Endoscopic Vacuum Therapy of Upper Gastrointestinal Anastomotic Leaks: How to Deal with the Challenges (with Video)
Abstract
1. Introduction
2. Literature Overview of EVT in the Upper Gastrointestinal Tract
3. Endoscopic Vacuum Therapy Principle
4. Endoscopic Vacuum Therapy Procedure
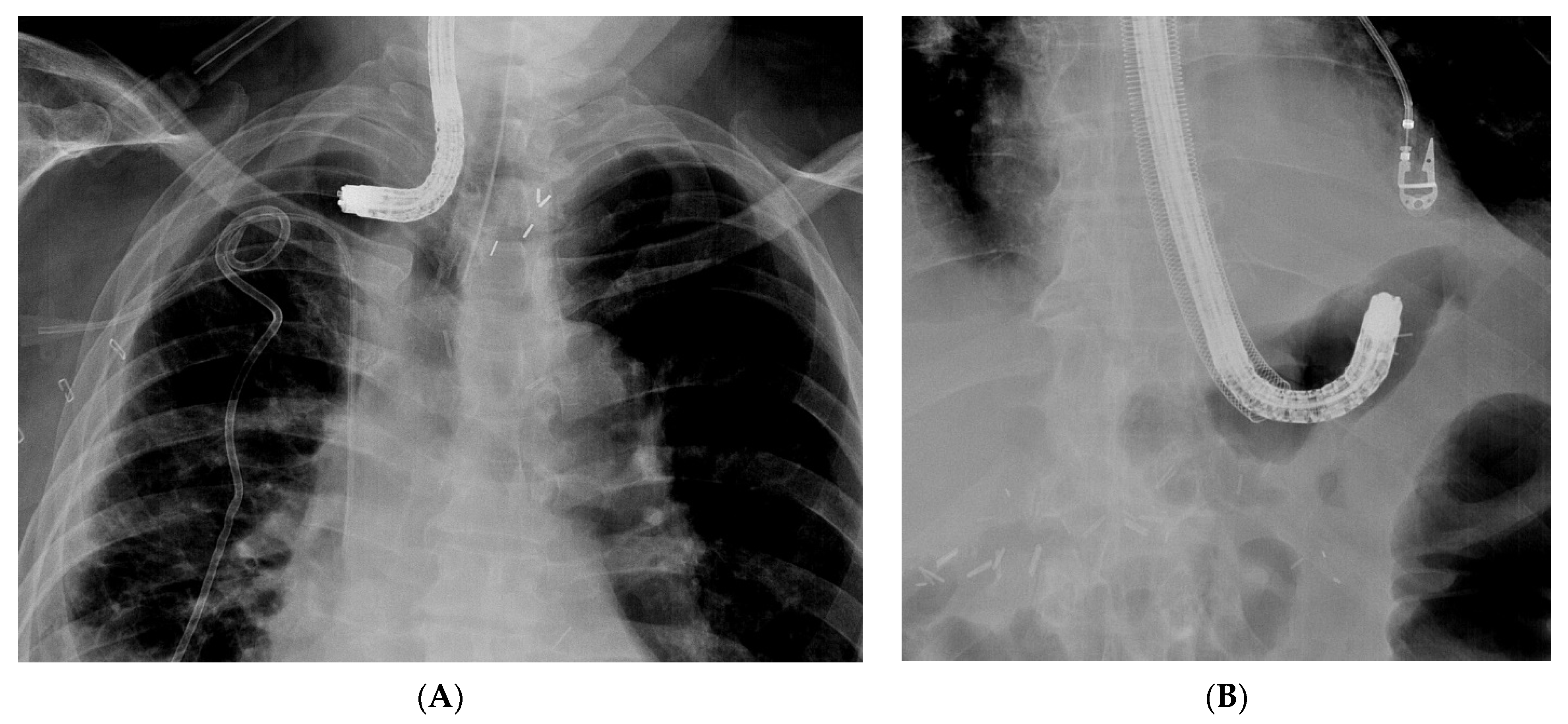
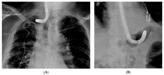
5. Difficulties of Endoscopic Vacuum Therapy in the Upper Gastrointestinal Tract
5.1. Pre-Procedure Difficulties
5.2. Intra-Procedure Difficulties
5.3. Post-Procedure Difficulties
6. Adverse Events Relating to EVT in the Upper Gastrointestinal Tract
7. Conclusions
8. Core Tip
Supplementary Materials
Author Contributions
Funding
Conflicts of Interest
References
- Low, D.E.; Alderson, D.; Cecconello, I.; Chang, A.C.; Darling, G.; D’journo, X.B.; Griffin, S.M.; Hölscher, A.H.; Hofstetter, W.L.; Jobe, B.A.; et al. International Consensus on Standardization of Data Collection for Complications Associated With Esophagectomy: Esophagectomy Complications Consensus Group (ECCG). Ann. Surg. 2015, 262, 286–294. [Google Scholar] [CrossRef]
- Ross, S.L.; Veluswamy, B.; Craig, E.V.; Miller, F.H.; Horowitz, J.M.; Kelahan, L.C. Optimizing detection of postoperative leaks on upper gastrointestinal fluoroscopy: A step-by-step guide. Abdom. Imaging 2021, 46, 3019–3032. [Google Scholar] [CrossRef]
- Vetter, D.; Gutschow, C.A. Strategies to prevent anastomotic leakage after esophagectomy and gastric conduit reconstruction. Langenbeck’s Arch. Surg. 2020, 405, 1069–1077. [Google Scholar] [CrossRef] [PubMed]
- Mils, K.; Miró, M.; Farran, L.; Videla, S.; Alba, E.; Estremiana, F.; Bettonica, C.; Aranda, H. A pilot randomized controlled trial on the utility of gastric conditioning in the prevention of esophagogastric anastomotic leak after Ivor Lewis esophagectomy. The APIL_2013 Trial. Int. J. Surg. 2022, 106, 106921. [Google Scholar] [CrossRef] [PubMed]
- Baiocchi, G.L.; Giacopuzzi, S.; Vittimberga, G.; De Pascale, S.; Pastorelli, E.; Gelmini, R.; Viganò, J.; Graziosi, L.; Vagliasindi, A.; Rosa, F.; et al. Clinical outcomes of patients with complicated post-operative course after gastrectomy for cancer: A GIRCG study using the GASTRODATA registry. Updat. Surg. 2023, 75, 419–427. [Google Scholar] [CrossRef] [PubMed]
- Ubels, S.; Verstegen, M.; Klarenbeek, B.; Bouwense, S.; Berge Henegouwen, M.; Daams, F.; van Det, M.J.; Griffiths, E.A.; Haveman, J.W.; Heisterkamp, J.; et al. Severity of oEsophageal Anastomotic Leak in patients after oesophagectomy: The SEAL score. Br. J. Surg. 2022, 109, 864–871. [Google Scholar] [CrossRef]
- Bachmann, J.; Feith, M.; Schlag, C.; Abdelhafez, M.; Martignoni, M.E.; Friess, H. Anastomotic leakage following resection of the esophagus—Introduction of an endoscopic grading system. World J. Surg. Oncol. 2022, 20, 104. [Google Scholar] [CrossRef]
- Browning, A.F.; Chong, L.; Read, M.; Hii, M.W. Economic burden of complications and readmission following oesophageal cancer surgery. ANZ J. Surg. 2022, 92, 2901–2906. [Google Scholar] [CrossRef]
- Chan, S.M.; Auyeung, K.K.Y.; Lam, S.F.; Chiu, P.W.Y.; Teoh, A.Y.B. Current status in endoscopic management of upper gastrointestinal perforations, leaks and fistulas. Dig. Endosc. 2022, 34, 43–62. [Google Scholar] [CrossRef]
- Ubels, S.; Lubbers, M.; Verstegen, M.H.P.; Bouwense, S.A.W.; van Daele, E.; Ferri, L.; Gisbertz, S.S.; Griffiths, E.A.; Grimminger, P.; Hanna, G.; et al. Treatment of anastomotic leak after esophagectomy: Insights of an international case vignette survey and expert discussions. Dis. Esophagus 2022, 35, doac020. [Google Scholar] [CrossRef]
- Stavropoulos, S.N.; Modayil, R.; Friedel, D. Closing Perforations and Postperforation Management in Endoscopy. Gastrointest. Endosc. Clin. N. Am. 2015, 25, 29–45. [Google Scholar] [CrossRef] [PubMed]
- Binda, C.; Jung, C.F.M.; Fabbri, S.; Giuffrida, P.; Sbrancia, M.; Coluccio, C.; Gibiino, G.; Fabbri, C. Endoscopic Management of Postoperative Esophageal and Upper GI Defects—A Narrative Review. Medicina 2023, 59, 136. [Google Scholar] [CrossRef]
- Goenka, M.K.; Goenka, U. Endotherapy of leaks and fistula. World J. Gastrointest. Endosc. 2015, 7, 702. [Google Scholar] [CrossRef]
- Cereatti, F.; Grassia, R.; Drago, A.; Conti, C.B.; Donatelli, G. Endoscopic management of gastrointestinal leaks and fistulae: What option do we have? World J. Gastroenterol. 2020, 26, 4198–4217. [Google Scholar] [CrossRef]
- Jung, D.H.; Yun, H.-R.; Lee, S.J.; Kim, N.W.; Huh, C.W. Endoscopic Vacuum Therapy in Patients with Transmural Defects of the Upper Gastrointestinal Tract: A Systematic Review with Meta-Analysis. J. Clin. Med. 2021, 10, 2346. [Google Scholar] [CrossRef]
- Junior, E.S.D.M.; De Moura, D.T.H.; Ribeiro, I.B.; Hathorn, K.E.; Farias, G.F.A.; Turiani, C.V.; Medeiros, F.S.; Bernardo, W.M.; De Moura, E.G.H. Endoscopic vacuum therapy versus endoscopic stenting for upper gastrointestinal transmural defects: Systematic review and meta-analysis. Dig. Endosc. 2021, 33, 892–902. [Google Scholar] [CrossRef]
- Scognamiglio, P.; Reeh, M.; Melling, N.; Kantowski, M.; Eichelmann, A.-K.; Chon, S.-H.; El-Sourani, N.; Höller, A.; Izbicki, J.R.; Tachezy, M. Management of intra-thoracic anastomotic leakages after esophagectomy: Updated systematic review and meta-analysis of endoscopic vacuum therapy versus stenting. BMC Surg. 2022, 22, 309. [Google Scholar] [CrossRef]
- Intriago, J.M.V.; de Moura, D.T.H.; Junior, E.S.D.M.; Proença, I.M.; Ribeiro, I.B.; Sánchez-Luna, S.A.; Bernardo, W.M.; de Moura, E.G.H. Endoscopic Vacuum Therapy (EVT) for the Treatment of Post-Bariatric Surgery Leaks and Fistulas: A Systematic Review and Meta-analysis. Obes. Surg. 2022, 32, 3435–3451. [Google Scholar] [CrossRef] [PubMed]
- Tachezy, M.; Chon, S.-H.; Rieck, I.; Kantowski, M.; Christ, H.; Karstens, K.; Gebauer, F.; Goeser, T.; Rösch, T.; Izbicki, J.R.; et al. Endoscopic vacuum therapy versus stent treatment of esophageal anastomotic leaks (ESOLEAK): Study protocol for a prospective randomized phase 2 trial. Trials 2021, 22, 377. [Google Scholar] [CrossRef]
- Mandarino, F.V.; Barchi, A.; D’amico, F.; Fanti, L.; Azzolini, F.; Viale, E.; Esposito, D.; Rosati, R.; Fiorino, G.; Bemelman, W.A.; et al. Endoscopic Vacuum Therapy (EVT) versus Self-Expandable Metal Stent (SEMS) for Anastomotic Leaks after Upper Gastrointestinal Surgery: Systematic Review and Meta-Analysis. Life 2023, 13, 287. [Google Scholar] [CrossRef]
- Loske, G. Endoscopic negative pressure therapy of the upper gastrointestinal tract. Der Chir. 2019, 90 (Suppl. S1), 1–6. [Google Scholar] [CrossRef]
- McLean, W.C. The role of closed wound negative pressure suction in radical surgical procedures of the head and neck. Laryngoscope 1964, 74, 70–94. [Google Scholar] [CrossRef]
- Wedemeyer, J.; Schneider, A.; Manns, M.P.; Jackobs, S. Endoscopic vacuum-assisted closure of upper intestinal anastomotic leaks. Gastrointest. Endosc. 2008, 67, 708–711. [Google Scholar] [CrossRef]
- Reimer, S.; Seyfried, F.; Flemming, S.; Brand, M.; Weich, A.; Widder, A.; Plaßmeier, L.; Kraus, P.; Döring, A.; Hering, I.; et al. Evolution of endoscopic vacuum therapy for upper gastrointestinal leakage over a 10-year period: A quality improvement study. Surg. Endosc. 2022, 36, 9169–9178. [Google Scholar] [CrossRef]
- Markus, A.; Henrik, B.J.; Benedikt, R.; Alexander, H.; Thomas, B.; Clemens, S.; Jan-Hendrik, E. Endoscopic vacuum therapy in salvage and standalone treatment of gastric leaks after bariatric surgery. Langenbeck’s Arch. Surg. 2022, 407, 1039–1046. [Google Scholar] [CrossRef]
- Munshi, E.; Dahlbäck, C.; Johansson, S.; Lydrup, M.-L.; Jutesten, H.; Buchwald, P. Long-term Outcomes of Endoscopic Vacuum Therapy and Transanal Drainage for Anastomotic Leakage After Anterior Resection. In Vivo 2022, 36, 2275–2278. [Google Scholar] [CrossRef]
- Gubler, C.; Schneider, P.M.; Bauerfeind, P. Complex anastomotic leaks following esophageal resections: The new stent over sponge (SOS) approach. Dis. Esophagus 2013, 26, 598–602. [Google Scholar] [CrossRef]
- Valli, P.V.; Mertens, J.C.; Kröger, A.; Gubler, C.; Gutschow, C.; Schneider, P.M.; Bauerfeind, P. Stent-over-sponge (SOS): A novel technique complementing endosponge therapy for foregut leaks and perforations. Endoscopy 2018, 50, 148–153. [Google Scholar] [CrossRef] [PubMed]
- Loske, G.; Schorsch, T.; Müller, C. Endoscopic vacuum sponge therapy for esophageal defects. Surg. Endosc. 2010, 24, 2531–2535. [Google Scholar] [CrossRef] [PubMed]
- Loske, G.; Schorsch, T.; Müller, C. Endoscopic intracavitary vacuum therapy of Boerhaave’s syndrome: A case report. Endoscopy 2010, 42, E144–E145. [Google Scholar] [CrossRef] [PubMed]
- Ahrens, M.; Schulte, T.; Egberts, J.; Schafmayer, C.; Hampe, J.; Fritscher-Ravens, A.; Broering, D.C.; Schniewind, B. Drainage of esophageal leakage using endoscopic vacuum therapy: A prospective pilot study. Endoscopy 2010, 42, 693–698. [Google Scholar] [CrossRef]
- Weidenhagen, R.; Hartl, W.H.; Gruetzner, K.U.; Eichhorn, M.E.; Spelsberg, F.; Jauch, K.W. Anastomotic Leakage After Esophageal Resection: New Treatment Options by Endoluminal Vacuum Therapy. Ann. Thorac. Surg. 2010, 90, 1674–1681. [Google Scholar] [CrossRef]
- Loske, G.; Schorsch, T.; Müller, C. Intraluminal and intracavitary vacuum therapy for esophageal leakage: A new endoscopic minimally invasive approach. Endoscopy 2011, 43, 540–544. [Google Scholar] [CrossRef]
- Kuehn, F.; Schiffmann, L.; Rau, B.M.; Klar, E. Surgical Endoscopic Vacuum Therapy for Anastomotic Leakage and Perforation of the Upper Gastrointestinal Tract. J. Gastrointest. Surg. 2012, 16, 2145–2150. [Google Scholar] [CrossRef]
- Schorsch, T.; Müller, C.; Loske, G. Endoscopic vacuum therapy of anastomotic leakage and iatrogenic perforation in the esophagus. Surg. Endosc. 2013, 27, 2040–2045. [Google Scholar] [CrossRef]
- Schniewind, B.; Schafmayer, C.; Voehrs, G.; Egberts, J.; von Schoenfels, W.; Rose, T.; Kurdow, R.; Arlt, A.; Ellrichmann, M.; Jürgensen, C.; et al. Endoscopic endoluminal vacuum therapy is superior to other regimens in managing anastomotic leakage after esophagectomy: A comparative retrospective study. Surg. Endosc. 2013, 27, 3883–3890. [Google Scholar] [CrossRef] [PubMed]
- Brangewitz, M.; Voigtländer, T.; Helfritz, F.A.; Lankisch, T.O.; Winkler, M.; Klempnauer, J.; Manns, M.P.; Schneider, A.S.; Wedemeyer, J. Endoscopic closure of esophageal intrathoracic leaks: Stent versus endoscopic vacuum-assisted closure, a retrospective analysis. Endoscopy 2013, 45, 433–438. [Google Scholar] [CrossRef]
- Lenzen, H.; Negm, A.A.; Erichsen, T.J.; Manns, M.P.; Wedemeyer, J.; Lankisch, T.O. Successful treatment of cervical esophageal leakage by endoscopic-vacuum assisted closure therapy. World J. Gastrointest. Endosc. 2013, 5, 340–345. [Google Scholar] [CrossRef]
- Bludau, M.; Hölscher, A.H.; Herbold, T.; Leers, J.M.; Gutschow, C.; Fuchs, H.; Schröder, W. Management of upper intestinal leaks using an endoscopic vacuum-assisted closure system (E-VAC). Surg. Endosc. 2014, 28, 896–901. [Google Scholar] [CrossRef] [PubMed]
- Heits, N.; Stapel, L.; Reichert, B.; Schafmayer, C.; Schniewind, B.; Becker, T.; Hampe, J.; Egberts, J.-H. Endoscopic Endoluminal Vacuum Therapy in Esophageal Perforation. Ann. Thorac. Surg. 2014, 97, 1029–1035. [Google Scholar] [CrossRef] [PubMed]
- Schorsch, T.; Muller, C.; Loske, G. Endoscopic vacuum therapy of perforations and anastomotic insufficiency of the esophagus. Chirurg 2014, 85, 1081–1093. [Google Scholar] [CrossRef] [PubMed]
- Lee, H.J.; Lee, H. Endoscopic Vacuum-assisted Closure With Sponge for Esophagotracheal Fistula After Esophagectomy. Surg. Laparosc. Endosc. Percutaneous Tech. 2015, 25, e76–e77. [Google Scholar] [CrossRef] [PubMed]
- Mennigen, R.; Harting, C.; Lindner, K.; Vowinkel, T.; Rijcken, E.; Palmes, D.; Senninger, N.; Laukoetter, M.G. Comparison of Endoscopic Vacuum Therapy Versus Stent for Anastomotic Leak After Esophagectomy. J. Gastrointest. Surg. 2015, 19, 1229–1235. [Google Scholar] [CrossRef]
- Loske, G.; Schorsch, T.; Dahm, C.; Martens, E.; Müller, C. Iatrogenic perforation of esophagus successfully treated with Endoscopic Vacuum Therapy (EVT). Endosc. Int. Open 2015, 3, E547–E551. [Google Scholar] [CrossRef] [PubMed]
- Möschler, O.; Nies, C.; Mueller, M.K. Endoscopic vacuum therapy for esophageal perforations and leakages. Endosc. Int. Open 2015, 03, E554–E558. [Google Scholar] [CrossRef]
- Smallwood, N.R.; Fleshman, J.W.; Leeds, S.G.; Burdick, J.S. The use of endoluminal vacuum (E-Vac) therapy in the management of upper gastrointestinal leaks and perforations. Surg. Endosc. 2016, 30, 2473–2480. [Google Scholar] [CrossRef] [PubMed]
- Kuehn, F.; Schiffmann, L.; Janisch, F.; Schwandner, F.; Alsfasser, G.; Gock, M.C.; Klar, E. Surgical Endoscopic Vacuum Therapy for Defects of the Upper Gastrointestinal Tract. J. Gastrointest. Surg. 2016, 20, 237–243. [Google Scholar] [CrossRef]
- Laukoetter, M.G.; Mennigen, R.; Neumann, P.A.; Dhayat, S.; Horst, G.; Palmes, D.; Senninger, N.; Vowinkel, T. Successful closure of defects in the upper gastrointestinal tract by endoscopic vacuum therapy (EVT): A prospective cohort study. Surg. Endosc. 2017, 31, 2687–2696. [Google Scholar] [CrossRef]
- Neumann, P.-A.; Mennigen, R.; Palmes, D.; Senninger, N.; Vowinkel, T.; Laukoetter, M.G. Pre-emptive endoscopic vacuum therapy for treatment of anastomotic ischemia after esophageal resections. Endoscopy 2017, 49, 498–503. [Google Scholar] [CrossRef]
- Bludau, M.; Fuchs, H.F.; Herbold, T.; Maus, M.K.H.; Alakus, H.; Popp, F.; Leers, J.M.; Bruns, C.J.; Hölscher, A.H.; Schröder, W.; et al. Results of endoscopic vacuum-assisted closure device for treatment of upper GI leaks. Surg. Endosc. 2018, 32, 1906–1914. [Google Scholar] [CrossRef]
- Pournaras, D.J.; Hardwick, R.H.; Safranek, P.M.; Sujendran, V.; Bennett, J.; Macaulay, G.D.; Hindmarsh, A. Endoluminal Vacuum Therapy (E-Vac): A Treatment Option in Oesophagogastric Surgery. World J. Surg. 2018, 42, 2507–2511. [Google Scholar] [CrossRef]
- Heits, N.; Bernsmeier, A.; Reichert, B.; Hauser, C.; Hendricks, A.; Seifert, D.; Richter, F.; Schafmayer, C.; Ellrichmann, M.; Schniewind, B.; et al. Long-term quality of life after endovac-therapy in anastomotic leakages after esophagectomy. J. Thorac. Dis. 2018, 10, 228–240. [Google Scholar] [CrossRef] [PubMed]
- Noh, S.M.; Ahn, J.Y.; Lee, J.H.; Jung, H.-Y.; Alghamdi, Z.; Kim, H.R.; Kim, Y.-H. Endoscopic Vacuum-Assisted Closure Therapy in Patients with Anastomotic Leakage after Esophagectomy: A Single-Center Experience. Gastroenterol. Res. Prac. 2018, 2018, 1697968. [Google Scholar] [CrossRef] [PubMed]
- Still, S.; Mencio, M.; Ontiveros, E.; Burdick, J.; Leeds, S.G. Primary and Rescue Endoluminal Vacuum Therapy in the Management of Esophageal Perforations and Leaks. Ann. Thorac. Cardiovasc. Surg. 2018, 24, 173–179. [Google Scholar] [CrossRef] [PubMed]
- Manfredi, M.A.; Clark, S.; Staffa, S.J.; Ngo, P.D.; Smithers, C.J.; Hamilton, T.E.; Jennings, R.W. Endoscopic Esophageal Vacuum Therapy: A Novel Therapy for Esophageal Perforations in Pediatric Patients. J. Pediatr. Gastroenterol. Nutr. 2018, 67, 706–712. [Google Scholar] [CrossRef]
- Berlth, F.; Bludau, M.; Plum, P.S.; Herbold, T.; Christ, H.; Alakus, H.; Kleinert, R.; Bruns, C.J.; Hölscher, A.H.; Chon, S.-H. Self-Expanding Metal Stents Versus Endoscopic Vacuum Therapy in Anastomotic Leak Treatment After Oncologic Gastroesophageal Surgery. J. Gastrointest. Surg. 2019, 23, 67–75. [Google Scholar] [CrossRef] [PubMed]
- Min, Y.W.; Kim, T.; Lee, H.; Min, B.-H.; Kim, H.K.; Choi, Y.S.; Lee, J.H.; Rhee, P.-L.; Kim, J.J.; Zo, J.I.; et al. Endoscopic vacuum therapy for postoperative esophageal leak. BMC Surg. 2019, 19, 37. [Google Scholar] [CrossRef] [PubMed]
- Alakkari, A.; Sood, R.; Everett, S.M.; Rembacken, B.J.; Hayden, J.; Sarela, A.; Mohammed, N. First UK experience of endoscopic vacuum therapy for the management of oesophageal perforations and postoperative leaks. Front. Gastroenterol. 2019, 10, 200–203. [Google Scholar] [CrossRef] [PubMed]
- Sendino, O.; Loras, C.; Mata, A.; Momblán, D.; Andujar, X.; Cruz, M.; Cárdenas, A.; Marquez, I.; Uchima, H.; Cordova, H.; et al. Eficacia y seguridad de la terapia de vacío endoscópica para el tratamiento de perforaciones y dehiscencias anastomóticas del tracto digestivo superior. Gastroenterol. Hepatol. 2020, 43, 431–438. [Google Scholar] [CrossRef]
- Nijhuis, R.A.B.O.; Bergman, J.J.G.H.M.; Takkenberg, R.B.; Fockens, P.; Bredenoord, A.J. Non-surgical treatment of esophageal perforation after pneumatic dilation for achalasia: A case series. Scand. J. Gastroenterol. 2020, 55, 1248–1252. [Google Scholar] [CrossRef]
- Rubicondo, C.; Lovece, A.; Pinelli, D.; Indriolo, A.; Lucianetti, A.; Colledan, M. Endoluminal vacuum-assisted closure (E-Vac) therapy for postoperative esophageal fistula: Successful case series and literature review. World J. Surg. Oncol. 2021, 18, 301. [Google Scholar] [CrossRef]
- Jung, C.F.M.; Müller-Dornieden, A.; Gaedcke, J.; Kunsch, S.; Gromski, M.A.; Biggemann, L.; Hosseini, A.S.A.; Ghadimi, M.; Ellenrieder, V.; Wedi, E. Impact of Endoscopic Vacuum Therapy with Low Negative Pressure for Esophageal Perforations and Postoperative Anastomotic Esophageal Leaks. Digestion 2021, 102, 469–479. [Google Scholar] [CrossRef] [PubMed]
- De Pasqual, C.A.; Mengardo, V.; Tomba, F.; Veltri, A.; Sacco, M.; Giacopuzzi, S.; Weindelmayer, J.; de Manzoni, G. Effectiveness of endoscopic vacuum therapy as rescue treatment in refractory leaks after gastro-esophageal surgery. Updat. Surg. 2020, 73, 607–614. [Google Scholar] [CrossRef]
- Zhang, C.C.; Liesenfeld, L.; Klotz, R.; Koschny, R.; Rupp, C.; Schmidt, T.; Diener, M.K.; Müller-Stich, B.P.; Hackert, T.; Sauer, P.; et al. Feasibility, effectiveness, and safety of endoscopic vacuum therapy for intrathoracic anastomotic leakage following transthoracic esophageal resection. BMC Gastroenterol. 2021, 21, 72. [Google Scholar] [CrossRef] [PubMed]
- Book, T.; Wortmann, N.; Winkler, M.; Kirstein, M.M.; Heidrich, B.; Wedemeyer, H.; Voigtländer, T. Endoscopic vacuum assisted closure (E-VAC) of upper gastrointestinal leakages. Scand. J. Gastroenterol. 2021, 56, 1376–1379. [Google Scholar] [CrossRef] [PubMed]
- Ritz, L.A.; Hajji, M.S.; Schwerd, T.; Koletzko, S.; von Schweinitz, D.; Lurz, E.; Hubertus, J. Esophageal Perforation and EVAC in Pediatric Patients: A Case Series of Four Children. Front. Pediatr. 2021, 9, 727472. [Google Scholar] [CrossRef]
- Mastoridis, S.; Chana, P.; Singh, M.; Akbari, K.; Shalaby, S.; Maynard, N.D.; Sgromo, B. Endoscopic vacuum therapy (EVT) in the management of oesophageal perforations and post-operative leaks. Minim. Invasive Ther. Allied Technol. 2022, 31, 380–388. [Google Scholar] [CrossRef] [PubMed]
- El-Sourani, N.; Miftode, S.; Bockhorn, M.; Arlt, A.; Meinhardt, C. Endoscopic Management of Anastomotic Leakage after Esophageal Surgery: Ten Year Analysis in a Tertiary University Center. Clin. Endosc. 2022, 55, 58–66. [Google Scholar] [CrossRef] [PubMed]
- Richter, F.; Hendricks, A.; Schniewind, B.; Hampe, J.; Heits, N.; von Schönfels, W.; Reichert, B.; Eberle, K.; Ellrichmann, M.; Baumann, P.; et al. Eso-Sponge® for anastomotic leakage after oesophageal resection or perforation: Outcomes from a national, prospective multicentre registry. BJS Open 2022, 6, zrac030. [Google Scholar] [CrossRef] [PubMed]
- Stathopoulos, P.; Zumblick, M.; Wächter, S.; Schiffmann, L.; Gress, T.M.; Bartsch, D.; Seitz, G.; Denzer, U.W. Endoscopic vacuum therapy (EVT) for acute esophageal perforation: Could it replace surgery? Endosc. Int. Open 2022, 10, E686–E693. [Google Scholar] [CrossRef]
- Chon, S.-H.; Brunner, S.; Müller, D.T.; Lorenz, F.; Stier, R.; Streller, L.; Eckhoff, J.; Straatman, J.; Babic, B.; Schiffmann, L.M.; et al. Time to endoscopic vacuum therapy—Lessons learned after > 150 robotic-assisted minimally invasive esophagectomies (RAMIE) at a German high-volume center. Surg. Endosc. 2023, 37, 741–748. [Google Scholar] [CrossRef] [PubMed]
- Maier, J.; Kandulski, A.; Donlon, N.E.; Werner, J.M.; Mehrl, A.; Müller, M.; Doenecke, A.; Schlitt, H.J.; Hornung, M.; Weiss, A.R.R. Endoscopic vacuum therapy significantly improves clinical outcomes of anastomotic leakages after 2-stage, 3-stage, and transhiatal esophagectomies. Langenbeck’s Arch. Surg. 2023, 408, 90. [Google Scholar] [CrossRef]
- Panneerselvam, K.; Jacob, J.S.; Samuel, R.E.; Tau, A.; Ketwaroo, G.A.; Abidi, W.M.; Sealock, R.J. Endoscopic vacuum therapy for treatment of spontaneous and iatrogenic upper gastrointestinal defects: A case series. Clin. Endosc. 2023. [Google Scholar] [CrossRef] [PubMed]
- Moura, D.; De Moura, B.F.B.H.; Manfredi, M.A.; Hathorn, K.E.; Bazarbashi, A.N.; Ribeiro, I.B.; de Moura, E.; Thompson, C.C. Role of endoscopic vacuum therapy in the management of gastrointestinal transmural defects. World J. Gastrointest. Endosc. 2019, 11, 329–344. [Google Scholar] [CrossRef]
- Jansen, K.T.; Hetzel, J.; Schulte, C.; Düzenli, N.; Fusco, S.; Zerabruck, E.; Schmider, E.; Malek, N.P.; Königsrainer, A.; Stüker, D.; et al. Differences in fluid removal of different open-pore elements for endoscopic negative pressure therapy in the upper gastrointestinal tract. Sci. Rep. 2022, 12, 13889. [Google Scholar] [CrossRef] [PubMed]
- Lord, A. Is the type of insufflation a key issue in gastro-intestinal endoscopy? World J. Gastroenterol. 2014, 20, 2193–2199. [Google Scholar] [CrossRef]
- Gutschow, C.A.; Schlag, C.; Vetter, D. Endoscopic vacuum therapy in the upper gastrointestinal tract: When and how to use it. Langenbeck’s Arch. Surg. 2022, 407, 957–964. [Google Scholar] [CrossRef]
- Leeds, S.G.; Mencio, M.; Ontiveros, E.; Ward, M.A. Endoluminal Vacuum Therapy: How I Do It. J. Gastrointest. Surg. 2019, 23, 1037–1043. [Google Scholar] [CrossRef] [PubMed]
- de Moura, D.T.H.; Hirsch, B.S.; McCarty, T.R.; dos Santos, M.E.L.; Guedes, H.G.; Gomes, G.F.; de Medeiros, F.S.; de Moura, E.G.H. Homemade endoscopic vacuum therapy device for the management of transmural gastrointestinal defects. Dig. Endosc. 2023; online ahead of print. [Google Scholar] [CrossRef]
- Loske, G.; Müller, C.T. Tips and tricks for endoscopic negative pressure therapy. Der Chir. 2019, 90 (Suppl. S1), 7–14. [Google Scholar] [CrossRef] [PubMed]
- Aziz, M.; Haghbin, H.; Sharma, S.; Weissman, S.; Saleem, S.; Lee-Smith, W.; Kobeissy, A.; Nawras, A.; Alastal, Y. Safety and effectiveness of endoluminal vacuum-assisted closure for esophageal defects: Systematic review and meta-analysis. Endosc. Int. Open 2021, 9, E1371–E1380. [Google Scholar] [CrossRef]
- Nass, K.J.; Zwager, L.W.; van der Vlugt, M.; Dekker, E.; Bossuyt, P.M.; Ravindran, S.; Thomas-Gibson, S.; Fockens, P. Novel classification for adverse events in GI endoscopy: The AGREE classification. Gastrointest. Endosc. 2022, 95, 1078–1085.e8. [Google Scholar] [CrossRef]
- Ooi, G.; Burton, P.; Packiyanathan, A.; Loh, D.; Chen, R.; Shaw, K.; Brown, W.; Nottle, P. Indications and efficacy of endoscopic vacuum-assisted closure therapy for upper gastrointestinal perforations. ANZ J. Surg. 2018, 88, E257–E263. [Google Scholar] [CrossRef]
- Chon, S.-H.; Berlth, F.; Dratsch, T.; Plum, P.S.; Lorenz, F.; Goeser, T.; Bruns, C.J. Outcome of prophylactic endoscopic vacuum therapy for high-risk anastomosis after esophagectomy. Minim. Invasive Ther. Allied Technol. 2022, 31, 1079–1085. [Google Scholar] [CrossRef] [PubMed]
- Müller, P.C.; Morell, B.; Vetter, D.; Raptis, D.A.M.; Kapp, J.R.; Gubler, C.; Gutschow, C.A. Preemptive Endoluminal Vacuum Therapy to Reduce Morbidity After Minimally Invasive Ivor Lewis Esophagectomy. Ann. Surg. 2021, 274, 751–757. [Google Scholar] [CrossRef]
- Kaczmarek, D.J.; Heling, D.J.; Strassburg, C.P.; Katzer, D.; Düker, G.; Strohm, J.; Müller, A.; Heydweiller, A.; Weismüller, T.J. Management of esophageal perforations in infants by endoscopic vacuum therapy: A single center case series. BMC Gastroenterol. 2022, 22, 282. [Google Scholar] [CrossRef]
- Lange, J.; Dormann, A.; Bulian, D.R.; Hügle, U.; Eisenberger, C.F.; Heiss, M.M. VACStent: Combining the benefits of endoscopic vacuum therapy and covered stents for upper gastrointestinal tract leakage. Endosc. Int. Open 2021, 9, E971–E976. [Google Scholar] [CrossRef] [PubMed]
- Chon, S.-H.; Scherdel, J.; Rieck, I.; Lorenz, F.; Dratsch, T.; Kleinert, R.; Gebauer, F.; Fuchs, H.F.; Goeser, T.; Bruns, C.J. A new hybrid stent using endoscopic vacuum therapy in treating esophageal leaks: A prospective single-center experience of its safety and feasibility with mid-term follow-up. Dis. Esophagus 2021, 35, doab067. [Google Scholar] [CrossRef] [PubMed]






| Year | Author | N Patients | N Sponges | Clinical Success | Adverse Events | Upper GI Tract Defect | Ref. |
|---|---|---|---|---|---|---|---|
| 2008 | Wedemeyer J | 2 | 5 | 100% | No | Postoperative leaks | [23] |
| 2010 | Loske G | 10 | 1–7 | 100% | 1 sponge rupture | Various defects | [29] |
| 2010 | Loske G | 1 | 2 | 100% | No | Boerhaave syndrome | [30] |
| 2010 | Ahrens M | 5 | 8–12 | 100% | 2 strictures 1 death (aortic fistula) | Postoperative leaks | [31] |
| 2010 | Weidenhagen R | 6 | 5–14 | 100% | 1 stricture | Postoperative leaks | [32] |
| 2011 | Loske G | 14 | 1–10 | 93% | 2 sponge migrations 1 sponge rupture 1 stricture | Various defects | [33] |
| 2012 | Kuehn F | 9 | 1–13 | 89% | 1 death (sepsis) | Various defects | [34] |
| 2013 | Schorsch T | 24 | 1–12 | 96% | 1 stricture | Various defects | [35] |
| 2013 | Schniewind B | 17 | NA | 88% | 2 deaths | Postoperative leaks | [36] |
| 2013 | Brangewitz M | 32 | 5–28 | 84% | 1 bleeding 1 sponge rupture 1 bronchial fistula 3 strictures 5 deaths | Various defects | [37] |
| 2013 | Lenzen H | 3 | 5–12 | 100% | No | Postoperative leaks | [38] |
| 2014 | Bludau M | 14 | 1–9 | 86% | 2 deaths | Various defects | [39] |
| 2014 | Heits N | 10 | 2–12 | 90% | 1 death (cardiac failure) | Non-surgical defects | [40] |
| 2014 | Schorsch T | 35 | 1–21 | 91% | 1 sponge rupture 1 death | Various defects | [41] |
| 2015 | Lee HJ | 1 | 6 | 100% | 1 stricture | Postoperative bronchial fistula | [42] |
| 2015 | Mennigen R | 22 | 1–18 | 86% | 3 deaths (cardiac failure, pneumonia) | Postoperative leaks | [43] |
| 2015 | Loske G | 10 | 1–3 | 100% | No | Non-surgical defects | [44] |
| 2015 | Möschler O | 10 | 1–39 | 70% | 2 deaths (sepsis) | Various defects | [45] |
| 2016 | Smallwood NR | 6 | 2–12 | 100% | No | Non-surgical defects | [46] |
| 2016 | Kuehn F | 21 | 1–14 | 91% | 1 stricture 1 death (sepsis) | Various defects | [47] |
| 2017 | Laukoetter MG | 52 | 1–25 | 94% | 4 strictures 2 deaths (EVT-related bleeding) | Various defects | [48] |
| 2017 | Neumann PA | 8 | 2–11 | 75% | 3 strictures | Pre-emptive EVT | [49] |
| 2018 | Bludau M | 77 | 1–9 | 78% | 10 deaths (sepsis, bleeding, embolism) | Various defects | [50] |
| 2018 | Pournaras DJ | 21 | 3–12 | 95% | 2 bleedings 1 death (sepsis) | Various defects | [51] |
| 2018 | Heits N | 23 | NA | 91% | 2 sepsis 6 strictures | Postoperative leaks | [52] |
| 2018 | Noh SM | 12 | 1–6 | 67% | 1 bleeding 1 stricture 1 death (aspiration pneumonia) | Postoperative leaks | [53] |
| 2018 | Still S | 13 | 4–6 | 92% | 1 death (palliation) | Various defects | [54] |
| 2018 | Manfredi MA | 17 | 1–3 | 88% | 1 increased-size perforation | Various defects (paediatric) | [55] |
| 2019 | Berlth F | 34 | 1–9 | 86% | 1 stricture | Postoperative leaks | [56] |
| 2019 | Min YW | 20 | 2–12 | 95% | 7 strictures 1 death (palliation) | Postoperative leaks | [57] |
| 2019 | Alakkari A | 2 | 6–13 | 100% | No | Various defects | [58] |
| 2020 | Sendino O | 11 | 7 | 91% | 3 strictures 1 death (sepsis) | Various defects | [59] |
| 2020 | Oude Nijhuis RA | 2 | 1 | 100% | No | Pneumatic dilatation achalasia | [60] |
| 2020 | Rubicondo C | 2 | 5–6 | 100% | No | Postoperative leaks | [61] |
| 2021 | Jung CFM | 30 | 1–13 | 73% | 2 bleedings 2 deaths (sepsis) | Various defects | [62] |
| 2021 | De Pasqual CA | 8 | 5–14 | 63% | 1 bleeding | Postoperative leaks | [63] |
| 2021 | Zhang CC | 55 | 1–14 | 89% | 1 bleeding 4 deaths (sepsis, cardiac arrest) | Postoperative leaks | [64] |
| 2021 | Book T | 116 | NA | 79% | 10 deaths | Various defects | [65] |
| 2021 | Ritz LA | 4 | NA | 75% | 2 strictures | Various defects (paediatric) | [66] |
| 2022 | Mastoridis S | 7 | 1–4 | 86% | 3 strictures 1 death (sepsis) | Various defects | [67] |
| 2022 | El-Sourani N | 13 | 4–18 | 92% | No | Postoperative leaks | [68] |
| 2022 | Markus A | 20 | 5–7 | 90% | 1 death (cardiac arrest) | Postoperative leaks (bariatric) | [25] |
| 2022 | Richter F | 102 | 1–37 | 86% | 5 bleedings 10 strictures 7 deaths | Various defects | [69] |
| 2022 | Stathopoulos P | 10 | 2–3 | 100% | No | Non-surgical defects | [70] |
| 2022 | Reimer S | 156 | 2–8 | 85% | 3 bleedings 9 bronchial fistula 17 strictures | Various defects | [24] |
| 2023 | Chon SH | 20 | 1–6 | 75% | No | Postoperative leaks | [71] |
| 2023 | Maier J | 17 | 2–12 | 71% | 7 strictures | Postoperative leaks | [72] |
| 2023 | Panneerselvam K | 20 | 1–12 | 80% | No | Various defects | [73] |
Disclaimer/Publisher’s Note: The statements, opinions and data contained in all publications are solely those of the individual author(s) and contributor(s) and not of MDPI and/or the editor(s). MDPI and/or the editor(s) disclaim responsibility for any injury to people or property resulting from any ideas, methods, instructions or products referred to in the content. |
© 2023 by the authors. Licensee MDPI, Basel, Switzerland. This article is an open access article distributed under the terms and conditions of the Creative Commons Attribution (CC BY) license (https://creativecommons.org/licenses/by/4.0/).
Share and Cite
Monino, L.; Moreels, T.G. Endoscopic Vacuum Therapy of Upper Gastrointestinal Anastomotic Leaks: How to Deal with the Challenges (with Video). Life 2023, 13, 1412. https://doi.org/10.3390/life13061412
Monino L, Moreels TG. Endoscopic Vacuum Therapy of Upper Gastrointestinal Anastomotic Leaks: How to Deal with the Challenges (with Video). Life. 2023; 13(6):1412. https://doi.org/10.3390/life13061412
Chicago/Turabian StyleMonino, Laurent, and Tom G. Moreels. 2023. "Endoscopic Vacuum Therapy of Upper Gastrointestinal Anastomotic Leaks: How to Deal with the Challenges (with Video)" Life 13, no. 6: 1412. https://doi.org/10.3390/life13061412
APA StyleMonino, L., & Moreels, T. G. (2023). Endoscopic Vacuum Therapy of Upper Gastrointestinal Anastomotic Leaks: How to Deal with the Challenges (with Video). Life, 13(6), 1412. https://doi.org/10.3390/life13061412

