Clinical and Dermoscopic Findings of Nevi after Photoepilation: A Review
Abstract
:1. Introduction
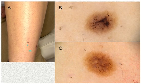
2. Clinical Findings of Pigmented Lesions after Laser or IPL Hair Removal
3. Dermoscopic Findings of Pigmented Lesions after Laser or IPL Hair Removal
4. Follow-Up Dermoscopic Findings in Atypical or Changed Pigmented Lesions after Laser or IPL Hair Removal
5. Histological Findings in Atypical Pigmented Lesions after Laser or IPL Hair Removal That Were Surgically Excised
6. Conclusions
Author Contributions
Funding
Institutional Review Board Statement
Informed Consent Statement
Data Availability Statement
Conflicts of Interest
References
- Marino, M.L.; Carrera, C.; Marchetti, M.A.; Marghoob, A.A. Practice Gaps in Dermatology: Melanocytic Lesions and Melanoma. Dermatol. Clin. 2016, 34, 353–362. [Google Scholar] [CrossRef] [PubMed]
- Tsao, H.; Bevona, C.; Goggins, W.; Quinn, T. The transformation rate of moles (melanocytic nevi) into cutaneous melanoma: A population-based estimate. Arch. Dermatol. 2003, 139, 282–288. [Google Scholar] [CrossRef] [PubMed]
- Dessinioti, C.; Geller, A.C.; Stratigos, A.J. A review of nevus-associated melanoma: What is the evidence? J. Eur. Acad. Dermatol. Venereol. 2022, 36, 1927–1936. [Google Scholar] [CrossRef]
- Pampena, R.; Kyrgidis, A.; Lallas, A.; Moscarella, E.; Argenziano, G.; Longo, C. A meta-analysis of nevus-associated melanoma: Prevalence and practical implications. J. Am. Acad. Dermatol. 2017, 77, 938–945. [Google Scholar] [CrossRef]
- Dessinioti, C.D.; Geller, A.N.; Stergiopoulou, A.; Keim, U.; Ribero, S.; Quaglino, P.; Puig, S.; Malvehy, J.; Kandolf-Sekulovic, L.; Radevic, T.; et al. Nevus-associated melanoma of thin nodular versus superficial spreading histological subtype. Poster presentation. In Proceedings of the 15th EADO Congress, Paris, France, 24–27 April 2019. [Google Scholar]
- Dessinioti, C.; Befon, A.; Stratigos, A.J. The Association of Nevus-Associated Melanoma with Common or Dysplastic Melanocytic Nevus: A Systematic Review and Meta-Analysis. Cancers 2023, 15, 856. [Google Scholar] [CrossRef]
- Shain, A.H.; Yeh, I.; Kovalyshyn, I.; Sriharan, A.; Talevich, E.; Gagnon, A.; Dummer, R.; North, J.; Pincus, L.; Ruben, B.; et al. The Genetic Evolution of Melanoma from Precursor Lesions. N. Engl. J. Med. 2015, 373, 1926–1936. [Google Scholar] [CrossRef] [PubMed]
- Shain, A.H.; Joseph, N.M.; Yu, R.; Benhamida, J.; Liu, S.; Prow, T.; Ruben, B.; North, J.; Pincus, L.; Yeh, I.; et al. Genomic and Transcriptomic Analysis Reveals Incremental Disruption of Key Signaling Pathways during Melanoma Evolution. Cancer Cell 2018, 34, 45–55. [Google Scholar] [CrossRef]
- Garbe, C.; Peris, K.; Soura, E.; Forsea, A.M.; Hauschild, A.; Arenbergerova, M.; Bylaite, M.; Del Marmol, V.; Bataille, V.; Samimi, M.; et al. The evolving field of Dermato-oncology and the role of dermatologists: Position Paper of the EADO, EADV and Task Forces, EDF, IDS, EBDV-UEMS and EORTC Cutaneous Lymphoma Task Force. J. Eur. Acad. Dermatol. Venereol. 2020, 34, 2183–2197. [Google Scholar] [CrossRef]
- Rosendahl, C.; Tschandl, P.; Cameron, A.; Kittler, H. Diagnostic accuracy of dermatoscopy for melanocytic and nonmelanocytic pigmented lesions. J. Am. Acad. Dermatol. 2011, 64, 1068–1073. [Google Scholar] [CrossRef]
- Wolner, Z.J.; Yelamos, O.; Liopyris, K.; Rogers, T.; Marchetti, M.A.; Marghoob, A.A. Enhancing Skin Cancer Diagnosis with Dermoscopy. Dermatol. Clin. 2017, 35, 417–437. [Google Scholar] [CrossRef]
- Carli, P.; de Giorgi, V.; Chiarugi, A.; Nardini, P.; Weinstock, M.A.; Crocetti, E.; Stante, M.; Giannotti, B. Addition of dermoscopy to conventional naked-eye examination in melanoma screening: A randomized study. J. Am. Acad. Dermatol. 2004, 50, 683–689. [Google Scholar] [CrossRef] [PubMed]
- Bafounta, M.L.; Beauchet, A.; Aegerter, P.; Saiag, P. Is dermoscopy (epiluminescence microscopy) useful for the diagnosis of melanoma? Results of a meta-analysis using techniques adapted to the evaluation of diagnostic tests. Arch. Dermatol. 2001, 137, 1343–1350. [Google Scholar] [CrossRef]
- Garrido-Rios, A.A.; Munoz-Repeto, I.; Huerta-Brogeras, M.; Martinez-Moran, C.; Alvarez-Garrido, H.; Espinosa-Lara, P.; Borbujo, J. Dermoscopic changes in melanocytic nevi after depilation techniques. J. Cosmet. Laser Ther. 2013, 15, 98–101. [Google Scholar] [CrossRef]
- Liew, S.H. Laser hair removal: Guidelines for management. Am. J. Clin. Dermatol. 2002, 3, 107–115. [Google Scholar] [CrossRef] [PubMed]
- Haedersdal, M.; Wulf, H.C. Evidence-based review of hair removal using lasers and light sources. J. Eur. Acad. Dermatol. Venereol. 2006, 20, 9–20. [Google Scholar] [CrossRef]
- Rasheed, A.I. Uncommonly reported side effects of hair removal by long pulsed-alexandrite laser. J. Cosmet. Dermatol. 2009, 8, 267–274. [Google Scholar] [CrossRef] [PubMed]
- Acle, R.; Zambrano-Mericq, M.J.; Navarrete-Dechent, C.; Uribe, P.; Abarzua-Araya, A. Clinical and dermoscopic evaluation of melanocytic nevi changes during diode laser hair removal: A prospective study. Lasers Surg. Med. 2022, 54, 970–977. [Google Scholar] [CrossRef]
- Guicciardi, F.; Ferreli, C.; Rongioletti, F.; Atzori, L. Dermoscopic evaluation of melanocytic nevi changes after photo-epilation techniques: A prospective study. J. Eur. Acad. Dermatol. Venereol. 2019, 33, 954–958. [Google Scholar] [CrossRef]
- Ashack, K.A.; Brewer, J.D. Clinically atypical nevi following diode laser therapy. Int. J. Dermatol. 2017, 56, 579–580. [Google Scholar] [CrossRef]
- Boleira, M.; de Almeida Balassiano, L.K.; Jeunon, T. Complete regression of a melanocytic nevus after epilation with diode laser therapy. Dermatol. Pract. Concept. 2015, 5, 99–103. [Google Scholar] [CrossRef]
- Grob, J.J.; Bonerandi, J.J. The ‘ugly duckling’ sign: Identification of the common characteristics of nevi in an individual as a basis for melanoma screening. Arch. Dermatol. 1998, 134, 103–104. [Google Scholar] [CrossRef] [PubMed]
- Gaudy-Marqueste, C.; Wazaefi, Y.; Bruneu, Y.; Triller, R.; Thomas, L.; Pellacani, G.; Malvehy, J.; Avril, M.F.; Monestier, S.; Richard, M.A.; et al. Ugly Duckling Sign as a Major Factor of Efficiency in Melanoma Detection. JAMA Dermatol. 2017, 153, 279–284. [Google Scholar] [CrossRef] [PubMed]
- Soden, C.E.; Smith, K.; Skelton, H. Histologic features seen in changing nevi after therapy with an 810 nm pulsed diode laser for hair removal in patients with dysplastic nevi. Int. J. Dermatol. 2001, 40, 500–504. [Google Scholar] [CrossRef]
- Tsao, H.; Olazagasti, J.M.; Cordoro, K.M.; Brewer, J.D.; Taylor, S.C.; Bordeaux, J.S.; Chren, M.M.; Sober, A.J.; Tegeler, C.; Bhushan, R.; et al. Early detection of melanoma: Reviewing the ABCDEs. J. Am. Acad. Dermatol. 2015, 72, 717–723. [Google Scholar] [CrossRef] [PubMed]
- Rigel, D.S.; Friedman, R.J.; Kopf, A.W.; Polsky, D. ABCDE--an evolving concept in the early detection of melanoma. Arch. Dermatol. 2005, 141, 1032–1034. [Google Scholar] [CrossRef]
- Nasimi, M.; Lajevardi, V.; Mahmoudi, H.; Heidari, S.; Ghaedi, F. Dermoscopic changes in melanocytic nevi following hair removal laser: A prospective study. J. Cosmet. Dermatol. 2022, 21, 669–673. [Google Scholar] [CrossRef]
- Alvarez-Garrido, H.; Garrido-Rios, A.A.; Martinez-Moran, C.; Borbujo, J. Follow-up of melanocytic nevi after depilation techniques. J. Cosmet. Laser Ther. 2016, 18, 247–250. [Google Scholar] [CrossRef]
- Martin, J.M.; Monteagudo, C.; Bella, R.; Reig, I.; Jorda, E. Complete regression of a melanocytic nevus under intense pulsed light therapy for axillary hair removal in a cosmetic center. Dermatology 2012, 224, 193–197. [Google Scholar] [CrossRef]
- Pampin Franco, A.; Gamo Villegas, R.; Floristan Muruzabal, U.; Ascanio Armada, L.; Pinedo, F.; Lopez-Estebaranz, J.L. Changes in melanocytic nevi after laser treatment evaluated by dermoscopy and reflectance confocal microscopy. Int. J. Dermatol. 2016, 55, e307–e309. [Google Scholar] [CrossRef]
- Sillard, L.; Mantoux, F.; Larrouy, J.C.; Hofman, V.; Passeron, T.; Lacour, J.P.; Bahadoran, P. Dermoscopic changes of melanocytic nevi after laser hair removal. Eur. J. Dermatol. 2013, 23, 121–123. [Google Scholar] [CrossRef]
- Lallas, A.; Longo, C.; Manfredini, M.; Benati, E.; Babino, G.; Chinazzo, C.; Apalla, Z.; Papageorgiou, C.; Moscarella, E.; Kyrgidis, A.; et al. Accuracy of Dermoscopic Criteria for the Diagnosis of Melanoma In Situ. JAMA Dermatol. 2018, 154, 414–419. [Google Scholar] [CrossRef] [PubMed]
- Massi, D.; De Giorgi, V.; Carli, P.; Santucci, M. Diagnostic significance of the blue hue in dermoscopy of melanocytic lesions: A dermoscopic-pathologic study. Am. J. Dermatopathol. 2001, 23, 463–469. [Google Scholar] [CrossRef] [PubMed]
- Argenziano, G.; Fabbrocini, G.; Carli, P.; De Giorgi, V.; Delfino, M. Epiluminescence microscopy: Criteria of cutaneous melanoma progression. J. Am. Acad. Dermatol. 1997, 37, 68–74. [Google Scholar] [CrossRef] [PubMed]
- Seidenari, S.; Ferrari, C.; Borsari, S.; Benati, E.; Ponti, G.; Bassoli, S.; Giusti, F.; Schianchi, S.; Pellacani, G. Reticular grey-blue areas of regression as a dermoscopic marker of melanoma in situ. Br. J. Dermatol. 2010, 163, 302–309. [Google Scholar] [CrossRef]
- Pellacani, G.; Bassoli, S.; Longo, C.; Cesinaro, A.M.; Seidenari, S. Diving into the blue: In vivo microscopic characterization of the dermoscopic blue hue. J. Am. Acad. Dermatol. 2007, 57, 96–104. [Google Scholar] [CrossRef]
- Massi, D.; De Giorgi, V.; Soyer, H.P. Histopathologic correlates of dermoscopic criteria. Dermatol. Clin. 2001, 19, 259–268. [Google Scholar] [CrossRef]
- Nazzaro, G.; Maronese, C.A.; Casazza, G.; Giacalone, S.; Spigariolo, C.B.; Roccuzzo, G.; Avallone, G.; Guida, S.; Brancaccio, G.; Broganelli, P.; et al. Dermoscopic predictors of melanoma in small diameter melanocytic lesions (mini-melanoma): A retrospective multicentric study of 269 cases. Int. J. Dermatol. 2023, 62, 1040–1049. [Google Scholar] [CrossRef]
- Argenziano, G.; Zalaudek, I.; Ferrara, G.; Johr, R.; Langford, D.; Puig, S.; Soyer, H.P.; Malvehy, J. Dermoscopy features of melanoma incognito: Indications for biopsy. J. Am. Acad. Dermatol. 2007, 56, 508–513. [Google Scholar] [CrossRef]
- Zalaudek, I.; Argenziano, G.; Ferrara, G.; Soyer, H.P.; Corona, R.; Sera, F.; Cerroni, L.; Carbone, A.; Chiominto, A.; Cicale, L.; et al. Clinically equivocal melanocytic skin lesions with features of regression: A dermoscopic-pathological study. Br. J. Dermatol. 2004, 150, 64–71. [Google Scholar] [CrossRef]
- Carrera, C.; Marghoob, A.A. Discriminating Nevi from Melanomas: Clues and Pitfalls. Dermatol. Clin. 2016, 34, 395–409. [Google Scholar] [CrossRef]
- Ferrari, B.; Pupelli, G.; Farnetani, F.; De Carvalho, N.T.; Longo, C.; Reggiani, C.; Argenziano, G.; Pellacani, G. Dermoscopic difficult lesions: An objective evaluation of reflectance confocal microscopy impact for accurate diagnosis. J. Eur. Acad. Dermatol. Venereol. 2015, 29, 1135–1140. [Google Scholar] [CrossRef]
- Marghoob, A.A.; Braun, R. Proposal for a revised 2-step algorithm for the classification of lesions of the skin using dermoscopy. Arch. Dermatol. 2010, 146, 426–428. [Google Scholar] [CrossRef] [PubMed]
- Argenziano, G.; Soyer, H.P.; Chimenti, S.; Talamini, R.; Corona, R.; Sera, F.; Binder, M.; Cerroni, L.; De Rosa, G.; Ferrara, G.; et al. Dermoscopy of pigmented skin lesions: Results of a consensus meeting via the Internet. J. Am. Acad. Dermatol. 2003, 48, 679–693. [Google Scholar] [CrossRef] [PubMed]
- Pellacani, G.; Pepe, P.; Casari, A.; Longo, C. Reflectance confocal microscopy as a second-level examination in skin oncology improves diagnostic accuracy and saves unnecessary excisions: A longitudinal prospective study. Br. J. Dermatol. 2014, 171, 1044–1051. [Google Scholar] [CrossRef]
- Guitera, P.; Pellacani, G.; Longo, C.; Seidenari, S.; Avramidis, M.; Menzies, S.W. In vivo reflectance confocal microscopy enhances secondary evaluation of melanocytic lesions. J. Investig. Dermatol. 2009, 129, 131–138. [Google Scholar] [CrossRef] [PubMed]
- Drosner, M.; Adatto, M.; European Society for Laser, D. Photo-epilation: Guidelines for care from the European Society for Laser Dermatology (ESLD). J. Cosmet. Laser Ther. 2005, 7, 33–38. [Google Scholar] [CrossRef] [PubMed]
- Bodendorf, M.O.; Wagner, J.A.; Grunewald, S.; Simon, J.C.; Paasch, U. Efficacy and safety of laser shields to prevent radiant transmission onto pigmented nevi during laser epilation: An ex vivo histology study. Int. J. Hyperth. 2013, 29, 539–543. [Google Scholar] [CrossRef]


| Publication | Study Type | N Persons, n of Evaluated Nevi | Hair Removal Device | Dermoscopic Changes in Nevi after Laser or IPL Hair Removal |
|---|---|---|---|---|
| Acle, 2022 [18] | Prospective, blinded, and controlled | 34 women, 148 nevi on the legs after photo-epilation. Arm nevi used as controls. Assessed at baseline and at sessions 2, 3, and 6 of photo-epilation | Diode | Before session 6: Any dermoscopic change in 47.9% of nevi (versus 9.8% in control nevi, p < 0.001) Most nevi maintained their original dermoscopic pattern. Bleaching: 41.9% (versus 0 in control nevi, p < 0.05). Pigmented globules in 6.7% (versus 0 in control nevi, p < 0.05). Irregular hyperpigmented areas in 5.4% (versus 0 in control nevi, p: 0.011). Regression structures in 4.7% (versus 0 in control nevi, p: 0.021). |
| Nasimi, 2021 [27] | Prospective | 27 women, 66 nevi | Alexandrite | Changes in pigment network pattern in 93%. Changes in color in 64% (lighter in 44%, darker in 20%). Changes in dots/globules in 38%. Asymmetry in 12%. Regression in 3%. |
| Guicciardi, 2018 [19] | Prospective | 18 persons, 73 nevi | Nd:Yag, IPL | Bleaching in 82%. Irregular pigment network at the periphery in 79%. New blue-grayish globules in 46.5%. New whitish structureless areas in 37%. Complete regression in 32.8%. Telangiectasias in 11%. Crusting in 11%. Progressive growth, peripheral globules in 1 nevus (0.13%). |
| Garrido-Rios, 2013 [14], Alvarez-Garrido, 2016 [28] | Case reports | 1 person, 2 nevi | Diode | Loss of pigment network. New grayish areas. |
| 1 person, 2 nevi | Alexandrite | Loss of pigment network. | ||
| 1 | IPL | Crusts. | ||
| Alvarez-Garrido, 2016 [28] | Case series | 1 person, several nevi | Diode | Loss of pigment network, grayish areas. |
| 1 person, 1 nevus | IPL | Light pigment network, grayish areas. | ||
| 1 person, 1 nevus | Alexandrite | New grayish areas. | ||
| Sillard, 2013 [31] | Case reports | 1 person, several nevi | IPL | Asymmetric pigment network. Gray-blue dots. Milky red veil. |
| 1 person, 1 nevus | Alexandrite | Asymmetric pigment network. Gray-blue dots. Milky red veil. | ||
| Martin, 2012 [29] | Case report | 1 person, 1 nevus | IPL | Complete loss of the pre-existing reticular pattern. New blotches of brown pigment. Whitish areas, centrally located. |
| Boleira [21] | Case report | 1 person, 1 nevus | Diode | Homogeneous featureless pattern. |
| Pampin Franco [30] | Caser reports | 1 person, 1 nevus | IPL | Eccentric reticular pattern. Blue-grayish area in over 80% of the lesion. Different from the person’s signature pattern nevus. |
| 1 person, several nevi | Laser | Blue-grayish-whitish areas on several nevi. |
| Author | Reason for Concern | Diagnostic Approach |
|---|---|---|
| Alvarez-Garrido [28] | Dermoscopic change in one nevus with sequential digital dermoscopy. New gray areas in a nevus that previously had a homogenous brown pattern. Family history of melanoma in her mother | Excision |
| Dermoscopic changes in several nevi with sequential digital dermoscopy. Loss of pigment network, new grayish areas. | Sequential digital dermoscopy follow-up that showed persistent findings in most lesions after 4 months | |
| Dermoscopic findings in one nevus. Grayish areas and a light pigment network. | Sequential digital dermoscopy follow-up that showed persistent findings after 6 months | |
| Referred by his general doctor for changes in several nevi. Grayish areas | Sequential digital dermoscopy follow-up that showed persistent findings after 6 months | |
| Ashack [20] | Ugly duckling in a nevus that was darker and bigger than other nevi. | Excision |
| Boleira [21] | Ugly duckling of a nevus that was darker and different with dermoscopy from other nevi Family history of melanoma. | Excision |
| Pampin Franco [30] | Atypical nevus syndrome Blue-grayish-whitish areas in sequential digital dermoscopy | Reflectance confocal microscopy Excision |
| Atypical nevus syndrome Blue-grayish-whitish areas in sequential digital dermoscopy | Reflectance confocal microscopy Excision | |
| Soden [24] | History of dysplastic nevi Clinical changes with asymmetry, irregular borders, and color change | Biopsy |
| Color change Family history of melanoma | Excision | |
| Sillard [31] | Asymmetric pigment network with numerous gray-blue dots and a milky red veil. | Excision |
| Martin [29] | Family history of melanoma No melanocytic pattern. Central whitish areas | Short-term follow-up Excision |
| Garrido-Rios, 2013 [14] | Loss of pigment network. New grayish areas | Excision |
| Reinforcement of the reticular pattern in several nevi. Personal and family history of melanoma. | Follow-up and resolution of changes after 3 months. |
| Publication | N Persons with Nevi Followed Up | Hair Removal Device | Follow-Up Time, Months | Outcome of Changes |
|---|---|---|---|---|
| Guicciardi, 2018 [19] | 18 persons with 73 nevi | Nd:Yag, IPL | At least 24 | Persisted, stable. One lesion showed progressive growth, had peripheral globules, and was excised. Histopathology showed a compound nevus with slight atypia |
| Acle, 2022 [18] | 34 women with 148 nevi on the legs | Diode | 4–6 (6 sessions) | Persisted. Bleaching in 41.9% of nevi. Pigmented globules in 6.7%. Irregular hyperpigmented areas in 5.4%. Regression structures in 4.7% |
| Garrido-Rios, 2013 [14], Alvarez-Garrido, 2016 [28] | 1 | Diode | 36 | Persisted |
| 1 | Alexandrite | 36 | Persisted | |
| 1 | IPL | 3 | Resolved | |
| Alvarez-Garrido, 2016 [28] | 1 | Diode | 4 | Persisted in most nevi despite stopping photoepilation |
| 1 | IPL | 6 | Persisted despite stopping photoepilation | |
| 1 | Alexandrite | 6 | Persisted despite stopping photoepilation | |
| Sillard, 2013 [31] | 1 | IPL | 6 | Resolved |
| Martin, 2012 [29] | 1 | IPL | 3 | Persisted. New brownish dots in diffuse distribution. Lesion excised and histopathology showed complete regression of the nevus |
| Author | Reasons for Excision | Histological Findings | Diagnosis |
|---|---|---|---|
| Garrido-Rios [14] | Loss of pigment network. New grayish areas | Melanophages in the upper dermis. One compound nevus and one lentiginous nevus. | Nevi |
| Loss of pigment network | Loss of pigment in the epidermo–dermal junction, especially near the hair follicles. Melanocytic compound nevi | Nevi | |
| Guicciardi [19] | Progressive growth of one lesion with appearance of globules at the periphery. | Compound nevus with slight atypia | Nevus |
| Ashack [20] | Dark lesion, different from the person’s signature nevus | Biopsy of the lesion showed epidermal and superficial dermal changes in electrical and thermal injury, with adjacent junctional melanocytic proliferation with follicular extension. A surgical excision was performed and histology showed a crusted gray-pink scar. The melanocytes were distorted histologically | No diagnosis |
| Boleira [21] | Ugly duckling Featureless pattern Family history of melanoma. | Scale crust permeated by melanin and numerous melanophages. Triangular basophilic collagen degeneration with the vertex pointed down in the papillary dermis, characteristic of laser injury. No evidence of a residual melanocytic lesion | Regressed melanocytic lesion. No diagnosis |
| Soden [24] | Color change Family history of melanoma | Subepidermal blister. Melanocytes with marked distortion in their shape or fragmented within the epidermis or the dermal–epidermal junction. There was collagen homogenization in the papillary dermis and small foci of residual nevus cells in the dermis. | Nevus |
| Alvarez-Garrido [28] | New grayish areas in a nevus that previously had a homogenous brown pattern. Family history of melanoma. | Lentiginous nevus with an increased number of melanophages in the upper dermis. | Nevus |
| Martin [29] | Complete loss of the pre-existing reticular pattern. New blotches of crusted brown pigment. Whitish areas, centrally located. | Complete regression of the pre-existing melanocytic nevus. Superficial microcrusts. The papillary dermis showed fibrosis and melanophages. | No diagnosis |
| Pampin Franco [30] | Eccentric reticular pattern Blue-grayish area in over 80% of the lesion. Different from the person’s signature pattern nevus Atypical nevus syndrome | Edema, fibrosis, capillary neoformation, pigment incontinence, and melanophages in papillary dermis. Isolated nevocellular nests in the dermo–epidermal junction. | Nevus |
| Clearance of nevus Blue-grayish-whitish areas Atypical nevus syndrome | Compound nevus with architectural distortion and focal regression without cellular atypia. | Nevus | |
| Sillard [31] | Asymmetric pigment network, numerous gray-blue dots, and a milky red veil. | Compound nevus with melanophages. | Nevus |
| Personal history of melanoma Change with asymmetric pigment network, gray-blue dots, and a milky red veil. | Melanocytic junctional proliferation with mild atypia. Increase in vascularization, melanophages, and dermal fibrosis. | Nevus |
Disclaimer/Publisher’s Note: The statements, opinions and data contained in all publications are solely those of the individual author(s) and contributor(s) and not of MDPI and/or the editor(s). MDPI and/or the editor(s) disclaim responsibility for any injury to people or property resulting from any ideas, methods, instructions or products referred to in the content. |
© 2023 by the authors. Licensee MDPI, Basel, Switzerland. This article is an open access article distributed under the terms and conditions of the Creative Commons Attribution (CC BY) license (https://creativecommons.org/licenses/by/4.0/).
Share and Cite
Dessinioti, C.; Tsiakou, A.; Christodoulou, A.; Stratigos, A.J. Clinical and Dermoscopic Findings of Nevi after Photoepilation: A Review. Life 2023, 13, 1832. https://doi.org/10.3390/life13091832
Dessinioti C, Tsiakou A, Christodoulou A, Stratigos AJ. Clinical and Dermoscopic Findings of Nevi after Photoepilation: A Review. Life. 2023; 13(9):1832. https://doi.org/10.3390/life13091832
Chicago/Turabian StyleDessinioti, Clio, Andriani Tsiakou, Athina Christodoulou, and Alexander J. Stratigos. 2023. "Clinical and Dermoscopic Findings of Nevi after Photoepilation: A Review" Life 13, no. 9: 1832. https://doi.org/10.3390/life13091832
APA StyleDessinioti, C., Tsiakou, A., Christodoulou, A., & Stratigos, A. J. (2023). Clinical and Dermoscopic Findings of Nevi after Photoepilation: A Review. Life, 13(9), 1832. https://doi.org/10.3390/life13091832

