Human Pulmonary Dirofilariasis Due to Dirofilaria immitis: The First Italian Case Confirmed by Polymerase Chain Reaction Analysis, with a Systematic Literature Review
Abstract
1. Introduction
2. Materials and Methods
- D. immitis: 5′-ACGTATCTGAGCTGGCTCAC-3′ (forward, position: 13–32) and 5′-ATGATCATTCCGCTTACGCC-3′ (reverse, position: 390–371) (GenBank database, accession number M95173; https://www.ncbi.nlm.nih.gov/nuccore/M95173; accessed on 10 October 2022), specific to a 378 base-pair fragment of the cuticular surface antigen gene of D. immitis.
- D. repens: DIR 3 (5′-CCGGTAGACCATGGCATTAT-3′, forward, position: 54–73) and DIR 4 (5′-CGGTCTTGGACGTTTGGTTA-3′, reverse, position: 299–280) (GenBank database, accession number L15323; https://www.ncbi.nlm.nih.gov/nuccore/L15323; accessed on 10 October 2022), specific to a 246 base-pair fragment of IpS insert 11 of D. repens.
- (P)opulation: human patients affected by infections due to D. immitis in Italy;
- (I)ntervention: any;
- (C)omparison: none;
- (O)utcomes: patients’ clinical outcomes (status at last follow-up, response to therapy, and survival and recurrence rates); detection rate of PCR analysis and histopathological exam.
- Eligibility/inclusion criteria: case series/reports of human dirofilariasis due to D. immitis in Italy.
- Exclusion criteria: infections not due to D. immitis; cases that did not occur in Italy; animal studies.
3. Results
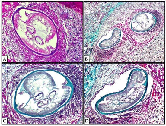
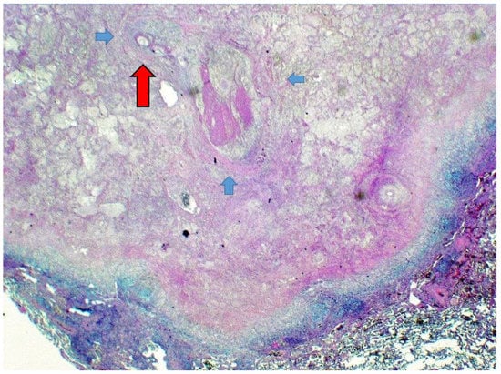
3.1. Case Report
3.2. Systematic Literature Review Results
4. Discussion
Author Contributions
Funding
Institutional Review Board Statement
Informed Consent Statement
Acknowledgments
Conflicts of Interest
References
- Rivasi, F.; Boldorini, R.; Criante, P.; Leutner, M.; Pampiglione, S. Detection of Dirofilaria (Nochtiella) repens DNA by polymerase chain reaction in embedded paraffin tissues from two human pulmonary locations. APMIS 2006, 114, 567–574. [Google Scholar] [CrossRef]
- Vakalis, N.; Spanakos, G.; Patsoula, E.; Vamvakopoulos, N.C. Improved detection of Dirofilaria repens DNA by direct polymerase chain reaction. Parasitol. Int. 1999, 48, 145–150. [Google Scholar] [CrossRef]
- Avellis, F.O.; Kramer, L.H.; Mora, P.; Bartolino, A.; Benedetti, P.; Rivasi, F. A case of human conjunctival dirofilariosis by Dirofilaria immitis in Italy. Vector-Borne Zoonotic Dis. 2011, 11, 451–452. [Google Scholar] [CrossRef]
- Orsoni, J.G.; Coggiola, G.; Minazzi, P. Filaria conjunctivae. Ophthalmologica 1985, 190, 243–246. [Google Scholar] [CrossRef] [PubMed]
- Simón, F.; Siles-Lucas, M.; Morchón, R.; González-Miguel, J.; Mellado, I.; Carretón, E.; Montoya-Alonso, J.A. Human and animal dirofilariasis: The emergence of a zoonotic mosaic. Clin. Microbiol. Rev. 2012, 25, 507–544. [Google Scholar] [CrossRef]
- Saha, B.K.; Bonnier, A.; Chong, W.H.; Chieng, H.; Austin, A.; Hu, K.; Shkolnik, B. Human Pulmonary Dirofilariasis: A Review for the Clinicians. Am. J. Med. Sci. 2021, 363, 11–17. [Google Scholar] [CrossRef]
- Cancrini, G.; Magi, M.; Gabrielli, S.; Arispici, M.; Tolari, F.; Dell’Omodarme, M.; Prati, M.C. Natural vectors of dirofilariasis in rural and urban areas of the Tuscan region, central Italy. J. Med. Entomol. 2006, 43, 574–579. [Google Scholar] [CrossRef] [PubMed]
- Rena, O.; Leutner, M.; Casadio, C. Human pulmonary dirofilariasis: Uncommon cause of pulmonary coin-lesion. Eur. J. Cardiothorac Surg. 2002, 22, 157–159. [Google Scholar] [CrossRef]
- Ferrari, P.A.; Grisolia, A.; Reale, S.; Liotta, R.; Mularoni, A.; Bertani, A. A rare case of human pulmonary dirofilariasis with nodules mimicking malignancy: Approach to diagnosis and treatment. J. Cardiothorac. Surg. 2018, 13, 65. [Google Scholar] [CrossRef] [PubMed]
- Genchi, C.; Kramer, L.H. The prevalence of Dirofilaria immitis and D. repens in the Old World. Vet. Parasitol. 2020, 280, 108995. [Google Scholar] [CrossRef]
- Kramer, L.; Genchi, C. Feline heartworm infection: Serological survey of asymptomatic cats living in northern Italy. Vet. Parasitol. 2002, 104, 43–50. [Google Scholar] [CrossRef]
- Tarello, W. Clinical Aspects of Dermatitis Associated with Dirofilaria repens in Pets: A Review of 100 Canine and 31 Feline Cases (1990-2010) and a Report of a New Clinic Case Imported from Italy to Dubai. J. Parasitol. Res. 2011, 2011, 578385. [Google Scholar] [CrossRef]
- Traversa, D.; Di Cesare, A.; Conboy, G. Canine and feline cardiopulmonary parasitic nematodes in Europe: Emerging and underestimated. Parasites Vectors 2010, 3, 62. [Google Scholar] [CrossRef] [PubMed]
- Sako, T.; Burioka, N.; Suyama, H.; Kinugasa, Y.; Watanabe, M.; Hirai, K.; Shimizu, E. Human pulmonary dirofilariasis presenting as a small nodule with a cavity. J. Med. Investig. 2000, 47, 161–163. [Google Scholar]
- Mendoza-Roldan, J.A.; Gabrielli, S.; Cascio, A.; Manoj, R.R.S.; Bezerra-Santos, M.A.; Benelli, G.; Brianti, E.; Latrofa, M.S.; Otranto, D. Zoonotic Dirofilaria immitis and Dirofilaria repens infection in humans and an integrative approach to the diagnosis. Acta Trop. 2021, 223, 106083. [Google Scholar] [CrossRef] [PubMed]
- Pampiglione, S.; Rivasi, F.; Paolino, S. Human pulmonary dirofilariasis. Histopathology 1996, 29, 69–72. [Google Scholar] [CrossRef] [PubMed]
- Pampiglione, S.; Rivasi, F.; Gustinelli, A. Dirofilarial human cases in the Old World, attributed to Dirofilaria immitis: A critical analysis. Histopathology 2009, 54, 192–204. [Google Scholar] [CrossRef]
- Pampiglione, S.; Canestri Trotti, G.; Squadrini, F. Human subcutaneous dirofilariasis. 2. A report of 5 new cases of Dirofilaria repens in central and northern Italy and of a sixth case with uncertain parasitological diagnosis. Parassitologia 1982, 24, 167–176. [Google Scholar] [PubMed]
- Favia, G.; Lanfrancotti, A.; della Torre, A.; Cancrini, G.; Coluzzi, M. Advances in the identification of Dirofilaria repens and Dirofilaria immitis by a PCR-based approach. Parassitologia 1997, 39, 401–402. [Google Scholar]
- Palicelli, A.; Deambrogio, C.; Arnulfo, A.; Rivasi, F.; Paganotti, A.; Boldorini, R. Dirofilaria repens mimicking an ovarian mass: Histologic and molecular diagnosis. APMIS 2014, 122, 1045–1046. [Google Scholar] [CrossRef] [PubMed]
- Scoles, A.G.; Kambhamptati, S. Polymerase chain reaction-based method for the detection of canine heartworm (Filarioidea: Onchocercidae) in mosquitoes (Diptera: Culicidae) and vertebrate hosts. J. Med. Entomol. 1995, 32, 864–869. [Google Scholar] [CrossRef]
- Dzamić, A.M.; Colović, I.V.; Arsić-Arsenijević, V.S.; Stepanović, S.; Boricić, I.; Dzamić, Z.; Mitrović, S.M.; Rasić, D.M.; Stefanović, I.; Latković, Z.; et al. Human Dirofilaria repens infection in Serbia. J. Helminthol. 2009, 83, 129–137. [Google Scholar] [CrossRef]
- Ogawa, G.M.; da Cruz, E.N.; Cunha, P.N.A.; Camargo, L.M.A. Canine heartworm disease in Porto Velho: First record, distribution map and occurrence of positive mosquitoes. Rev. Bras. Parasitol. Vet. 2013, 22, 559–564. [Google Scholar] [CrossRef] [PubMed]
- Redón-Soriano, M.; Blasco, A.; Gomila, B.; González-Sánchez, M.; Simón, F.; Esteban, J.G. Subconjunctival human dirofilariasis by Dirofilaria repens in the Mediterranean Basin. Am. J. Ophthalmol. Case Rep. 2022, 26, 101570. [Google Scholar] [CrossRef] [PubMed]
- Dababo, N.; Jain, A.; Joshi, P.; Alatoom, A. Subconjunctival dirofilariasis: A case report from the United Arab Emirates and review of literature from the Arabian Gulf region. IJID Reg. 2022, 3, 126–128. [Google Scholar] [CrossRef]
- Gabrielli, S.; Mangano, V.; Furzi, F.; Oliva, A.; Vita, S.; Poscia, R.; Fazii, P.; Di Paolo, J.; Marocco, R.; Mastroianni, C.M.; et al. Molecular Identification of New Cases of Human Dirofilariosis (Dirofilaria repens) in Italy. Pathogens 2021, 10, 251. [Google Scholar] [CrossRef]
- Révész, E.; Markovics, G.; Darabos, Z.; Tóth, I.; Fok, E. Hasüregi dirofilariasis [Dirofilaria in the abdominal cavity]. Magy. Seb. 2008, 61, 281–284. [Google Scholar] [CrossRef]
- Thongpiya, J.; Kreetitamrong, S.; Thongsit, T.; Toothong, T.; Rojanapanus, S.; Sarasombath, P.T. The first case report of subcutaneous dirofilariasis caused by Dirofilaria repens in Thailand. Trop. Parasitol. 2021, 11, 125–127. [Google Scholar] [PubMed]
- Szostakowska, B.; Ćwikłowska, A.; Marek-Józefowicz, L.; Czaplewski, A.; Grzanka, D.; Kulawiak-Wasielak, N.; Sulima, M. Concurrent subcutaneous and ocular infections with Dirofilaria repens in a Polish patient: A case report in the light of epidemiological data. Parasitol. Int. 2022, 86, 102481. [Google Scholar] [CrossRef] [PubMed]
- Ermakova, L.; Nagorny, S.; Kornienko, I.; Kiosova, J.; Todorov, S.; Pshenichnaya, N.; Kuandykova, A. Description of the rare localization of Dirofilaria repens in human in the right inguinal lymph node. IDCases 2020, 23, e01010. [Google Scholar] [CrossRef] [PubMed]
- Benzaquen, M.; Brajon, D.; Delord, M.; Yin, N.; Bittar, F.; Toga, I.; Berbis, P.; Parola, P. Cutaneous and pulmonary dirofilariasis due to Dirofilaria repens. Br. J. Dermatol. 2015, 173, 788–791. [Google Scholar] [CrossRef] [PubMed]
- Sukumarakurup, S.; Payyanadan, B.M.; Mariyath, R.; Nagesh, M.; Moorkoth, A.P.; Ellezhuthil, D. Subcutaneous human dirofilariasis. Indian J. Dermatol. Venereol. Leprol. 2015, 81, 59–61. [Google Scholar] [CrossRef] [PubMed]



| Reaction Mixture | Dirofilaria Species (Tissue Sample) | β-Actin |
|---|---|---|
| H2O | as required | as required |
| MgCl2 | 1.5 mM | 3 mM |
| NH4 buffer | 1× | 1× |
| dNTPs | 0.2 mM | 0.2 mM |
| Primer (F) | 0.5 pmol/μL | 0.2 pmol/μL |
| Primer (R) | 0.5 pmol/μL | 0.2 pmol/μL |
| Taq DNA polymerase | 0.075 U/μL | 0.05 U/μL |
| DNA | 10 μL | 10 μL |
| Final volume | 25 μL | 25 μL |
| Polymerase Chain Reaction Phase | Dirofilaria repens | Dirofilaria immitis | β-Actin |
|---|---|---|---|
| First denaturation | 94 °C for 5 min | 94 °C for 5 min | 94 °C for 5 min |
| Denaturation | 94 °C for 30 s | 94 °C for 15 s | 94 °C for 30 s |
| Annealing | 51 °C for 30 s | 55 °C for 40 s | 66 °C for 30 s |
| Extension | 72 °C for 25 s | 72 °C for 40 s | 72 °C for 45 s |
| Number of cycles | 48 | 40 | 35 |
| Final extension | 72 °C for 5 min | 72 °C for 5 min | 72 °C for 5 min |
Publisher’s Note: MDPI stays neutral with regard to jurisdictional claims in published maps and institutional affiliations. |
© 2022 by the authors. Licensee MDPI, Basel, Switzerland. This article is an open access article distributed under the terms and conditions of the Creative Commons Attribution (CC BY) license (https://creativecommons.org/licenses/by/4.0/).
Share and Cite
Palicelli, A.; Veggiani, C.; Rivasi, F.; Gustinelli, A.; Boldorini, R. Human Pulmonary Dirofilariasis Due to Dirofilaria immitis: The First Italian Case Confirmed by Polymerase Chain Reaction Analysis, with a Systematic Literature Review. Life 2022, 12, 1584. https://doi.org/10.3390/life12101584
Palicelli A, Veggiani C, Rivasi F, Gustinelli A, Boldorini R. Human Pulmonary Dirofilariasis Due to Dirofilaria immitis: The First Italian Case Confirmed by Polymerase Chain Reaction Analysis, with a Systematic Literature Review. Life. 2022; 12(10):1584. https://doi.org/10.3390/life12101584
Chicago/Turabian StylePalicelli, Andrea, Claudia Veggiani, Francesco Rivasi, Andrea Gustinelli, and Renzo Boldorini. 2022. "Human Pulmonary Dirofilariasis Due to Dirofilaria immitis: The First Italian Case Confirmed by Polymerase Chain Reaction Analysis, with a Systematic Literature Review" Life 12, no. 10: 1584. https://doi.org/10.3390/life12101584
APA StylePalicelli, A., Veggiani, C., Rivasi, F., Gustinelli, A., & Boldorini, R. (2022). Human Pulmonary Dirofilariasis Due to Dirofilaria immitis: The First Italian Case Confirmed by Polymerase Chain Reaction Analysis, with a Systematic Literature Review. Life, 12(10), 1584. https://doi.org/10.3390/life12101584

