A New Approach to COVID-19 Detection: An ANN Proposal Optimized through Tree-Seed Algorithm
Abstract
:1. Introduction
- A high-accuracy diagnosis of COVID-19 has been performed automatically.
- To improve the classification performance of end-to-end architectures, ANN is applied instead of fully connected layers.
- For a high classification performance, ANN is optimized by the TSA method.
- The proposed method can increase the diagnostic accuracy of previous studies using the CNN model.
- The applied experimental work outperforms many previous studies.
2. Materials and Methods
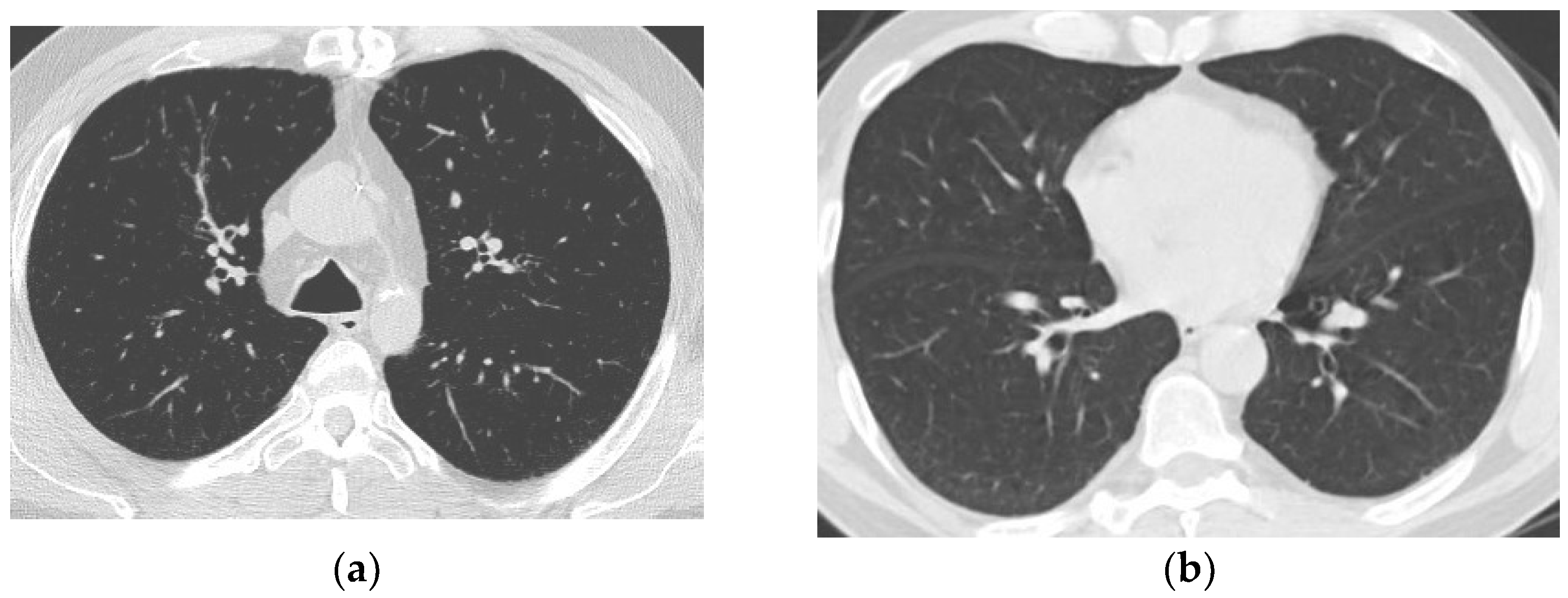
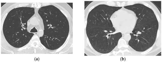
2.1. SARS-CoV-2 Ct-Scan Dataset
2.2. The Tree Seed Algorithm (TSA)
2.3. Proposed mAlexNet Architecture
2.4. Proposed TSA-ANN Model
3. Results
- : True Positive
- : True Negative
- : False Positive
- : False Negative
4. Discussion
5. Conclusions
Author Contributions
Funding
Institutional Review Board Statement
Informed Consent Statement
Data Availability Statement
Conflicts of Interest
References
- Green, A. Li wenliang. Lancet 2020, 395, 682. [Google Scholar] [CrossRef]
- Khan, A.I.; Shah, J.L.; Bhat, M.M. Coronet: A deep neural network for detection and diagnosis of COVID-19 from chest X-ray images. Comput. Methods Programs Biomed. 2020, 196, 105581. [Google Scholar] [CrossRef]
- Mahase, E. Coronavirus: COVID-19 has killed more people than SARS and MERS combined, despite lower case fatality rate. BMJ 2020, 368, m641. [Google Scholar] [CrossRef] [Green Version]
- Spinelli, A.; Pellino, G. COVID-19 pandemic: Perspectives on an unfolding crisis. Br. J. Surg. 2020, 107, 785–787. [Google Scholar] [CrossRef] [Green Version]
- WHO. Coronavirus Disease 2019 (COVID-19) Situation Report–51, 11 March 2020; WHO: Geneva, Switzerland, 2020. [Google Scholar]
- Thakur, N.; Han, C.Y. An Exploratory Study of Tweets about the SARS-CoV-2 Omicron Variant: Insights from Sentiment Analysis, Language Interpretation, Source Tracking, Type Classification, and Embedded URL Detection. Preprints 2022, 2022050238. [Google Scholar] [CrossRef]
- JH. COVID-19 Map—Johns Hopkins Coronavirus Resource Center. Available online: https://coronavirus.jhu.edu/map.html (accessed on 10 June 2022).
- Guan, W.-J.; Ni, Z.-Y.; Hu, Y.; Liang, W.-H.; Ou, C.-Q.; He, J.-X.; Liu, L.; Shan, H.; Lei, C.-L.; Hui, D.S. Clinical characteristics of coronavirus disease 2019 in China. N. Engl. J. Med. 2020, 382, 1708–1720. [Google Scholar] [CrossRef]
- Jiang, Y.; Chen, H.; Loew, M.; Ko, H. COVID-19 CT Image Synthesis with a Conditional Generative Adversarial Network. arXiv 2020, arXiv:2007.14638. [Google Scholar] [CrossRef]
- Jawerth, N. How is the COVID-19 virus detected using real time RT-PCR. IAEA Bull. 2020, 61, 8–11. [Google Scholar]
- Ai, T.; Yang, Z.; Hou, H.; Zhan, C.; Chen, C.; Lv, W.; Tao, Q.; Sun, Z.; Xia, L. Correlation of chest CT and RT-PCR testing in coronavirus disease 2019 (COVID-19) in China: A report of 1014 cases. Radiology 2020, 296, 200642. [Google Scholar] [CrossRef] [PubMed] [Green Version]
- Fang, Y.; Zhang, H.; Xie, J.; Lin, M.; Ying, L.; Pang, P.; Ji, W. Sensitivity of chest CT for COVID-19: Comparison to RT-PCR. Radiology 2020, 296, 200432. [Google Scholar] [CrossRef]
- Aslan, M.F.; Unlersen, M.F.; Sabanci, K.; Durdu, A. CNN-based transfer learning-BiLSTM network: A novel approach for COVID-19 infection detection. Appl. Soft Comput. 2020, 98, 106912. [Google Scholar] [CrossRef] [PubMed]
- Barello, S.; Palamenghi, L.; Graffigna, G. Stressors and Resources for Healthcare Professionals during the COVID-19 Pandemic: Lesson Learned From Italy. Front. Psychol. 2020, 11, 2179. [Google Scholar] [CrossRef] [PubMed]
- Chen, X.; Li, J.; Zhang, Y.; Lu, Y.; Liu, S. Automatic feature extraction in X-ray image based on deep learning approach for determination of bone age. Future Gener. Comput. Syst. 2020, 110, 795–801. [Google Scholar] [CrossRef]
- Kieu, P.N.; Tran, H.S.; Le, T.H.; Le, T.; Nguyen, T.T. Applying multi-CNNs model for detecting abnormal problem on chest X-ray images. In Proceedings of the 2018 10th International Conference on Knowledge and Systems Engineering (KSE), Ho Chi Minh City, Vietnam, 1–3 November 2018; pp. 300–305. [Google Scholar]
- Chowdhury, M.E.; Rahman, T.; Khandakar, A.; Mazhar, R.; Kadir, M.A.; Mahbub, Z.B.; Islam, K.R.; Khan, M.S.; Iqbal, A.; Al Emadi, N. Can AI help in screening viral and COVID-19 pneumonia? IEEE Access 2020, 8, 132665–132676. [Google Scholar] [CrossRef]
- Wu, X.; Hui, H.; Niu, M.; Li, L.; Wang, L.; He, B.; Yang, X.; Li, L.; Li, H.; Tian, J. Deep learning-based multi-view fusion model for screening 2019 novel coronavirus pneumonia: A multicentre study. Eur. J. Radiol. 2020, 128, 109041. [Google Scholar] [CrossRef]
- Ardakani, A.A.; Kanafi, A.R.; Acharya, U.R.; Khadem, N.; Mohammadi, A. Application of deep learning technique to manage COVID-19 in routine clinical practice using CT images: Results of 10 convolutional neural networks. Comput. Biol. Med. 2020, 121, 103795. [Google Scholar] [CrossRef]
- Jaiswal, A.; Gianchandani, N.; Singh, D.; Kumar, V.; Kaur, M. Classification of the COVID-19 infected patients using DenseNet201 based deep transfer learning. J. Biomol. Struct. Dyn. 2021, 39, 5682–5689. [Google Scholar] [CrossRef]
- Wang, S.; Kang, B.; Ma, J.; Zeng, X.; Xiao, M.; Guo, J.; Cai, M.; Yang, J.; Li, Y.; Meng, X.; et al. A deep learning algorithm using CT images to screen for Corona virus disease (COVID-19). Eur. Radiol. 2021, 31, 6096–6104. [Google Scholar] [CrossRef]
- Sethy, P.K.; Behera, S.K. Detection of Coronavirus Disease (COVID-19) Based on Deep Features. Preprints 2020, 2020030300. [Google Scholar] [CrossRef]
- Deng, X.; Shao, H.; Shi, L.; Wang, X.; Xie, T. A classification–detection approach of COVID-19 based on chest X-ray and CT by using keras pre-trained deep learning models. Comput. Model. Eng. Sci. 2020, 125, 579–596. [Google Scholar] [CrossRef]
- Narin, A.; Kaya, C.; Pamuk, Z. Automatic detection of coronavirus disease (COVID-19) using X-ray images and deep convolutional neural networks. arXiv 2020, arXiv:2003.10849. [Google Scholar] [CrossRef] [PubMed]
- Mukherjee, H.; Ghosh, S.; Dhar, A.; Obaidullah, S.M.; Santosh, K.; Roy, K. Deep neural network to detect COVID-19: One architecture for both CT Scans and Chest X-rays. Appl. Intell. 2021, 51, 2777–2789. [Google Scholar] [CrossRef]
- Aslan, M.F.; Sabanci, K.; Durdu, A.; Unlersen, M.F. COVID-19 diagnosis using state-of-the-art CNN architecture features and Bayesian Optimization. Comput. Biol. Med. 2022, 142, 105244. [Google Scholar] [CrossRef] [PubMed]
- Serte, S.; Dirik, M.A.; Al-Turjman, F. Deep Learning Models for COVID-19 Detection. Sustainability 2022, 14, 5820. [Google Scholar] [CrossRef]
- Karaboga, D.; Basturk, B. A powerful and efficient algorithm for numerical function optimization: Artificial bee colony (ABC) algorithm. J. Glob. Optim. 2007, 39, 459–471. [Google Scholar] [CrossRef]
- Frazier, P.I. A tutorial on bayesian optimization. arXiv 2018, arXiv:1807.02811. [Google Scholar]
- Kiran, M.S. TSA: Tree-seed algorithm for continuous optimization. Expert Syst. Appl. 2015, 42, 6686–6698. [Google Scholar] [CrossRef]
- Ucar, F.; Korkmaz, D. COVIDiagnosis-Net: Deep Bayes-SqueezeNet based Diagnostic of the Coronavirus Disease 2019 (COVID-19) from X-ray Images. Med. Hypotheses 2020, 140, 109761. [Google Scholar] [CrossRef]
- Nour, M.; Cömert, Z.; Polat, K. A novel medical diagnosis model for COVID-19 infection detection based on deep features and Bayesian optimization. Appl. Soft Comput. 2020, 97, 106580. [Google Scholar] [CrossRef]
- Elaziz, M.A.; Hosny, K.M.; Salah, A.; Darwish, M.M.; Lu, S.; Sahlol, A.T. New machine learning method for image-based diagnosis of COVID-19. PLoS ONE 2020, 15, e0235187. [Google Scholar] [CrossRef]
- Toğaçar, M.; Ergen, B.; Cömert, Z. COVID-19 detection using deep learning models to exploit Social Mimic Optimization and structured chest X-ray images using fuzzy color and stacking approaches. Comput. Biol. Med. 2020, 121, 103805. [Google Scholar] [CrossRef] [PubMed]
- Angelov, P.; Almeida Soares, E. SARS-CoV-2 CT-Scan Dataset. Available online: https://www.kaggle.com/plameneduardo/sarscov2-ctscan-dataset (accessed on 10 June 2022).
- Angelov, P.; Almeida Soares, E. Explainable-by-Design Approach for COVID-19 Classification via CT-Scan. medRxiv 2020. Available online: https://www.medrxiv.org/content/10.1101/2020.04.24.20078584v1 (accessed on 10 June 2022).
- Krizhevsky, A.; Sutskever, I.; Hinton, G.E. Imagenet classification with deep convolutional neural networks. Commun. ACM 2017, 60, 84–90. [Google Scholar] [CrossRef]
- Simonyan, K.; Zisserman, A. Very deep convolutional networks for large-scale image recognition. arXiv 2014, arXiv:1409.1556. [Google Scholar]
- Aslan, M.F.; Sabanci, K.; Durdu, A. A CNN-based novel solution for determining the survival status of heart failure patients with clinical record data: Numeric to image. Biomed. Signal Process. Control 2021, 68, 102716. [Google Scholar] [CrossRef]
- Sabanci, K.; Aslan, M.F.; Ropelewska, E.; Unlersen, M.F. A convolutional neural network-based comparative study for pepper seed classification: Analysis of selected deep features with support vector machine. J. Food Process Eng. 2021, 45, e13955. [Google Scholar] [CrossRef]
- Soares, E.; Angelov, P.; Biaso, S.; Froes, M.H.; Abe, D.K. SARS-CoV-2 CT-Scan Dataset: A Large Dataset of Real Patients CT Scans for SARS-CoV-2 Identification. medRxiv 2020. Available online: https://www.medrxiv.org/content/10.1101/2020.04.24.20078584v3 (accessed on 10 June 2022).
- Özkaya, U.; Öztürk, Ş.; Budak, S.; Melgani, F.; Polat, K. Classification of COVID-19 in Chest CT Images using Convolutional Support Vector Machines. arXiv 2020, arXiv:2011.05746. [Google Scholar]
- Tetila, E.; Bressem, K.; Astolfi, G.; Sant’Ana, D.A.; Pache, M.C.; Pistori, H. System for quantitative diagnosis of COVID-19-associated pneumonia based on superpixels with deep learning and chest CT. Res. Sq. 2020. [Google Scholar] [CrossRef]
- Panwar, H.; Gupta, P.K.; Siddiqui, M.K.; Morales-Menendez, R.; Bhardwaj, P.; Singh, V. A deep learning and grad-CAM based color visualization approach for fast detection of COVID-19 cases using chest X-ray and CT-Scan images. Chaos Solitons Fractals 2020, 140, 110190. [Google Scholar] [CrossRef]
- Wang, Z.; Liu, Q.; Dou, Q. Contrastive cross-site learning with redesigned net for COVID-19 CT classification. IEEE J. Biomed. Health Inform. 2020, 24, 2806–2813. [Google Scholar] [CrossRef]
- Öztürk, Ş.; Yigit, E.; Özkaya, U. Fused Deep Features Based Classification Framework for COVID-19 Classification with Optimized MLP. Selcuk Univ. J. Eng. Sci. Technol. 2020, 8, 15–27. [Google Scholar]
- Silva, P.; Luz, E.; Silva, G.; Moreira, G.; Silva, R.; Lucio, D.; Menotti, D. COVID-19 detection in CT images with deep learning: A voting-based scheme and cross-datasets analysis. Inform. Med. Unlocked 2020, 20, 100427. [Google Scholar] [CrossRef] [PubMed]
- Yazdani, S.; Minaee, S.; Kafieh, R.; Saeedizadeh, N.; Sonka, M. COVID CT-net: Predicting COVID-19 from chest CT images using attentional convolutional network. arXiv 2020, arXiv:2009.05096. [Google Scholar]







| Layer Name | Size | Filter Size | Stride | Padding | Output Channel | Activation Function |
|---|---|---|---|---|---|---|
| conv1 | 55 × 55 | 11 × 11 | 4 | 0 | 96 | relu |
| maxpool1 | 27 × 27 | 3 × 3 | 2 | 0 | 96 | - |
| conv2 | 27 × 27 | 5 × 5 | 1 | 2 | 256 | relu |
| maxpool2 | 13 × 13 | 3 × 3 | 2 | 0 | 256 | - |
| conv3 | 13 × 13 | 3 × 3 | 1 | 1 | 384 | relu |
| conv4 | 13 × 13 | 3 × 3 | 1 | 1 | 384 | relu |
| conv5 | 13 × 13 | 3 × 3 | 1 | 1 | 256 | relu |
| maxpool5 | 6 × 6 | 3 × 3 | 2 | 0 | 256 | - |
| fc6 | - | - | - | - | 4096 | relu |
| fc7 | - | - | - | - | 4096 | relu |
| fc8 | - | - | - | - | 25 | relu |
| fc9 | - | - | - | - | 2 | softmax |
| Training Options | ||||||
| Optimization Alg. | Maximum Epoch | Mini Batch Size | Initial Learning Rate (α) | Momentum (γ) | ||
| SGDM | 25 | 40 | 0.001 | |||
| Layers | Number of Neurons | Activation Function | Parameter Count |
|---|---|---|---|
| Layer 1 (Input Layer) | 25 | - | - |
| Layer 2 (1st Hidden Layer) | 5 | Hyperbolic Tangent Sigmoid | 130 |
| Layer 3 (2st Hidden Layer) | 5 | Hyperbolic Tangent Sigmoid | 30 |
| Layer 4 (Output Layer) | 1 | Logarithmic Sigmoid | 6 |
| Model | Accuracy | Sensitivity | Specificity | Precision | F1-Score | MCC |
|---|---|---|---|---|---|---|
| mAlexNet | 97.92 | 0.9820 | 0.9768 | 0.9732 | 0.9776 | 0.9582 |
| mAlexNet + TSA-ANN | 98.54 | 0.9775 | 0.9923 | 0.9909 | 0.9841 | 0.9708 |
| Study | Method | Accuracy (%) |
|---|---|---|
| Soares et al. [41] | xDNN | 97.38% |
| Özkaya et al. [42] | CNN + SVM | 94.03% |
| Tetila et al. [43] | Inception-Resnet-v2 | 98.4% |
| Panwar et al. [44] | Color Visualization (Grad-CAM) | 95% |
| Wang et al. [45] | Contrastive Learning | 90.83 ± 0.93 |
| Jaiswal et al. [20] | DenseNet201 | 96.25% |
| Öztürk et al. [46] | WOA-MLP | 88.06% |
| Silva et al. [47] | EfficientNet | 98.50% |
| Yazdani et al. [48] | Attentional Convolutional Network | 92% |
| Proposed approach | mAlexNet—TSA-ANN | 98.54% |
Publisher’s Note: MDPI stays neutral with regard to jurisdictional claims in published maps and institutional affiliations. |
© 2022 by the authors. Licensee MDPI, Basel, Switzerland. This article is an open access article distributed under the terms and conditions of the Creative Commons Attribution (CC BY) license (https://creativecommons.org/licenses/by/4.0/).
Share and Cite
Aslan, M.F.; Sabanci, K.; Ropelewska, E. A New Approach to COVID-19 Detection: An ANN Proposal Optimized through Tree-Seed Algorithm. Symmetry 2022, 14, 1310. https://doi.org/10.3390/sym14071310
Aslan MF, Sabanci K, Ropelewska E. A New Approach to COVID-19 Detection: An ANN Proposal Optimized through Tree-Seed Algorithm. Symmetry. 2022; 14(7):1310. https://doi.org/10.3390/sym14071310
Chicago/Turabian StyleAslan, Muhammet Fatih, Kadir Sabanci, and Ewa Ropelewska. 2022. "A New Approach to COVID-19 Detection: An ANN Proposal Optimized through Tree-Seed Algorithm" Symmetry 14, no. 7: 1310. https://doi.org/10.3390/sym14071310
APA StyleAslan, M. F., Sabanci, K., & Ropelewska, E. (2022). A New Approach to COVID-19 Detection: An ANN Proposal Optimized through Tree-Seed Algorithm. Symmetry, 14(7), 1310. https://doi.org/10.3390/sym14071310

