Neurocutaneous Melanosis with Meningeal Melanocytosis: A Rare Case of Intracranial Hypertension and Cutaneous Manifestations
Abstract
1. Background
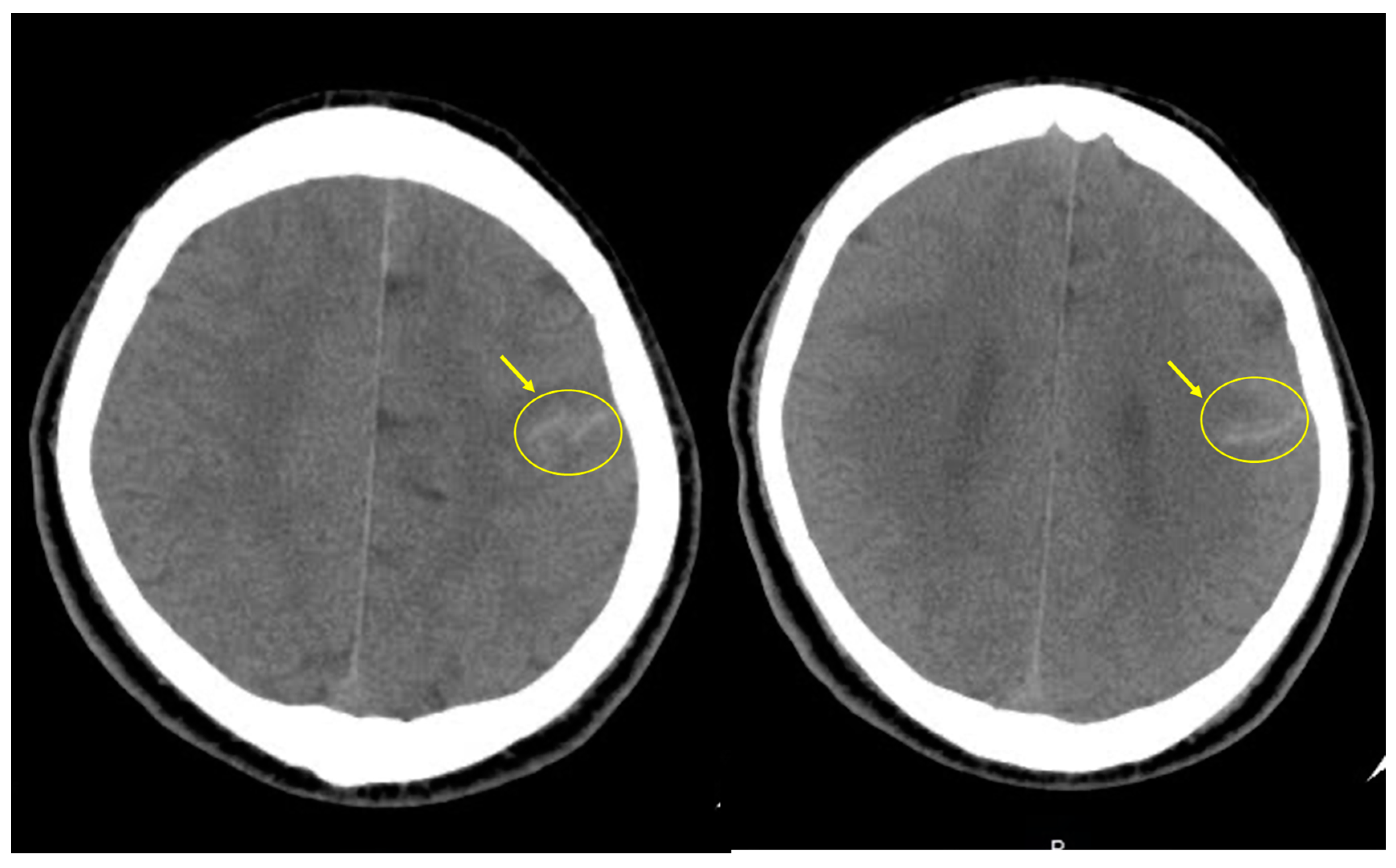
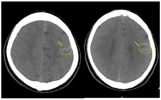
2. Case Presentation
3. Discussion and Conclusions
Author Contributions
Funding
Institutional Review Board Statement
Informed Consent Statement
Data Availability Statement
Conflicts of Interest
Abbreviations
| NCM | Neurocutaneous melanosis |
| CSF | Cerebrospinal fluid |
| VP | Ventriculoperitoneal |
| CNS | Central nervous system |
| PET/CT | Positron emission tomography/computed tomography |
| FDG | [F-18]2-fluoro-2-deoxyglucose |
References
- Sawicka, E.; Szczygielski, O.; Zak, K.; Peczkowski, P.; Michalak, E.; Bekiesinska-Figatowska, M. Giant congenital melanocytic nevi: Selected aspects of diagnostics and treatment. Med. Sci. Monit. 2015, 21, 123–132. [Google Scholar] [CrossRef][Green Version]
- Chen, L.; Zhai, L.; Al-Kzayer, L.F.Y.; Sarsam, S.N.; Liu, T.; Alzakar, R.H.; Nakazawa, Y. Neurocutaneous Melanosis in Association With Large Congenital Melanocytic Nevi in Children: A Report of 2 Cases With Clinical, Radiological, and Pathogenetic Evaluation. Front. Neurol. 2019, 10, 79. [Google Scholar] [CrossRef]
- Makkar, H.S.; Frieden, I.J. Neurocutaneous melanosis. Semin. Cutan. Med. Surg. 2004, 23, 138–144. [Google Scholar] [CrossRef] [PubMed]
- Kadonaga, J.N.; Frieden, I.J. Neurocutaneous melanosis: Definition and review of the literature. J. Am. Acad. Dermatol. 1991, 24, 747–755. [Google Scholar] [CrossRef]
- Schaff, L.R.; Marghoob, A.; Rosenblum, M.K.; Meyer, R.; Khakoo, Y. Malignant transformation of neurocutaneous melanosis (NCM) following immunosuppression. Pediatr. Dermatol. 2019, 36, 497–500. [Google Scholar] [CrossRef] [PubMed]
- Akay, S.; Pollard, J.H.; Saad Eddin, A.; Alatoum, A.; Kandemirli, S.; Gholamrezanezhad, A.; Menda, Y.; Graham, M.M.; Shariftabrizi, A. PET/CT Imaging in Treatment Planning and Surveillance of Sinonasal Neoplasms. Cancers 2023, 15, 3759. [Google Scholar] [CrossRef] [PubMed]
- Trotter, J.; Pantel, A.R.; Teo, B.K.; Escorcia, F.E.; Li, T.; Pryma, D.A.; Taunk, N.K. Positron Emission Tomography (PET)/Computed Tomography (CT) Imaging in Radiation Therapy Treatment Planning: A Review of PET Imaging Tracers and Methods to Incorporate PET/CT. Adv. Radiat. Oncol. 2023, 8, 101212. [Google Scholar] [CrossRef] [PubMed]
- Waelchli, R.; Aylett, S.E.; Atherton, D.; Thompson, D.J.; Chong, W.K.; Kinsler, V.A. Classification of neurological abnormalities in children with congenital melanocytic naevus syndrome identifies magnetic resonance imaging as the best predictor of clinical outcome. Br. J. Dermatol. 2015, 173, 739–750. [Google Scholar] [CrossRef]
- Duncan, J.R.; Carr, D.; Kaffenberger, B.H. The utility of positron emission tomography with and without computed tomography in patients with nonmelanoma skin cancer. J. Am. Acad. Dermatol. 2016, 75, 186–196. [Google Scholar] [CrossRef] [PubMed]
- Sharouf, F.; Zaben, M.; Lammie, A.; Leach, P.; Bhatti, M.I. Neurocutaneous melanosis presenting with hydrocephalus and malignant transformation: Case-based update. Childs Nerv. Syst. 2018, 34, 1471–1477. [Google Scholar] [CrossRef]
- Jakchairoongruang, K.; Khakoo, Y.; Beckwith, M.; Barkovich, A.J. New insights into neurocutaneous melanosis. Pediatr. Radiol. 2018, 48, 1786–1796. [Google Scholar] [CrossRef]
- Noto, G. On the clinical significance of cutaneous melanoma’s precursors. Indian Dermatol. Online J. 2012, 3, 83–88. [Google Scholar] [CrossRef]
- Bittencourt, F.V.; Marghoob, A.A.; Kopf, A.W.; Koenig, K.L.; Bart, R.S. Large congenital melanocytic nevi and the risk for development of malignant melanoma and neurocutaneous melanocytosis. Pediatrics 2000, 106, 736–741. [Google Scholar] [CrossRef]
- Yu, C.H.; Chen, H.H.; Liu, C.M.; Jeng, Y.M.; Wang, J.T.; Wang, Y.P.; Liu, B.Y.; Sun, A.; Chiang, C.P. HMB-45 may be a more sensitive maker than S-100 or Melan-A for immunohistochemical diagnosis of primary oral and nasal mucosal melanomas. J. Oral. Pathol. Med. 2005, 34, 540–545. [Google Scholar] [CrossRef]
- Viray, H.; Bradley, W.R.; Schalper, K.A.; Rimm, D.L.; Gould Rothberg, B.E. Marginal and joint distributions of S100, HMB-45, and Melan-A across a large series of cutaneous melanomas. Arch. Pathol. Lab. Med. 2013, 137, 1063–1073. [Google Scholar] [CrossRef] [PubMed]
- Weinstein, D.; Leininger, J.; Hamby, C.; Safai, B. Diagnostic and prognostic biomarkers in melanoma. J. Clin. Aesthet. Dermatol. 2014, 7, 13–24. [Google Scholar] [PubMed]
- Vanood, A.; Lee, Y.A.; Leleszi, E.; Krishnan, A. Symptomatic neurocutaneous melanosis: Mild clinical onset in a teenager. BMJ Case Rep. 2020, 13, e235772. [Google Scholar] [CrossRef] [PubMed]
- Liu, B.C.; Wang, Y.B.; Liu, Z.; Jiao, Y.; Zhang, X.F. Neurocutaneous melanosis with an intracranial cystic-solid meningeal melanoma in an adult: A case report and review of literature. World J. Clin. Cases 2022, 10, 5025–5035. [Google Scholar] [CrossRef] [PubMed]
- Ma, M.; Ding, Z.L.; Cheng, Z.Q.; Wu, G.; Tang, X.Y.; Deng, P.; Wu, J.D. Neurocutaneous Melanosis in an Adult Patient with Intracranial Primary Malignant Melanoma: Case Report and Review of the Literature. World Neurosurg. 2018, 114, 76–83. [Google Scholar] [CrossRef] [PubMed]





Disclaimer/Publisher’s Note: The statements, opinions and data contained in all publications are solely those of the individual author(s) and contributor(s) and not of MDPI and/or the editor(s). MDPI and/or the editor(s) disclaim responsibility for any injury to people or property resulting from any ideas, methods, instructions or products referred to in the content. |
© 2024 by the authors. Licensee MDPI, Basel, Switzerland. This article is an open access article distributed under the terms and conditions of the Creative Commons Attribution (CC BY) license (https://creativecommons.org/licenses/by/4.0/).
Share and Cite
Chen, H.-C.; Hsu, T.-I.; Chao, T.-Y.; Yang, S.-T. Neurocutaneous Melanosis with Meningeal Melanocytosis: A Rare Case of Intracranial Hypertension and Cutaneous Manifestations. Life 2024, 14, 139. https://doi.org/10.3390/life14010139
Chen H-C, Hsu T-I, Chao T-Y, Yang S-T. Neurocutaneous Melanosis with Meningeal Melanocytosis: A Rare Case of Intracranial Hypertension and Cutaneous Manifestations. Life. 2024; 14(1):139. https://doi.org/10.3390/life14010139
Chicago/Turabian StyleChen, Hsien-Chung, Tsung-I Hsu, Tsu-Yi Chao, and Shun-Tai Yang. 2024. "Neurocutaneous Melanosis with Meningeal Melanocytosis: A Rare Case of Intracranial Hypertension and Cutaneous Manifestations" Life 14, no. 1: 139. https://doi.org/10.3390/life14010139
APA StyleChen, H.-C., Hsu, T.-I., Chao, T.-Y., & Yang, S.-T. (2024). Neurocutaneous Melanosis with Meningeal Melanocytosis: A Rare Case of Intracranial Hypertension and Cutaneous Manifestations. Life, 14(1), 139. https://doi.org/10.3390/life14010139

