Drug-Induced Podocytopathies: Report of Four Cases and Review of the Literature
Abstract
1. Introduction
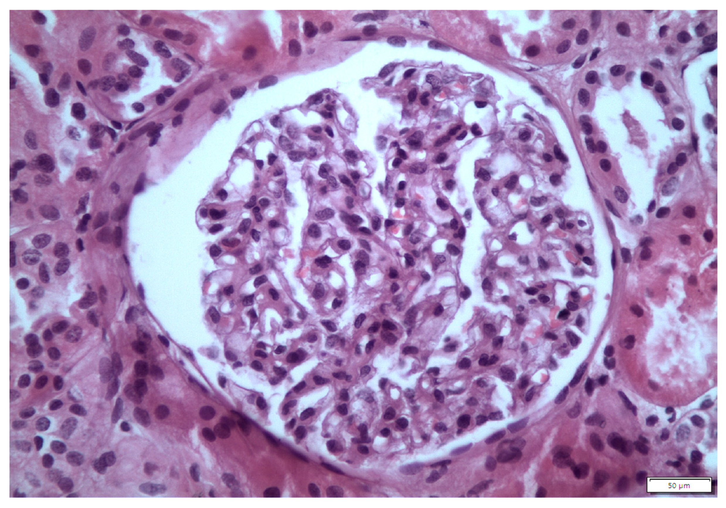
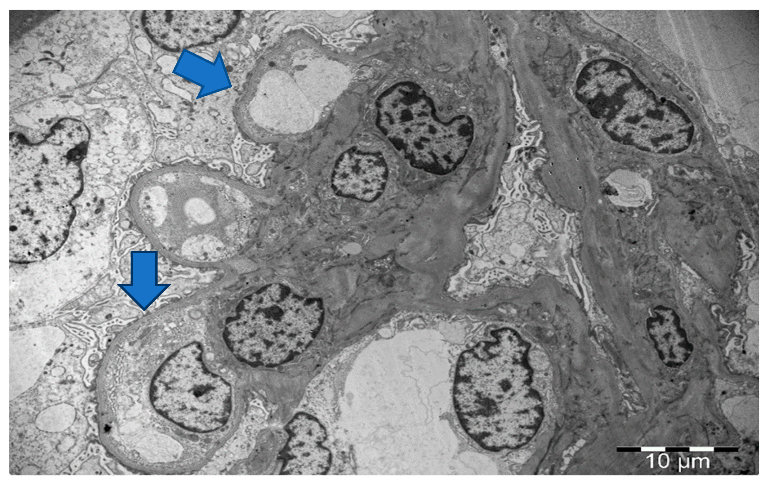
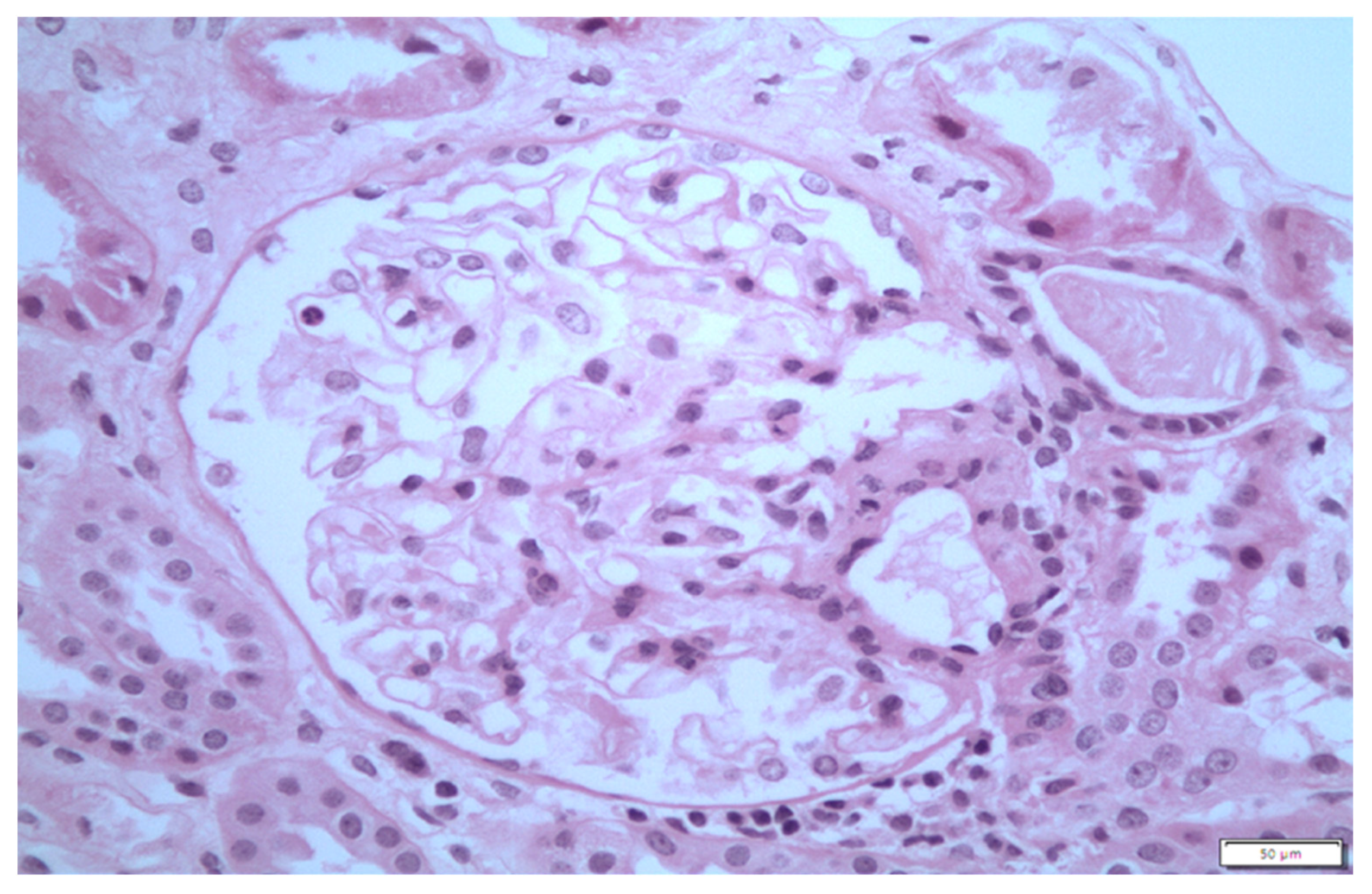
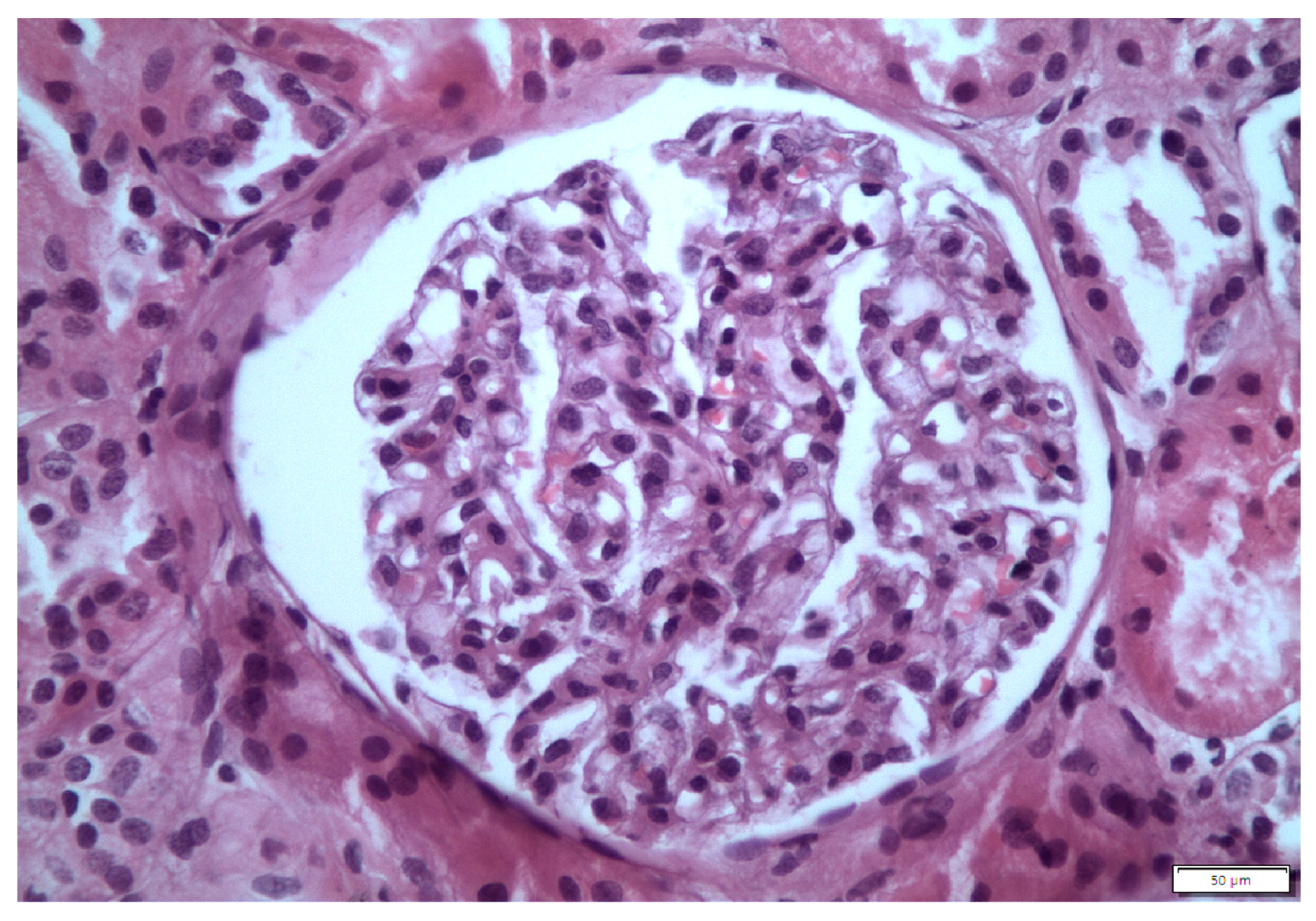
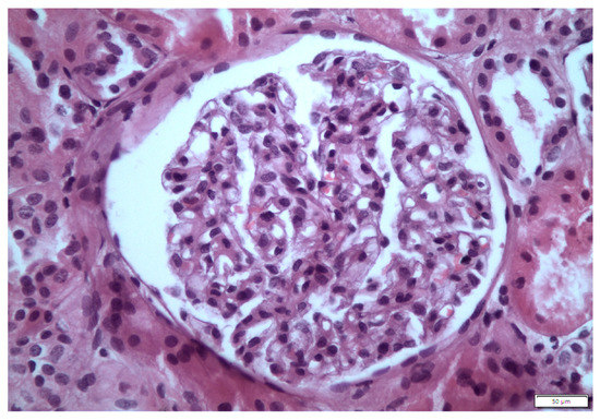
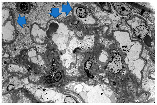
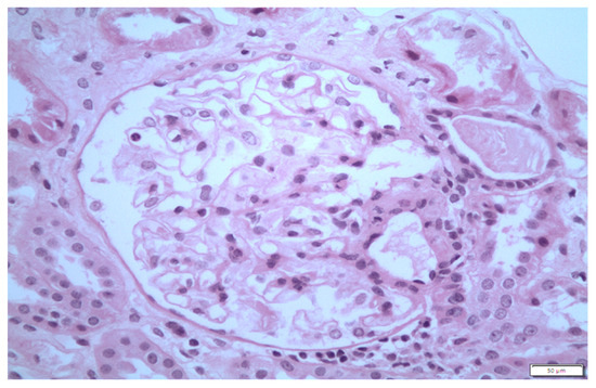
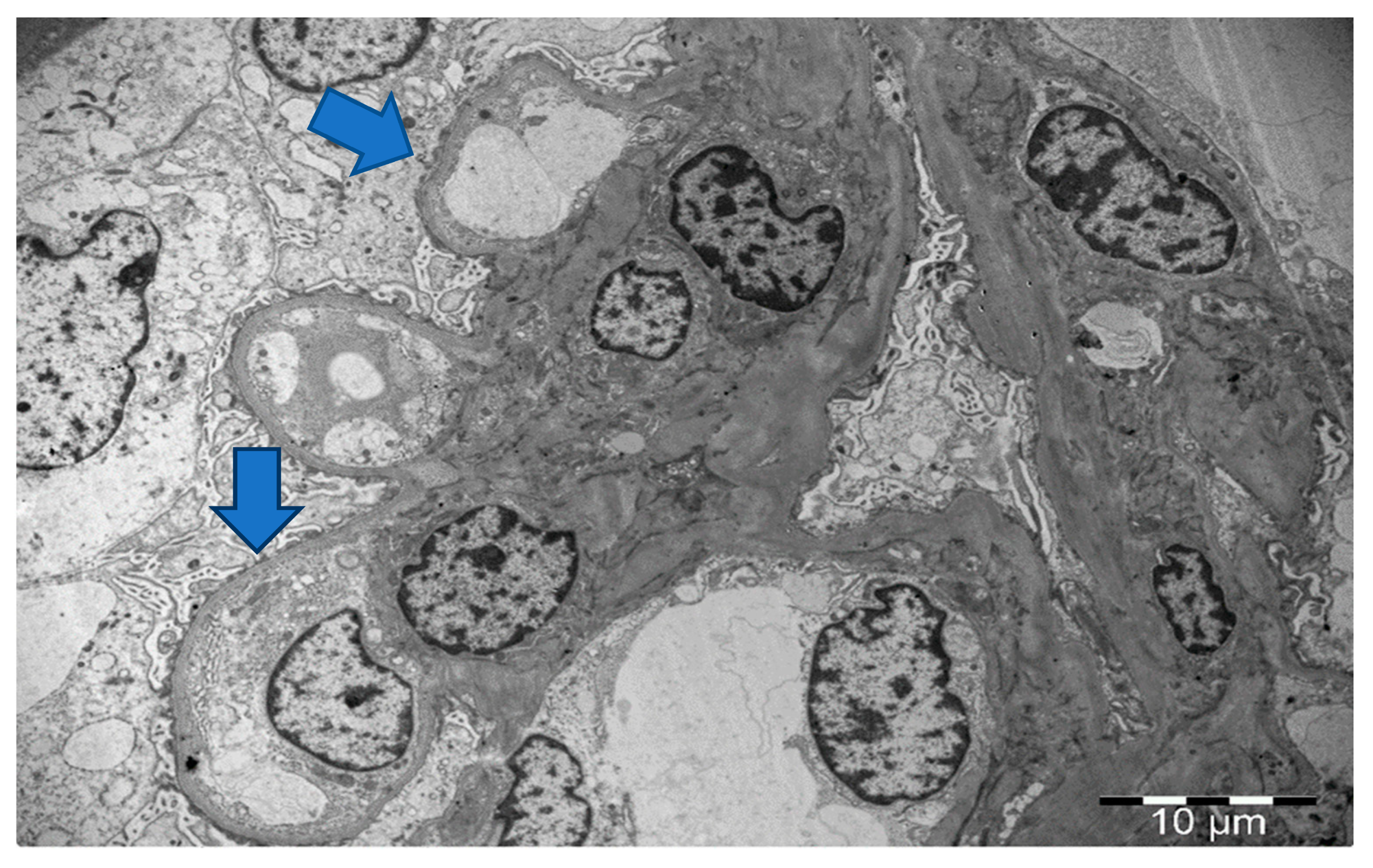
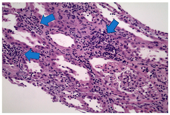
2. Case 1 Description: MCD Associated with Tamoxifen
3. Case 2 Description: MCD Associated with D-Penicillamine
4. Case 3 Description: D-Penicillamine-Associated MCD
5. Case 4 Description: Pembrolizumab-Axitinib-Induced MCD
6. Discussion
7. Conclusions
Author Contributions
Funding
Institutional Review Board Statement
Informed Consent Statement
Data Availability Statement
Conflicts of Interest
References
- Kohli, H.S.; Bhaskaran, M.C.; Muthukumar, T.; Thennarasu, K.; Sud, K.; Jha, V.; Gupta, K.L.; Sakhuja, V. Treatment-related acute renal failure in the elderly: A hospital-based prospective study. Nephrol. Dial. Transpl. 2000, 15, 212–217. [Google Scholar] [CrossRef] [PubMed]
- Izzedine, H.; Ng, J.H. Keep in Mind the Spectrum of Drug-Induced Glomerular Diseases. Kidney News 2021, 13, 27–28. [Google Scholar]
- Frazier, K.; Obert, L. Drug-induced Glomerulonephritis: The Spectre of Biotherapeutic and Antisense Oligonucleotide Immune Activation in the Kidney. Toxicol. Pathol. 2018, 46, 904–917. [Google Scholar] [CrossRef] [PubMed]
- The American Society of Health-System Pharmacists. Available online: https://www.drugs.com/monograph/penicillamine (accessed on 11 October 2022).
- Stuart, M.C.; Kouimtzi, M.; Hill, S.R. WHO Model Formulary 2008; Stuart, M.C., Kouimtzi, M., Hill, S.R., Eds.; WHO: Geneva, Switzerland, 2009. [Google Scholar]
- Steen, V.D.; Medsger, T.A., Jr.; Rodnan, G.P. D-Penicillamine therapy in progressive systemic sclerosis (scleroderma): A retrospective analysis. Ann. Intern. Med. 1982, 97, 652–659. [Google Scholar] [CrossRef] [PubMed]
- Clements, P.J.; Furst, D.E.; Wong, W.K.; Mayes, M.; White, B.; Wigley, F.; Weisman, M.H.; Barr, W.; Moreland, L.W.; Medsger, T.A., Jr.; et al. High-dose versus low-dose D-penicillamine in early diffuse systemic sclerosis: Analysis of a two-year, double-blind, randomized, controlled clinical trial. Arthritis Rheum. 1999, 42, 1194–1203. [Google Scholar] [CrossRef]
- Fishel, B.; Tishler, M.; Caspi, D.; Yaron, M. Fatal aplastic anemia and liver toxicity caused by D-penicillamine treatment of rheumatoid arthritis. Ann. Rheum. Dis. 1989, 48, 609–610. [Google Scholar] [CrossRef]
- Camp, A.V. Penicillamine in the treatment of rheumatoid arthritis. Proc. R. Soc. Med. 1977, 70, 67–69. [Google Scholar] [CrossRef]
- Chalmers, A.; Thompson, D.; Stein, H.E.; Reid, G.; Patterson, A.C. Systemic lupus erythematosus during penicillamine therapy for rheumatoid arthritis. Ann. Intern. Med. 1982, 97, 659–663. [Google Scholar] [CrossRef]
- Hall, C.L.; Jawad, S.; Harrison, P.R.; MacKenzie, J.C.; Bacon, P.A.; Klouda, P.T.; MacIver, A.G. Natural course of penicillamine nephropathy: A long term study of 33 patients. Br. Med. J. 1988, 296, 1083–1086. [Google Scholar] [CrossRef]
- Senthil Kumar, R.; Srinivasa Prasad, N.; Tirumavalavan, S.; Fernando, M. D-penicillamine-induced membranous nephropathy. Indian J. Nephrol. 2014, 24, 195–196. [Google Scholar]
- Habib, G.S.; Saliba, W.; Nashashibi, M.; Armali, Z. Penicillamine and nephrotic syndrome. Eur. J. Intern. Med. 2006, 17, 343–348. [Google Scholar] [CrossRef] [PubMed]
- Basterrechea, M.A.; de Arriba, G.; García-Martín, F.; Sánchez-Heras, M.; Giménez-Vega, E.; Sánchez, J. Minimal changes nephrotic syndrome associated to penicillamine treatment. Nefrologia 2004, 24, 183–187. [Google Scholar] [PubMed]
- Kostadinova, A.D.; Mihaylov, M.Y.; Ivanova, I.D. Nephrotic syndrome after treatment with D-penicillamine in a patient with Wilson’s disease. Rev. Română Med. Lab. 2014, 22, 2. [Google Scholar] [CrossRef]
- Nanke, Y.; Akama, H.; Terai, C.; Kamatani, C. Rapidly progressive glomerulonephritis with d-penicillamine. Am. J. Med. 2000, 320, 398–402. [Google Scholar] [CrossRef] [PubMed]
- Kyndt, X.; Ducq, P.; Bridoux, F.; Reumaux, D.; Makdassi, R.; Gheerbrant, J.D.; Vanhille, P. Extracapillary glomerulonephritis with anti-myeloperoxidase antibodies in 2 patients with systemic scleroderma treated with penicillamine D. Presse Med. 1999, 28, 67–70. [Google Scholar]
- Nanke, Y.; Akama, H.; Terai, C.; Hara, M.; Kamatani, N. MPO-ANCA positive rapidly progressive glomerulonephritis in a patient with rheumatoid arthritis during treatment with d-penicillamine. Nihon Rinsho Meneki Gakkai Kaishi 1999, 22, 354–359. [Google Scholar] [CrossRef]
- DeSilva, R.N.; Eastmond, C.J. Management of proteinuria secondary to penicillamine therapy in rheumatoid arthritis. Clin. Rheumatol. 1992, 11, 216–219. [Google Scholar] [CrossRef]
- Bienaimé, F.; Clerbaux, G.; Plaisier, E.; Mougenot, B. D-Penicillamine–Induced ANCA-Associated Crescentic Glomerulonephritis in Wilson Disease. Am. J. Kidney Dis. 2007, 50, 821–882. [Google Scholar] [CrossRef]
- Siafakas, C.G.; Jonas, M.M.; Alexander, S.; Herrin, J.; Furuta, G.T. Early onset of nephrotic syndrome after treatment with d-penicillamine in a patient with Wilson’s disease. Am. J. Gastroenterol. 1998, 93, 2544–2546. [Google Scholar] [CrossRef]
- Neild, G.N.; Gartner, H.V.; Bohle, A. Penicillamine induced membranous glomerulonephritis. Scand. J. Rheumatol. 1979, 28, 79–90. [Google Scholar] [CrossRef]
- Bacon, P.A.; Tribe, C.R.; Mackenzie, J.C.; Verrier Jones, J.; Cumming, R.H.; Amer, B. Penicillamine nephropathy in rheumatoid arthritis. Q. J. Med. 1976, 80, 661–684. [Google Scholar]
- Jordan, V.C. Fourteenth Gaddum Memorial Lecture. A current view of tamoxifen for the treatment and prevention of breast cancer. Br. J. Pharmacol. 1993, 110, 507–517. [Google Scholar] [CrossRef] [PubMed]
- Breast Cancer in Men. Cancer Help UK. Available online: https://www.cancerresearchuk.org/about-cancer?page=5075 (accessed on 10 August 2022).
- Wang, D.Y.; Fulthorpe, R.; Liss, S.N.; Edwards, E.A. Identification of estrogen-responsive genes by complementary deoxyribonucleic acid microarray and characterization of a novel early estrogen-induced gene: EEIG1. Mol. Endocrinol. 2004, 18, 402–411. [Google Scholar] [CrossRef] [PubMed]
- Steiner, A.Z.; Terplan, M.; Paulson, R.J. Comparison of tamoxifen and clomiphene citrate for ovulation induction: A meta-analysis. Hum. Reprod. 2005, 20, 1511–1515. [Google Scholar] [CrossRef]
- Lapid, O.; Van Wingerden, J.J.; Perlemuter, L. Tamoxifen therapy for the management of pubertal gynecomastia: A systematic review. J. Pediatr. Endocrinol. Metab. 2013, 26, 803–807. [Google Scholar] [CrossRef]
- Neyman, A.; Eugster, E.A. Treatment of Girls and Boys with McCune-Albright Syndrome with Precocious Puberty. Pediatr. Endocrinol. Rev. 2017, 15, 136–141. [Google Scholar]
- Tamoxifen for Breast Cancer & Side Effects. Health and Life. Available online: https://healthlifeandstuff.com/2009/12/tamoxifen-for-breast-cancer-side-effects/ (accessed on 7 August 2022).
- Catanuto, P.; Doublier, S.; Lupia, E.; Fornoni, A.; Berho, M.; Karl, M.; Striker, G.E.; Xia, X.; Elliot, S. 17 beta-estradiol and tamoxifen upregulate estrogen receptor beta expression and control podocyte signaling pathways in a model of type 2 diabetes. Kidney Int. 2009, 75, 1194–1201. [Google Scholar] [CrossRef]
- Verma, R.; Venkatareddy, M.; Kalinowski, A.; Li, T.; Kukla, J.; Mollin, A.; Cara-Fuentes, G.; Patel, S.R.; Garg, P. Nephrin is necessary for podocyte recovery following injury in an adult mature glomerulus. PLoS ONE 2018, 13, e0198013. [Google Scholar] [CrossRef]
- Ren, W.; Yi, H.; Bao, Y.; Liu, Y.; Gao, X. Oestrogen inhibits PTPRO to prevent the apoptosis of renal podocytes. Exp. Ther. Med. 2019, 17, 2373–2380. [Google Scholar] [CrossRef]
- Lauro, S.; Lalle, M.; D’Andrea, M.R.; Vecchione, A.; Frati, L. Nephrotic syndrome and adjuvant treatment with tamoxifen for early breast cancer. Case report and review of the literature. Anticancer. Res. 1994, 14, 2171–2172. [Google Scholar]
- Macleod, L.C.; Hotaling, J.M.; Wright, J.L.; Davenport, M.T.; Gore, J.L.; Harper, J.; White, E. Risk factors for renal cell carcinoma in the VITAL study. J. Urol. 2013, 190, 1657–1661. [Google Scholar] [CrossRef] [PubMed]
- Kompotiatis, P.; Thongprayoon, C.; Manohar, S.; Cheungpasitporn, W.; Gonzalez Suarez, M.L.; Craici, I.M.; Mao, M.A.; Herrmann, S.M. Association between urologic malignancies and end-stage renal disease: A meta-analysis. Nephrology 2019, 24, 65–73. [Google Scholar] [CrossRef] [PubMed]
- Powles, T.; Plimack, E.R.; Soulières, D.; Waddell, T.; Stus, V.; Gafanov, R.; Nosov, D.; Pouliot, F.; Melichar, B.; Vynnychenko, I.; et al. Pembrolizumab plus axitinib versus sunitinib monotherapy as first-line treatment of advanced renal cell carcinoma (KEYNOTE-426): Extended follow-up from a randomised, open-label, phase 3 trial. Lancet Oncol. 2020, 21, 1563–1573. [Google Scholar] [CrossRef]
- Mielczarek, Ł.; Brodziak, A.; Sobczuk, P.; Kawecki, M.; Cudnoch-Jędrzejewska, A.; Czarnecka, A.M. Renal toxicity of targeted therapies for renal cell carcinoma in patients with normal and impaired kidney function. Cancer Chemother. Pharm. 2021, 87, 723–742. [Google Scholar] [CrossRef]
- Semeniuk-Wojtaś, A.; Lubas, A.; Stec, R.; Szczylik, C.; Niemczyk, S. Influence of Tyrosine Kinase Inhibitors on Hypertension and Nephrotoxicity in Metastatic Renal Cell Cancer Patients. Int. J. Mol. Sci. 2016, 17, 2073. [Google Scholar] [CrossRef] [PubMed]
- Izzedine, H.; Massard, C.; Spano, J.P.; Goldwasser, F.; Khayat, D.; Soria, J.C. VEGF signalling inhibition-induced proteinuria: Mechanisms, significance and management. Eur. J. Cancer 2010, 46, 439–448. [Google Scholar] [CrossRef]
- Pham, A.; Ye, D.W.; Pal, S. Overview and management of toxicities associated with systemic therapies for advanced renal cell carcinoma. Urol. Oncol. 2015, 33, 517–527. [Google Scholar] [CrossRef]
- Miyake, H.; Harada, K.; Imai, S.; Miyazaki, A.; Fujisawa, M. Non-significant impact of proteinuria on renal function in Japanese patients with metastatic renal cell carcinoma treated with axitinib. Int. J. Clin. Oncol. 2015, 20, 796–801. [Google Scholar] [CrossRef]
- Izzedine, H.; Mangier, M.; Ory, V.; Zhang, S.Y.; Sendeyo, K.; Bouachi, K.; Audard, V.; Péchoux, C.; Soria, J.C.; Massard, C.; et al. Expression patterns of RelA and c-mip are associated with different glomerular diseases following anti-VEGF therapy. Kidney Int. 2014, 85, 457–470. [Google Scholar] [CrossRef]
- Weber, J. Immune Checkpoint Proteins: A New Therapeutic Paradigm for Cancer—Preclinical Background: CTLA-4 and PD-1 Blockade. Semin. Oncol. 2010, 37, 430–439. [Google Scholar] [CrossRef]
- Franzin, R.; Netti, G.S.; Spadaccino, F.; Porta, C.; Gesualdo, L.; Stallone, G.; Castellano, G.; Ranieri, E. The Use of Immune Checkpoint Inhibitors in Oncology and the Occurrence of AKI: Where Do We Stand? Frontiers 2020, 11, 1664–3224. [Google Scholar] [CrossRef] [PubMed]
- Liu, R.C.; Consuegra, G.; Chou, S.; Fernandez Peñas, P. Vitiligo-like depigmentation iVitiligo-like depigmentation in oncology patients treated with immunotherapies for nonmelanoma metastatic cancers. Clin. Exp. Derm. 2019, 44, 643–646. [Google Scholar] [CrossRef] [PubMed]
- Kitchlu, A.; Jhaveri, K.D.; Wadhwani, S.; Deshpande, P.; Harel, Z.; Kishibe, T.; Henriksen, K.; Wanchoo, R. AA Systematic Review of Immune Checkpoint Inhibitor–Associated Glomerular Disease. Kidney Int. Rep. 2021, 6, 66–77. [Google Scholar] [CrossRef] [PubMed]
- Cortazar, F.B.; Marrone, K.A.; Troxell, M.L.; Ralto, K.M.; Hoenig, M.P.; Brahmer, J.R.; Le, D.T.; Lipson, E.J.; Glezerman, I.G.; Wolchok, J.; et al. Clinicopathological features of acute kidney injury associated with immune checkpoint inhibitors. Kidney Int. 2016, 90, 638–647. [Google Scholar] [CrossRef] [PubMed]
- Lo, W.K.; Yau, T.; Chang, T.Y.A.; Chan, K.W. SAT-024 Glomerulonephritis induced by combination immunotherapy and VEGF inhibition with tyrosine kinase inhibitors (TKI). Kidney Int. Rep. 2020, 5, S12. [Google Scholar] [CrossRef]
- Wood, L.S.; Ornstein, M.C. Toxicity Management of Front-Line Pembrolizumab Combined With Axitinib in Clear Cell Metastatic Renal Cell Carcinoma: A Case Study Approach. JCO Oncol. Pract. 2020, 16, 15s–19s. [Google Scholar] [CrossRef]
- Markowitz, G.S.; Radhakrishnan, J.; Kambham, N.; Valeri, A.M.; Hines, W.H.; Agati, V.D. Lithium Nephrotoxicity: A Progressive Combined Glomerular and Tubulointerstitial Nephropathy. J. Am. Soc. Nephrol. 2000, 11, 1439–1448. [Google Scholar] [CrossRef]
- Letavernier, E.; Bruneval, P.; Mandet, C.; Duong Van Huyen, J.P.; Péraldi, M.N.; Helal, I.; Noël, L.H.; Legendre, C. High sirolimus levels may induce focal segmental glomerulosclerosis de novo. Clin. J. Am. Soc. Nephrol. 2007, 2, 326–333. [Google Scholar] [CrossRef]
- Perazella, M.A.; Markowitz, G.S. Bisphosphonate nephrotoxicity. Kidney Int. 2008, 74, 1385–1393. [Google Scholar] [CrossRef]
- Markowitz, G.S.; Nasr, S.H.; Stokes, M.B.; D’Agati, V.D. Treatment with IFN-alpha, -beta, or -gamma is associated with collapsing focal segmental glomerulosclerosis. Clin. J. Am. Soc. Nephrol. 2010, 5, 607–615. [Google Scholar] [CrossRef]
- Herlitz, L.C.; Markowitz, G.S.; Farris, A.B.; Schwimmer, J.A.; Stokes, M.B.; Kunis, C.; Colvin, R.B.; D’Agati, V.D. Development of focal segmental glomerulosclerosis after anabolic steroid abuse. J. Am. Soc. Nephrol. 2010, 21, 163–172. [Google Scholar] [CrossRef] [PubMed]
- Bakhriansyah, M.; Souverein, P.C.; van den Hoogen, M.W.F.; de Boer, A.; Klungel, O.H. Risk of nephrotic syndrome for non-steroidal anti-inflammatory drug users: A case-control study. Clin. J. Am. Soc. Nephrol. 2019, 14, 1355–1362. [Google Scholar] [CrossRef] [PubMed]
- Keisuke, K.; Yoshihiko, M.; Tomoyo, Y.; Hisashi, W.; Hidemi, N.; Kei, F.; Syuuji, I.; Reiko, H.; Yoshifumi, W.; Osamu, T.; et al. Minimal change nephrotic syndrome associated with rifampicin treatment. Nephrol. Dial. Transplant. 2000, 15, 1056–1059. [Google Scholar]
- Neugarten, J.; Gallo, G.; Baldwin, D. Rifampin-induced nephrotic syndrome and acute interstitial nephritis. Am. J. Nephrol. 1983, 3, 38–42. [Google Scholar] [CrossRef]
- Dong, H.; Lee, S.; Kang, S.; Jung, H. Rifampicin-induced minimal Change disease is improved after cessation of rifampicin without steroid therapy. Yonsei Med. J. 2015, 56, 582–585. [Google Scholar]
- Kim, J.; Kim, K.; Choi, E. Minimal change disease related to rifampicin presenting with acute renal failure during treatment for latent tuberculosis infection: A case report. Medicine 2018, 97, 22. [Google Scholar] [CrossRef]
- Sathi, S.; Garg, A.K.; Singh, M.K.; Saini, V.S.; Vohra, D. Rifampicin-Associated Secondary Minimal Change Disease Presenting with Nephrotic Syndrome in a Pulmonary Tuberculosis Patient. Case Rep. Nephrol. 2021, 2021, 5546942. [Google Scholar] [CrossRef]
- Radford, M.G.; Holley, K.E.; Grande, J.P.; Larson, T.S.; Wagoner, R.D.; Donadio, J.V.; McCarthy, J.T. Reversible membranous nephropathy associated with the use of nonsteroidal anti-inflammatory drugs. JAMA 1996, 276, 466–469. [Google Scholar] [CrossRef]
- Ravnskov, U. Glomerular, tubular and interstitial nephritis associated with non-steroidal antiinflammatory drugs. Evidence of a common mechanism. Br. J. Clin. Pharm. 1999, 47, 203–210. [Google Scholar] [CrossRef]
- Mérida, E.; Praga, M. NSAIDs and Nephrotic Syndrome. Clin. J. Am. Soc. Nephrol. 2019, 14, 1280–1282. [Google Scholar] [CrossRef]
- Praga, M.; González, E. Acute interstitial nephritis. Kidney Int. 2010, 77, 956–961. [Google Scholar] [CrossRef] [PubMed]
- Nawaz, F.A.; Larsen, C.P.; Troxell, M.L. Membranous nephropathy and nonsteroidal anti-inflammatory agents. Am. J. Kidney Dis. 2013, 62, 1012–1017. [Google Scholar] [CrossRef] [PubMed]
- Lühe, A.; Künkele, K.P.; Haiker, M.; Schad, K.; Zihlmann, C.; Bauss, F.; Suter, L.; Pfister, T. Preclinical evidence for nitrogen-containing bisphosphonate inhibition of farnesyl diphosphate (FPP) synthase in the kidney: Implications for renal safety. Toxicol. In Vitro 2008, 22, 899–909. [Google Scholar] [CrossRef] [PubMed]
- Yoshioka, K.; Satake, N.; Kasamatsu, Y.; Nakamura, Y.; Shikata, N. Rapidly progressive glomerulonephritis due to rifampicin therapy. Nephron 2002, 90, 116–118. [Google Scholar] [CrossRef] [PubMed]
- Santella, R.N.; Rimmer, J.M.; MacPherson, B.R. Focal segmental glomerulosclerosis in patients receiving lithium carbonate. Am. J. Med. 1988, 84, 951–954. [Google Scholar] [CrossRef]
- Gianassi, I.; Allinovi, M.; Caroti, L.; Cirami, L.C. Broad spectrum of interferon-related nephropathies-glomerulonephritis, systemic lupus erythematosus-like syndrome and thrombotic microangiopathy: A case report and review of literature. World J. Nephrol. 2019, 8, 109–117. [Google Scholar]
- Dauvergne, M.; Buob, D.; Rafat, C.; Hennino, M.F.; Lemoine, M.; Audard, V.; Chauveau, D.; Ribes, D.; Cornec-Le Gall, E.; Daugas, E.; et al. Renal diseases secondary to interferon-β treatment: A multicentre clinico-pathological study and systematic literature review. Clin. Kidney J. 2021, 14, 2563–2572. [Google Scholar] [CrossRef]
- Savin, V.J.; Sharma, M.; McCarthy, E.T.; Sharma, R.; Reddy, S.; Dong, J.W.; Hess, S.; Kopp, J. Cardiotrophin like cytokine-1: Candidate for the focal glomerular sclerosis permeability factor. J. Am. Soc. Nephrol. 2008, 19, 59A. [Google Scholar]





| First Author | No of Patients | Implicated Medication | Type of Glomerular Disease (Patients) | Clinical Picture (Patients) | Intervention (Patients) | Proteinuria Outcome (Patients) | Renal Function Outcome (Patients) |
|---|---|---|---|---|---|---|---|
| Hall et al. (1988) [11] | 33 | Penicillamine | MCD (2) | Proteinuria | Discontinuation | Complete remission | - |
| Markowitz et al. (2000) [51] | 24 | Lithium | FSGS (12) | NS (3) NRP (3) NNRP (6) Creatinine rise (12) | Discontinuation(10) | NA | ESRD (4) Creatinine decline (4) Creatinine rise (1) |
| Letavernier et al. (2007) [52] | 8 | Sirolimus | FSGS (8) | NRP (3) NNRP (5) | Switch sirolimus to tacrolimus (5) | Proteinuria reduction | - |
| Perazella et al. (2008) [53] | 22 | Pamidronate (21) | FSGS (18) | NS (17) NNRP (1) | Discontinuation (19) | Complete remission (4) Proteinuria reduction(5) | ESRD (5) Creatinine decline (7) Creatinine rise (2) |
| MCD (3) | NRP (3) | ||||||
| Zoledronate (1) | FSGS | NS | Discontinuation | ESRD | |||
| Markowitz et al. (2010) [54] | 11 | INFa-b-c | FSGS (11) | NS (9) NNRP (2) Creatinine rise (10) | Discontinuation (11) Cs (4) | Complete remission (1) Partial remission (2) Proteinuria reduction (7) | Creatinine decline (9) ESRD (1) |
| Herlitz et al. (2010) [55] | 10 | Anabolic steroids | FSGS (9) | NS (3) NRP (6) NNRP (1) Creatinine rise (10) | Discontinuation (8) ACEi (7) Cs (1) | Partial remission (4) Complete remission (3) | Creatinine decline (7) ESRD (1) |
| Izzedine et al. (2014) [43] | 29 | Sunitinib (11) | Podocytopathy (5) | NRP Creatinine rise (2) | Discontinuation ACEi/ARB | NA | NA |
| Axitinib (1) | Podocytopathy | ||||||
| Sorafenib (3) | Podocytopathy (2) | ||||||
| Bakhriansyah et al. (2019) [56] | 288 | NSAIDS | MCD (15) FSGS (34) | NS | NA | NA | NA |
| Case Reports (1983–2021) [57,58,59,60,61] | 5 | Rifampicin | MCD | NS Creatinine rise (3) | Discontinuation | Complete remission | Creatinine decline (3) |
| Kitchlu et al. (2021) [47] | 9 | Pembrolizumab(5) | MCD | NS (4) NRP (1) Creatinine rise (5) | Discontinuation Cs | Complete remission (2) Partial remission (1) | Creatinine decline (2) ESRD (1) |
| Ipilimumab (2) | MCD | NS (2) Creatinine rise(1) | Discontinuation Cs | Complete remission | Creatinine decline (1) | ||
| Nivolumab (2) | FSGS | NS (1) NNRP (1) Creatinine rise (2) | Discontinuation Cs MMF (1) | Partial remission | Creatinine decline (2) |
Disclaimer/Publisher’s Note: The statements, opinions and data contained in all publications are solely those of the individual author(s) and contributor(s) and not of MDPI and/or the editor(s). MDPI and/or the editor(s) disclaim responsibility for any injury to people or property resulting from any ideas, methods, instructions or products referred to in the content. |
© 2023 by the authors. Licensee MDPI, Basel, Switzerland. This article is an open access article distributed under the terms and conditions of the Creative Commons Attribution (CC BY) license (https://creativecommons.org/licenses/by/4.0/).
Share and Cite
Athanasopoulou, D.; Lionaki, S.; Skalioti, C.; Liapis, G.; Vlachoyiannopoulos, P.; Boletis, I. Drug-Induced Podocytopathies: Report of Four Cases and Review of the Literature. Life 2023, 13, 1264. https://doi.org/10.3390/life13061264
Athanasopoulou D, Lionaki S, Skalioti C, Liapis G, Vlachoyiannopoulos P, Boletis I. Drug-Induced Podocytopathies: Report of Four Cases and Review of the Literature. Life. 2023; 13(6):1264. https://doi.org/10.3390/life13061264
Chicago/Turabian StyleAthanasopoulou, Diamanto, Sophia Lionaki, Chrysanthi Skalioti, George Liapis, Panayiotis Vlachoyiannopoulos, and Ioannis Boletis. 2023. "Drug-Induced Podocytopathies: Report of Four Cases and Review of the Literature" Life 13, no. 6: 1264. https://doi.org/10.3390/life13061264
APA StyleAthanasopoulou, D., Lionaki, S., Skalioti, C., Liapis, G., Vlachoyiannopoulos, P., & Boletis, I. (2023). Drug-Induced Podocytopathies: Report of Four Cases and Review of the Literature. Life, 13(6), 1264. https://doi.org/10.3390/life13061264

