Lessons Learned from Donor Cell-Derived Myeloid Neoplasms: Report of Three Cases and Review of the Literature
Abstract
1. Introduction
2. Materials and Methods
2.1. Case Selection
2.2. Histologic Evaluation
2.3. Conventional Cytogenetic and Interphase Fluorescence In Situ Hybridization (FISH) Studies
2.4. BM Chimerism Analysis
2.5. Next Generation Sequencing (NGS) for Hematologic Cancer
3. Results
3.1. Case 1
3.2. Case 2
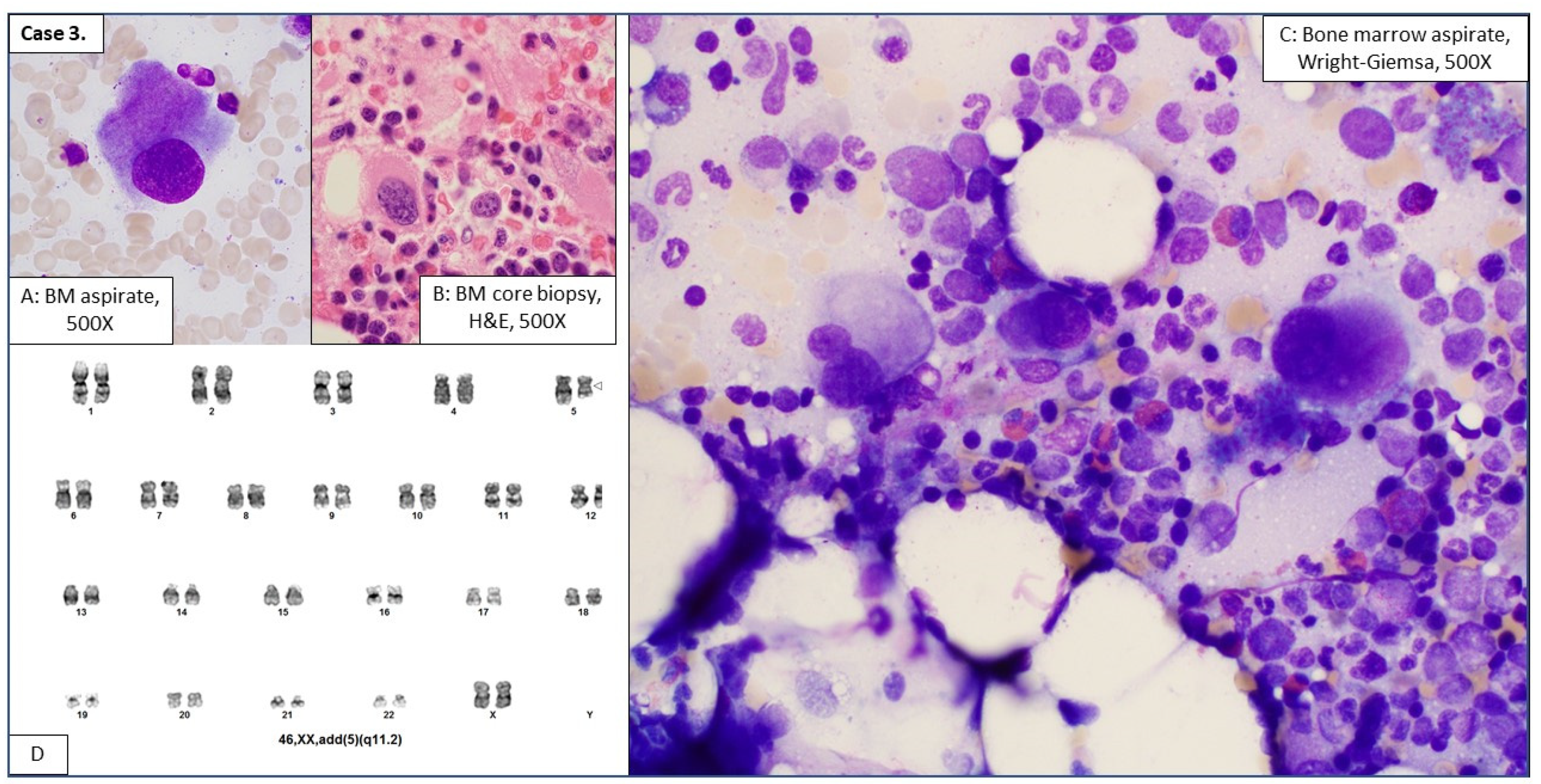
3.3. Case 3
3.4. Summary of DDMN including Current and Previously Reported Cases
3.5. Cytogenetic Findings of DDMN
3.6. Reported Cases of DDMN with Insight into Pathogenesis
4. Discussion
5. Conclusions
Supplementary Materials
Author Contributions
Funding
Institutional Review Board Statement
Informed Consent Statement
Data Availability Statement
Conflicts of Interest
References
- Swerdlow, S.H.; Campo, E.; Harris, N.L.; Jaffe, E.S.; Pileri, S.A.; Stein, H.; Thiele, J. WHO Classification of Tumours of Haematopoietic and Lymphoid Tissues, 4th ed.; International Agency for Research on Cancer: Lyan, France, 2017. [Google Scholar]
- Stevens-Kroef, M.; Simons, A.; Rack, K.; Hastings, R.J. Cytogenetic Nomenclature and Reporting. Methods Mol. Biol. 2017, 1541, 303–309. [Google Scholar] [PubMed]
- Niederwieser, D.W.; Appelbaum, F.R.; Gastl, G.; Gersdorf, E.; Meister, B.; Geissler, D.; Tratkiewicz, J.A.; Thaler, J.; Huber, C. Inadvertent transmission of a donor’s acute myeloid leukemia in bone marrow transplantation for chronic myelocytic leukemia. N. Engl. J. Med. 1990, 322, 1794–1796. [Google Scholar] [CrossRef] [PubMed]
- Dickson, M.A.; Papadopoulos, E.B.; Hedvat, C.V.; Jhanwar, S.C.; Brentjens, R.J. Acute myeloid leukemia arising from a donor derived premalignant hematopoietic clone: A possible mechanism for the origin of leukemia in donor cells. Leuk. Res. Rep. 2014, 3, 38–41. [Google Scholar] [CrossRef] [PubMed][Green Version]
- Glasser, L.; Meloni-Ehrig, A.; Greaves, W.; Demel, K.C.; Butera, J. Synchronous development of acute myeloid leukemia in recipient and donor after allogeneic bone marrow transplantation: Report of a case with comments on donor evaluation. Transfusion 2009, 49, 555–562. [Google Scholar] [CrossRef] [PubMed]
- Bielorai, B.; Deeg, H.J.; Weintraub, M.; Neumann, Y.; Rosner, E.; Amariglio, N.; Rechavi, G.; Toren, A. B-cell lymphoma developing in the donor 9 years after donor-origin acute myeloid leukemia post bone marrow transplantation. Bone Marrow Transpl. 2003, 31, 931–934. [Google Scholar] [CrossRef]
- Au, W.Y.; Chan, E.C.; Siu, L.L.; Lau, T.C.; Lie, A.K.; Ma, S.K.; Kwong, Y.L. Leukaemic relapse of donor origin after allogeneic bone marrow transplantation from a donor who later developed bronchogenic carcinoma. Br. J. Haematol. 2002, 119, 777–780. [Google Scholar] [CrossRef]
- Bodo, I.; Marion, P.; Radich, J.; Hess, J.; Blinder, M.; Watson, M.S.; Van Rheeden, R.; Natarajan, S.; Lowell, J.A.; Brown, R.; et al. Donor-derived acute promyelocytic leukemia in a liver-transplant recipient. N. Engl. J. Med. 1999, 341, 807–813. [Google Scholar] [CrossRef]
- Subklewe, M.; Nagy, M.; Schoch, C.; Jenisch, S.; Siebert, R.; Gesk, S.; Neuhaus, P.; Dorken, B.; Schmidt, C.A. Extramedullary manifestation of a donor-derived acute myeloid leukemia in a liver transplant patient. Leukemia 2004, 18, 2050–2053. [Google Scholar] [CrossRef]
- Girsberger, S.; Wehmeier, C.; Amico, P.; Dirnhofer, S.; Marti, E.; Halter, J.P.; Passweg, J.R.; Bucher, C.M. Donor-derived acute myeloid leukemia in a kidney transplant recipient. Blood 2013, 122, 298–300. [Google Scholar] [CrossRef][Green Version]
- Boyd, C.N.; Ramberg, R.C.; Thomas, E.D. The incidence of recurrence of leukemia in donor cells after allogeneic bone marrow transplantation. Leuk. Res. 1982, 6, 833–837. [Google Scholar] [CrossRef]
- Hertenstein, B.; Hambach, L.; Bacigalupo, A.; Schmitz, N.; McCann, S.; Slavin, S.; Gratwohl, A.; Ferrant, A.; Elmaagacli, A.; Schwertfeger, R.; et al. Development of leukemia in donor cells after allogeneic stem cell transplantation—A survey of the European Group for Blood and Marrow Transplantation (EBMT). Haematologica 2005, 90, 969–975. [Google Scholar] [PubMed]
- Ruiz-Arguelles, G.J.; Ruiz-Delgado, G.J.; Garces-Eisele, J.; Ruiz-Arguelles, A.; Perez-Romano, B.; Reyes-Nunez, V. Donor cell leukemia after non-myeloablative allogeneic stem cell transplantation: A single institution experience. Leuk. Lymphoma 2006, 47, 1952–1955. [Google Scholar] [CrossRef] [PubMed]
- Wang, E.; Hutchinson, C.B.; Huang, Q.; Lu, C.M.; Crow, J.; Wang, F.F.; Sebastian, S.; Rehder, C.; Lagoo, A.; Horwitz, M.; et al. Donor cell-derived leukemias/myelodysplastic neoplasms in allogeneic hematopoietic stem cell transplant recipients: A clinicopathologic study of 10 cases and a comprehensive review of the literature. Am. J. Clin. Pathol. 2011, 135, 525–540. [Google Scholar] [CrossRef] [PubMed]
- Wiseman, D.H. Donor cell leukemia: A review. Biol. Blood Marrow Transpl. 2011, 17, 771–789. [Google Scholar] [CrossRef]
- Knudson, A.G., Jr. Mutation and cancer in man. Cancer 1977, 39 (Suppl. 4), 1882–1886. [Google Scholar] [CrossRef]
- Stevens, J.M.; Syndercombe-Court, D.; Oakervee, H.E.; McCloskey, D.; Jenner, M.J.; Gribben, J.G.; Cavenagh, J.D. Development of original donor cell leukemia after successful engraftment from a second donor. Blood 2007, 110, 4621–4622. [Google Scholar] [CrossRef]
- Baron, F.; Dresse, M.F.; Beguin, Y. Transmission of chronic myeloid leukemia through peripheral-blood stem-cell transplantation. N. Engl. J. Med. 2003, 349, 913–914. [Google Scholar] [CrossRef]
- Berg, K.D.; Brinster, N.K.; Huhn, K.M.; Goggins, M.G.; Jones, R.J.; Makary, A.; Murphy, K.M.; Griffin, C.A.; Rosenblum-Vos, L.S.; Borowitz, M.J.; et al. Transmission of a T-cell lymphoma by allogeneic bone marrow transplantation. N. Engl. J. Med. 2001, 345, 1458–1463. [Google Scholar] [CrossRef]
- Mielcarek, M.; Bryant, E.; Loken, M.; Zaucha, J.M.; Torok-Storb, B.; Storb, R. Long-term engraftment and clonal dominance of donor-derived del(20q) hematopoietic cells after allogeneic stem cell transplantation. Blood 2006, 107, 1732–1733. [Google Scholar] [CrossRef][Green Version]
- Sala-Torra, O.; Hanna, C.; Loken, M.R.; Flowers, M.E.; Maris, M.; Ladne, P.A.; Mason, J.R.; Senitzer, D.; Rodriguez, R.; Forman, S.J.; et al. Evidence of donor-derived hematologic malignancies after hematopoietic stem cell transplantation. Biol Blood Marrow Transpl. 2006, 12, 511–517. [Google Scholar] [CrossRef]
- Owen, C.; Barnett, M.; Fitzgibbon, J. Familial myelodysplasia and acute myeloid leukaemia—A review. Br. J. Haematol. 2008, 140, 123–132. [Google Scholar] [CrossRef] [PubMed]
- Stieglitz, E.; Loh, M.L. Genetic predispositions to childhood leukemia. Ther. Adv. Hematol. 2013, 4, 270–290. [Google Scholar] [CrossRef] [PubMed]
- Curtius, K.; Wright, N.A.; Graham, T.A. Evolution of Premalignant Disease. Cold Spring Harb. Perspect. Med. 2017, 7, a026542. [Google Scholar] [CrossRef] [PubMed]
- Mori, H.; Colman, S.M.; Xiao, Z.; Ford, A.M.; Healy, L.E.; Donaldson, C.; Hows, J.M.; Navarrete, C.; Greaves, M. Chromosome translocations and covert leukemic clones are generated during normal fetal development. Proc. Natl. Acad. Sci. USA 2002, 99, 8242–8247. [Google Scholar] [CrossRef] [PubMed]
- Greaves, M.F. Cord blood donor cell leukemia in recipients. Leukemia 2006, 20, 1633–1634. [Google Scholar] [CrossRef][Green Version]
- Flynn, C.M.; Kaufman, D.S. Donor cell leukemia: Insight into cancer stem cells and the stem cell niche. Blood 2007, 109, 2688–2692. [Google Scholar] [CrossRef] [PubMed][Green Version]
- Flores-Figueroa, E.; Gutierrez-Espindola, G.; Montesinos, J.J.; Arana-Trejo, R.M.; Mayani, H. In vitro characterization of hematopoietic microenvironment cells from patients with myelodysplastic syndrome. Leuk. Res. 2002, 26, 677–686. [Google Scholar] [CrossRef]
- Simmons, P.J.; Przepiorka, D.; Thomas, E.D.; Torok-Storb, B. Host origin of marrow stromal cells following allogeneic bone marrow transplantation. Nature 1987, 328, 429–432. [Google Scholar] [CrossRef]
- Aldoss, I.; Song, J.Y.; Curtin, P.T.; Forman, S.J. Multiple donor-derived leukemias in a recipient of allogeneic hematopoietic cell transplantation for myeloid malignancy. Blood Adv. 2020, 4, 4798–4801. [Google Scholar] [CrossRef]
- Ogonek, J.; Kralj Juric, M.; Ghimire, S.; Varanasi, P.R.; Holler, E.; Greinix, H.; Weissinger, E. Immune Reconstitution after Allogeneic Hematopoietic Stem Cell Transplantation. Front. Immunol. 2016, 7, 507. [Google Scholar] [CrossRef]
- Palka, G.; Calabrese, G.; Di Girolamo, G.; Stuppia, L.; Di Bartolomeo, P.; Guanciali Franchi, P.; Di Virgilio, C.; Bianchi, G.P.; Angrilli, F.; Parruti, G.; et al. Cytogenetic survey of 31 patients treated with bone marrow transplantation for acute nonlymphocytic and acute lymphoblastic leukemias. Cancer Genet. Cytogenet. 1991, 51, 223–233. [Google Scholar] [CrossRef]
- Sevilla, J.; Querol, S.; Molines, A.; Gonzalez-Vicent, M.; Balas, A.; Carrio, A.; Estella, J.; Angel Diaz, M.; Madero, L. Transient donor cell-derived myelodysplastic syndrome with monosomy 7 after unrelated cord blood transplantation. Eur. J. Haematol. 2006, 77, 259–263. [Google Scholar] [CrossRef] [PubMed]
- Notaro, R.; Cimmino, A.; Tabarini, D.; Rotoli, B.; Luzzatto, L. In vivo telomere dynamics of human hematopoietic stem cells. Proc. Natl. Acad. Sci. USA 1997, 94, 13782–13785. [Google Scholar] [CrossRef]
- Wynn, R.F.; Cross, M.A.; Hatton, C.; Will, A.M.; Lashford, L.S.; Dexter, T.M.; Testa, N.G. Accelerated telomere shortening in young recipients of allogeneic bone-marrow transplants. Lancet 1998, 351, 178–181. [Google Scholar] [CrossRef]
- Lee, J.; Kook, H.; Chung, I.; Kim, H.; Park, M.; Kim, C.; Nah, J.; Hwang, T. Telomere length changes in patients undergoing hematopoietic stem cell transplantation. Bone Marrow Transpl. 1999, 24, 411–415. [Google Scholar] [CrossRef] [PubMed]
- Lorimore, S.A.; Coates, P.J.; Scobie, G.E.; Milne, G.; Wright, E.G. Inflammatory-type responses after exposure to ionizing radiation in vivo: A mechanism for radiation-induced bystander effects? Oncogene 2001, 20, 7085–7095. [Google Scholar] [CrossRef]
- Greenberger, J.S.; Epperly, M.W.; Jahroudi, N.; Pogue-Geile, K.L.; Berry, L.; Bray, J.; Goltry, K.L. Role of bone marrow stromal cells in irradiation leukemogenesis. Acta Haematol. 1996, 96, 1–15. [Google Scholar] [CrossRef]
- Jacobs, J.F.M.; Brons, P.P.; Simons, A.; van der Reijden, B.A.; Hoogerbrugge, P.M. Therapy-related, donor-derived AML respondingto a second allogeneic BMT. Bone Marrow Transpl. 2007, 40, 499–500. [Google Scholar] [CrossRef]
- Komeno, Y.; Kanda, Y.; Kandabashi, K.; Kawazu, M.; Goyama, S.; Takeshita, M.; Nannya, Y.; Niino, M.; Nakamoto, T.; Kurokawa, M.; et al. Reduced-intensity bone marrow transplantation from an alternative unrelated donor for myelodysplastic syndrome of first-donor origin. Am. J. Hematol. 2003, 72, 220–222. [Google Scholar] [CrossRef]
- Goh, K.; Klemperer, M.R. In vivo leukemic transformation: Cytogenetic evidence of in vivo leukemic transformation of engrafted marrow cells. Am. J. Hematol. 1977, 2, 283–290. [Google Scholar] [CrossRef]
- Elfenbein, G.J.; Brogaonkar, D.S.; Bias, W.B.; Burns, W.H.; Saral, R.; Sensenbrenner, L.L.; Tutschka, P.J.; Zaczek, B.S.; Zander, A.R.; Epstein, R.B.; et al. Cytogenetic evidence for recurrence of acute myelogenous leukemia after allogeneic bone marrow transplantation in donor hematopoietic cells. Blood 1978, 52, 627–636. [Google Scholar] [CrossRef] [PubMed]
- Witherspoon, R.P.; Schubach, W.; Neiman, P.; Martin, P.; Thomas, E.D. Donor cell leukemia developing six years after marrow grafting for acute leukemia. Blood 1985, 65, 1172–1174. [Google Scholar] [CrossRef] [PubMed]
- Browne, P.V.; Lawler, M.; Humphries, P.; McCann, S.R. Donor-cell leukemia after bone marrow transplantation fpr sever aplastic anemia. N. Engl. J. Med. 1991, 325, 710–713. [Google Scholar] [CrossRef] [PubMed]
- Lowsky, R.; Fyles, G.; Minden, M.; Lipton, J.; Meharchand, J.; Tejpar, I.; Zipursky, A.; Messner, H. Detection of donor cell derived acute myelogenous leukaemia in a patient transplanted for chronic myelogenous leukaemia using fluorescence in situ hybridization. Br. J. Haematol. 1996, 93, 163–165. [Google Scholar] [CrossRef]
- Spinelli, O.; Giussani, U.; Borleri, G.; Lazzari, M.; Michelato, A.; Dotti, G.; Barbui, T.; Rambaldi, A. Need for an accurate molecular diagnosis to assess the donor origin of leukemia relapse after allogeneic stem cell transplantation. Haematologica 2000, 85, 1153–1157. [Google Scholar]
- Cooley, L.D.; Sears, D.A.; Udden, M.M.; Harrison, W.R.; Baker, K.R. Donor cell leukemia: Report of a case occurring 11 years after allogeneic bone marrow transplantation and review of the literature. Am. J. Hematol. 2000, 63, 46–53. [Google Scholar] [CrossRef]
- Hambach, L.; Eder, M.; Dammann, E.; Battmer, K.; Stucki, A.; Heil, G.; Ganser, A.; Hertenstein, B. Donor cell-derived acute myeloid leukemia developing 14 months after matched unrelated bone marrow transplantation for chronic myeloid leukemia. Bone Marrow Transpl. 2001, 28, 705–707. [Google Scholar] [CrossRef][Green Version]
- Lawler, M.; Locasciulli, A.; Longoni, D.; Schiro, R.; McCann, S.R. Leukaemic transformation of donor cells in a patient receiving a second allogeneic bone marrow transplant for severe aplastic anaemia. Bone Marrow Transpl. 2002, 29, 453–456. [Google Scholar] [CrossRef][Green Version]
- Gopcsa, L.; Barta, A.; Banyai, A.; Konya, M.; Pajor, L.; Foldi, J.; Paloczi, K. Acute myeloid leukaemia of donor cell origin developing 5 years after allogeneic bone marrow transplantation for chronic myeloid leukaemia. Bone Marrow Transpl. 2002, 29, 449–452. [Google Scholar] [CrossRef][Green Version]
- Haltrich, I.; Muller, J.; Szabo, J.; Kovacs, G.; Koos, R.; Poros, A.; Dobos, M.; Fekete, G. Donor-cell myelodysplastic syndrome developing 13 years after marrow grafting for aplastic anemia. Cancer Genet. Cytogenet. 2003, 142, 124–128. [Google Scholar] [CrossRef]
- Ando, T.; Yujiri, T.; Mitani, N.; Takeuchi, H.; Nomiyama, J.; Suguchi, M.; Matsubara, A.; Tanizawa, Y. Donor cell-derived acute myeloid leukemia after unrelated umbilical cord blood transplantation. Leukemia 2006, 20, 744–745. [Google Scholar] [CrossRef] [PubMed]
- Pieroni, F.; Oliveira, F.M.; Panepucci, R.A.; Voltarelli, J.C.; Simoes, B.P.; Falcao, R.P. Development of donor cell derived acute myeloid leukemia after stem cell transplantation for chronic myeloid leukemia. Bone Marrow Transpl. 2006, 37, 801–802. [Google Scholar] [CrossRef] [PubMed]
- Reichard, K.K.; Zhang, Q.Y.; Sanchez, L.; Hozier, J.; Viswanatha, D.; Foucar, K. Acute myeloid leukemia of donor origin after allogeneic bone marrow transplantation for precursor T-cell acute lymphoblastic leukemia: Case report and review of the literature. Am. J. Hematol. 2006, 81, 178–185. [Google Scholar] [CrossRef] [PubMed]
- Nagamura-Inoue, T.; Kodo, H.; Takahashi, T.A.; Mugishima, H.; Tojo, A.; Asano, S. Four cases of donor cell-derived AML following unrelated cord blood transplantation for adult patients: Experiences of the Tokyo Cord Blood Bank. Cytotherapy 2007, 9, 727–728. [Google Scholar] [CrossRef] [PubMed]
- Crow, J.; Youens, K.; Michalowski, S.; Perrine, G.; Emhart, C.; Johnson, F.; Gerling, A.; Kurtzberg, J.; Goodman, B.K.; Sebastian, S.; et al. Donor cell leukemia in umbilical cord blood transplant patients: A case study and literature review highlighting the importance of molecular engraftment analysis. J. Mol. Diagn. 2010, 12, 530–537. [Google Scholar] [CrossRef]
- Otero, L.; de Souza, D.C.; de Cassia Tavares, R.; Gomes, B.E.; Padilha, T.F.; Bouzas, L.F.; de Souza Fernandez, T.; Abdelhay, E. Monosomy 7 in donor cell-derived leukemia after bone marrow transplantation for severe aplastic anemia: Report of a new case and review of the literature. Genet. Mol. Biol. 2012, 35, 734–736. [Google Scholar] [CrossRef]
- Dietz, A.C.; DeFor, T.E.; Brunstein, C.G.; Wagner, J.E., Jr. Donor-derived myelodysplastic syndrome and acute leukaemia after allogeneic haematopoietic stem cell transplantation: Incidence, natural history and treatment response. Br. J. Haematol. 2014, 166, 209–212. [Google Scholar] [CrossRef]
- Shiozaki, H.; Yoshinaga, K.; Kondo, T.; Imai, Y.; Shiseki, M.; Mori, N.; Teramura, M.; Motoji, T. Donor cell-derived leukemia after cord blood transplantation and a review of the literature: Differences between cord blood and BM as the transplant source. Bone Marrow Transpl. 2014, 49, 102–109. [Google Scholar] [CrossRef]
- Aldoss, I.; Song, J.Y. Donor-derived myeloid neoplasm post allogeneic hematopoietic cell transplantation. Blood 2017, 129, 1231. [Google Scholar] [CrossRef][Green Version]
- Bouvier, A.; Ribourtout, B.; Francois, S.; Orvain, C.; Paz, D.L.; Beucher, A.; Guerard, A.; Guardiola, P.; Ugo, V.; Blanchet, O.; et al. Donor cell-derived acute promyelocytic leukemia after allogeneic hematopoietic stem cell transplantation. Eur. J. Haematol. 2018, 101, 570–574. [Google Scholar] [CrossRef]
- Suarez-Gonzalez, J.; Martinez-Laperche, C.; Martinez, N.; Rodriguez-Macias, G.; Kwon, M.; Balsalobre, P.; Carbonell, D.; Chicano, M.; Serrano, D.; Trivino, J.C.; et al. Whole-exome sequencing reveals acquisition of mutations leading to the onset of donor cell leukemia after hematopoietic transplantation: A model of leukemogenesis. Leukemia 2018, 32, 1822–1826. [Google Scholar] [CrossRef] [PubMed]
- Jeong, S.H.; Han, J.H.; Jeong, S.Y.; Kang, S.Y.; Lee, H.W.; Choi, J.H.; Park, J.S. A case of donor-derived granulocytic sarcoma after allogeneic hematopoietic stem cell transplantation. Korean J. Hematol. 2010, 45, 70–72. [Google Scholar] [CrossRef] [PubMed]
- Walshauser, M.A.; Go, A.; Sojitra, P.; Venkataraman, G.; Stiff, P. Donor cell myeloid sarcoma. Case Rep. Hematol. 2014, 2014, 153989. [Google Scholar] [CrossRef] [PubMed]
- Otsuji, J.; Girard, N.; Spier, C.; Fuchs, D.; Lai, L. Sibling donor-derived myeloid sarcoma after hematopoietic stem cell transplant. Hum. Pathol. Case Rep. 2021, 24, 200512. [Google Scholar] [CrossRef]
- Brunstein, C.G.; Hirsch, B.A.; Hammerschmidt, D.; McGlennen, R.C.; Nguyen, P.L.; Verfaillie, C.M. Leukemia in donor cells after allogeneic hematopoietic stem cell transplant. Bone Marrow Transpl. 2002, 29, 999–1003. [Google Scholar] [CrossRef]
- Hashino, S.; Fujisawa, F.; Kondo, T.; Imamura, M.; Sato, K.; Torimoto, Y.; Kohgo, Y.; Kimura, K.; Furukawa, H.; Todo, S.; et al. Donor-type myelodysplastic syndrome with t(2;3) and monosomy 7 after allogeneic peripheral blood stem cell transplantation and liver transplantation in a patient with severe-type aplastic anemia. Int. J. Hematol. 2006, 84, 363–366. [Google Scholar] [CrossRef]
- Shah, N.N.; Bacher, U.; Fry, T.; Calvo, K.R.; Stetler-Stevenson, M.; Arthur, D.C.; Kurlander, R.; Baird, K.; Wise, B.; Giralt, S.; et al. Myelodysplastic syndrome after allogeneic hematopoietic stem cell transplantation: Diagnostic and therapeutic challenges. Am. J. Hematol. 2012, 87, 916–922. [Google Scholar] [CrossRef]
- Schwartz, J.R.; Walsh, M.P.; Ma, J.; Lamprecht, T.; Wang, S.; Wu, G.; Raimondi, S.; Triplett, B.M.; Klco, J.M. Clonal dynamics of donor-derived myelodysplastic syndrome after unrelated hematopoietic cell transplantation for high-risk pediatric B-lymphoblastic leukemia. Mol. Case Stud. 2018, 4, a002980. [Google Scholar] [CrossRef]
- Zhang, S.; Li, L.; Cao, W.; Li, Y.; Jiang, Z.; Yu, J.; Wan, D. Donor cell leukemia/myelodysplastic syndrome after allogeneic stem cell transplantation: A rare phenomenon with more challenges for hematologists. Hematology 2021, 26, 648–651. [Google Scholar] [CrossRef]
- Mitsui, H.; Nakazawa, T.; Tanimura, A.; Karasuno, T.; Hiraoka, A. Donor Cell-Derived Chronic Myeloproliferative Disease with t(7;11)(p15;p15) after Cord Blood Transplantation in a Patient with Philadelphia Chromosome-Positive Acute Lymphoblastic Leukemia. Int. J. Hematol. 2007, 86, 193–195. [Google Scholar] [CrossRef]


| CASE 1 | CASE 2 | CASE 3 | |
|---|---|---|---|
| Age/Gender | 71 y/Male | 59/Male | 59/Male |
| Original diagnosis | AML with MDS-related changes | T-ALL | AML, NOS |
| Cytogenetic findings | Complex hypodiploid with deletions of 3p, 5q and 17p and a hypotetraploid subclone | //46,XY | //46,XY |
| Molecular findings | TP53 mutation | Not tested | Not tested |
| Donor type and gender | Matched sibling Male | Matched sibling Male | Matched unrelated Female |
| HSCT | PBSC | PBSC | PBSC |
| Time to DDMN (Months) | 28 | 96 | 288 |
| DDMN type | AML with t(8;21) | CMML-1 | MDS with 5q- |
| DDMN karyotype | 46,XY,t(8;21)(q22;q22) [12] | //46,XY [46] | //46,XX,add(5)(q11.2) [14]/46,XX [6] |
| Chimerism (BM) | 95% donor, 5% recipient | 100% donor | 100% donor |
| DDMN molecular findings | None | ASXL1, ETNK1, NRAS and SETBP1 mutated | None |
| DONOR-DERIVED FACTORS | ||
|---|---|---|
| Transfer of preexisting leukemia | Evidence | References |
| DD-AML with t(1;5) developed in the donor and recipient | AML cells with Auer rods present in the BM graft smear at time of donation | [3] |
| DD-AML with trisomy 11 in the recipient 14 years after allo-HCT. Donor without evidence of AML. | Preleukemic cells with trisomy 11 in a stored blood sample of donor at time of donation (2% by FISH) | [4] |
| DD-AML with inv(3)(q21q26) in recipient and donor at the same time | Donor harbors preexisting cells with inv(3)(q21q26) | [5] |
| Inborn genetic abnormality of donor | ||
| DD-AML, MLL rearranged | Donor heterozygous for the Ashkenazi mutation of Bloom’s syndrome. Recipient received radiation after allo-HCT. | [6] |
| DD-AML, normal karyotype and aberrant p15 gene methylation. | Aberrant p15 methylation on donor cells at 6 months after allo-HCT. DD-AML developed by 4 years. P53 gene mutation was absent. Donor developed bronchogenic carcinoma. | [7] |
| HOST-DERIVED FACTORS | ||
| Leukemogenic BM niche | Two distinct DD-AML developed in same host after two allo-HCT. Original diagnosis of MDS with del(7)del(20q). 18 months after first allo-HCT DD-AML with t(8;21). Sixty months after second allo-HCT DD-AML with normal karyotype. | [11] |
| Role of recipient immune surveillance: Transient donor derived clones in recipient | 45, XX,-16 donor clone present at 30 months after allo-HCT. Monosomy 7 donor clone in a child 3 months after allo-HCT. | [12,13] |
| Therapy-related myeloid neoplasm | DD MDS/AML with -7 from the cells of the first transplant after fludarabine and cyclophosphamide conditioning chemotherapy for a second transplant. | [14] |
Publisher’s Note: MDPI stays neutral with regard to jurisdictional claims in published maps and institutional affiliations. |
© 2022 by the authors. Licensee MDPI, Basel, Switzerland. This article is an open access article distributed under the terms and conditions of the Creative Commons Attribution (CC BY) license (https://creativecommons.org/licenses/by/4.0/).
Share and Cite
Deshmukh, K.G.; Kelemen, K. Lessons Learned from Donor Cell-Derived Myeloid Neoplasms: Report of Three Cases and Review of the Literature. Life 2022, 12, 559. https://doi.org/10.3390/life12040559
Deshmukh KG, Kelemen K. Lessons Learned from Donor Cell-Derived Myeloid Neoplasms: Report of Three Cases and Review of the Literature. Life. 2022; 12(4):559. https://doi.org/10.3390/life12040559
Chicago/Turabian StyleDeshmukh, Komal Galani, and Katalin Kelemen. 2022. "Lessons Learned from Donor Cell-Derived Myeloid Neoplasms: Report of Three Cases and Review of the Literature" Life 12, no. 4: 559. https://doi.org/10.3390/life12040559
APA StyleDeshmukh, K. G., & Kelemen, K. (2022). Lessons Learned from Donor Cell-Derived Myeloid Neoplasms: Report of Three Cases and Review of the Literature. Life, 12(4), 559. https://doi.org/10.3390/life12040559
