Clinical–Pathological Features of Thyroid Neoplasms in Young Patients Diagnosed in a Single Center
Abstract
1. Introduction
2. Materials and Methods
2.1. Study Design and Participants
- Consecutive cases of malignant thyroid tumors: papillary carcinomas (PTCs), follicular carcinomas (FTCs), poorly differentiated carcinomas (PDTCs), anaplastic carcinomas (ATCs), medullary carcinomas (MTCs) and lymphomas; in addition, cases of well-differentiated thyroid tumors with uncertain malignant potential (UMP), confirmed by histopathological examination, were also included in the study.
- Nonneoplastic, inflammatory thyroid conditions;
- Benign thyroid tumors.
2.2. Data Sources and Variables of Interest
2.3. Compiling the Database
- Primary tumor (pT):
- −
- pTX—primary tumor cannot be assessed;
- −
- pT0—no evidence of primary tumor;
- −
- pTI—tumor ≤2 cm in greatest dimension, limited to thyroid gland (pT1a—tumor ≤1 cm, pTIb—tumor >1 cm but ≤2 cm);
- −
- pT2—tumor >2 cm but ≤4 cm limited to the thyroid;
- −
- pT3: pT3a—tumor >4 cm limited to the thyroid, or pT3b—tumor of any size with gross extrathyroidal extension invading only strap muscles (sternohyoid, sternothyroid. thyrohyoid or omohyoid muscles);
- −
- pT4: pT4a—tumor of any size with gross extrathyroidal extension invading subcutaneous soft tissues, larynx, trachea, esophagus, or recurrent laryngeal nerve, or pT4b—tumor of any size with gross extrathyroidal extension invading prevertebral fascia or enclosing the carotid or mediastinal artery vessels.
- Regional Lymph Node (pN):
- −
- pNX—regional lymph nodes cannot be assessed;
- −
- pN0—no evidence of locoregional lymph node metastasis;
- −
- pN1: pN1a—metastasis to pretracheal, paratracheal, or prelaryngeal, or upper mediastinal lymph nodes; or pN1b—metastasis to unilateral, bilateral, or contralateral lateral neck lymph nodes or retropharyngeal lymph nodes.
2.4. Statistical Analysis
3. Results
3.1. Patients’ Age and Sex
3.2. Living Environment of Patients
3.3. Method of Diagnosis and Association with Other Pathologies
3.4. Histopathological Types
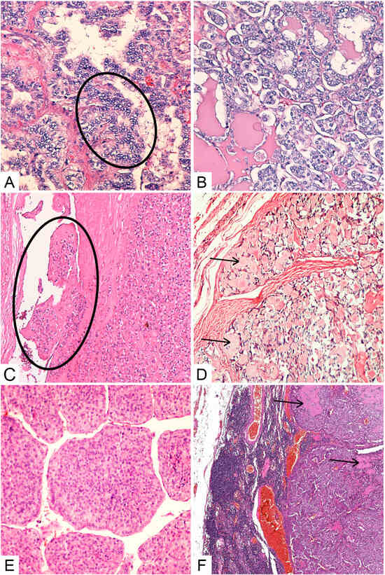
3.5. Tumor Extension, Lympho-Vascular Invasion and Perineural Tumor Invasion
3.6. TNM Staging
4. Discussion
4.1. Patients’ Age, Sex and Living Environment
4.2. Associated Thyroid Pathology and Type of Surgical Intervention
4.3. The Histological Subtype of Thyroid Cancer
4.4. Lympho-Vascular Invasion, Extrathyroidal Extension and Lymph Node Metastases
5. Conclusions
Author Contributions
Funding
Institutional Review Board Statement
Informed Consent Statement
Data Availability Statement
Acknowledgments
Conflicts of Interest
References
- Bray, F.; Laversanne, M.; Sung, H.; Ferlay, J.; Siegel, R.L.; Soerjomataram, I.; Jemal, A. Global cancer statistics 2022: GLOBOCAN estimates of incidence and mortality worldwide for 36 cancers in 185 countries. CA Cancer J. Clin. 2024, 74, 229–263. [Google Scholar] [CrossRef]
- Chmielik, E.; Rusinek, D.; Oczko-Wojciechowska, M.; Jarzab, M.; Krajewska, J.; Czarniecka, A.; Jarzab, B. Heterogeneity of Thyroid Cancer. Pathobiology 2018, 85, 117–129. [Google Scholar] [CrossRef]
- Massimino, M.; Evans, D.B.; Podda, M.; Spinelli, C.; Collini, P.; Pizzi, N.; Bleyer, A. Thyroid cancer in adolescents and young adults. Pediatr. Blood Cancer 2018, 65, e27025. [Google Scholar] [CrossRef]
- Li, M.; Maso, L.D.; Vaccarella, S. Global trends in thyroid cancer incidence and the impact of overdiagnosis. Lancet Diabetes Endocrinol. 2020, 8, 468–470. [Google Scholar] [CrossRef]
- Nguyen, Q.T.; Lee, E.J.; Huang, M.G.; Park, Y.I.; Khullar, A.; Plodkowski, R.A. Diagnosis and treatment of patients with thyroid cancer. Am. Health Drug Benefits 2015, 8, 30–40. [Google Scholar] [PubMed]
- Lloyd, R.V.; Osamura, R.Y.; Kloppel, G.; Rosai, J. (Eds.) WHO Classification of Tumours of Endocrine Organs, 4th ed.; IARC: Lyon, France, 2017. [Google Scholar]
- Amin, M.B.; Edge, S.B.; Greene, F.L.; Byrd, D.R.; Brookland, R.K.; Washington, M.K.; Gershenwald, J.E.; Compton, C.C.; Hess, K.R.; Sullivan, D.C.; et al. (Eds.) AJCC Cancer Staging Manual, 8th ed.; Springer: New York, NY, USA, 2017; pp. 873–903. [Google Scholar]
- Baloch, Z.W.; Asa, S.L.; Barletta, J.A.; Ghossein, R.A.; Juhlin, C.C.; Jung, C.K.; LiVolsi, V.A.; Papotti, M.G.; Sobrinho-Simões, M.; Tallini, G.; et al. Overview of the 2022 WHO Classification of Thyroid Neoplasms. Endocr. Pathol. 2022, 33, 27–63. [Google Scholar] [CrossRef] [PubMed]
- Bai, Y.; Kakudo, K.; Jung, C.K. Updates in the Pathologic Classification of Thyroid Neoplasms: A Review of the World Health Organization Classification. Endocrinol. Metab. 2020, 35, 696–715. [Google Scholar] [CrossRef] [PubMed] [PubMed Central]
- Deng, Y.; Li, H.; Wang, M.; Li, N.; Tian, T.; Wu, Y.; Xu, P.; Yang, S.; Zhai, Z.; Zhou, L.; et al. Global Burden of Thyroid Cancer From 1990 to 2017. JAMA Netw. Open 2020, 3, e208759. [Google Scholar] [CrossRef] [PubMed] [PubMed Central]
- International Agency for Research on Cancer. Data Version: Globocan 2022 (version 1.1). 8 February 2024. Available online: https://gco.iarc.who.int/media/globocan/factsheets/cancers/32-thyroid-fact-sheet.pdf (accessed on 17 March 2024).
- International Agency for Research on Cancer. Data Version: Globocan 2022 (version 1.1). 8 February 2024. Available online: https://gco.iarc.who.int/media/globocan/factsheets/populations/900-world-fact-sheet.pdf (accessed on 17 March 2024).
- Pizzato, M.; Li, M.; Vignat, J.; Laversanne, M.; Singh, D.; La Vecchia, C.; Vaccarella, S. The epidemiological landscape of thyroid cancer worldwide: GLOBOCAN estimates for incidence and mortality rates in 2020. Lancet Diabetes Endocrinol. 2022, 10, 264–272. [Google Scholar] [CrossRef] [PubMed]
- Gupta, S.; Harper, A.; Ruan, Y.; Barr, R.; Frazier, A.L.; Ferlay, J.; Steliarova-Foucher, E.; Fidler-Benaoudia, M.M. International Trends in the Incidence of Cancer among Adolescents and Young Adults. J. Natl. Cancer Inst. 2020, 112, 1105–1117. [Google Scholar] [CrossRef] [PubMed] [PubMed Central]
- Araque, D.V.P.; Bleyer, A.; Brito, J.P. Thyroid cancer in adolescents and young adults. Futur. Oncol. 2017, 13, 1253–1261. [Google Scholar] [CrossRef] [PubMed]
- Limaiem, F.; Rehman, A.; Anastasopoulou, C.; Mazzoni, T. Papillary Thyroid Carcinoma. In StatPearls [Internet]; StatPearls Publishing: Treasure Island, FL, USA, 2024. [Google Scholar] [PubMed]
- Asa, S.L. The Current Histologic Classification of Thyroid Cancer. Endocrinol. Metab. Clin. N. Am. 2019, 48, 1–22. [Google Scholar] [CrossRef] [PubMed]
- Ganly, I.; Nixon, I.J.; Wang, L.Y.; Palmer, F.L.; Migliacci, J.C.; Aniss, A.; Sywak, M.; Eskander, A.E.; Freeman, J.L.; Campbell, M.J.; et al. Survival from Differentiated Thyroid Cancer: What Has Age Got to Do with It? Thyroid 2015, 25, 1106–1114. [Google Scholar] [CrossRef] [PubMed] [PubMed Central]
- Kitahara, C.M.; Schneider, A.B. Epidemiology of Thyroid Cancer. Cancer Epidemiol. Biomark. Prev. 2022, 31, 1284–1297. [Google Scholar] [CrossRef] [PubMed] [PubMed Central]
- Raffaelli, M.; Tempera, S.E.; Sessa, L.; Lombardi, C.P.; De Crea, C.; Bellantone, R. Total thyroidectomy versus thyroid lobectomy in the treatment of papillary carcinoma. Gland. Surg. 2020, 9, S18–S27. [Google Scholar] [CrossRef] [PubMed] [PubMed Central]
- Guay, B.; Johnson-Obaseki, S.; McDonald, J.T.; Connell, C.; Corsten, M. Incidence of differentiated thyroid cancer by socioeconomic status and urban residence: Canada 1991–2006. Thyroid 2014, 24, 552–555. [Google Scholar] [CrossRef] [PubMed]
- Mao, J.; Zhang, Q.; Zhang, H.; Zheng, K.; Wang, R.; Wang, G. Risk Factors for Lymph Node Metastasis in Papillary Thyroid Carcinoma: A Systematic Review and Meta-Analysis. Front. Endocrinol. 2020, 11, 265. [Google Scholar] [CrossRef] [PubMed] [PubMed Central]
- Cai, H.; Zhuge, L.; Huang, Z.; Wang, S.; Shi, P.; Yan, D.; Niu, L.; Li, Z. Distinct risk factors of lateral lymph node metastasis in patients with papillary thyroid cancer based on age stratification. BMC Surg. 2024, 24, 24. [Google Scholar] [CrossRef] [PubMed] [PubMed Central]
- Thewjitcharoen, Y.; Chatchomchuan, W.; Karndumri, K.; Porramatikul, S.; Krittiyawong, S.; Wanothayaroj, E.; Butadej, S.; Nakasatien, S.; Veerasomboonsin, V.; Kanchanapituk, A.; et al. Impacts of the American Joint Committee on Cancer (AJCC) 8th edition tumor, node, metastasis (TNM) staging system on outcomes of differentiated thyroid cancer in Thai patients. Heliyon 2021, 7, e06624. [Google Scholar] [CrossRef] [PubMed] [PubMed Central]
- Kim, S.-J.; Myong, J.P.; Suh, H.; Lee, K.E.; Youn, Y.-K. Optimal Cutoff Age for Predicting Mortality Associated with Differentiated Thyroid Cancer. PLoS ONE 2015, 10, e0130848. [Google Scholar] [CrossRef] [PubMed] [PubMed Central]
- Hendrickson-Rebizant, J.; Sigvaldason, H.; Nason, R.; Pathak, K. Identifying the most appropriate age threshold for TNM stage grouping of well-differentiated thyroid cancer. Eur. J. Surg. Oncol. (EJSO) 2015, 41, 1028–1032. [Google Scholar] [CrossRef]
- Nixon, I.J.; Kuk, D.; Wreesmann, V.; Morris, L.; Palmer, F.L.; Ganly, I.; Patel, S.G.; Singh, B.; Tuttle, R.M.; Shaha, A.R.; et al. Defining a Valid Age Cutoff in Staging of Well-Differentiated Thyroid Cancer. Ann. Surg. Oncol. 2016, 23, 410–415. [Google Scholar] [CrossRef] [PubMed] [PubMed Central]
- Brierley, J.D.; Gospodarowicz, M.K.; Wittekind, C. (Eds.) The TNM Classification of Malignant Tumours, 8th ed.; Wiley Blackwell: Oxford, UK, 2017. [Google Scholar]
- Manzardo, O.A.; Cellini, M.; Indirli, R.; Dolci, A.; Colombo, P.; Carrone, F.; Lavezzi, E.; Mantovani, G.; Mazziotti, G.; Arosio, M.; et al. TNM 8th edition in thyroid cancer staging: Is there an improvement in predicting recurrence? Endocr. Relat. Cancer 2020, 27, 325–336. [Google Scholar] [CrossRef] [PubMed]
- Yong, J.S.-E.; Loh, K.S.; Petersson, B.F.; Thong, M. Multinodular goiter: A study of malignancy risk in nondominant nodules. Ear Nose Throat J. 2017, 96, 336–340. [Google Scholar] [CrossRef] [PubMed]
- Soares, M.N.; Borges-Canha, M.; Neves, C.; Neves, J.S.; Carvalho, D. The role of Graves’ disease in the development of thyroid nodules and thyroid cancer. Eur. Thyroid. J. 2023, 12, e230055. [Google Scholar] [CrossRef] [PubMed] [PubMed Central]
- Vita, O.; Dema, A.; Barna, R.; Cornea, R.; Brebu, D.; Vlad, M.; Popa, O.; Muntean, I.; Szilagyi, D.; Iacob, M.; et al. Primary Thyroid Lymphoma: A Retrospective-Observational Study in a Single Institutional Center. Medicina 2024, 60, 476. [Google Scholar] [CrossRef] [PubMed] [PubMed Central]
- Noureldine, S.I.; Tufano, R.P. Association of Hashimoto’s thyroiditis and thyroid cancer. Curr. Opin. Oncol. 2015, 27, 21–25. [Google Scholar] [CrossRef] [PubMed]
- Araque, K.A.; Gubbi, S.; Klubo-Gwiezdzinska, J. Updates on the Management of Thyroid Cancer. Horm. Metab. Res. 2020, 52, 562–577. [Google Scholar] [CrossRef] [PubMed] [PubMed Central]
- Zhang, C.; Li, Y.; Li, J.; Chen, X. Total thyroidectomy versus lobectomy for papillary thyroid cancer. Medicine 2020, 99, e19073. [Google Scholar] [CrossRef] [PubMed] [PubMed Central]
- Carling, T.; Udelsman, R. Thyroid Cancer. Annu. Rev. Med. 2014, 65, 125–137. [Google Scholar] [CrossRef] [PubMed]
- Grani, G.; Lamartina, L.; Durante, C.; Filetti, S.; Cooper, D.S. Follicular thyroid cancer and Hürthle cell carcinoma: Challenges in diagnosis, treatment, and clinical management. Lancet Diabetes Endocrinol. 2018, 6, 500–514. [Google Scholar] [CrossRef] [PubMed]
- Daniels, G.H. Follicular Thyroid Carcinoma: A Perspective. Thyroid 2018, 28, 1229–1242. [Google Scholar] [CrossRef] [PubMed]
- Molinaro, E.; Romei, C.; Biagini, A.; Sabini, E.; Agate, L.; Mazzeo, S.; Materazzi, G.; Sellari-Franceschini, S.; Ribechini, A.; Torregrossa, L.; et al. Anaplastic thyroid carcinoma: From clinicopathology to genetics and advanced therapies. Nat. Rev. Endocrinol. 2017, 13, 644–660. [Google Scholar] [CrossRef] [PubMed]
- Ibrahimpasic, T.; Ghossein, R.; Shah, J.P.; Ganly, I. Poorly Differentiated Carcinoma of the Thyroid Gland: Current Status and Future Prospects. Thyroid 2019, 29, 311–321. [Google Scholar] [CrossRef] [PubMed] [PubMed Central]
- Ceolin, L.; Duval, M.A.d.S.; Benini, A.F.; Ferreira, C.V.; Maia, A.L. Medullary thyroid carcinoma beyond surgery: Advances, challenges, and perspectives. Endocr. Relat. Cancer 2019, 26, R499–R518. [Google Scholar] [CrossRef] [PubMed]
- Thomas, C.M.; Asa, S.L.; Ezzat, S.; Sawka, A.M.; Goldstein, D. Diagnosis and pathologic characteristics of medullary thyroid carcinoma—Review of current guidelines. Curr. Oncol. 2019, 26, 338–344. [Google Scholar] [CrossRef] [PubMed] [PubMed Central]
- Puga, F.M.; Al Ghuzlan, A.; Hartl, D.M.; Bani, M.-A.; Moog, S.; Pani, F.; Breuskin, I.; Guerlain, J.; Faron, M.; Denadreis, D.; et al. Impact of lymphovascular invasion on otherwise low-risk papillary thyroid carcinomas: A retrospective and observational study. Endocrine 2024, 83, 150–159. [Google Scholar] [CrossRef] [PubMed] [PubMed Central]
- Shaha, A.R.; Ghossein, R.; Tuttle, R.M. Lymphovascular invasion and active surveillance in thyroid cancer. Eur. J. Surg. Oncol. (EJSO) 2020, 46, 1775–1776. [Google Scholar] [CrossRef] [PubMed]
- Bestepe, N.; Dirikoc, A.; Baser, H.; Yazicioglu, O.; Aksoy, A.A.; Topaloglu, O.; Ersoy, R.; Cakir, B. Clinical and pathological features of thyroid cancer in adolescents and young adults. Endocr. Abstr. 2021, 73, AEP882. [Google Scholar] [CrossRef]
- Kaouache, N.; Zouraghen, B.; Merabet, S.; Menacer, S.; Grari, S.; Habi, C.; Boulefkhad, R.; Azzouz, N.; Lezzar, A.K.; Nouri, N. AACE2021-A-1098: Clinical and Pathological Characteristics of Thyroid Cancer in Adolescents and Young Adults (AYA): An Algerian Observation. Endocr. Pr. 2021, 27, S31. [Google Scholar] [CrossRef]
- Wang, L.Y.; Ganly, I. Nodal Metastases in Thyroid Cancer: Prognostic Implications and Management. Futur. Oncol. 2016, 12, 981–994, Erratum in Future Oncol. 2016, 12, 2659. [Google Scholar] [CrossRef] [PubMed] [PubMed Central]
- Ito, Y.; Fukushima, M.; Tomoda, C.; Inoue, H.; Kihara, M.; Higashiyama, T.; Uruno, T.; Takamura, Y.; Miya, A.; Kobayashi, K.; et al. Prognosis of Patients with Papillary Thyroid Carcinoma Having Clinically Apparent Metastasis to the Lateral Compartment. Endocr. J. 2009, 56, 759–766. [Google Scholar] [CrossRef] [PubMed]





| Parameters | Group I <45 Years (%) | Group II ≥45 Years (%) | p-Value | |
|---|---|---|---|---|
| Sex | Men | 10 (19.23) | 19 (11.95) | 0.2444 |
| Females | 42 (80.77) | 140 (88.05) | ||
| Origin | Urban | 29 (56.86) | 101 (64.33) | 0.4055 |
| Rural | 22 (43.14) | 56 (35.67) | ||
| Type of intervention | Total thyroidectomy | 40 (76.92) | 146 (91.82) | 0.0058 |
| Subtotal right lobectomy | 7 (13.46) | 4 (2.52) | ||
| Subtotal left lobectomy | 5 (9.62) | 7 (4.40) | ||
| Tumor fragments (excision biopsy) | 0 | 2 (1.26) | ||
| Associated thyroid pathology | Thyroid follicular nodular disease (FND) | 15 (27.27) | 98 (54.75) | 0.0004 |
| Lymphocytic chronic thyroiditis | 18 (32.73) | 42 (23.46) | ||
| Graves–Basedow disease | 4 (7.27) | 5 (2.79) | ||
| Follicular adenoma | 1 (1.82) | 13 (7.26) | ||
| Granulomatous thyroiditis | 0 | 2 (1.12) | ||
| Fibrous thyroiditis | 0 | 1 (0.56) | ||
| Primary hyperparathyroidism | 1 (1.82)0 | 0 | ||
| Hodgkin’s lymphoma | 1 (1.82) | 0 | ||
| Without relevant associated pathologies | 15 (27.27) | 18 (10.06) | ||
| Histological subtype of thyroid cancer | Papillary microcarcinoma | 18 (33.33) | 87 (50.88) | 0.1211 |
| Papillary carcinoma (PTC) | 28 (51.85) | 56 (32.75) | ||
| Follicular carcinoma (FTC) | 3 (5.56) | 8 (4.68) | ||
| Well-differentiated tumor of uncertain malignant potential (WDT-UMP) | 5 (9.26) | 11 (6.43) | ||
| Poorly differentiated (PDTC) and anaplastic carcinoma (ATC) | 0 | 5 (2.92) | ||
| Medullary carcinoma (MTC) | 0 | 3 (1.75) | ||
| Thyroid lymphoma | 0 | 1 (0.58) | ||
| Location of the tumor | One lobe | 34 (65.38) | 111 (70.70) | 0.0430 |
| Both lobes | 11 (21.15) | 40 (25.48) | ||
| Extrathyroidal | 7 (13.46) | 6 (3.82) | ||
| Capsular invasion | Present | 11 (21.15) | 20 (12.74) | 0.1756 |
| Absent | 41 (78.85) | 137 (87.26) | ||
| Lympho-vascular invasion | Present | 12 (23.08) | 12 (7.64) | 0.0048 |
| Absent | 40 (76.92) | 145 (92.36) | ||
| Perineural tumor invasion | Present | 1 (1.92) | 6 (3.82) | 0.6835 |
| Absent | 51 (98.08) | 151 (96.18) | ||
| pT classification | pTx | 7 (13.46) | 14 (8.81) | 0.1615 |
| pT1a | 17 (32.69) | 87 (54.72) | ||
| pT1b | 15 (28.85) | 31 (19.50) | ||
| pT2 | 5 (9.62) | 14 (8.81) | ||
| pT3a | 5 (9.62) | 7 (4.40) | ||
| pT3b | 3 (5.77) | 5 (3.14) | ||
| pT4a | 0 | 1 (0.63) | ||
| Regional lymph nodes status (pN) | pNx | 36 (69.23) | 135 (84.91) | 0.0092 |
| pN0 | 9 (17.31) | 19 (11.95) | ||
| pN1 | 7 (13.46) | 5 (3.14) |
| Group I <45 Years Old | Group II ≥45 Years Old | ||||||
|---|---|---|---|---|---|---|---|
| L-VI Present | L-VI Absent | p-Value | L-VI Present | L-VI Absent | p-Value | ||
| Capsular invasion present | 9 | 2 | <0.0001 | Capsular invasion present | 8 | 12 | <0.0001 |
| Capsular invasion absent | 3 | 38 | Capsular invasion absent | 4 | 133 | ||
| Group I <45 Years Old | Group II ≥45 Years Old | ||||||
|---|---|---|---|---|---|---|---|
| L-VI Present | L-VI Absent | p-Value | L-VI Present | L-VI Absent | p-Value | ||
| Extrathyroidal tumor extension present | 6 | 1 | 0.0003 | Extrathyroidal tumor extension present | 5 | 1 | <0.0001 |
| Extrathyroidal tumor extension absent | 6 | 39 | Extrathyroidal tumor extension absent | 7 | 144 | ||
| Pn Present | Pn Absent | p-Value | |
|---|---|---|---|
| Capsular invasion—present | 5 | 26 | 0.0009 |
| Capsular invasion—absent | 2 | 176 | |
| L-VI—present | 4 | 20 | 0.0038 |
| L-VI—absent | 3 | 182 | |
| Extrathyroidal extension | 2 | 11 | 0.0368 |
| Involvement of both thyroid lobes | 2 | 49 | |
| Involvement of a single thyroid lobe | 3 | 142 |
Disclaimer/Publisher’s Note: The statements, opinions and data contained in all publications are solely those of the individual author(s) and contributor(s) and not of MDPI and/or the editor(s). MDPI and/or the editor(s) disclaim responsibility for any injury to people or property resulting from any ideas, methods, instructions or products referred to in the content. |
© 2024 by the authors. Licensee MDPI, Basel, Switzerland. This article is an open access article distributed under the terms and conditions of the Creative Commons Attribution (CC BY) license (https://creativecommons.org/licenses/by/4.0/).
Share and Cite
Jurescu, A.; Brebu, D.; Faur, A.C.; Vita, O.; Barna, R.; Vaduva, A.; Popa, O.; Muresan, A.; Iacob, M.; Cornianu, M.; et al. Clinical–Pathological Features of Thyroid Neoplasms in Young Patients Diagnosed in a Single Center. Life 2024, 14, 696. https://doi.org/10.3390/life14060696
Jurescu A, Brebu D, Faur AC, Vita O, Barna R, Vaduva A, Popa O, Muresan A, Iacob M, Cornianu M, et al. Clinical–Pathological Features of Thyroid Neoplasms in Young Patients Diagnosed in a Single Center. Life. 2024; 14(6):696. https://doi.org/10.3390/life14060696
Chicago/Turabian StyleJurescu, Aura, Dan Brebu, Alexandra Corina Faur, Octavia Vita, Robert Barna, Adrian Vaduva, Oana Popa, Anca Muresan, Mihaela Iacob, Marioara Cornianu, and et al. 2024. "Clinical–Pathological Features of Thyroid Neoplasms in Young Patients Diagnosed in a Single Center" Life 14, no. 6: 696. https://doi.org/10.3390/life14060696
APA StyleJurescu, A., Brebu, D., Faur, A. C., Vita, O., Barna, R., Vaduva, A., Popa, O., Muresan, A., Iacob, M., Cornianu, M., & Cornea, R. (2024). Clinical–Pathological Features of Thyroid Neoplasms in Young Patients Diagnosed in a Single Center. Life, 14(6), 696. https://doi.org/10.3390/life14060696

