From Bank Preparation to Clinical Use of Homologous Skin Allografts in Wound Healing: A Sustainable Approach
Abstract
1. Introduction
2. Materials and Methods
2.1. Ethics
2.2. Siena Skin Bank
2.3. Donor Selection
2.4. Skin Bank Tissue Grafts
2.4.1. Cryopreservation
2.4.2. Glycerol Preservation
2.4.3. Decellularization, Freeze-Drying, and Gamma Irradiation of Dermal Matrices
2.5. Morphologic and Functional Tests
2.6. Cell Viability
2.7. Histology
2.8. Immunohistochemical Investigations
2.9. Clinical Application of Skin Allografts in Wound-Healing
2.9.1. Clinical Application Fields
2.9.2. Grafting Protocol
2.9.3. Simple Skin Grafts
2.9.4. Composite Skin Grafts (Sandwich Technique)
2.9.5. Skin Grafts in Dermatologic-Plastic Surgery
2.10. Clinical-Laboratory Correlates in Daily Practice
2.11. Statistical Analysis
3. Results
3.1. Viability Testing
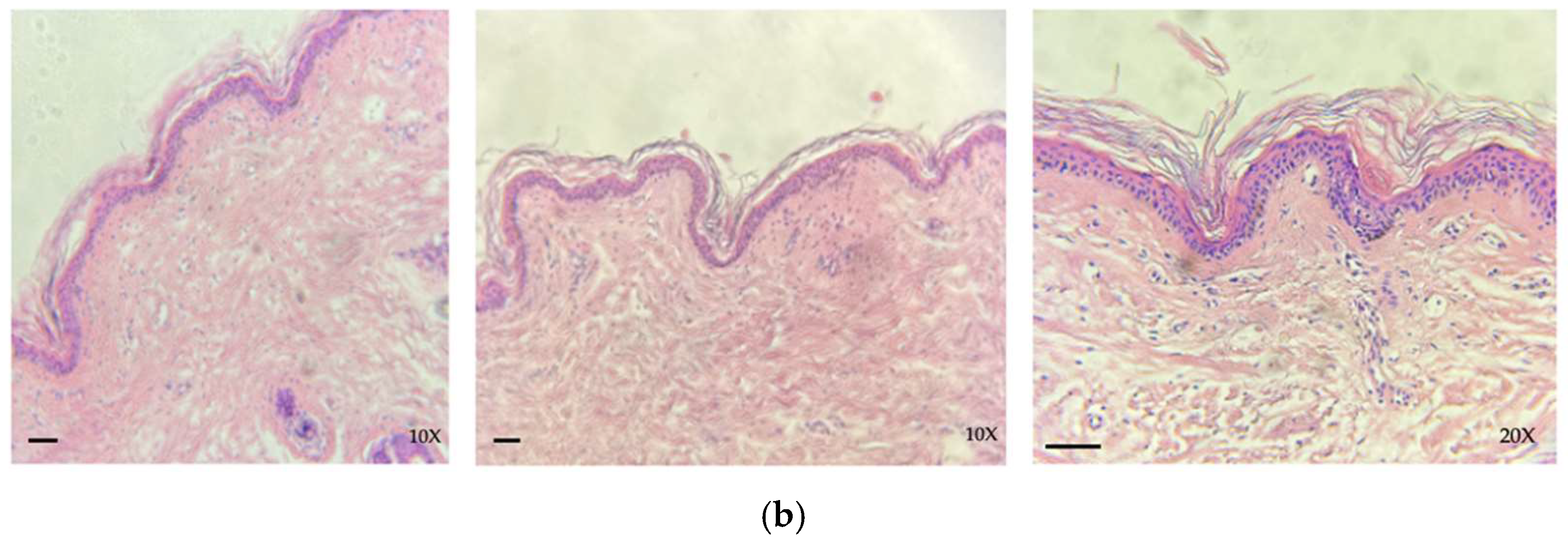
3.2. Histologic Investigations
3.2.1. Cryopreserved Tissue
3.2.2. Glycerol-Preserved Tissue
3.2.3. Decellularized-Lyophilized Tissue
3.3. Immunohistochemical Investigations
3.3.1. Expression of Collagen IV
3.3.2. Expression of Ki-67
3.4. Clinical-Laboratory Outcomes
3.4.1. Heat Burn Patients
3.4.2. Chemical Burns
3.4.3. Surgical Dehiscence
3.4.4. Traumatic Wounds
3.4.5. Inflammatory Wounds
3.4.6. Vascular Wounds
4. Discussion
5. Conclusions
Author Contributions
Funding
Institutional Review Board Statement
Informed Consent Statement
Data Availability Statement
Acknowledgments
Conflicts of Interest
References
- Sorg, H.; Tilkorn, D.J.; Hager, S.; Hauser, J.; Mirastschijski, U. Skin Wound Healing: An Update on the Current Knowledge and Concepts. Eur. Surg. Res. 2017, 58, 81–94. [Google Scholar] [CrossRef]
- Baron, J.M.; Glatz, M.; Proksch, E. Optimal Support of Wound Healing: New Insights. Dermatology 2020, 236, 593–600. [Google Scholar] [CrossRef]
- Han, G.; Ceilley, R. Chronic Wound Healing: A Review of Current Management and Treatments. Adv. Ther. 2017, 34, 599–610. [Google Scholar] [CrossRef]
- Jung, K.; Covington, S.; Sen, C.K.; Januszyk, M.; Kirsner, R.S.; Gurtner, G.C.; Shah, N.H. Rapid Identification of Slow Healing Wounds. Wound Repair. Regen. 2016, 24, 181–188. [Google Scholar] [CrossRef]
- Elseth, A.; Nunez Lopez, O. Wound Grafts. In StatPearls; StatPearls Publishing: Treasure Island, FL, USA, 2024. Available online: https://www.ncbi.nlm.nih.gov/books/NBK564382/ (accessed on 1 April 2024).
- Kearney, J.N. Guidelines on Processing and Clinical Use of Skin Allografts. Clin. Dermatol. 2005, 23, 357–364. [Google Scholar] [CrossRef]
- Vecin, N.M.; Kirsner, R.S. Skin Substitutes as Treatment for Chronic Wounds: Current and Future Directions. Front. Med. 2023, 10, 1154567. [Google Scholar] [CrossRef]
- Pianigiani, E.; Ierardi, F.; Cherubini Di Simplicio, F.; Andreassi, A. Skin Bank Organization. Clin. Dermatol. 2005, 23, 353–356. [Google Scholar] [CrossRef]
- Choi, Y.H.; Cho, Y.S.; Lee, J.H.; Choi, Y.; Noh, S.Y.; Park, S.; Sung, C.; Lim, J.K.; Kim, J.; Shin, J.J.; et al. Cadaver Skin Allograft May Improve Mortality Rate for Burns Involving over 30% of Total Body Surface Area: A Propensity Score Analysis of Data from Four Burn Centers. Cell Tissue Bank. 2018, 19, 645–651. [Google Scholar] [CrossRef]
- Ben-Bassat, H. Performance and safety of skin allografts. Clin. Dermatol. 2005, 23, 365–375. [Google Scholar] [CrossRef]
- Schlottmann, F.; Strauß, S.; Ziesing, S.; Reineke, C.; Ipaktchi, R.; Weyand, B.; Krezdorn, N.; Vogt, P.M.; Bucan, V. Organization of Hannover Skin Bank: Sterile Culture and Procurement Protocols for Viable Cryopreserved Allogeneic Skin Grafts of Living Donors. Int. Wound J. 2024, 21, e14374. [Google Scholar] [CrossRef]
- Pianigiani, E.; Risulo, M.; Ierardi, F.; Sbano, P.; Andreassi, L.; Fimiani, M.; Caudai, C.; Valensin, P.E.; Zazzi, M. Prevalence of Skin Allograft Discards as a Result of Serological and Molecular Microbiological Screening in a Regional Skin Bank in Italy. Burns 2006, 32, 348–351. [Google Scholar] [CrossRef]
- European Commission. EudraLex—Volume 4—Good Manufacturing Practice (GMP) Guidelines. 2010. Available online: https://ec.europa.eu/health/documents/eudralex/vol-4_en (accessed on 10 June 2024).
- European Directorate for the Quality of Medicines & Health Care (EDQM). Guide to the Quality and Safety of Tissues and Cells for Human Application, 5th ed.; Council of Europe: Strasbourg, France, 2022. [Google Scholar]
- Linee Guida per il Prelievo, la Processazione e la Distribuzione dei Tessuti a Scopo di Trapianto. Centro Nazionale per i Trapianti (CNT). Linee guida Centro Nazionale Tra- pianti 14 settembre 2016, LG.Tessuti. Available online: https://www.trapianti.salute.gov.it/trapianti/homeCnt.jsp (accessed on 1 March 2024).
- EN ISO 14644-1: 2015; Cleanrooms and Associated Controlled Environments—Part 1: Classification of Air Cleanliness by Particle Concentration. ISO Technical Committee 209 (ISO/TC 209). ISO: Geneva, Switzerland, 2015.
- EN ISO 14644-4: 2001; Cleanrooms and Associated Controlled Environments—Part 4: Design, Construction and Start-Up. ISO Technical Committee 209 (ISO/TC 209). ISO: Geneva, Switzerland, 2001.
- EN ISO 14644-2: 2015; Cleanrooms and Associated Controlled Environments—Part 2: Monitoring to Provide Evidence of Cleanroom Performance Related to Air Cleanliness by Particle Concentration; ISO Technical Committee 209 (ISO/TC 209). ISO: Geneva, Switzerland, 2015.
- Amoroso, L.; Fratini, A.; Baronti, R.; Ierardi, F.; Migliaccio, M.L.; Di Schiena, M.; Rubegni, P.; Pianigiani, E. Skin Donations after Suicide by Acute Poisoning. Cell Tissue Bank. 2023, 24, 265–272. [Google Scholar] [CrossRef]
- Pianigiani, E.; Tognetti, L.; Ierardi, F.; Mariotti, G.; Rubegni, P.; Cevenini, G.; Perotti, R.; Fimiani, M. Assessment of Cryopreserved Donor Skin Viability: The Experience of the Regional Tissue Bank of Siena. Cell Tissue Bank. 2016, 17, 241–253. [Google Scholar] [CrossRef]
- Gaucher, S.; Jarraya, M. Cryopreserved Human Skin Allografts: Efficacy and Viability. Burns 2014, 40, 526–527. [Google Scholar] [CrossRef]
- Tognetti, L.; Pianigiani, E.; Ierardi, F.; Mariotti, G.; Perotti, R.; Di Lonardo, A.; Rubegni, P.; Fimiani, M. Current Insights into Skin Banking: Storage, Preservation and Clinical Importance of Skin Allografts. BSAM 2017, 5, 41–56. [Google Scholar] [CrossRef]
- Cleland, H.; Wasiak, J.; Dobson, H.; Paul, M.; Pratt, G.; Paul, E.; Herson, M.; Akbarzadeh, S. Clinical Application and Viability of Cryopreserved Cadaveric Skin Allografts in Severe Burn: A Retrospective Analysis. Burns 2014, 40, 61–66. [Google Scholar] [CrossRef]
- Bravo, D.; Rigley, T.H.; Gibran, N.; Strong, D.M.; Newman-Gage, H. Effect of Storage and Preservation Methods on Viability in Transplantable Human Skin Allografts. Burns 2000, 26, 367–378. [Google Scholar] [CrossRef]
- Castagnoli, C.; Alotto, D.; Cambieri, I.; Casimiri, R.; Aluffi, M.; Stella, M.; Alasia, S.T.; Magliacani, G. Evaluation of Donor Skin Viability: Fresh and Cryopreserved Skin Using Tetrazolioum Salt Assay. Burns 2003, 29, 759–767. [Google Scholar] [CrossRef]
- Franchini, M.; Zanini, D.; Bosinelli, A.; Fiorini, S.; Rizzi, S.; D’Aloja, C.; Vassanelli, A.; Gandini, G.; Aprili, G. Evaluation of Cryopreserved Donor Skin Viability: The Experience of the Regional Tissue Bank of Verona. Blood Transfus. 2009, 7, 100–105. [Google Scholar] [CrossRef]
- Mat Saad, A.Z.; Khoo, T.L.; Dorai, A.A.; Halim, A.S. The Versatility of a Glycerol-Preserved Skin Allograft as an Adjunctive Treatment to Free Flap Reconstruction. Indian. J. Plast. Surg. 2009, 42, 94–99. [Google Scholar] [CrossRef]
- Hermans, M.H.E. Preservation Methods of Allografts and Their (Lack of) Influence on Clinical Results in Partial Thickness Burns. Burns 2011, 37, 873–881. [Google Scholar] [CrossRef]
- Mosti, G.; Mattaliano, V.; Picerni, P.; Christou, C. Skin Grafting in the Treatment of Hard-to-Heal Leg Ulcers. Ital. J. Wound Care 2018, 2. [Google Scholar] [CrossRef]
- Rhee, P.H.; Friedman, C.D.; Ridge, J.A.; Kusiak, J. The Use of Processed Allograft Dermal Matrix for Intraoral Resurfacing: An Alternative to Split-Thickness Skin Grafts. Arch. Otolaryngol. Head. Neck Surg. 1998, 124, 1201. [Google Scholar] [CrossRef][Green Version]
- Debels, H.; Hamdi, M.; Abberton, K.; Morrison, W. Dermal Matrices and Bioengineered Skin Substitutes: A Critical Review of Current Options. Plast. Reconstr. Surg. Glob. Open 2015, 3, e284. [Google Scholar] [CrossRef]
- Bako, A.; Dhar, R. Review of Synthetic Mesh-Related Complications in Pelvic Floor Reconstructive Surgery. Int. Urogynecol J. Pelvic Floor. Dysfunct. 2009, 20, 103–111. [Google Scholar] [CrossRef]
- Askari, M.; Cohen, M.J.; Grossman, P.H.; Kulber, D.A. The Use of Acellular Dermal Matrix in Release of Burn Contracture Scars in the Hand. Plast. Reconstr. Surg. 2011, 127, 1593–1599. [Google Scholar] [CrossRef]
- EN 17141: 2020; Cleanrooms and Associated Controlled Environments—Biocontamination Control. Available online: https://standards.iteh.ai/catalog/standards/cen/786bdc13-6821-4f3d-800a-96e24631df62/en-17141-2020 (accessed on 25 July 2022).
- Fimiani Bello, Y.M.; Falabella, A.F. Use of skin substitutes in dermatology. Dermatol. Clin. 2001, 19, 555–561. [Google Scholar] [CrossRef]
- Petrie, K.; Cox, C.T.; Becker, B.C.; MacKay, B.J. Clinical applications of acellular dermal matrices: A review. Scars Burn. Heal. 2022, 8, 20595131211038313. [Google Scholar] [CrossRef]
- Tognetti, L.; Ierardi, F.; Mariotti, G.; Petruzzelli, A.; Pompella, G.; Fimiani, M.; Rubegni, P. Skin Bank Bioproducts: The Basics. Technol. Pract. Dermatol. 2020, 41, 433–441. [Google Scholar] [CrossRef]
- Tognetti, L.; DePiano, E.; Perotti, R.; Cencetti, C.; Panzano, C.; Zerini, F.; De Donato, G.; Palasciano, G.; Gennaro, P.; Lorenzini, G.; et al. Clinical applications of skin bank bioproducts. Technol. Pract. Dermatol. 2020, 42, 443–449. [Google Scholar] [CrossRef]
- Tognetti, L.; Pianigiani, E.; Ierardi, F.; Lorenzini, G.; Casella, D.; Liso, F.G.; De Pascalis, A.; Cinotti, E.; Rubegni, P. The use of human acellular dermal matrices in advanced wound healing and surgical procedures: State of the art. Dermatol. Ther. 2021, 34, e14987. [Google Scholar] [CrossRef]
- Mosti, G.; Mattaliano, V.; Magliaro, A.; Picerni, P.; Bastiani, L. Cadaveric Skin Grafts May Greatly Increase the Healing Rate of Recalcitrant Ulcers When Used Both Alone and in Combination with Split-Thickness Skin Grafts. Dermatol. Surg. 2020, 46, 169–179. [Google Scholar] [CrossRef] [PubMed]
- Serra, R.; Rizzuto, A.; Rossi, A.; Perri, P.; Barbetta, A.; Abdalla, K.; Caroleo, S.; Longo, C.; Amantea, B.; Sammarco, G.; et al. Skin grafting for the treatment of chronic leg ulcers–a systematic review in evidence-based medicine. Int. Wound J. 2017, 14, 149–157. [Google Scholar] [CrossRef]
- Agarwal, P.; Anoop, J.; Dhananjaya, S. Assessment of biological response of lyophilized cadaveric skin allograft in post burn raw area and nonhealing ulcers. Indian J. Burn. 2016, 24, 13–17. [Google Scholar] [CrossRef]
- Patel, S.; Ziai, K.; Lighthall, J.G.; Walen, S.G. Biologics and acellular dermal matrices in head and neck reconstruction: A comprehensive review. Am. J. Otolaryngol. 2022, 43, 103233. [Google Scholar] [CrossRef]
- Mihalečko, J.; Boháč, M.; Danišovič, Ľ.; Koller, J.; Varga, I.; Kuniaková, M. Acellular Dermal Matrix in Plastic and Reconstructive Surgery. Physiol. Res. 2022, 71 (Suppl. S1), S51–S57. [Google Scholar] [CrossRef]
- Haney, N.M.; Huang, M.M.; Liu, J.L.; Hawksworth, D.J.; Burnett, A.L. Acellular Dermal Matrix Tissues in Genitourinary Reconstructive Surgery: A Review of the Literature and Case Discussions. Sex. Med. Rev. 2021, 9, 488–497. [Google Scholar] [CrossRef]
- Tognetti, L.; Calabrese, L.; Pianigiani, E.; Ierardi, F.; Rubegni, P. Successful Treatment of Pyoderma Gangrenosum with Composite Grafting of Acellular Dermal Matrix and Glycerolized Skin: A Preliminary Experience. Dermatol. Pract. Concept. 2024, 14, e2024076. [Google Scholar] [CrossRef]
- Kagan, R.J.; Robb, E.C.; Plessinger, R.T. Human skin banking. Clin. Lab. Med. 2005, 25, 587–605. [Google Scholar] [CrossRef]
- Kagan, R.J.; Winter, R.; Robb, E.C. The skin bank. In Total Burn Care, 4th ed.; Saunders Elsevier: Edinburgh, UK, 2012; pp. 199–208. [Google Scholar]
- De Backere, A.C. Euro Skin Bank: Large scale skin-banking in Europe based on glycerol-preservation of donor skin. Burns 1994, 20, S4–S9. [Google Scholar] [CrossRef]
- Germain, N.; Hatzfeld, A.S.; Pasquesoone, L.; Danze, P.M.; Guerreschi, P.; Sendid, B.; Gaillot, O.; Marchetti, P. How to improve donor skin availability: Pragmatic procedures to minimize the discard rate of cryopreserved allografts in skin banking. Burns 2021, 47, 387–396. [Google Scholar] [CrossRef] [PubMed]
- Gore, M.A.; De, A.S. Deceased donor skin allograft banking: Response and utilization. Indian J. Plast. Surg. 2010, 43 (Suppl. S01), S114–S120. [Google Scholar] [CrossRef] [PubMed]
- Leon-Villapalos, J.; Eldardiri, M.; Dziewulski, P. The use of human deceased donor skin allograft in burn care. Cell Tissue Bank. 2010, 11, 99–104. [Google Scholar] [CrossRef] [PubMed]
- Mathur, M.; De, A.; Gore, M. Microbiological assessment of cadaver skin grafts received in a Skin Bank. Burns 2009, 35, 104–106. [Google Scholar] [CrossRef]
- van Baare, J.; Ligtvoet, E.E.; Middelkoop, E. Microbiological evaluation of glycerolized cadaveric donor skin. Transplantation 1998, 65, 966–970. [Google Scholar] [CrossRef] [PubMed]
- Sachkov, A.V.; Borovkova, N.V.; Zhirkova, E.A.; Mironov, A.S.; Borisov, V.S.; Spiridonova, T.G.; Ponomarev, I.N.; Svishchev, A.V. Use of cadaver skin in the treatment of wounds. Transplantologiâ 2018, 10, 327–335. [Google Scholar] [CrossRef]
- Verma, A. Skin For Life: Skin Donation And Skin Banking. Educ. Adm. Theory Pract. 2024, 30, 914–924. [Google Scholar] [CrossRef]
- Arunachalam, M.S.; Shetty, A.P.; Giri, S.K.; Shanmugam, S.; Rajendran, M.H. Understanding and Perceptions of Skin Donation and Skin Banking among Health Care Professionals–Tertiary Care Centre in Eastern India. Int. J. Cur. Sci. Res. Rev. 2021, 4, 487–498. [Google Scholar] [CrossRef]
- Michael, A.I.; Ademola, S.A.; Olawoye, O.A.; Iyun, A.O.; Oluwatosin, O.M. Awareness and attitude of doctors and nurses at a teaching hospital to skin donation and banking. Burns 2014, 40, 1609–1614. [Google Scholar] [CrossRef]
- Panse, N.; Panse, S.; Jhingan, M.; Kulkarni, P.; Gandhi, G.; Kulkarni, Y. Knowledge and awareness of skin donation in medical students: Overcoming the barriers. Indian J. Plast. Surg. 2014, 47, 141–143. [Google Scholar] [CrossRef]
- Cazzell, S.; Vayser, D.; Pham, H.; Walters, J.; Reyzelman, A.; Samsell, B.; Dorsch, K.; Moore, M. A randomized clinical trial of a human acellular dermal matrix demonstrated superior healing rates for chronic diabetic foot ulcers over conventional care and an active acellular dermal matrix comparator. Wound Repair Regen 2017, 25, 483–497. [Google Scholar] [CrossRef]
- Zelen, C.M.; Orgill, D.P.; Serena, T.; Galiano, R.; Carter, M.J.; DiDomenico, L.A.; Keller, J.; Kaufman, J.; Li, W.W. A prospective, randomised, controlled, multicentre clinical trial examining healing rates, safety and cost to closure of an acellular reticular allogenic human dermis versus standard of care in the treatment of chronic diabetic foot ulcers. Int. Wound J. 2017, 14, 307–315. [Google Scholar] [CrossRef] [PubMed]
- Dai, C.; Shih, S.; Khachemoune, A. Skin substitutes for acute and chronic wound healing: An updated review. J. Dermatol. Treat. 2020, 31, 639–648. [Google Scholar] [CrossRef] [PubMed]
- Shirakami, E.; Yamakawa, S.; Hayashida, K. Strategies to prevent hypertrophic scar formation: A review of therapeutic interventions based on molecular evidence. Burn. Trauma 2020, 8, tkz003. [Google Scholar] [CrossRef] [PubMed]
- Sheckter, C.C.; Meyerkord, N.L.; Sinskey, Y.L.; Clark, P.; Anderson, K.; Van Vliet, M. The optimal treatment for partial thickness burns: A cost-utility analysis of skin allograft vs. topical silver dressings. J. Burn Care Res. 2020, 41, 450–456. [Google Scholar] [CrossRef]
- Nygaard, R.M.; Endorf, F.W. Effects of demographic and socioeconomic factors on the use of skin substitutes in burn patients. Burn. Open 2017, 1, 59–62. [Google Scholar] [CrossRef]
- Singh, K.; Yadav, V.B.; Yadav, U.; Nath, G.; Srivastava, A.; Zamboni, P.; Kerkar, P.; Saxena, P.S.; Singh, A.V. Evaluation of biogenic nanosilver-acticoat for wound healing: A tri-modal in silico, in vitro and in vivo study. Colloids Surf. A Physicochem. Eng. Asp. 2023, 670, 131575. [Google Scholar] [CrossRef]
- Singh, A.V.; Gemmati, D.; Kanase, A.; Pandey, I.; Misra, V.; Kishore, V.; Jahnke, T.; Bill, J. Nanobiomaterials for vascular biology and wound management: A review. Veins Lymphat. 2018, 7. [Google Scholar] [CrossRef]
- Akita, S.; Hayashida, K.; Yoshimoto, H.; Fujioka, M.; Senju, C.; Morooka, S.; Nishimura, G.; Mukae, N.; Kobayashi, K.; Anraku, K.; et al. Novel Application of Cultured Epithelial Autografts (CEA) with Expanded Mesh Skin Grafting Over an Artificial Dermis or Dermal Wound Bed Preparation. Int. J. Mol. Sci. 2017, 19, 57. [Google Scholar] [CrossRef]


















| OD570 Residual | |||
|---|---|---|---|
| Pre | Post | Residual Vitality (%) | |
| Sample 1 | 0.644 | 0.444 | 69 |
| Sample 2 | 0.952 | 0.564 | 59 |
| Sample 3 | 0.6 | 0.3 | 50 |
| Sample 4 | 1.145 | 0.563 | 49 |
| Sample 5 | 0.426 | 0.207 | 49 |
| Sample 6 | 0.727 | 0.283 | 39 |
| Sample 7 | 0.509 | 0.319 | 63 |
| Sample 8 | 1.496 | 0.374 | 25 |
| Sample 9 | 1.285 | 0.47 | 37 |
| Sample 10 | 0.747 | 0.411 | 55 |
| Sample 11 | 0.943 | 0.618 | 66 |
| Sample 12 | 0.901 | 0.448 | 50 |
| Sample 13 | 1.003 | 0.627 | 63 |
| Mean value | 0.875 ± 3.11 | 0.433 ± 0.134 | 50 |
| Patient Information | Skin Graft Data | Clinical Outcome | ||||||||
|---|---|---|---|---|---|---|---|---|---|---|
| Age (Years) | Sex | Localization | Type of Skin Graft | N° Grafts | Thickness (Mean Value in μm) | Area (Mean Value in cm2) | Total cm2 Skin Used (cm) | MTT | Days for 50% WBS | Days for Healing |
| Heat burns | ||||||||||
| 71 | F | Left arm | Cryopreserved skin | 2 | 800 | 45 | 53 | 0.460 | 10 | 21 |
| 61 | M | Right forearm and hand | Cryopreserved skin | 3 | 800 | 90 | 111 | 0.414 | 7 | 11 |
| 84 | F | Abdomen | Cryopreserved skin | 5 | 640 | 170 | 218 | 0.414 | 21 | 38 |
| Chemical burn | ||||||||||
| 34 | M | Legs | Decellularized lyophilized dermis | 1 | 640 | 130 | 140 | 30 | ||
| Cryopreserved skin | 2 | 600 | 300 | 362 | 0.440 | 30 | ||||
| Surgical dehiscence | ||||||||||
| 66 | F | Head | Cryopreserved skin | 4 | 800 | 12 | 48 | 0.467 | 23 | 48 |
| Traumatic wound | ||||||||||
| 80 | M | Left and right legs | Cryopreserved skin | 3 | 600 | 47.4 | 237 | 0.414 | 23 | 37 |
| Inflammatory wounds | ||||||||||
| 93 | F | Right foot | Decellularized lyophilized dermis | 1 | 640 | 40.2 | 201 | 33 | 54 | |
| Cryopreserved skin | 4 | 0.344 | ||||||||
| 35 | F | Left leg | Cryopreserved skin | 1 | 700 | 68.5 | 137 | 0.450 | 8 | 13 |
| Glycerol-preserved decellularized dermis | 1 | |||||||||
| Arterial wounds | ||||||||||
| 86 | F | Left leg | Decellularized lyophilized dermis | 7 | 775 | 16.4 | 393 | 51 | 82 | |
| Cryopreserved decellularized dermis | 1 | |||||||||
| Cryopreserved skin | 13 | 0.455 | ||||||||
| Glycerol-preserved skin | 1 | |||||||||
| 71 | F | Left leg | Cryopreserved skin | 1 | 800 | 20 | 20 | 0.435 | 53 | 95 |
| Venous wounds | ||||||||||
| 80 | F | Left ankle | Glycerol-preserved decellularized dermis | 4 | 800 | 100.5 | 1005 | 88 | 160 | |
| Cryopreserved skin | 6 | 0.462 | ||||||||
| 68 | M | Left and right legs | Glycerol-preserved skin | 1 | 800 | 48 | 96 | 76 | 110 | |
| Cryopreserved skin | 1 | 0.462 | ||||||||
| Mixed vascular wounds | ||||||||||
| 72 | F | Left leg | Cryopreserved skin | 1 | 650 | 34.4 | 275 | 0.480 | 53 | 112 |
| Glycerol-preserved skin | 7 | |||||||||
| 75 | F | Left leg | Cryopreserved skin | 1 | 740 | 36.9 | 369 | 0.399 | 31 | 77 |
| Glycerol-preserved skin | 4 | |||||||||
| Glycerol-preserved decellularized dermis | 2 | |||||||||
| Lyophilized decellularized dermis | 3 | |||||||||
Disclaimer/Publisher’s Note: The statements, opinions and data contained in all publications are solely those of the individual author(s) and contributor(s) and not of MDPI and/or the editor(s). MDPI and/or the editor(s) disclaim responsibility for any injury to people or property resulting from any ideas, methods, instructions or products referred to in the content. |
© 2024 by the authors. Licensee MDPI, Basel, Switzerland. This article is an open access article distributed under the terms and conditions of the Creative Commons Attribution (CC BY) license (https://creativecommons.org/licenses/by/4.0/).
Share and Cite
Amoroso, L.; Agueci, S.; Pianigiani, E.; Ierardi, F.; Calabrese, L.; Rubegni, P.; Tognetti, L. From Bank Preparation to Clinical Use of Homologous Skin Allografts in Wound Healing: A Sustainable Approach. Life 2024, 14, 1285. https://doi.org/10.3390/life14101285
Amoroso L, Agueci S, Pianigiani E, Ierardi F, Calabrese L, Rubegni P, Tognetti L. From Bank Preparation to Clinical Use of Homologous Skin Allografts in Wound Healing: A Sustainable Approach. Life. 2024; 14(10):1285. https://doi.org/10.3390/life14101285
Chicago/Turabian StyleAmoroso, Laura, Serena Agueci, Elisa Pianigiani, Francesca Ierardi, Laura Calabrese, Pietro Rubegni, and Linda Tognetti. 2024. "From Bank Preparation to Clinical Use of Homologous Skin Allografts in Wound Healing: A Sustainable Approach" Life 14, no. 10: 1285. https://doi.org/10.3390/life14101285
APA StyleAmoroso, L., Agueci, S., Pianigiani, E., Ierardi, F., Calabrese, L., Rubegni, P., & Tognetti, L. (2024). From Bank Preparation to Clinical Use of Homologous Skin Allografts in Wound Healing: A Sustainable Approach. Life, 14(10), 1285. https://doi.org/10.3390/life14101285

