.; Zanetti, S.; Boscia, F.; Pinna, A. Clinical Outcome and Drug Expenses of Intravitreal Therapy for Diabetic Macular Edema: A Retrospective Study in Sardinia, Italy. J. Clin. Med. 2021, 10, 5342. [Google Scholar] [CrossRef]
- Totan, Y.; Güler, E.; Gürağaç, F.B. Dexamethasone Intravitreal Implant for Chronic Diabetic Macular Edema Resistant to Intravitreal Bevacizumab Treatment. Curr. Eye Res. 2016, 41, 107–113. [Google Scholar] [CrossRef] [PubMed]
- Kim, M.; Cho, Y.J.; Lee, C.H.; Lee, S.C. Effect of intravitreal dexamethasone implant on retinal and choroidal thickness in refractory diabetic macular oedema after multiple anti-VEGF injections. Eye 2016, 30, 718–725. [Google Scholar] [CrossRef] [PubMed]
- Shah, S.U.; Harless, A.; Bleau, L.; Maturi, R.K. Prospective Randomized Subject-Masked Study Of Intravitreal Bevacizumab Monotherapy Versus Dexamethasone Implant Monotherapy In The Treatment Of Persistent Diabetic Macular Edema. Retina 2016, 36, 1986–1996. [Google Scholar] [CrossRef] [PubMed]
- Busch, C.; Zur, D.; Fraser-Bell, S.; Lains, I.; Santos, A.R.; Lupidi, M.; Cagini, C.; Gabrielle, P.-H.; Couturier, A.; Mane-Tauty, V.; et al. Shall we stay, or shall we switch? Continued anti-VEGF therapy versus early switch to dexamethasone implant in refractory diabetic macular edema. Acta Diabetol. 2018, 55, 789–796. [Google Scholar] [CrossRef]
- Chi, S.C.; Kang, Y.N.; Huang, Y.M. Efficacy and safety profile of intravitreal dexamethasone implant versus antivascular endothelial growth factor treatment in diabetic macular edema: A systematic review and meta-analysis. Sci. Rep. 2023, 13, 7428. [Google Scholar] [CrossRef]
- Wilkins, C.S.; Sobol, E.K.; Lema, G.M.C.; Lee, J.G.; Rosen, R.B.; Deobhakta, A. Intravitreal dexamethasone insert in diabetic macular edema super-refractory to anti-vascular endothelial growth factor therapy. Eur. J. Ophthalmol. 2022, 32, NP37–NP41. [Google Scholar] [CrossRef]
- Demir, G.; Ozkaya, A.; Yuksel, E.; Erdogan, G.; Tunc, U.; Celal Ocal, M.; Sakır Goker, Y. Early and Late Switch from Ranibizumab to an Intravitreal Dexamethasone Implant in Patients with Diabetic Macular Edema in the Event of a Poor Anatomical Response. Clin. Drug Investig. 2020, 40, 119–128. [Google Scholar] [CrossRef]
- Ruiz-Medrano, J.; Rodríguez-Leor, R.; Almazán, E.; Lugo, F.; Casado-Lopez, E.; Arias, L.; Ruiz-Moreno, J.M. Results of dexamethasone intravitreal implant (Ozurdex) in diabetic macular edema patients: Early versus late switch. Eur. J. Ophthalmol. 2021, 31, 1135–1145. [Google Scholar] [CrossRef] [PubMed]
- Mitchell, P.; Arnold, J.; Fraser-Bell, S.; Kang, H.K.; Chang, A.A.; Tainton, J.; Simonyi, S. Dexamethasone intravitreal implant in diabetic macular oedema refractory to anti-vascular endothelial growth factors: The AUSSIEDEX study. BMJ Open Ophthalmol. 2023, 8, e001224. [Google Scholar] [CrossRef]
- Lee, J.H.; Shin, J.Y.; Ahn, J. Comparison of Optical Coherence Tomography Biomarkers between Bevacizumab Good Responders and Nonresponders Who were Switched to Dexamethasone Implant in Diabetic Macular Edema. Korean J. Ophthalmol. 2023, 37, 137–146. [Google Scholar] [CrossRef] [PubMed]
- Cicinelli, M.V.; Cavalleri, M.; Querques, L.; Rabiolo, A.; Bandello, F.; Querques, G. Early response to ranibizumab predictive of functional outcome after dexamethasone for unresponsive diabetic macular oedema. Br. J. Ophthalmol. 2017, 101, 1689–1693. [Google Scholar] [CrossRef]
- Maggio, E.; Sartore, M.; Attanasio, M.; Maraone, G.; Guerriero, M.; Polito, A.; Pertile, G. Anti-Vascular Endothelial Growth Factor Treatment for Diabetic Macular Edema in a Real-World Clinical Setting. Am. J. Ophthalmol. 2018, 195, 209–222. [Google Scholar] [CrossRef]
- Hernández Martínez, A.; Pereira Delgado, E.; Silva Silva, G.; Castellanos Mateos, L.; Lorente Pascual, J.; Lainez Villa, J.; García Vicente, P.; Almeida-González, C.V. Early versus late switch: How long should we extend the anti-vascular endothelial growth factor therapy in unresponsive diabetic macular edema patients? Eur. J. Ophthalmol. 2020, 30, 1091–1098. [Google Scholar] [CrossRef] [PubMed]
- Busch, C.; Fraser-Bell, S.; Iglicki, M.; Lupidi, M.; Couturier, A.; Chaikitmongkol, V.; Giancipoli, E.; Rodríguez-Valdés, P.J.; Gabrielle, P.H.; Laíns, I.; et al. Real-world outcomes of non-responding diabetic macular edema treated with continued anti-VEGF therapy versus early switch to dexamethasone implant: 2-year results. Acta Diabetol. 2019, 56, 1341–1350. [Google Scholar] [CrossRef]
- Scorcia, V.; Giannaccare, G.; Gatti, V.; Vaccaro, S.; Piccoli, G.; Villì, A.; Toro, M.D.; Yu, A.C.; Iovino, C.; Simonelli, F.; et al. Intravitreal Dexamethasone Implant in Patients Who Did Not Complete Anti-VEGF Loading Dose during the COVID-19 Pandemic: A Retrospective Observational Study. Ophthalmol. Ther. 2021, 10, 1015–1024. [Google Scholar] [CrossRef]
- Kumar, A.; Kumar, A.; Kumar, J.; Bai, G.; Jeewnani, R.; Dembra, M.; Kanwal, K.; Qadeer, U.; Khawar, M.H.; Yaseen Khan, I.; et al. Comparative Efficacy of Anti-vascular Endothelial Growth Factor (Anti-VEGF) Agents and Corticosteroids in Managing Diabetic Retinopathy-Associated Diabetic Macular Edema: A Meta-Analysis and Comprehensive Systematic Review. Cureus 2024, 16, e51910. [Google Scholar] [CrossRef] [PubMed] [PubMed Central]
- Veritti, D.; Sarao, V.; Soppelsa, V.; Lanzetta, P. Managing Diabetic Macular Edema in Clinical Practice: Systematic Review and Meta-Analysis of Current Strategies and Treatment Options. Clin. Ophthalmol. 2021, 15, 375–385. [Google Scholar] [CrossRef] [PubMed] [PubMed Central]
- Sonoda, S.; Sakamoto, T.; Shirasawa, M.; Yamashita, T.; Otsuka, H.; Terasaki, H. Correlation between Reflectivity of Subretinal Fluid in OCT Images and Concentration of Intravitreal VEGF in Eyes With Diabetic Macular Edema. Investig. Opthalmol. Vis. Sci. 2013, 54, 5367–5374. [Google Scholar] [CrossRef] [PubMed]
- Kaštelan, S.; Orešković, I.; Bišćan, F.; Kaštelan, H.; Gverović Antunica, A. Inflammatory and angiogenic biomarkers in diabetic retinopathy. Biochem. Med. 2020, 30, 030502. [Google Scholar] [CrossRef] [PubMed]
- Pereiro, X.; Ruzafa, N.; Acera, A.; Fonollosa, A.; Rodriguez, F.D.; Vecino, E. Dexamethasone protects retinal ganglion cells but not Müller glia against hyperglycemia in vitro. PLoS ONE 2018, 13, e0207913. [Google Scholar] [CrossRef] [PubMed] [PubMed Central]
- Rodríguez Villanueva, J.; de la Villa, P.; Herrero-Vanrell, R.; Bravo-Osuna, I.; Guzmán-Navarro, M. Useful Role of a New Generation of Dexamethasone, Vitamin E and Human Serum Albumin Microparticles in the Prevention of Excitotoxicity Injury in Retinal Ocular Diseases. Pharmaceutics 2024, 16, 406. [Google Scholar] [CrossRef] [PubMed] [PubMed Central]
- Liang, M.C.; Vora, R.A.; Duker, J.S.; Reichel, E. Solid-appearing retinal cysts in diabetic macular edema: A novel optical coherence tomography finding. Retin. Cases Brief Rep. 2013, 7, 255–258. [Google Scholar] [CrossRef] [PubMed]
- Sohn, H.J.; Han, D.H.; Kim, I.T.; Oh, I.K.; Kim, K.H.; Lee, D.Y.; Nam, D.H. Changes in Aqueous Concentrations of Various Cytokines After Intravitreal Triamcinolone Versus Bevacizumab for Diabetic Macular Edema. Am. J. Ophthalmol. 2011, 152, 686–694. [Google Scholar] [CrossRef]
- Taloni, A.; Coco, G.; Rastelli, D.; Buffon, G.; Scorcia, V.; Giannaccare, G. Safety and Efficacy of Dexamethasone Intravitreal Implant Given Either First-Line or Second-Line in Diabetic Macular Edema. Patient Prefer. Adherence 2023, 17, 3307–3329. [Google Scholar] [CrossRef]
- He, Y.; Ren, X.J.; Hu, B.J.; Lam, W.C.; Li, X.R. A meta-analysis of the effect of a dexamethasone intravitreal implant versus intravitreal anti-vascular endothelial growth factor treatment for diabetic macular edema. BMC Ophthalmol. 2018, 18, 121. [Google Scholar] [CrossRef] [PubMed] [PubMed Central]
- Cheng, S.W.; Brent, A.J.; Empeslidis, T.; Konidaris, V.; Banerjee, S. Real-World Cost Savings Demonstrated by Switching Patients with Refractory Diabetic Macular Edema to Intravitreal Fluocinolone Acetonide (Iluvien): A Retrospective Cost Analysis Study. Ophthalmol. Ther. 2018, 7, 75–82. [Google Scholar] [CrossRef] [PubMed] [PubMed Central]
- Tatsumi, T.; Oshitari, T.; Baba, T.; Takatsuna, Y.; Yamamoto, S. Effects of Switching from Anti-VEGF Treatment to Triamcinolone Acetonide in Eyes with Refractory Macular Edema Associated with Diabetic Retinopathy or Retinal Vein Occlusion. BioMed Res. Int. 2020, 2020, 4529850. [Google Scholar] [CrossRef] [PubMed] [PubMed Central]
- Iovino, C.; Iodice, C.M.; Pisani, D.; Rosolia, A.; Testa, F.; Giannaccare, G.; Chhablani, J.; Simonelli, F. Yellow Subthreshold Micropulse Laser in Retinal Diseases: An In-Depth Analysis and Review of the Literature. Ophthalmol. Ther. 2023, 12, 1479–1500. [Google Scholar] [CrossRef] [PubMed] [PubMed Central]
- Cheng, Z.; Liu, X. Comparing the efficacy of glucocorticoids and anti-VEGF in treating diabetic macular edema: Systematic review and comprehensive analysis. Front. Endocrinol. 2024, 15, 1342530. [Google Scholar] [CrossRef] [PubMed] [PubMed Central]
- Khan, Z.; Kuriakose, R.K.; Khan, M.; Chin, E.K.; Almeida, D.R. Efficacy of the Intravitreal Sustained-Release Dexamethasone Implant for Diabetic Macular Edema Refractory to Anti-Vascular Endothelial Growth Factor Therapy: Meta-Analysis and Clinical Implications. Ophthalmic Surg. Lasers Imaging Retina 2017, 48, 160–166. [Google Scholar] [CrossRef] [PubMed]
- Ruiz-Moreno, J.M.; Ruiz-Medrano, J. Early-switch versus late-switch in patients with diabetic macular edema: A cost-effectiveness study. Graefe’s Arch. Clin. Exp. Ophthalmol. 2023, 261, 941–949. [Google Scholar] [CrossRef] [PubMed]
- Chatziralli, I. Editorial—Suboptimal response to intravitreal anti-VEGF treatment for patients with diabetic macular edema: Is there any point in switching treatment? Eur. Rev. Med. Pharmacol. Sci. 2018, 22, 5047–5050. [Google Scholar] [PubMed]
- Gandhi, J.S. Anti-Vascular Endothelial Growth Factor Treatment for Diabetic Macular Edema in a Real-World Clinical Setting. Am. J. Ophthalmol. 2019, 199, 255–256. [Google Scholar] [CrossRef] [PubMed]
- Maturi, R.K.; Pollack, A.; Uy, H.S.; Varano, M.; Gomes, A.M.V.; Li, X.-Y.; Cui, H.; Lou, J.; Hashad, Y.; Whitcup, S.M. Intraocular Pressure In Patients With Diabetic Macular Edema Treated With Dexamethasone Intravitreal Implant In The 3-Year Mead Study. Retina 2016, 36, 1143–1152. [Google Scholar] [CrossRef]
- Fallico, M.; Lotery, A.; Maugeri, A.; Favara, G.; Barchitta, M.; Agodi, A.; Russo, A.; Longo, A.; Bonfiglio, V.; Avitabile, T.; et al. Intravitreal dexamethasone implant versus anti-vascular endothelial growth factor therapy combined with cataract surgery in patients with diabetic macular oedema: A systematic review with meta-analysis. Eye 2022, 36, 2239–2246. [Google Scholar] [CrossRef] [PubMed] [PubMed Central]
- Malclès, A.; Dot, C.; Voirin, N.; Agard, É.; Vié, A.L.; Bellocq, D.; Denis, P.; Kodjikian, L. Real-life study in diabetic macular edema treated with dexamethasone implant: The Reldex Study. Retina 2017, 37, 753–760. [Google Scholar] [CrossRef] [PubMed]
- Vujosevic, S.; Simó, R. Local and Systemic Inflammatory Biomarkers of Diabetic Retinopathy: An Integrative Approach. Investig. Ophthalmol. Vis. Sci. 2017, 58, BIO68–BIO75. [Google Scholar] [CrossRef] [PubMed]

| Author (Year) | Reference | Type of Study | Population | Outcomes |
|---|---|---|---|---|
| Altana et al. (2021) | [55] | Retrospective study | Twenty patients with common signs of inflammation on OCT or with a low response to previous anti-VEGF therapy were switched to an intravitreal DEX implant. | The switch in non-responders resulted in significant improvements in CST and BCVA up to the end of the follow-up period (12 months), with no side effects. |
| Totan et al. (2016) | [56] | Prospective study | Thirty patients who had chronic DME and were resistant to at least three intravitreal bevacizumab injections were examined at baseline and 1, 3, and 6 months after the switch to an intravitreal DEX implant. | Significant improvements in both BCVA and CST were recorded up to the third month. Macular edema recurrence occurred in 25 eyes at 6 months. IOP increased significantly at 1 week, 1 month, and 3 months but was controlled with topical anti-glaucoma monotherapy. |
| Kim et al. (2016) | [57] | Retrospective interventional case series | Thirty-five patients were treated with a single intravitreal injection of DEX for refractory DME despite multiple intravitreal bevacizumab injections. | DEX significantly reduced central foveal thickness and choroidal thickness, with BCVA improvement in 26% of eyes at 6 months. |
| Shah et al. (2016) | [58] | Prospective randomized subject-masked study | Twenty-seven eyes with persistent DME despite more than 3 anti-vascular endothelial growth factor injections within 5 months were switched to an intravitreal DEX implant. | The DEX group achieved a significantly greater reduction in CST compared with the intravitreal bevacizumab monotherapy group, with no recurrent edema at any visit. |
| Busch et al. (2018) | [59] | Retrospective multicenter, case–control study | Thirty-eight eyes were switched to intravitreal DEX implants after receiving anti-VEGF therapy. | Eyes switched to a DEX implant at 12 months had improved visual and structural results in comparison to those that continued to receive the anti-VEGF drug. |
| Wilkins et al. (2021) | [61] | Non-randomized interventional study | Six eyes with DME refractory to serial intravitreal injections underwent treatment with intravitreal DEX implants. | The DEX implant appeared effective in eyes with super-refractory DME, resulting in excellent anatomic improvement on OCT, as well as modest visual improvement. |
| Demir et al. (2020) | [62] | Retrospective study | Thirty-four patients were switched to intravitreal DEX implants after 3 months (early switch), while another thirty-four patients were switched to DEX implants after 6 months (late switch). | Both groups showed improvements in both BCVA and CST, with comparable results, but an early switch is recommendable in cases where there is a poor response to treatment with anti-VEGF. |
| Ruiz-Medrano et al. (2021) | [63] | Multicenter, retrospective, and real-life case series study | One hundred twenty-nine eyes undergoing treatment with DEX were divided into three groups: I—naïve patients; II—previously treated eyes that received 3 intravitreal anti-VEGF injections before the study (early switch); and III—previously treated eyes that received more than 3 intravitreal anti-VEGF injections (late switch). | By month 12, BCVA and CST had statistically improved in all groups. The improvements were significantly greater in the early-switch group than in late-switch patients. |
| Mitchell et al. (2023) | [64] | Prospective, open-label, observational, real-world study | Of 143 eyes, 53 (37.1%) and 89 (62.2%) were switched to DEX after 3–6 months (early) and >6 months (late) after anti-VEGF injections, respectively. | The change in mean BCVA from baseline was not significant at week 52. However, the early–late-switch difference in BCVA was statistically significant at week 52, suggesting that early-switch patients had a greater BCVA improvement at week 52 than late-switch patients. The mean CST improved significantly from baseline. No unexpected adverse events were reported. |
| Lee et al. (2023) | [65] | Retrospective study | Thirty-one patients were included in the DEX switching group after bevacizumab treatment. | DME with large serous retinal detachment and retinal edema may be more effectively treated with the DEX implant than bevacizumab. Accordingly, in the switching group, central macular thickness, inner cystoid macular edema, and serous retinal detachment volume all showed significant reductions after switching to the DEX implant. |
| Cicinelli et al. (2017) | [66] | Retrospective study | Forty-five patients with DME were switched to an intravitreal DEX implant after three injections of ranibizumab and followed up for 12 months. | After 3 injections of Ranibizumab, 30 eyes (66.7%) had a poor visual response, while 15 eyes had good visual outcomes. Patients with a poor visual response were associated with limited morphological improvement. One month after receiving the DEX implant, only poor responders showed a relevant increase in BCVA and a reduction in central macular thickness in comparison to good-visual-response patients. |
| Maggio et al. (2018) | [67] | Retrospective interventional case series | One hundred twenty-nine patients were included in the study. After 3 monthly intravitreal anti-VEGF injections, a subgroup of eyes that were unresponsive to the treatment received alternative therapeutic options, including switching to another anti-VEGF drug, an intravitreal injection of DEX, and vitrectomy. | In eyes with a suboptimal response, no significant visual improvement was found when switching to another anti-VEGF treatment. Twenty-four eyes treated with a DEX implant and fourteen with vitrectomy exhibited a significant reduction in central macula thickness with variable functional responses. In these eyes, a better BCVA gain was found in cases with an early change of the treatment strategy. |
| Hernández Martínez et al. (2020) | [68] | Retrospective study | Of 69 DME eyes, 31 eyes were included in the early-switch group and 38 were included in the late-switch group after intravitreal anti-VEGF treatment. | In the early-switch group, BCVA had significantly increased by month 24, whereas, in the late-switch group, BCVA did not increase. Morphological parameters were improved in both groups, with the proportion of eyes obtaining a CST ≥ 10% being significantly greater in the early-switch group than in the late-switch group. |
| Busch et al. (2019) | [69] | Multicenter, retrospective study | One hundred ten eyes with treatment-naïve DME and a suboptimal response to a loading phase of anti-VEGF therapy (3 monthly injections) were then treated with further anti-VEGF (n = 72) or initially switched to DEX implant (n = 38). | The beneficial effect of an early switch to the DEX implant in DME non-responders seen at month 12 was maintained in the second year. A later switch from anti-VEGF to steroids still provided significant improvement. |
| Scorcia et al. (2021) | [70] | Retrospective, comparative study | Of 43 eyes, 23 eyes underwent a complete VEGF loading dose with aflibercept, and 20 eyes were switched to a DEX implant after incomplete anti-VEGF treatment during the coronavirus disease 2019 pandemic. | The mean BCVA and CST had significantly improved by month 4 in both groups. Therefore, the DEX implant could significantly improve both functional and anatomic clinical outcomes in patients who were unable to complete the anti-VEGF loading dose. |
| Biomarker | Good Response to Anti-VEGF | Good Response to Steroids |
|---|---|---|
| Large intraretinal cysts (more than 250 microns) | NO | YES |
| Central subfield thickness | NO | NO |
| Disorganization of retinal inner layers | NO | YES |
| Hyperreflective foci | NO | YES |
| Subretinal fluid (acute DME) | YES | NO |
| Subretinal fluid (chronic DME) | NO | YES |
Disclaimer/Publisher’s Note: The statements, opinions and data contained in all publications are solely those of the individual author(s) and contributor(s) and not of MDPI and/or the editor(s). MDPI and/or the editor(s) disclaim responsibility for any injury to people or property resulting from any ideas, methods, instructions or products referred to in the content. |
© 2024 by the authors. Licensee MDPI, Basel, Switzerland. This article is an open access article distributed under the terms and conditions of the Creative Commons Attribution (CC BY) license (https://creativecommons.org/licenses/by/4.0/).
Share and Cite
Vitiello, L.; Salerno, G.; Coppola, A.; De Pascale, I.; Abbinante, G.; Gagliardi, V.; Lixi, F.; Pellegrino, A.; Giannaccare, G. Switching to an Intravitreal Dexamethasone Implant after Intravitreal Anti-VEGF Therapy for Diabetic Macular Edema: A Review. Life 2024, 14, 725. https://doi.org/10.3390/life14060725
Vitiello L, Salerno G, Coppola A, De Pascale I, Abbinante G, Gagliardi V, Lixi F, Pellegrino A, Giannaccare G. Switching to an Intravitreal Dexamethasone Implant after Intravitreal Anti-VEGF Therapy for Diabetic Macular Edema: A Review. Life. 2024; 14(6):725. https://doi.org/10.3390/life14060725
Chicago/Turabian StyleVitiello, Livio, Giulio Salerno, Alessia Coppola, Ilaria De Pascale, Giulia Abbinante, Vincenzo Gagliardi, Filippo Lixi, Alfonso Pellegrino, and Giuseppe Giannaccare. 2024. "Switching to an Intravitreal Dexamethasone Implant after Intravitreal Anti-VEGF Therapy for Diabetic Macular Edema: A Review" Life 14, no. 6: 725. https://doi.org/10.3390/life14060725
APA StyleVitiello, L., Salerno, G., Coppola, A., De Pascale, I., Abbinante, G., Gagliardi, V., Lixi, F., Pellegrino, A., & Giannaccare, G. (2024). Switching to an Intravitreal Dexamethasone Implant after Intravitreal Anti-VEGF Therapy for Diabetic Macular Edema: A Review. Life, 14(6), 725. https://doi.org/10.3390/life14060725

