Paediatric Idiopathic Intracranial Hypertension (IIH)—A Review
Abstract
:1. Introduction
2. Demographics
3. Risk Factors
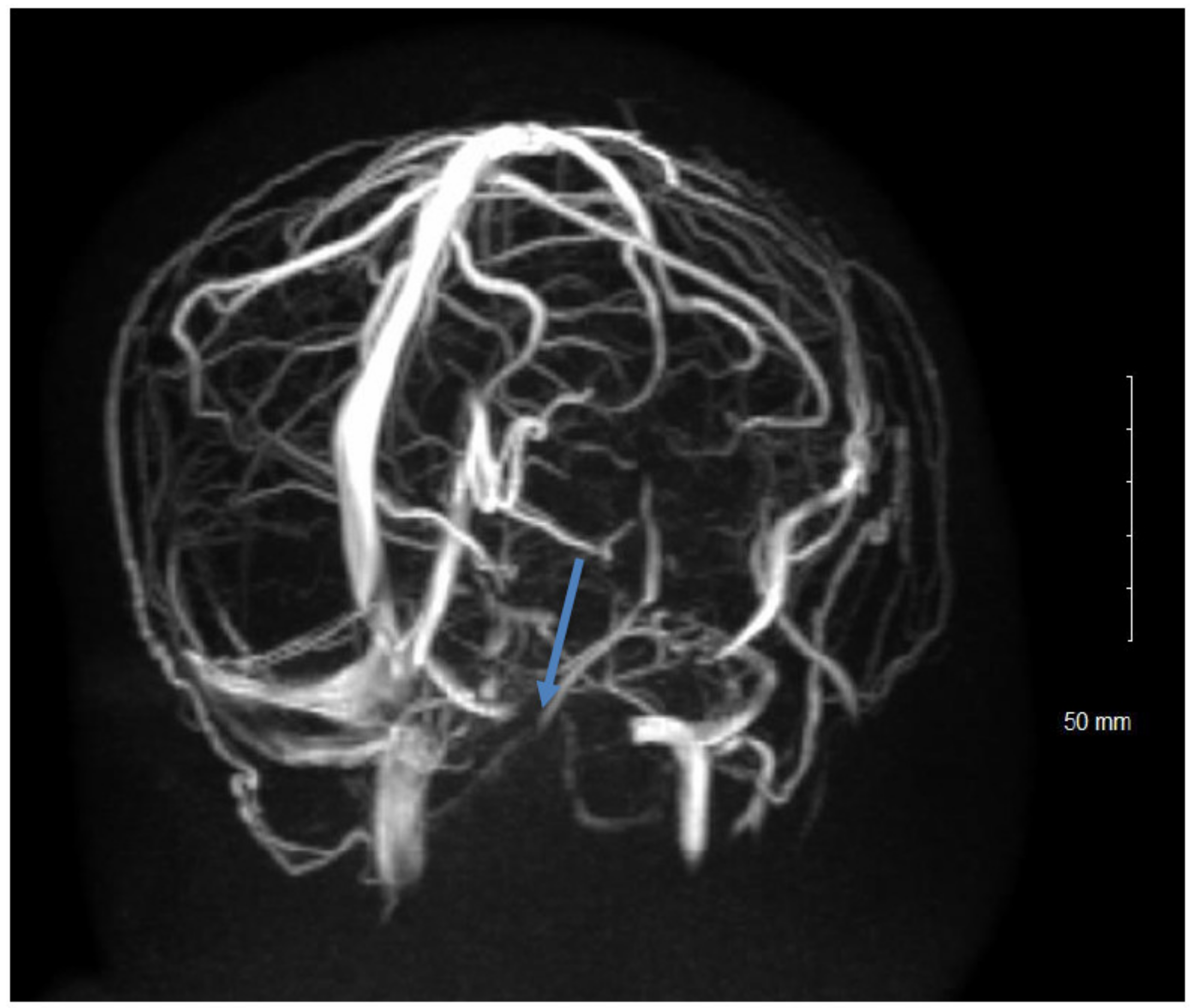
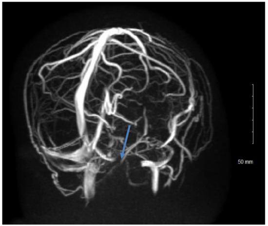
4. Pathophysiology
5. Clinical Features
5.1. Symptoms
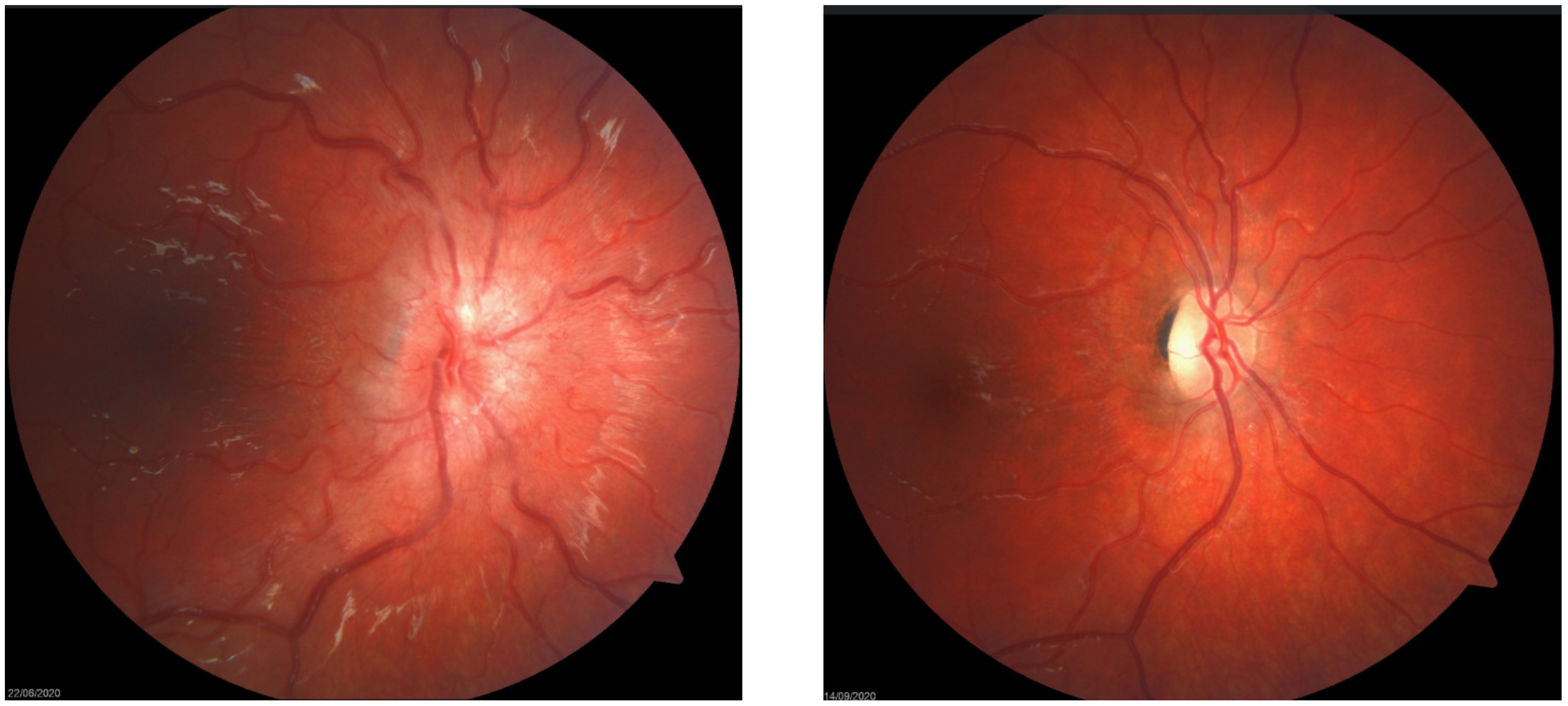
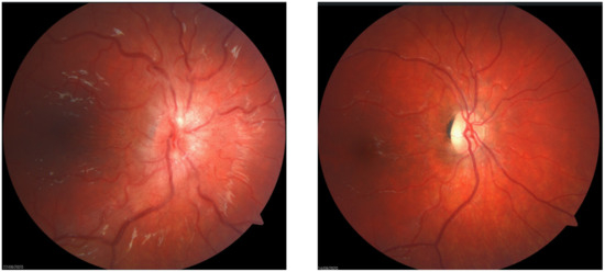
5.2. Signs
6. Work-Up and Diagnosis
Examination and Investigations
7. Management and Monitoring
7.1. Conservative Measures
7.2. Medications
7.3. Surgical Options
Author Contributions
Funding
Institutional Review Board Statement
Informed Consent Statement
Data Availability Statement
Conflicts of Interest
References
- Friedman, D.I. Pseudotumor cerebri. Neurol. Clin. 2004, 22, 99–131. [Google Scholar] [CrossRef]
- Matthews, Y.; Dean, F.; Matyka, K.; McLachlan, K.; Solanki, G.; Lim, M.; White, C.; Kennedy, C.; Whitehouse, W. UK surveillance of childhood idiopathic intracranial hypertension (IIH). Arch. Dis. Child. 2012, 97, A63. [Google Scholar] [CrossRef]
- Gordon, K. Pediatric Pseudotumor Cerebri: Descriptive Epidemiology. Can. J. Neurol. Sci. 1997, 24, 219–221. [Google Scholar] [CrossRef] [PubMed] [Green Version]
- Friedman, D.I.; Liu, G.T.; Digre, K.B. Revised diagnostic criteria for the pseudotumor cerebri syndrome in adults and children. Neurology 2013, 81, 1159–1165. [Google Scholar] [CrossRef]
- Ko, M.W.; Liu, G.T. Pediatric Idiopathic Intracranial Hypertension (Pseudotumor Cerebri). Horm. Res. Paediatr. 2010, 74, 381–389. [Google Scholar] [CrossRef]
- Mercille, G.; Ospina, L.H. Pediatric Idiopathic Intracranial Hypertension. Pediatr. Rev. 2007, 28, e77–e86. [Google Scholar] [CrossRef]
- Genizi, J.; Lahat, E.; Zelnik, N.; Mahajnah, M.; Ravid, S.; Shahar, E. Childhood-Onset Idiopathic Intracranial Hypertension: Relation of Sex and Obesity. Pediatr. Neurol. 2007, 36, 247–249. [Google Scholar] [CrossRef] [PubMed]
- Balcer, L.; Liu, G.; Forman, S.; Pun, K.; Volpe, N.; Galetta, S.; Maguire, M. Idiopathic intracranial hypertension: Relation of age and obesity in children. Neurology 1999, 52, 870. [Google Scholar] [CrossRef]
- Sheldon, C.A.; Paley, G.L.; Xiao, R.; Kesler, A.; Eyal, O.; Ko, M.W.; Boisvert, C.J.; Avery, R.A.; Salpietro, V.; Phillips, P.H.; et al. Pediatric Idiopathic Intracranial Hypertension. Ophthalmology 2016, 123, 2424–2431. [Google Scholar] [CrossRef] [Green Version]
- Bruce, B.B.; Preechawat, P.; Newman, N.J.; Lynn, M.J.; Biousse, V. Racial differences in idiopathic intracranial hypertension. Neurology 2008, 70, 861–867. [Google Scholar] [CrossRef] [Green Version]
- Kharode, C.; McAbee, G.; Sherman, J.; Kaufman, M. Familial Intracranial Hypertension: Report of a Case and Review of the Literature. J. Child Neurol. 1992, 7, 196–198. [Google Scholar] [CrossRef]
- Orefice, G.; Celentano, L.; Scaglione, M.; Davoli, M.; Striano, S. Radioisotopic cisternography in benign intracranial hypertension of young obese women. A seven-case study and pathogenetic suggestions. Acta Neurol. 1992, 14, 39–50. [Google Scholar]
- Malm, J.; Kristensen, B.; Markgren, P.; Ekstedt, J. CSF hydrodynamics in idiopathic intracranial hypertension: A long-term study. Neurology 1992, 42, 851. [Google Scholar] [CrossRef]
- McGonigal, A.; Bone, I.; Teasdale, E. Resolution of transverse sinus stenosis in idiopathic intracranial hypertension after L-P shunt. Neurology 2004, 62, 514–515. [Google Scholar] [CrossRef]
- Baryshnik, D.B.; Farb, R.I. Changes in the appearance of venous sinuses after treatment of disordered intracranial pressure. Neurology 2004, 62, 1445–1446. [Google Scholar] [CrossRef]
- Higgins, J.N.P.; Pickard, J.D. Lateral sinus stenoses in idiopathic intracranial hypertension resolving after CSF diversion. Neurology 2004, 62, 1907–1908. [Google Scholar] [CrossRef]
- Mondejar, V.; Patsalides, A. The Role of Arachnoid Granulations and the Glymphatic System in the Pathophysiology of Idiopathic Intracranial Hypertension. Curr. Neurol. Neurosci. Rep. 2020, 20, 20. [Google Scholar] [CrossRef]
- O’Reilly, M.W.; Westgate, C.S.; Hornby, C.; Botfield, H.; Taylor, A.E.; Markey, K.; Mitchell, J.L.; Scotton, W.J.; Mollan, S.P.; Yiangou, A.; et al. A unique androgen excess signature in idiopathic intracranial hypertension is linked to cerebrospinal fluid dynamics. JCI Insight 2019, 4. [Google Scholar] [CrossRef] [Green Version]
- Margeta, M.; Buckley, E.G.; El-Dairi, M.A. Low cerebrospinal fluid protein in prepubertal children with idiopathic intracranial hypertension. J. Am. Assoc. Pediatr. Ophthalmol. Strabismus 2015, 19, 135–139. [Google Scholar] [CrossRef] [PubMed]
- Petrus, P.; Edholm, D.; Rosqvist, F.; Dahlman, I.; Sundbom, M.; Arner, P.; Rydén, M.; Risérus, U. Depot-specific differences in fatty acid composition and distinct associa-tions with lipogenic gene expression in abdominal adipose tissue of obese women. Int. J. Obes. 2017, 41, 1295–1298. [Google Scholar] [CrossRef] [Green Version]
- Spennato, P.; Ruggiero, C.; Parlato, R.S.; Buonocore, M.C.; Varone, A.; Cianciulli, E.; Cinalli, G. Pseudotumor cerebri. Child’s Nerv. Syst. 2010, 27, 215–235. [Google Scholar] [CrossRef]
- Phillips, P.H.; Sheldon, C.A. Pediatric Pseudotumor Cerebri Syndrome. J. Neuro-Ophthalmol. 2017, 37, S33–S40. [Google Scholar] [CrossRef]
- Hoye, V.J.; Berrocal, A.M.; Hedges, T.R.; Amaro-Quireza, M.L. Optical Coherence Tomography Demonstrates Subretinal Macular Edema From Papilledema. Arch. Ophthalmol. 2001, 119, 1287–1290. [Google Scholar] [CrossRef] [Green Version]
- Hayreh, S.S. Pathogenesis of optic disc edema in raised intracranial pressure. Prog. Retin. Eye Res. 2016, 50, 108–144. [Google Scholar] [CrossRef] [Green Version]
- Wall, M.; Kupersmith, M.J.; Kieburtz, K.D.; Corbett, J.J.; Feldon, S.; Friedman, D.I.; Katz, D.M.; Keltner, J.L.; Schron, E.B.; McDermott, M.P. The Idiopathic Intracranial Hypertension Treatment Trial. JAMA Neurol. 2014, 71, 693–701. [Google Scholar] [CrossRef]
- Pineles, S.L.; Arnold, A.C. Fluorescein Angiographic Identification of Optic Disc Drusen With and Without Optic Disc Edema. J. Neuro-Ophthalmol. 2012, 32, 17–22. [Google Scholar] [CrossRef] [Green Version]
- Trick, G.L.; Bhatt, S.S.; Dahl, D.; Skarf, B. Optic Disc Topography in Pseudopapilledema: A Comparison to Pseudotumor Cerebri. J. Neuro-Ophthalmol. 2001, 21, 240–244. [Google Scholar] [CrossRef]
- Gili, P.; Flores-Rodríguez, P.; Yangüela, J.; Fernández, M.L.H. Using autofluorescence to detect optic nerve head drusen in children. J. Am. Assoc. Pediatr. Ophthalmol. Strabismus 2013, 17, 568–571. [Google Scholar] [CrossRef]
- Karam, E.Z. Optical coherence tomography of the retinal nerve fibre layer in mild papilloedema and pseudopapilloedema. Br. J. Ophthalmol. 2005, 89, 294–298. [Google Scholar] [CrossRef] [PubMed] [Green Version]
- Kulkarni, K.M.; Pasol, J.; Rosa, P.R.; Lam, B.L. Differentiating Mild Papilledema and Buried Optic Nerve Head Drusen Using Spectral Domain Optical Coherence Tomography. Ophthalmology 2014, 121, 959–963. [Google Scholar] [CrossRef] [Green Version]
- Hartmann, A.J.; Peragallo, J.H. Pediatric Idiopathic Intracranial Hypertension. J. Pediatr. Neurol. 2016, 15, 53–61. [Google Scholar] [CrossRef]
- Rangwala, L.M.; Liu, G.T. Pediatric Idiopathic Intracranial Hypertension. Surv. Ophthalmol. 2007, 52, 597–617. [Google Scholar] [CrossRef]
- Lessell, S. Pediatric pseudotumor cerebri (idiopathic intracranial hypertension). Surv. Ophthalmol. 1992, 37, 155–166. [Google Scholar] [CrossRef]
- Kohli, A.A.; Vossough, A.; Mallery, R.; Woo, J.H.; Sheldon, C.A.; Paley, G.L.; Digre, K.B.; Friedman, D.I.; Farrar, J.T.; McCormack, S.E.; et al. Magnetic Resonance Imaging Findings in Pediatric Pseudotumor Cerebri Syndrome. Pediatr. Neurol. 2019, 99, 31–39. [Google Scholar] [CrossRef]
- Avery, R.A. Reference Range of Cerebrospinal Fluid Opening Pressure in Children: Historical Overview and Current Data. Neuropediatrics 2014, 45, 206–211. [Google Scholar] [CrossRef] [PubMed] [Green Version]
- Frisén, L. Swelling of the optic nerve head: A staging scheme. J. Neurol. Neurosurg. Psychiatry 1982, 45, 13–18. [Google Scholar] [CrossRef] [Green Version]
- Krishnakumar, D.; Pickard, J.D.; Czosnyka, Z.; Allen, L.; Parker, A. Idiopathic intracranial hypertension in childhood: Pitfalls in diagnosis. Dev. Med. Child Neurol. 2014, 56, 749–755. [Google Scholar] [CrossRef] [PubMed]
- Standridge, S.M. Idiopathic Intracranial Hypertension in Children: A Review and Algorithm. Pediatr. Neurol. 2010, 43, 377–390. [Google Scholar] [CrossRef]
- Vitaliti, G.; Pavone, P.; Matin, N.; Tabatabaie, O.; Cocuzza, S.; Vecchio, M.; Maiolino, L.; Di Mauro, P.; Conti, A.; Lubrano, R.; et al. Therapeutic approaches to pediatric pseudotumor cerebri: New insights from literature data. Int. J. Immunopathol. Pharmacol. 2017, 30, 94–97. [Google Scholar] [CrossRef] [Green Version]
- Mathews, M.K.; Sergott, R.C.; Savino, P.J. Pseudotumor cerebri. Curr. Opin. Ophthalmol. 2003, 14, 364–370. [Google Scholar] [CrossRef]
- Gospe, S.M.; Bhatti, M.T.; A El-Dairi, M. Anatomic and visual function outcomes in paediatric idiopathic intracranial hypertension. Br. J. Ophthalmol. 2015, 100, 505–509. [Google Scholar] [CrossRef] [PubMed]
- Cleves-Bayon, C. Idiopathic Intracranial Hypertension in Children and Adolescents: An Update. Headache J. Head Face Pain 2017, 58, 485–493. [Google Scholar] [CrossRef] [PubMed]
- Wong, R.; Madill, S.A.; Pandey, P.; Riordan-Eva, P. Idiopathic intracranial hypertension: The association between weight loss and the requirement for systemic treatment. BMC Ophthalmol. 2007, 7, 15. [Google Scholar] [CrossRef] [Green Version]
- Albakr, A.; Hamad, M.H.; AlWadei, A.H.; Bashiri, F.A.; Hassan, H.H.; Idris, H.; Hassan, S.; Muayqil, T.; Altweijri, I.; Salih, M.A. Idiopathic intracranial hypertension in children: Diagnostic and management approach. Sudan. J. Paediatr. 2016, 16, 67–76. [Google Scholar]
- Mollan, S.P.; Mitchell, J.L.; Ottridge, R.S.; Aguiar, M.; Yiangou, A.; Alimajstorovic, Z.; Cartwright, D.M.; Grech, O.; Lavery, G.G.; Westgate, C.S.J.; et al. Effectiveness of Bariatric Surgery vs Community Weight Management Intervention for the Treatment of Idiopathic Intracranial Hypertension. JAMA Neurol. 2021, 78, 678. [Google Scholar] [CrossRef]
- Wall, M.; McDermott, M.P.; Kieburtz, K.D.; Corbett, J.J.; Feldon, S.; Friedman, D.I.; Katz, D.M.; Keltner, J.L.; Schron, E.B.; Kupersmith, M.J. Effect of Acetazolamide on Visual Function in Patients with Idiopathic Intracranial Hypertension and Mild Visual Loss. JAMA 2014, 311, 1641–1651. [Google Scholar] [CrossRef] [PubMed]
- Schoeman, J.F. Childhood Pseudotumor Cerebri: Clinical and Intracranial Pressure Response to Acetazolamide and Furosemide Treatment in a Case Series. J. Child Neurol. 1994, 9, 130–134. [Google Scholar] [CrossRef]
- Liu, G.T.; Glaser, J.S.; Schatz, N.J. High-dose Methylprednisolone and Acetazolamide for Visual Loss in Pseudotumor Cerebri. Am. J. Ophthalmol. 1994, 118, 88–96. [Google Scholar] [CrossRef]
- Surgical Idiopathic Intracranial Hypertension Treatment Trial (SIGHT). Available online: https://clinicaltrials.gov/ct2/show/NCT03501966 (accessed on 27 March 2021).
- Thuente, D.; Buckley, E. Pediatric Optic Nerve Sheath Decompression. Ophthalmology 2005, 112, 724–727. [Google Scholar] [CrossRef]
- Bersani, T.A.; Meeker, A.R.; Sismanis, D.N.; Carruth, B.P. Pediatric and adult vision restoration after optic nerve sheath decompression for idiopathic intracranial hypertension. Orbit 2016, 35, 1–8. [Google Scholar] [CrossRef]
- Mollan, S.; Mytton, J.; Tsermoulas, G.; Sinclair, A. Idiopathic Intracranial Hypertension: Evaluation of Admissions and Emergency Readmissions through the Hospital Episode Statistic Dataset between 2002–2020. Life 2021, 11, 417. [Google Scholar] [CrossRef] [PubMed]
- Cinciripini, G.S.; Donahue, S.; Borchert, M.S. Idiopathic intracranial hypertension in prepubertal pediatric patients: Characteristics, treatment, and outcome. Am. J. Ophthalmol. 1999, 127, 178–182. [Google Scholar] [CrossRef]





Publisher’s Note: MDPI stays neutral with regard to jurisdictional claims in published maps and institutional affiliations. |
© 2021 by the authors. Licensee MDPI, Basel, Switzerland. This article is an open access article distributed under the terms and conditions of the Creative Commons Attribution (CC BY) license (https://creativecommons.org/licenses/by/4.0/).
Share and Cite
Malem, A.; Sheth, T.; Muthusamy, B. Paediatric Idiopathic Intracranial Hypertension (IIH)—A Review. Life 2021, 11, 632. https://doi.org/10.3390/life11070632
Malem A, Sheth T, Muthusamy B. Paediatric Idiopathic Intracranial Hypertension (IIH)—A Review. Life. 2021; 11(7):632. https://doi.org/10.3390/life11070632
Chicago/Turabian StyleMalem, Andrew, Twishaa Sheth, and Brinda Muthusamy. 2021. "Paediatric Idiopathic Intracranial Hypertension (IIH)—A Review" Life 11, no. 7: 632. https://doi.org/10.3390/life11070632
APA StyleMalem, A., Sheth, T., & Muthusamy, B. (2021). Paediatric Idiopathic Intracranial Hypertension (IIH)—A Review. Life, 11(7), 632. https://doi.org/10.3390/life11070632

