Primary Intraosseous Osteolytic Meningioma with Aggressive Clinical Behaviour: Clinico-Pathologic Correlation and Proposed New Clinical Classification
Abstract
1. Introduction
2. Materials and Methods
2.1. Search Strategy
2.2. Selection Criteria
2.3. Data Analysis
2.4. Case Description
2.4.1. Clinical History
2.4.2. Physical Examination
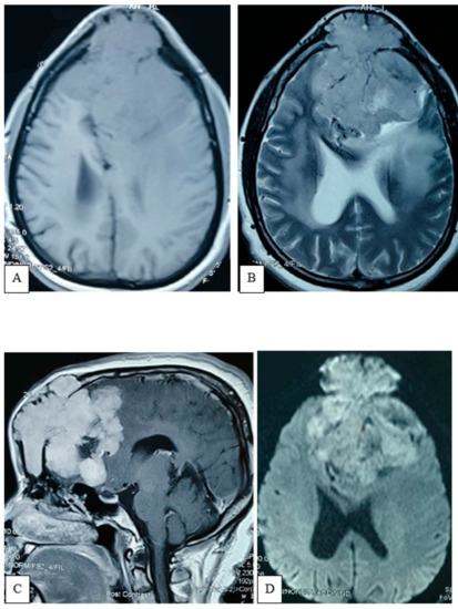
2.4.3. Preoperative Imaging
2.4.4. Surgical Procedure
2.4.5. Post-Operative Course
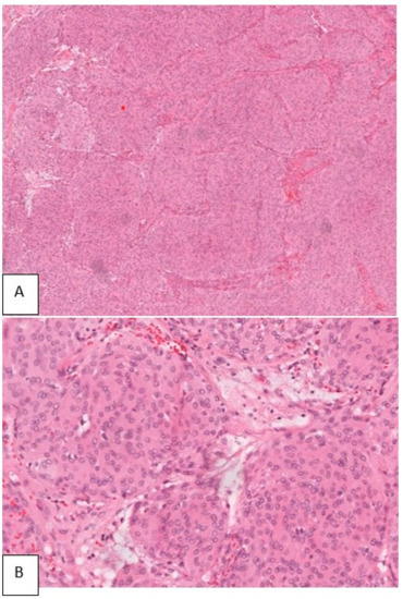
2.4.6. Histopathology
3. Results
4. Discussion
4.1. Classification of PIOM
4.2. Mechanism of Osteolysis
4.3. Incidence
4.4. Clinical Presentation
4.5. Neuroimaging Features and Differential Diagnosis
4.6. Extent of Dura and Soft Tissue Involvement
4.7. Recommended Management Strategy
4.8. Outcome
4.9. Proposed New Classification
5. Conclusions
Author Contributions
Funding
Institutional Review Board Statement
Informed Consent Statement
Conflicts of Interest
References
- NIH. Adult Central Nervous System Tumors Treatment (PDQ®): Patient Version [Internet]. PDQ Cancer Information Summaries. Available online: http://www.ncbi.nlm.nih.gov/pubmed/26389458 (accessed on 6 August 2021).
- Buerki, R.A.; Horbinski, C.M.; Kruser, T.; Horowitz, P.M.; James, C.D.; Lukas, R.V. An overview of meningiomas. Futur. Oncol. 2018, 14, 2161–2177. [Google Scholar] [CrossRef]
- Ostrom, Q.T.; Cioffi, G.; Gittleman, H.; Patil, N.; Waite, K.; Kruchko, C.; Barnholtz-Sloan, J.S. CBTRUS Statistical Report: Primary Brain and Other Central Nervous System Tumors Diagnosed in the United States in 2012–2016. Neuro Oncol. 2019, 21, V1–V100. [Google Scholar] [CrossRef] [PubMed]
- Ferri, F.F. Ferri’s Clinical Advisor 2018 E-Book Ferri’s Medical Solutions; Elsevier Health Sciences: St. Louis, MO, USA, 2017; p. 1600. [Google Scholar]
- Wiemels, J.; Wrensch, M.; Claus, E.B. Epidemiology, and etiology of meningioma. J. Neurooncol. 2010, 99, 307–314. [Google Scholar] [CrossRef]
- Kwon, S.M.; Ko, Y.; Bang, S.S. Primary intraosseous osteolytic meningioma: A case report and review of the literature. BMC Neurol. 2019, 19, 176. [Google Scholar] [CrossRef] [PubMed]
- Umana, G.E.; Scalia, G.; Vats, A.; Pompili, G.; Barone, F.; Passanisi, M.; Graziano, F.; Maugeri, R.; Tranchina, M.G.; Cosentino, S.; et al. Primary Extracranial Meningiomas of the Head and Neck. Life 2021, 11, 942. [Google Scholar] [CrossRef]
- Nicolay, S.; De Foer, B.; Bernaerts, A.; Van Dinther, J.; Parizel, P.M. A case of a temporal bone meningioma presenting as a serous otitis media. Acta Radiol. Short Rep. 2014, 3, 204798161455504. [Google Scholar] [CrossRef] [PubMed]
- Lang, F.F.; Macdonald, O.K.; Fuller, G.N.; DeMonte, F. Primary extradural meningiomas: A report on nine cases and review of the literature from the era of computerized tomography scanning. J. Neurosurg. 2000, 93, 940–950. [Google Scholar] [CrossRef]
- Yun, J.H.; Lee, S.K. Primary osteolytic intraosseous atypical meningioma with soft tissue and dural invasion: Report of a case and review of literatures. J. Korean Neurosurg. Soc. 2014, 56, 509–512. [Google Scholar] [CrossRef]
- Partington, M.D.; Scheithauer, B.W.; Piepgras, D.G. Carcinoembryonic antigen production associated with an osteolytic meningioma. Case report. J. Neurosurg. 1995, 82, 489–492. [Google Scholar] [CrossRef] [PubMed]
- Kim, H.; Jung, T.Y.; Kim, I.Y.; Lee, J.K. Two cases of primary osteolytic intraosseous meningioma of the skull metastasizing to whole skull and the spine. J. Korean Neurosurg. Soc. 2012, 51, 151–154. [Google Scholar] [CrossRef] [PubMed]
- Arana, E.; Diaz, C.; Latorre, F.F.; Menor, F.; Revert, A.; Beltrán, A.; Navarro, M. Primary Intraosseous Meningiomas. Acta Radiol. 1996, 37, 937–942. [Google Scholar] [CrossRef] [PubMed]
- Crea, A.; Grimod, G.; Scalia, G.; Verlotta, M.; Mazzeo, L.; Rossi, G.; Mattavelli, D.; Rampinelli, V.; Luzzi, S.; Spena, G. Fronto-orbito-ethmoidal intradiploic meningiomas: A case study with systematic review. Surg. Neurol. Int. 2021, 12, 485. [Google Scholar] [CrossRef] [PubMed]
- Barone, F.; Inserra, F.; Scalia, G.; Ippolito, M.; Cosentino, S.; Crea, A.; Sabini, M.G.; Valastro, L.; Patti, I.V.; Mele, S.; et al. 68Ga-DOTATOC PET/CT Follow Up after Single or Hypofractionated Gamma Knife ICON Radiosurgery for Meningioma Patients. Brain Sci. 2021, 11, 375. [Google Scholar] [CrossRef] [PubMed]
- Crawford, T.S.; Kleinschmidt-DeMasters, B.K.; Lillehei, K.O. Primary intraosseous meningioma: Case report. J. Neurosurg. 1995, 83, 912–915. [Google Scholar] [CrossRef]
- Kwon, S.Y.; Shin, H.S.; Kim, T.H.; Kim, H.J. Primary Intraosseous Osteolytic Meningioma of the Skull Mimicking Scalp Mass: A Case Report and Review of Literature. Brain Tumor Res. Treat. 2015, 3, 151. [Google Scholar] [CrossRef] [PubMed]
- Moher, D.; Liberati, A.; Tetzlaff, J.; Altman, D.G. Preferred reporting items for systematic reviews and meta-analyses: The PRISMA statement. J. Clin. Epidemiol. 2009, 62, 1006–1012. [Google Scholar] [CrossRef] [PubMed]
- Klein, E.W.; Farhat, S.M.; Hoskins, P.A.; Colvin, J.T. Radionuclide cerebral angiographic evaluation of a diploic extracranial meningioma: Case report. J. Nucl. Med. 1975, 16, 833–834. [Google Scholar] [PubMed]
- McWhorter, J.M.; Ghatak, N.R.; Kelly, D.L. Extracranial meningioma presenting as lytic skull lesion. Surg. Neurol. 1976, 5, 223–224. [Google Scholar]
- Palma, L.; Mercuri, S.; Ferrante, L. Epidural calvarial meningioma. Surg. Neurol. 1977, 8, 315–318. [Google Scholar] [PubMed]
- Pearl, G.S.; Takei, Y.; Parent, A.D.; Boehm, W.M. Primary intraosseous meningioma presenting as a solitary osteolytic skull lesion: Case report. Neurosurgery 1979, 4, 269–270. [Google Scholar] [CrossRef] [PubMed]
- Ohaegbulam, S.C. Ectopic epidural calvarial meningioma. Surg. Neurol. 1979, 12, 33–35. [Google Scholar] [PubMed]
- Young, P.H. Solitary Subcutaneous Meningioma Appearing as an Osteolytic Skull Defect. South Med. J. 1983, 76, 1039–1040. [Google Scholar] [CrossRef]
- Lee, W.H.; Tu, Y.C.; Liu, M.Y. Primary intraosseous malignant meningioma of the skull: Case report. Neurosurgery 1988, 23, 505–508. [Google Scholar] [CrossRef] [PubMed]
- Kaneko, F.; Takase, K.; Nishiyama, K.; Kusaka, K.; Morizumi, H.; Matsumoto, K. Report of a case of intraosseous meningioma. Neurol. Surg. 1988, 16, 197–202. [Google Scholar]
- Oka, K.; Hirakawa, K.; Yoshida, S.; Tomonaga, M. Primary calvarial meningiomas. Surg. Neurol. 1989, 32, 304–310. [Google Scholar] [CrossRef]
- Ammirati, M.; Mirzai, S.; Samii, M. Primary intraosseous meningiomas of the skull base. Acta Neurochir. 1990, 107, 56–60. [Google Scholar] [CrossRef] [PubMed]
- Kulali, A.; Ilcayto, R.; Rahmanli, P. Primary calvarial ectopic meningiomas. Neurochirurgia 1991, 34, 174–177. [Google Scholar] [CrossRef] [PubMed]
- Ito, H.; Takagi, H.; Kawano, N.; Yada, K. Primary intraosseous meningioma: Case report. J. Neurooncol. 1992, 13, 57–61. [Google Scholar] [CrossRef]
- Fujita, T.; Nakagawa, H.; Tsuruzono, K.; Izumoto, S.; Kadota, T.; Wada, A. Extradural Temporal Meningioma Directly Extended to Cervical Bone—Case Report. Neurol. Med. Chir. 1993, 33, 458–462. [Google Scholar] [CrossRef][Green Version]
- Ghobashy, A.; Tobler, W. Intraosseous calvarial meningioma of the skull presenting as a solitary osteolytic skull lesion: Case report and review of the literature. Acta Neurochir. 1994, 129, 105–108. [Google Scholar] [CrossRef]
- Kuzeyli, K.; Duru, S.; Baykal, S.; Usul, H.; Ceylan, S.; Aktürk, F. Primary intraosseous meningioma of the temporal bone in an infant. A case report. Neurosurg. Rev. 1996, 19, 197–199. [Google Scholar] [CrossRef] [PubMed]
- Changhong, L.; Naiyin, C.; Yuehuan, G.; Lianzhong, Z. Primary intraosseous meningiomas of the skull. Clin. Radiol. 1997, 52, 546–549. [Google Scholar] [CrossRef]
- Muthukumar, N. Primary calvarial meningiomas. Br. J. Neurosurg. 1997, 11, 388–392. [Google Scholar] [CrossRef] [PubMed]
- Kudo, H.; Takamoto, T.; Maeda, S.; Tamaki, N. Intraosseous Meningioma with a Dural Defect—Case Report. Neurol. Med. Chir. 1998, 38, 229–231. [Google Scholar] [CrossRef]
- Okamoto, S.; Hisaoka, M.; Aoki, T.; Kadoya, C.; Kobanawa, S.; Hashimoto, H. Intraosseous microcystic meningioma. Skelet. Radiol. 2000, 29, 354–357. [Google Scholar] [CrossRef]
- Yamazaki, T.; Tsukada, A.; Uemura, K.; Satou, H.; Tsuboi, K.; Nose, T. Intraosseous meningioma of the posterior fossa. Neurol. Med. Chir. 2001, 41, 149–153. [Google Scholar] [CrossRef] [PubMed]
- Rosahl, S.K.; Mirzayan, M.J.; Samii, M.; Mooij, J.J.A. Osteolytic intra-osseous meningiomas: Illustrated review. Acta Neurochir. 2004, 146, 1245–1249. [Google Scholar] [CrossRef] [PubMed]
- Tokgoz, N.; Oner, Y.A.; Kaymaz, M.; Ucar, M.; Yilmaz, G.; Tali, T.E. Primary intraosseous meningioma: CT and MRI appearance. Am. J. Neuroradiol. 2005, 26, 2053–2056. [Google Scholar] [PubMed]
- Bassiouni, H.; Asgari, S.; Hübschen, U.; König, H.J.; Stolke, D. Dural involvement in primary extradural meningiomas of the cranial vault. J. Neurosurg. 2006, 105, 51–59. [Google Scholar] [CrossRef]
- Agrawal, V.; Ludwig, N.; Agrawal, A.; Bulsara, K.R. Intraosseous intracranial meningioma. Am. J. Neuroradiol. 2007, 28, 314–315. [Google Scholar] [PubMed]
- Al-khawaja, D.; Murali, R.; Sindler, P. Primary calvarial meningioma. J. Clin. Neurosci. 2007, 14, 1235–1239. [Google Scholar] [CrossRef] [PubMed]
- Sheikhrezaie, A.; Meybodi, A.T.; Hashemi, M.; Shafiee, S. Primary intraosseous osteolytic meningioma of the skull: A case report. Cases J. 2009, 2, 7413. [Google Scholar] [CrossRef]
- Yener, U.; Bayrakli, F.; Vardereli, E.; Sav, A.; Peker, S. Intradiploic meningioma mimicking calvarial metastasis: Case report. Turk. Neurosurg. 2009, 19, 297–301. [Google Scholar]
- Hong, B.; Hermann, E.J.; Klein, R.; Krauss, J.K.; Nakamura, M. Surgical resection of osteolytic calvarial lesions: Clinicopathological features. Clin. Neurol. Neurosurg. 2010, 112, 865–869. [Google Scholar] [CrossRef]
- Yilmaz, A.; Musluman, M.; Aydin, Y. Primary osteolytic intraosseous meningioma of the frontal bone. Neurol. Neurochir. Pol. 2010, 44, 415–418. [Google Scholar] [CrossRef]
- Akhaddar, A.; Ennouali, H. Intraosseous extradural meningioma of the frontal bone. Pan Afr. Med. J. 2014, 17, 69. [Google Scholar] [CrossRef] [PubMed]
- Tang, V.; Lam, M.; Lai, A. Intraosseous meningioma mimicking a metastasis. BMJ Case Rep. 2014, 2014. [Google Scholar] [CrossRef]
- Kim, H.S.; Kim, S.H.; Kim, H.J.; Kang, S.W.; Kim, S.J.; Lee, J.H.; Hong, S.P.; Cho, Y.S.; Choi, J.Y. Primary Benign Intraosseous Meningioma on 18F-FDG PET/CT Mimicking Malignancy. Nucl. Med. Mol. Imaging 2014, 48, 153–156. [Google Scholar] [CrossRef][Green Version]
- Bujok, J.; Bienioszek, M. Microcystic Variant of an Intraosseous Meningioma in the Frontal Area: A Case Report. Case Rep. Neurol. Med. 2014, 2014, 527267. [Google Scholar] [CrossRef]
- Hong, S.C.; Woon, K.; O’Keeffe, B. Brain mushroom: A case of osteolytic intraosseous meningioma with transcalvaria herniation. Br. J. Neurosurg. 2015, 29, 876–878. [Google Scholar] [CrossRef] [PubMed]
- Ben Nsir, A.; Ben Hamouda, K.; Hammedi, F.; Kilani, M.; Hattab, N. Osteolytic clear cell meningioma of the petrous bone occurring 36 years after posterior cranial fossa irradiation: Case report. Neurol. Neurochir. Pol. 2016, 50, 297–302. [Google Scholar] [CrossRef] [PubMed]
- Bohara, S.; Agarwal, S.; Khurana, N.; Pandey, P.N. Primary intraosseous atypical inflammatory meningioma presenting as a lytic skull lesion: Case report with review of literature. Indian J. Pathol. Microbiol. 2016, 59, 386–388. [Google Scholar] [CrossRef]
- Mouri, G.; Suzuki, H.; Hatazaki, S.; Matsubara, T.; Taki, W. Skull meningioma associated with intradural cyst: A case report. Clin. Med. Insights Case Rep. 2017, 10, 1179547617738231. [Google Scholar] [CrossRef] [PubMed]
- Richardson, T.E.; Georgescu, M.M.; Kapur, P.; Hwang, H.; Barnett, S.L.; Raisanen, J.M.; Cai, C.; Hatanpaa, K.J. Unusual skull tumors with psammomatoid bodies: A diagnostic challenge. Clin. Neuropathol. 2017, 36, 114–120. [Google Scholar] [CrossRef]
- Abuzayed, B.; Alawneh, K.; Al Qawasmeh, M.; Raffee, L. Clivus Intraosseous Meningioma Mimicking Chordoma. J. Craniofac. Surg. 2019, 30, e755–e757. [Google Scholar] [CrossRef] [PubMed]
- Echchikhi, M.; Habib, B.; Meriem, F.; Rachid, E.H.M.; Mohamed, J.; Najwa, E.-C.E.K. Primary Intraosseous Meningioma in A 60-Year-Old Patient. Int. J. Contemp. Res. Rev. 2020, 11, 20768–20770. [Google Scholar]
- Protopapa, A.S.; Vlachadis, N.; Agapitos, E.; Pitsios, T. Primary intraosseous meningioma on a calvarium from Byzantine Greece. Acta Neurochir. 2014, 156, 2379–2381. [Google Scholar] [CrossRef] [PubMed]
- Butscheidt, S.; Ernst, M.; Rolvien, T.; Hubert, J.; Zustin, J.; Amling, M.; Martens, T. Primary intraosseous meningioma: Clinical, histological, and differential diagnostic aspects. J. Neurosurg. 2020, 133, 281–290. [Google Scholar] [CrossRef] [PubMed]
- Sade, B.; Chahlavi, A.; Krishnaney, A.; Nagel, S.; Choi, E.; Lee, J.H. World health organization grades II and III meningiomas are rare in the cranial base and spine. Neurosurgery 2007, 61, 1194–1198. [Google Scholar] [CrossRef] [PubMed]
- Salehi, F.; Jalali, S.; Alkins, R.; Lee JIl Lwu, S.; Burrell, K.; Gentili, F.; Croul, S.; Zadeh, G. Proteins involved in regulating bone invasion in skull base meningiomas. Acta Neurochir. 2013, 155, 421–427. [Google Scholar] [CrossRef]
- Hoye, S.J.; Hoar, C.S.; Murray, J.E. Extracranial meningioma presenting as a tumor of the neck. Am. J. Surg. 1960, 100, 486–489. [Google Scholar] [CrossRef]
- Waga, S.; Kamijyo, Y.; Nishikawa, M.; Otsubo, K.; Handa, H. Extracalvarial meningiomas. Brain Nerve 1970, 22, 153–157. [Google Scholar] [PubMed]
- Jayaraj, K.; Martinez, S.; Freeman, A.; Lyles, K.W. Intraosseous meningioma—A mimicry of Paget’s disease? J. Bone Miner. Res. 2001, 16, 1154–1156. [Google Scholar] [CrossRef]
- Elder, J.B.; Atkinson, R.; Zee, C.S.; Chen, T.C. Primary intraosseous meningioma. Neurosurg. Focus. 2007, 23, E13. [Google Scholar] [CrossRef] [PubMed]
- Marwah, N.; Gupta, S.; Marwah, S.; Singh, S.; Kalra, R.; Arora, B. Primary intraosseous meningioma. Indian J. Pathol. Microbiol. 2008, 51, 51–52. [Google Scholar] [CrossRef]
- Ferini, G.; Viola, A.; Valenti, V.; Tripoli, A.; Molino, L.; Marchese, V.A.; Illari, S.I.; Rita Borzì, G.; Prestifilippo, A.; Umana, G.E.; et al. Whole Brain Irradiation or Stereotactic RadioSurgery for five or more brain metastases (WHOBI-STER): A prospective comparative study of neurocognitive outcomes, level of autonomy in daily activities and quality of life. Clin. Transl. Radiat. Oncol. 2021, 32, 52–58. [Google Scholar] [CrossRef] [PubMed]
- Guermazi, A.; Lafitte, F.; Miaux, Y.; Adem, C.; Bonneville, J.F.; Chiras, J. The dural tail sign—Beyond meningioma. Clin. Radiol. 2005, 60, 171–188. [Google Scholar] [CrossRef] [PubMed]
- Mattox, A.; Hughes, B.; Oleson, J.; Reardon, D.; McLendon, R.; Adamson, C. Treatment recommendations for primary extradural meningiomas. Cancer 2011, 117, 24–38. [Google Scholar] [CrossRef]
- Hou, J.; Kshettry, V.R.; Selman, W.R.; Bambakidis, N.C. Peritumoral brain edema in intracranial meningiomas: The emergence of vascular endothelial growth factor-directed therapy. Neurosurg. Focus. 2013, 35, E2. [Google Scholar] [CrossRef] [PubMed]
- Hosameldin, A.; Osman, A.; Hussein, M.; Gomaa, A.F.; Abdellatif, M. Three-dimensional custom-made PEEK cranioplasty. Surg. Neurol. Int. 2021, 12, 587. [Google Scholar] [CrossRef]
- Maugeri, R.; Giammalva, G.R.; Graziano, F.; Iacopino, D.G. May Autologue Fibrin Glue Alone Enhance Ossification? An Unexpected Spinal Fusion. World Neurosurg. 2016, 95, 611–612. [Google Scholar] [CrossRef]
- Hayhurst, C.; Mcmurtrie, A.; Brydon, H.L.; Langmoen, I.A.; Goel, A. Cutaneous meningioma of the scalp. Acta Neurochir. 2004, 146, 1383–1384. [Google Scholar] [CrossRef]
- Miyamoto, T.; Mihara, M.; Hagari, Y.; Shimao, S. Primary cutaneous meningioma on the scalp: Report of two siblings. J. Dermatol. 1995, 22, 611–619. [Google Scholar] [CrossRef]







| Author | Year | Age | Sex | Location | Clinical Presentation | Scalp Mass | Extracranial Extension | Dural Invasion | Mx | WHO Grade (Hist) | Outcome |
|---|---|---|---|---|---|---|---|---|---|---|---|
| Klein et al. [19] | 1975 | 66 | F | P | Scalp mass | yes | yes | yes | GTR | 1 | Not mentioned |
| McWhorter et al. [20] | 1976 | 42 | M | T | Scalp mass | yes | yes | no | GTR | 1 | Not mentioned |
| Palma et al. [21] | 1977 | 18 | M | Fr | Intracranial hypertension | no | no | no | NA | 1 | Not mentioned |
| Pearl et al. [22] | 1979 | 44 | F | Fr | Headache, dizziness | no | no | no | GTR | 1 | No recurrence at 3 months F/U CT |
| Ohaegbulam [23] | 1979 | 31 | M | Fr | Scalp mass | yes | no | yes | NA | 1 | NA |
| Young [24] | 1983 | 71 | M | Fr | Scalp mass | yes | no | no | GTR | 1 | No recurrence at 6 months |
| Lee et al. [25] | 1988 | 61 | M | Fr, T | Scalp mass | yes | yes | yes | GTR, RT | 3 | Recurrence after 2 years, no metastasis |
| Kaneko et al. [26] | 1988 | 71 | F | FP | Scalp mass | yes | no | yes | GTR | 1 | NA |
| Oka et al. [27] | 1989 | 79 | F | FP | Scalp mass | yes | yes | no | GTR | 1 | No recurrence after 4 year and 9 months |
| Ammirati et al. [28] | 1990 | 21 | M | T | Facial weakness | no | yes | yes | GTR | 1 | No recurrence at 13 months F/U |
| Kulali et al. [29] | 1991 | 50 | M | O | Scalp mass | yes | no | no | GTR | 1 | No recurrence at 2 years F/U |
| Ito et al. [30] | 1992 | 72 | F | FP | Scalp mass | yes | no | no | GTR | 1 | Not mentioned |
| Fujita et al. [31] | 1993 | 42 | M | TP | Facial weakness, hearing difficulty | no | yes | yes | STR, RT | 3 | Patient died after 1 year due to respiratory failure following metastasis |
| Ghobashy and Tobler [32] | 1994 | 65 | F | Fr | Headache | no | no | no | GTR | 1 | No recurrence at 2 years F/U |
| Partington et al. [11] | 1995 | 84 | F | FT | Scalp mass, aphasia | yes | yes | yes | GTR, RT | 2 | No recurrence after 8 months |
| Kuzeyli et al. [33] | 1996 | 6 | M | T | Scalp mass | yes | no | no | GTR | 1 | Not mentioned |
| Changhong et al. [34] | 1997 | 42 | F | O | Scalp mass | yes | no | no | NM | 3 | Not mentioned |
| Muthukumar [35] | 1997 | 55 | M | P | Scalp mass | yes | yes | no | GTR | 1 | Not mentioned |
| 50 | M | TP | Personality change, aphasia | no | yes | no | GTR | 1 | Patient lost F/U | ||
| 65 | M | Fr | Scalp mass | yes | yes | no | GTR | 1 | Not mentioned | ||
| Kudo et al. [36] | 1998 | 56 | F | P | Vertigo | no | no | yes | GTR | 1 | Not mentioned |
| Okamoto et al. [37] | 2000 | 78 | F | P | H/A | no | no | no | GTR | 1 | No recurrence after 18 months F/U |
| Lang et al. [9] | 2000 | 59 | M | SW | Scalp mass | yes | yes | yes | GTR | 2 | Not mentioned |
| Yamazaki et al. [38] | 2001 | 62 | M | O | Vomiting, nystagmus, dysmetria | no | no | yes | GTR | 1 | No recurrence after 18 months F/U |
| Rosahl et al. [39] | 2004 | 38 | M | T | Acute hearing loss | no | no | no | GTR | 1 | Uneventful recovery |
| Tokgoz et al. [40] | 2005 | 44 | M | FT | Scalp mass | yes | yes | no | GTR | 2 | No recurrence after 1 year F/U |
| Bassiouni et al. [41] | 2006 | 62 | F | Fr | Not mentioned | no | no | yes | GTR | 2 | Not mentioned |
| 2006 | 47 | M | P | Not mentioned | no | no | yes | GTR | 1 | Not mentioned | |
| 2006 | 46 | F | T | Not mentioned | no | no | no | GTR | 1 | Recurrence after 3 years F/U | |
| 2006 | 34 | M | T | Not mentioned | no | yes | yes | GTR | 1 | Not mentioned | |
| 2006 | 57 | F | P | Not mentioned | no | no | yes | GTR | 1 | Not mentioned | |
| Agrawal et al. [42] | 2007 | 70 | F | Fr | Scalp mass | yes | no | yes | NTR | 1 | No evidence of resurrection after 4 months, dural enhancement recorded |
| Al-Khawaja et al. [43] | 2007 | 50 | M | P | H/A, scalp mass | yes | no | yes | GTR | 1 | Uneventful recovery |
| Sheikhrezaie et al. [44] | 2009 | 62 | M | FP | Scalp mass | yes | no | no | GTR | 1 | Not mentioned |
| Yener et al. [45] | 2009 | 78 | M | P | Asymptomatic | no | no | no | GTR | 1 | Uneventful recovery |
| Hong et al. [46] | 2010 | 52 | M | P | Asymptomatic | no | no | no | GTR | 1 | No residual at post-operative CT scan |
| 2010 | 73 | M | O | Scalp mass | yes | no | no | GTR | 3 | No residual at post-operative CT scan | |
| Yilmaz et al. [47] | 2010 | 41 | M | Fr | Scalp mass | yes | no | yes | GTR | 1 | Not mentioned |
| Kim et al. [12] | 2012 | 68 | M | P | Scalp mass | yes | yes | yes | GTR | 2 | Recurrence at multiple sites of whole skull after 1 year F/U |
| 74 | F | Fr | Scalp mass | yes | yes | yes | GTR | 3 | Recurrence after 19 months and 45 months F/U, underwent 2 times surgery. After 5 years, documented metastasis. | ||
| Akhaddar and Ennouali [48] | 2014 | 37 | F | Fr | Headache, scalp mass | yes | yes | no | GTR | 1 | No recurrence after 1 year F/U |
| Tang et al. [49] | 2014 | 82 | F | P | Gait difficulty, memory impairment | no | no | no | Biopsy | 1 | Not mentioned |
| Yun and Lee [10] | 2014 | 65 | F | Fr | Scalp mass | yes | yes | yes | GTR | 2 | No recurrence after 6 months F/U |
| Kim et al. [50] | 2014 | 44 | F | SW | Headache, proptosis | no | yes | no | GTR | 1 | No recurrence after 6 months F/U |
| Bujok and Bienioszek [51] | 2014 | 59 | F | Fr | Headache, memory impairment | no | no | yes | GTR | 1 | Uneventful recovery |
| Kwon et al. [6] | 2015 | 69 | M | P | Scalp mass, headache | yes | yes | yes | GTR | 1 | No recurrence after 6 months F/U |
| Hong et al. [52] | 2015 | 61 | M | FP | Headache, upper limb weakness | no | no | no | GTR | 1 | No recurrence after 1 month F/U |
| Ben Nsir et al. [53] | 2016 | 42 | M | T | Hearing difficulty, facial asymmetry, vertigo | no | yes | no | IMRT | 2 | No new deficit after 8 months F/U |
| Bohara et al. [54] | 2016 | 38 | M | P | Scalp mass | yes | yes | yes | GTR | 2 | No recurrence after 6 months F/U |
| Mouri et al. [55] | 2017 | 76 | F | Fr | Dizziness | no | no | yes | GTR | 1 | Uneventful recovery |
| Richardson et al. [56] | 2017 | 23 | M | Fr | Scalp mass | yes | no | no | GTR | 1 | No recurrence after 2 years F/U |
| Kwon et al. [6] | 2019 | 80 | M | T, O | Hearing loss, dizziness, balance difficulty | no | yes | yes | NTR | 2 | Uneventful recovery |
| Abuzayed et al. [57] | 2019 | 78 | F | Clivus | Vertigo, diplopia | no | no | no | NTR | 1 | Uneventful recovery |
| Echchikhi Meryem et al. [58] | 2020 | 60 | F | Fr | Headache, bulge | no | no | no | GTR | 1 | No post-operative complications |
| Present case | 2020 | 46 | F | FP | Scalp mass, personality change | yes | yes | yes | GTR | 1 | No recurrence after 6 months F/U |
| Types | Description |
|---|---|
| Type I | PIM restricted within diploic space, having osteoblastic or osteolytic or mixed reaction |
| Type II | PIM outweigh the diploic boundary, having extracranial or intracranial component with displacement of the surrounding structures |
| Type III | PIM outweigh the diploic boundary, having extracranial or intracranial component with invasion of the surrounding structure |
| Type IV | Any of the above criteria with documented features of metastasis |
Publisher’s Note: MDPI stays neutral with regard to jurisdictional claims in published maps and institutional affiliations. |
© 2022 by the authors. Licensee MDPI, Basel, Switzerland. This article is an open access article distributed under the terms and conditions of the Creative Commons Attribution (CC BY) license (https://creativecommons.org/licenses/by/4.0/).
Share and Cite
Ahmed, N.; Ferini, G.; Haque, M.; Umana, G.E.; Scalia, G.; Chaurasia, B.; Vats, A.; Rahman, A. Primary Intraosseous Osteolytic Meningioma with Aggressive Clinical Behaviour: Clinico-Pathologic Correlation and Proposed New Clinical Classification. Life 2022, 12, 548. https://doi.org/10.3390/life12040548
Ahmed N, Ferini G, Haque M, Umana GE, Scalia G, Chaurasia B, Vats A, Rahman A. Primary Intraosseous Osteolytic Meningioma with Aggressive Clinical Behaviour: Clinico-Pathologic Correlation and Proposed New Clinical Classification. Life. 2022; 12(4):548. https://doi.org/10.3390/life12040548
Chicago/Turabian StyleAhmed, Nazmin, Gianluca Ferini, Moududul Haque, Giuseppe Emmanuele Umana, Gianluca Scalia, Bipin Chaurasia, Atul Vats, and Asifur Rahman. 2022. "Primary Intraosseous Osteolytic Meningioma with Aggressive Clinical Behaviour: Clinico-Pathologic Correlation and Proposed New Clinical Classification" Life 12, no. 4: 548. https://doi.org/10.3390/life12040548
APA StyleAhmed, N., Ferini, G., Haque, M., Umana, G. E., Scalia, G., Chaurasia, B., Vats, A., & Rahman, A. (2022). Primary Intraosseous Osteolytic Meningioma with Aggressive Clinical Behaviour: Clinico-Pathologic Correlation and Proposed New Clinical Classification. Life, 12(4), 548. https://doi.org/10.3390/life12040548

