What to Do When There Is Something Unexpected?
Abstract
1. Introduction
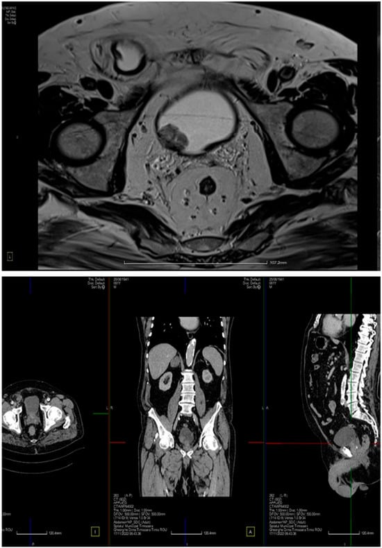
2. Case Presentation
3. Discussion
4. Conclusions
Author Contributions
Funding
Institutional Review Board Statement
Informed Consent Statement
Data Availability Statement
Conflicts of Interest
Correction Statement
References
- Lucà, F.; Parrini, I.; Abrignani, M.G.; Rao, C.M.; Piccioni, L.; Di Fusco, S.A.; Ceravolo, R.; Bisceglia, I.; Riccio, C.; Gelsomino, S.; et al. Management of Acute Coronary Syndrome in Cancer Patients: It’s High Time We Dealt with It. J. Clin. Med. 2022, 11, 1792. [Google Scholar] [CrossRef]
- Rohrmann, S.; Witassek, F.; Erne, P.; Rickli, H.; Radovanovic, D. Treatment of Patients with Myocardial Infarction Depends on History of Cancer. Eur. Heart J. Acute Cardiovasc. Care 2018, 7, 639–645. [Google Scholar] [CrossRef]
- Wang, F.; Gulati, R.; Lennon, R.J.; Lewis, B.R.; Park, J.; Sandhu, G.S.; Wright, R.S.; Lerman, A.; Herrmann, J. Cancer History Portends Worse Acute and Long-term Noncardiac (but Not Cardiac) Mortality after Primary Percutaneous Coronary Intervention for Acute ST-Segment Elevation Myocardial Infarction. Mayo Clin. Proc. 2016, 91, 1680–1692. [Google Scholar] [CrossRef]
- Libby, P.; Kobold, S. Inflammation: A Common Contributor to Cancer, Aging, and Cardiovascular Diseases—Expandingthe Concept of Cardio-Oncology. Cardiovasc. Res. 2019, 115, 824–829. [Google Scholar] [CrossRef]
- Mitrugno, A.; Tormoen, G.W.; Kuhn, P.; McCarty, O.J. The Prothrombotic Activity of Cancer Cells in the Circulation. Blood Rev. 2016, 30, 11–19. [Google Scholar] [CrossRef]
- Caine, G.J.; Stonelake, P.S.; Lip, G.Y.H.; Kehoe, S.T. The Hypercoagulable State of Malignancy: Pathogenesis and Current Debate. Neoplasia 2002, 4, 465–473. [Google Scholar] [CrossRef]
- Mrotzek, S.M.; Lena, A.; Hadzibegovic, S.; Ludwig, R.; Al-Rashid, F.; Mahabadi, A.A.; Mincu, R.I.; Michel, L.; Johannsen, L.; Hinrichs, L.; et al. Assessment of coronary artery disease during hospitalization for cancer treatment. Clin. Res. Cardiol. 2021, 110, 200–210. [Google Scholar] [CrossRef]
- Radmilovic, J.; Di Vilio, A.; D’andrea, A.; Pastore, F.; Forni, A.; Desiderio, A.; Ragni, M.; Quaranta, G.; Cimmino, G.; Russo, V.; et al. The Pharmacological Approach to Oncologic Patients with Acute Coronary Syndrome. J. Clin. Med. 2020, 9, 3926. [Google Scholar] [CrossRef]
- Milazzo, V.; Cosentino, N.; Campodonico, J.; Lucci, C.; Cardinale, D.; Cipolla, C.M.; Marenzi, G. Characteristics, Management, and Outcomes of Acute Coronary Syndrome Patients with Cancer. J. Clin. Med. 2020, 9, 3642. [Google Scholar] [CrossRef]
- Zaleska, M.; Mozenska, O.; Bil, J. Statins Use and Cancer: An Update. Futur. Oncol. 2018, 14, 1497–1509. [Google Scholar] [CrossRef]
- Iannaccone, M.; D’Ascenzo, F.; Vadalà, P.; Wilton, S.B.; Noussan, P.; Colombo, F.; Raposeiras-Roubín, S.; Abu-Assi, E.; González-Juanatey, J.R.; Henriques, J.P.S.; et al. Prevalence and Outcome of Patients with Cancer and Acute Coronary Syndrome Undergoing Percutaneous Coronary Intervention: A BleeMACSSub-study. Eur. Heart J. Acute Cardiovasc. Care 2017, 7, 631–638. [Google Scholar] [CrossRef]
- Yusuf, S.W.; Daraban, N.; Abbasi, N.; Lei, X.; Durand, J.-B.; Daher, I.N. Treatment and Outcomes of Acute Coronary Syndrome in the Cancer Population. Clin. Cardiol. 2012, 35, 443–450. [Google Scholar] [CrossRef]
- Pravecek, M.K.P.M.K.; Miskic, B.M.B.; Lukenda, K.C.L.K.C. Cancer and Acute Coronary Syndrome. Eur. J. Prev. Cardiol. 2023, 30 (Suppl. S1), zwad125.278. [Google Scholar] [CrossRef]
- Raposeiras-Roubín, S.; Abu-Assi, E.; Muñoz-Pousa, I.; Rossello, X.; Cespón-Fernández, M.; Viu, M.M.; Caneiro-Queija, B.; Cobas-Paz, R.; Bastos, G.; Iñíguez-Romo, A. Usefulness of Bleeding after Acute Coronary Syndromes for Unmasking Silent Cancer. Am. J. Cardiol. 2020, 125, 1801–1808, ISSN 0002-9149. [Google Scholar] [CrossRef]
- Wallis, C.J.D.; Juvet, T.; Lee, Y.; Matta, R.; Herschorn, S.; Kodama, R.; Kulkarni, G.S.; Satkunasivam, R.; Geerts, W.; McLeod, A.; et al. Association between Use of Antithrombotic Medication and Hematuria-Related Complications. JAMA 2017, 318, 1260–1271. [Google Scholar] [CrossRef]
- Donin, N.; Filson, C.; Drakaki, A.; Tan, H.; Castillo, A.; Kwan, L.; Litwin, M.; Chamie, K. Risk of second primary malignancies among cancer survivors in the United States, 1992 through 2008. Cancer 2016, 122, 3075–3086. [Google Scholar] [CrossRef]
- Munker, R.; Hiller, E.; Melnyk, A.; Gutjahr, P. Second malignancies. Int. J. Oncol. 1996, 9, 763–776. [Google Scholar] [CrossRef]
- Subherwal, S.; Bach, R.G.; Chen, A.Y.; Gage, B.F.; Rao, S.V.; Newby, L.K.; Wang, T.Y.; Gibler, W.B.; Ohman, E.M.; Roe, M.T.; et al. Baseline risk of major bleeding in non-ST-segment-elevation myocardial infarction: The CRUSADE (Can Rapid risk stratification of Unstable angina patients Suppress ADverse outcomes with Early implementation of the ACC/AHA Guidelines) Bleeding Score. Circulation 2009, 119, 1873–1882. [Google Scholar] [CrossRef]
- Ferrero, T.G.; Álvarez, B.; Cordero, A.; Martínez, J.M.; Antonio, C.C.; Sestayo-Fernández, M.; Bouzas-Cruz, N.; Muiños, P.A.; Casas, C.A.J.; García, O.; et al. Early angiography in elderly patients with non-ST-segment elevation acute coronary syndrome: The cardio CHUS-HUSJ registry. Int. J. Cardiol. 2022, 351, 8–14. [Google Scholar] [CrossRef]
- Fishman, B.; Sharon, A.; Itelman, E.; Tsur, A.M.; Fefer, P.; Barbash, I.M.; Segev, A.; Matetzky, S.; Guetta, V.; Grossman, E.; et al. Invasive Management in Older Adults (n elderly patients with non-ST-segment elevation acute coronary syndrome. Mayo Clin. Proc. 2022, 97, 1247–1256. [Google Scholar] [CrossRef]
- Shobayo, F.; Bajwa, M.; Koutroumpakis, E.; Hassan, S.A.; Palaskas, N.L.; Iliescu, C.; Abe, J.-I.; Mouhayar, E.; Karimzad, K.; Thompson, K.A.; et al. Acute coronary syndrome in patients with cancer. Expert Rev. Cardiovasc. Ther. 2022, 20, 275–290. [Google Scholar] [CrossRef]
- Bima, P.; Lopez-Ayala, P.; Koechlin, L.; Boeddinghaus, J.; Nestelberger, T.; Okamura, B.; Muench-Gerber, T.S.; Sanzone, A.; Skolozubova, D.; Djurdjevic, D.; et al. Chest Pain in Cancer Patients: Prevalence of Myocardial Infarction and Performance of High-Sensitivity Cardiac Troponins. JACC CardioOncol. 2023, 5, 591–609. [Google Scholar] [CrossRef]
- Freund, O.; Azolai, L.; Sror, N.; Zeeman, I.; Kozlovsky, T.; Greenberg, S.A.; Epstein Weiss, T.; Bornstein, G.; Tchebiner, J.Z.; Frydman, S. Diagnostic delays among COVID-19 patients with a second concurrent diagnosis. J. Hosp. Med. 2023, 18, 321–328. [Google Scholar] [CrossRef]



Disclaimer/Publisher’s Note: The statements, opinions and data contained in all publications are solely those of the individual author(s) and contributor(s) and not of MDPI and/or the editor(s). MDPI and/or the editor(s) disclaim responsibility for any injury to people or property resulting from any ideas, methods, instructions or products referred to in the content. |
© 2024 by the authors. Licensee MDPI, Basel, Switzerland. This article is an open access article distributed under the terms and conditions of the Creative Commons Attribution (CC BY) license (https://creativecommons.org/licenses/by/4.0/).
Share and Cite
Ivan, V.S.; Lighezan, D.-F.; Ardelean, M.; Balteș, N.; Faur, A.C.; Ciubotaru, P.-G.; Cutina-Morgovan, A.-F.; Buzaș, R. What to Do When There Is Something Unexpected? Life 2024, 14, 213. https://doi.org/10.3390/life14020213
Ivan VS, Lighezan D-F, Ardelean M, Balteș N, Faur AC, Ciubotaru P-G, Cutina-Morgovan A-F, Buzaș R. What to Do When There Is Something Unexpected? Life. 2024; 14(2):213. https://doi.org/10.3390/life14020213
Chicago/Turabian StyleIvan, Vlad Sabin, Daniel-Florin Lighezan, Melania Ardelean, Nicoleta Balteș, Alexandra Corina Faur, Paul-Gabriel Ciubotaru, Adina-Flavia Cutina-Morgovan, and Roxana Buzaș. 2024. "What to Do When There Is Something Unexpected?" Life 14, no. 2: 213. https://doi.org/10.3390/life14020213
APA StyleIvan, V. S., Lighezan, D.-F., Ardelean, M., Balteș, N., Faur, A. C., Ciubotaru, P.-G., Cutina-Morgovan, A.-F., & Buzaș, R. (2024). What to Do When There Is Something Unexpected? Life, 14(2), 213. https://doi.org/10.3390/life14020213

